JavaScript is disabled in your browser. Please enable JavaScript to view this website.
AB284413

Anti-OSMR antibody [EPR24786-50] - BSA and Azide free

Be the first to review this product! Submit a review

|

(0 Publication)

Rabbit Recombinant Monoclonal OSMR antibody. Carrier free. Suitable for WB and reacts with Mouse samples.

View Alternative Names

Osmrb, Osmr, Oncostatin-M-specific receptor subunit beta, Interleukin-31 receptor subunit beta, IL-31 receptor subunit beta, IL-31R subunit beta, IL-31R-beta, IL-31RB

3 Images
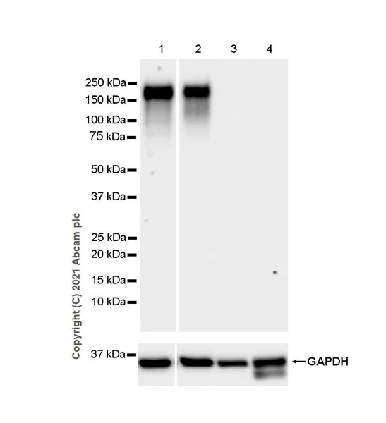
Western blot - Anti-OSMR antibody [EPR24786-50] - BSA and Azide free (AB284413)
  • WB

Lab

Western blot - Anti-OSMR antibody [EPR24786-50] - BSA and Azide free (AB284413)

This data was developed using ab273103, the same antibody clone in a different buffer formulation.

Blocking and diluting buffer and concentration : 5% NFDM/TBST.

OSMR is a glycosylated protein and can be deglycosylated by PNGase F.

The observed MW are consistent with what has been described in the literature (PMID : 26311783).

Exposure time : 3 minutes.

All lanes:

Western blot - Anti-OSMR antibody [EPR24786-50] (<a href='/en-us/products/primary-antibodies/osmr-antibody-epr24786-50-ab273103'>ab273103</a>) at 1/1000 dilution

Lane 1:

Untreated 3T3-L1 (mouse embryonic fibroblast) whole cell lysate at 15 µg

Lane 2:

3T3-L1 whole cell lysate treated with PNGase F at 15 µg

Lane 3:

Untreated NIH/3T3 (mouse embryonic fibroblast) whole cell lysate at 15 µg

Lane 4:

NIH/3T3 whole cell lysate treated with PNGase F at 15 µg

Secondary

All lanes:

Western blot - Goat Anti-Rabbit IgG H&L (HRP) (<a href='/en-us/products/secondary-antibodies/goat-rabbit-igg-h-l-hrp-ab97051'>ab97051</a>) at 1/100000 dilution

Predicted band size: 111 kDa

false

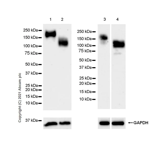
Western blot - Anti-OSMR antibody [EPR24786-50] - BSA and Azide free (AB284413)
  • WB

Lab

Western blot - Anti-OSMR antibody [EPR24786-50] - BSA and Azide free (AB284413)

This data was developed using ab273103, the same antibody clone in a different buffer formulation.

Blocking and diluting buffer and concentration : 5% NFDM/TBST.

The observed MW are consistent with what has been described in the literature (PMID : 27325693).

Negative control : M1, EL4 (PMID : 9920829).

Exposure time : 15 seconds.

All lanes:

Western blot - Anti-OSMR antibody [EPR24786-50] (<a href='/en-us/products/primary-antibodies/osmr-antibody-epr24786-50-ab273103'>ab273103</a>) at 1/1000 dilution

Lane 1:

3T3-L1 (mouse embryonic fibroblast) whole cell lysate at 20 µg

Lane 2:

NIH/3T3 (mouse embryonic fibroblast) whole cell lysate at 20 µg

Lane 3:

M1 (mouse myeloid leukemia myeloblast) whole cell lysate at 20 µg

Lane 4:

EL4 (mouse lymphoma T lymphocyte) whole cell lysate at 20 µg

Secondary

All lanes:

Western blot - Goat Anti-Rabbit IgG H&L (HRP) (<a href='/en-us/products/secondary-antibodies/goat-rabbit-igg-h-l-hrp-ab97051'>ab97051</a>) at 1/100000 dilution

Predicted band size: 111 kDa

false

Western blot - Anti-OSMR antibody [EPR24786-50] - BSA and Azide free (AB284413)
  • WB

Lab

Western blot - Anti-OSMR antibody [EPR24786-50] - BSA and Azide free (AB284413)

This data was developed using ab273103, the same antibody clone in a different buffer formulation.

Blocking and diluting buffer and concentration : 5% NFDM/TBST.

The observed MW are consistent with what has been described in the literature (PMID : 26311783).

Exposure time : 3 minutes.

All lanes:

Western blot - Anti-OSMR antibody [EPR24786-50] (<a href='/en-us/products/primary-antibodies/osmr-antibody-epr24786-50-ab273103'>ab273103</a>) at 1/1000 dilution

All lanes:

Mouse lung tissue lysate at 20 µg

Secondary

All lanes:

Western blot - Goat Anti-Rabbit IgG H&L (HRP) (<a href='/en-us/products/secondary-antibodies/goat-rabbit-igg-h-l-hrp-ab97051'>ab97051</a>) at 1/100000 dilution

Predicted band size: 111 kDa

false

Key facts

Host species

Rabbit

Clonality

Monoclonal

Clone number

EPR24786-50

Isotype

IgG

Carrier free

Yes

Reacts with

Mouse

Applications

WB

applications

Immunogen

The exact immunogen used to generate this antibody is proprietary information.

Specificity

- WB suitable for mouse only

- FC and IP not suitable for human and mouse

- ICC not suitable for human

- IHC not suitable for human, mouse and rat

Reactivity data

{ "title": "Reactivity Data", "filters": { "stats": ["", "Species", "Dilution Info", "Notes"], "tabs": { "all-applications": {"fullname" : "All Applications", "shortname": "All Applications"}, "ICCIF" : {"fullname" : "Immunocytochemistry/ Immunofluorescence", "shortname":"ICC/IF"}, "IP" : {"fullname" : "Immunoprecipitation", "shortname":"IP"}, "FlowCyt" : {"fullname" : "Flow Cytometry", "shortname":"Flow Cyt"}, "WB" : {"fullname" : "Western blot", "shortname":"WB"}, "IHCP" : {"fullname" : "Immunohistochemistry (Formalin/PFA-fixed paraffin-embedded sections)", "shortname":"IHC-P"} }, "product-promise": { "all": "all", "testedAndGuaranteed": "tested", "guaranteed": "expected", "predicted": "predicted", "notRecommended": "not-recommended" } }, "values": { "Human": { "ICCIF-species-checked": "notRecommended", "ICCIF-species-dilution-info": "", "ICCIF-species-notes": "<p></p>", "IP-species-checked": "notRecommended", "IP-species-dilution-info": "", "IP-species-notes": "<p></p>", "FlowCyt-species-checked": "notRecommended", "FlowCyt-species-dilution-info": "", "FlowCyt-species-notes": "<p></p>", "WB-species-checked": "notRecommended", "WB-species-dilution-info": "", "WB-species-notes": "<p></p>", "IHCP-species-checked": "notRecommended", "IHCP-species-dilution-info": "", "IHCP-species-notes": "<p></p>" }, "Mouse": { "ICCIF-species-checked": "notRecommended", "ICCIF-species-dilution-info": "", "ICCIF-species-notes": "<p></p>", "IP-species-checked": "notRecommended", "IP-species-dilution-info": "", "IP-species-notes": "<p></p>", "FlowCyt-species-checked": "notRecommended", "FlowCyt-species-dilution-info": "", "FlowCyt-species-notes": "<p></p>", "WB-species-checked": "testedAndGuaranteed", "WB-species-dilution-info": "", "WB-species-notes": "<p></p>", "IHCP-species-checked": "notRecommended", "IHCP-species-dilution-info": "", "IHCP-species-notes": "<p></p>" }, "Rat": { "ICCIF-species-checked": "notRecommended", "ICCIF-species-dilution-info": "", "ICCIF-species-notes": "", "IP-species-checked": "notRecommended", "IP-species-dilution-info": "", "IP-species-notes": "", "FlowCyt-species-checked": "notRecommended", "FlowCyt-species-dilution-info": "", "FlowCyt-species-notes": "", "WB-species-checked": "notRecommended", "WB-species-dilution-info": "", "WB-species-notes": "<p></p>", "IHCP-species-checked": "notRecommended", "IHCP-species-dilution-info": "", "IHCP-species-notes": "<p></p>" } } }

Product details

ab284413 is the carrier-free version of ab273103.

Patented technology
Our RabMAb® technology is a patented hybridoma-based technology for making rabbit monoclonal antibodies. For details on our patents, please refer to RabMAb® patents.

What are the advantages of a recombinant monoclonal antibody?
This product is a recombinant monoclonal antibody, which offers several advantages including:

  • - High batch-to-batch consistency and reproducibility
  • - Improved sensitivity and specificity
  • - Long-term security of supply
  • - Animal-free batch production

For more information, read more on recombinant antibodies.

Conjugation ready
Our carrier-free antibodies are typically supplied in a PBS-only formulation, purified and free of BSA, sodium azide and glycerol. This conjugation-ready format is designed for use with fluorochromes, metal isotopes, oligonucleotides, and enzymes, which makes them ideal for antibody labelling, functional and cell-based assays, flow-based assays (e.g. mass cytometry) and Multiplex Imaging applications.

Use our conjugation kits for antibody conjugates that are ready-to-use in as little as 20 minutes with 1 minute hands-on-time and 100% antibody recovery: available for fluorescent dyes, HRP, biotin and gold.

Compatibility
This product is compatible with the Maxpar® Antibody Labeling Kit from Fluidigm, without the need for antibody preparation. Maxpar® is a trademark of Fluidigm Canada Inc.

Properties and storage information

Form
Liquid
Purification technique
Affinity purification Protein A
Storage buffer
pH: 7.2 - 7.4 Constituents: PBS
Shipped at conditions
Blue Ice
Appropriate short-term storage conditions
+4°C
Appropriate long-term storage conditions
+4°C

Supplementary information

This supplementary information is collated from multiple sources and compiled automatically.

The Oncostatin M receptor commonly known as OSMR is an important membrane-bound receptor involved in numerous cellular processes. It is part of the type I cytokine receptor family and often forms heterodimers with gp130 to mediate its functions. OSMR has a mass of approximately 115 kDa and predominantly expresses in tissues such as skin lung liver and the nervous system. Alternative names for OSMR include Oncostatin-M-specific receptor beta subunit and IL-31 receptor beta.
Biological function summary

OSMR plays a significant role in regulating inflammatory responses and cell growth. It is part of a receptor complex that upon activation triggers intracellular signaling cascades driven by cytokines like Oncostatin M and IL-31. OSMR involvement influences processes including acute phase responses hematopoiesis and nerve cell differentiation. Its action helps mediate the communication between cells to respond to external inflammatory signals effectively.

Pathways

OSMR is actively involved in the JAK/STAT signaling pathway and the MAPK pathway. In JAK/STAT OSMR collaborates with related proteins like gp130 and participates in promoting transcriptional activity of specific genes in response to cytokine signaling. OSMR’s engagement in the MAPK pathway influences cellular responses such as proliferation differentiation and apoptosis linking it with proteins such as MAP Kinases that further proceed this signaling cascade.

OSMR shows a connection with atopic dermatitis and various cancers. Aberrant OSMR signaling can lead to excessive inflammatory responses contributing to skin conditions like atopic dermatitis often involving IL-31 in the pathway. In cancer elevated OSMR expression correlates with tumorigenesis and progression establishing its interaction with oncogenic proteins in the STAT3 pathway which may promote malignant cell behavior. Through these disease interactions OSMR represents a potential therapeutic target worth exploring.

Product protocols

For this product, it's our understanding that no specific protocols are required. You can visit:

Target data

Associates with IL31RA to form the IL31 receptor (PubMed : 9920829). Binds IL31 to activate STAT3 and possibly STAT1 and STAT5 (By similarity). Capable of transducing OSM-specific signaling events (By similarity).
See full target information Osmr

Product promise

We are committed to supporting your work with high-quality reagents, and we're here for you every step of the way. In the unlikely event that one of our products does not perform as expected, you're protected by our Product Promise.
For full details, please see our Terms & Conditions

Please note: All products are 'FOR RESEARCH USE ONLY. NOT FOR USE IN DIAGNOSTIC OR THERAPEUTIC PROCEDURES'.

For licensing inquiries, please contact partnerships@abcam.com