JavaScript is disabled in your browser. Please enable JavaScript to view this website.
AB256507

Anti-Orexin A antibody [EPR22803-259] - BSA and Azide free

Be the first to review this product! Submit a review

|

(0 Publication)

Rabbit Recombinant Monoclonal Orexin antibody. Carrier free. Suitable for ELISA, Dot, IHC-Fr, IHC-P and reacts with Mouse, Rat, Synthetic peptide samples.

View Alternative Names

Ox, Ppox, Hcrt, Hypocretin neuropeptide precursor, Hypocretin, Orexin precursor, Prepro-orexin, Preprohypocretin

6 Images
Immunohistochemistry (Frozen sections) - Anti-Orexin A antibody [EPR22803-259] - BSA and Azide free (AB256507)
  • IHC-Fr

Unknown

Immunohistochemistry (Frozen sections) - Anti-Orexin A antibody [EPR22803-259] - BSA and Azide free (AB256507)

Immunohistochemical analysis of frozen section of 4% PFA-fixed, 0.2 % Triton X-100 permeabilized rat hypothalamus tissue labeling Orexin A with ab255294 at 1/500 dilution, followed by Goat Anti-Rabbit IgG H&L (Alexa Fluor® 488) (ab150077) at 1/1000 dilution (green). Positive staining on hypothalamic neurons (PMID : 9822755) is observed. The nuclear counterstain is DAPI (blue).

Secondary antibody only control : Used PBS instead of primary antibody, secondary antibody is Goat Anti-Rabbit IgG H&L (Alexa Fluor® 488) (ab150077) at 1/1000 dilution.

Heat mediated antigen retrieval using sodium citrate buffer (10mM citrate pH 6.0 + 0.05% Tween-20).

This data was developed using the same antibody clone in a different buffer formulation containing PBS, BSA, glycerol, and sodium azide (ab255294).

ELISA - Anti-Orexin A antibody [EPR22803-259] - BSA and Azide free (AB256507)
  • ELISA

Lab

ELISA - Anti-Orexin A antibody [EPR22803-259] - BSA and Azide free (AB256507)

Direct ELISA antigen dose-response curve using ab255294 at 1 μg/mL. Antigen (mouse Orexin A peptide) concentration of 0.488-500 ng/mL. ab97048 Goat Anti-Rabbit IgG H&L (Alkaline Phosphatase) at 1/5000 was used as the secondary antibody.

This data was developed using the same antibody clone in a different buffer formulation containing PBS, BSA, glycerol, and sodium azide (ab255294).

Immunohistochemistry (Formalin/PFA-fixed paraffin-embedded sections) - Anti-Orexin A antibody [EPR22803-259] - BSA and Azide free (AB256507)
  • IHC-P

Unknown

Immunohistochemistry (Formalin/PFA-fixed paraffin-embedded sections) - Anti-Orexin A antibody [EPR22803-259] - BSA and Azide free (AB256507)

Immunohistochemical analysis of paraffin-embedded mouse hypothalamus tissue labeling Orexin A with ab255294 at 1/1000 dilution, followed by Rabbit specific IHC polymer detection kit HRP/DAB (ab209101). Cytoplasmic staining in mouse hypothalamus (PMID : 9419374) is observed. Counterstained with hematoxylin.

Secondary antibody only control : Used PBS instead of primary antibody, secondary antibody is Rabbit specific IHC polymer detection kit HRP/DAB (ab209101).

Heat mediated antigen retrieval with Tris-EDTA buffer (pH 9.0, epitope retrieval solution 2) for 20 mins.

The section was incubated with ab255294 for 15 mins at room temperature.

The immunostaining was performed on a Leica Biosystems BOND® RX instrument.

This data was developed using the same antibody clone in a different buffer formulation containing PBS, BSA, glycerol, and sodium azide (ab255294).

Immunohistochemistry (Frozen sections) - Anti-Orexin A antibody [EPR22803-259] - BSA and Azide free (AB256507)
  • IHC-Fr

Unknown

Immunohistochemistry (Frozen sections) - Anti-Orexin A antibody [EPR22803-259] - BSA and Azide free (AB256507)

Immunohistochemical analysis of frozen section of 4% PFA-fixed, 0.2 % Triton X-100 permeabilized mouse hypothalamus tissue labeling Orexin A with ab255294 at 1/500 dilution, followed by Goat Anti-Rabbit IgG H&L (Alexa Fluor® 488) (ab150077) at 1/1000 dilution (green). Positive staining on hypothalamic neurons (PMID : 9822755) is observed. The nuclear counterstain is DAPI (blue).

Secondary antibody only control : Used PBS instead of primary antibody, secondary antibody is Goat Anti-Rabbit IgG H&L (Alexa Fluor® 488) (ab150077) at 1/1000 dilution.

Heat mediated antigen retrieval using sodium citrate buffer (10mM citrate pH 6.0 + 0.05% Tween-20).

This data was developed using the same antibody clone in a different buffer formulation containing PBS, BSA, glycerol, and sodium azide (ab255294).

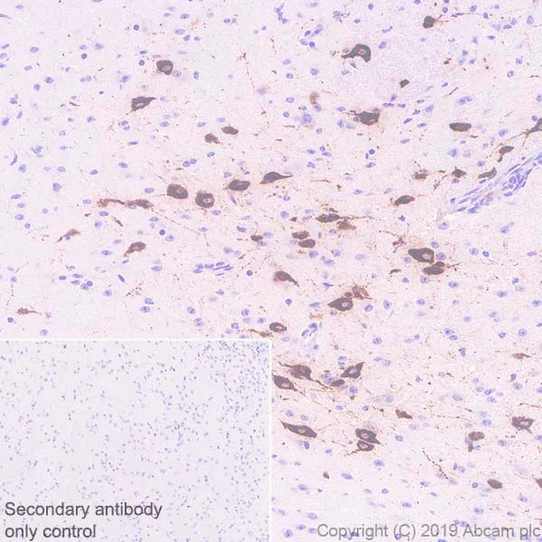
Immunohistochemistry (Formalin/PFA-fixed paraffin-embedded sections) - Anti-Orexin A antibody [EPR22803-259] - BSA and Azide free (AB256507)
  • IHC-P

Unknown

Immunohistochemistry (Formalin/PFA-fixed paraffin-embedded sections) - Anti-Orexin A antibody [EPR22803-259] - BSA and Azide free (AB256507)

Immunohistochemical analysis of paraffin-embedded rat hypothalamus tissue labeling Orexin A with ab255294 at 1/1000 dilution, followed by Rabbit specific IHC polymer detection kit HRP/DAB (ab209101). Cytoplasmic staining in rat hypothalamus (PMID : 9419374) is observed. Counterstained with hematoxylin.

Secondary antibody only control : Used PBS instead of primary antibody, secondary antibody is Rabbit specific IHC polymer detection kit HRP/DAB (ab209101).

Heat mediated antigen retrieval with Tris-EDTA buffer (pH 9.0, epitope retrieval solution 2) for 20 mins.

The section was incubated with ab255294 for 15 mins at room temperature.

The immunostaining was performed on a Leica Biosystems BOND® RX instrument.

This data was developed using the same antibody clone in a different buffer formulation containing PBS, BSA, glycerol, and sodium azide (ab255294).

Dot Blot - Anti-Orexin A antibody [EPR22803-259] - BSA and Azide free (AB256507)
  • Dot

Unknown

Dot Blot - Anti-Orexin A antibody [EPR22803-259] - BSA and Azide free (AB256507)

Dot blot analysis of Orexin A labeled with ab255294 at 1/1000 dilution.

Lane 1 : Mouse Orexin A peptide (aa33-65).
Lane 2 : Mouse Orexin B peptide (aa69-96).

Blocking and dilution buffer : 5% NFDM/TBST.

Exposure time : 3 minutes.

This data was developed using the same antibody clone in a different buffer formulation containing PBS, BSA, glycerol, and sodium azide (ab255294).

Key facts

Host species

Rabbit

Clonality

Monoclonal

Clone number

EPR22803-259

Isotype

IgG

Carrier free

Yes

Reacts with

Mouse, Rat

Applications

IHC-Fr, IHC-P, Dot, ELISA

applications

Immunogen

The exact immunogen used to generate this antibody is proprietary information.

Reactivity data

{ "title": "Reactivity Data", "filters": { "stats": ["", "Species", "Dilution Info", "Notes"], "tabs": { "all-applications": {"fullname" : "All Applications", "shortname": "All Applications"}, "IP" : {"fullname" : "Immunoprecipitation", "shortname":"IP"}, "FlowCyt" : {"fullname" : "Flow Cytometry", "shortname":"Flow Cyt"}, "ELISA" : {"fullname" : "ELISA", "shortname":"ELISA"}, "Dot" : {"fullname" : "Dot Blot", "shortname":"Dot"}, "ICCIF" : {"fullname" : "Immunocytochemistry/ Immunofluorescence", "shortname":"ICC/IF"}, "IHCFr" : {"fullname" : "Immunohistochemistry (Frozen sections)", "shortname":"IHC-Fr"}, "IHCP" : {"fullname" : "Immunohistochemistry (Formalin/PFA-fixed paraffin-embedded sections)", "shortname":"IHC-P"} }, "product-promise": { "all": "all", "testedAndGuaranteed": "tested", "guaranteed": "expected", "predicted": "predicted", "notRecommended": "not-recommended" } }, "values": { "Mouse": { "IP-species-checked": "notRecommended", "IP-species-dilution-info": "", "IP-species-notes": "<p></p> Perform heat-mediated antigen retrieval with Tris/EDTA buffer pH 9.0 before commencing with IHC staining protocol.", "FlowCyt-species-checked": "notRecommended", "FlowCyt-species-dilution-info": "", "FlowCyt-species-notes": "<p></p>", "ELISA-species-checked": "testedAndGuaranteed", "ELISA-species-dilution-info": "", "ELISA-species-notes": "<p></p>", "Dot-species-checked": "guaranteed", "Dot-species-dilution-info": "", "Dot-species-notes": "", "ICCIF-species-checked": "notRecommended", "ICCIF-species-dilution-info": "", "ICCIF-species-notes": "<p></p>", "IHCFr-species-checked": "testedAndGuaranteed", "IHCFr-species-dilution-info": "", "IHCFr-species-notes": "<p>Heat mediated antigen retrieval using sodium citrate buffer (10mM citrate pH 6.0 + 0.05% Tween-20).</p>", "IHCP-species-checked": "testedAndGuaranteed", "IHCP-species-dilution-info": "", "IHCP-species-notes": "<p></p> Perform heat-mediated antigen retrieval with Tris/EDTA buffer pH 9.0 before commencing with IHC staining protocol." }, "Rat": { "IP-species-checked": "notRecommended", "IP-species-dilution-info": "", "IP-species-notes": "<p></p>", "FlowCyt-species-checked": "notRecommended", "FlowCyt-species-dilution-info": "", "FlowCyt-species-notes": "<p></p>", "ELISA-species-checked": "guaranteed", "ELISA-species-dilution-info": "", "ELISA-species-notes": "", "Dot-species-checked": "guaranteed", "Dot-species-dilution-info": "", "Dot-species-notes": "", "ICCIF-species-checked": "notRecommended", "ICCIF-species-dilution-info": "", "ICCIF-species-notes": "<p></p>", "IHCFr-species-checked": "testedAndGuaranteed", "IHCFr-species-dilution-info": "", "IHCFr-species-notes": "<p>Heat mediated antigen retrieval using sodium citrate buffer (10mM citrate pH 6.0 + 0.05% Tween-20).</p>", "IHCP-species-checked": "testedAndGuaranteed", "IHCP-species-dilution-info": "", "IHCP-species-notes": "<p></p> Perform heat-mediated antigen retrieval with Tris/EDTA buffer pH 9.0 before commencing with IHC staining protocol." }, "Synthetic peptide": { "IP-species-checked": "notRecommended", "IP-species-dilution-info": "", "IP-species-notes": "", "FlowCyt-species-checked": "notRecommended", "FlowCyt-species-dilution-info": "", "FlowCyt-species-notes": "", "ELISA-species-checked": "notRecommended", "ELISA-species-dilution-info": "", "ELISA-species-notes": "", "Dot-species-checked": "testedAndGuaranteed", "Dot-species-dilution-info": "", "Dot-species-notes": "<p></p>", "ICCIF-species-checked": "notRecommended", "ICCIF-species-dilution-info": "", "ICCIF-species-notes": "", "IHCFr-species-checked": "notRecommended", "IHCFr-species-dilution-info": "", "IHCFr-species-notes": "", "IHCP-species-checked": "notRecommended", "IHCP-species-dilution-info": "", "IHCP-species-notes": "" } } }

Product details

ab256507 is the carrier-free version of ab255294.

Patented technology
Our RabMAb® technology is a patented hybridoma-based technology for making rabbit monoclonal antibodies. For details on our patents, please refer to RabMAb® patents.

What are the advantages of a recombinant monoclonal antibody?
This product is a recombinant monoclonal antibody, which offers several advantages including:

  • - High batch-to-batch consistency and reproducibility
  • - Improved sensitivity and specificity
  • - Long-term security of supply
  • - Animal-free batch production

For more information, read more on recombinant antibodies.

Conjugation ready
Our carrier-free antibodies are typically supplied in a PBS-only formulation, purified and free of BSA, sodium azide and glycerol. This conjugation-ready format is designed for use with fluorochromes, metal isotopes, oligonucleotides, and enzymes, which makes them ideal for antibody labelling, functional and cell-based assays, flow-based assays (e.g. mass cytometry) and Multiplex Imaging applications.

Use our conjugation kits for antibody conjugates that are ready-to-use in as little as 20 minutes with 1 minute hands-on-time and 100% antibody recovery: available for fluorescent dyes, HRP, biotin and gold.

Compatibility
This product is compatible with the Maxpar® Antibody Labeling Kit from Fluidigm, without the need for antibody preparation. Maxpar® is a trademark of Fluidigm Canada Inc.

Properties and storage information

Form
Liquid
Purification technique
Affinity purification Protein A
Storage buffer
pH: 7.2 - 7.4 Constituents: PBS
Shipped at conditions
Blue Ice
Appropriate short-term storage conditions
+4°C
Appropriate long-term storage conditions
+4°C
Storage information
Do Not Freeze

Supplementary information

This supplementary information is collated from multiple sources and compiled automatically.

Orexin A also known as orexin-a peptide or orexin a is a neuropeptide involved in various physiological processes. It has a molecular mass of approximately 3.5 kDa and consists of 33 amino acids. Orexin A is mainly produced in the lateral hypothalamus. It has a significant presence in the central nervous system where it binds to orexin receptors to stimulate neuronal activity. Despite being small it plays an important role in modulating multiple physiological functions across different systems in the body.
Biological function summary

Orexin A influences sleep-wake cycles and energy homeostasis. It acts independently not as part of a larger protein complex. It promotes wakefulness and regulates feeding behavior by activating orexin receptors which are G-protein-coupled receptors. These receptors are widely distributed throughout the brain indicating orexin A's role in maintaining alertness and energy expenditure. Furthermore it has interactions with several neuropeptides and neurotransmitters affecting reward systems and stress responses.

Pathways

The involvement of orexin A spans the sleep-wake regulation and energy metabolism pathways. This neuropeptide's function in the sleep-wake cycle involves interaction with neurotransmitters like norepinephrine and dopamine which enhance arousal. In energy metabolism it collaborates with proteins such as leptin and ghrelin influencing appetite and feeding behavior. Orexin A's ability to activate these pathways is important for the maintenance of energy balance and vigilance.

Orexin A has strong connections to narcolepsy and metabolic disorders such as obesity. In narcolepsy a deficiency or lack of orexin neurons leads to disrupted sleep-wake cycles resulting in excessive daytime sleepiness. Orexin antagonist drugs have been studied for their potential in treating insomnia by modulating its pathway. In metabolic disorders orexin A’s regulatory function on appetite links it to obesity where an imbalance in orexin signaling might affect energy expenditure. It interacts with leptin and insulin indicating its pivotal role in maintaining metabolic homeostasis.

Product protocols

For this product, it's our understanding that no specific protocols are required. You can visit:

Target data

Neuropeptides that play a significant role in the regulation of food intake and sleep-wakefulness, possibly by coordinating the complex behavioral and physiologic responses of these complementary homeostatic functions. A broader role in the homeostatic regulation of energy metabolism, autonomic function, hormonal balance and the regulation of body fluids, is also suggested.. Orexin-A. Binds to orexin receptors HCRTR1/OX1R and HCRTR2/OX2R with a high affinity (By similarity). Stimulates food intake (By similarity). Modulates pituitary luteinizing hormone secretion in an ovarian steroid-dependent manner (By similarity).. Orexin-B. Binds to orexin receptor HCRTR2/OX2R only (By similarity). Stimulates food intake (By similarity). Modulates pituitary luteinizing hormone secretion in an ovarian steroid-dependent manner (By similarity).
See full target information Hcrt

Product promise

We are committed to supporting your work with high-quality reagents, and we're here for you every step of the way. In the unlikely event that one of our products does not perform as expected, you're protected by our Product Promise.
For full details, please see our Terms & Conditions

Please note: All products are 'FOR RESEARCH USE ONLY. NOT FOR USE IN DIAGNOSTIC OR THERAPEUTIC PROCEDURES'.

For licensing inquiries, please contact partnerships@abcam.com