JavaScript is disabled in your browser. Please enable JavaScript to view this website.
AB216406

Anti-Osteopontin antibody

4

(2 Reviews)

|

(3 Publications)

Rabbit Polyclonal Osteopontin antibody. Suitable for WB, IHC-P and reacts with Mouse, Human samples. Cited in 3 publications. Immunogen corresponding to Synthetic Peptide within Human SPP1 aa 150-200 conjugated to Keyhole Limpet Haemocyanin.

View Alternative Names

BNSP, OPN, PSEC0156, SPP1, Osteopontin, Bone sialoprotein 1, Nephropontin, Secreted phosphoprotein 1, Urinary stone protein, Uropontin, SPP-1

2 Images
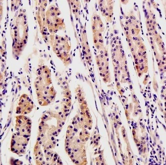
Immunohistochemistry (Formalin/PFA-fixed paraffin-embedded sections) - Anti-Osteopontin antibody (AB216406)
  • IHC-P

Supplier Data

Immunohistochemistry (Formalin/PFA-fixed paraffin-embedded sections) - Anti-Osteopontin antibody (AB216406)

Immunohistochemical analysis of formalin fixed paraffin-embedded human stomach tissue sections labeling Osteopontin with ab216406 at a 1/200 dilution. DAB staining.

Western blot - Anti-Osteopontin antibody (AB216406)
  • WB

Supplier Data

Western blot - Anti-Osteopontin antibody (AB216406)

All lanes:

Western blot - Anti-Osteopontin antibody (ab216406) at 1/300 dilution

All lanes:

mouse kidney lysates

Predicted band size: 35 kDa

false

Key facts

Host species

Rabbit

Clonality

Polyclonal

Isotype

IgG

Carrier free

No

Reacts with

Mouse, Human

Applications

IHC-P, WB

applications

Immunogen

Synthetic Peptide within Human SPP1 aa 150-200 conjugated to Keyhole Limpet Haemocyanin. The exact immunogen used to generate this antibody is proprietary information.

P10451

Reactivity data

{ "title": "Reactivity Data", "filters": { "stats": ["", "Species", "Dilution Info", "Notes"], "tabs": { "all-applications": {"fullname" : "All Applications", "shortname": "All Applications"}, "WB" : {"fullname" : "Western blot", "shortname":"WB"}, "IHCP" : {"fullname" : "Immunohistochemistry (Formalin/PFA-fixed paraffin-embedded sections)", "shortname":"IHC-P"} }, "product-promise": { "all": "all", "testedAndGuaranteed": "tested", "guaranteed": "expected", "predicted": "predicted", "notRecommended": "not-recommended" } }, "values": { "Human": { "WB-species-checked": "guaranteed", "WB-species-dilution-info": "", "WB-species-notes": "", "IHCP-species-checked": "testedAndGuaranteed", "IHCP-species-dilution-info": "1/100 - 1/500", "IHCP-species-notes": "<p></p>" }, "Mouse": { "WB-species-checked": "testedAndGuaranteed", "WB-species-dilution-info": "1/100 - 1/1000", "WB-species-notes": "<p></p>", "IHCP-species-checked": "guaranteed", "IHCP-species-dilution-info": "", "IHCP-species-notes": "" } } }

Properties and storage information

Form
Liquid
Purification technique
Affinity purification Protein A
Storage buffer
pH: 7.4 Preservative: 0.02% Proclin 300 Constituents: 50% Glycerol (glycerin, glycerine), 48.98% TBS, 1X, 1% BSA
Shipped at conditions
Blue Ice
Appropriate short-term storage duration
1-2 weeks
Appropriate short-term storage conditions
+4°C
Appropriate long-term storage conditions
-20°C
Aliquoting information
Upon delivery aliquot
Storage information
Avoid freeze / thaw cycle

Supplementary information

This supplementary information is collated from multiple sources and compiled automatically.

Osteopontin also known as OPN or secreted phosphoprotein 1 (SPP1) is a glycoprotein with a molecular weight of approximately 44 to 75 kDa depending on its post-translational modifications. Osteopontin is characteristically expressed in bone but is also present in various body tissues including kidney liver and immune system cells. This multifunctional protein interacts with cell surface receptors such as integrins and CD44 playing an important role in cell signaling and extracellular matrix interactions. Researchers often study it using osteopontin western blot or osteopontin ELISA kit to understand its expression patterns and roles.
Biological function summary

Osteopontin affects cell adhesion migration and survival. It does not form part of a known large complex but interacts closely with its integrin receptors. Osteopontin modulates immune responses and aids in bone remodeling by affecting osteoclast and osteoblast functions. It is also influential in inflammation processes where it orchestrates the recruitment and activation of macrophages. The osteopontin function is significant in both physiological processes and pathologies marking it as an important protein to study in numerous biological contexts.

Pathways

Osteopontin is integral to both the bone remodeling and immune response pathways. It collaborates with proteins like osteocalcin and matrix metalloproteinases within these processes. In the bone remodeling pathway osteopontin mediates communication between osteoclasts and osteoblasts impacting bone resorption and formation. In the immune response pathway it coordinates with cytokines such as interleukin-6 to modulate immune cell activities. Its roles in these pathways indicate its multifunctional nature and its impact across different biological systems.

Osteopontin links to cancer and cardiovascular diseases. It facilitates tumor progression and metastasis by interacting with proteins such as vascular endothelial growth factor (VEGF) and matrix metalloproteinase-9 (MMP-9). In cardiovascular diseases osteopontin influences atherosclerosis development through interactions with inflammatory cytokines and contributes to plaque stability. These disease associations highlight the importance of osteopontin as both a therapeutic target and a biomarker for disease progression and prognosis.

Product protocols

For this product, it's our understanding that no specific protocols are required. You can visit:

Target data

Major non-collagenous bone protein that binds tightly to hydroxyapatite. Appears to form an integral part of the mineralized matrix. Probably important to cell-matrix interaction.. Acts as a cytokine involved in enhancing production of interferon-gamma and interleukin-12 and reducing production of interleukin-10 and is essential in the pathway that leads to type I immunity.
See full target information SPP1

Publications (3)

Recent publications for all applications. Explore the full list and refine your search

Frontiers in oncology 13:1168772 PubMed37251946

2023

Identification of the hub genes associated with prostate cancer tumorigenesis.

Applications

Unspecified application

Species

Unspecified reactive species

Honghui Zhu,Qi Lin,Xiaomin Gao,Xixi Huang

Molecular medicine reports 23: PubMed33179111

2020

Astragaloside‑IV modulates NGF‑induced osteoblast differentiation via the GSK3&beta;/&beta;‑catenin signalling pathway.

Applications

Unspecified application

Species

Unspecified reactive species

Nan-Yang Sun,Xiao-Lan Liu,Juan Gao,Xiao-Hui Wu,Ben Dou

Scientific reports 7:46679 PubMed28447667

2017

TWEAK blockade decreases atherosclerotic lesion size and progression through suppression of STAT1 signaling in diabetic mice.

Applications

IHC

Species

Mouse

Valvanera Fernández-Laso,Cristina Sastre,Nerea Méndez-Barbero,Jesús Egido,Jose L Martín-Ventura,Carmen Gómez-Guerrero,Luis M Blanco-Colio
View all publications

Product promise

We are committed to supporting your work with high-quality reagents, and we're here for you every step of the way. In the unlikely event that one of our products does not perform as expected, you're protected by our Product Promise.
For full details, please see our Terms & Conditions

Please note: All products are 'FOR RESEARCH USE ONLY. NOT FOR USE IN DIAGNOSTIC OR THERAPEUTIC PROCEDURES'.

For licensing inquiries, please contact partnerships@abcam.com