JavaScript is disabled in your browser. Please enable JavaScript to view this website.
AB242146

Anti-Optineurin antibody [EPR23059-124]

  • BOND RX™ Validated
  • KO Validated
  • RabMAb
  • Recombinant
  • What is this?

Be the first to review this product! Submit a review

|

(0 Publication)

Knockout Tested Rabbit Recombinant Monoclonal Optineurin antibody. Suitable for IP, WB, ICC/IF, Flow Cyt (Intra), IHC-P and reacts with Human samples.

View Alternative Names

FIP2, GLC1E, HIP7, HYPL, NRP, OPTN, Optineurin, E3-14.7K-interacting protein, Huntingtin yeast partner L, Huntingtin-interacting protein 7, Huntingtin-interacting protein L, NEMO-related protein, Optic neuropathy-inducing protein, Transcription factor IIIA-interacting protein, FIP-2, HIP-7, TFIIIA-IntP

7 Images
Flow Cytometry (Intracellular) - Anti-Optineurin antibody [EPR23059-124] (AB242146)
  • Flow Cyt (Intra)

Unknown

Flow Cytometry (Intracellular) - Anti-Optineurin antibody [EPR23059-124] (AB242146)

Intracellular flow cytometric analysis of 4% paraformaldehyde fixed 90% methanol permeabilized HeLa (human cervix adenocarcinoma) cells labelling Optineurin with ab242146 at 1/50 (Red) compared with a Rabbit monoclonal IgG (ab172730, Black) isotype control and an unlabelled control (cells without incubation with primary antibody and secondary antibody) (Blue). A Goat anti rabbit IgG (Alexa Fluor®488, ab150077) at 1/2000 dilution was used as the secondary antibody.

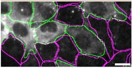
Immunocytochemistry/ Immunofluorescence - Anti-Optineurin antibody [EPR23059-124] (AB242146)
  • ICC/IF

Lab

Immunocytochemistry/ Immunofluorescence - Anti-Optineurin antibody [EPR23059-124] (AB242146)

ab242146 was shown to react with OPTN in wild-type U20S cells in immunocytochemistry with loss of signal observed in a OPTN knockout cell line. Wild-type and knockout cells were mixed and pelleted at a 1 : 1 ratio on coverslips. The cells were fixed with 4% paraformaldehyde (15 min) then permeabilized with 0.1% Triton X-100 (10min) and then blocked with 1x PBS, 0.01% Triton X-100, 5% BSA, 5% NGS. The cells were then incubated with ab242146 at dilution overnight at 4°C followed by a further incubation at room temperature for 1h with a goat anti-rabbit secondary antibody to (Alexa Fluor® 555) at 0.5 µg/ml. Acquisition of the green (wild-type), red (antibody staining) and far-red (knockout) channels was performed. Representative grayscale images of the red channel are shown. Wild-type and knockout cells are outlined with yellow and magenta dashed line, respectively. Schematic representation of the mosaic strategy used is shown on the bottom-right panel. Image was acquired with a Zeiss(LSM-880).

This data was provided by YCharOS Inc., an open science company with the mission of characterizing commercially available antibody reagents for all human proteins. Abcam and YCharOS are working together to help address the reproducibility crisis by enabling the life science community to better evaluate commercially available antibodies.

Immunohistochemistry (Formalin/PFA-fixed paraffin-embedded sections) - Anti-Optineurin antibody [EPR23059-124] (AB242146)
  • IHC-P

Unknown

Immunohistochemistry (Formalin/PFA-fixed paraffin-embedded sections) - Anti-Optineurin antibody [EPR23059-124] (AB242146)

Immunohistochemical analysis of paraffin-embedded Human cerebrum tissue labeling Optineurin with ab242146 at 1/500 dilution (0.98 ug/ml) followed by a ready to use Rabbit specific IHC polymer detection kit HRP/DAB (ab209101). Cytoplasmic staining on human cerebrum. The section was incubated with ab242146 for 30 mins at room temperature. The immunostaining was performed on a Leica Biosystems BOND®RX instrument. Counterstained with Hematoxylin.

Secondary antibody only control : Secondary antibody is a ready to use Rabbit specific IHC polymer detection kit HRP/DAB (ab209101).

Heat mediated antigen retrieval with Tris-EDTA buffer (pH 9.0, epitope retrieval solution 2) for 20mins.

Immunoprecipitation - Anti-Optineurin antibody [EPR23059-124] (AB242146)
  • IP

Lab

Immunoprecipitation - Anti-Optineurin antibody [EPR23059-124] (AB242146)

Immunoprecipitation of OPTN in U20S cells. Lysates were prepared and immunoprecipitation was performed using 1.0 µg of ab242146 pre-coupled to Protein A beads. Samples were washed and processed for western blot with OPTN Monoclonal Antibody at 1/10000

This data was provided by YCharOS Inc., an open science company with the mission of characterizing commercially available antibody reagents for all human proteins. Abcam and YCharOS are working together to help address the reproducibility crisis by enabling the life science community to better evaluate commercially available antibodies.

Lane 1:

Immunoprecipitation at 1/10000 dilution

Lane 3:

Immunoprecipitation - Anti-Optineurin antibody [EPR23059-124] (ab242146) at 1 µg

All lanes:

U20S cells

Observed band size: 66 kDa

false

Western blot - Anti-Optineurin antibody [EPR23059-124] (AB242146)
  • WB

Lab

Western blot - Anti-Optineurin antibody [EPR23059-124] (AB242146)

Western blot : Anti-Optineurin antibody [EPR23059-124] ab242146 staining at 1/1000 dilution, shown in green; Mouse anti GAPDH ab8245 loading control staining at 1/20000 dilution, shown in magenta. A band was observed at 73 kDa in Wild-type MCF7 cell lysates with no signal observed at this size in OPTN knockout MCF7 cell line. To generate this image, samples were run on an SDS-PAGE gel then transferred onto a nitrocellulose membrane. Membranes were blocked in 3pc Milk in TBS-0.1 % Tween 20 (TBS-T) before incubation with primary antibodies overnight at 4 °C. Blots were washed four times in TBS-T, incubated with secondary antibodies for 1 h at room temperature, washed again four times then imaged. Secondary antibodies used were Goat anti-Rabbit 800CW and Goat anti-Mouse 680RD at 1/20,000 dilution.

All lanes:

Western blot - Anti-Optineurin antibody [EPR23059-124] (ab242146) at 1/1000 dilution

Lane 1:

Wild-type MCF7 whole cell lysate at 20 µg

Lane 2:

OPTN knockout MCF7 whole cell lysate at 20 µg

Lane 3:

U-2 OS whole cell lysate at 20 µg

Lane 4:

Raji whole cell lysate at 20 µg

Secondary

All lanes:

Goat anti-Rabbit 800CW & Goat anti-Mouse 680RD at 1/20000 dilution

Predicted band size: 66 kDa

Observed band size: 73 kDa

false

Western blot - Anti-Optineurin antibody [EPR23059-124] (AB242146)
  • WB

Lab

Western blot - Anti-Optineurin antibody [EPR23059-124] (AB242146)

ab242146 was shown to react with OPTN in wild-type U-2 OS cells in Western blot with loss of signal observed in OPTN knockout cell line ab261906. Wild-type U-2 OS and OPTN knockout cell lysates were subjected to SDS-PAGE. Membranes were blocked in 5% milk in TBST for 1 hr before incubation with ab242146 overnight at 4 °C at a 1/1000 dilution. Blots were incubated with secondary antibodies at 0.2ug/mL before imaging.

This data was provided by YCharOS Inc., an open science company with the mission of characterizing commercially available antibody reagents for all human proteins. Abcam and YCharOS are working together to help address the reproducibility crisis by enabling the life science community to better evaluate commercially available antibodies.

All lanes:

Western blot - Anti-Optineurin antibody [EPR23059-124] (ab242146) at 1/1000 dilution

Lane 1:

Wild-type U-2 OS cell lysate at 20 µg

Lane 2:

OPTN knockout U-2 OS cell lysate at 20 µg

Observed band size: 66 kDa

false

Western blot - Anti-Optineurin antibody [EPR23059-124] (AB242146)
  • WB

Lab

Western blot - Anti-Optineurin antibody [EPR23059-124] (AB242146)

Blocking and diluting buffer and concentration : 5% NFDM/TBST The molecular weight observed is consistent with what has been described in the literature (PMID : 27620379).

Exposure time : Lane 1 : 15 seconds Lane 2 : 70 seconds

All lanes:

Western blot - Anti-Optineurin antibody [EPR23059-124] (ab242146) at 1/1000 dilution

Lane 1:

Human brain lysate at 20 µg

Lane 2:

Hela (human cervix adenocarcinoma epithelial cell) lysate at 20 µg

Secondary

All lanes:

Western blot - Goat Anti-Rabbit IgG H&L (HRP) (<a href='/en-us/products/secondary-antibodies/goat-rabbit-igg-h-l-hrp-ab97051'>ab97051</a>) at 1/100000 dilution

Predicted band size: 66 kDa

Observed band size: 74 kDa

false

  • Carrier free

    Anti-Optineurin antibody [EPR23059-124] - BSA and Azide free

Key facts

Host species

Rabbit

Clonality

Monoclonal

Clone number

EPR23059-124

Isotype

IgG

Carrier free

No

Reacts with

Human

Applications

WB, Flow Cyt (Intra), IHC-P, IP, ICC/IF

applications

Immunogen

The exact immunogen used to generate this antibody is proprietary information.

Reactivity data

{ "title": "Reactivity Data", "filters": { "stats": ["", "Species", "Dilution Info", "Notes"], "tabs": { "all-applications": {"fullname" : "All Applications", "shortname": "All Applications"}, "IP" : {"fullname" : "Immunoprecipitation", "shortname":"IP"}, "WB" : {"fullname" : "Western blot", "shortname":"WB"}, "ICCIF" : {"fullname" : "Immunocytochemistry/ Immunofluorescence", "shortname":"ICC/IF"}, "FlowCytIntra" : {"fullname" : "Flow Cytometry (Intracellular)", "shortname":"Flow Cyt (Intra)"}, "IHCP" : {"fullname" : "Immunohistochemistry (Formalin/PFA-fixed paraffin-embedded sections)", "shortname":"IHC-P"} }, "product-promise": { "all": "all", "testedAndGuaranteed": "tested", "guaranteed": "expected", "predicted": "predicted", "notRecommended": "not-recommended" } }, "values": { "Human": { "IP-species-checked": "testedAndGuaranteed", "IP-species-dilution-info": "1 µg", "IP-species-notes": "<p></p>", "WB-species-checked": "testedAndGuaranteed", "WB-species-dilution-info": "1/1000", "WB-species-notes": "<p></p>", "ICCIF-species-checked": "testedAndGuaranteed", "ICCIF-species-dilution-info": "1/1000", "ICCIF-species-notes": "<p></p>", "FlowCytIntra-species-checked": "testedAndGuaranteed", "FlowCytIntra-species-dilution-info": "1/50", "FlowCytIntra-species-notes": "<p></p>", "IHCP-species-checked": "testedAndGuaranteed", "IHCP-species-dilution-info": "1/500", "IHCP-species-notes": "<p></p> Perform heat-mediated antigen retrieval with Tris/EDTA buffer pH 9.0 before commencing with IHC staining protocol." }, "Mouse": { "IP-species-checked": "notRecommended", "IP-species-dilution-info": "", "IP-species-notes": "<p></p>", "WB-species-checked": "notRecommended", "WB-species-dilution-info": "", "WB-species-notes": "", "ICCIF-species-checked": "notRecommended", "ICCIF-species-dilution-info": "", "ICCIF-species-notes": "<p></p>", "FlowCytIntra-species-checked": "notRecommended", "FlowCytIntra-species-dilution-info": "", "FlowCytIntra-species-notes": "", "IHCP-species-checked": "notRecommended", "IHCP-species-dilution-info": "", "IHCP-species-notes": "" } } }

Product details

Patented technology
Our RabMAb® technology is a patented hybridoma-based technology for making rabbit monoclonal antibodies. For details on our patents, please refer to RabMAb® patents.

What are the advantages of a recombinant monoclonal antibody?
This product is a recombinant monoclonal antibody, which offers several advantages including:

  • - High batch-to-batch consistency and reproducibility
  • - Improved sensitivity and specificity
  • - Long-term security of supply
  • - Animal-free batch production

For more information, read more on recombinant antibodies.

Properties and storage information

Form
Liquid
Purification technique
Affinity purification Protein A
Storage buffer
pH: 7.2 - 7.4 Preservative: 0.01% Sodium azide Constituents: PBS, 40% Glycerol (glycerin, glycerine), 0.05% BSA
Shipped at conditions
Blue Ice
Appropriate short-term storage duration
1-2 weeks
Appropriate short-term storage conditions
+4°C
Appropriate long-term storage conditions
-20°C
Aliquoting information
Upon delivery aliquot
Storage information
Avoid freeze / thaw cycle

Supplementary information

This supplementary information is collated from multiple sources and compiled automatically.

Optineurin also known as OPTN is a multifunctional protein of approximately 67 kDa. It is expressed in various tissues including the retina where it plays a role in maintaining cellular functions. Optineurin interacts with several binding partners to execute its roles within the cell. It is involved in intracellular trafficking signaling and inflammation processes. As an essential component of the cellular machinery optineurin aids in proper cellular communication and responses.
Biological function summary

Optineurin influences different cellular processes notably autophagy and regulation of inflammation. It participates in forming a complex with other proteins to facilitate cargo transport and degradation via the autophagy-lysosome pathway. This function is important for removing damaged proteins and organelles ensuring cellular homeostasis. Inflammation regulation occurs through optineurin's ability to inhibit certain signaling pathways therefore modulating immune responses and preventing excessive inflammation.

Pathways

Optineurin plays a role in the NF-kB signaling pathway and the autophagic process. In NF-kB signaling it acts as a negative regulator by degrading specific signaling molecules. This regulation is necessary to prevent chronic inflammation and maintain immune balance. Within autophagy optineurin collaborates with other autophagy-related proteins like LC3 to facilitate the sequestration and clearance of cellular components preventing accumulation of damaged cellular materials.

Optineurin connects to conditions like glaucoma and amyotrophic lateral sclerosis (ALS). Mutations in the optineurin gene link to glaucoma as they can impair autophagy and lead to optic nerve damage. In the context of ALS optineurin mutations disrupt normal cellular functions contributing to motor neuron degeneration. The protein TDP-43 is often associated with ALS and interacts with optineurin in pathological processes affecting disease progression.

Product protocols

For this product, it's our understanding that no specific protocols are required. You can visit:

Target data

Plays an important role in the maintenance of the Golgi complex, in membrane trafficking, in exocytosis, through its interaction with myosin VI and Rab8 (PubMed : 27534431). Links myosin VI to the Golgi complex and plays an important role in Golgi ribbon formation (PubMed : 27534431). Plays a role in the activation of innate immune response during viral infection. Mechanistically, recruits TBK1 at the Golgi apparatus, promoting its trans-phosphorylation after RLR or TLR3 stimulation (PubMed : 27538435). In turn, activated TBK1 phosphorylates its downstream partner IRF3 to produce IFN-beta/IFNB1. Plays a neuroprotective role in the eye and optic nerve. May act by regulating membrane trafficking and cellular morphogenesis via a complex that contains Rab8 and huntingtin (HD). Mediates the interaction of Rab8 with the probable GTPase-activating protein TBC1D17 during Rab8-mediated endocytic trafficking, such as that of transferrin receptor (TFRC/TfR); regulates Rab8 recruitment to tubules emanating from the endocytic recycling compartment (PubMed : 22854040). Autophagy receptor that interacts directly with both the cargo to become degraded and an autophagy modifier of the MAP1 LC3 family; targets ubiquitin-coated bacteria (xenophagy), such as cytoplasmic Salmonella enterica, and appears to function in the same pathway as SQSTM1 and CALCOCO2/NDP52.. (Microbial infection) May constitute a cellular target for various viruses, such as adenovirus E3 14.7 or Bluetongue virus, to inhibit innate immune response (PubMed : 27538435, PubMed : 9488477). During RNA virus infection, such as that of Sendai virus, negatively regulates the induction of IFNB1 (PubMed : 20174559).
See full target information OPTN

Product promise

We are committed to supporting your work with high-quality reagents, and we're here for you every step of the way. In the unlikely event that one of our products does not perform as expected, you're protected by our Product Promise.
For full details, please see our Terms & Conditions

Please note: All products are 'FOR RESEARCH USE ONLY. NOT FOR USE IN DIAGNOSTIC OR THERAPEUTIC PROCEDURES'.

For licensing inquiries, please contact partnerships@abcam.com