JavaScript is disabled in your browser. Please enable JavaScript to view this website.
AB235298

Anti-ORP2 antibody

Be the first to review this product! Submit a review

|

(2 Publications)

Rabbit Polyclonal ORP2 antibody. Suitable for WB, IHC-P and reacts with Mouse, Human samples. Cited in 2 publications. Immunogen corresponding to Recombinant Fragment Protein within Human OSBPL2 aa 250 to C-terminus.

View Alternative Names

KIAA0772, ORP2, OSBPL2, Oxysterol-binding protein-related protein 2, ORP-2, OSBP-related protein 2

2 Images
Western blot - Anti-ORP2 antibody (AB235298)
  • WB

Supplier Data

Western blot - Anti-ORP2 antibody (AB235298)

All lanes:

Western blot - Anti-ORP2 antibody (ab235298) at 1/500 dilution

Lane 1:

HepG2 (human liver hepatocellular carcinoma cell line) whole cell lysate

Lane 2:

Mouse heart lysate

Lane 3:

HeLa (human epithelial cell line from cervix adenocarcinoma) whole cell lysate

Secondary

All lanes:

Goat polyclonal to Rabbit IgG at 1/10000 dilution

Predicted band size: 55 kDa

false

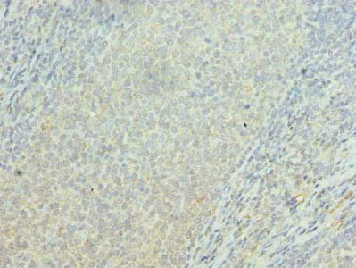
Immunohistochemistry (Formalin/PFA-fixed paraffin-embedded sections) - Anti-ORP2 antibody (AB235298)
  • IHC-P

Supplier Data

Immunohistochemistry (Formalin/PFA-fixed paraffin-embedded sections) - Anti-ORP2 antibody (AB235298)

Paraffin-embedded human tonsil tissue stained for ORP2 using ab235298 at 1/100 dilution in immunohistochemical analysis.

Key facts

Host species

Rabbit

Clonality

Polyclonal

Isotype

IgG

Carrier free

No

Reacts with

Mouse, Human

Applications

IHC-P, WB

applications

Immunogen

Recombinant Fragment Protein within Human OSBPL2 aa 250 to C-terminus. The exact immunogen used to generate this antibody is proprietary information.

Q9H1P3

Reactivity data

{ "title": "Reactivity Data", "filters": { "stats": ["", "Species", "Dilution Info", "Notes"], "tabs": { "all-applications": {"fullname" : "All Applications", "shortname": "All Applications"}, "WB" : {"fullname" : "Western blot", "shortname":"WB"}, "IHCP" : {"fullname" : "Immunohistochemistry (Formalin/PFA-fixed paraffin-embedded sections)", "shortname":"IHC-P"} }, "product-promise": { "all": "all", "testedAndGuaranteed": "tested", "guaranteed": "expected", "predicted": "predicted", "notRecommended": "not-recommended" } }, "values": { "Human": { "WB-species-checked": "testedAndGuaranteed", "WB-species-dilution-info": "1/500 - 1/2000", "WB-species-notes": "<p></p>", "IHCP-species-checked": "testedAndGuaranteed", "IHCP-species-dilution-info": "1/20 - 1/200", "IHCP-species-notes": "<p></p>" }, "Mouse": { "WB-species-checked": "testedAndGuaranteed", "WB-species-dilution-info": "1/500 - 1/2000", "WB-species-notes": "<p></p>", "IHCP-species-checked": "guaranteed", "IHCP-species-dilution-info": "", "IHCP-species-notes": "" } } }

Properties and storage information

Form
Liquid
Purification technique
Affinity purification Protein G
Purification notes
Purity >95%.
Storage buffer
pH: 7.4 Preservative: 0.03% Proclin 300 Constituents: PBS, 50% Glycerol (glycerin, glycerine)
Shipped at conditions
Blue Ice
Appropriate short-term storage duration
1-2 weeks
Appropriate short-term storage conditions
+4°C
Appropriate long-term storage conditions
-20°C
Aliquoting information
Upon delivery aliquot
Storage information
Avoid freeze / thaw cycle

Supplementary information

This supplementary information is collated from multiple sources and compiled automatically.

ORP2 also known as Oxysterol-binding protein-related protein 2 is a lipid-binding protein involved in intracellular lipid transport and signaling. The mass of ORP2 is approximately 55 kDa. This protein is mainly expressed in tissues with high metabolic activity such as the liver brain and adipose tissue. ORP2 binds to oxysterols and phosphoinositides recognizing specific lipid ligands an important characteristic of its functional role in cells.
Biological function summary

ORP2 regulates lipid metabolism and homeostasis through its lipid-binding abilities. It participates in the control of lipid flux between cellular compartments impacting membranes' composition and signaling processes. Evidence suggests ORP2 may not function as part of large complexes but rather acts independently or in small groups with other lipid transport proteins. ORP2's function in lipid regulation supports cellular events like cholesterol transport and modulation of membrane microdomain organization.

Pathways

ORP2 plays a role in the lipid signaling and metabolic pathways. A significant function includes its participation in the sterol regulatory element-binding proteins (SREBPs) pathway vital for cholesterol metabolism. ORP2 influences the balance of lipid composition by interacting with proteins like OSBP and other ORP family members impacting cellular lipid environments and homeostasis.

Altered ORP2 function associates with metabolic disorders such as non-alcoholic fatty liver disease (NAFLD) and atherosclerosis conditions where lipid metabolism is disrupted. Studies show links to insulin resistance and other metabolic syndromes suggesting ORP2 might contribute to disease progression through disturbed lipid signaling. Researchers are exploring these connections including interactions with proteins involved in lipid signaling like ABCA1 in relation to the development and therapeutic targeting of these disorders.

Product protocols

For this product, it's our understanding that no specific protocols are required. You can visit:

Target data

Intracellular transport protein that binds sterols and phospholipids and mediates lipid transport between intracellular compartments. Increases plasma membrane cholesterol levels and decreases phosphatidylinositol-4,5-bisphosphate levels in the cell membrane (PubMed : 30581148). Binds phosphoinositides, such as phosphatidylinositol-4,5-bisphosphate (PubMed : 30581148). Exhibits strong binding to phosphatidic acid and weak binding to phosphatidylinositol 3-phosphate (PubMed : 11279184). Binds cholesterol, dehydroergosterol, 22(R)-hydroxycholesterol and 25-hydroxycholesterol (in vitro) (PubMed : 17428193, PubMed : 19224871, PubMed : 30581148).
See full target information OSBPL2

Publications (2)

Recent publications for all applications. Explore the full list and refine your search

Aging 16:13132-13144 PubMed39475791

2024

OSBPL2 inhibition leads to apoptosis of cochlea hair cells in age-related hearing loss by inhibiting the AKT/FOXG1 signaling pathway.

Applications

Unspecified application

Species

Unspecified reactive species

Meina Li-Yang,Chao Ma,Xiaoye Wang,Jianqiang You

Frontiers in cardiovascular medicine 11:1319164 PubMed38545339

2024

The gene variant governs passive ascending aortic mechanics in the mgΔ mouse model of Marfan syndrome when superimposed to perlecan haploinsufficiency.

Applications

Unspecified application

Species

Unspecified reactive species

Samar A Tarraf,Rodrigo Barbosa de Souza,Ashley Herrick,Lygia V Pereira,Chiara Bellini
View all publications

Product promise

We are committed to supporting your work with high-quality reagents, and we're here for you every step of the way. In the unlikely event that one of our products does not perform as expected, you're protected by our Product Promise.
For full details, please see our Terms & Conditions

Please note: All products are 'FOR RESEARCH USE ONLY. NOT FOR USE IN DIAGNOSTIC OR THERAPEUTIC PROCEDURES'.

For licensing inquiries, please contact partnerships@abcam.com