JavaScript is disabled in your browser. Please enable JavaScript to view this website.
AB307952

Anti-Oncostatin M/OSM antibody [EPR26065-14] - BSA and Azide free

Be the first to review this product! Submit a review

|

(0 Publication)

Rabbit Recombinant Monoclonal Oncostatin M/OSM antibody. Carrier free. Suitable for IHC-P and reacts with Human, Transfected cell line - Human samples.

View Alternative Names

Oncostatin-M, OSM

7 Images
Immunohistochemistry (Formalin/PFA-fixed paraffin-embedded sections) - Anti-Oncostatin M/OSM antibody [EPR26065-14] - BSA and Azide free (AB307952)
  • IHC-P

Supplier Data

Immunohistochemistry (Formalin/PFA-fixed paraffin-embedded sections) - Anti-Oncostatin M/OSM antibody [EPR26065-14] - BSA and Azide free (AB307952)

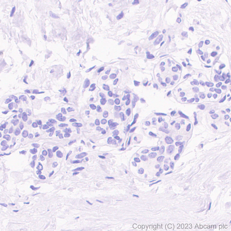
This data was developed using ab307951, the same antibody clone in a different buffer formulation. Immunohistochemical analysis of paraffin-embedded Human breast tissue labeling Oncostatin M/OSM with ab307951 at 1/100 (4.85 ug/ml) followed by a ready to use Goat Anti-Rabbit IgG H&L (HRP polymer) (ab214880). Negative control : no staining on human breast. The section was incubated with ab307951 at 4°C overnight. Counterstained with Hematoxylin. Secondary antibody only control : Secondary antibody is a ready to use Goat Anti-Rabbit IgG H&L (HRP polymer) (ab214880). Heat mediated antigen retrieval was performed using ab93684 (Tris/EDTA buffer, pH 9.0).

Immunohistochemistry (Formalin/PFA-fixed paraffin-embedded sections) - Anti-Oncostatin M/OSM antibody [EPR26065-14] - BSA and Azide free (AB307952)
  • IHC-P

Supplier Data

Immunohistochemistry (Formalin/PFA-fixed paraffin-embedded sections) - Anti-Oncostatin M/OSM antibody [EPR26065-14] - BSA and Azide free (AB307952)

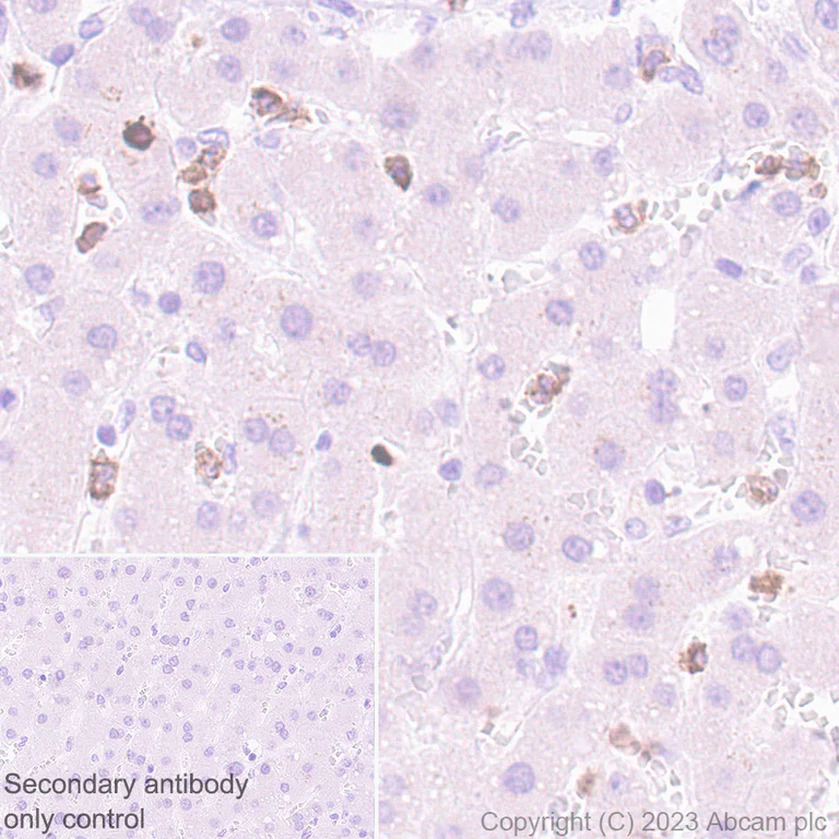
This data was developed using ab307951, the same antibody clone in a different buffer formulation. Immunohistochemical analysis of paraffin-embedded Human liver tissue labelling Oncostatin M/OSM with ab307951 at 1/100 (4.85 ug/ml) followed by a ready to use Goat Anti-Rabbit IgG H&L (HRP polymer) (ab214880). Positive staining on scattered immune cells of human liver. The section was incubated with ab307951 at 4°C overnight. Counterstained with Hematoxylin. Secondary antibody only control : Secondary antibody is a ready to use Goat Anti-Rabbit IgG H&L (HRP polymer) (ab214880). Heat mediated antigen retrieval was performed using ab93684 (Tris/EDTA buffer, pH 9.0).

Immunohistochemistry (Formalin/PFA-fixed paraffin-embedded sections) - Anti-Oncostatin M/OSM antibody [EPR26065-14] - BSA and Azide free (AB307952)
  • IHC-P

Supplier Data

Immunohistochemistry (Formalin/PFA-fixed paraffin-embedded sections) - Anti-Oncostatin M/OSM antibody [EPR26065-14] - BSA and Azide free (AB307952)

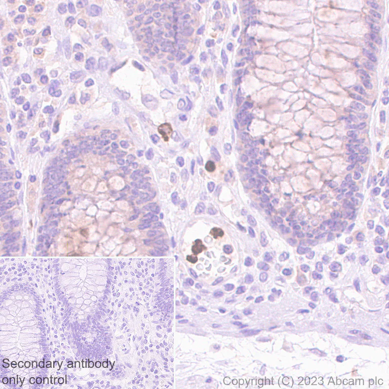
This data was developed using ab307951, the same antibody clone in a different buffer formulation. Immunohistochemical analysis of paraffin-embedded Human colon tissue labelling Oncostatin M/OSM with ab307951 at 1/100 (4.85 ug/ml) followed by a ready to use Goat Anti-Rabbit IgG H&L (HRP polymer) (ab214880). Positive staining on scattered immune cells of human colon. The section was incubated with ab307951 at 4°C overnight. Counterstained with Hematoxylin. Secondary antibody only control : Secondary antibody is a ready to use Goat Anti-Rabbit IgG H&L (HRP polymer) (ab214880). Heat mediated antigen retrieval was performed using ab93684 (Tris/EDTA buffer, pH 9.0).

Immunohistochemistry (Formalin/PFA-fixed paraffin-embedded sections) - Anti-Oncostatin M/OSM antibody [EPR26065-14] - BSA and Azide free (AB307952)
  • IHC-P

Supplier Data

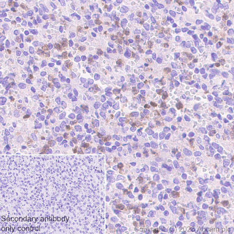
Immunohistochemistry (Formalin/PFA-fixed paraffin-embedded sections) - Anti-Oncostatin M/OSM antibody [EPR26065-14] - BSA and Azide free (AB307952)

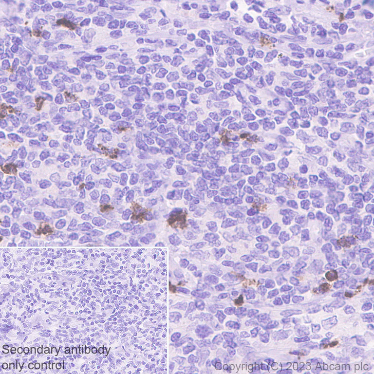
This data was developed using ab307951, the same antibody clone in a different buffer formulation. Immunohistochemical analysis of paraffin-embedded Human diffuse large tissue labeling Oncostatin M/OSM with ab307951 at 1/100 (4.85 ug/ml) followed by a ready to use Goat Anti-Rabbit IgG H&L (HRP polymer) (ab214880). Positive staining on human diffuse large B-cell lymphoma. The section was incubated with ab307951 at 4°C overnight. Counterstained with Hematoxylin. Secondary antibody only control : Secondary antibody is a ready to use Goat Anti-Rabbit IgG H&L (HRP polymer) (ab214880). Heat mediated antigen retrieval was performed using ab93684 (Tris/EDTA buffer, pH 9.0).

Immunohistochemistry (Formalin/PFA-fixed paraffin-embedded sections) - Anti-Oncostatin M/OSM antibody [EPR26065-14] - BSA and Azide free (AB307952)
  • IHC-P

Supplier Data

Immunohistochemistry (Formalin/PFA-fixed paraffin-embedded sections) - Anti-Oncostatin M/OSM antibody [EPR26065-14] - BSA and Azide free (AB307952)

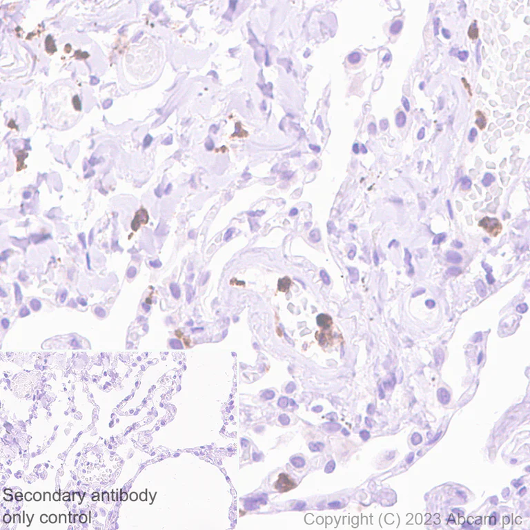
This data was developed using ab307951, the same antibody clone in a different buffer formulation. Immunohistochemical analysis of paraffin-embedded Human lung tissue labelling Oncostatin M/OSM with ab307951 at 1/100 (4.85 ug/ml) followed by a ready to use Goat Anti-Rabbit IgG H&L (HRP polymer) (ab214880). Positive staining on scattered immune cells of human lung. The section was incubated with ab307951 at 4°C overnight. Counterstained with Hematoxylin. Secondary antibody only control : Secondary antibody is a ready to use Goat Anti-Rabbit IgG H&L (HRP polymer) (ab214880). Heat mediated antigen retrieval was performed using ab93684 (Tris/EDTA buffer, pH 9.0).

Immunohistochemistry (Formalin/PFA-fixed paraffin-embedded sections) - Anti-Oncostatin M/OSM antibody [EPR26065-14] - BSA and Azide free (AB307952)
  • IHC-P

Supplier Data

Immunohistochemistry (Formalin/PFA-fixed paraffin-embedded sections) - Anti-Oncostatin M/OSM antibody [EPR26065-14] - BSA and Azide free (AB307952)

This data was developed using ab307951, the same antibody clone in a different buffer formulation. Immunohistochemical analysis of paraffin-embedded Human spleen tissue labeling Oncostatin M/OSM with ab307951 at 1/100 (4.85 ug/ml) followed by a ready to use Goat Anti-Rabbit IgG H&L (HRP polymer) (ab214880). Positive staining on human spleen. The section was incubated with ab307951 at 4°C overnight. Counterstained with Hematoxylin. Secondary antibody only control : Secondary antibody is a ready to use Goat Anti-Rabbit IgG H&L (HRP polymer) (ab214880). Heat mediated antigen retrieval was performed using ab93684 (Tris/EDTA buffer, pH 9.0).

Immunohistochemistry (Formalin/PFA-fixed paraffin-embedded sections) - Anti-Oncostatin M/OSM antibody [EPR26065-14] - BSA and Azide free (AB307952)
  • IHC-P

Supplier Data

Immunohistochemistry (Formalin/PFA-fixed paraffin-embedded sections) - Anti-Oncostatin M/OSM antibody [EPR26065-14] - BSA and Azide free (AB307952)

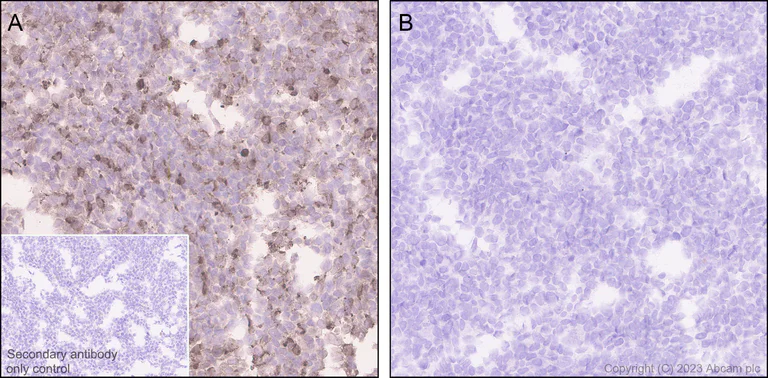
This data was developed using ab307951, the same antibody clone in a different buffer formulation. Immunohistochemical analysis of paraffin-embedded Panel A HEK-293T c tissue labeling Oncostatin M/OSM with ab307951 at 1/100 (4.85 ug/ml) followed by a ready to use Goat Anti-Rabbit IgG H&L (HRP polymer) (ab214880). Positive staining on (A) HEK-293T transfected with a human Oncostatin M/OSM expression vector, no staining on (B) HEK-293T transfected with an empty vector. The section was incubated with ab307951 at 4°C overnight. Counterstained with Hematoxylin. Secondary antibody only control : Secondary antibody is a ready to use Goat Anti-Rabbit IgG H&L (HRP polymer) (ab214880). Heat mediated antigen retrieval was performed using ab93684 (Tris/EDTA buffer, pH 9.0).

Key facts

Host species

Rabbit

Clonality

Monoclonal

Clone number

EPR26065-14

Isotype

IgG

Carrier free

Yes

Reacts with

Human

Applications

IHC-P

applications

Immunogen

The exact immunogen used to generate this antibody is proprietary information.

Reactivity data

{ "title": "Reactivity Data", "filters": { "stats": ["", "Species", "Dilution Info", "Notes"], "tabs": { "all-applications": {"fullname" : "All Applications", "shortname": "All Applications"}, "IHCP" : {"fullname" : "Immunohistochemistry (Formalin/PFA-fixed paraffin-embedded sections)", "shortname":"IHC-P"}, "WB" : {"fullname" : "Western blot", "shortname":"WB"}, "ICCIF" : {"fullname" : "Immunocytochemistry/ Immunofluorescence", "shortname":"ICC/IF"}, "FlowCytIntra" : {"fullname" : "Flow Cytometry (Intracellular)", "shortname":"Flow Cyt (Intra)"}, "IP" : {"fullname" : "Immunoprecipitation", "shortname":"IP"} }, "product-promise": { "all": "all", "testedAndGuaranteed": "tested", "guaranteed": "expected", "predicted": "predicted", "notRecommended": "not-recommended" } }, "values": { "Human": { "IHCP-species-checked": "testedAndGuaranteed", "IHCP-species-dilution-info": "", "IHCP-species-notes": "<p></p>", "WB-species-checked": "notRecommended", "WB-species-dilution-info": "", "WB-species-notes": "<p></p>", "ICCIF-species-checked": "notRecommended", "ICCIF-species-dilution-info": "", "ICCIF-species-notes": "<p></p>", "FlowCytIntra-species-checked": "notRecommended", "FlowCytIntra-species-dilution-info": "", "FlowCytIntra-species-notes": "<p></p>", "IP-species-checked": "notRecommended", "IP-species-dilution-info": "", "IP-species-notes": "<p></p>" }, "Mouse": { "IHCP-species-checked": "notRecommended", "IHCP-species-dilution-info": "", "IHCP-species-notes": "<p></p>", "WB-species-checked": "notRecommended", "WB-species-dilution-info": "", "WB-species-notes": "<p></p>", "ICCIF-species-checked": "notRecommended", "ICCIF-species-dilution-info": "", "ICCIF-species-notes": "", "FlowCytIntra-species-checked": "notRecommended", "FlowCytIntra-species-dilution-info": "", "FlowCytIntra-species-notes": "", "IP-species-checked": "notRecommended", "IP-species-dilution-info": "", "IP-species-notes": "" }, "Rat": { "IHCP-species-checked": "notRecommended", "IHCP-species-dilution-info": "", "IHCP-species-notes": "<p></p>", "WB-species-checked": "notRecommended", "WB-species-dilution-info": "", "WB-species-notes": "<p></p>", "ICCIF-species-checked": "notRecommended", "ICCIF-species-dilution-info": "", "ICCIF-species-notes": "", "FlowCytIntra-species-checked": "notRecommended", "FlowCytIntra-species-dilution-info": "", "FlowCytIntra-species-notes": "", "IP-species-checked": "notRecommended", "IP-species-dilution-info": "", "IP-species-notes": "" }, "Transfected cell line - Human": { "IHCP-species-checked": "testedAndGuaranteed", "IHCP-species-dilution-info": "", "IHCP-species-notes": "<p></p>", "WB-species-checked": "notRecommended", "WB-species-dilution-info": "", "WB-species-notes": "", "ICCIF-species-checked": "notRecommended", "ICCIF-species-dilution-info": "", "ICCIF-species-notes": "", "FlowCytIntra-species-checked": "notRecommended", "FlowCytIntra-species-dilution-info": "", "FlowCytIntra-species-notes": "", "IP-species-checked": "notRecommended", "IP-species-dilution-info": "", "IP-species-notes": "" } } }

Product details

Patented technology
Our RabMAb® technology is a patented hybridoma-based technology for making rabbit monoclonal antibodies. For details on our patents, please refer to RabMAb® patents.

What are the advantages of a recombinant monoclonal antibody?
This product is a recombinant monoclonal antibody, which offers several advantages including:

  • - High batch-to-batch consistency and reproducibility
  • - Improved sensitivity and specificity
  • - Long-term security of supply
  • - Animal-free batch production

For more information, read more on recombinant antibodies.

Conjugation ready
Our carrier-free antibodies are typically supplied in a PBS-only formulation, purified and free of BSA, sodium azide and glycerol. This conjugation-ready format is designed for use with fluorochromes, metal isotopes, oligonucleotides, and enzymes, which makes them ideal for antibody labelling, functional and cell-based assays, flow-based assays (e.g. mass cytometry) and Multiplex Imaging applications.

Use our conjugation kits for antibody conjugates that are ready-to-use in as little as 20 minutes with 1 minute hands-on-time and 100% antibody recovery: available for fluorescent dyes, HRP, biotin and gold.

Compatibility
This product is compatible with the Maxpar® Antibody Labeling Kit from Fluidigm, without the need for antibody preparation. Maxpar® is a trademark of Fluidigm Canada Inc.

Properties and storage information

Form
Liquid
Purification technique
Affinity purification Protein A
Storage buffer
pH: 7.2 - 7.4 Constituents: PBS
Shipped at conditions
Blue Ice
Appropriate short-term storage conditions
+4°C
Appropriate long-term storage conditions
+4°C

Supplementary information

This supplementary information is collated from multiple sources and compiled automatically.

Oncostatin M (OSM) also known as Oncostatin M protein or OSM protein is a cytokine with significant roles in inflammation and hematopoiesis. This protein weighs around 28 kDa and is expressed mainly in activated T cells monocytes and macrophages. It interacts with specific receptors on the cell surface to transmit signals that regulate cell growth and function. Oncostatin M is part of the interleukin-6 (IL-6) family contributing to various cellular processes.
Biological function summary

Oncostatin M modulates a range of cellular activities including cell proliferation differentiation and apoptosis. This cytokine affects diverse cell types such as fibroblasts endothelial cells and epithelial cells showing particular influence in processes like tissue remodeling and immune response. It acts as a monomer and does not need assembly into a larger complex to exert its function. Its ability to trigger gene expression differentiates it from other closely related cytokines.

Pathways

Oncostatin M involves itself in significant pathways like the JAK/STAT signaling pathway and the MAPK pathway. Through these pathways it promotes signal transduction essential for immune regulation and cellular response to external stimuli. OSM interacts with proteins like the gp130 receptor a common signaling component for cytokine receptors in its family and influences downstream effectors involved in these pathways.

Oncostatin M associates itself with inflammatory diseases such as rheumatoid arthritis and cardiovascular disorders. Its elevated levels in pathological conditions highlight its role in exacerbating inflammatory responses. In rheumatoid arthritis OSM promotes synovial inflammation while in cardiovascular diseases it may influence vascular remodeling. Connections to inflammatory proteins such as IL-6 further highlight its part in driving disease pathogenesis making it an intriguing target for therapeutic intervention.

Product protocols

For this product, it's our understanding that no specific protocols are required. You can visit:

Target data

Growth regulator. Inhibits the proliferation of a number of tumor cell lines. Stimulates proliferation of AIDS-KS cells. It regulates cytokine production, including IL-6, G-CSF and GM-CSF from endothelial cells. Uses both type I OSM receptor (heterodimers composed of LIFR and IL6ST) and type II OSM receptor (heterodimers composed of OSMR and IL6ST). Involved in the maturation of fetal hepatocytes, thereby promoting liver development and regeneration (By similarity).
See full target information OSM

Product promise

We are committed to supporting your work with high-quality reagents, and we're here for you every step of the way. In the unlikely event that one of our products does not perform as expected, you're protected by our Product Promise.
For full details, please see our Terms & Conditions

Please note: All products are 'FOR RESEARCH USE ONLY. NOT FOR USE IN DIAGNOSTIC OR THERAPEUTIC PROCEDURES'.

For licensing inquiries, please contact partnerships@abcam.com