JavaScript is disabled in your browser. Please enable JavaScript to view this website.
AB198228

Anti-Osteocalcin antibody

4

(5 Reviews)

|

(22 Publications)

Rabbit Polyclonal Osteocalcin antibody. Suitable for IHC-P and reacts with Human samples. Cited in 22 publications. Immunogen corresponding to Synthetic Peptide within Human BGLAP.

View Alternative Names

Osteocalcin, Bone Gla protein, Gamma-carboxyglutamic acid-containing protein, BGP, BGLAP

2 Images
Immunohistochemistry (Formalin/PFA-fixed paraffin-embedded sections) - Anti-Osteocalcin antibody (AB198228)
  • IHC-P

Supplier Data

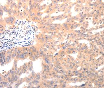
Immunohistochemistry (Formalin/PFA-fixed paraffin-embedded sections) - Anti-Osteocalcin antibody (AB198228)

Immunohistochemical analysis of paraffin-embedded Human ovarian cancer tissue labeling Osteocalcin with ab198228 at 1/60 dilution.

Immunohistochemistry (Formalin/PFA-fixed paraffin-embedded sections) - Anti-Osteocalcin antibody (AB198228)
  • IHC-P

Supplier Data

Immunohistochemistry (Formalin/PFA-fixed paraffin-embedded sections) - Anti-Osteocalcin antibody (AB198228)

Immunohistochemical analysis of paraffin-embedded Human breast cancer tissue labeling Osteocalcin with ab198228 at 1/60 dilution.

Key facts

Host species

Rabbit

Clonality

Polyclonal

Isotype

IgG

Carrier free

No

Reacts with

Human

Applications

IHC-P

applications

Immunogen

Synthetic Peptide within Human BGLAP. The exact immunogen used to generate this antibody is proprietary information.

P02818

Reactivity data

{ "title": "Reactivity Data", "filters": { "stats": ["", "Species", "Dilution Info", "Notes"], "tabs": { "all-applications": {"fullname" : "All Applications", "shortname": "All Applications"}, "IHCP" : {"fullname" : "Immunohistochemistry (Formalin/PFA-fixed paraffin-embedded sections)", "shortname":"IHC-P"} }, "product-promise": { "all": "all", "testedAndGuaranteed": "tested", "guaranteed": "expected", "predicted": "predicted", "notRecommended": "not-recommended" } }, "values": { "Human": { "IHCP-species-checked": "testedAndGuaranteed", "IHCP-species-dilution-info": "1/50 - 1/200", "IHCP-species-notes": "<p></p>" } } }

Properties and storage information

Form
Liquid
Purification technique
Affinity purification Immunogen
Storage buffer
pH: 7.4 Preservative: 0.05% Sodium azide Constituents: PBS, 50% Glycerol (glycerin, glycerine)
Shipped at conditions
Blue Ice
Appropriate short-term storage duration
1-2 weeks
Appropriate short-term storage conditions
+4°C
Appropriate long-term storage conditions
-20°C
Aliquoting information
Upon delivery aliquot
Storage information
Avoid freeze / thaw cycle

Supplementary information

This supplementary information is collated from multiple sources and compiled automatically.

Osteocalcin also known as bone gamma-carboxyglutamic acid-containing protein (BGLAP) is a small non-collagenous protein with a molecular weight of approximately 5.8 kDa. This protein is mainly expressed in osteoblasts which are bone-forming cells. It is an important component of the bone matrix and is involved in bone mineralization. Osteocalcin binds to calcium and incorporates into the hydroxyapatite crystals in the bone helping stabilize the bone structure. Researchers often study this protein as a marker for bone formation and turnover.
Biological function summary

Osteocalcin plays a significant role in regulating glucose metabolism and fat deposition. It acts as a hormone from the bone and influences energy metabolism and insulin sensitivity. Osteocalcin undergoes carboxylation a post-translational modification necessary for its function in bone. Beyond its structural role demineralized osteocalcin has been found to impact pancreatic β-cell function adipose tissue and male fertility although the pathways in these processes are not entirely understood yet.

Pathways

Osteocalcin is associated with the energy metabolism and bone remodeling pathways. It interacts with the insulin signaling pathway influencing insulin secretion by pancreatic β-cells and boosting insulin sensitivity. This interaction involves proteins like insulin receptor substrate 1 (IRS1) and glucose transporter type 4 (GLUT4) which play roles in glucose uptake. Osteocalcin also connects to bone remodeling pathways by influencing osteoclast differentiation and activity through osteoprotegrin and receptor activator of nuclear factor kappa-B ligand (RANKL).

Dysregulation of osteocalcin levels associates with metabolic syndrome and osteoporosis. It is linked with insulin resistance affecting glucose homeostasis and potentially contributing to diabetes development. Osteocalcin's involvement in bone density maintenance also makes it relevant in osteoporosis where bone formation balance is disrupted. The receptor activator of nuclear factor kappa-B ligand (RANKL) and osteoprotegrin which osteocalcin interacts with are other proteins connected to the pathogenesis of these conditions. Understanding osteocalcin's function helps in exploring therapeutic targets for these diseases.

Product protocols

For this product, it's our understanding that no specific protocols are required. You can visit:

Target data

Bone protein that constitutes 1-2% of the total bone protein, and which acts as a negative regulator of bone formation (PubMed : 3019668, PubMed : 6967872). Functions to limit bone formation without impairing bone resorption or mineralization (By similarity). It binds strongly to apatite and calcium (PubMed : 6967872).. The uncarboxylated form acts as a hormone secreted by osteoblasts, which regulates different cellular processes, such as energy metabolism, male fertility and brain development. Regulates of energy metabolism by acting as a hormone favoring pancreatic beta-cell proliferation, insulin secretion and sensitivity and energy expenditure. Uncarboxylated osteocalcin hormone also promotes testosterone production in the testes : acts as a ligand for G protein-coupled receptor GPRC6A at the surface of Leydig cells, initiating a signaling response that promotes the expression of enzymes required for testosterone synthesis in a CREB-dependent manner. Also acts as a regulator of brain development : osteocalcin hormone crosses the blood-brain barrier and acts as a ligand for GPR158 on neurons, initiating a signaling response that prevents neuronal apoptosis in the hippocampus, favors the synthesis of all monoamine neurotransmitters and inhibits that of gamma-aminobutyric acid (GABA). Osteocalcin also crosses the placenta during pregnancy and maternal osteocalcin is required for fetal brain development.
See full target information BGLAP

Publications (22)

Recent publications for all applications. Explore the full list and refine your search

Journal of functional biomaterials 16: PubMed40137373

2025

Effects of ECM Components on Periodontal Ligament Stem Cell Differentiation Under Conditions of Disruption of Wnt and TGF-β Signaling Pathways.

Applications

Unspecified application

Species

Unspecified reactive species

Alla V Kuznetsova,Olga P Popova,Tamara I Danilova,Andrey V Latyshev,Oleg O Yanushevich,Alexey A Ivanov

JCI insight 9: PubMed39405183

2024

Identification of LRP1+CD13+ human periosteal stem cells that require LRP1 for bone repair.

Applications

Unspecified application

Species

Unspecified reactive species

Youngjae Jeong,Lorenzo Deveza,Laura Ortinau,Kevin Lei,John R Dawson,Dongsu Park

Stem cell research & therapy 15:227 PubMed39075596

2024

Insulin promotes the bone formation capability of human dental pulp stem cells through attenuating the IIS/PI3K/AKT/mTOR pathway axis.

Applications

Unspecified application

Species

Unspecified reactive species

Lingling E,Yanbo Shan,Yuxi Luo,Lin Feng,Yawen Dai,Mingzhu Gao,Yan Lv,Chaoran Zhang,Hongchen Liu,Ning Wen,Rong Zhang

International journal of medical sciences 21:137-150 PubMed38164350

2024

Enhanced Bone Regeneration through Regulation of Mechanoresponsive FAK-ERK1/2 Signaling by ZINC40099027 during Distraction Osteogenesis.

Applications

Unspecified application

Species

Unspecified reactive species

Shanyu Li,Hongxiao Wu,Feng Wang,Lingchi Kong,Yifan Yu,Rongtai Zuo,Haoyu Zhao,Jia Xu,Qinglin Kang

Cells 12: PubMed37830549

2023

Influence of Extracellular Matrix Components on the Differentiation of Periodontal Ligament Stem Cells in Collagen I Hydrogel.

Applications

Unspecified application

Species

Unspecified reactive species

Alexey A Ivanov,Alla V Kuznetsova,Olga P Popova,Tamara I Danilova,Andrey V Latyshev,Oleg O Yanushevich

Nature 621:602-609 PubMed37704733

2023

A vertebral skeletal stem cell lineage driving metastasis.

Applications

Unspecified application

Species

Unspecified reactive species

Jun Sun,Lingling Hu,Seoyeon Bok,Alisha R Yallowitz,Michelle Cung,Jason McCormick,Ling J Zheng,Shawon Debnath,Yuzhe Niu,Adrian Y Tan,Sarfaraz Lalani,Kyle W Morse,Daniel Shinn,Anthony Pajak,Mohammed Hammad,Vincentius Jeremy Suhardi,Zan Li,Na Li,Lijun Wang,Weiguo Zou,Vivek Mittal,Mathias P G Bostrom,Ren Xu,Sravisht Iyer,Matthew B Greenblatt

Aging 15:6834-6847 PubMed37462732

2023

Oxidized phospholipids facilitate calcific aortic valve disease by elevating ATF4 through the PERK/eIF2α axis.

Applications

Unspecified application

Species

Unspecified reactive species

Xiaohua Zhu,Linjie Yang,Xu Han,Chen Huang,Gongcheng Huang,Tingju Wei,Liliang Shu,Jing Xu

International journal of molecular sciences 24: PubMed37240030

2023

Low Magnesium Concentration Enforces Bone Calcium Deposition Irrespective of 1,25-Dihydroxyvitamin D Concentration.

Applications

Unspecified application

Species

Unspecified reactive species

Usman Rashid,Sandra K Becker,Gerhard Sponder,Susanne Trappe,Mansur A Sandhu,Jörg R Aschenbach

Nature communications 14:210 PubMed36639727

2023

Volumetric additive manufacturing of pristine silk-based (bio)inks.

Applications

Unspecified application

Species

Unspecified reactive species

Maobin Xie,Liming Lian,Xuan Mu,Zeyu Luo,Carlos Ezio Garciamendez-Mijares,Zhenrui Zhang,Arturo López,Jennifer Manríquez,Xiao Kuang,Junqi Wu,Jugal Kishore Sahoo,Federico Zertuche González,Gang Li,Guosheng Tang,Sushila Maharjan,Jie Guo,David L Kaplan,Yu Shrike Zhang

Biomolecules 13: PubMed36671506

2023

Decellularized Matrix Induced Spontaneous Odontogenic and Osteogenic Differentiation in Periodontal Cells.

Applications

Unspecified application

Species

Unspecified reactive species

Alexey A Ivanov,Tamara I Danilova,Alla V Kuznetsova,Olga P Popova,Oleg O Yanushevich
View all publications

Product promise

We are committed to supporting your work with high-quality reagents, and we're here for you every step of the way. In the unlikely event that one of our products does not perform as expected, you're protected by our Product Promise.
For full details, please see our Terms & Conditions

Please note: All products are 'FOR RESEARCH USE ONLY. NOT FOR USE IN DIAGNOSTIC OR THERAPEUTIC PROCEDURES'.

For licensing inquiries, please contact partnerships@abcam.com