JavaScript is disabled in your browser. Please enable JavaScript to view this website.
AB255293

Anti-Orexin B antibody [EPR22803-18]

Be the first to review this product! Submit a review

|

(2 Publications)

Rabbit Recombinant Monoclonal Orexin antibody. Suitable for ELISA, Dot, IHC-Fr, IHC-P and reacts with Synthetic peptide - Mouse, Synthetic peptide - Human, Synthetic peptide - Rat, Mouse, Rat samples. Cited in 2 publications.

View Alternative Names

Ox, Ppox, Hcrt, Hypocretin neuropeptide precursor, Hypocretin, Orexin precursor, Prepro-orexin, Preprohypocretin

6 Images
Immunohistochemistry (Formalin/PFA-fixed paraffin-embedded sections) - Anti-Orexin B antibody [EPR22803-18] (AB255293)
  • IHC-P

Unknown

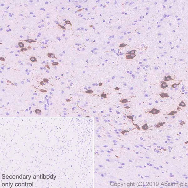
Immunohistochemistry (Formalin/PFA-fixed paraffin-embedded sections) - Anti-Orexin B antibody [EPR22803-18] (AB255293)

Immunohistochemical analysis of paraffin-embedded rat hypothalamus tissue labeling Orexin B with ab255293 at 1/1000 dilution (0.468 μg/ml) followed by a ready to use Rabbit specific IHC polymer detection kit HRP/DAB (ab209101). Cytoplasmic staining in rat hypothalamus (PMID : 9419374) is observed. The section was incubated with ab255293 for 15 mins at room temperature. The immunostaining was performed on a Leica Biosystems BOND® RX instrument Counterstained with hematoxylin. Heat mediated antigen retrieval with Tris-EDTA buffer (pH 9.0, epitope retrieval solution 2) for 20 mins.

Secondary antibody only control : Used PBS instead of primary antibody, secondary antibody is a ready to use Rabbit specific IHC polymer detection kit HRP/DAB (ab209101).

Immunohistochemistry (Formalin/PFA-fixed paraffin-embedded sections) - Anti-Orexin B antibody [EPR22803-18] (AB255293)
  • IHC-P

Unknown

Immunohistochemistry (Formalin/PFA-fixed paraffin-embedded sections) - Anti-Orexin B antibody [EPR22803-18] (AB255293)

Immunohistochemical analysis of paraffin-embedded mouse hypothalamus tissue labeling Orexin B with ab255293 at 1/1000 dilution (0.468 μg/ml) followed by a ready to use Rabbit specific IHC polymer detection kit HRP/DAB (ab209101). Cytoplasmic staining in mouse hypothalamus (PMID : 9419374) is observed. The section was incubated with ab255293 for 15 mins at room temperature. The immunostaining was performed on a Leica Biosystems BOND® RX instrument Counterstained with hematoxylin. Heat mediated antigen retrieval with Tris-EDTA buffer (pH 9.0, epitope retrieval solution 2) for 20 mins.

Secondary antibody only control : Used PBS instead of primary antibody, secondary antibody is a ready to use Rabbit specific IHC polymer detection kit HRP/DAB (ab209101).

Immunohistochemistry (Frozen sections) - Anti-Orexin B antibody [EPR22803-18] (AB255293)
  • IHC-Fr

Unknown

Immunohistochemistry (Frozen sections) - Anti-Orexin B antibody [EPR22803-18] (AB255293)

Immunohistochemical analysis of 4% PFA fixed 0.2% Triton X-100 permeabilized frozen rat hypothalamus tissue labeling Orexin B with ab255293 at 1/500 (0.94 μg/ml) dilution followed by ab150077 AlexaFluor®488 Goat anti-Rabbit secondary at 1/1000 (2 μg/ml) dilution. The nuclear counterstain was DAPI (Blue). Heat mediated antigen retrieval using sodium citrate buffer (10mM citrate pH 6.0 + 0.05% Tween-20).

Secondary antibody only control : Used PBS instead of primary antibody, secondary antibody was ab150077 AlexaFluor®488 Goat anti-Rabbit secondary at 1/1000 (2 μg/ml) dilution.

Positive staining on hypothalamic neurons (PMID : 9822755).

Immunohistochemistry (Frozen sections) - Anti-Orexin B antibody [EPR22803-18] (AB255293)
  • IHC-Fr

Unknown

Immunohistochemistry (Frozen sections) - Anti-Orexin B antibody [EPR22803-18] (AB255293)

Immunohistochemical analysis of 4% PFA fixed 0.2% Triton X-100 permeabilized frozen mouse hypothalamus tissue labeling Orexin B with ab255293 at 1/500 (0.94 μg/ml) dilution followed by ab150077 AlexaFluor®488 Goat anti-Rabbit secondary at 1/1000 (2 μg/ml) dilution. The nuclear counterstain was DAPI (Blue). Heat mediated antigen retrieval using sodium citrate buffer (10mM citrate pH 6.0 + 0.05% Tween-20).

Secondary antibody only control : Used PBS instead of primary antibody, secondary antibody was ab150077 AlexaFluor®488 Goat anti-Rabbit secondary at 1/1000 (2 μg/ml) dilution.

Positive staining on hypothalamic neurons (PMID : 9822755).

ELISA - Anti-Orexin B antibody [EPR22803-18] (AB255293)
  • ELISA

Lab

ELISA - Anti-Orexin B antibody [EPR22803-18] (AB255293)

Direct ELISA antigen dose-response curve using ab255293 at 1 μg/mL. Antigen (mouse Orexin B peptide) concentration of 0.488-500 ng/mL. ab97048 Goat Anti-Rabbit IgG H&L (Alkaline Phosphatase) at 1/5000 was used as the secondary antibody.

Dot Blot - Anti-Orexin B antibody [EPR22803-18] (AB255293)
  • Dot

Unknown

Dot Blot - Anti-Orexin B antibody [EPR22803-18] (AB255293)

Dot Blot - Anti-Orexin B antibody [EPR22803-18] (ab255293 at a 1/1000 dilution).

Lane 1 : Orexin A peptide (aa33-65).

Lane 2 : Orexin B peptide (aa69-96).

Blocking/Dilution buffer : 5% NFDM/TBST.

Goat Anti-Rabbit IgG, (H+L), Peroxidase conjugated (ab97051 at a 1/100000 dilution) secondary antibody.

Exposure time 3 mins.

  • Carrier free

    Anti-Orexin B antibody [EPR22803-18] - BSA and Azide free

Key facts

Host species

Rabbit

Clonality

Monoclonal

Clone number

EPR22803-18

Isotype

IgG

Carrier free

No

Reacts with

Mouse, Rat

Applications

IHC-Fr, IHC-P, ELISA, Dot

applications

Immunogen

The exact immunogen used to generate this antibody is proprietary information.

Reactivity data

{ "title": "Reactivity Data", "filters": { "stats": ["", "Species", "Dilution Info", "Notes"], "tabs": { "all-applications": {"fullname" : "All Applications", "shortname": "All Applications"}, "IP" : {"fullname" : "Immunoprecipitation", "shortname":"IP"}, "FlowCyt" : {"fullname" : "Flow Cytometry", "shortname":"Flow Cyt"}, "ELISA" : {"fullname" : "ELISA", "shortname":"ELISA"}, "Dot" : {"fullname" : "Dot Blot", "shortname":"Dot"}, "WB" : {"fullname" : "Western blot", "shortname":"WB"}, "ICCIF" : {"fullname" : "Immunocytochemistry/ Immunofluorescence", "shortname":"ICC/IF"}, "IHCFr" : {"fullname" : "Immunohistochemistry (Frozen sections)", "shortname":"IHC-Fr"}, "IHCP" : {"fullname" : "Immunohistochemistry (Formalin/PFA-fixed paraffin-embedded sections)", "shortname":"IHC-P"} }, "product-promise": { "all": "all", "testedAndGuaranteed": "tested", "guaranteed": "expected", "predicted": "predicted", "notRecommended": "not-recommended" } }, "values": { "Human": { "IP-species-checked": "notRecommended", "IP-species-dilution-info": "", "IP-species-notes": "", "FlowCyt-species-checked": "notRecommended", "FlowCyt-species-dilution-info": "", "FlowCyt-species-notes": "", "ELISA-species-checked": "notRecommended", "ELISA-species-dilution-info": "", "ELISA-species-notes": "", "Dot-species-checked": "notRecommended", "Dot-species-dilution-info": "", "Dot-species-notes": "", "WB-species-checked": "notRecommended", "WB-species-dilution-info": "", "WB-species-notes": "<p></p>", "ICCIF-species-checked": "notRecommended", "ICCIF-species-dilution-info": "", "ICCIF-species-notes": "", "IHCFr-species-checked": "notRecommended", "IHCFr-species-dilution-info": "", "IHCFr-species-notes": "", "IHCP-species-checked": "notRecommended", "IHCP-species-dilution-info": "", "IHCP-species-notes": "" }, "Mouse": { "IP-species-checked": "notRecommended", "IP-species-dilution-info": "", "IP-species-notes": "<p></p>", "FlowCyt-species-checked": "notRecommended", "FlowCyt-species-dilution-info": "", "FlowCyt-species-notes": "<p></p>", "ELISA-species-checked": "guaranteed", "ELISA-species-dilution-info": "", "ELISA-species-notes": "", "Dot-species-checked": "guaranteed", "Dot-species-dilution-info": "", "Dot-species-notes": "", "WB-species-checked": "notRecommended", "WB-species-dilution-info": "", "WB-species-notes": "<p></p>", "ICCIF-species-checked": "notRecommended", "ICCIF-species-dilution-info": "", "ICCIF-species-notes": "<p></p>", "IHCFr-species-checked": "testedAndGuaranteed", "IHCFr-species-dilution-info": "1/500", "IHCFr-species-notes": "<p>Perform heat mediated antigen retrieval with citrate buffer pH 6.0 before commencing with IHC staining protocol.</p>", "IHCP-species-checked": "testedAndGuaranteed", "IHCP-species-dilution-info": "1/1000", "IHCP-species-notes": "<p></p>" }, "Rat": { "IP-species-checked": "notRecommended", "IP-species-dilution-info": "", "IP-species-notes": "", "FlowCyt-species-checked": "notRecommended", "FlowCyt-species-dilution-info": "", "FlowCyt-species-notes": "<p></p>", "ELISA-species-checked": "guaranteed", "ELISA-species-dilution-info": "", "ELISA-species-notes": "", "Dot-species-checked": "guaranteed", "Dot-species-dilution-info": "", "Dot-species-notes": "", "WB-species-checked": "notRecommended", "WB-species-dilution-info": "", "WB-species-notes": "<p></p>", "ICCIF-species-checked": "notRecommended", "ICCIF-species-dilution-info": "", "ICCIF-species-notes": "<p></p>", "IHCFr-species-checked": "testedAndGuaranteed", "IHCFr-species-dilution-info": "1/500", "IHCFr-species-notes": "<p>Perform heat mediated antigen retrieval with citrate buffer pH 6.0 before commencing with IHC staining protocol.</p>", "IHCP-species-checked": "testedAndGuaranteed", "IHCP-species-dilution-info": "1/1000", "IHCP-species-notes": "<p></p>" }, "Synthetic peptide - Human": { "IP-species-checked": "notRecommended", "IP-species-dilution-info": "", "IP-species-notes": "", "FlowCyt-species-checked": "notRecommended", "FlowCyt-species-dilution-info": "", "FlowCyt-species-notes": "", "ELISA-species-checked": "testedAndGuaranteed", "ELISA-species-dilution-info": "1 µg/mL", "ELISA-species-notes": "<p></p>", "Dot-species-checked": "notRecommended", "Dot-species-dilution-info": "", "Dot-species-notes": "", "WB-species-checked": "notRecommended", "WB-species-dilution-info": "", "WB-species-notes": "", "ICCIF-species-checked": "notRecommended", "ICCIF-species-dilution-info": "", "ICCIF-species-notes": "", "IHCFr-species-checked": "notRecommended", "IHCFr-species-dilution-info": "", "IHCFr-species-notes": "", "IHCP-species-checked": "notRecommended", "IHCP-species-dilution-info": "", "IHCP-species-notes": "" }, "Synthetic peptide - Mouse": { "IP-species-checked": "notRecommended", "IP-species-dilution-info": "", "IP-species-notes": "", "FlowCyt-species-checked": "notRecommended", "FlowCyt-species-dilution-info": "", "FlowCyt-species-notes": "", "ELISA-species-checked": "testedAndGuaranteed", "ELISA-species-dilution-info": "1 µg/mL", "ELISA-species-notes": "<p></p>", "Dot-species-checked": "testedAndGuaranteed", "Dot-species-dilution-info": "1/1000", "Dot-species-notes": "<p></p>", "WB-species-checked": "notRecommended", "WB-species-dilution-info": "", "WB-species-notes": "", "ICCIF-species-checked": "notRecommended", "ICCIF-species-dilution-info": "", "ICCIF-species-notes": "", "IHCFr-species-checked": "notRecommended", "IHCFr-species-dilution-info": "", "IHCFr-species-notes": "", "IHCP-species-checked": "notRecommended", "IHCP-species-dilution-info": "", "IHCP-species-notes": "" }, "Synthetic peptide - Rat": { "IP-species-checked": "notRecommended", "IP-species-dilution-info": "", "IP-species-notes": "", "FlowCyt-species-checked": "notRecommended", "FlowCyt-species-dilution-info": "", "FlowCyt-species-notes": "", "ELISA-species-checked": "testedAndGuaranteed", "ELISA-species-dilution-info": "1 µg/mL", "ELISA-species-notes": "<p></p>", "Dot-species-checked": "notRecommended", "Dot-species-dilution-info": "", "Dot-species-notes": "", "WB-species-checked": "notRecommended", "WB-species-dilution-info": "", "WB-species-notes": "", "ICCIF-species-checked": "notRecommended", "ICCIF-species-dilution-info": "", "ICCIF-species-notes": "", "IHCFr-species-checked": "notRecommended", "IHCFr-species-dilution-info": "", "IHCFr-species-notes": "", "IHCP-species-checked": "notRecommended", "IHCP-species-dilution-info": "", "IHCP-species-notes": "" } } }

Product details

Patented technology
Our RabMAb® technology is a patented hybridoma-based technology for making rabbit monoclonal antibodies. For details on our patents, please refer to RabMAb® patents.

What are the advantages of a recombinant monoclonal antibody?
This product is a recombinant monoclonal antibody, which offers several advantages including:

  • - High batch-to-batch consistency and reproducibility
  • - Improved sensitivity and specificity
  • - Long-term security of supply
  • - Animal-free batch production

For more information, read more on recombinant antibodies.

Properties and storage information

Form
Liquid
Purification technique
Affinity purification Protein A
Storage buffer
pH: 7.2 - 7.4 Preservative: 0.01% Sodium azide Constituents: PBS, 40% Glycerol (glycerin, glycerine), 0.05% BSA
Shipped at conditions
Blue Ice
Appropriate short-term storage duration
1-2 weeks
Appropriate short-term storage conditions
+4°C
Appropriate long-term storage conditions
-20°C
Aliquoting information
Upon delivery aliquot
Storage information
Avoid freeze / thaw cycle

Supplementary information

This supplementary information is collated from multiple sources and compiled automatically.

Orexin B also known as hypocretin 2 is a neuropeptide with a molecular mass of about 2 kDa. It is one of the two types of orexins the other being orexin A. Orexin B is produced in the lateral hypothalamus and is found mainly in the brain. The neuropeptide binds to the orexin receptor type 2 (HCRTR2) to initiate its actions. The lateral hypothalamus synthesizes orexin B and then it is distributed broadly across neurological circuits. Orexin B plays an important role in regulating wakefulness and food intake by interacting with its receptor.
Biological function summary

Orexin B influences wakefulness energy metabolism and appetite regulation. It does not function alone but as part of the broader orexin neuropeptide system which includes orexin A and their respective receptors forming a regulatory network. The actions of orexin B impact the arousal system effectively enhancing alertness when appropriately activated. The neuropeptide's modulation of the sleep-wake cycle and feeding behaviors indicates its relevance in maintaining critical homeostatic circuits within the central nervous system.

Pathways

Orexin B is significantly involved in the sleep-wake cycle and feeding regulatory pathways. Within these pathways orexin B interacts closely with neurotransmitters and receptors like norepinephrine and the HCRTR2 receptor. This interaction supports its role in maintaining wakefulness and energy balance. During activation orexin B influences the locus coeruleus an important site of noradrenergic neuron activity linking it to broader neurophysiological processes critical to arousal and stress response mechanisms.

Disruptions in orexin B activity lead to conditions such as narcolepsy and obesity. Narcolepsy a sleep disorder characterized by debilitating daytime drowsiness connects to changes in orexin signaling particularly those affecting orexin receptors and their interaction with orexin A. Orexin B's relation to obesity stems from its influence on food intake and energy balance bridging metabolic disorders and neuropathological conditions. Research into these connections emphasizes the therapeutic potential of targeting this neuropeptide system to manage sleep disorders and metabolic diseases.

Product protocols

For this product, it's our understanding that no specific protocols are required. You can visit:

Target data

Neuropeptides that play a significant role in the regulation of food intake and sleep-wakefulness, possibly by coordinating the complex behavioral and physiologic responses of these complementary homeostatic functions. A broader role in the homeostatic regulation of energy metabolism, autonomic function, hormonal balance and the regulation of body fluids, is also suggested.. Orexin-A. Binds to orexin receptors HCRTR1/OX1R and HCRTR2/OX2R with a high affinity (By similarity). Stimulates food intake (By similarity). Modulates pituitary luteinizing hormone secretion in an ovarian steroid-dependent manner (By similarity).. Orexin-B. Binds to orexin receptor HCRTR2/OX2R only (By similarity). Stimulates food intake (By similarity). Modulates pituitary luteinizing hormone secretion in an ovarian steroid-dependent manner (By similarity).
See full target information Hcrt

Publications (2)

Recent publications for all applications. Explore the full list and refine your search

Communications biology 8:514 PubMed40155473

2025

Defining gastric cancer ecology: the crucial roles of TREM2 macrophages and fibroblasts in tumor microenvironments.

Applications

Unspecified application

Species

Unspecified reactive species

Qianqian Cao,Dianshui Sun,Can Tu,Jihua Wang,Runjia Fu,Rumei Gong,Yueying Xiao,Qin Liu,Xiaomei Li

Neuropsychopharmacology : official publication of the American College of Neuropsychopharmacology 49:1468-1480 PubMed38734818

2024

Ventral subiculum promotes wakefulness through several pathways in male mice.

Applications

Unspecified application

Species

Unspecified reactive species

Xue-Fen Zhang,Yi-Dan Li,Yue Li,Ying Li,Dan Xu,Lin-Lin Bi,Hai-Bo Xu
View all publications

Product promise

We are committed to supporting your work with high-quality reagents, and we're here for you every step of the way. In the unlikely event that one of our products does not perform as expected, you're protected by our Product Promise.
For full details, please see our Terms & Conditions

Please note: All products are 'FOR RESEARCH USE ONLY. NOT FOR USE IN DIAGNOSTIC OR THERAPEUTIC PROCEDURES'.

For licensing inquiries, please contact partnerships@abcam.com