JavaScript is disabled in your browser. Please enable JavaScript to view this website.
AB203859

Anti-Ornithine Carbamoyltransferase/OTC antibody [EPR19725]

5

(1 Review)

|

(14 Publications)

Anti-Ornithine Carbamoyltransferase/OTC antibody [EPR19725] (ab203859) is a rabbit monoclonal antibody detecting Ornithine Carbamoyltransferase/OTC in Western Blot, IP, IHC-P, IHC-Fr. Suitable for Human, Mouse, Rat.

- Biophysical QC for unrivalled batch-batch consistency

View Alternative Names

OTCase, OTC

9 Images
Immunohistochemistry (Formalin/PFA-fixed paraffin-embedded sections) - Anti-Ornithine Carbamoyltransferase/OTC antibody [EPR19725] (AB203859)
  • IHC-P

Supplier Data

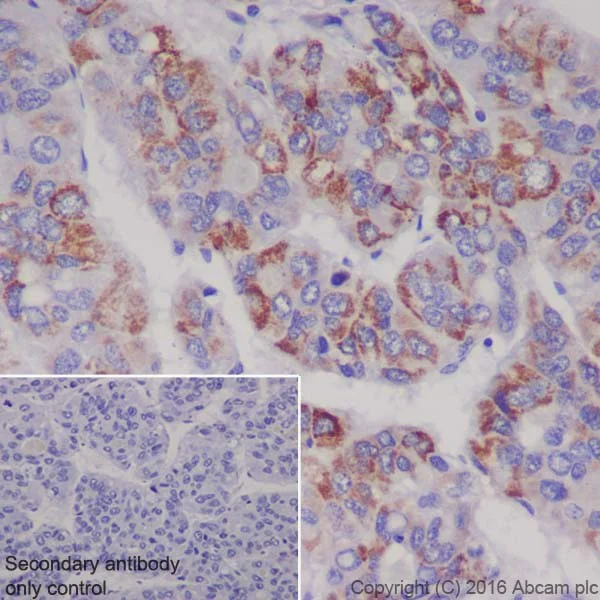
Immunohistochemistry (Formalin/PFA-fixed paraffin-embedded sections) - Anti-Ornithine Carbamoyltransferase/OTC antibody [EPR19725] (AB203859)

Immunohistochemical analysis of paraffin-embedded Human liver cancer tissue labeling Ornithine Carbamoyltransferase/OTC with ab203859 at 1/100 dilution, followed by Goat Anti-Rabbit IgG H&L (HRP) (ab97051) at 1/500 dilution.

Cytoplasmic staining on Human liver cancer tissue is observed.

Counter stained with Hematoxylin.

Secondary antibody only control : Used PBS instead of primary antibody, secondary antibody is ab97051 at 1/500 dilution.

Perform heat mediated antigen retrieval with Tris/EDTA buffer pH 9.0 before commencing with IHC staining protocol.

Immunohistochemistry (Formalin/PFA-fixed paraffin-embedded sections) - Anti-Ornithine Carbamoyltransferase/OTC antibody [EPR19725] (AB203859)
  • IHC-P

Supplier Data

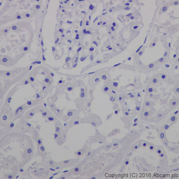
Immunohistochemistry (Formalin/PFA-fixed paraffin-embedded sections) - Anti-Ornithine Carbamoyltransferase/OTC antibody [EPR19725] (AB203859)

Immunohistochemical analysis of paraffin-embedded Human kidney tissue labeling Ornithine Carbamoyltransferase/OTC with ab203859 at 1/100 dilution, followed by Goat Anti-Rabbit IgG H&L (HRP) (ab97051) at 1/500 dilution.

No staining on Human kidney is observed.

Counter stained with Hematoxylin.

Secondary antibody only control : Used PBS instead of primary antibody, secondary antibody is ab97051 at 1/500 dilution.

Perform heat mediated antigen retrieval with Tris/EDTA buffer pH 9.0 before commencing with IHC staining protocol.

Immunohistochemistry (Formalin/PFA-fixed paraffin-embedded sections) - Anti-Ornithine Carbamoyltransferase/OTC antibody [EPR19725] (AB203859)
  • IHC-P

Supplier Data

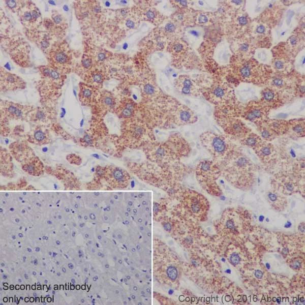
Immunohistochemistry (Formalin/PFA-fixed paraffin-embedded sections) - Anti-Ornithine Carbamoyltransferase/OTC antibody [EPR19725] (AB203859)

Immunohistochemical analysis of paraffin-embedded Human liver tissue labeling Ornithine Carbamoyltransferase/OTC with ab203859 at 1/100 dilution, followed by Goat Anti-Rabbit IgG H&L (HRP) (ab97051) at 1/500 dilution.

Cytoplasmic staining on Human liver tissue is observed [PMID : 17893704].

Counter stained with Hematoxylin.

Secondary antibody only control : Used PBS instead of primary antibody, secondary antibody is ab97051 at 1/500 dilution.

Perform heat mediated antigen retrieval with Tris/EDTA buffer pH 9.0 before commencing with IHC staining protocol.

Immunoprecipitation - Anti-Ornithine Carbamoyltransferase/OTC antibody [EPR19725] (AB203859)
  • IP

Supplier Data

Immunoprecipitation - Anti-Ornithine Carbamoyltransferase/OTC antibody [EPR19725] (AB203859)

Ornithine Carbamoyltransferase/OTC was immunoprecipitated from 0.35 mg of Human fetal liver lysate with ab203859 at 1/40 dilution.

Western blot was performed from the immunoprecipitate using ab203859 at 1/1000 dilution.

VeriBlot for IP Detection Reagent (HRP) (ab131366), was used for detection at 1/10000 dilution.

Lane 1 : Human fetal liver lysate, 10μg (Input).

Lane 2 : ab203859 IP in Human fetal liver lysate.

Lane 3 : Rabbit IgG,monoclonal [EPR25A] - Isotype Control (ab172730) instead of ab203859 in Human fetal liver lysate.

Blocking and dilution buffer and concentration : 5% NFDM/TBST.

Exposure time : 3 minutes.

All lanes:

Immunoprecipitation - Anti-Ornithine Carbamoyltransferase/OTC antibody [EPR19725] (ab203859)

Predicted band size: 39 kDa

false

Immunohistochemistry (Frozen sections) - Anti-Ornithine Carbamoyltransferase/OTC antibody [EPR19725] (AB203859)
  • IHC-Fr

Supplier Data

Immunohistochemistry (Frozen sections) - Anti-Ornithine Carbamoyltransferase/OTC antibody [EPR19725] (AB203859)

Immunohistochemical analysis of 4% paraformaldehyde-fixed, 0.2% Triton X-100 permeabilized Mouse liver tissue labeling Ornithine Carbamoyltransferase/OTC with ab203859 at 1/500 dilution, followed by Goat Anti-Rabbit IgG (Alexa Fluor® 488) (ab150077) at 1/1000 dilution (green).

Cytoplasmic staining on mouse liver is observed.

Nuclear counterstain : DAPI (Blue).

Secondary antibody only control : Used PBS instead of primary antibody, secondary antibody is ab150077 at 1/1000 dilution.

Immunohistochemistry (Frozen sections) - Anti-Ornithine Carbamoyltransferase/OTC antibody [EPR19725] (AB203859)
  • IHC-Fr

Supplier Data

Immunohistochemistry (Frozen sections) - Anti-Ornithine Carbamoyltransferase/OTC antibody [EPR19725] (AB203859)

Immunohistochemical analysis of 4% paraformaldehyde-fixed, 0.2% Triton X-100 permeabilized Mouse kidney tissue labeling Ornithine Carbamoyltransferase/OTC with ab203859 at 1/500 dilution, followed by Goat Anti-Rabbit IgG (Alexa Fluor® 488) (ab150077) at 1/1000 dilution (green).

Weakly staining on mouse kidney.

Nuclear counterstain : DAPI (Blue).

Secondary antibody only control : Used PBS instead of primary antibody, secondary antibody is ab150077 at 1/1000 dilution.

Western blot - Anti-Ornithine Carbamoyltransferase/OTC antibody [EPR19725] (AB203859)
  • WB

Supplier Data

Western blot - Anti-Ornithine Carbamoyltransferase/OTC antibody [EPR19725] (AB203859)

Blocking/Dilution buffer : 5% NFDM/TBST.

Lane 1:

Western blot - Anti-Ornithine Carbamoyltransferase/OTC antibody [EPR19725] (ab203859) at 1/5000 dilution

Lane 2:

Western blot - Anti-Ornithine Carbamoyltransferase/OTC antibody [EPR19725] (ab203859) at 1/1000 dilution

Lane 1:

Human fetal liver lysate at 20 µg

Lane 2:

Human small intestine lysate at 20 µg

Secondary

All lanes:

Goat Anti-Rabbit IgG Peroxidase Conjugate, specific to the non-reduced form of IgG at 1/100000 dilution

Predicted band size: 39 kDa

Observed band size: 40 kDa

false

Exposure time: 3min

Western blot - Anti-Ornithine Carbamoyltransferase/OTC antibody [EPR19725] (AB203859)
  • WB

Supplier Data

Western blot - Anti-Ornithine Carbamoyltransferase/OTC antibody [EPR19725] (AB203859)

Blocking/Dilution buffer : 5% NFDM/TBST.

Exposure time : Lane 1 : 15 seconds; Lane 2 : 30 seconds.

All lanes:

Western blot - Anti-Ornithine Carbamoyltransferase/OTC antibody [EPR19725] (ab203859) at 1/1000 dilution

Lane 1:

Mouse liver lysate at 20 µg

Lane 2:

Rat liver lysate at 20 µg

Secondary

All lanes:

Western blot - Goat Anti-Rabbit IgG H&L (HRP) (<a href='/en-us/products/secondary-antibodies/goat-rabbit-igg-h-l-hrp-ab97051'>ab97051</a>) at 1/100000 dilution

Predicted band size: 39 kDa

Observed band size: 40 kDa

false

Western blot - Anti-Ornithine Carbamoyltransferase/OTC antibody [EPR19725] (AB203859)
  • WB

CiteAb

Western blot - Anti-Ornithine Carbamoyltransferase/OTC antibody [EPR19725] (AB203859)

Ornithine Carbamoyltransferase/OTC western blot using anti-Ornithine Carbamoyltransferase/OTC antibody [EPR19725] ab203859. Publication image and figure legend from Chow, J. P. H., Cai, Y., et al., 2020, PLoS One, PubMed 32353864.

ab203859 was used in this publication in western blot. This may not be the same as the application(s) guaranteed by Abcam. For a full list of applications guaranteed by Abcam for ab203859 please see the product overview.

Expression of ASS1 in various cell lines and the effect of NEI-01 on their cell viability.(A) Expression of ASS1, ASL and OTC in SMMC7721, MIA PaCa-2 and PANC-1. Unperturbed asynchronously growing cells were harvested by trypsinization. After cell lysis, total cell lysates were subject to immunoblot with anti-ASS1, anti-ASL, anti-OTC or anti-ACTIN antibodies. (B) Inhibition of cell growth of MIA PaCa-2 and PANC-1 cells but not SMMC7721 cells by NEI-01 treatment. SMMC7721 cells, MIA PaCa-2 cells or PANC-1 were seeded in 96 well-plate with ~3000 cells/well density 24 hr prior to NEI-01 treatments. After 72 hr, cells were subject to MTT assay. The relative cell viability in % vs the NEI-01 concentration was shown as mean ± SD of triplicate wells. (C) Activation of autophagic pathway upon NEI-01 treatment. MIA PaCa-2 cells were treated with indicated amount of NEI-01 for 3 or 7 days. The cells were then harvested and subject to immunoblot using designated antibodies.

false

  • Carrier free

    Anti-Ornithine Carbamoyltransferase/OTC antibody [EPR19725] - BSA and Azide free

  • 665 Alexa Fluor® 647

    Alexa Fluor® 647 Anti-Ornithine Carbamoyltransferase/OTC antibody [EPR19725]

  • 578 PE

    PE Anti-Ornithine Carbamoyltransferase/OTC antibody [EPR19725]

  • 519 Alexa Fluor® 488

    Alexa Fluor® 488 Anti-Ornithine Carbamoyltransferase/OTC antibody [EPR19725]

  • 660 APC

    APC Anti-Ornithine Carbamoyltransferase/OTC antibody [EPR19725]

  • 617 Alexa Fluor® 594

    Alexa Fluor® 594 Anti-Ornithine Carbamoyltransferase/OTC antibody [EPR19725]

  • 565 Alexa Fluor® 555

    Alexa Fluor® 555 Anti-Ornithine Carbamoyltransferase/OTC antibody [EPR19725]

  • 775 Alexa Fluor® 750

    Alexa Fluor® 750 Anti-Ornithine Carbamoyltransferase/OTC antibody [EPR19725]

Key facts

Host species

Rabbit

Clonality

Monoclonal

Clone number

EPR19725

Isotype

IgG

Carrier free

No

Reacts with

Mouse, Rat, Human

Applications

IHC-P, IP, IHC-Fr, WB

applications

Immunogen

The exact immunogen used to generate this antibody is proprietary information.

Reactivity data

{ "title": "Reactivity Data", "filters": { "stats": ["", "Species", "Dilution Info", "Notes"], "tabs": { "all-applications": {"fullname" : "All Applications", "shortname": "All Applications"}, "IP" : {"fullname" : "Immunoprecipitation", "shortname":"IP"}, "WB" : {"fullname" : "Western blot", "shortname":"WB"}, "IHCFr" : {"fullname" : "Immunohistochemistry (Frozen sections)", "shortname":"IHC-Fr"}, "IHCP" : {"fullname" : "Immunohistochemistry (Formalin/PFA-fixed paraffin-embedded sections)", "shortname":"IHC-P"} }, "product-promise": { "all": "all", "testedAndGuaranteed": "tested", "guaranteed": "expected", "predicted": "predicted", "notRecommended": "not-recommended" } }, "values": { "Human": { "IP-species-checked": "testedAndGuaranteed", "IP-species-dilution-info": "1/40", "IP-species-notes": "<p></p>", "WB-species-checked": "testedAndGuaranteed", "WB-species-dilution-info": "1/1000", "WB-species-notes": "<p></p>", "IHCFr-species-checked": "guaranteed", "IHCFr-species-dilution-info": "", "IHCFr-species-notes": "", "IHCP-species-checked": "testedAndGuaranteed", "IHCP-species-dilution-info": "1/100", "IHCP-species-notes": "<p>IHC-P is recommended for human only.</p> Perform heat-mediated antigen retrieval with Tris/EDTA buffer pH 9.0 before commencing with IHC staining protocol." }, "Mouse": { "IP-species-checked": "guaranteed", "IP-species-dilution-info": "", "IP-species-notes": "", "WB-species-checked": "testedAndGuaranteed", "WB-species-dilution-info": "1/1000", "WB-species-notes": "<p></p>", "IHCFr-species-checked": "testedAndGuaranteed", "IHCFr-species-dilution-info": "1/500", "IHCFr-species-notes": "<p>Antigen retrieval: Heated citrate solution (10mM citrate PH 6.0 + 0.05% Tween-20).</p>", "IHCP-species-checked": "guaranteed", "IHCP-species-dilution-info": "", "IHCP-species-notes": "" }, "Rat": { "IP-species-checked": "guaranteed", "IP-species-dilution-info": "", "IP-species-notes": "", "WB-species-checked": "testedAndGuaranteed", "WB-species-dilution-info": "1/1000", "WB-species-notes": "<p></p>", "IHCFr-species-checked": "guaranteed", "IHCFr-species-dilution-info": "", "IHCFr-species-notes": "", "IHCP-species-checked": "guaranteed", "IHCP-species-dilution-info": "", "IHCP-species-notes": "" } } }

Product details

What is this antibody validated in?
Anti-Ornithine Carbamoyltransferase/OTC antibody [EPR19725] (ab203859) is a rabbit recombinant monoclonal antibody and is validated for use in Western Blot (WB), Immunoprecipitation (IP), Immunohistochemistry (IHC-P), Immunohistochemistry (IHC-Fr) in Human, Mouse, Rat samples.

What is the molecular weight of Ornithine Carbamoyltransferase/OTC?
Anti-Ornithine Carbamoyltransferase/OTC [EPR19725] (ab203859) specifically detects a band for Ornithine Carbamoyltransferase/OTC (UniProt: P00480) at a molecular weight of 40kDa.

Trial sizes available!
Test your antibody or perform pre-screening before committing to a larger quantity. Sold in 10µl. Discover our selection of trial-size antibodies.

Other related products
We have a range of other formats of antibody clone [EPR19725] also available for your convenience: ab203859, Carrier free - ab222399, PE - ab318354, APC - ab318457, Alexa Fluor® 488 - ab318560, Alexa Fluor® 647 - ab318663, Alexa Fluor® 594 - ab318766, Alexa Fluor® 555 - ab318866, Alexa Fluor® 750 - ab321357

Patented technology
Our RabMAb® technology is a patented hybridoma-based technology for making rabbit monoclonal antibodies. For details on our patents, please refer to RabMAb® patents.

What are the advantages of a recombinant monoclonal antibody?
This product is a recombinant monoclonal antibody, which offers several advantages including:

  • - High batch-to-batch consistency and reproducibility
  • - Improved sensitivity and specificity
  • - Long-term security of supply
  • - Animal-free batch production

For more information, read more on recombinant antibodies.

Properties and storage information

Form
Liquid
Purification technique
Affinity purification Protein A
Storage buffer
pH: 7.2 - 7.4 Preservative: 0.01% Sodium azide Constituents: PBS, 40% Glycerol (glycerin, glycerine), 0.05% BSA
Shipped at conditions
Blue Ice
Appropriate short-term storage duration
1-2 weeks
Appropriate short-term storage conditions
+4°C
Appropriate long-term storage conditions
-20°C
Aliquoting information
Upon delivery aliquot
Storage information
Avoid freeze / thaw cycle

Supplementary information

This supplementary information is collated from multiple sources and compiled automatically.

Ornithine Carbamoyltransferase (OTC) also known as ornithine aminotransferase is an enzyme critical in the urea cycle. The OTC protein facilitates the conversion of ornithine and carbamoyl phosphate into citrulline a process essential for nitrogen excretion. The human OTC protein has a mass of approximately 36 kilodaltons and is primarily expressed in the liver mitochondria. Protein assays and procurement efforts often focus on obtaining accurate measurements and ensuring high-purity OTC peptides enabling proper functional studies.
Biological function summary

Ornithine carbamoyltransferase plays a significant role in detoxifying ammonia by forming citrulline an important urea cycle intermediate. The protein functions as a homotrimer meaning three identical subunits form an active enzyme complex. This multimeric state facilitates efficient substrate processing allowing effective handling of nitrogen waste. The integral role of OTC in the urea cycle highlights its importance in maintaining systemic nitrogen balance.

Pathways

OTC is a central component of the urea cycle and influences nitrogen metabolism pathways. These pathways include the conversion of ammonia to urea an important detoxifying process for safe excretion by the kidneys. OTC closely interacts with enzymes such as argininosuccinate synthetase highlighting the coordinated action required to advance urea formation. Understanding OTC's participation within these pathways helps identify its regulatory points and the potential impact of genetic variations.

Mutations in the OTC gene can lead to ornithine transcarbamylase deficiency a disorder affecting ammonia detoxification. This X-linked genetic condition disrupts normal nitrogen metabolism causing ammonia accumulation particularly harmful to the central nervous system. OTC deficiency shares a functional relationship with other urea cycle disorders such as citrullinemia due to its contribution to the same biochemical pathway. Researchers focus on identifying OTC protein mutations to improve diagnosis and treatment of these conditions.

Product protocols

For this product, it's our understanding that no specific protocols are required. You can visit:

Target data

Catalyzes the second step of the urea cycle, the condensation of carbamoyl phosphate with L-ornithine to form L-citrulline (PubMed : 2556444, PubMed : 6372096, PubMed : 8112735). The urea cycle ensures the detoxification of ammonia by converting it to urea for excretion (PubMed : 2556444).
See full target information Ornithine transcarbamylase, mitochondrial

Publications (14)

Recent publications for all applications. Explore the full list and refine your search

NPJ Parkinson's disease 11:237 PubMed40790122

2025

Urea cycle dysregulation drives metabolic stress and neurodegeneration in Parkinson's disease.

Applications

Unspecified application

Species

Unspecified reactive species

Shengyao Zhang,Guoran Wan,Yu Qiu,Meng Zhang,Hongmei Deng,Qiongfang Wang,Junyi Hu,Jie Gui,Dilong Chen,Boyue Huang,Jianhua Ran

Cancer & metabolism 12:31 PubMed39462426

2024

GCN2-SLC7A11 axis coordinates autophagy, cell cycle and apoptosis and regulates cell growth in retinoblastoma upon arginine deprivation.

Applications

Unspecified application

Species

Unspecified reactive species

Dan Wang,Wai Kit Chu,Jason Cheuk Sing Yam,Chi Pui Pang,Yun Chung Leung,Alisa Sau Wun Shum,Sun-On Chan

American journal of physiology. Gastrointestinal and liver physiology 327:G235-G253 PubMed38915277

2024

SGLT2 inhibition leads to a restoration of hepatic and circulating metabolites involved in the folate cycle and pyrimidine biosynthesis.

Applications

Unspecified application

Species

Unspecified reactive species

Ileana Mendez Espinoza,Elijah N D Choos,Carolyn M Ecelbarger,Blythe D Shepard

Nature metabolism 5:626-641 PubMed37081161

2023

Amino acids downregulate SIRT4 to detoxify ammonia through the urea cycle.

Applications

Unspecified application

Species

Unspecified reactive species

Song-Hua Hu,Yu-Yang Feng,Yuan-Xin Yang,Hui-Da Ma,Shu-Xian Zhou,Ya-Nan Qiao,Kai-Hui Zhang,Lei Zhang,Lin Huang,Yi-Yuan Yuan,Yan Lin,Xin-Yan Zhang,Yao Li,Hai-Tao Li,Jian-Yuan Zhao,Wei Xu,Shi-Min Zhao

Neoplasma 69:1406-1417 PubMed36591804

2023

LncRNA CBR3-AS1 predicts a poor prognosis and promotes cervical cancer progression through the miR-3163/LASP1 pathway.

Applications

Unspecified application

Species

Unspecified reactive species

Yipin Cai,Yu Huang,Jie Zhang,Xiaoli Liu,Fang Zhao,Kuan Zhang,Songyuan Xu,Yan Yang,Haiwei Huang,Yu Gao

Molecular therapy. Methods & clinical development 27:352-367 PubMed36381301

2022

Intrabiliary infusion of naked DNA vectors targets periportal hepatocytes in mice.

Applications

Unspecified application

Species

Unspecified reactive species

Sereina Deplazes,Andrea Schlegel,Zhuolun Song,Gabriella Allegri,Nicole Rimann,Tanja Scherer,Melanie Willimann,Lennart Opitz,Sharon C Cunningham,Ian E Alexander,Anja Kipar,Johannes Häberle,Beat Thöny,Hiu Man Grisch-Chan

Cell metabolism 34:1151-1167.e7 PubMed35839757

2022

GCN2 inhibition sensitizes arginine-deprived hepatocellular carcinoma cells to senolytic treatment.

Applications

Unspecified application

Species

Unspecified reactive species

Rindert Missiaen,Nicole M Anderson,Laura C Kim,Bailey Nance,Michelle Burrows,Nicolas Skuli,Madeleine Carens,Romain Riscal,An Steensels,Fuming Li,M Celeste Simon

Journal of inherited metabolic disease 45:470-480 PubMed34988999

2022

Glutaminase 2 knockdown reduces hyperammonemia and associated lethality of urea cycle disorder mouse model.

Applications

Unspecified application

Species

Unspecified reactive species

Xia Mao,Helen Chen,Allen Z Lin,Sun Kim,Michael E Burczynski,Erqian Na,Gabor Halasz,Mark W Sleeman,Andrew J Murphy,Haruka Okamoto,Xiping Cheng

Molecules (Basel, Switzerland) 26: PubMed33915902

2021

Metformin Inhibits the Urea Cycle and Reduces Putrescine Generation in Colorectal Cancer Cell Lines.

Applications

Unspecified application

Species

Unspecified reactive species

Tao Zhang,Ling Hu,Jia-Feng Tang,Hang Xu,Kuan Tian,Meng-Na Wu,Shi-Ying Huang,Yu-Mei Du,Peng Zhou,Rui-Jin Lu,Shuang He,Jia-Mei Xu,Jian-Jun Si,Jing Li,Di-Long Chen,Jian-Hua Ran

Molecular therapy. Methods & clinical development 20:169-180 PubMed33473356

2021

Long-term correction of ornithine transcarbamylase deficiency in Spf-Ash mice with a translationally optimized AAV vector.

Applications

Unspecified application

Species

Unspecified reactive species

Giulia De Sabbata,Florence Boisgerault,Corrado Guarnaccia,Alessandra Iaconcig,Giulia Bortolussi,Fanny Collaud,Giuseppe Ronzitti,Marcelo Simon Sola,Patrice Vidal,Jeremy Rouillon,Severine Charles,Emanuele Nicastro,Lorenzo D'Antiga,Petr Ilyinskii,Federico Mingozzi,Takashi Kei Kishimoto,Andrés F Muro
View all publications

Product promise

We are committed to supporting your work with high-quality reagents, and we're here for you every step of the way. In the unlikely event that one of our products does not perform as expected, you're protected by our Product Promise.
For full details, please see our Terms & Conditions

Please note: All products are 'FOR RESEARCH USE ONLY. NOT FOR USE IN DIAGNOSTIC OR THERAPEUTIC PROCEDURES'.

For licensing inquiries, please contact partnerships@abcam.com