JavaScript is disabled in your browser. Please enable JavaScript to view this website.
AB218237

Anti-Osteopontin antibody [EPR21138]

4

(1 Review)

|

(25 Publications)

Anti-Osteopontin antibody [EPR21138] (ab218237) is a rabbit monoclonal antibody detecting Osteopontin in Western Blot, IHC-P, ICC/IF. Suitable for Mouse.

- Biophysical QC for unrivalled batch-batch consistency
- Over 10 publications

View Alternative Names

Eta-1, Op, Spp-1, Spp1, Osteopontin, 2AR, Bone sialoprotein 1, Calcium oxalate crystal growth inhibitor protein, Early T-lymphocyte activation 1 protein, Minopontin, Secreted phosphoprotein 1, SPP-1

4 Images
Immunohistochemistry (Formalin/PFA-fixed paraffin-embedded sections) - Anti-Osteopontin antibody [EPR21138] (AB218237)
  • IHC-P

Supplier Data

Immunohistochemistry (Formalin/PFA-fixed paraffin-embedded sections) - Anti-Osteopontin antibody [EPR21138] (AB218237)

Immunohistochemical analysis of paraffin-embedded mouse liver tissue labeling Osteopontin with ab218237 at 1/500 dilution, followed by Goat Anti-Rabbit IgG H&L (HRP) Ready to use. Cytoplasmic staining in biliary epithelial cells of mouse liver (PMID : 16221502). Counter stained with hematoxylin.

Secondary antibody only control : Used PBS instead of primary antibody, secondary antibody is Goat Anti-Rabbit IgG H&L (HRP) Ready to use.

Heat mediated antigen retrieval was performed with Tris/EDTA buffer pH 9.0 before commencing with IHC staining protocol.

Immunohistochemistry (Formalin/PFA-fixed paraffin-embedded sections) - Anti-Osteopontin antibody [EPR21138] (AB218237)
  • IHC-P

Supplier Data

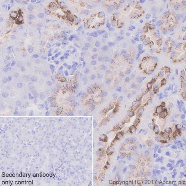
Immunohistochemistry (Formalin/PFA-fixed paraffin-embedded sections) - Anti-Osteopontin antibody [EPR21138] (AB218237)

Immunohistochemical analysis of paraffin-embedded mouse kidney tissue labeling Osteopontin with ab218237 at 1/500 dilution, followed by Goat Anti-Rabbit IgG H&L (HRP) Ready to use. Cytoplasmic staining in distal tubules of mouse kidney (PMID : 17938278). Counter stained with hematoxylin.

Secondary antibody only control : Used PBS instead of primary antibody, secondary antibody is Goat Anti-Rabbit IgG H&L (HRP) Ready to use.

Heat mediated antigen retrieval was performed with Tris/EDTA buffer pH 9.0 before commencing with IHC staining protocol.

Immunocytochemistry/ Immunofluorescence - Anti-Osteopontin antibody [EPR21138] (AB218237)
  • ICC/IF

Lab

Immunocytochemistry/ Immunofluorescence - Anti-Osteopontin antibody [EPR21138] (AB218237)

Immunofluorescent analysis of 4% paraformaldehyde-fixed, 0.1% Triton X-100 permeabilized RAW 264.7 (Mouse macrophage cell line transformed with Abelson murine leukemia virus) cells labelling Osteopontin with primary antibody anti-Osteopontin (ab218237) at 1/1000 dilution, followed by Goat Anti-Rabbit IgG H&L (Alexa Fluor® 488) preadsorbed (ab150081) secondary antibody at 1/1000 dilution. Confocal image showing increased cytoplasmic staining in RAW 264.7 cells treated with LPS (100 ng/ml) for 6 h, then add BFA (300 ng/ml) for 3 h. Anti-alpha Tubulin mouse monoclonal antibody - Microtubule Marker (Alexa Fluor® 594) (ab195889) was used to counterstain tubulin at 1/200 dilution. The nuclear counter stain is DAPI (blue).

Western blot - Anti-Osteopontin antibody [EPR21138] (AB218237)
  • WB

Supplier Data

Western blot - Anti-Osteopontin antibody [EPR21138] (AB218237)

Blocking buffer and concentration : 5% NFDM/TBST. Diluting buffer and concentration : 5% NFDM/TBST. ab181602 was used as a loading control. This antibody is not recommended for use in WB with mouse tissue samples. We suggest treating cells with BFA which inhibits protein secretion.

All lanes:

Western blot - Anti-Osteopontin antibody [EPR21138] (ab218237) at 1/1000 dilution

Lane 1:

Mouse kidney tissue lysate at 20 µg

Lane 2:

Mouse placenta tissue lysate at 20 µg

Lane 3:

RAW 264.7 (Mouse Abelson murine leukemia virus-induced tumor macrophage) whole cell lysate at 20 µg

Lane 4:

RAW 264.7 treated with 100 ng/ml lipopolysaccharide (LPS) for 4h whole cell lysate at 20 µg

Lane 5:

RAW 264.7 treated with 1000 ng/ml BFA for 3h whole cell lysate at 20 µg

Lane 6:

RAW 264.7 treated with 100 ng/ml lipopolysaccharide (LPS) for 4h then add 1000 ng/ml BFA for another 3h whole cell lysate at 20 µg

Secondary

All lanes:

Western blot - VeriBlot for IP Detection Reagent (HRP) (<a href='/en-us/products/reagents/veriblot-for-ip-detection-reagent-hrp-ab131366'>ab131366</a>) at 1/1000 dilution

Predicted band size: 35 kDa

Observed band size: 60 kDa

false

Exposure time: 180s

Key facts

Host species

Rabbit

Clonality

Monoclonal

Clone number

EPR21138

Isotype

IgG

Carrier free

No

Reacts with

Mouse

Applications

IHC-P, WB, ICC/IF

applications

Immunogen

The exact immunogen used to generate this antibody is proprietary information.

Specificity

This antibody is not recommended for use in WB with mouse tissue samples.

Osteopontin is a secretory protein, to allow the detection of Osteopontin in cell lysate, we suggest treating cells with BFA which inhibits protein secretion.

Reactivity data

{ "title": "Reactivity Data", "filters": { "stats": ["", "Species", "Dilution Info", "Notes"], "tabs": { "all-applications": {"fullname" : "All Applications", "shortname": "All Applications"}, "WB" : {"fullname" : "Western blot", "shortname":"WB"}, "ICCIF" : {"fullname" : "Immunocytochemistry/ Immunofluorescence", "shortname":"ICC/IF"}, "IHCP" : {"fullname" : "Immunohistochemistry (Formalin/PFA-fixed paraffin-embedded sections)", "shortname":"IHC-P"} }, "product-promise": { "all": "all", "testedAndGuaranteed": "tested", "guaranteed": "expected", "predicted": "predicted", "notRecommended": "not-recommended" } }, "values": { "Mouse": { "WB-species-checked": "testedAndGuaranteed", "WB-species-dilution-info": "1/1000", "WB-species-notes": "<p></p>", "ICCIF-species-checked": "testedAndGuaranteed", "ICCIF-species-dilution-info": "1/1000", "ICCIF-species-notes": "<p></p>", "IHCP-species-checked": "testedAndGuaranteed", "IHCP-species-dilution-info": "1/500", "IHCP-species-notes": "<p></p> Perform heat-mediated antigen retrieval with Tris/EDTA buffer pH 9.0 before commencing with IHC staining protocol." } } }

Product details

What is this antibody validated in?
Anti-Osteopontin antibody [EPR21138] (ab218237) is a rabbit recombinant monoclonal antibody and is validated for use in Western Blot (WB), Immunohistochemistry (IHC-P), Immunocytochemistry/immunofluorescence (ICC/IF) in Mouse samples.

What is the molecular weight of Osteopontin?
Anti-Osteopontin [EPR21138] (ab218237) specifically detects a band for Osteopontin (UniProt: P10923) at a molecular weight of 35kDa.

Trusted by the scientific community
Anti-Osteopontin [EPR21138] (ab218237) was first used in a scientific publication in 2018 and has been cited over 10 times in peer-reviewed journals.

Trial sizes available!
Test your antibody or perform pre-screening before committing to a larger quantity. Sold in 10µl. Discover our selection of trial-size antibodies.

Other related products
We have a range of other formats of antibody clone [EPR21138] also available for your convenience: ab218237, Carrier free - ab229854, Alexa Fluor® 488 - ab319122, Alexa Fluor® 647 - ab323498

Patented technology
Our RabMAb® technology is a patented hybridoma-based technology for making rabbit monoclonal antibodies. For details on our patents, please refer to RabMAb® patents.

What are the advantages of a recombinant monoclonal antibody?
This product is a recombinant monoclonal antibody, which offers several advantages including:

  • - High batch-to-batch consistency and reproducibility
  • - Improved sensitivity and specificity
  • - Long-term security of supply
  • - Animal-free batch production

For more information, read more on recombinant antibodies.

Properties and storage information

Form
Liquid
Purification technique
Affinity purification Protein A
Storage buffer
pH: 7.2 - 7.4 Preservative: 0.01% Sodium azide Constituents: PBS, 40% Glycerol (glycerin, glycerine), 0.05% BSA
Shipped at conditions
Blue Ice
Appropriate short-term storage duration
1-2 weeks
Appropriate short-term storage conditions
+4°C
Appropriate long-term storage conditions
-20°C
Aliquoting information
Upon delivery aliquot
Storage information
Avoid freeze / thaw cycle

Supplementary information

This supplementary information is collated from multiple sources and compiled automatically.

Osteopontin also known as OPN or secreted phosphoprotein 1 (SPP1) is a glycoprotein with a molecular weight of approximately 44 to 75 kDa depending on its post-translational modifications. Osteopontin is characteristically expressed in bone but is also present in various body tissues including kidney liver and immune system cells. This multifunctional protein interacts with cell surface receptors such as integrins and CD44 playing an important role in cell signaling and extracellular matrix interactions. Researchers often study it using osteopontin western blot or osteopontin ELISA kit to understand its expression patterns and roles.
Biological function summary

Osteopontin affects cell adhesion migration and survival. It does not form part of a known large complex but interacts closely with its integrin receptors. Osteopontin modulates immune responses and aids in bone remodeling by affecting osteoclast and osteoblast functions. It is also influential in inflammation processes where it orchestrates the recruitment and activation of macrophages. The osteopontin function is significant in both physiological processes and pathologies marking it as an important protein to study in numerous biological contexts.

Pathways

Osteopontin is integral to both the bone remodeling and immune response pathways. It collaborates with proteins like osteocalcin and matrix metalloproteinases within these processes. In the bone remodeling pathway osteopontin mediates communication between osteoclasts and osteoblasts impacting bone resorption and formation. In the immune response pathway it coordinates with cytokines such as interleukin-6 to modulate immune cell activities. Its roles in these pathways indicate its multifunctional nature and its impact across different biological systems.

Osteopontin links to cancer and cardiovascular diseases. It facilitates tumor progression and metastasis by interacting with proteins such as vascular endothelial growth factor (VEGF) and matrix metalloproteinase-9 (MMP-9). In cardiovascular diseases osteopontin influences atherosclerosis development through interactions with inflammatory cytokines and contributes to plaque stability. These disease associations highlight the importance of osteopontin as both a therapeutic target and a biomarker for disease progression and prognosis.

Product protocols

For this product, it's our understanding that no specific protocols are required. You can visit:

Target data

Major non-collagenous bone protein that binds tightly to hydroxyapatite. Appears to form an integral part of the mineralized matrix. Probably important to cell-matrix interaction.. Acts as a cytokine involved in enhancing production of interferon-gamma and interleukin-12 and reducing production of interleukin-10 and is essential in the pathway that leads to type I immunity.
See full target information Spp1

Publications (25)

Recent publications for all applications. Explore the full list and refine your search

International journal of molecular medicine 56: PubMed40999989

2025

Cynarin as a potent anti‑osteolytic agent: Targeting MAPK and Nrf2‑Keap1 pathways for osteoclast inhibition and bone protection.

Applications

Unspecified application

Species

Unspecified reactive species

Rui Chao,Yexin Wang,Zhan Liu,Tianhao Wan,Yi Mao,Xinru Xie,Lei Sun,Weifeng Xu,Xuzhuo Chen,Shanyong Zhang

Diabetes & metabolism journal : PubMed40890020

2025

E2F5 Accelerates Vascular Smooth Muscle Cells Phenotype Switching in Diabetic Atherosclerosis through Activating Wnt/β-Catenin Pathway.

Applications

Unspecified application

Species

Unspecified reactive species

Mingxue Di,Jie Wang,Lin Sun,Guang Yang,Qun Xu

Frontiers in immunology 16:1596746 PubMed40607434

2025

Inflammation-driven periostin in ECRS has contrasting effects on tissue structural integrity and osteitis.

Applications

Unspecified application

Species

Unspecified reactive species

Soo-In Kim,Min-Seok Rha,Jinsun Kim,Sang Hyeon Ahn,Ji-Hwan Ryu,Hyung-Ju Cho,Chang-Hoon Kim

Nature communications 16:5167 PubMed40467544

2025

Epithelial GREMLIN1 disrupts intestinal epithelial-mesenchymal crosstalk to induce a wnt-dependent ectopic stem cell niche through stromal remodelling.

Applications

Unspecified application

Species

Unspecified reactive species

Eoghan J Mulholland,Hayley L Belnoue-Davis,Gabriel N Valbuena,Nuray Gunduz,Amelia Ligeza,Muyang Lin,Sujata Biswas,Ester Gil Vasquez,Sulochana Omwenga,Nadia Nasreddin,Michael C Hodder,Lai Mun Wang,Aik Seng Ng,Elizabeth Jennings,Kim S Midwood,Neesha Dedi,Shazia Irshad,Rachel A Ridgway,Toby J Phesse,James East,Ian Pm Tomlinson,Gareth Cg Davies,Owen J Sansom,Simon J Leedham

Signal transduction and targeted therapy 10:140 PubMed40312419

2025

Single-cell transcriptomic analysis reveals gut microbiota-immunotherapy synergy through modulating tumor microenvironment.

Applications

Unspecified application

Species

Unspecified reactive species

Minyuan Cao,Yun Deng,Qing Hao,Huayun Yan,Quan-Lin Wang,Chunyan Dong,Jing Wu,Yajiao He,Li-Bin Huang,Xuyang Xia,Yongchao Gao,Hai-Ning Chen,Wei-Han Zhang,Yan-Jing Zhang,Xiaozhen Zhuo,Lunzhi Dai,Hongbo Hu,Yong Peng,Feng Zhang,Zhaoqian Liu,Weihua Huang,Huiyuan Zhang,Li Yang,Yang Shu,Wei Zhang,Yan Zhang,Heng Xu

Journal of functional biomaterials 16: PubMed40137373

2025

Effects of ECM Components on Periodontal Ligament Stem Cell Differentiation Under Conditions of Disruption of Wnt and TGF-β Signaling Pathways.

Applications

Unspecified application

Species

Unspecified reactive species

Alla V Kuznetsova,Olga P Popova,Tamara I Danilova,Andrey V Latyshev,Oleg O Yanushevich,Alexey A Ivanov

Nature communications 16:2152 PubMed40038288

2025

Single cell immunoprofile of synovial fluid in rheumatoid arthritis with TNF/JAK inhibitor treatment.

Applications

Unspecified application

Species

Unspecified reactive species

Xuyang Xia,Chenjia He,Zhinan Xue,Yuelan Wang,Yun Qin,Zhixiang Ren,Yupeng Huang,Han Luo,Hai-Ning Chen,Wei-Han Zhang,Li-Bin Huang,Yunying Shi,Yangjuan Bai,Bei Cai,Lanlan Wang,Feng Zhang,Maoxiang Qian,Wei Zhang,Yang Shu,Geng Yin,Heng Xu,Qibing Xie

American journal of translational research 17:416-428 PubMed39959199

2025

Effects of ADRM1 on osteoblast differentiation and mineralization in osteoporosis.

Applications

Unspecified application

Species

Unspecified reactive species

Huafeng Zhuang,Yongjun Lin,Chengye Lin,Miao Zheng,Xuedong Yao,Youjia Xu

Advanced science (Weinheim, Baden-Wurttemberg, Germany) 12:e2410360 PubMed39639496

2024

Targeted SPP1 Inhibition of Tumor-Associated Myeloid Cells Effectively Decreases Tumor Sizes.

Applications

Unspecified application

Species

Unspecified reactive species

Benan Kartal,Christopher S Garris,Hyung Shik Kim,Rainer H Kohler,Jasmine Carrothers,Elias A Halabi,Yoshiko Iwamoto,Anne-Gaëlle Goubet,Yuxuan Xie,Pratyaksha Wirapati,Mikaël J Pittet,Ralph Weissleder

Scientific reports 14:28913 PubMed39572752

2024

Suppression of renal crystal formation, inflammation, and fibrosis by blocking oncostatin M receptor β signaling.

Applications

Unspecified application

Species

Unspecified reactive species

Ryusuke Deguchi,Tadasuke Komori,Shimpei Yamashita,Tomoko Hisaoka,Mizuki Kajimoto,Yasuo Kohjimoto,Isao Hara,Yoshihiro Morikawa
View all publications

Product promise

We are committed to supporting your work with high-quality reagents, and we're here for you every step of the way. In the unlikely event that one of our products does not perform as expected, you're protected by our Product Promise.
For full details, please see our Terms & Conditions

Please note: All products are 'FOR RESEARCH USE ONLY. NOT FOR USE IN DIAGNOSTIC OR THERAPEUTIC PROCEDURES'.

For licensing inquiries, please contact partnerships@abcam.com