JavaScript is disabled in your browser. Please enable JavaScript to view this website.
AB324647

Anti-OSMR antibody [RM1322]

Be the first to review this product! Submit a review

|

(0 Publication)

Rabbit Recombinant Multiclonal OSMR antibody. Suitable for Flow Cyt, ICC/IF, WB and reacts with Human, Mouse samples.

View Alternative Names

OSMRB, OSMR, Oncostatin-M-specific receptor subunit beta, Interleukin-31 receptor subunit beta, IL-31 receptor subunit beta, IL-31R subunit beta, IL-31R-beta, IL-31RB

6 Images
Flow Cytometry - Anti-OSMR antibody [RM1322] (AB324647)
  • Flow Cyt

Supplier Data

Flow Cytometry - Anti-OSMR antibody [RM1322] (AB324647)

Flow cytometric analysis of BT-549 (human Breast; Mammary gland epithelial) (Right) / Jurkat (human T cell leukemia T lymphocyte from peripheral blood) (Left) cells labelling OSMR with ab324647 at 1/500 dilution (0.1ug) (Red) compared with a Rabbit monoclonal IgG (ab172730) (Black) isotype control and an unlabelled control (cells without incubation with primary antibody and secondary antibody).

Goat anti-Rabbit IgG (Alexa Fluor® 647, ab150083) at 1/5000 dilution was used as the secondary antibody.

Gated on viable cells.
Negative control : Jurkat.

Immunocytochemistry/ Immunofluorescence - Anti-OSMR antibody [RM1322] (AB324647)
  • ICC/IF

Supplier Data

Immunocytochemistry/ Immunofluorescence - Anti-OSMR antibody [RM1322] (AB324647)

Immunofluorescent analysis of 4% Paraformaldehyde-fixed, 0.1% TritonX-100 permeabilized BT-549 (human Breast; Mammary gland epithelial) cells labelling OSMR with ab324647 at 1/50 (9.9 ug/ml) dilution, followed by ab150081 Goat Anti-Rabbit IgG H&L (Alexa Fluor® 488) preadsorbed antibody at 1/ab150081 1000 2ug/ml dilution (Green).

Confocal image showing membranous and cytoplasmic staining in BT-549 and no staining in Jurkat cell line (shown in green). The counterstain was observed in magenta. Nuclear DNA was labelled with DAPI (shown in blue).
Negative control : Jurkat (PMID : 8999038, 28607076).
Image was taken with a confocal microscope (Leica-Microsystems, TCS SP8).

ab7291 Anti-alpha Tubulin mouse monoclonal antibody was used to counterstain tubulin at 1/ab7291 1000 1ug/ml dilution (Magenta). The Nuclear counterstain was DAPI (Blue).

Secondary antibody only control : Secondary antibody is ab150081 Goat Anti-Rabbit IgG H&L (Alexa Fluor® 488) preadsorbed at 1/ab150081 1000 2ug/ml dilution.

Flow Cytometry - Anti-OSMR antibody [RM1322] (AB324647)
  • Flow Cyt

Supplier Data

Flow Cytometry - Anti-OSMR antibody [RM1322] (AB324647)

Flow cytometric analysis of 3T3-L1 (mouse embryonic fibroblast) (Right) / EL4 (mouse lymphoma T lymphocyte) (Left) cells labelling OSMR with ab324647 at 1/500 dilution (0.1ug) (Red) compared with a Rabbit monoclonal IgG (ab172730) (Black) isotype control and an unlabelled control (cells without incubation with primary antibody and secondary antibody).

Goat anti-Rabbit IgG (Alexa Fluor® 647, ab150083) at 1/5000 dilution was used as the secondary antibody.

Gated on viable cells.
Negative control : EL4 (PMID : 9920829).

Immunocytochemistry/ Immunofluorescence - Anti-OSMR antibody [RM1322] (AB324647)
  • ICC/IF

Supplier Data

Immunocytochemistry/ Immunofluorescence - Anti-OSMR antibody [RM1322] (AB324647)

Immunofluorescent analysis of 4% Paraformaldehyde-fixed, 0.1% TritonX-100 permeabilized 3T3-L1 (mouse embryonic fibroblast) cells labelling OSMR with ab324647 at 1/50 (9.9 ug/ml) dilution, followed by ab150081 Goat Anti-Rabbit IgG H&L (Alexa Fluor® 488) preadsorbed antibody at 1/ab150081 1000 2ug/ml dilution (Green).

Confocal image showing membranous and cytoplasmic staining in 3T3-L1 and no staining in EL4 cell line (shown in green). The counterstain was observed in magenta. Nuclear DNA was labelled with DAPI (shown in blue).
Negative control : EL4 (PMID : 9920829).
Image was taken with a confocal microscope (Leica-Microsystems, TCS SP8).

ab7291 Anti-alpha Tubulin mouse monoclonal antibody was used to counterstain tubulin at 1/ab7291 1000 1ug/ml dilution (Magenta). The Nuclear counterstain was DAPI (Blue).

Secondary antibody only control : Secondary antibody is ab150081 Goat Anti-Rabbit IgG H&L (Alexa Fluor® 488) preadsorbed at 1/ab150081 1000 2ug/ml dilution.

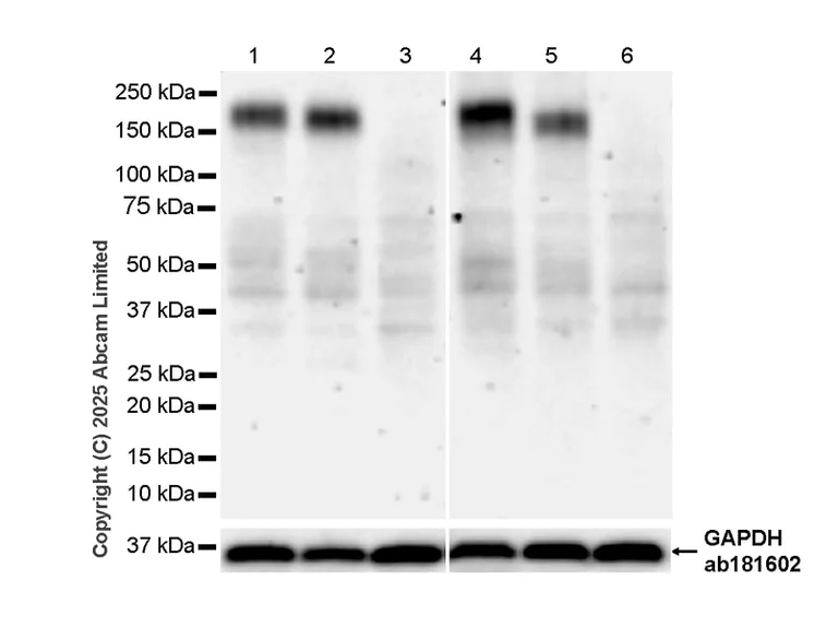
Western blot - Anti-OSMR antibody [RM1322] (AB324647)
  • WB

Supplier Data

Western blot - Anti-OSMR antibody [RM1322] (AB324647)

Blocking and diluting buffer and concentration : 5% NFDM/TBST.

Negative control : Jurkat (PMID : 8999038, 28607076).

Negative control : EL4

This blot was developed using a high-sensitivity ECL substrate, allowing for the detection of proteins in the mid-femtogram range.

In Western blot, Anti-GAPDH antibody [EPR16891] - Loading Control (ab181602) staining at 1/200000 dilution.

All lanes:

Western blot - Anti-OSMR antibody [RM1322] (ab324647) at 1/1000 dilution

Lane 1:

NIH/3T3 (mouse embryonic fibroblast) whole cell lysate at 20 µg

Lane 2:

3T3-L1 (mouse embryonic fibroblast) whole cell lysate at 20 µg

Lane 3:

EL4 (mouse lymphoma T lymphocyte) whole cell lysate at 20 µg

Lane 4:

BT-549 (human Breast; Mammary gland epithelial) whole cell lysate at 20 µg

Lane 5:

786-O (human kidney epithelial cell) at 20 µg

Lane 6:

Jurkat (human T cell leukemia T lymphocyte from peripheral blood) whole cell lysate at 20 µg

Secondary

All lanes:

Western blot - Goat Anti-Rabbit IgG H&L (HRP) (<a href='/en-us/products/secondary-antibodies/goat-rabbit-igg-h-l-hrp-ab97051'>ab97051</a>) at 1/20000 dilution

Observed band size: 150-180 kDa,36 kDa

true

Exposure time: 180s

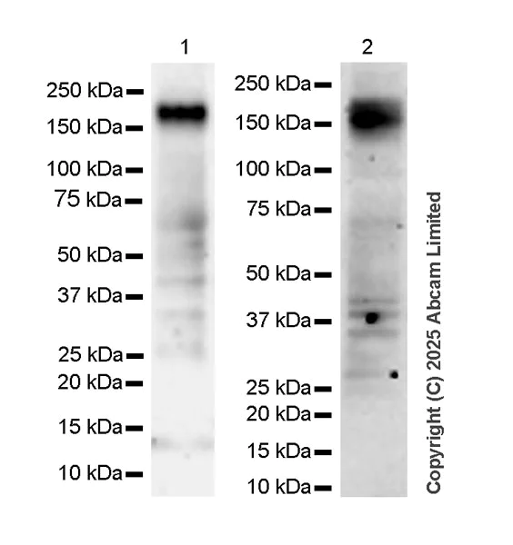
Western blot - Anti-OSMR antibody [RM1322] (AB324647)
  • WB

Supplier Data

Western blot - Anti-OSMR antibody [RM1322] (AB324647)

Blocking and diluting buffer and concentration : 5% NFDM/TBST.

This blot was developed using a high-sensitivity ECL substrate, allowing for the detection of proteins in the mid-femtogram range.

All lanes:

Western blot - Anti-OSMR antibody [RM1322] (ab324647) at 1/1000 dilution

Lane 1:

Mouse lung tissue lysate at 20 µg

Lane 2:

Mouse brain tissue lysate at 20 µg

Secondary

All lanes:

Western blot - Goat Anti-Rabbit IgG H&L (HRP) (<a href='/en-us/products/secondary-antibodies/goat-rabbit-igg-h-l-hrp-ab97051'>ab97051</a>) at 1/20000 dilution

Observed band size: 150-180 kDa

true

Exposure time: 180s

Key facts

Host species

Rabbit

Clonality

Multiclonal

Clone number

RM1322

Isotype

IgG

Carrier free

No

Reacts with

Human, Mouse

Applications

WB, Flow Cyt, ICC/IF

applications

Immunogen

The exact immunogen used to generate this antibody is proprietary information.

Reactivity data

{ "title": "Reactivity Data", "filters": { "stats": ["", "Species", "Dilution Info", "Notes"], "tabs": { "all-applications": {"fullname" : "All Applications", "shortname": "All Applications"}, "FlowCyt" : {"fullname" : "Flow Cytometry", "shortname":"Flow Cyt"}, "ICCIF" : {"fullname" : "Immunocytochemistry/ Immunofluorescence", "shortname":"ICC/IF"}, "WB" : {"fullname" : "Western blot", "shortname":"WB"}, "IHCP" : {"fullname" : "Immunohistochemistry (Formalin/PFA-fixed paraffin-embedded sections)", "shortname":"IHC-P"}, "IP" : {"fullname" : "Immunoprecipitation", "shortname":"IP"} }, "product-promise": { "all": "all", "testedAndGuaranteed": "tested", "guaranteed": "expected", "predicted": "predicted", "notRecommended": "not-recommended" } }, "values": { "Human": { "FlowCyt-species-checked": "testedAndGuaranteed", "FlowCyt-species-dilution-info": "1/500", "FlowCyt-species-notes": "<p></p>", "ICCIF-species-checked": "testedAndGuaranteed", "ICCIF-species-dilution-info": "1/50", "ICCIF-species-notes": "<p></p>", "WB-species-checked": "testedAndGuaranteed", "WB-species-dilution-info": "1/1000", "WB-species-notes": "<p></p>", "IHCP-species-checked": "notRecommended", "IHCP-species-dilution-info": "", "IHCP-species-notes": "<p></p>", "IP-species-checked": "notRecommended", "IP-species-dilution-info": "", "IP-species-notes": "<p></p>" }, "Mouse": { "FlowCyt-species-checked": "testedAndGuaranteed", "FlowCyt-species-dilution-info": "1/500", "FlowCyt-species-notes": "<p></p>", "ICCIF-species-checked": "testedAndGuaranteed", "ICCIF-species-dilution-info": "1/50", "ICCIF-species-notes": "<p></p>", "WB-species-checked": "testedAndGuaranteed", "WB-species-dilution-info": "1/1000", "WB-species-notes": "<p></p>", "IHCP-species-checked": "notRecommended", "IHCP-species-dilution-info": "", "IHCP-species-notes": "<p></p>", "IP-species-checked": "notRecommended", "IP-species-dilution-info": "", "IP-species-notes": "<p></p>" }, "Rat": { "FlowCyt-species-checked": "notRecommended", "FlowCyt-species-dilution-info": "", "FlowCyt-species-notes": "", "ICCIF-species-checked": "notRecommended", "ICCIF-species-dilution-info": "", "ICCIF-species-notes": "", "WB-species-checked": "notRecommended", "WB-species-dilution-info": "", "WB-species-notes": "", "IHCP-species-checked": "notRecommended", "IHCP-species-dilution-info": "", "IHCP-species-notes": "<p></p>", "IP-species-checked": "notRecommended", "IP-species-dilution-info": "", "IP-species-notes": "" } } }

Product details

Patented technology
Our RabMAb® technology is a patented hybridoma-based technology for making rabbit monoclonal antibodies. For details on our patents, please refer to RabMAb® patents.

What are recombinant multiclonals?
Recombinant multiclonals are a mixture of recombinant antibodies co-expressed from a library of heavy and light chains. They offer several advantages including:

  • - The sensitivity of polyclonal antibodies by recognising multiple epitopes
  • - High batch-to-batch consistency and reproducibility
  • - Improved sensitivity and specificity
  • - Long-term security of supply
  • - Animal-free batch production

View our range of recombinant multiclonal antibodies.

Properties and storage information

Form
Liquid
Purification technique
Affinity purification Protein A
Storage buffer
pH: 7.2 - 7.4 Preservative: 0.01% Sodium azide Constituents: PBS, 40% Glycerol (glycerin, glycerine), 0.05% BSA
Shipped at conditions
Blue Ice
Appropriate short-term storage duration
1-2 weeks
Appropriate short-term storage conditions
+4°C
Appropriate long-term storage conditions
-20°C
Aliquoting information
Upon delivery aliquot
Storage information
Avoid freeze / thaw cycle

Product protocols

For this product, it's our understanding that no specific protocols are required. You can visit:

Target data

Associates with IL31RA to form the IL31 receptor. Binds IL31 to activate STAT3 and possibly STAT1 and STAT5. Capable of transducing OSM-specific signaling events.
See full target information OSMR

Additional targets

Osmr

Product promise

We are committed to supporting your work with high-quality reagents, and we're here for you every step of the way. In the unlikely event that one of our products does not perform as expected, you're protected by our Product Promise.
For full details, please see our Terms & Conditions

Please note: All products are 'FOR RESEARCH USE ONLY. NOT FOR USE IN DIAGNOSTIC OR THERAPEUTIC PROCEDURES'.

For licensing inquiries, please contact partnerships@abcam.com