JavaScript is disabled in your browser. Please enable JavaScript to view this website.
AB238143

Anti-OPCML antibody [EPR22947-46]

Be the first to review this product! Submit a review

|

(1 Publication)

Rabbit Recombinant Monoclonal OPCML antibody. Suitable for WB, IHC-P and reacts with Mouse, Rat, Human samples. Cited in 1 publication.

View Alternative Names

IGLON1, OBCAM, OPCML, Opioid-binding protein/cell adhesion molecule, Opioid-binding cell adhesion molecule, IgLON family member 1

5 Images
Immunohistochemistry (Formalin/PFA-fixed paraffin-embedded sections) - Anti-OPCML antibody [EPR22947-46] (AB238143)
  • IHC-P

Unknown

Immunohistochemistry (Formalin/PFA-fixed paraffin-embedded sections) - Anti-OPCML antibody [EPR22947-46] (AB238143)

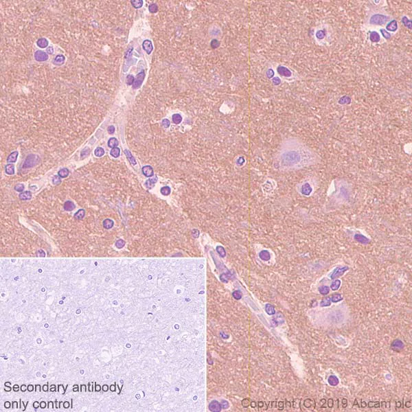
Immunohistochemical analysis of paraffin-embedded Human cerebral cortex tissue labeling OPCML with ab238143 at 1/1000 dilution (0.562 ug/ml) followed by a ready to use Rabbit specific IHC polymer detection kit HRP/DAB (ab209101). Cytoplasmic staining on human cerebral cortex is observed. The section was incubated with ab238143 for 10 mins at RT. The immunostaining staining was performed on a Leica Biosystems BOND® RX instrument Counterstained with Hematoxylin.

Secondary antibody only control : Secondary antibody is a ready to use Rabbit specific IHC polymer detection kit HRP/DAB (ab209101).

Heat mediated antigen retrieval with Tris-EDTA buffer (pH 9.0, epitope retrieval solution 2) for 20 mins.

Immunohistochemistry (Formalin/PFA-fixed paraffin-embedded sections) - Anti-OPCML antibody [EPR22947-46] (AB238143)
  • IHC-P

Unknown

Immunohistochemistry (Formalin/PFA-fixed paraffin-embedded sections) - Anti-OPCML antibody [EPR22947-46] (AB238143)

Immunohistochemical analysis of paraffin-embedded Mouse hippocampus tissue labeling OPCML with ab238143 at 1/1000 dilution (0.562 ug/ml) followed by a ready to use Rabbit specific IHC polymer detection kit HRP/DAB (ab209101). Cytoplasmic staining in mouse hippocampus. The section was incubated with ab238143 for 10 mins at RT. The immunostaining staining was performed on a Leica Biosystems BOND® RX instrument Counterstained with Hematoxylin.

Secondary antibody only control/ Secondary antibody is a ready to use Rabbit specific IHC polymer detection kit HRP/DAB (ab209101).

Heat mediated antigen retrieval with Tris-EDTA buffer (pH 9.0, epitope retrieval solution 2) for 20 mins.

Immunohistochemistry (Formalin/PFA-fixed paraffin-embedded sections) - Anti-OPCML antibody [EPR22947-46] (AB238143)
  • IHC-P

Unknown

Immunohistochemistry (Formalin/PFA-fixed paraffin-embedded sections) - Anti-OPCML antibody [EPR22947-46] (AB238143)

Immunohistochemical analysis of paraffin-embedded Rat cerebral cortex tissue labeling OPCML with ab238143 at 1/1000 dilution (0.562 ug/ml) followed by a ready to use Rabbit specific IHC polymer detection kit HRP/DAB (ab209101). Cytoplasmic staining on rat cerebral cortex (PMID : 10526147) is observed. The section was incubated with ab238143 for 10 mins at RT. The immunostaining staining was performed on a Leica Biosystems BOND® RX instrument Counterstained with Hematoxylin.

Secondary antibody only control : Secondary antibody is a ready to use Rabbit specific IHC polymer detection kit HRP/DAB (ab209101).

Heat mediated antigen retrieval with Tris-EDTA buffer (pH 9.0, epitope retrieval solution 2) for 20 mins.

Western blot - Anti-OPCML antibody [EPR22947-46] (AB238143)
  • WB

Unknown

Western blot - Anti-OPCML antibody [EPR22947-46] (AB238143)

Blocking and dilution buffer : 5% NFDM/TBST.

Expsure times : 92 seconds.

This blot was developed using a higher sensitivity ECL substrate.

OPCML is glycosylated protein, the molecular weight observed is consistent with what has been described in the literature (PMID : 25538237).

Negative control : Human thymus (PMID : 12819783).

All lanes:

Western blot - Anti-OPCML antibody [EPR22947-46] (ab238143) at 1/1000 dilution

Lane 1:

Human cerebellum tissue lysate at 20 µg

Lane 2:

Human cerebellum treated with PNGase F tissue lysate at 20 µg

Lane 3:

Human brain tissue lysate at 20 µg

Lane 4:

Human thymus tissue lysate at 20 µg

Secondary

All lanes:

Western blot - VeriBlot for IP Detection Reagent (HRP) (<a href='/en-us/products/reagents/veriblot-for-ip-detection-reagent-hrp-ab131366'>ab131366</a>) at 1/500 dilution

Predicted band size: 38 kDa

Observed band size: 38 kDa,50 kDa

false

Western blot - Anti-OPCML antibody [EPR22947-46] (AB238143)
  • WB

Unknown

Western blot - Anti-OPCML antibody [EPR22947-46] (AB238143)

Blocking and dilution buffer : 5% NFDM/TBST.

Exposure times.

Lane 1 : 3 minutes
Lane 2 : 59 seconds

This blot was developed using a higher sensitivity ECL substrate.

All lanes:

Western blot - Anti-OPCML antibody [EPR22947-46] (ab238143) at 1/1000 dilution

Lane 1:

Rat brain tissue lysate at 20 µg

Lane 2:

Mouse brain tissue lysate at 20 µg

Secondary

All lanes:

Western blot - Goat Anti-Rabbit IgG H&L (HRP) (<a href='/en-us/products/secondary-antibodies/goat-rabbit-igg-h-l-hrp-ab97051'>ab97051</a>) at 1/50000 dilution

Predicted band size: 38 kDa

Observed band size: 50 kDa

false

  • Carrier free

    Anti-OPCML antibody [EPR22947-46] - BSA and Azide free

Key facts

Host species

Rabbit

Clonality

Monoclonal

Clone number

EPR22947-46

Isotype

IgG

Carrier free

No

Reacts with

Mouse, Rat, Human

Applications

WB, IHC-P

applications

Immunogen

The exact immunogen used to generate this antibody is proprietary information.

Reactivity data

{ "title": "Reactivity Data", "filters": { "stats": ["", "Species", "Dilution Info", "Notes"], "tabs": { "all-applications": {"fullname" : "All Applications", "shortname": "All Applications"}, "IP" : {"fullname" : "Immunoprecipitation", "shortname":"IP"}, "FlowCyt" : {"fullname" : "Flow Cytometry", "shortname":"Flow Cyt"}, "WB" : {"fullname" : "Western blot", "shortname":"WB"}, "ICCIF" : {"fullname" : "Immunocytochemistry/ Immunofluorescence", "shortname":"ICC/IF"}, "IHCP" : {"fullname" : "Immunohistochemistry (Formalin/PFA-fixed paraffin-embedded sections)", "shortname":"IHC-P"} }, "product-promise": { "all": "all", "testedAndGuaranteed": "tested", "guaranteed": "expected", "predicted": "predicted", "notRecommended": "not-recommended" } }, "values": { "Human": { "IP-species-checked": "notRecommended", "IP-species-dilution-info": "", "IP-species-notes": "<p></p>", "FlowCyt-species-checked": "notRecommended", "FlowCyt-species-dilution-info": "", "FlowCyt-species-notes": "<p></p>", "WB-species-checked": "testedAndGuaranteed", "WB-species-dilution-info": "1/1000", "WB-species-notes": "<p></p>", "ICCIF-species-checked": "notRecommended", "ICCIF-species-dilution-info": "", "ICCIF-species-notes": "<p></p>", "IHCP-species-checked": "testedAndGuaranteed", "IHCP-species-dilution-info": "1/1000", "IHCP-species-notes": "<p></p>" }, "Mouse": { "IP-species-checked": "notRecommended", "IP-species-dilution-info": "", "IP-species-notes": "", "FlowCyt-species-checked": "notRecommended", "FlowCyt-species-dilution-info": "", "FlowCyt-species-notes": "", "WB-species-checked": "testedAndGuaranteed", "WB-species-dilution-info": "1/1000", "WB-species-notes": "<p></p>", "ICCIF-species-checked": "notRecommended", "ICCIF-species-dilution-info": "", "ICCIF-species-notes": "", "IHCP-species-checked": "testedAndGuaranteed", "IHCP-species-dilution-info": "1/1000", "IHCP-species-notes": "<p></p>" }, "Rat": { "IP-species-checked": "notRecommended", "IP-species-dilution-info": "", "IP-species-notes": "", "FlowCyt-species-checked": "notRecommended", "FlowCyt-species-dilution-info": "", "FlowCyt-species-notes": "", "WB-species-checked": "testedAndGuaranteed", "WB-species-dilution-info": "1/1000", "WB-species-notes": "<p></p>", "ICCIF-species-checked": "notRecommended", "ICCIF-species-dilution-info": "", "ICCIF-species-notes": "", "IHCP-species-checked": "testedAndGuaranteed", "IHCP-species-dilution-info": "1/1000", "IHCP-species-notes": "<p></p>" } } }

Product details

Patented technology
Our RabMAb® technology is a patented hybridoma-based technology for making rabbit monoclonal antibodies. For details on our patents, please refer to RabMAb® patents.

What are the advantages of a recombinant monoclonal antibody?
This product is a recombinant monoclonal antibody, which offers several advantages including:

  • - High batch-to-batch consistency and reproducibility
  • - Improved sensitivity and specificity
  • - Long-term security of supply
  • - Animal-free batch production

For more information, read more on recombinant antibodies.

Properties and storage information

Form
Liquid
Purification technique
Affinity purification Protein A
Storage buffer
pH: 7.2 - 7.4 Preservative: 0.01% Sodium azide Constituents: PBS, 40% Glycerol (glycerin, glycerine), 0.05% BSA
Shipped at conditions
Blue Ice
Appropriate short-term storage duration
1-2 weeks
Appropriate short-term storage conditions
+4°C
Appropriate long-term storage conditions
-20°C
Aliquoting information
Upon delivery aliquot
Storage information
Avoid freeze / thaw cycle

Supplementary information

This supplementary information is collated from multiple sources and compiled automatically.

OPCML or Opioid-Binding Protein/Cell Adhesion Molecule-Like is a glycoprotein involved in cell adhesion processes. It weighs approximately 38 kDa and is located on the surface of cells within the nervous system and certain epithelial tissues. As a membrane-bound protein OPCML plays a role in modulating the interactions between cells and the extracellular matrix.
Biological function summary

OPCML influences cell signaling and adhesion through its interactions with other cellular proteins. It is not a part of a larger complex but its role in cell adhesion impacts the organization of cells and tissues. OPCML assists in maintaining proper cellular architecture and is essential for normal cellular communication.

Pathways

OPCML participates in pathways that regulate cellular adhesion and migration. It interacts with other proteins such as integrins and plays a role in the focal adhesion pathway. OPCML's involvement in these pathways helps to govern cell movement and positioning ensuring cells remain in their appropriate locations within tissues.

OPCML has connections to various types of cancers including ovarian and breast cancer. Changes in OPCML expression and function can disrupt normal cell adhesion contributing to cancer progression. OPCML's interaction with cadherins another group of adhesion proteins is notable in the context of these diseases as it can influence tumor spread and metastasis.

Product protocols

For this product, it's our understanding that no specific protocols are required. You can visit:

Target data

Binds opioids in the presence of acidic lipids; probably involved in cell contact.
See full target information OPCML

Publications (1)

Recent publications for all applications. Explore the full list and refine your search

Scientific reports 14:8725 PubMed38622256

2024

Exclusive expression of KANK4 promotes myofibroblast mobility in keloid tissues.

Applications

Unspecified application

Species

Unspecified reactive species

Mayumi Oishi,Keiko Shinjo,Keisuke Takanari,Ayako Muraoka,Miho M Suzuki,Miki Kanbe,Shinichi Higuchi,Katsumi Ebisawa,Kazunobu Hashikawa,Yuzuru Kamei,Yutaka Kondo
View all publications

Product promise

We are committed to supporting your work with high-quality reagents, and we're here for you every step of the way. In the unlikely event that one of our products does not perform as expected, you're protected by our Product Promise.
For full details, please see our Terms & Conditions

Please note: All products are 'FOR RESEARCH USE ONLY. NOT FOR USE IN DIAGNOSTIC OR THERAPEUTIC PROCEDURES'.

For licensing inquiries, please contact partnerships@abcam.com