JavaScript is disabled in your browser. Please enable JavaScript to view this website.
AB244243

Anti-Ornithine Carbamoyltransferase/OTC antibody

Be the first to review this product! Submit a review

|

(2 Publications)

Rabbit Polyclonal Ornithine Carbamoyltransferase/OTC antibody. Suitable for IHC-P, WB, ICC/IF and reacts with Human samples. Cited in 2 publications. Immunogen corresponding to Recombinant Fragment Protein within Human Ornithine transcarbamylase, mitochondrial aa 150-300.

View Alternative Names

OTCase, OTC

9 Images
Immunohistochemistry (Formalin/PFA-fixed paraffin-embedded sections) - Anti-Ornithine Carbamoyltransferase/OTC antibody (AB244243)
  • IHC-P

Unknown

Immunohistochemistry (Formalin/PFA-fixed paraffin-embedded sections) - Anti-Ornithine Carbamoyltransferase/OTC antibody (AB244243)

Formalin-fixed, paraffin-embedded human liver cancer tissue stained for Ornithine Carbamoyltransferase/OTC with ab244243 at a 1/2500 dilution in immunohistochemical analysis.

Immunohistochemistry (Formalin/PFA-fixed paraffin-embedded sections) - Anti-Ornithine Carbamoyltransferase/OTC antibody (AB244243)
  • IHC-P

Unknown

Immunohistochemistry (Formalin/PFA-fixed paraffin-embedded sections) - Anti-Ornithine Carbamoyltransferase/OTC antibody (AB244243)

Formalin-fixed, paraffin-embedded human cerebral cortex tissue stained for Ornithine Carbamoyltransferase/OTC with ab244243 at a 1/2500 dilution in immunohistochemical analysis.

Immunohistochemistry (Formalin/PFA-fixed paraffin-embedded sections) - Anti-Ornithine Carbamoyltransferase/OTC antibody (AB244243)
  • IHC-P

Unknown

Immunohistochemistry (Formalin/PFA-fixed paraffin-embedded sections) - Anti-Ornithine Carbamoyltransferase/OTC antibody (AB244243)

Formalin-fixed, paraffin-embedded human small intestine tissue stained for Ornithine Carbamoyltransferase/OTC with ab244243 at a 1/2500 dilution in immunohistochemical analysis.

Immunohistochemistry (Formalin/PFA-fixed paraffin-embedded sections) - Anti-Ornithine Carbamoyltransferase/OTC antibody (AB244243)
  • IHC-P

Supplier Data

Immunohistochemistry (Formalin/PFA-fixed paraffin-embedded sections) - Anti-Ornithine Carbamoyltransferase/OTC antibody (AB244243)

Formalin-fixed, paraffin-embedded human testis tissue stained for Ornithine Carbamoyltransferase/OTC with ab244243 at a 1/2500 dilution in immunohistochemical analysis.

Immunocytochemistry/ Immunofluorescence - Anti-Ornithine Carbamoyltransferase/OTC antibody (AB244243)
  • ICC/IF

Unknown

Immunocytochemistry/ Immunofluorescence - Anti-Ornithine Carbamoyltransferase/OTC antibody (AB244243)

PFA fixed, Triton X-100 permeabilized U-2 OS (Human bone osteosarcoma epithelial cell line) cells labeling Ornithine Carbamoyltransferase/OTC using ab244243 at 4 μg/ml (green) in ICC/IF.

Immunohistochemistry (Formalin/PFA-fixed paraffin-embedded sections) - Anti-Ornithine Carbamoyltransferase/OTC antibody (AB244243)
  • IHC-P

Unknown

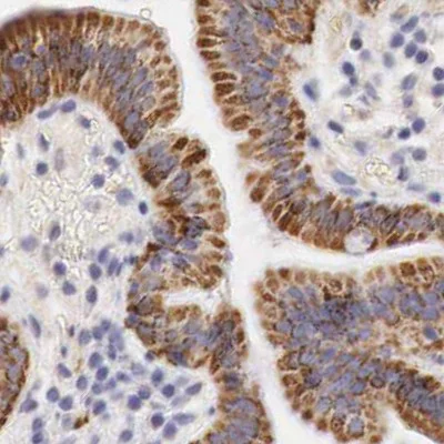
Immunohistochemistry (Formalin/PFA-fixed paraffin-embedded sections) - Anti-Ornithine Carbamoyltransferase/OTC antibody (AB244243)

Formalin-fixed, paraffin-embedded human duodenum tissue stained for Ornithine Carbamoyltransferase/OTC with ab244243 at a 1/2500 dilution in immunohistochemical analysis.

Immunohistochemistry (Formalin/PFA-fixed paraffin-embedded sections) - Anti-Ornithine Carbamoyltransferase/OTC antibody (AB244243)
  • IHC-P

Unknown

Immunohistochemistry (Formalin/PFA-fixed paraffin-embedded sections) - Anti-Ornithine Carbamoyltransferase/OTC antibody (AB244243)

Formalin-fixed, paraffin-embedded human liver tissue stained for Ornithine Carbamoyltransferase/OTC with ab244243 at a 1/2500 dilution in immunohistochemical analysis.

Immunohistochemistry (Formalin/PFA-fixed paraffin-embedded sections) - Anti-Ornithine Carbamoyltransferase/OTC antibody (AB244243)
  • IHC-P

Unknown

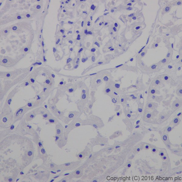
Immunohistochemistry (Formalin/PFA-fixed paraffin-embedded sections) - Anti-Ornithine Carbamoyltransferase/OTC antibody (AB244243)

Formalin-fixed, paraffin-embedded human kidney tissue stained for Ornithine Carbamoyltransferase/OTC with ab244243 at a 1/2500 dilution in immunohistochemical analysis.

No positivity as expected.

Western blot - Anti-Ornithine Carbamoyltransferase/OTC antibody (AB244243)
  • WB

Supplier Data

Western blot - Anti-Ornithine Carbamoyltransferase/OTC antibody (AB244243)

All lanes:

Western blot - Anti-Ornithine Carbamoyltransferase/OTC antibody (ab244243) at 0.4 µg/mL

All lanes:

Human liver tissue lysate

Predicted band size: 39 kDa

false

Key facts

Host species

Rabbit

Clonality

Polyclonal

Isotype

IgG

Carrier free

No

Reacts with

Human

Applications

IHC-P, WB, ICC/IF

applications

Immunogen

Recombinant Fragment Protein within Human Ornithine transcarbamylase, mitochondrial aa 150-300. The exact immunogen used to generate this antibody is proprietary information.

P00480

Reactivity data

{ "title": "Reactivity Data", "filters": { "stats": ["", "Species", "Dilution Info", "Notes"], "tabs": { "all-applications": {"fullname" : "All Applications", "shortname": "All Applications"}, "IHCP" : {"fullname" : "Immunohistochemistry (Formalin/PFA-fixed paraffin-embedded sections)", "shortname":"IHC-P"}, "WB" : {"fullname" : "Western blot", "shortname":"WB"}, "ICCIF" : {"fullname" : "Immunocytochemistry/ Immunofluorescence", "shortname":"ICC/IF"} }, "product-promise": { "all": "all", "testedAndGuaranteed": "tested", "guaranteed": "expected", "predicted": "predicted", "notRecommended": "not-recommended" } }, "values": { "Human": { "IHCP-species-checked": "testedAndGuaranteed", "IHCP-species-dilution-info": "1/2500 - 1/5000", "IHCP-species-notes": "<p></p> Perform heat-mediated antigen retrieval with citrate buffer pH 6 before commencing with IHC staining protocol.", "WB-species-checked": "testedAndGuaranteed", "WB-species-dilution-info": "0.04-0.4 µg/mL", "WB-species-notes": "<p></p>", "ICCIF-species-checked": "testedAndGuaranteed", "ICCIF-species-dilution-info": "0.25-2 µg/mL", "ICCIF-species-notes": "<p>Fixation/Permeabilization: PFA/Triton X-100.</p>" }, "Mouse": { "IHCP-species-checked": "predicted", "IHCP-species-dilution-info": "", "IHCP-species-notes": "", "WB-species-checked": "predicted", "WB-species-dilution-info": "", "WB-species-notes": "", "ICCIF-species-checked": "predicted", "ICCIF-species-dilution-info": "", "ICCIF-species-notes": "" }, "Rat": { "IHCP-species-checked": "predicted", "IHCP-species-dilution-info": "", "IHCP-species-notes": "", "WB-species-checked": "predicted", "WB-species-dilution-info": "", "WB-species-notes": "", "ICCIF-species-checked": "predicted", "ICCIF-species-dilution-info": "", "ICCIF-species-notes": "" }, "Cow": { "IHCP-species-checked": "predicted", "IHCP-species-dilution-info": "", "IHCP-species-notes": "", "WB-species-checked": "predicted", "WB-species-dilution-info": "", "WB-species-notes": "", "ICCIF-species-checked": "predicted", "ICCIF-species-dilution-info": "", "ICCIF-species-notes": "" }, "Pig": { "IHCP-species-checked": "predicted", "IHCP-species-dilution-info": "", "IHCP-species-notes": "", "WB-species-checked": "predicted", "WB-species-dilution-info": "", "WB-species-notes": "", "ICCIF-species-checked": "predicted", "ICCIF-species-dilution-info": "", "ICCIF-species-notes": "" }, "Sheep": { "IHCP-species-checked": "predicted", "IHCP-species-dilution-info": "", "IHCP-species-notes": "", "WB-species-checked": "predicted", "WB-species-dilution-info": "", "WB-species-notes": "", "ICCIF-species-checked": "predicted", "ICCIF-species-dilution-info": "", "ICCIF-species-notes": "" } } }

Properties and storage information

Form
Liquid
Purification technique
Affinity purification Immunogen
Storage buffer
pH: 7.2 Preservative: 0.02% Sodium azide Constituents: PBS, 40% Glycerol (glycerin, glycerine)
Shipped at conditions
Blue Ice
Appropriate short-term storage duration
1-2 weeks
Appropriate short-term storage conditions
+4°C
Appropriate long-term storage conditions
-20°C
Aliquoting information
Upon delivery aliquot
Storage information
Avoid freeze / thaw cycle

Supplementary information

This supplementary information is collated from multiple sources and compiled automatically.

Ornithine Carbamoyltransferase (OTC) also known as ornithine aminotransferase is an enzyme critical in the urea cycle. The OTC protein facilitates the conversion of ornithine and carbamoyl phosphate into citrulline a process essential for nitrogen excretion. The human OTC protein has a mass of approximately 36 kilodaltons and is primarily expressed in the liver mitochondria. Protein assays and procurement efforts often focus on obtaining accurate measurements and ensuring high-purity OTC peptides enabling proper functional studies.
Biological function summary

Ornithine carbamoyltransferase plays a significant role in detoxifying ammonia by forming citrulline an important urea cycle intermediate. The protein functions as a homotrimer meaning three identical subunits form an active enzyme complex. This multimeric state facilitates efficient substrate processing allowing effective handling of nitrogen waste. The integral role of OTC in the urea cycle highlights its importance in maintaining systemic nitrogen balance.

Pathways

OTC is a central component of the urea cycle and influences nitrogen metabolism pathways. These pathways include the conversion of ammonia to urea an important detoxifying process for safe excretion by the kidneys. OTC closely interacts with enzymes such as argininosuccinate synthetase highlighting the coordinated action required to advance urea formation. Understanding OTC's participation within these pathways helps identify its regulatory points and the potential impact of genetic variations.

Mutations in the OTC gene can lead to ornithine transcarbamylase deficiency a disorder affecting ammonia detoxification. This X-linked genetic condition disrupts normal nitrogen metabolism causing ammonia accumulation particularly harmful to the central nervous system. OTC deficiency shares a functional relationship with other urea cycle disorders such as citrullinemia due to its contribution to the same biochemical pathway. Researchers focus on identifying OTC protein mutations to improve diagnosis and treatment of these conditions.

Product protocols

For this product, it's our understanding that no specific protocols are required. You can visit:

Target data

Catalyzes the second step of the urea cycle, the condensation of carbamoyl phosphate with L-ornithine to form L-citrulline (PubMed : 2556444, PubMed : 6372096, PubMed : 8112735). The urea cycle ensures the detoxification of ammonia by converting it to urea for excretion (PubMed : 2556444).
See full target information Ornithine transcarbamylase, mitochondrial

Publications (2)

Recent publications for all applications. Explore the full list and refine your search

Journal of experimental & clinical cancer research : CR 44:239 PubMed40813699

2025

Arginine depletion potentiates standard-of-care chemo-immunotherapy in preclinical models of high-risk neuroblastoma.

Applications

Unspecified application

Species

Unspecified reactive species

Kimberley M Hanssen,Jayne Murray,Ruby Pandher,Stephanie Alfred,Laura D Gamble,Jennifer Brand,Erin Mosmann,Frances K Kusuma,Crystal Mak,Adam Kearns,Alvin Kamili,Caroline Atkinson,Alexis Z Minchaca,Jean Bertoldo,David S Ziegler,Francis Mussai,Paul N M Cheng,Murray D Norris,Jamie I Fletcher,Michelle Haber

International journal of molecular sciences 23: PubMed35457188

2022

Regulation of Th17/Treg Balance by 27-Hydroxycholesterol and 24S-Hydroxycholesterol Correlates with Learning and Memory Ability in Mice.

Applications

Unspecified application

Species

Unspecified reactive species

Tao Wang,Shanshan Cui,Ling Hao,Wen Liu,Lijing Wang,Mengwei Ju,Wenjing Feng,Rong Xiao
View all publications

Product promise

We are committed to supporting your work with high-quality reagents, and we're here for you every step of the way. In the unlikely event that one of our products does not perform as expected, you're protected by our Product Promise.
For full details, please see our Terms & Conditions

Please note: All products are 'FOR RESEARCH USE ONLY. NOT FOR USE IN DIAGNOSTIC OR THERAPEUTIC PROCEDURES'.

For licensing inquiries, please contact partnerships@abcam.com