JavaScript is disabled in your browser. Please enable JavaScript to view this website.
AB222399

Anti-Ornithine Carbamoyltransferase/OTC antibody [EPR19725] - BSA and Azide free

Be the first to review this product! Submit a review

|

(1 Publication)

Rabbit Recombinant Monoclonal Ornithine Carbamoyltransferase/OTC antibody. Carrier free. Suitable for IP, WB, IHC-Fr, IHC-P and reacts with Human, Mouse, Rat samples. Cited in 1 publication.

View Alternative Names

OTCase, OTC

6 Images
Immunohistochemistry (Formalin/PFA-fixed paraffin-embedded sections) - Anti-Ornithine Carbamoyltransferase/OTC antibody [EPR19725] - BSA and Azide free (AB222399)
  • IHC-P

Supplier Data

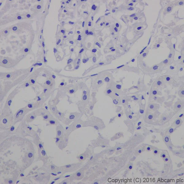
Immunohistochemistry (Formalin/PFA-fixed paraffin-embedded sections) - Anti-Ornithine Carbamoyltransferase/OTC antibody [EPR19725] - BSA and Azide free (AB222399)

Immunohistochemical analysis of paraffin-embedded Human kidney tissue labeling Ornithine Carbamoyltransferase/OTC with ab203859 at 1/100 dilution, followed by Goat Anti-Rabbit IgG H&L (HRP) (ab97051) at 1/500 dilution.

No staining on Human kidney is observed.

Counter stained with Hematoxylin.

Secondary antibody only control : Used PBS instead of primary antibody, secondary antibody is ab97051 at 1/500 dilution.

This data was developed using the same antibody clone in a different buffer formulation containing PBS, BSA, glycerol, and sodium azide (ab203859).

Perform heat mediated antigen retrieval with Tris/EDTA buffer pH 9.0 before commencing with IHC staining protocol.

Immunohistochemistry (Formalin/PFA-fixed paraffin-embedded sections) - Anti-Ornithine Carbamoyltransferase/OTC antibody [EPR19725] - BSA and Azide free (AB222399)
  • IHC-P

Supplier Data

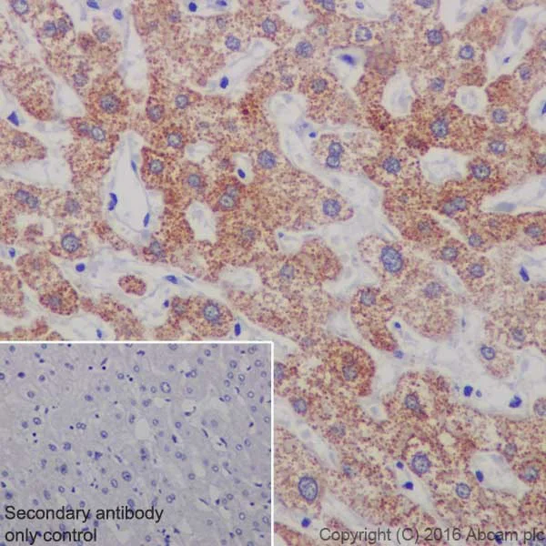
Immunohistochemistry (Formalin/PFA-fixed paraffin-embedded sections) - Anti-Ornithine Carbamoyltransferase/OTC antibody [EPR19725] - BSA and Azide free (AB222399)

Immunohistochemical analysis of paraffin-embedded Human liver tissue labeling Ornithine Carbamoyltransferase/OTC with ab203859 at 1/100 dilution, followed by Goat Anti-Rabbit IgG H&L (HRP) (ab97051) at 1/500 dilution.

Cytoplasmic staining on Human liver tissue is observed [PMID : 17893704].

Counter stained with Hematoxylin.

Secondary antibody only control : Used PBS instead of primary antibody, secondary antibody is ab97051 at 1/500 dilution.

This data was developed using the same antibody clone in a different buffer formulation containing PBS, BSA, glycerol, and sodium azide (ab203859).

Perform heat mediated antigen retrieval with Tris/EDTA buffer pH 9.0 before commencing with IHC staining protocol.

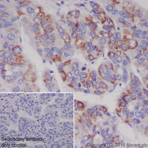
Immunohistochemistry (Formalin/PFA-fixed paraffin-embedded sections) - Anti-Ornithine Carbamoyltransferase/OTC antibody [EPR19725] - BSA and Azide free (AB222399)
  • IHC-P

Supplier Data

Immunohistochemistry (Formalin/PFA-fixed paraffin-embedded sections) - Anti-Ornithine Carbamoyltransferase/OTC antibody [EPR19725] - BSA and Azide free (AB222399)

Immunohistochemical analysis of paraffin-embedded Human liver cancer tissue labeling Ornithine Carbamoyltransferase/OTC with ab203859 at 1/100 dilution, followed by Goat Anti-Rabbit IgG H&L (HRP) (ab97051) at 1/500 dilution.

Cytoplasmic staining on Human liver cancer tissue is observed.

Counter stained with Hematoxylin.

Secondary antibody only control : Used PBS instead of primary antibody, secondary antibody is ab97051 at 1/500 dilution.

This data was developed using the same antibody clone in a different buffer formulation containing PBS, BSA, glycerol, and sodium azide (ab203859).

Perform heat mediated antigen retrieval with Tris/EDTA buffer pH 9.0 before commencing with IHC staining protocol.

Immunohistochemistry (Frozen sections) - Anti-Ornithine Carbamoyltransferase/OTC antibody [EPR19725] - BSA and Azide free (AB222399)
  • IHC-Fr

Supplier Data

Immunohistochemistry (Frozen sections) - Anti-Ornithine Carbamoyltransferase/OTC antibody [EPR19725] - BSA and Azide free (AB222399)

Immunohistochemical analysis of 4% paraformaldehyde-fixed, 0.2% Triton X-100 permeabilized Mouse kidney tissue labeling Ornithine Carbamoyltransferase/OTC with ab203859 at 1/500 dilution, followed by Goat Anti-Rabbit IgG (Alexa Fluor® 488) (ab150077) at 1/1000 dilution (green).

Weakly staining on mouse kidney.

Nuclear counterstain : DAPI (Blue).

Secondary antibody only control : Used PBS instead of primary antibody, secondary antibody is ab150077 at 1/1000 dilution.

This data was developed using the same antibody clone in a different buffer formulation containing PBS, BSA, glycerol, and sodium azide (ab203859).

Immunohistochemistry (Frozen sections) - Anti-Ornithine Carbamoyltransferase/OTC antibody [EPR19725] - BSA and Azide free (AB222399)
  • IHC-Fr

Supplier Data

Immunohistochemistry (Frozen sections) - Anti-Ornithine Carbamoyltransferase/OTC antibody [EPR19725] - BSA and Azide free (AB222399)

Immunohistochemical analysis of 4% paraformaldehyde-fixed, 0.2% Triton X-100 permeabilized Mouse liver tissue labeling Ornithine Carbamoyltransferase/OTC with ab203859 at 1/500 dilution, followed by Goat Anti-Rabbit IgG (Alexa Fluor® 488) (ab150077) at 1/1000 dilution (green).

Cytoplasmic staining on mouse liver is observed.

Nuclear counterstain : DAPI (Blue).

Secondary antibody only control : Used PBS instead of primary antibody, secondary antibody is ab150077 at 1/1000 dilution.

This data was developed using the same antibody clone in a different buffer formulation containing PBS, BSA, glycerol, and sodium azide (ab203859).

Immunoprecipitation - Anti-Ornithine Carbamoyltransferase/OTC antibody [EPR19725] - BSA and Azide free (AB222399)
  • IP

Supplier Data

Immunoprecipitation - Anti-Ornithine Carbamoyltransferase/OTC antibody [EPR19725] - BSA and Azide free (AB222399)

Ornithine Carbamoyltransferase/OTC Western blot was performed from the immunoprecipitate using ab203859 at 1/1000 dilution.

VeriBlot for IP Detection Reagent (HRP) (ab131366), was used for detection at 1/10000 dilution.

Lane 1 : Human fetal liver lysate, 10μg (Input).

Lane 2 : ab203859 IP in human fetal liver lysate.

Lane 3 : Rabbit IgG,monoclonal [EPR25A] - Isotype Control (ab172730) instead of ab203859 in human fetal liver lysate.

Blocking and dilution buffer and concentration : 5% NFDM/TBST.

Exposure time : 3 minutes.

This data was developed using the same antibody clone in a different buffer formulation containing PBS, BSA, glycerol, and sodium azide (ab203859).

All lanes:

Immunoprecipitation - Anti-Ornithine Carbamoyltransferase/OTC antibody [EPR19725] (<a href='/en-us/products/primary-antibodies/ornithine-carbamoyltransferase-otc-antibody-epr19725-ab203859'>ab203859</a>)

Predicted band size: 39 kDa

false

Key facts

Host species

Rabbit

Clonality

Monoclonal

Clone number

EPR19725

Isotype

IgG

Carrier free

Yes

Reacts with

Mouse, Rat, Human

Applications

IHC-P, WB, IP, IHC-Fr

applications

Immunogen

The exact immunogen used to generate this antibody is proprietary information.

Reactivity data

{ "title": "Reactivity Data", "filters": { "stats": ["", "Species", "Dilution Info", "Notes"], "tabs": { "all-applications": {"fullname" : "All Applications", "shortname": "All Applications"}, "IP" : {"fullname" : "Immunoprecipitation", "shortname":"IP"}, "WB" : {"fullname" : "Western blot", "shortname":"WB"}, "IHCFr" : {"fullname" : "Immunohistochemistry (Frozen sections)", "shortname":"IHC-Fr"}, "IHCP" : {"fullname" : "Immunohistochemistry (Formalin/PFA-fixed paraffin-embedded sections)", "shortname":"IHC-P"} }, "product-promise": { "all": "all", "testedAndGuaranteed": "tested", "guaranteed": "expected", "predicted": "predicted", "notRecommended": "not-recommended" } }, "values": { "Human": { "IP-species-checked": "testedAndGuaranteed", "IP-species-dilution-info": "", "IP-species-notes": "<p></p>", "WB-species-checked": "guaranteed", "WB-species-dilution-info": "", "WB-species-notes": "<p></p>", "IHCFr-species-checked": "guaranteed", "IHCFr-species-dilution-info": "", "IHCFr-species-notes": "", "IHCP-species-checked": "testedAndGuaranteed", "IHCP-species-dilution-info": "", "IHCP-species-notes": "<p>IHC-P is recommended for human only.</p>" }, "Mouse": { "IP-species-checked": "guaranteed", "IP-species-dilution-info": "", "IP-species-notes": "", "WB-species-checked": "guaranteed", "WB-species-dilution-info": "", "WB-species-notes": "<p></p>", "IHCFr-species-checked": "testedAndGuaranteed", "IHCFr-species-dilution-info": "", "IHCFr-species-notes": "<p>Antigen retrieval: Heated citrate solution (10mM citrate PH 6.0 + 0.05% Tween-20).</p>", "IHCP-species-checked": "guaranteed", "IHCP-species-dilution-info": "", "IHCP-species-notes": "" }, "Rat": { "IP-species-checked": "predicted", "IP-species-dilution-info": "", "IP-species-notes": "", "WB-species-checked": "guaranteed", "WB-species-dilution-info": "", "WB-species-notes": "<p></p>", "IHCFr-species-checked": "predicted", "IHCFr-species-dilution-info": "", "IHCFr-species-notes": "", "IHCP-species-checked": "predicted", "IHCP-species-dilution-info": "", "IHCP-species-notes": "" } } }

Product details

ab222399 is the carrier-free version of ab203859.

Patented technology
Our RabMAb® technology is a patented hybridoma-based technology for making rabbit monoclonal antibodies. For details on our patents, please refer to RabMAb® patents.

What are the advantages of a recombinant monoclonal antibody?
This product is a recombinant monoclonal antibody, which offers several advantages including:

  • - High batch-to-batch consistency and reproducibility
  • - Improved sensitivity and specificity
  • - Long-term security of supply
  • - Animal-free batch production

For more information, read more on recombinant antibodies.

Conjugation ready
Our carrier-free antibodies are typically supplied in a PBS-only formulation, purified and free of BSA, sodium azide and glycerol. This conjugation-ready format is designed for use with fluorochromes, metal isotopes, oligonucleotides, and enzymes, which makes them ideal for antibody labelling, functional and cell-based assays, flow-based assays (e.g. mass cytometry) and Multiplex Imaging applications.

Use our conjugation kits for antibody conjugates that are ready-to-use in as little as 20 minutes with 1 minute hands-on-time and 100% antibody recovery: available for fluorescent dyes, HRP, biotin and gold.

Compatibility
This product is compatible with the Maxpar® Antibody Labeling Kit from Fluidigm, without the need for antibody preparation. Maxpar® is a trademark of Fluidigm Canada Inc.

Properties and storage information

Form
Liquid
Purification technique
Affinity purification Protein A
Storage buffer
pH: 7.2 - 7.4 Constituents: PBS
Shipped at conditions
Blue Ice
Appropriate short-term storage conditions
+4°C
Appropriate long-term storage conditions
+4°C
Storage information
Do Not Freeze

Supplementary information

This supplementary information is collated from multiple sources and compiled automatically.

Ornithine Carbamoyltransferase (OTC) also known as ornithine aminotransferase is an enzyme critical in the urea cycle. The OTC protein facilitates the conversion of ornithine and carbamoyl phosphate into citrulline a process essential for nitrogen excretion. The human OTC protein has a mass of approximately 36 kilodaltons and is primarily expressed in the liver mitochondria. Protein assays and procurement efforts often focus on obtaining accurate measurements and ensuring high-purity OTC peptides enabling proper functional studies.
Biological function summary

Ornithine carbamoyltransferase plays a significant role in detoxifying ammonia by forming citrulline an important urea cycle intermediate. The protein functions as a homotrimer meaning three identical subunits form an active enzyme complex. This multimeric state facilitates efficient substrate processing allowing effective handling of nitrogen waste. The integral role of OTC in the urea cycle highlights its importance in maintaining systemic nitrogen balance.

Pathways

OTC is a central component of the urea cycle and influences nitrogen metabolism pathways. These pathways include the conversion of ammonia to urea an important detoxifying process for safe excretion by the kidneys. OTC closely interacts with enzymes such as argininosuccinate synthetase highlighting the coordinated action required to advance urea formation. Understanding OTC's participation within these pathways helps identify its regulatory points and the potential impact of genetic variations.

Mutations in the OTC gene can lead to ornithine transcarbamylase deficiency a disorder affecting ammonia detoxification. This X-linked genetic condition disrupts normal nitrogen metabolism causing ammonia accumulation particularly harmful to the central nervous system. OTC deficiency shares a functional relationship with other urea cycle disorders such as citrullinemia due to its contribution to the same biochemical pathway. Researchers focus on identifying OTC protein mutations to improve diagnosis and treatment of these conditions.

Product protocols

For this product, it's our understanding that no specific protocols are required. You can visit:

Target data

Catalyzes the second step of the urea cycle, the condensation of carbamoyl phosphate with L-ornithine to form L-citrulline (PubMed : 2556444, PubMed : 6372096, PubMed : 8112735). The urea cycle ensures the detoxification of ammonia by converting it to urea for excretion (PubMed : 2556444).
See full target information Ornithine transcarbamylase, mitochondrial

Publications (1)

Recent publications for all applications. Explore the full list and refine your search

Cell proliferation 55:e13312 PubMed35946052

2022

Human platelet lysate-derived extracellular vesicles enhance angiogenesis through miR-126.

Applications

Unspecified application

Species

Unspecified reactive species

Antonella Bordin,Maila Chirivì,Francesca Pagano,Marika Milan,Marco Iuliano,Eleonora Scaccia,Orazio Fortunato,Giorgio Mangino,Xhulio Dhori,Elisabetta De Marinis,Alessandra D'Amico,Selenia Miglietta,Vittorio Picchio,Roberto Rizzi,Giovanna Romeo,Fabio Pulcinelli,Isotta Chimenti,Giacomo Frati,Elena De Falco
View all publications

Product promise

We are committed to supporting your work with high-quality reagents, and we're here for you every step of the way. In the unlikely event that one of our products does not perform as expected, you're protected by our Product Promise.
For full details, please see our Terms & Conditions

Please note: All products are 'FOR RESEARCH USE ONLY. NOT FOR USE IN DIAGNOSTIC OR THERAPEUTIC PROCEDURES'.

For licensing inquiries, please contact partnerships@abcam.com