JavaScript is disabled in your browser. Please enable JavaScript to view this website.
AB270300

Anti-Ornithine Decarboxylase/ODC antibody [ODC1/3636R] - BSA and Azide free

Be the first to review this product! Submit a review

|

(0 Publication)

Rabbit Recombinant Monoclonal Ornithine Decarboxylase/ODC antibody. Carrier free. Suitable for WB, IHC-P and reacts with Human samples. Immunogen corresponding to Recombinant Full Length Protein corresponding to Human ODC1.

View Alternative Names

Ornithine decarboxylase, ODC, ODC1

2 Images
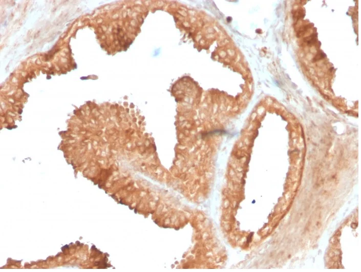
Immunohistochemistry (Formalin/PFA-fixed paraffin-embedded sections) - Anti-Ornithine Decarboxylase/ODC antibody [ODC1/3636R] - BSA and Azide free (AB270300)
  • IHC-P

Supplier Data

Immunohistochemistry (Formalin/PFA-fixed paraffin-embedded sections) - Anti-Ornithine Decarboxylase/ODC antibody [ODC1/3636R] - BSA and Azide free (AB270300)

Formalin-fixed, paraffin-embedded human prostate carcinoma tissue stained for Ornithine Decarboxylase/ODC using ab270269 at 0.5 μg/ml in immunohistochemical analysis.

This data was developed using the same antibody clone in a different buffer formulation containing PBS, BSA, and sodium azide (ab270269).

Western blot - Anti-Ornithine Decarboxylase/ODC antibody [ODC1/3636R] - BSA and Azide free (AB270300)
  • WB

Supplier Data

Western blot - Anti-Ornithine Decarboxylase/ODC antibody [ODC1/3636R] - BSA and Azide free (AB270300)

This data was developed using the same antibody clone in a different buffer formulation containing PBS, BSA, and sodium azide (ab270269).

All lanes:

Western blot - Anti-Ornithine Decarboxylase/ODC antibody [ODC1/3636R] - BSA and Azide free (ab270300) at 2 µg/mL

All lanes:

PC3 (Human prostate adenocarcinoma cell line) cell lysate

Predicted band size: 51 kDa

false

  • Unconjugated

    Anti-Ornithine Decarboxylase/ODC antibody [ODC1/3636R]

Key facts

Host species

Rabbit

Clonality

Monoclonal

Clone number

ODC1/3636R

Isotype

IgG

Carrier free

Yes

Reacts with

Human

Applications

IHC-P, WB

applications

Immunogen

Recombinant Full Length Protein corresponding to Human ODC1.

P11926

Reactivity data

{ "title": "Reactivity Data", "filters": { "stats": ["", "Species", "Dilution Info", "Notes"], "tabs": { "all-applications": {"fullname" : "All Applications", "shortname": "All Applications"}, "WB" : {"fullname" : "Western blot", "shortname":"WB"}, "IHCP" : {"fullname" : "Immunohistochemistry (Formalin/PFA-fixed paraffin-embedded sections)", "shortname":"IHC-P"} }, "product-promise": { "all": "all", "testedAndGuaranteed": "tested", "guaranteed": "expected", "predicted": "predicted", "notRecommended": "not-recommended" } }, "values": { "Human": { "WB-species-checked": "testedAndGuaranteed", "WB-species-dilution-info": "0.5-1 µg/mL", "WB-species-notes": "<p></p>", "IHCP-species-checked": "testedAndGuaranteed", "IHCP-species-dilution-info": "0.25-0.5 µg/mL", "IHCP-species-notes": "<p></p> Perform heat-mediated antigen retrieval with Tris/EDTA buffer pH 9.0 before commencing with IHC staining protocol." } } }

Product details

ab270300 is a carrier free version of ab270269.

Conjugation ready
Our carrier-free antibodies are typically supplied in a PBS-only formulation, purified and free of BSA, sodium azide and glycerol. This conjugation-ready format is designed for use with fluorochromes, metal isotopes, oligonucleotides, and enzymes, which makes them ideal for antibody labelling, functional and cell-based assays, flow-based assays (e.g. mass cytometry) and Multiplex Imaging applications.

Use our conjugation kits for antibody conjugates that are ready-to-use in as little as 20 minutes with 1 minute hands-on-time and 100% antibody recovery: available for fluorescent dyes, HRP, biotin and gold.

Properties and storage information

Form
Liquid
Purification technique
Affinity purification Protein A/G
Purification notes
Purified from bioreactor concentrate.
Storage buffer
pH: 7.2 - 7.4 Constituents: PBS
Shipped at conditions
Blue Ice
Appropriate short-term storage duration
1-2 weeks
Appropriate short-term storage conditions
+4°C
Appropriate long-term storage conditions
-20°C
Aliquoting information
Upon delivery aliquot
Storage information
Avoid freeze / thaw cycle

Supplementary information

This supplementary information is collated from multiple sources and compiled automatically.

Ornithine Decarboxylase also known as ODC or ODC1 is an enzyme that plays an important role in polyamine biosynthesis. This enzyme catalyzes the decarboxylation of ornithine to form putrescine a precursor for spermidine and spermine. ODC is a small protein with a molecular mass around 48 kDa. It is expressed in various tissues including the liver kidney and brain. ODC expression tends to be highest in rapidly growing tissues due to its involvement in cell growth and differentiation.
Biological function summary

ODC actively participates in cell proliferation and differentiation by regulating the levels of polyamines which are essential for DNA stabilization and cellular processes. While ODC does not form part of a larger protein complex its activity requires the presence of cofactor pyridoxal 5'-phosphate. By controlling polyamine synthesis ODC influences gene expression ion channel functions and protein synthesis impacting cell cycle progression and apoptosis.

Pathways

Ornithine decarboxylation connects with important biological processes such as the urea cycle and polyamine biosynthetic pathway. In these pathways enzymes like arginase and S-adenosylmethionine decarboxylase work closely with ODC. ODC's role in regulating polyamine levels makes it an important component of cellular metabolism and growth pathways. Through these pathways ODC coordinates with other proteins to ensure proper cellular function and response to growth signals.

ODC activity has been linked to cancer and neurological disorders. Overexpression and dysregulation of ODC can lead to increased polyamine levels which associate with tumor development and proliferation particularly in colorectal cancer. ODC also connects with proteins like c-Myc which regulates its expression and is often dysregulated in cancer. In neurological disorders abnormal ODC function affects neurodegeneration influencing proteins involved in neuronal survival and plasticity.

Product protocols

For this product, it's our understanding that no specific protocols are required. You can visit:

Target data

Catalyzes the first and rate-limiting step of polyamine biosynthesis that converts ornithine into putrescine, which is the precursor for the polyamines, spermidine and spermine. Polyamines are essential for cell proliferation and are implicated in cellular processes, ranging from DNA replication to apoptosis.
See full target information ODC1

Product promise

We are committed to supporting your work with high-quality reagents, and we're here for you every step of the way. In the unlikely event that one of our products does not perform as expected, you're protected by our Product Promise.
For full details, please see our Terms & Conditions

Please note: All products are 'FOR RESEARCH USE ONLY. NOT FOR USE IN DIAGNOSTIC OR THERAPEUTIC PROCEDURES'.

For licensing inquiries, please contact partnerships@abcam.com