JavaScript is disabled in your browser. Please enable JavaScript to view this website.
AB239981

Anti-OS9 antibody [EPR4272(2)] - BSA and Azide free

Be the first to review this product! Submit a review

|

(0 Publication)

Rabbit Recombinant Monoclonal OS9 antibody. Carrier free. Suitable for IHC-P, WB and reacts with Mouse, Human samples.

View Alternative Names

Protein OS-9, Amplified in osteosarcoma 9, OS9

1 Images
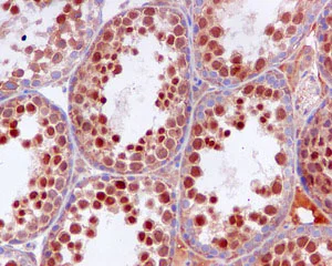
Immunohistochemistry (Formalin/PFA-fixed paraffin-embedded sections) - Anti-OS9 antibody [EPR4272(2)] - BSA and Azide free (AB239981)
  • IHC-P

Unknown

Immunohistochemistry (Formalin/PFA-fixed paraffin-embedded sections) - Anti-OS9 antibody [EPR4272(2)] - BSA and Azide free (AB239981)

Immunohistochemical analysis of paraffin-embedded Mouse testis tissue using ab109510 at a dilution of 1/100.

This data was developed using the same antibody clone in a different buffer formulation containing PBS, BSA, glycerol, and sodium azide (ab109510).

Perform heat mediated antigen retrieval with citrate buffer pH 6 before commencing with IHC staining protocol.

Key facts

Host species

Rabbit

Clonality

Monoclonal

Clone number

EPR4272(2)

Isotype

IgG

Carrier free

Yes

Reacts with

Mouse, Human

Applications

IHC-P, WB

applications

Immunogen

The exact immunogen used to generate this antibody is proprietary information.

Reactivity data

{ "title": "Reactivity Data", "filters": { "stats": ["", "Species", "Dilution Info", "Notes"], "tabs": { "all-applications": {"fullname" : "All Applications", "shortname": "All Applications"}, "IHCP" : {"fullname" : "Immunohistochemistry (Formalin/PFA-fixed paraffin-embedded sections)", "shortname":"IHC-P"}, "FlowCyt" : {"fullname" : "Flow Cytometry", "shortname":"Flow Cyt"}, "WB" : {"fullname" : "Western blot", "shortname":"WB"} }, "product-promise": { "all": "all", "testedAndGuaranteed": "tested", "guaranteed": "expected", "predicted": "predicted", "notRecommended": "not-recommended" } }, "values": { "Human": { "IHCP-species-checked": "predicted", "IHCP-species-dilution-info": "", "IHCP-species-notes": "", "FlowCyt-species-checked": "notRecommended", "FlowCyt-species-dilution-info": "", "FlowCyt-species-notes": "<p></p>", "WB-species-checked": "guaranteed", "WB-species-dilution-info": "", "WB-species-notes": "<p></p>" }, "Mouse": { "IHCP-species-checked": "testedAndGuaranteed", "IHCP-species-dilution-info": "", "IHCP-species-notes": "<p></p> Perform heat-mediated antigen retrieval with citrate buffer pH 6 before commencing with IHC staining protocol.", "FlowCyt-species-checked": "notRecommended", "FlowCyt-species-dilution-info": "", "FlowCyt-species-notes": "<p></p>", "WB-species-checked": "guaranteed", "WB-species-dilution-info": "", "WB-species-notes": "<p></p>" }, "Rat": { "IHCP-species-checked": "predicted", "IHCP-species-dilution-info": "", "IHCP-species-notes": "", "FlowCyt-species-checked": "notRecommended", "FlowCyt-species-dilution-info": "", "FlowCyt-species-notes": "", "WB-species-checked": "predicted", "WB-species-dilution-info": "", "WB-species-notes": "" } } }

Product details

ab239981 is the carrier-free version of ab109510.

Patented technology
Our RabMAb® technology is a patented hybridoma-based technology for making rabbit monoclonal antibodies. For details on our patents, please refer to RabMAb® patents.

What are the advantages of a recombinant monoclonal antibody?
This product is a recombinant monoclonal antibody, which offers several advantages including:

  • - High batch-to-batch consistency and reproducibility
  • - Improved sensitivity and specificity
  • - Long-term security of supply
  • - Animal-free batch production

For more information, read more on recombinant antibodies.

Conjugation ready
Our carrier-free antibodies are typically supplied in a PBS-only formulation, purified and free of BSA, sodium azide and glycerol. This conjugation-ready format is designed for use with fluorochromes, metal isotopes, oligonucleotides, and enzymes, which makes them ideal for antibody labelling, functional and cell-based assays, flow-based assays (e.g. mass cytometry) and Multiplex Imaging applications.

Use our conjugation kits for antibody conjugates that are ready-to-use in as little as 20 minutes with 1 minute hands-on-time and 100% antibody recovery: available for fluorescent dyes, HRP, biotin and gold.

Compatibility
This product is compatible with the Maxpar® Antibody Labeling Kit from Fluidigm, without the need for antibody preparation. Maxpar® is a trademark of Fluidigm Canada Inc.

Properties and storage information

Form
Liquid
Purification technique
Affinity purification Protein A
Storage buffer
pH: 7.2 - 7.4 Constituents: PBS
Shipped at conditions
Blue Ice
Appropriate short-term storage conditions
+4°C
Appropriate long-term storage conditions
+4°C
Storage information
Do Not Freeze

Supplementary information

This supplementary information is collated from multiple sources and compiled automatically.

OS9 also known as osteosarcoma amplified 9 protein has a molecular mass of approximately 84 kDa. The protein primarily locates in the endoplasmic reticulum (ER). OS9 functions as an ER-associated protein that plays an important role in the recognition and targeting of misfolded glycoproteins for degradation through the ER-associated degradation (ERAD) pathway. It assembles as part of the ERAD machinery through interactions with glycoproteins via its mannose 6-phosphate receptor homology (MRH) domain directly influencing the fate of proteins that fail proper folding.
Biological function summary

OS9 plays an important role in protein quality control within the cell. It forms part of a complex that detects and binds misfolded glycoproteins therefore marking them for transport to the proteasome for degradation. This function aids in maintaining cellular homeostasis by preventing the accumulation of defective proteins that can lead to cellular stress and dysfunction. The protein works in coordination with other ER chaperones and components such as SEL1L and HERPUD1 facilitating efficient substrate delivery to the degradation pathway.

Pathways

OS9 integrates into the ERAD pathway which is important for managing the protein folding load within the ER. This process is essential in managing and mitigating ER stress linked to the unfolded protein response (UPR). In particular OS9 interacts with ER mannosyl-oligosaccharide 12-alpha-mannosidase (MAN1B1) to trim mannose a vital step in determining protein fate within this pathway. Additionally OS9 links with proteins such as XBP1 helping regulate cellular stress responses.

OS9 has implications in neurodegenerative diseases and cancer. Misregulation or mutations affecting its function can contribute to diseases characterized by protein misfolding such as Alzheimer's disease where it might interact with other proteins involved in amyloid precursor protein (APP) processing. Additionally in the context of cancer overexpression correlates with tumor progression in certain cancers as it may influence pathways involving HERPUD1 affecting cell survival and proliferation under stress conditions.

Product protocols

For this product, it's our understanding that no specific protocols are required. You can visit:

Target data

Lectin which functions in endoplasmic reticulum (ER) quality control and ER-associated degradation (ERAD). May bind terminally misfolded non-glycosylated proteins as well as improperly folded glycoproteins, retain them in the ER, and possibly transfer them to the ubiquitination machinery and promote their degradation. Possible targets include TRPV4.
See full target information Protein OS-9

Product promise

We are committed to supporting your work with high-quality reagents, and we're here for you every step of the way. In the unlikely event that one of our products does not perform as expected, you're protected by our Product Promise.
For full details, please see our Terms & Conditions

Please note: All products are 'FOR RESEARCH USE ONLY. NOT FOR USE IN DIAGNOSTIC OR THERAPEUTIC PROCEDURES'.

For licensing inquiries, please contact partnerships@abcam.com