JavaScript is disabled in your browser. Please enable JavaScript to view this website.
AB243825

Anti-OPA1L antibody

0

(1 Review)

|

(1 Publication)

Rabbit Polyclonal OPAL1 antibody. Suitable for IHC-P, WB, ICC/IF and reacts with Human samples. Cited in 1 publication. Immunogen corresponding to Recombinant Fragment Protein within Human WBP1L aa 200 to C-terminus.

View Alternative Names

C10orf26, OPA1L, WBP1L, WW domain binding protein 1-like, Outcome predictor in acute leukemia 1

3 Images
Immunocytochemistry/ Immunofluorescence - Anti-OPA1L antibody (AB243825)
  • ICC/IF

Supplier Data

Immunocytochemistry/ Immunofluorescence - Anti-OPA1L antibody (AB243825)

PFA fixed, Triton X-100 permeabilized U-2 OS (human bone osteosarcoma epithelial cell line) cells labeling OPA1L using ab243825 at 4 μg/ml (green) in ICC/IF.

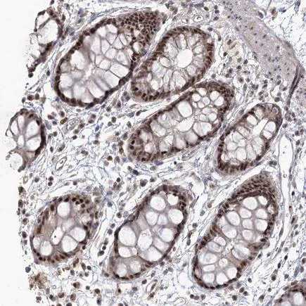
Immunohistochemistry (Formalin/PFA-fixed paraffin-embedded sections) - Anti-OPA1L antibody (AB243825)
  • IHC-P

Supplier Data

Immunohistochemistry (Formalin/PFA-fixed paraffin-embedded sections) - Anti-OPA1L antibody (AB243825)

Formalin-fixed, paraffin-embedded human rectum tissue stained for OPA1L with ab243825 at 1/50 dilution in immunohistochemical analysis.

Western blot - Anti-OPA1L antibody (AB243825)
  • WB

Supplier Data

Western blot - Anti-OPA1L antibody (AB243825)

All lanes:

Western blot - Anti-OPA1L antibody (ab243825) at 0.4 µg/mL

Lane 1:

Vector only transfected HEK-293T (Human epithelial cell line from embryonic kidney transformed with large T antigen) cell lysate

Lane 2:

OPA1L overexpression HEK-293T cell lysate

Predicted band size: 38 kDa

false

Key facts

Host species

Rabbit

Clonality

Polyclonal

Isotype

IgG

Carrier free

No

Reacts with

Human

Applications

IHC-P, WB, ICC/IF

applications

Immunogen

Recombinant Fragment Protein within Human WBP1L aa 200 to C-terminus. The exact immunogen used to generate this antibody is proprietary information.

Q9NX94

Reactivity data

{ "title": "Reactivity Data", "filters": { "stats": ["", "Species", "Dilution Info", "Notes"], "tabs": { "all-applications": {"fullname" : "All Applications", "shortname": "All Applications"}, "IHCP" : {"fullname" : "Immunohistochemistry (Formalin/PFA-fixed paraffin-embedded sections)", "shortname":"IHC-P"}, "WB" : {"fullname" : "Western blot", "shortname":"WB"}, "ICCIF" : {"fullname" : "Immunocytochemistry/ Immunofluorescence", "shortname":"ICC/IF"} }, "product-promise": { "all": "all", "testedAndGuaranteed": "tested", "guaranteed": "expected", "predicted": "predicted", "notRecommended": "not-recommended" } }, "values": { "Human": { "IHCP-species-checked": "testedAndGuaranteed", "IHCP-species-dilution-info": "1/50 - 1/200", "IHCP-species-notes": "<p></p> Perform heat-mediated antigen retrieval with citrate buffer pH 6 before commencing with IHC staining protocol.", "WB-species-checked": "testedAndGuaranteed", "WB-species-dilution-info": "0.04-0.4 µg/mL", "WB-species-notes": "<p></p>", "ICCIF-species-checked": "testedAndGuaranteed", "ICCIF-species-dilution-info": "0.25-2 µg/mL", "ICCIF-species-notes": "<p>Fixation/Permeabilization: PFA/Triton X-100.</p>" }, "Mouse": { "IHCP-species-checked": "predicted", "IHCP-species-dilution-info": "", "IHCP-species-notes": "", "WB-species-checked": "predicted", "WB-species-dilution-info": "", "WB-species-notes": "", "ICCIF-species-checked": "predicted", "ICCIF-species-dilution-info": "", "ICCIF-species-notes": "" }, "Rat": { "IHCP-species-checked": "predicted", "IHCP-species-dilution-info": "", "IHCP-species-notes": "", "WB-species-checked": "predicted", "WB-species-dilution-info": "", "WB-species-notes": "", "ICCIF-species-checked": "predicted", "ICCIF-species-dilution-info": "", "ICCIF-species-notes": "" } } }

Properties and storage information

Form
Liquid
Purification technique
Affinity purification Immunogen
Storage buffer
pH: 7.2 Preservative: 0.02% Sodium azide Constituents: PBS, 40% Glycerol (glycerin, glycerine)
Shipped at conditions
Blue Ice
Appropriate short-term storage duration
1-2 weeks
Appropriate short-term storage conditions
+4°C
Appropriate long-term storage conditions
-20°C
Aliquoting information
Upon delivery aliquot
Storage information
Avoid freeze / thaw cycle

Supplementary information

This supplementary information is collated from multiple sources and compiled automatically.

OPAL1 also known as "Out at first homolog" 1 is a protein involved in cellular signaling. It has an approximate mass of 83 kDa. OPAL1 expression primarily occurs in hematopoietic tissues including bone marrow as well as in some cancer cell lines. The protein functions as a regulator in cellular communication playing a critical role in signal transduction pathways.
Biological function summary

OPAL1 contributes to processes such as hematopoietic cell differentiation and proliferation. It forms part of a protein complex that influences blood cell development indicating its importance in maintaining healthy blood cell populations. Though detailed mechanistic insights remain limited its association with signaling complexes suggests involvement in modulating gene expression and cell fate decisions.

Pathways

OPAL1 plays roles in cellular signaling pathways notably the JAK-STAT pathway where it interacts with other key molecules like STAT5. This pathway regulates many biological functions including immune response and cell growth. Additionally OPAL1 involvement in MAPK signaling highlights its relevance in cell proliferation and survival processes linking it with other critical proteins like ERK1/2.

OPAL1 has a notable connection with blood-related cancers like acute myeloid leukemia (AML) and chronic myeloid leukemia (CML). Alterations in OPAL1 expression or function can disrupt normal signaling leading to uncontrolled cell growth. OPAL1's interaction with proteins such as BCR-ABL in CML emphasizes its role in oncogenic pathways and highlights its potential as a therapeutic target in these diseases.

Product protocols

For this product, it's our understanding that no specific protocols are required. You can visit:

Publications (1)

Recent publications for all applications. Explore the full list and refine your search

Journal of molecular histology 56:144 PubMed40285932

2025

Identification of the oncogenic role of centromere protein M in non-small cell lung cancer via CDC20/MYBL2/Wnt signaling pathways.

Applications

Unspecified application

Species

Unspecified reactive species

Ling Wu,Jun Li,Haoyu Wang,Xu Chang,Qinglong Kong
View all publications

Product promise

We are committed to supporting your work with high-quality reagents, and we're here for you every step of the way. In the unlikely event that one of our products does not perform as expected, you're protected by our Product Promise.
For full details, please see our Terms & Conditions

Please note: All products are 'FOR RESEARCH USE ONLY. NOT FOR USE IN DIAGNOSTIC OR THERAPEUTIC PROCEDURES'.

For licensing inquiries, please contact partnerships@abcam.com