JavaScript is disabled in your browser. Please enable JavaScript to view this website.
AB63856

Anti-Osteopontin antibody

0

(1 Review)

|

(91 Publications)

Anti-Osteopontin antibody (ab63856) is a rabbit polyclonal antibody detecting Osteopontin in Western Blot, IHC-P, ICC/IF. Suitable for Human.

- Over 50 publications
- Trusted since 2009

View Alternative Names

BNSP, OPN, PSEC0156, SPP1, Osteopontin, Bone sialoprotein 1, Nephropontin, Secreted phosphoprotein 1, Urinary stone protein, Uropontin, SPP-1

2 Images
Immunocytochemistry/ Immunofluorescence - Anti-Osteopontin antibody (AB63856)
  • ICC/IF

Lab

Immunocytochemistry/ Immunofluorescence - Anti-Osteopontin antibody (AB63856)

ab63856 staining Osteopontin in HepG2 cells. The cells were fixed with 4% paraformaldehyde (10 min), permeabilized with 0.1% PBS-Triton X-100 for 5 minutes and then blocked with 1% BSA/10% normal goat serum/0.3M glycine in 0.1%PBS-Tween for 1h. The cells were then incubated overnight at 4°C with ab63856 at 1µg/ml and ab7291, Mouse monoclonal [DM1A] to alpha Tubulin - Loading Control. Cells were then incubated with ab150081, Goat polyclonal Secondary Antibody to Rabbit IgG - H&L (Alexa Fluor® 488), pre-adsorbed at 1/1000 dilution (shown in green) and ab150120, Goat polyclonal Secondary Antibody to Mouse IgG - H&L (Alexa Fluor® 594), pre-adsorbed at 1/1000 dilution (shown in pseudocolour red). Nuclear DNA was labelled with DAPI (shown in blue). Image was acquired with a high-content analyser (Operetta CLS, Perkin Elmer) and a maximum intensity projection of confocal sections is shown.

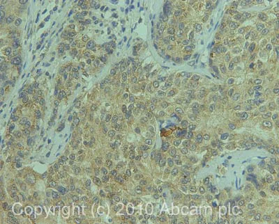
Immunohistochemistry (Formalin/PFA-fixed paraffin-embedded sections) - Anti-Osteopontin antibody (AB63856)
  • IHC-P

Unknown

Immunohistochemistry (Formalin/PFA-fixed paraffin-embedded sections) - Anti-Osteopontin antibody (AB63856)

IHC image of Osteopontin staining in human breast carcinoma formalin fixed paraffin embedded tissue section, performed on a Leica BondTM system using the standard protocol F. The section was pre-treated using heat mediated antigen retrieval with sodium citrate buffer (pH6, epitope retrieval solution 1) for 20 mins. The section was then incubated with ab63856, 5µg/ml, for 15 mins at room temperature and detected using an HRP conjugated compact polymer system. DAB was used as the chromogen. The section was then counterstained with haematoxylin and mounted with DPX.

Key facts

Host species

Rabbit

Clonality

Polyclonal

Isotype

IgG

Carrier free

No

Reacts with

Human

Applications

ICC/IF, IHC-P, WB

applications

Immunogen

The exact immunogen used to generate this antibody is proprietary information.

Specificity

From Jan 2024, QC testing of replenishment batches of this polyclonal changed. All tested and expected application and reactive species combinations are still covered by our Abcam product promise. However, we no longer test all applications. For more information on a specific batch, please contact our Scientific Support who will be happy to help.

Reactivity data

{ "title": "Reactivity Data", "filters": { "stats": ["", "Species", "Dilution Info", "Notes"], "tabs": { "all-applications": {"fullname" : "All Applications", "shortname": "All Applications"}, "IHCP" : {"fullname" : "Immunohistochemistry (Formalin/PFA-fixed paraffin-embedded sections)", "shortname":"IHC-P"}, "WB" : {"fullname" : "Western blot", "shortname":"WB"}, "ICCIF" : {"fullname" : "Immunocytochemistry/ Immunofluorescence", "shortname":"ICC/IF"} }, "product-promise": { "all": "all", "testedAndGuaranteed": "tested", "guaranteed": "expected", "predicted": "predicted", "notRecommended": "not-recommended" } }, "values": { "Human": { "IHCP-species-checked": "guaranteed", "IHCP-species-dilution-info": "5 µg/mL", "IHCP-species-notes": "<p></p>", "WB-species-checked": "testedAndGuaranteed", "WB-species-dilution-info": "1 µg/mL", "WB-species-notes": "<p></p>", "ICCIF-species-checked": "guaranteed", "ICCIF-species-dilution-info": "5 µg/mL", "ICCIF-species-notes": "<p></p>" } } }

Product details

What is this antibody validated in?
Anti-Osteopontin antibody (ab63856) is a rabbit polyclonal antibody and is validated for use in Western Blot (WB), Immunohistochemistry (IHC-P), Immunocytochemistry/immunofluorescence (ICC/IF) in Human samples.

What is the molecular weight of Osteopontin?
Anti-Osteopontin (ab63856) specifically detects a band for Osteopontin (UniProt: P10451) at a molecular weight of 32kDa.

Trusted by the scientific community
Anti-Osteopontin (ab63856) was first used in a scientific publication in 2009 and has been cited over 50 times in peer-reviewed journals.

Properties and storage information

Form
Liquid
Purification technique
Affinity purification Immunogen
Storage buffer
pH: 7.4 Preservative: 0.02% Sodium azide Constituents: PBS, 1% BSA
Shipped at conditions
Blue Ice
Appropriate short-term storage duration
1-2 weeks
Appropriate short-term storage conditions
+4°C
Appropriate long-term storage conditions
-20°C
Aliquoting information
Upon delivery aliquot
Storage information
Avoid freeze / thaw cycle

Supplementary information

This supplementary information is collated from multiple sources and compiled automatically.

Osteopontin also known as OPN or secreted phosphoprotein 1 (SPP1) is a glycoprotein with a molecular weight of approximately 44 to 75 kDa depending on its post-translational modifications. Osteopontin is characteristically expressed in bone but is also present in various body tissues including kidney liver and immune system cells. This multifunctional protein interacts with cell surface receptors such as integrins and CD44 playing an important role in cell signaling and extracellular matrix interactions. Researchers often study it using osteopontin western blot or osteopontin ELISA kit to understand its expression patterns and roles.
Biological function summary

Osteopontin affects cell adhesion migration and survival. It does not form part of a known large complex but interacts closely with its integrin receptors. Osteopontin modulates immune responses and aids in bone remodeling by affecting osteoclast and osteoblast functions. It is also influential in inflammation processes where it orchestrates the recruitment and activation of macrophages. The osteopontin function is significant in both physiological processes and pathologies marking it as an important protein to study in numerous biological contexts.

Pathways

Osteopontin is integral to both the bone remodeling and immune response pathways. It collaborates with proteins like osteocalcin and matrix metalloproteinases within these processes. In the bone remodeling pathway osteopontin mediates communication between osteoclasts and osteoblasts impacting bone resorption and formation. In the immune response pathway it coordinates with cytokines such as interleukin-6 to modulate immune cell activities. Its roles in these pathways indicate its multifunctional nature and its impact across different biological systems.

Osteopontin links to cancer and cardiovascular diseases. It facilitates tumor progression and metastasis by interacting with proteins such as vascular endothelial growth factor (VEGF) and matrix metalloproteinase-9 (MMP-9). In cardiovascular diseases osteopontin influences atherosclerosis development through interactions with inflammatory cytokines and contributes to plaque stability. These disease associations highlight the importance of osteopontin as both a therapeutic target and a biomarker for disease progression and prognosis.

Product protocols

For this product, it's our understanding that no specific protocols are required. You can visit:

Target data

Major non-collagenous bone protein that binds tightly to hydroxyapatite. Appears to form an integral part of the mineralized matrix. Probably important to cell-matrix interaction.. Acts as a cytokine involved in enhancing production of interferon-gamma and interleukin-12 and reducing production of interleukin-10 and is essential in the pathway that leads to type I immunity.
See full target information SPP1

Publications (91)

Recent publications for all applications. Explore the full list and refine your search

RSC advances 15:30071-30088 PubMed40860423

2025

Biodegradable Zn-0.8Mg-0.2Sr alloy as an internal fixation material exhibits controlled degradation with enhanced osteogenesis.

Applications

Unspecified application

Species

Unspecified reactive species

Yuting Tian,Yichen Xu,Jan Pinc,Jaroslav Fojt,Vojtěch Hybášek,Jiří Kubásek,Šárka Msallamová,Yong Xiang,Min Guo,Jaroslav Čapek,Ping Li,Tao Hu

Nature communications 16:7872 PubMed40849297

2025

Multi-omic identification of perineurial hyperplasia and lipid-associated nerve macrophages in human polyneuropathies.

Applications

Unspecified application

Species

Unspecified reactive species

Michael Heming,Anna-Lena Börsch,Jolien Wolbert,Christian Thomas,Anne K Mausberg,Fabian Szepanowski,Bianca Eggert,I-Na Lu,Julia Tietz,Finja Dienhart,Maja Meschnark,Jan-Kolja Strecker,Michael Glatza,Carolina Thomas,Noemi Gmahl,Christine Dambietz,Michael Müther,Anne-Kathrin Uerschels,Kathy Keyvani,Jens Minnerup,Kathrin Doppler,Nurcan Üçeyler,Julieta Aprea,Andreas Dahl,Ruth Stassart,Robert Fledrich,Heinz Wiendl,Claudia Sommer,Mark Stettner,Gerd Meyer Zu Hörste

Materials today. Bio 34:102144 PubMed40791800

2025

Study on mRNA delivery via GelMA hydrogel-encapsulated extracellular vesicles for enhanced bone regeneration.

Applications

Unspecified application

Species

Unspecified reactive species

Shan Li,Yueyang Sheng,Yi You,Ying Wang,Yanzhuo Zhang,Jianfeng Tao,Chengai Wu,Xu Jiang

Frontiers in cell and developmental biology 13:1582083 PubMed40433547

2025

Revolutionizing bone regeneration and wound healing: Mechanical stromal vascular fraction and hyaluronic acid in a mouse calvarial defect model.

Applications

Unspecified application

Species

Unspecified reactive species

Riccardo Ossanna,Lindsey Alejandra Quintero Sierra,Sara Ghazanfar Tehrani,Vivekanand Jha,Chiara Curatola,Alice Busato,Anita Conti,Giamaica Conti,Nicola Zingaretti,Pier Camillo Parodi,Francesco De Francesco,Michele Riccio,Andrea Sbarbati

Journal of translational medicine 23:376 PubMed40148953

2025

Circ-ITCH promotes the ubiquitination degradation of HOXC10 to facilitate osteogenic differentiation in disuse osteoporosis through stabilizing BRCA1 mRNA via IGF2BP2-mediated mA modification.

Applications

Unspecified application

Species

Unspecified reactive species

Da Zhong,Xi Li,Zhen Yin,Peng Chen,Yusheng Li,Jian Tian,Long Wang,Hua Liu,Ke Yin,Lemei Zhu,Lingyu Kong,Kunli Chen,Yaochun Li,Chungu Hong,Chenggong Wang

Journal of nanobiotechnology 23:160 PubMed40033312

2025

3D printed porous magnesium metal scaffolds with bioactive coating for bone defect repair: enhancing angiogenesis and osteogenesis.

Applications

Unspecified application

Species

Unspecified reactive species

Jianting Ye,Bozun Miao,Yingjie Xiong,Yanjun Guan,Yuzheng Lu,Zhibo Jia,Yanbin Wu,Xiaohan Sun,Congcong Guan,Ruichao He,Xing Xiong,Huihui Jia,Hongyu Jiang,Zexian Liu,Yuxuan Zhang,Yu Wei,Wancheng Lin,Aiyuan Wang,Yu Wang,Haoye Meng,Wenjing Xu,Guangyin Yuan,Jiang Peng

Biology direct 20:24 PubMed40001211

2025

Nucleolin in the cell membrane promotes Ang II-mediated VSMC phenotypic switching by regulating the AT1R internalization function : Nucleolin promotes Ang II-mediated VSMC phenotypic switching.

Applications

Unspecified application

Species

Unspecified reactive species

Li Fang,Zhijie Shen,Yinzhuang Zhang,Zhuoni Mao,Dan Huang,Chenyu Lou

Nature medicine 31:502-513 PubMed39775038

2025

Multi-omics-based mapping of decidualization resistance in patients with a history of severe preeclampsia.

Applications

Unspecified application

Species

Unspecified reactive species

Irene Muñoz-Blat,Raúl Pérez-Moraga,Nerea Castillo-Marco,Teresa Cordero,Ana Ochando,Sheila Ortega-Sanchís,Marcos Parras-Moltó,Rogelio Monfort-Ortiz,Elena Satorres-Perez,Blanca Novillo,Alfredo Perales,Matthew Gormley,Sofia Granados-Aparici,Rosa Noguera,Beatriz Roson,Susan J Fisher,Carlos Simón,Tamara Garrido-Gómez

Science advances 11:eado7852 PubMed39742474

2025

Identification of human cranio-maxillofacial skeletal stem cells for mandibular development.

Applications

Unspecified application

Species

Unspecified reactive species

Zhuo Wang,Kun Wang,Yejia Yu,Jing Fu,Siyuan Zhang,Maojiao Li,Jian Yang,Xuanhao Zhang,Xiaodong Liu,Fengqiong Lv,Li Ma,Haoyang Cai,Weidong Tian,Li Liao

Journal of cellular and molecular medicine 28:e70293 PubMed39720896

2024

Single-Cell RNA-Seq Reveals Injuries in Aortic Dissection and Identifies PDGF Signalling Pathway as a Potential Therapeutic Target.

Applications

Unspecified application

Species

Unspecified reactive species

Yichi Han,Yongji Cui,Juli Liu,Dingchen Wang,Guoxiang Zou,Xin Qi,Jinxiu Meng,Xiaoran Huang,Haiwei He,Xin Li
View all publications

Product promise

We are committed to supporting your work with high-quality reagents, and we're here for you every step of the way. In the unlikely event that one of our products does not perform as expected, you're protected by our Product Promise.
For full details, please see our Terms & Conditions

Please note: All products are 'FOR RESEARCH USE ONLY. NOT FOR USE IN DIAGNOSTIC OR THERAPEUTIC PROCEDURES'.

For licensing inquiries, please contact partnerships@abcam.com