JavaScript is disabled in your browser. Please enable JavaScript to view this website.
AB213556

Anti-Optineurin antibody [EPR20654]

Be the first to review this product! Submit a review

|

(11 Publications)

Rabbit Recombinant Monoclonal Optineurin antibody. Suitable for IP, WB, IHC-Fr, IHC-P and reacts with Human, Mouse, Rat samples. Cited in 11 publications.

View Alternative Names

FIP2, GLC1E, HIP7, HYPL, NRP, OPTN, Optineurin, E3-14.7K-interacting protein, Huntingtin yeast partner L, Huntingtin-interacting protein 7, Huntingtin-interacting protein L, NEMO-related protein, Optic neuropathy-inducing protein, Transcription factor IIIA-interacting protein, FIP-2, HIP-7, TFIIIA-IntP

16 Images
Immunohistochemistry (Formalin/PFA-fixed paraffin-embedded sections) - Anti-Optineurin antibody [EPR20654] (AB213556)
  • IHC-P

Supplier Data

Immunohistochemistry (Formalin/PFA-fixed paraffin-embedded sections) - Anti-Optineurin antibody [EPR20654] (AB213556)

Immunohistochemical analysis of paraffin-embedded human cerebrum tissue labeling Optineurin with ab213556 at 1/500 dilution, followed by Goat Anti-Rabbit IgG H&L (HRP) Ready to use. Cytoplasmic staining on human cerebrum (PMID : 26303227).

Counter stained with Hematoxylin.

Secondary antibody only control : Used PBS instead of primary antibody, secondary antibody is Goat Anti-Rabbit IgG H&L (HRP) Ready to use.

Perform heat mediated antigen retrieval with Tris/EDTA buffer pH 9.0 before commencing with IHC staining protocol.

Immunohistochemistry (Formalin/PFA-fixed paraffin-embedded sections) - Anti-Optineurin antibody [EPR20654] (AB213556)
  • IHC-P

Supplier Data

Immunohistochemistry (Formalin/PFA-fixed paraffin-embedded sections) - Anti-Optineurin antibody [EPR20654] (AB213556)

Immunohistochemical analysis of paraffin-embedded human retina tissue labeling Optineurin with ab213556 at 1/500 dilution, followed by Goat Anti-Rabbit IgG H&L (HRP) Ready to use. Cytoplasmic staining on human retina (PMID : 15607428).

Counter stained with Hematoxylin.

Secondary antibody only control : Used PBS instead of primary antibody, secondary antibody is Goat Anti-Rabbit IgG H&L (HRP) Ready to use.

Perform heat mediated antigen retrieval with Tris/EDTA buffer pH 9.0 before commencing with IHC staining protocol.

Immunoprecipitation - Anti-Optineurin antibody [EPR20654] (AB213556)
  • IP

Collaborator

Immunoprecipitation - Anti-Optineurin antibody [EPR20654] (AB213556)

Immunoprecipitation of OPTN in U-2 OS cells. Lysates were prepared and immunoprecipitation was performed using 1.0 μg of ab213556 pre-coupled to prot.A-Sepharose beads. Samples were washed and processed for western blot with ab213556 at 1/5000. SM=10% starting material; UB=10% unbound fraction; IP=immunoprecipitate. These data were provided by YCharOS Inc., an open science company with the mission of characterizing commercially available antibody reagents for all human proteins. Abcam and YCharOS are working together to help address the reproducibility crisis by enabling the life science community to better evaluate commercially available antibodies.

All lanes:

Immunoprecipitation - Anti-Optineurin antibody [EPR20654] (ab213556)

Predicted band size: 66 kDa

false

Immunoprecipitation - Anti-Optineurin antibody [EPR20654] (AB213556)
  • IP

Supplier Data

Immunoprecipitation - Anti-Optineurin antibody [EPR20654] (AB213556)

Optineurin was immunoprecipitated from 0.35 mg of 293T (Human epithelial cell line from embryonic kidney) whole cell lysate with ab213556 at 1/40 dilution. Western blot was performed from the immunoprecipitate using ab213556 at 1/1000 dilution. VeriBlot for IP Detection Reagent (HRP) (ab131366), was used for detection at 1/10,000 dilution

Lane 1 : 293T whole cell lysate 10 μg (Input).

Lane 2 : ab213556 IP in 293T whole cell lysate.

Lane 3 : Rabbit monoclonal IgG (ab172730) instead of ab213556 in 293T whole cell lysate.

Blocking and dilution buffer and concentration : 5% NFDM/TBST.

Exposure time : 3 minutes.

All lanes:

Immunoprecipitation - Anti-Optineurin antibody [EPR20654] (ab213556)

Predicted band size: 66 kDa

false

Immunohistochemistry (Frozen sections) - Anti-Optineurin antibody [EPR20654] (AB213556)
  • IHC-Fr

Supplier Data

Immunohistochemistry (Frozen sections) - Anti-Optineurin antibody [EPR20654] (AB213556)

ab213556 staining Optineurin in Rat retina tissue sections by Immunohistochemistry (IHC-Fr - frozen sections). Tissue was fixed with 4% paraformaldehyde, permeabilized with 0.2% Triton. Samples were incubated with primary antibody (1/100). An Alexa Fluor® 488 Goat anti-Rabbit secondary (1/1000) was used as the secondary antibody. Counter stained with DAPI.

Heat mediated antigen retrieval using sodium citrate buffer (10mM citrate pH 6.0 + 0.05% Tween-20)

Positive staining on rat retina (PMID : 15607428).

Immunohistochemistry (Formalin/PFA-fixed paraffin-embedded sections) - Anti-Optineurin antibody [EPR20654] (AB213556)
  • IHC-P

Supplier Data

Immunohistochemistry (Formalin/PFA-fixed paraffin-embedded sections) - Anti-Optineurin antibody [EPR20654] (AB213556)

Immunohistochemical analysis of paraffin-embedded mouse retina tissue labeling Optineurin with ab213556 at 1/500 dilution, followed by Goat Anti-Rabbit IgG H&L (HRP) Ready to use. Cytoplasmic staining on mouse retina (PMID : 15607428).

Counter stained with Hematoxylin.

Secondary antibody only control : Used PBS instead of primary antibody, secondary antibody is Goat Anti-Rabbit IgG H&L (HRP) Ready to use.

Perform heat mediated antigen retrieval with Tris/EDTA buffer pH 9.0 before commencing with IHC staining protocol.

Immunohistochemistry (Frozen sections) - Anti-Optineurin antibody [EPR20654] (AB213556)
  • IHC-Fr

Supplier Data

Immunohistochemistry (Frozen sections) - Anti-Optineurin antibody [EPR20654] (AB213556)

ab213556 staining Optineurin in Mouse retina tissue sections by Immunohistochemistry (IHC-Fr - frozen sections). Tissue was fixed with 4% paraformaldehyde, permeabilized with 0.2% Triton. Samples were incubated with primary antibody (1/100). An Alexa Fluor® 488 Goat anti-Rabbit secondary (1/1000) was used as the secondary antibody. Counter stained with DAPI.

Heat mediated antigen retrieval using sodium citrate buffer (10mM citrate pH 6.0 + 0.05% Tween-20)

Positive staining on mouse retina (PMID : 15607428).

Immunohistochemistry (Formalin/PFA-fixed paraffin-embedded sections) - Anti-Optineurin antibody [EPR20654] (AB213556)
  • IHC-P

Supplier Data

Immunohistochemistry (Formalin/PFA-fixed paraffin-embedded sections) - Anti-Optineurin antibody [EPR20654] (AB213556)

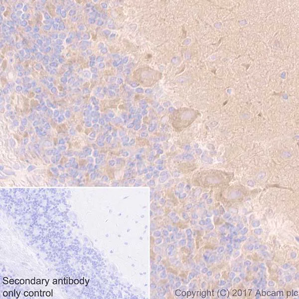
Immunohistochemical analysis of paraffin-embedded rat cerebellum tissue labeling Optineurin with ab213556 at 1/500 dilution, followed by Goat Anti-Rabbit IgG H&L (HRP) Ready to use. Cytoplasmic staining on rat cerebellum (PMID : 26303227).

Counter stained with Hematoxylin.

Secondary antibody only control : Used PBS instead of primary antibody, secondary antibody is Goat Anti-Rabbit IgG H&L (HRP) Ready to use.

Perform heat mediated antigen retrieval with Tris/EDTA buffer pH 9.0 before commencing with IHC staining protocol.

Immunohistochemistry (Formalin/PFA-fixed paraffin-embedded sections) - Anti-Optineurin antibody [EPR20654] (AB213556)
  • IHC-P

Supplier Data

Immunohistochemistry (Formalin/PFA-fixed paraffin-embedded sections) - Anti-Optineurin antibody [EPR20654] (AB213556)

Immunohistochemical analysis of paraffin-embedded mouse cerebrum tissue labeling Optineurin with ab213556 at 1/500 dilution, followed by Goat Anti-Rabbit IgG H&L (HRP) Ready to use. Cytoplasmic staining on mouse cerebrum (PMID : 26303227).

Counter stained with Hematoxylin.

Secondary antibody only control : Used PBS instead of primary antibody, secondary antibody is Goat Anti-Rabbit IgG H&L (HRP) Ready to use.

Perform heat mediated antigen retrieval with Tris/EDTA buffer pH 9.0 before commencing with IHC staining protocol.

Western blot - Anti-Optineurin antibody [EPR20654] (AB213556)
  • WB

Lab

Western blot - Anti-Optineurin antibody [EPR20654] (AB213556)

Western blot : Anti-Optineurin antibody [EPR20654] ab213556 staining at 1/500 dilution, shown in green; Mouse anti GAPDH ab8245 loading control staining at 1/20000 dilution, shown in magenta. A band was observed at 73 kDa in Wild-type MCF7 cell lysates with no signal observed at this size in OPTN knockout MCF7 cell line. To generate this image, samples were run on an SDS-PAGE gel then transferred onto a nitrocellulose membrane. Membranes were blocked in 3pc Milk in TBS-0.1 % Tween 20 (TBS-T) before incubation with primary antibodies overnight at 4 °C. Blots were washed four times in TBS-T, incubated with secondary antibodies for 1 h at room temperature, washed again four times then imaged. Secondary antibodies used were Goat anti-Rabbit 800CW and Goat anti-Mouse 680RD at 1/20,000 dilution.

All lanes:

Western blot - Anti-Optineurin antibody [EPR20654] (ab213556) at 1/500 dilution

Lane 1:

Wild-type MCF7 whole cell lysate at 20 µg

Lane 2:

OPTN knockout MCF7 whole cell lysate at 20 µg

Lane 3:

U-2 OS whole cell lysate at 20 µg

Lane 4:

Raji whole cell lysate at 20 µg

Secondary

All lanes:

Goat anti-Rabbit 800CW & Goat anti-Mouse 680RD at 1/20000 dilution

Predicted band size: 66 kDa

Observed band size: 73 kDa

false

Western blot - Anti-Optineurin antibody [EPR20654] (AB213556)
  • WB

Supplier Data

Western blot - Anti-Optineurin antibody [EPR20654] (AB213556)

Blocking/Dilution buffer : 5% NFDM/TBST.

Exposure time : Lane 1-3/7 : 3 minutes; Lane 4-6 : 10 seconds.

The MW observed is consistent with the literature (PMID 20174559, PMID 24983867, PMID 11834836).

All lanes:

Western blot - Anti-Optineurin antibody [EPR20654] (ab213556) at 1/1000 dilution

Lane 1:

Human skeletal muscle lysate at 20 µg

Lane 2:

293T (Human epithelial cell line from embryonic kidney) whole cell lysate at 20 µg

Lane 3:

Rat brain lysate at 20 µg

Lane 4:

Mouse retina lysate at 20 µg

Lane 5:

Rat retina lysate at 20 µg

Lane 6:

Rat placenta lysate at 20 µg

Lane 7:

NIH/3T3 (Mouse embryonic fibroblast cell line) whole cell lysate at 10 µg

Secondary

All lanes:

Western blot - Goat Anti-Rabbit IgG H&L (HRP) (<a href='/en-us/products/secondary-antibodies/goat-rabbit-igg-h-l-hrp-ab97051'>ab97051</a>) at 1/100000 dilution

Predicted band size: 66 kDa

Observed band size: 68 kDa

false

Western blot - Anti-Optineurin antibody [EPR20654] (AB213556)
  • WB

Supplier Data

Western blot - Anti-Optineurin antibody [EPR20654] (AB213556)

Blocking/Dilution buffer : 5% NFDM/TBST.

Exposure time : Lane 1 : 3 seconds; Lane 2/3 : 30 seconds.

The MW observed is consistent with the literature (PMID 20174559, PMID 24983867, PMID 11834836).

All lanes:

Western blot - Anti-Optineurin antibody [EPR20654] (ab213556) at 1/1000 dilution

Lane 1:

Human fetal brain lysate at 10 µg

Lane 2:

Human fetal kidney lysate at 10 µg

Lane 3:

Human placenta lysate at 10 µg

Secondary

All lanes:

Western blot - VeriBlot for IP Detection Reagent (HRP) (<a href='/en-us/products/reagents/veriblot-for-ip-detection-reagent-hrp-ab131366'>ab131366</a>) at 1/4000 dilution

Predicted band size: 66 kDa

Observed band size: 68 kDa

false

Western blot - Anti-Optineurin antibody [EPR20654] (AB213556)
  • WB

Collaborator

Western blot - Anti-Optineurin antibody [EPR20654] (AB213556)

ab213556 was shown to react with OPTN in wild-type U-2 OS cells in Western blot with loss of signal observed in a OPTN knockout cell line. Wild-type U-2 OS and OPTN knockout cell lysates were subjected to SDS-PAGE. Membranes were blocked in 5% milk in TBST for 1 hr before incubation with ab213556 overnight at 4 °C at a 1/5000 dilution. Blots were incubated with goat anti-rabbit HRP secondary antibodies at 1/5000 before imaging. These data were provided by YCharOS Inc., an open science company with the mission of characterizing commercially available antibody reagents for all human proteins. Abcam and YCharOS are working together to help address the reproducibility crisis by enabling the life science community to better evaluate commercially available antibodies.

All lanes:

Western blot - Anti-Optineurin antibody [EPR20654] (ab213556) at 1/5000 dilution

Lane 1:

Wild-type U-2 OS cell lysate at 20 µg

Lane 2:

OPTN knockout U-2 OS cell lysate at 20 µg

Predicted band size: 66 kDa

false

Western blot - Anti-Optineurin antibody [EPR20654] (AB213556)
  • WB

Lab

Western blot - Anti-Optineurin antibody [EPR20654] (AB213556)

ab213556 was shown to react with OPTN in wild-type U-2 OS cells in Western blot with loss of signal observed in a OPTN knockout cell line. Wild-type U-2 OS and OPTN knockout cell lysates were subjected to SDS-PAGE. Membranes were blocked in 5% milk in TBST for 1 hr before incubation with ab213556 overnight at 4 °C at a 1/500 dilution. Blots were incubated with secondary antibodies at 0.2ug/mL before imaging.

This data was provided by YCharOS Inc., an open science company with the mission of characterizing commercially available antibody reagents for all human proteins. Abcam and YCharOS are working together to help address the reproducibility crisis by enabling the life science community to better evaluate commercially available antibodies.

All lanes:

Western blot - Anti-Optineurin antibody [EPR20654] (ab213556) at 1/500 dilution

Lane 1:

Wild-type U-2 OS cell lysate at 20 µg

Lane 2:

OPTN knockout U-2 OS cell lysate at 20 µg

Observed band size: 66 kDa

false

Western blot - Anti-Optineurin antibody [EPR20654] (AB213556)
  • WB

Supplier Data

Western blot - Anti-Optineurin antibody [EPR20654] (AB213556)

Blocking/Dilution buffer : 5% NFDM/TBST.

Exposure time : Lane 1 : 3 minutes; Lane 2 : 10 seconds.

The MW observed is consistent with the literature (PMID 20174559, PMID 24983867, PMID 11834836).

All lanes:

Western blot - Anti-Optineurin antibody [EPR20654] (ab213556) at 1/1000 dilution

Lane 1:

Rat heart lysate at 10 µg

Lane 2:

Mouse placenta lysate at 10 µg

Secondary

All lanes:

Western blot - Goat Anti-Rabbit IgG H&L (HRP) (<a href='/en-us/products/secondary-antibodies/goat-rabbit-igg-h-l-hrp-ab97051'>ab97051</a>) at 1/100000 dilution

Predicted band size: 66 kDa

Observed band size: 68 kDa

false

Immunoprecipitation - Anti-Optineurin antibody [EPR20654] (AB213556)
  • IP

Supplier Data

Immunoprecipitation - Anti-Optineurin antibody [EPR20654] (AB213556)

Immunoprecipitation of OPTN in c-43 cells. Lysates were prepared and immunoprecipitation was performed using 1.0 μg of ab213556 pre-coupled to prot.A-Sepharose beads. Samples were washed and processed for western blot with ab213556 at 1/5000. This data was kindly provided by the YCharOS Inc., an open science company with the mission of characterizing every commercially available antibody reagent. Abcam are working with YCharOS to support their mission of antibody characterisation using knock out cell lines.

All lanes:

Immunoprecipitation - Anti-Optineurin antibody [EPR20654] (ab213556)

Predicted band size: 66 kDa

false

  • Carrier free

    Anti-Optineurin antibody [EPR20654] - BSA and Azide free

Key facts

Host species

Rabbit

Clonality

Monoclonal

Clone number

EPR20654

Isotype

IgG

Carrier free

No

Reacts with

Mouse, Rat, Human

Applications

IHC-Fr, IP, IHC-P, WB

applications

Immunogen

The exact immunogen used to generate this antibody is proprietary information.

Reactivity data

{ "title": "Reactivity Data", "filters": { "stats": ["", "Species", "Dilution Info", "Notes"], "tabs": { "all-applications": {"fullname" : "All Applications", "shortname": "All Applications"}, "IP" : {"fullname" : "Immunoprecipitation", "shortname":"IP"}, "WB" : {"fullname" : "Western blot", "shortname":"WB"}, "ICCIF" : {"fullname" : "Immunocytochemistry/ Immunofluorescence", "shortname":"ICC/IF"}, "IHCFr" : {"fullname" : "Immunohistochemistry (Frozen sections)", "shortname":"IHC-Fr"}, "IHCP" : {"fullname" : "Immunohistochemistry (Formalin/PFA-fixed paraffin-embedded sections)", "shortname":"IHC-P"} }, "product-promise": { "all": "all", "testedAndGuaranteed": "tested", "guaranteed": "expected", "predicted": "predicted", "notRecommended": "not-recommended" } }, "values": { "Human": { "IP-species-checked": "testedAndGuaranteed", "IP-species-dilution-info": "1/40", "IP-species-notes": "<p></p>", "WB-species-checked": "testedAndGuaranteed", "WB-species-dilution-info": "1/500 - 1/1000", "WB-species-notes": "<p></p>", "ICCIF-species-checked": "notRecommended", "ICCIF-species-dilution-info": "", "ICCIF-species-notes": "<p></p>", "IHCFr-species-checked": "guaranteed", "IHCFr-species-dilution-info": "", "IHCFr-species-notes": "", "IHCP-species-checked": "testedAndGuaranteed", "IHCP-species-dilution-info": "1/500", "IHCP-species-notes": "<p></p> Perform heat-mediated antigen retrieval with Tris/EDTA buffer pH 9.0 before commencing with IHC staining protocol." }, "Mouse": { "IP-species-checked": "guaranteed", "IP-species-dilution-info": "", "IP-species-notes": "", "WB-species-checked": "testedAndGuaranteed", "WB-species-dilution-info": "1/1000", "WB-species-notes": "<p></p>", "ICCIF-species-checked": "notRecommended", "ICCIF-species-dilution-info": "", "ICCIF-species-notes": "<p></p>", "IHCFr-species-checked": "testedAndGuaranteed", "IHCFr-species-dilution-info": "1/100", "IHCFr-species-notes": "<p></p>", "IHCP-species-checked": "testedAndGuaranteed", "IHCP-species-dilution-info": "1/500", "IHCP-species-notes": "<p></p> Perform heat-mediated antigen retrieval with Tris/EDTA buffer pH 9.0 before commencing with IHC staining protocol." }, "Rat": { "IP-species-checked": "guaranteed", "IP-species-dilution-info": "", "IP-species-notes": "", "WB-species-checked": "testedAndGuaranteed", "WB-species-dilution-info": "1/1000", "WB-species-notes": "<p></p>", "ICCIF-species-checked": "notRecommended", "ICCIF-species-dilution-info": "", "ICCIF-species-notes": "", "IHCFr-species-checked": "testedAndGuaranteed", "IHCFr-species-dilution-info": "1/100", "IHCFr-species-notes": "<p></p>", "IHCP-species-checked": "testedAndGuaranteed", "IHCP-species-dilution-info": "1/500", "IHCP-species-notes": "<p></p> Perform heat-mediated antigen retrieval with Tris/EDTA buffer pH 9.0 before commencing with IHC staining protocol." } } }

Product details

Patented technology
Our RabMAb® technology is a patented hybridoma-based technology for making rabbit monoclonal antibodies. For details on our patents, please refer to RabMAb® patents.

What are the advantages of a recombinant monoclonal antibody?
This product is a recombinant monoclonal antibody, which offers several advantages including:

  • - High batch-to-batch consistency and reproducibility
  • - Improved sensitivity and specificity
  • - Long-term security of supply
  • - Animal-free batch production

For more information, read more on recombinant antibodies.

Properties and storage information

Form
Liquid
Purification technique
Affinity purification Protein A
Storage buffer
pH: 7.2 - 7.4 Preservative: 0.01% Sodium azide Constituents: PBS, 40% Glycerol (glycerin, glycerine), 0.05% BSA
Shipped at conditions
Blue Ice
Appropriate short-term storage duration
1-2 weeks
Appropriate short-term storage conditions
+4°C
Appropriate long-term storage conditions
-20°C
Aliquoting information
Upon delivery aliquot
Storage information
Avoid freeze / thaw cycle

Supplementary information

This supplementary information is collated from multiple sources and compiled automatically.

Optineurin also known as OPTN is a multifunctional protein of approximately 67 kDa. It is expressed in various tissues including the retina where it plays a role in maintaining cellular functions. Optineurin interacts with several binding partners to execute its roles within the cell. It is involved in intracellular trafficking signaling and inflammation processes. As an essential component of the cellular machinery optineurin aids in proper cellular communication and responses.
Biological function summary

Optineurin influences different cellular processes notably autophagy and regulation of inflammation. It participates in forming a complex with other proteins to facilitate cargo transport and degradation via the autophagy-lysosome pathway. This function is important for removing damaged proteins and organelles ensuring cellular homeostasis. Inflammation regulation occurs through optineurin's ability to inhibit certain signaling pathways therefore modulating immune responses and preventing excessive inflammation.

Pathways

Optineurin plays a role in the NF-kB signaling pathway and the autophagic process. In NF-kB signaling it acts as a negative regulator by degrading specific signaling molecules. This regulation is necessary to prevent chronic inflammation and maintain immune balance. Within autophagy optineurin collaborates with other autophagy-related proteins like LC3 to facilitate the sequestration and clearance of cellular components preventing accumulation of damaged cellular materials.

Optineurin connects to conditions like glaucoma and amyotrophic lateral sclerosis (ALS). Mutations in the optineurin gene link to glaucoma as they can impair autophagy and lead to optic nerve damage. In the context of ALS optineurin mutations disrupt normal cellular functions contributing to motor neuron degeneration. The protein TDP-43 is often associated with ALS and interacts with optineurin in pathological processes affecting disease progression.

Product protocols

For this product, it's our understanding that no specific protocols are required. You can visit:

Target data

Plays an important role in the maintenance of the Golgi complex, in membrane trafficking, in exocytosis, through its interaction with myosin VI and Rab8 (PubMed : 27534431). Links myosin VI to the Golgi complex and plays an important role in Golgi ribbon formation (PubMed : 27534431). Plays a role in the activation of innate immune response during viral infection. Mechanistically, recruits TBK1 at the Golgi apparatus, promoting its trans-phosphorylation after RLR or TLR3 stimulation (PubMed : 27538435). In turn, activated TBK1 phosphorylates its downstream partner IRF3 to produce IFN-beta/IFNB1. Plays a neuroprotective role in the eye and optic nerve. May act by regulating membrane trafficking and cellular morphogenesis via a complex that contains Rab8 and huntingtin (HD). Mediates the interaction of Rab8 with the probable GTPase-activating protein TBC1D17 during Rab8-mediated endocytic trafficking, such as that of transferrin receptor (TFRC/TfR); regulates Rab8 recruitment to tubules emanating from the endocytic recycling compartment (PubMed : 22854040). Autophagy receptor that interacts directly with both the cargo to become degraded and an autophagy modifier of the MAP1 LC3 family; targets ubiquitin-coated bacteria (xenophagy), such as cytoplasmic Salmonella enterica, and appears to function in the same pathway as SQSTM1 and CALCOCO2/NDP52.. (Microbial infection) May constitute a cellular target for various viruses, such as adenovirus E3 14.7 or Bluetongue virus, to inhibit innate immune response (PubMed : 27538435, PubMed : 9488477). During RNA virus infection, such as that of Sendai virus, negatively regulates the induction of IFNB1 (PubMed : 20174559).
See full target information OPTN

Publications (11)

Recent publications for all applications. Explore the full list and refine your search

Renal failure 47:2513677 PubMed40485166

2025

Dexmedetomidine improves septic acute kidney injury by inhibiting inflammation and oxidative stress through the activation of the Pink1/Park2 autophagy pathway.

Applications

Unspecified application

Species

Unspecified reactive species

Qiuxia Liao,Zhi Feng,Hairong Lin,Ye Zhou,Xinxin Lin,Xiao Lin,Huichang Zhuo

Cell proliferation 58:e13799 PubMed39762159

2025

Optineurin Cooperates With NRF2 to Regulate Tooth Root Morphogenesis by Controlling Mitochondrial Dynamics and Apoptosis.

Applications

Unspecified application

Species

Unspecified reactive species

Haojie Liu,Xinyu Zhang,Xiao Ge,ChingCho Hsu,Yan Wang,Simai Chen,Xingzhi Yan,Rongyao Xu,Junqing Ma,Shuyu Guo

Cell death and differentiation 32:353-368 PubMed39448868

2024

RIP1 inhibition protects retinal ganglion cells in glaucoma models of ocular injury.

Applications

Unspecified application

Species

Unspecified reactive species

Bo Kyoung Kim,Tatiana Goncharov,Sébastien A Archaimbault,Filip Roudnicky,Joshua D Webster,Peter D Westenskow,Domagoj Vucic

iScience 27:109865 PubMed38770132

2024

SENP1 facilitates OM-MSC differentiation through activating OPTN-mediated mitophagy to mitigate the neurologic impairment following ICH.

Applications

Unspecified application

Species

Unspecified reactive species

Jun He,Jun Peng,You Li,Junwen Jiang,Jiameng Li,Long Lin,Jian Wang,Ying Xia

Dose-response : a publication of International Hormesis Society 21:15593258231169392 PubMed37113652

2023

Biphasic Dose-Response of Mn-Induced Mitochondrial Damage, PINK1/Parkin Expression, and Mitophagy in SK-N-SH Cells.

Applications

Unspecified application

Species

Unspecified reactive species

Yue Zhang,Hong-Tao Hu,Yu-Min Cao,Zhi-Gang Jiang,Jie Liu,Qi-Yuan Fan

Autophagy 19:805-821 PubMed35920704

2022

TOLLIP-mediated autophagic degradation pathway links the VCP-TMEM63A-DERL1 signaling axis to triple-negative breast cancer progression.

Applications

Unspecified application

Species

Unspecified reactive species

Tai-Mei Zhang,Li Liao,Shao-Ying Yang,Min-Ying Huang,Yin-Ling Zhang,Ling Deng,Shu-Yuan Hu,Fan Yang,Fang-Lin Zhang,Zhi-Min Shao,Da-Qiang Li

Cell death & disease 13:162 PubMed35184140

2022

PINK1-parkin-mediated neuronal mitophagy deficiency in prion disease.

Applications

Unspecified application

Species

Unspecified reactive species

Jie Li,Mengyu Lai,Xixi Zhang,Zhiping Li,Dongming Yang,Mengyang Zhao,Dongdong Wang,Zhixin Sun,Sharjeel Ehsan,Wen Li,Hongli Gao,Deming Zhao,Lifeng Yang

Cell death discovery 8:63 PubMed35165261

2022

Sirt5-mediated desuccinylation of OPTN protects retinal ganglion cells from autophagic flux blockade in diabetic retinopathy.

Applications

Unspecified application

Species

Unspecified reactive species

Ye Zhang,Tingting Li,Xuan Cai,Da Long,Xiangning Wang,Chang Liu,Qiang Wu

Frontiers in oncology 11:783583 PubMed35083142

2022

PIWIL1 Drives Chemoresistance in Multiple Myeloma by Modulating Mitophagy and the Myeloma Stem Cell Population.

Applications

Unspecified application

Species

Unspecified reactive species

Yajun Wang,Lan Yao,Yao Teng,Hua Yin,Qiuling Wu

Aging cell 20:e13469 PubMed34528736

2021

Platelet biomarkers identifying mild cognitive impairment in type 2 diabetes patients.

Applications

Unspecified application

Species

Unspecified reactive species

Haitao Yu,Yanchao Liu,Ting He,Yao Zhang,Jiahua He,Mengzhu Li,Bijun Jiang,Yang Gao,Chongyang Chen,Dan Ke,Jianjun Liu,Benrong He,Xifei Yang,Jian-Zhi Wang
View all publications

Product promise

We are committed to supporting your work with high-quality reagents, and we're here for you every step of the way. In the unlikely event that one of our products does not perform as expected, you're protected by our Product Promise.
For full details, please see our Terms & Conditions

Please note: All products are 'FOR RESEARCH USE ONLY. NOT FOR USE IN DIAGNOSTIC OR THERAPEUTIC PROCEDURES'.

For licensing inquiries, please contact partnerships@abcam.com