JavaScript is disabled in your browser. Please enable JavaScript to view this website.
AB229854

Anti-Osteopontin antibody [EPR21138] - BSA and Azide free

5

(1 Review)

|

(1 Publication)

Rabbit Recombinant Monoclonal Osteopontin antibody. Carrier free. Suitable for ICC/IF, IHC-P and reacts with Mouse samples. Cited in 1 publication.

View Alternative Names

Eta-1, Op, Spp-1, Spp1, Osteopontin, 2AR, Bone sialoprotein 1, Calcium oxalate crystal growth inhibitor protein, Early T-lymphocyte activation 1 protein, Minopontin, Secreted phosphoprotein 1, SPP-1

5 Images
Immunohistochemistry (Formalin/PFA-fixed paraffin-embedded sections) - Anti-Osteopontin antibody [EPR21138] - BSA and Azide free (AB229854)
  • IHC-P

Lab

Immunohistochemistry (Formalin/PFA-fixed paraffin-embedded sections) - Anti-Osteopontin antibody [EPR21138] - BSA and Azide free (AB229854)

This data was developed using ab218237, the same antibody clone in a different buffer formulation.

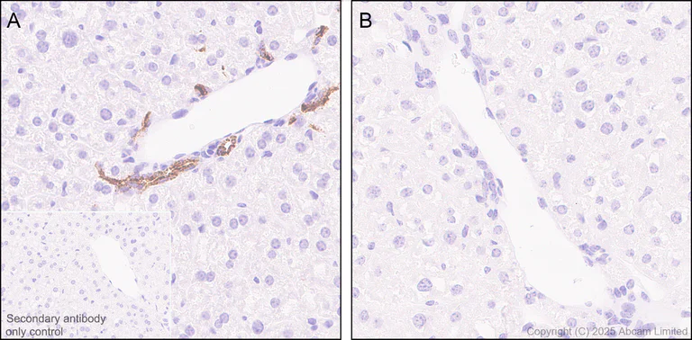
Immunohistochemical analysis of paraffin-embedded (A) Liver tissue from wild-type C57BL/6J mice; (B) Liver tissue from Spp1 (Osteopontin) knockout mice tissue labeling with ab218237 at 1/2000 dilution, followed by a ready to use Rabbit specific IHC polymer detection kit HRP/DAB (ab209101).

Positive staining on biliary epithelial cells of (A) Liver tissue from wild-type C57BL/6J mice, no staining on (B) Liver tissue from Spp1 (Osteopontin) knockout mice.

The primary antibody was incubated for 30 mins at room temperature.

The immunostaining was performed on a Leica Biosystems BOND® RX instrument.

The tissue samples were kindly provided by GemPharmatech. C57BL/6 wildtype mice and Spp1-KO homozygous mice (Strain ID : T064052).

Counterstained with Hematoxylin.

Secondary antibody only control : Secondary antibody is a ready to use Rabbit specific IHC polymer detection kit HRP/DAB (ab209101).

Heat mediated antigen retrieval was performed with Tris-EDTA buffer (pH 9.0, Epitope Retrieval Solution2) for 20 mins

Immunohistochemistry (Formalin/PFA-fixed paraffin-embedded sections) - Anti-Osteopontin antibody [EPR21138] - BSA and Azide free (AB229854)
  • IHC-P

Lab

Immunohistochemistry (Formalin/PFA-fixed paraffin-embedded sections) - Anti-Osteopontin antibody [EPR21138] - BSA and Azide free (AB229854)

This data was developed using ab218237, the same antibody clone in a different buffer formulation.

Immunohistochemical analysis of paraffin-embedded (A) Kidney tissue from wild-type C57BL/6J mice; (B) Kidney tissue from Spp1 (Osteopontin) knockout mice tissue labeling with ab218237 at 1/2000 dilution, followed by a ready to use Rabbit specific IHC polymer detection kit HRP/DAB (ab209101).

Positive staining on biliary epithelial cells of (A) Kidney tissue from wild-type C57BL/6J mice, no staining on (B) Kidney tissue from Spp1 (Osteopontin) knockout mice.

The primary antibody was incubated for 30 mins at room temperature.

The immunostaining was performed on a Leica Biosystems BOND® RX instrument.

The tissue samples were kindly provided by GemPharmatech. C57BL/6 wildtype mice and Spp1-KO homozygous mice (Strain ID : T064052).

Counterstained with Hematoxylin.

Secondary antibody only control : Secondary antibody is a ready to use Rabbit specific IHC polymer detection kit HRP/DAB (ab209101).

Heat mediated antigen retrieval was performed with Tris-EDTA buffer (pH 9.0, Epitope Retrieval Solution2) for 20 mins

Immunohistochemistry (Formalin/PFA-fixed paraffin-embedded sections) - Anti-Osteopontin antibody [EPR21138] - BSA and Azide free (AB229854)
  • IHC-P

Supplier Data

Immunohistochemistry (Formalin/PFA-fixed paraffin-embedded sections) - Anti-Osteopontin antibody [EPR21138] - BSA and Azide free (AB229854)

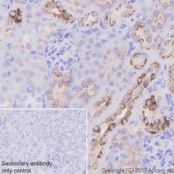
Immunohistochemical analysis of paraffin-embedded mouse liver tissue labeling Osteopontin with ab218237 at 1/500 dilution, followed by Goat Anti-Rabbit IgG H&L (HRP) Ready to use. Cytoplasmic staining in biliary epithelial cells of mouse liver (PMID : 16221502). Counter stained with hematoxylin.

Secondary antibody only control : Used PBS instead of primary antibody, secondary antibody is Goat Anti-Rabbit IgG H&L (HRP) Ready to use.

This data was developed using the same antibody clone in a different buffer formulation containing PBS, BSA, glycerol, and sodium azide (ab218237).

Heat mediated antigen retrieval was performed with Tris/EDTA buffer pH 9.0 before commencing with IHC staining protocol.

Immunohistochemistry (Formalin/PFA-fixed paraffin-embedded sections) - Anti-Osteopontin antibody [EPR21138] - BSA and Azide free (AB229854)
  • IHC-P

Supplier Data

Immunohistochemistry (Formalin/PFA-fixed paraffin-embedded sections) - Anti-Osteopontin antibody [EPR21138] - BSA and Azide free (AB229854)

Immunohistochemical analysis of paraffin-embedded mouse kidney tissue labeling Osteopontin with ab218237 at 1/500 dilution, followed by Goat Anti-Rabbit IgG H&L (HRP) Ready to use. Cytoplasmic staining in distal tubules of mouse kidney (PMID : 17938278). Counter stained with hematoxylin.

Secondary antibody only control : Used PBS instead of primary antibody, secondary antibody is Goat Anti-Rabbit IgG H&L (HRP) Ready to use.

This data was developed using the same antibody clone in a different buffer formulation containing PBS, BSA, glycerol, and sodium azide (ab218237).

Heat mediated antigen retrieval was performed with Tris/EDTA buffer pH 9.0 before commencing with IHC staining protocol.

Immunocytochemistry/ Immunofluorescence - Anti-Osteopontin antibody [EPR21138] - BSA and Azide free (AB229854)
  • ICC/IF

Lab

Immunocytochemistry/ Immunofluorescence - Anti-Osteopontin antibody [EPR21138] - BSA and Azide free (AB229854)

Immunofluorescent analysis of 4% paraformaldehyde-fixed, 0.1% Triton X-100 permeabilized RAW 264.7 (Mouse macrophage cell line transformed with Abelson murine leukemia virus) cells labelling Osteopontin with primary antibody anti-Osteopontin (ab218237) at 1/1000 dilution, followed by Goat Anti-Rabbit IgG H&L (Alexa Fluor® 488) preadsorbed (ab150081) secondary antibody at 1/1000 dilution. Confocal image showing increased cytoplasmic staining in RAW 264.7 cells treated with LPS (100 ng/ml) for 6 h, then add BFA (300 ng/ml) for 3 h. Anti-alpha Tubulin mouse monoclonal antibody - Microtubule Marker (Alexa Fluor® 594) (ab195889) was used to counterstain tubulin at 1/200 dilution. The nuclear counter stain is DAPI (blue). This data was developed using the same antibody clone in a different buffer formulation containing PBS, BSA, glycerol, and sodium azide (ab218237).

Key facts

Host species

Rabbit

Clonality

Monoclonal

Clone number

EPR21138

Isotype

IgG

Carrier free

Yes

Reacts with

Mouse

Applications

IHC-P, ICC/IF

applications

Immunogen

The exact immunogen used to generate this antibody is proprietary information.

Specificity

This antibody is not recommended for use in WB with mouse tissue samples.

Osteopontin is a secretory protein, to allow the detection of Osteopontin in cell lysate, we suggest treating cells with BFA which inhibits protein secretion.

Reactivity data

{ "title": "Reactivity Data", "filters": { "stats": ["", "Species", "Dilution Info", "Notes"], "tabs": { "all-applications": {"fullname" : "All Applications", "shortname": "All Applications"}, "WB" : {"fullname" : "Western blot", "shortname":"WB"}, "ICCIF" : {"fullname" : "Immunocytochemistry/ Immunofluorescence", "shortname":"ICC/IF"}, "IHCP" : {"fullname" : "Immunohistochemistry (Formalin/PFA-fixed paraffin-embedded sections)", "shortname":"IHC-P"} }, "product-promise": { "all": "all", "testedAndGuaranteed": "tested", "guaranteed": "expected", "predicted": "predicted", "notRecommended": "not-recommended" } }, "values": { "Mouse": { "WB-species-checked": "notRecommended", "WB-species-dilution-info": "", "WB-species-notes": "<p></p>", "ICCIF-species-checked": "testedAndGuaranteed", "ICCIF-species-dilution-info": "", "ICCIF-species-notes": "<p></p>", "IHCP-species-checked": "testedAndGuaranteed", "IHCP-species-dilution-info": "", "IHCP-species-notes": "<p></p>" } } }

Product details

ab229854 is the carrier-free version of ab218237.

Patented technology
Our RabMAb® technology is a patented hybridoma-based technology for making rabbit monoclonal antibodies. For details on our patents, please refer to RabMAb® patents.

What are the advantages of a recombinant monoclonal antibody?
This product is a recombinant monoclonal antibody, which offers several advantages including:

  • - High batch-to-batch consistency and reproducibility
  • - Improved sensitivity and specificity
  • - Long-term security of supply
  • - Animal-free batch production

For more information, read more on recombinant antibodies.

Conjugation ready
Our carrier-free antibodies are typically supplied in a PBS-only formulation, purified and free of BSA, sodium azide and glycerol. This conjugation-ready format is designed for use with fluorochromes, metal isotopes, oligonucleotides, and enzymes, which makes them ideal for antibody labelling, functional and cell-based assays, flow-based assays (e.g. mass cytometry) and Multiplex Imaging applications.

Use our conjugation kits for antibody conjugates that are ready-to-use in as little as 20 minutes with 1 minute hands-on-time and 100% antibody recovery: available for fluorescent dyes, HRP, biotin and gold.

Compatibility
This product is compatible with the Maxpar® Antibody Labeling Kit from Fluidigm, without the need for antibody preparation. Maxpar® is a trademark of Fluidigm Canada Inc.

Properties and storage information

Form
Liquid
Purification technique
Affinity purification Protein A
Storage buffer
pH: 7.2 - 7.4 Constituents: PBS
Shipped at conditions
Blue Ice
Appropriate short-term storage conditions
+4°C
Appropriate long-term storage conditions
+4°C
Storage information
Do Not Freeze

Supplementary information

This supplementary information is collated from multiple sources and compiled automatically.

Osteopontin also known as OPN or secreted phosphoprotein 1 (SPP1) is a glycoprotein with a molecular weight of approximately 44 to 75 kDa depending on its post-translational modifications. Osteopontin is characteristically expressed in bone but is also present in various body tissues including kidney liver and immune system cells. This multifunctional protein interacts with cell surface receptors such as integrins and CD44 playing an important role in cell signaling and extracellular matrix interactions. Researchers often study it using osteopontin western blot or osteopontin ELISA kit to understand its expression patterns and roles.
Biological function summary

Osteopontin affects cell adhesion migration and survival. It does not form part of a known large complex but interacts closely with its integrin receptors. Osteopontin modulates immune responses and aids in bone remodeling by affecting osteoclast and osteoblast functions. It is also influential in inflammation processes where it orchestrates the recruitment and activation of macrophages. The osteopontin function is significant in both physiological processes and pathologies marking it as an important protein to study in numerous biological contexts.

Pathways

Osteopontin is integral to both the bone remodeling and immune response pathways. It collaborates with proteins like osteocalcin and matrix metalloproteinases within these processes. In the bone remodeling pathway osteopontin mediates communication between osteoclasts and osteoblasts impacting bone resorption and formation. In the immune response pathway it coordinates with cytokines such as interleukin-6 to modulate immune cell activities. Its roles in these pathways indicate its multifunctional nature and its impact across different biological systems.

Osteopontin links to cancer and cardiovascular diseases. It facilitates tumor progression and metastasis by interacting with proteins such as vascular endothelial growth factor (VEGF) and matrix metalloproteinase-9 (MMP-9). In cardiovascular diseases osteopontin influences atherosclerosis development through interactions with inflammatory cytokines and contributes to plaque stability. These disease associations highlight the importance of osteopontin as both a therapeutic target and a biomarker for disease progression and prognosis.

Product protocols

For this product, it's our understanding that no specific protocols are required. You can visit:

Target data

Major non-collagenous bone protein that binds tightly to hydroxyapatite. Appears to form an integral part of the mineralized matrix. Probably important to cell-matrix interaction.. Acts as a cytokine involved in enhancing production of interferon-gamma and interleukin-12 and reducing production of interleukin-10 and is essential in the pathway that leads to type I immunity.
See full target information Spp1

Publications (1)

Recent publications for all applications. Explore the full list and refine your search

Frontiers in genetics 13:976356 PubMed36118887

2022

A novel hypoxia-driven gene signature that can predict the prognosis and drug resistance of gliomas.

Applications

Unspecified application

Species

Unspecified reactive species

Peng Ren,Jing-Ya Wang,Zhi-Rui Zeng,Nan-Xi Li,Hong-Lei Chen,Xin-Ge Peng,Ujjal K Bhawal,Wen-Zhi Guo
View all publications

Product promise

We are committed to supporting your work with high-quality reagents, and we're here for you every step of the way. In the unlikely event that one of our products does not perform as expected, you're protected by our Product Promise.
For full details, please see our Terms & Conditions

Please note: All products are 'FOR RESEARCH USE ONLY. NOT FOR USE IN DIAGNOSTIC OR THERAPEUTIC PROCEDURES'.

For licensing inquiries, please contact partnerships@abcam.com