JavaScript is disabled in your browser. Please enable JavaScript to view this website.
AB324099

Anti-OSMR antibody [RM2085]

Be the first to review this product! Submit a review

|

(0 Publication)

Rabbit Recombinant Multiclonal OSMR antibody. Suitable for WB, IP, ICC/IF, Flow Cyt and reacts with Human, Transfected cell line - Human samples.

View Alternative Names

OSMRB, OSMR, Oncostatin-M-specific receptor subunit beta, Interleukin-31 receptor subunit beta, IL-31 receptor subunit beta, IL-31R subunit beta, IL-31R-beta, IL-31RB

7 Images
Flow Cytometry - Anti-OSMR antibody [RM2085] (AB324099)
  • Flow Cyt

Supplier Data

Flow Cytometry - Anti-OSMR antibody [RM2085] (AB324099)

Flow cytometric analysis of A-172 (human brain glioblastoma cell) (Right) / JAR (human placenta choriocarcinoma epithelial cell) (Left) cells labelling OSMR with ab324099 at 1/500 dilution (0.1ug) (Red) compared with a Rabbit monoclonal IgG (ab172730) (Black) isotype control and an unlabelled control (cells without incubation with primary antibody and secondary antibody).

Goat anti-Rabbit IgG (Alexa Fluor® 647, ab150083) at 1/5000 dilution was used as the secondary antibody.

Gated on viable cells.
Negative control : JAR.

Immunocytochemistry/ Immunofluorescence - Anti-OSMR antibody [RM2085] (AB324099)
  • ICC/IF

Supplier Data

Immunocytochemistry/ Immunofluorescence - Anti-OSMR antibody [RM2085] (AB324099)

Immunofluorescent analysis of 100% methanol-fixed, 0.1% TritonX-100 permeabilized A375 (human malignant melanoma epithelial cell) cells labelling OSMR with ab324099 at 1/50 (9.94 ug/ml) dilution, followed by ab150081 Goat Anti-Rabbit IgG H&L (Alexa Fluor® 488) preadsorbed antibody at 1/1000 dilution (Green).

Confocal image showing mainly membranous staining in A375 and no staining in Jurkat cell line (shown in green). The counterstain was observed in magenta. Nuclear DNA was labelled with DAPI (shown in blue).
Negative control : Jurkat (PMID : 8999038).
Image was taken with a confocal microscope (Leica-Microsystems, TCS SP8).

ab195889 Anti-alpha Tubulin mouse monoclonal antibody - Microtubule Marker (Alexa Fluor® 594) was used to counterstain tubulin at 1/200 dilution (Magenta). The Nuclear counterstain was DAPI (Blue).

Secondary antibody only control : Secondary antibody is ab150081 Goat Anti-Rabbit IgG H&L (Alexa Fluor® 488) preadsorbed at 1/1000 dilution.

Immunocytochemistry/ Immunofluorescence - Anti-OSMR antibody [RM2085] (AB324099)
  • ICC/IF

Supplier Data

Immunocytochemistry/ Immunofluorescence - Anti-OSMR antibody [RM2085] (AB324099)

Immunofluorescent analysis of 100% methanol-fixed, 0.1% TritonX-100 permeabilized A-172 (human brain glioblastoma cell) cells labelling OSMR with ab324099 at 1/50 (9.94 ug/ml) dilution, followed by ab150081 Goat Anti-Rabbit IgG H&L (Alexa Fluor® 488) preadsorbed antibody at 1/1000 dilution (Green).

Confocal image showing membranous and cytoplasmic staining in A-172 and no staining in JAR cell line (shown in green). The counterstain was observed in magenta. Nuclear DNA was labelled with DAPI (shown in blue).
Negative control : JAR (PMID : 8999038).
Image was taken with a confocal microscope (Leica-Microsystems, TCS SP8).

ab195889 Anti-alpha Tubulin mouse monoclonal antibody - Microtubule Marker (Alexa Fluor® 594) was used to counterstain tubulin at 1/200 dilution (Magenta). The Nuclear counterstain was DAPI (Blue).

Secondary antibody only control : Secondary antibody is ab150081 Goat Anti-Rabbit IgG H&L (Alexa Fluor® 488) preadsorbed at 1/1000 dilution.

Flow Cytometry - Anti-OSMR antibody [RM2085] (AB324099)
  • Flow Cyt

Supplier Data

Flow Cytometry - Anti-OSMR antibody [RM2085] (AB324099)

Flow cytometric analysis of A375 (human malignant melanoma epithelial cell) (Right) / Jurkat (human T cell leukemia T lymphocyte from peripheral blood) (Left) cells labelling OSMR with ab324099 at 1/500 dilution (0.1ug) (Red) compared with a Rabbit monoclonal IgG (ab172730) (Black) isotype control and an unlabelled control (cells without incubation with primary antibody and secondary antibody).

Goat anti-Rabbit IgG (Alexa Fluor® 647, ab150083) at 1/5000 dilution was used as the secondary antibody.

Gated on viable cells.
Negative control : Jurkat.

Immunocytochemistry/ Immunofluorescence - Anti-OSMR antibody [RM2085] (AB324099)
  • ICC/IF

Supplier Data

Immunocytochemistry/ Immunofluorescence - Anti-OSMR antibody [RM2085] (AB324099)

Immunofluorescent analysis of 4% Paraformaldehyde-fixed, 0.1% TritonX-100 permeabilized 293T (Human embryonic kidney epithelial cell) cells labelling OSMR with ab324099 at 1/50 (9.94 ug/ml) dilution, followed by ab150081 Goat Anti-Rabbit IgG H&L (Alexa Fluor® 488) preadsorbed antibody at 1/1000 dilution (Green).

Confocal image showing positive staining in 293T cells transfected with a human OSMR expression vector containing a myc-His-tag® (shown in green). The counterstain was observed in magenta. Nuclear DNA was labelled with DAPI (shown in blue). Image was taken with a confocal microscope (Leica-Microsystems, TCS SP8).

Myc-Tag Mouse mAb (Alexa Fluor® 647) was used to counterstain tubulin at 1/100 dilution (Magenta). The Nuclear counterstain was DAPI (Blue).

Secondary antibody only control : Secondary antibody is ab150081 Goat Anti-Rabbit IgG H&L (Alexa Fluor® 488) preadsorbed at 1/1000 dilution.

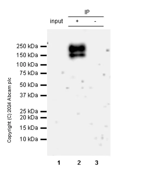
Immunoprecipitation - Anti-OSMR antibody [RM2085] (AB324099)
  • IP

Supplier Data

Immunoprecipitation - Anti-OSMR antibody [RM2085] (AB324099)

OSMR was immunoprecipitated from 0.35 mg ab324099 at 1/30 IP in A375 (human malignant melanoma epithelial cell) whole cell lysate with ab324099 at 1/30 dilution (2ug in 0.35mg lysates). Western blot was performed on the immunoprecipitate using ab324099 at 1/1000 dilution.

Blocking and dilution buffer and concentration : 5% NFDM/TBST

All lanes:

Immunoprecipitation - Anti-OSMR antibody [RM2085] (ab324099) at 1/1000 dilution

Lane 1:

A375 (human malignant melanoma epithelial cell) whole cell lysate at 10 µg

Lane 2:

ab324099 at 1/30 IP in A375 (human malignant melanoma epithelial cell) whole cell lysate

Lane 3:

Rabbit monoclonal IgG (<a href='/en-us/products/primary-antibodies/rabbit-igg-monoclonal-epr25a-isotype-control-ab172730'>ab172730</a>) instead of ab324099 in A375 whole cell lysate

Secondary

All lanes:

Immunoprecipitation - VeriBlot for IP Detection Reagent (HRP) (<a href='/en-us/products/reagents/veriblot-for-ip-detection-reagent-hrp-ab131366'>ab131366</a>) at 1/5000 dilution

Observed band size: 150-180 kDa

false

Exposure time: 180s

Western blot - Anti-OSMR antibody [RM2085] (AB324099)
  • WB

Supplier Data

Western blot - Anti-OSMR antibody [RM2085] (AB324099)

Blocking and diluting buffer and concentration : 5% NFDM/TBST.

Negative control : JAR, Jurkat (PMID : 8999038, 8119965, 28607076).

Low expression : human tonsil (PMID : 8999038).

The expression pattern/observed MW are consistent with what has been described in the literature (PMID : 8999038, 9188471, 21394648).

In Western blot, Anti-GAPDH antibody [EPR16891] - Loading Control (ab181602) staining at 1/200000 dilution.

All lanes:

Western blot - Anti-OSMR antibody [RM2085] (ab324099) at 1/1000 dilution

Lane 1:

HaCaT (human skin keratinocyte) whole cell lysate at 20 µg

Lane 2:

HeLa (human cervical adenocarcinoma epithelial cell) whole cell lysate at 20 µg

Lane 3:

A375 (human malignant melanoma epithelial cell) whole cell lysate at 20 µg

Lane 4:

A-172 (human brain glioblastoma cell ) whole cell lysate at 20 µg

Lane 5:

Jurkat (human T cell leukemia T lymphocyte from peripheral blood) whole cell lysate at 20 µg

Lane 6:

JAR (human placenta choriocarcinoma epithelial cell) whole cell lysate at 20 µg

Lane 7:

Human lung cancer tissue lysate at 20 µg

Lane 8:

Human tonsil tissue lysate at 20 µg

Secondary

Lanes 1 - 6:

Western blot - Goat Anti-Rabbit IgG H&L (HRP) (<a href='/en-us/products/secondary-antibodies/goat-rabbit-igg-h-l-hrp-ab97051'>ab97051</a>) at 1/20000 dilution

Lanes 7 - 8:

Goat Anti-Rabbit IgG (HRP) with minimal cross-reactivity with human IgG at 1/2000 dilution

Observed band size: 150-180 kDa,36 kDa

false

Exposure time: 180s

Key facts

Host species

Rabbit

Clonality

Multiclonal

Clone number

RM2085

Isotype

IgG

Carrier free

No

Reacts with

Human

Applications

Flow Cyt, WB, ICC/IF, IP

applications

Immunogen

This product was produced with the following immunogens:

The exact immunogen used to generate this antibody is proprietary information.

The exact immunogen used to generate this antibody is proprietary information.

Reactivity data

{ "title": "Reactivity Data", "filters": { "stats": ["", "Species", "Dilution Info", "Notes"], "tabs": { "all-applications": {"fullname" : "All Applications", "shortname": "All Applications"}, "WB" : {"fullname" : "Western blot", "shortname":"WB"}, "IP" : {"fullname" : "Immunoprecipitation", "shortname":"IP"}, "ICCIF" : {"fullname" : "Immunocytochemistry/ Immunofluorescence", "shortname":"ICC/IF"}, "FlowCyt" : {"fullname" : "Flow Cytometry", "shortname":"Flow Cyt"}, "IHCP" : {"fullname" : "Immunohistochemistry (Formalin/PFA-fixed paraffin-embedded sections)", "shortname":"IHC-P"} }, "product-promise": { "all": "all", "testedAndGuaranteed": "tested", "guaranteed": "expected", "predicted": "predicted", "notRecommended": "not-recommended" } }, "values": { "Human": { "WB-species-checked": "testedAndGuaranteed", "WB-species-dilution-info": "1/1000", "WB-species-notes": "<p></p>", "IP-species-checked": "testedAndGuaranteed", "IP-species-dilution-info": "1/30", "IP-species-notes": "<p></p>", "ICCIF-species-checked": "testedAndGuaranteed", "ICCIF-species-dilution-info": "1/50", "ICCIF-species-notes": "<p></p>", "FlowCyt-species-checked": "testedAndGuaranteed", "FlowCyt-species-dilution-info": "1/500", "FlowCyt-species-notes": "<p></p>", "IHCP-species-checked": "notRecommended", "IHCP-species-dilution-info": "", "IHCP-species-notes": "<p></p>" }, "Mouse": { "WB-species-checked": "notRecommended", "WB-species-dilution-info": "", "WB-species-notes": "", "IP-species-checked": "notRecommended", "IP-species-dilution-info": "", "IP-species-notes": "", "ICCIF-species-checked": "notRecommended", "ICCIF-species-dilution-info": "", "ICCIF-species-notes": "", "FlowCyt-species-checked": "notRecommended", "FlowCyt-species-dilution-info": "", "FlowCyt-species-notes": "", "IHCP-species-checked": "notRecommended", "IHCP-species-dilution-info": "", "IHCP-species-notes": "<p></p>" }, "Rat": { "WB-species-checked": "notRecommended", "WB-species-dilution-info": "", "WB-species-notes": "", "IP-species-checked": "notRecommended", "IP-species-dilution-info": "", "IP-species-notes": "", "ICCIF-species-checked": "notRecommended", "ICCIF-species-dilution-info": "", "ICCIF-species-notes": "", "FlowCyt-species-checked": "notRecommended", "FlowCyt-species-dilution-info": "", "FlowCyt-species-notes": "", "IHCP-species-checked": "notRecommended", "IHCP-species-dilution-info": "", "IHCP-species-notes": "<p></p>" }, "Transfected cell line - Human": { "WB-species-checked": "notRecommended", "WB-species-dilution-info": "", "WB-species-notes": "", "IP-species-checked": "notRecommended", "IP-species-dilution-info": "", "IP-species-notes": "", "ICCIF-species-checked": "testedAndGuaranteed", "ICCIF-species-dilution-info": "1/50", "ICCIF-species-notes": "<p></p>", "FlowCyt-species-checked": "notRecommended", "FlowCyt-species-dilution-info": "", "FlowCyt-species-notes": "", "IHCP-species-checked": "notRecommended", "IHCP-species-dilution-info": "", "IHCP-species-notes": "" } } }

Product details

Patented technology
Our RabMAb® technology is a patented hybridoma-based technology for making rabbit monoclonal antibodies. For details on our patents, please refer to RabMAb® patents.

What are recombinant multiclonals?
Recombinant multiclonals are a mixture of recombinant antibodies co-expressed from a library of heavy and light chains. They offer several advantages including:

  • - The sensitivity of polyclonal antibodies by recognising multiple epitopes
  • - High batch-to-batch consistency and reproducibility
  • - Improved sensitivity and specificity
  • - Long-term security of supply
  • - Animal-free batch production

View our range of recombinant multiclonal antibodies.

Properties and storage information

Form
Liquid
Purification technique
Affinity purification Protein A
Storage buffer
pH: 7.2 - 7.4 Preservative: 0.01% Sodium azide Constituents: PBS, 40% Glycerol (glycerin, glycerine), 0.05% BSA
Shipped at conditions
Blue Ice
Appropriate short-term storage duration
1-2 weeks
Appropriate short-term storage conditions
+4°C
Appropriate long-term storage conditions
-20°C
Aliquoting information
Upon delivery aliquot
Storage information
Avoid freeze / thaw cycle

Product protocols

For this product, it's our understanding that no specific protocols are required. You can visit:

Target data

Associates with IL31RA to form the IL31 receptor. Binds IL31 to activate STAT3 and possibly STAT1 and STAT5. Capable of transducing OSM-specific signaling events.
See full target information OSMR

Product promise

We are committed to supporting your work with high-quality reagents, and we're here for you every step of the way. In the unlikely event that one of our products does not perform as expected, you're protected by our Product Promise.
For full details, please see our Terms & Conditions

Please note: All products are 'FOR RESEARCH USE ONLY. NOT FOR USE IN DIAGNOSTIC OR THERAPEUTIC PROCEDURES'.

For licensing inquiries, please contact partnerships@abcam.com