JavaScript is disabled in your browser. Please enable JavaScript to view this website.
AB157457

Anti-OPA1 antibody [EPR11057(B)]

4

(5 Reviews)

|

(108 Publications)

Anti-OPA1 antibody [EPR11057(B)] (ab157457) is a rabbit monoclonal antibody detecting OPA1 in Western Blot, IHC-P, IHC-Fr. Suitable for Human, Mouse, Rat.

- Biophysical QC for unrivalled batch-batch consistency
- Over 60 publications

View Alternative Names

KIAA0567, OPA1, Optic atrophy protein 1

4 Images
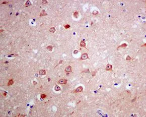
Immunohistochemistry (Formalin/PFA-fixed paraffin-embedded sections) - Anti-OPA1 antibody [EPR11057(B)] (AB157457)
  • IHC-P

Unknown

Immunohistochemistry (Formalin/PFA-fixed paraffin-embedded sections) - Anti-OPA1 antibody [EPR11057(B)] (AB157457)

Immunohistochemical analysis of Paraffin-embedded Human brain tissue labeling OPA1 with ab157457 at 1/250 dilution.

Perform heat mediated antigen retrieval before commencing with IHC staining protocol.

Immunohistochemistry (Formalin/PFA-fixed paraffin-embedded sections) - Anti-OPA1 antibody [EPR11057(B)] (AB157457)
  • IHC-P

Unknown

Immunohistochemistry (Formalin/PFA-fixed paraffin-embedded sections) - Anti-OPA1 antibody [EPR11057(B)] (AB157457)

Immunohistochemical analysis of Paraffin-embedded Human retina tissue labeling OPA1 with ab157457 at 1/250 dilution.

Perform heat mediated antigen retrieval before commencing with IHC staining protocol.

Immunohistochemistry (Frozen sections) - Anti-OPA1 antibody [EPR11057(B)] (AB157457)
  • IHC-Fr

Unknown

Immunohistochemistry (Frozen sections) - Anti-OPA1 antibody [EPR11057(B)] (AB157457)

Immunohistochemistry (Frozen sections) analysis of mouse retina tissue sections labeling OPA1 with Purified ab157457 at 1/250 (1.1 µg/ml).Heat mediated antigen retrieval using sodium citrate buffer (10mM citrate pH 6.0 + 0.05% Tween-20). Goat anti rabbit IgG (Alexa Fluor® 488, ab150077) was used as the secondary antibody. Negative control : PBS instead of the primary antibody. DAPI was used as a counterstain.

Western blot - Anti-OPA1 antibody [EPR11057(B)] (AB157457)
  • WB

Lab

Western blot - Anti-OPA1 antibody [EPR11057(B)] (AB157457)

In Western blot, Anti-GAPDH antibody [EPR16891] - Loading Control (ab181602) staining at 1/1000000 dilution.

All lanes:

Western blot - Anti-OPA1 antibody [EPR11057(B)] (ab157457) at 1/1000 dilution

Lane 1:

SH-SY5Y (human neuroblastoma epithelial cell) whole cell lysate at 20 µg

Lane 2:

MEF (mouse embryonic fibroblast) whole cell lysate at 20 µg

Lane 3:

Rat retina tissue lysate at 20 µg

Lane 4:

Human eyeball tissue lysate at 20 µg

Lane 5:

Mouse eyeball tissue lysate at 20 µg

Lane 6:

Mouse brain tissue lysate at 20 µg

Lane 7:

Rat brain tissue lysate at 20 µg

Secondary

All lanes:

Western blot - Goat Anti-Rabbit IgG H&L (HRP) (<a href='/en-us/products/secondary-antibodies/goat-rabbit-igg-h-l-hrp-ab97051'>ab97051</a>) at 1/20000 dilution

Observed band size: 80-100 kDa

false

Exposure time: 100s

  • Carrier free

    Anti-OPA1 antibody [EPR11057(B)] - BSA and Azide free

Key facts

Host species

Rabbit

Clonality

Monoclonal

Clone number

EPR11057(B)

Isotype

IgG

Carrier free

No

Reacts with

Mouse, Rat, Human

Applications

IHC-P, IHC-Fr, WB

applications

Immunogen

The exact immunogen used to generate this antibody is proprietary information.

Specificity

Recent lab testing showed that the antibody detects the band of interest at the proper molecular weight in several cell and tissue lysates. However, the antibody also detects a band at about 50kDa. We could not find in the literature any references on what this band could be. On our test, the 50kDa band detections decreased by decreasing the antibody concentration.

Reactivity data

{ "title": "Reactivity Data", "filters": { "stats": ["", "Species", "Dilution Info", "Notes"], "tabs": { "all-applications": {"fullname" : "All Applications", "shortname": "All Applications"}, "IHCP" : {"fullname" : "Immunohistochemistry (Formalin/PFA-fixed paraffin-embedded sections)", "shortname":"IHC-P"}, "IP" : {"fullname" : "Immunoprecipitation", "shortname":"IP"}, "WB" : {"fullname" : "Western blot", "shortname":"WB"}, "ICCIF" : {"fullname" : "Immunocytochemistry/ Immunofluorescence", "shortname":"ICC/IF"}, "IHCFr" : {"fullname" : "Immunohistochemistry (Frozen sections)", "shortname":"IHC-Fr"} }, "product-promise": { "all": "all", "testedAndGuaranteed": "tested", "guaranteed": "expected", "predicted": "predicted", "notRecommended": "not-recommended" } }, "values": { "Human": { "IHCP-species-checked": "testedAndGuaranteed", "IHCP-species-dilution-info": "1/250 - 1/500", "IHCP-species-notes": "<p></p> Perform heat-mediated antigen retrieval before commencing with IHC staining protocol.", "IP-species-checked": "notRecommended", "IP-species-dilution-info": "", "IP-species-notes": "<p></p>", "WB-species-checked": "testedAndGuaranteed", "WB-species-dilution-info": "1/1000 - 1/5000", "WB-species-notes": "<p></p>", "ICCIF-species-checked": "notRecommended", "ICCIF-species-dilution-info": "", "ICCIF-species-notes": "<p></p>", "IHCFr-species-checked": "guaranteed", "IHCFr-species-dilution-info": "", "IHCFr-species-notes": "" }, "Mouse": { "IHCP-species-checked": "guaranteed", "IHCP-species-dilution-info": "", "IHCP-species-notes": "", "IP-species-checked": "notRecommended", "IP-species-dilution-info": "", "IP-species-notes": "<p></p>", "WB-species-checked": "testedAndGuaranteed", "WB-species-dilution-info": "1/1000 - 1/5000", "WB-species-notes": "<p></p>", "ICCIF-species-checked": "notRecommended", "ICCIF-species-dilution-info": "", "ICCIF-species-notes": "<p></p>", "IHCFr-species-checked": "testedAndGuaranteed", "IHCFr-species-dilution-info": "1/250", "IHCFr-species-notes": "<p>Heat mediated antigen retrieval using sodium citrate buffer (10mM citrate pH 6.0 + 0.05% Tween-20)</p>" }, "Rat": { "IHCP-species-checked": "guaranteed", "IHCP-species-dilution-info": "", "IHCP-species-notes": "", "IP-species-checked": "notRecommended", "IP-species-dilution-info": "", "IP-species-notes": "", "WB-species-checked": "testedAndGuaranteed", "WB-species-dilution-info": "1/1000 - 1/5000", "WB-species-notes": "<p></p>", "ICCIF-species-checked": "notRecommended", "ICCIF-species-dilution-info": "", "ICCIF-species-notes": "", "IHCFr-species-checked": "guaranteed", "IHCFr-species-dilution-info": "", "IHCFr-species-notes": "" }, "Bat": { "IHCP-species-checked": "predicted", "IHCP-species-dilution-info": "", "IHCP-species-notes": "", "IP-species-checked": "notRecommended", "IP-species-dilution-info": "", "IP-species-notes": "", "WB-species-checked": "predicted", "WB-species-dilution-info": "", "WB-species-notes": "", "ICCIF-species-checked": "notRecommended", "ICCIF-species-dilution-info": "", "ICCIF-species-notes": "", "IHCFr-species-checked": "predicted", "IHCFr-species-dilution-info": "", "IHCFr-species-notes": "" }, "Chicken": { "IHCP-species-checked": "predicted", "IHCP-species-dilution-info": "", "IHCP-species-notes": "", "IP-species-checked": "notRecommended", "IP-species-dilution-info": "", "IP-species-notes": "", "WB-species-checked": "predicted", "WB-species-dilution-info": "", "WB-species-notes": "", "ICCIF-species-checked": "notRecommended", "ICCIF-species-dilution-info": "", "ICCIF-species-notes": "", "IHCFr-species-checked": "predicted", "IHCFr-species-dilution-info": "", "IHCFr-species-notes": "" }, "Chinese hamster": { "IHCP-species-checked": "predicted", "IHCP-species-dilution-info": "", "IHCP-species-notes": "", "IP-species-checked": "notRecommended", "IP-species-dilution-info": "", "IP-species-notes": "", "WB-species-checked": "predicted", "WB-species-dilution-info": "", "WB-species-notes": "", "ICCIF-species-checked": "notRecommended", "ICCIF-species-dilution-info": "", "ICCIF-species-notes": "", "IHCFr-species-checked": "predicted", "IHCFr-species-dilution-info": "", "IHCFr-species-notes": "" }, "Common marmoset": { "IHCP-species-checked": "predicted", "IHCP-species-dilution-info": "", "IHCP-species-notes": "", "IP-species-checked": "notRecommended", "IP-species-dilution-info": "", "IP-species-notes": "", "WB-species-checked": "predicted", "WB-species-dilution-info": "", "WB-species-notes": "", "ICCIF-species-checked": "notRecommended", "ICCIF-species-dilution-info": "", "ICCIF-species-notes": "", "IHCFr-species-checked": "predicted", "IHCFr-species-dilution-info": "", "IHCFr-species-notes": "" }, "Guinea pig": { "IHCP-species-checked": "predicted", "IHCP-species-dilution-info": "", "IHCP-species-notes": "", "IP-species-checked": "notRecommended", "IP-species-dilution-info": "", "IP-species-notes": "", "WB-species-checked": "predicted", "WB-species-dilution-info": "", "WB-species-notes": "", "ICCIF-species-checked": "notRecommended", "ICCIF-species-dilution-info": "", "ICCIF-species-notes": "", "IHCFr-species-checked": "predicted", "IHCFr-species-dilution-info": "", "IHCFr-species-notes": "" }, "Horse": { "IHCP-species-checked": "predicted", "IHCP-species-dilution-info": "", "IHCP-species-notes": "", "IP-species-checked": "notRecommended", "IP-species-dilution-info": "", "IP-species-notes": "", "WB-species-checked": "predicted", "WB-species-dilution-info": "", "WB-species-notes": "", "ICCIF-species-checked": "notRecommended", "ICCIF-species-dilution-info": "", "ICCIF-species-notes": "", "IHCFr-species-checked": "predicted", "IHCFr-species-dilution-info": "", "IHCFr-species-notes": "" }, "Pig": { "IHCP-species-checked": "predicted", "IHCP-species-dilution-info": "", "IHCP-species-notes": "", "IP-species-checked": "notRecommended", "IP-species-dilution-info": "", "IP-species-notes": "", "WB-species-checked": "predicted", "WB-species-dilution-info": "", "WB-species-notes": "", "ICCIF-species-checked": "notRecommended", "ICCIF-species-dilution-info": "", "ICCIF-species-notes": "", "IHCFr-species-checked": "predicted", "IHCFr-species-dilution-info": "", "IHCFr-species-notes": "" }, "Primates": { "IHCP-species-checked": "predicted", "IHCP-species-dilution-info": "", "IHCP-species-notes": "", "IP-species-checked": "notRecommended", "IP-species-dilution-info": "", "IP-species-notes": "", "WB-species-checked": "predicted", "WB-species-dilution-info": "", "WB-species-notes": "", "ICCIF-species-checked": "notRecommended", "ICCIF-species-dilution-info": "", "ICCIF-species-notes": "", "IHCFr-species-checked": "predicted", "IHCFr-species-dilution-info": "", "IHCFr-species-notes": "" }, "Rabbit": { "IHCP-species-checked": "predicted", "IHCP-species-dilution-info": "", "IHCP-species-notes": "", "IP-species-checked": "notRecommended", "IP-species-dilution-info": "", "IP-species-notes": "", "WB-species-checked": "predicted", "WB-species-dilution-info": "", "WB-species-notes": "", "ICCIF-species-checked": "notRecommended", "ICCIF-species-dilution-info": "", "ICCIF-species-notes": "", "IHCFr-species-checked": "predicted", "IHCFr-species-dilution-info": "", "IHCFr-species-notes": "" }, "Sheep": { "IHCP-species-checked": "predicted", "IHCP-species-dilution-info": "", "IHCP-species-notes": "", "IP-species-checked": "notRecommended", "IP-species-dilution-info": "", "IP-species-notes": "", "WB-species-checked": "predicted", "WB-species-dilution-info": "", "WB-species-notes": "", "ICCIF-species-checked": "notRecommended", "ICCIF-species-dilution-info": "", "ICCIF-species-notes": "", "IHCFr-species-checked": "predicted", "IHCFr-species-dilution-info": "", "IHCFr-species-notes": "" } } }

Product details

What is this antibody validated in?
Anti-OPA1 antibody [EPR11057(B)] (ab157457) is a rabbit recombinant monoclonal antibody and is validated for use in Western Blot (WB), Immunohistochemistry (IHC-P), Immunohistochemistry (IHC-Fr) in Human, Mouse, Rat samples.

What is the molecular weight of OPA1?
Anti-OPA1 [EPR11057(B)] (ab157457) specifically detects a band for OPA1 (UniProt: O60313) at a molecular weight of 112kDa.

Trusted by the scientific community
Anti-OPA1 [EPR11057(B)] (ab157457) was first used in a scientific publication in 2013 and has been cited over 60 times in peer-reviewed journals.

Reviewed by scientists
Anti-OPA1 [EPR11057(B)] (ab157457) has over 5 independent reviews from customers.

Trial sizes available!
Test your antibody or perform pre-screening before committing to a larger quantity. Sold in 10µl. Discover our selection of trial-size antibodies.

Other related products
We have a range of other formats of antibody clone [EPR11057(B)] also available for your convenience: ab157457, Carrier free - ab240143

Patented technology
Our RabMAb® technology is a patented hybridoma-based technology for making rabbit monoclonal antibodies. For details on our patents, please refer to RabMAb® patents.

What are the advantages of a recombinant monoclonal antibody?
This product is a recombinant monoclonal antibody, which offers several advantages including:

  • - High batch-to-batch consistency and reproducibility
  • - Improved sensitivity and specificity
  • - Long-term security of supply
  • - Animal-free batch production

For more information, read more on recombinant antibodies.

Properties and storage information

Form
Liquid
Purification technique
Affinity purification Protein A
Storage buffer
pH: 7.2 - 7.4 Preservative: 0.01% Sodium azide Constituents: PBS, 50% Tissue culture supernatant, 40% Glycerol (glycerin, glycerine), 0.05% BSA
Shipped at conditions
Blue Ice
Appropriate short-term storage conditions
+4°C
Appropriate long-term storage conditions
-20°C

Supplementary information

This supplementary information is collated from multiple sources and compiled automatically.

OPA1 also known as optic atrophy 1 is a dynamin-related GTPase protein important for mitochondrial fusion. OPA1 has a molecular weight of about 120 kDa and is present mostly in the inner mitochondrial membrane. It promotes the maintenance of mitochondrial DNA cristae structures and the modulation of mitochondrial dynamics. Expression of OPA1 occurs in tissues with high energy demands including the retina brain and muscles. Detection of the OPA1 protein can be done using techniques such as Western blot and it reveals different isoforms generated through alternative splicing.
Biological function summary

Mitochondrial dynamics involving OPA1 ensure energy production efficiency and cell health. OPA1 plays a role in mitochondrial fusion by forming a complex with mitofusins MFN1 and MFN2. This complex maintains the integrity of mitochondrial networks facilitates proper respiratory function and prevents apoptosis by regulating cristae junctions. It also participates in the stress response particularly in the preservation of the mitochondrial structure and function under challenging conditions.

Pathways

OPA1 integrates into the mitochondrial fusion and fission pathways important for cellular energy metabolism. It works alongside proteins like DRP1 in balancing these processes. The involvement in these pathways is essential for cellular adaptation to metabolic needs and stress. OPA1 also has a relationship with the PINK1/Parkin pathway where its regulation affects mitophagy a process of clearing damaged mitochondria. These interactions highlight the importance of OPA1 in maintaining cellular and mitochondrial homeostasis.

Mutations in OPA1 have been linked to autosomal dominant optic atrophy and a range of neurodegenerative conditions. The protein's dysfunction leads to the degeneration of the retinal ganglion cells and their axons resulting in vision loss. OPA1 also shows connections to disorders like Charcot-Marie-Tooth disease where its interaction with other proteins like MFN2 plays a role. Deficiency or dysfunction of OPA1 disrupts mitochondrial dynamics leading to cellular energy deficits and contributing to disease pathophysiology.

Product protocols

For this product, it's our understanding that no specific protocols are required. You can visit:

Target data

Dynamin-related GTPase that is essential for normal mitochondrial morphology by mediating fusion of the mitochondrial inner membranes, regulating cristae morphology and maintaining respiratory chain function (PubMed : 16778770, PubMed : 17709429, PubMed : 20185555, PubMed : 24616225, PubMed : 28628083, PubMed : 28746876, PubMed : 31922487, PubMed : 32228866, PubMed : 32567732, PubMed : 33130824, PubMed : 33237841, PubMed : 37612504, PubMed : 37612506). Exists in two forms : the transmembrane, long form (Dynamin-like GTPase OPA1, long form; L-OPA1), which is tethered to the inner mitochondrial membrane, and the short soluble form (Dynamin-like GTPase OPA1, short form; S-OPA1), which results from proteolytic cleavage and localizes in the intermembrane space (PubMed : 31922487, PubMed : 32228866, PubMed : 33237841, PubMed : 37612504, PubMed : 37612506). Both forms (L-OPA1 and S-OPA1) cooperate to catalyze the fusion of the mitochondrial inner membrane (PubMed : 31922487, PubMed : 37612504, PubMed : 37612506). The equilibrium between L-OPA1 and S-OPA1 is essential : excess levels of S-OPA1, produced by cleavage by OMA1 following loss of mitochondrial membrane potential, lead to an impaired equilibrium between L-OPA1 and S-OPA1, inhibiting mitochondrial fusion (PubMed : 20038677, PubMed : 31922487). The balance between L-OPA1 and S-OPA1 also influences cristae shape and morphology (By similarity). Involved in remodeling cristae and the release of cytochrome c during apoptosis (By similarity). Proteolytic processing by PARL in response to intrinsic apoptotic signals may lead to disassembly of OPA1 oligomers and release of the caspase activator cytochrome C (CYCS) into the mitochondrial intermembrane space (By similarity). Acts as a regulator of T-helper Th17 cells, which are characterized by cells with fused mitochondria with tight cristae, by mediating mitochondrial membrane remodeling : OPA1 is required for interleukin-17 (IL-17) production (By similarity). Its role in mitochondrial morphology is required for mitochondrial genome maintenance (PubMed : 18158317, PubMed : 20974897).. Dynamin-like GTPase OPA1, long form. Constitutes the transmembrane long form (L-OPA1) that plays a central role in mitochondrial inner membrane fusion and cristae morphology (PubMed : 31922487, PubMed : 32228866, PubMed : 37612504, PubMed : 37612506). L-OPA1 and the soluble short form (S-OPA1) form higher-order helical assemblies that coordinate the fusion of mitochondrial inner membranes (PubMed : 31922487, PubMed : 37612504, PubMed : 37612506). Inner membrane-anchored L-OPA1 molecules initiate membrane remodeling by recruiting soluble S-OPA1 to rapidly polymerize into a flexible cylindrical scaffold encaging the mitochondrial inner membrane (PubMed : 37612504, PubMed : 37612506). Once at the membrane surface, the formation of S-OPA1 helices induce bilayer curvature (PubMed : 37612504, PubMed : 37612506). OPA1 dimerization through the paddle region, which inserts into cardiolipin-containing membrane, promotes GTP hydrolysis and the helical assembly of a flexible OPA1 lattice on the membrane, which drives membrane curvature and mitochondrial fusion (PubMed : 28628083, PubMed : 37612504, PubMed : 37612506). Plays a role in the maintenance and remodeling of mitochondrial cristae, some invaginations of the mitochondrial inner membrane that provide an increase in the surface area (PubMed : 32567732, PubMed : 33130824). Probably acts by forming helical filaments at the inside of inner membrane tubes with the shape and dimensions of crista junctions (By similarity). The equilibrium between L-OPA1 and S-OPA1 influences cristae shape and morphology : increased L-OPA1 levels promote cristae stacking and elongated mitochondria, while increased S-OPA1 levels correlated with irregular cristae packing and round mitochondria shape (By similarity).. Dynamin-like GTPase OPA1, short form. Constitutes the soluble short form (S-OPA1) generated by cleavage by OMA1, which plays a central role in mitochondrial inner membrane fusion and cristae morphology (PubMed : 31922487, PubMed : 32228866, PubMed : 32245890, PubMed : 37612504, PubMed : 37612506). The transmembrane long form (L-OPA1) and the S-OPA1 form higher-order helical assemblies that coordinate the fusion of mitochondrial inner membranes (PubMed : 31922487, PubMed : 32228866, PubMed : 37612504, PubMed : 37612506). Inner membrane-anchored L-OPA1 molecules initiate membrane remodeling by recruiting soluble S-OPA1 to rapidly polymerize into a flexible cylindrical scaffold encaging the mitochondrial inner membrane (PubMed : 32228866, PubMed : 37612504, PubMed : 37612506). Once at the membrane surface, the formation of S-OPA1 helices induce bilayer curvature (PubMed : 37612504, PubMed : 37612506). OPA1 dimerization through the paddle region, which inserts into cardiolipin-containing membrane, promotes GTP hydrolysis and the helical assembly of a flexible OPA1 lattice on the membrane, which drives membrane curvature and mitochondrial fusion (PubMed : 28628083, PubMed : 37612504, PubMed : 37612506). Excess levels of S-OPA1 produced by cleavage by OMA1 following stress conditions that induce loss of mitochondrial membrane potential, lead to an impaired equilibrium between L-OPA1 and S-OPA1, thereby inhibiting mitochondrial fusion (PubMed : 20038677). Involved in mitochondrial safeguard in response to transient mitochondrial membrane depolarization by mediating flickering : cleavage by OMA1 leads to excess production of S-OPA1, preventing mitochondrial hyperfusion (By similarity). Plays a role in the maintenance and remodeling of mitochondrial cristae, some invaginations of the mitochondrial inner membrane that provide an increase in the surface area (PubMed : 32245890). Probably acts by forming helical filaments at the inside of inner membrane tubes with the shape and dimensions of crista junctions (By similarity). The equilibrium between L-OPA1 and S-OPA1 influences cristae shape and morphology : increased L-OPA1 levels promote cristae stacking and elongated mitochondria, while increased S-OPA1 levels correlated with irregular cristae packing and round mitochondria shape (By similarity).. Isoform 1. Coexpression of isoform 1 with shorter alternative products is required for optimal activity in promoting mitochondrial fusion.. Isoform 4. Isoforms that contain the alternative exon 4b are required for mitochondrial genome maintenance, possibly by anchoring the mitochondrial nucleoids to the inner mitochondrial membrane.. Isoform 5. Isoforms that contain the alternative exon 4b are required for mitochondrial genome maintenance, possibly by anchoring the mitochondrial nucleoids to the inner mitochondrial membrane.
See full target information OPA1

Publications (108)

Recent publications for all applications. Explore the full list and refine your search

iScience 28:113449 PubMed41050429

2025

Exploring multiorgan mitochondrial dysfunction in the switch toward progressive MASLD in AMLN mice.

Applications

Unspecified application

Species

Unspecified reactive species

Marica Meroni,Erika Paolini,Miriam Longo,Michele Battistin,Daniele Dondossola,Michela Ripolone,Laura Napoli,Ettore Mosca,Stefania Corti,Paola Dongiovanni

Metabolic brain disease 40:274 PubMed40991132

2025

Portacaval anastomosis promotes fragmentation of mitochondrial network in the cerebellum of male rats.

Applications

Unspecified application

Species

Unspecified reactive species

Mayra López-Cervantes,Andrés Quintanar-Stephano,Rogelio Hérnandez-Pando,Raúl Aguilar-Roblero,Jorge Larriva-Sahd,Olivia Vázquez-Martínez,Gema Martínez-Cabrera,Mauricio Díaz-Muñoz

Journal of cell communication and signaling 19:e70044 PubMed40917114

2025

Trans-Coumaryl acetate mediates GRK5/NF-κB/Nrf2 signaling axis to ameliorate septic acute kidney injury.

Applications

Unspecified application

Species

Unspecified reactive species

Jie Liu,Yugang Deng,Kunyang Lei,Yaqi Li,Siwei Ma

Nature communications 16:7540 PubMed40813772

2025

Boosting energy metabolism and biosynthesis in diverse organisms by a common bacterial salvage lipoylation protein.

Applications

Unspecified application

Species

Unspecified reactive species

Runqing Yang,Yingying Wang,Minghua Kong,Zhijuan Hu,Zhe Zhang,Kun Shen,Jiali Meng,An-Ping Zeng

Nature communications 16:5996 PubMed40595596

2025

The loss of OPA1 accelerates intervertebral disc degeneration and osteoarthritis in aged mice.

Applications

Unspecified application

Species

Unspecified reactive species

Vedavathi Madhu,Miriam Hernandaz-Meadows,Ashley Coleman,Kimheak Sao,Kameron Inguito,Owen Haslam,Paige K Boneski,Hiromi Sesaki,Ruteja A Barve,John A Collins,Makarand V Risbud

Journal of the American Heart Association 14:e039411 PubMed40314367

2025

Stroke in Pregnancy Brings Epigenetic Changes in Correlation with Affected Mitochondrial Dynamics and Inflammasome Mediated Apoptosis in Rodents.

Applications

Unspecified application

Species

Unspecified reactive species

Aishika Datta,Dipali Rahane,Gangadhar Bhurle,Soumya Akundi,Ushmita Mukherjee,Akshada Dubey,Anirban Barik,Gautam Karmarkar,Nikita Malik,Bijoyani Ghosh,Nikita Rana,Anupom Borah,Pallab Bhattacharya

Drug design, development and therapy 19:2433-2452 PubMed40190807

2025

Design, Synthesis, and Biological Evaluation of Novel Hydroxytyrosol Derivatives as Protectors for Vascular Endothelium Against Lipid Overload.

Applications

Unspecified application

Species

Unspecified reactive species

Xi-Xi Hou,Shuang Wang,Xiao-Xia Ma,Ying Wen,Zhi-Jun Li,Xu-Yun Liu,Xing Zhang,Yang Zhang,Xiang-Yang Qin

Diabetes, metabolic syndrome and obesity : targets and therapy 18:541-554 PubMed39995822

2025

The Role of Placental MFF-Mediated Mitochondrial Fission in Gestational Diabetes Mellitus.

Applications

Unspecified application

Species

Unspecified reactive species

Lijie Wei,Chenyun Fang,Yi Jiang,Huiting Zhang,Peng Gao,Xuan Zhou,Shenglan Zhu,Yuanyuan Du,Rui Su,Lili Guo,Mengzhou He,Shaoshuai Wang,Ling Feng,Jun Yu

Natural products and bioprospecting 15:11 PubMed39777624

2025

Metabolomic and transcriptomic analyses revealed potential mechanisms of Anchusa italica Retz. in alleviating cerebral ischemia-reperfusion injury via Wnt/β-catenin pathway modulation.

Applications

Unspecified application

Species

Unspecified reactive species

Wenta Tan,Shuo Fu,Yufei Wang,Bojun Hu,Guiquan Ding,Li Zhang,Wen Zhang,Guanhua Du,Junke Song

Frontiers in pharmacology 15:1491315 PubMed39726785

2024

JiangyaTongluo decoction ameliorates tubulointerstitial fibrosis via regulating the SIRT1/PGC-1α/mitophagy axis in hypertensive nephropathy.

Applications

Unspecified application

Species

Unspecified reactive species

Yun Zhao,Qi Jia,Gaimei Hao,Lin Han,Yushan Gao,Xiaoyu Zhang,Ziming Yan,Boyang Li,Yiping Wu,Boya Zhang,Yubo Li,Jianguo Qin
View all publications

Product promise

We are committed to supporting your work with high-quality reagents, and we're here for you every step of the way. In the unlikely event that one of our products does not perform as expected, you're protected by our Product Promise.
For full details, please see our Terms & Conditions

Please note: All products are 'FOR RESEARCH USE ONLY. NOT FOR USE IN DIAGNOSTIC OR THERAPEUTIC PROCEDURES'.

For licensing inquiries, please contact partnerships@abcam.com