JavaScript is disabled in your browser. Please enable JavaScript to view this website.
AB214050

Anti-Osteopontin antibody [EPR21139-316]

4

(1 Review)

|

(41 Publications)

Anti-Osteopontin antibody [EPR21139-316] (ab214050) is a rabbit monoclonal antibody detecting Osteopontin in Western Blot, IP, IHC-P, ICC/IF. Suitable for Human.

- Biophysical QC for unrivalled batch-batch consistency
- Over 40 publications

View Alternative Names

BNSP, OPN, PSEC0156, SPP1, Osteopontin, Bone sialoprotein 1, Nephropontin, Secreted phosphoprotein 1, Urinary stone protein, Uropontin, SPP-1

8 Images
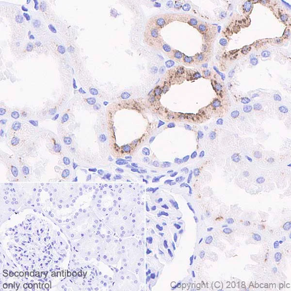
Immunohistochemistry (Formalin/PFA-fixed paraffin-embedded sections) - Anti-Osteopontin antibody [EPR21139-316] (AB214050)
  • IHC-P

Supplier Data

Immunohistochemistry (Formalin/PFA-fixed paraffin-embedded sections) - Anti-Osteopontin antibody [EPR21139-316] (AB214050)

Immunohistochemical analysis of paraffin-embedded human kidney tissue labeling Osteopontin with ab214050 at 1/2000 dilution, followed by Rabbit specific IHC polymer detection kit HRP/DAB (ab209101) Ready to use. Cytoplasmic staining in distal tubules of human kidney (PMID : 17938278), performed on a Leica Biosystems BOND® RX instrument. Counter stained with hematoxylin.

Secondary antibody only control : Used PBS instead of primary antibody, secondary antibody is Goat Anti-Rabbit IgG H&L (HRP) Ready to use.

Perform heat-mediated antigen retrieval with sodium citrate buffer (pH 6.0, epitope retrieval solution 1) for 10 minutes.

Western blot - Anti-Osteopontin antibody [EPR21139-316] (AB214050)
  • WB

Supplier Data

Western blot - Anti-Osteopontin antibody [EPR21139-316] (AB214050)

Blocking and diluting buffer concentration : 5% NFDM/TBST.

We suggest treating cells with BFA which inhibits protein secretion.

All lanes:

Western blot - Anti-Osteopontin antibody [EPR21139-316] (ab214050) at 1/1000 dilution

Lane 1:

Untreated HepG2 (Human hepatocellular carcinoma epithelial cell) whole cell lysate at 20 µg

Lane 2:

HepG2 treated with 300ng/ml BFA for 3h whole cell lysate at 20 µg

Secondary

All lanes:

Western blot - Goat Anti-Rabbit IgG H&L (HRP) (<a href='/en-us/products/secondary-antibodies/goat-rabbit-igg-h-l-hrp-ab97051'>ab97051</a>) at 1/20000 dilution

Predicted band size: 35 kDa

Observed band size: 60 kDa

false

Exposure time: 60s

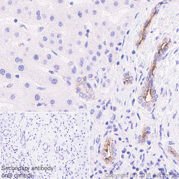
Immunohistochemistry (Formalin/PFA-fixed paraffin-embedded sections) - Anti-Osteopontin antibody [EPR21139-316] (AB214050)
  • IHC-P

Supplier Data

Immunohistochemistry (Formalin/PFA-fixed paraffin-embedded sections) - Anti-Osteopontin antibody [EPR21139-316] (AB214050)

Immunohistochemical analysis of paraffin-embedded human liver tissue labeling Osteopontin with ab214050 at 1/2000 dilution, followed by Goat Anti-Rabbit IgG H&L (HRP) Ready to use. Cytoplasmic staining in bile ducts of human liver (PMID : 16221502). Counter stained with hematoxylin.

Secondary antibody only control : Used PBS instead of primary antibody, secondary antibody is Goat Anti-Rabbit IgG H&L (HRP) Ready to use.

Perform heat-mediated antigen retrieval using ab93684 (Tris/EDTA buffer, pH 9.0).

Immunocytochemistry/ Immunofluorescence - Anti-Osteopontin antibody [EPR21139-316] (AB214050)
  • ICC/IF

Lab

Immunocytochemistry/ Immunofluorescence - Anti-Osteopontin antibody [EPR21139-316] (AB214050)

Immunofluorescent analysis of 4% paraformaldehyde-fixed, 0.1% Triton X-100 permeabilized U-87 MG cell line labelling Osteopontin with ab214050 at 1/50 dilution, followed by Goat Anti-Rabbit IgG H&L (Alexa Fluor® 488) (ab150077) secondary antibody at 1/1000 dilution (green). Confocal image showing cytoplamic staining in U-87 MG cell line. The nuclear counter stain is DAPI (blue).

The negative controls is as follows :
-ve control : Anti-alpha Tubulin mouse monoclonal antibody - Microtubule Marker (Alexa Fluor® 594) (ab195889) at 1/200 dilution, followed by Goat Anti-Rabbit IgG H&L (Alexa Fluor® 488) (ab150077) secondary antibody at 1/1000 dilution.

Immunoprecipitation - Anti-Osteopontin antibody [EPR21139-316] (AB214050)
  • IP

Supplier Data

Immunoprecipitation - Anti-Osteopontin antibody [EPR21139-316] (AB214050)

Osteopontin was immunoprecipitated from 0.35 mg of human kidney lysate with ab214050 at 1/30 dilution. Western blot was performed from the immunoprecipitate using ab214050 at 1/1000 dilution. VeriBlot for IP Detection Reagent (HRP) (ab131366), was used for detection at 1/5,000 dilution

Lane 1 : Human kidney lysate 10 μg (Input).

Lane 2 : ab214050 IP in human kidney lysate.

Lane 3 : Rabbit monoclonal IgG (ab172730) instead of ab214050 in human kidney lysate.

Blocking and dilution buffer and concentration : 5% NFDM/TBST.

Exposure time : 3 minutes.

The multiple bands observed are likely due to expression of different isoforms, as well as glycosylation (PMID : 8761944; PMID : 11375993; PMID : 8535240; PMID : 12890718).

All lanes:

Immunoprecipitation - Anti-Osteopontin antibody [EPR21139-316] (ab214050)

Predicted band size: 35 kDa

false

Western blot - Anti-Osteopontin antibody [EPR21139-316] (AB214050)
  • WB

Supplier Data

Western blot - Anti-Osteopontin antibody [EPR21139-316] (AB214050)

Blocking/Dilution buffer : 5% NFDM/TBST.

The multiple bands observed are likely due to expression of different isoforms, as well as glycosylation (PMID : 8761944; PMID : 11375993; PMID : 8535240; PMID : 12890718).

The identity of the 90kDa band is unknown.

All lanes:

Western blot - Anti-Osteopontin antibody [EPR21139-316] (ab214050) at 1/1000 dilution

Lane 1:

Human urine at 20 µg

Lane 2:

Human fetal kidney lysate at 10 µg

Secondary

Lane 1:

Western blot - VeriBlot for IP Detection Reagent (HRP) (<a href='/en-us/products/reagents/veriblot-for-ip-detection-reagent-hrp-ab131366'>ab131366</a>) at 1/1000 dilution

Lane 2:

Western blot - Goat Anti-Rabbit IgG H&L (HRP) (<a href='/en-us/products/secondary-antibodies/goat-rabbit-igg-h-l-hrp-ab97051'>ab97051</a>) at 1/100000 dilution

Predicted band size: 35 kDa

Observed band size: 45 kDa,60 kDa,70 kDa

false

Exposure time: 26s

Western blot - Anti-Osteopontin antibody [EPR21139-316] (AB214050)
  • WB

Supplier Data

Western blot - Anti-Osteopontin antibody [EPR21139-316] (AB214050)

Blocking/Dilution buffer : 5% NFDM/TBST.

The his-tagged recombinant protein was produced in a mammalian expression system, thereby allowing it to be post-translationally modified.

All lanes:

Western blot - Anti-Osteopontin antibody [EPR21139-316] (ab214050) at 1/1000 dilution

All lanes:

Human Osteopontin recombinant protein (aa17-300) produced in a mammalian expression at 0.01 µg

Secondary

All lanes:

Western blot - Goat Anti-Rabbit IgG H&L (HRP) (<a href='/en-us/products/secondary-antibodies/goat-rabbit-igg-h-l-hrp-ab97051'>ab97051</a>) at 1/100000 dilution

Predicted band size: 35 kDa

Observed band size: 60-65 kDa

false

Exposure time: 26s

Western blot - Anti-Osteopontin antibody [EPR21139-316] (AB214050)
  • WB

CiteAb

Western blot - Anti-Osteopontin antibody [EPR21139-316] (AB214050)

Osteopontin western blot using anti-Osteopontin antibody [EPR21139-316] ab214050. Publication image and figure legend from Chen, P., Chen, Y., et al., 2019, Aging (Albany NY), PubMed 31449494.

ab214050 was used in this publication in western blot. This may not be the same as the application(s) guaranteed by Abcam. For a full list of applications guaranteed by Abcam for ab214050 please see the product overview.

Hub proteins and potential pathway proteins were increased in AS plaques, especially in tissue sections of ruptured plaques. (A) Detection of hub proteins (SPP1, MMP9, CCL4, and CCL18) and potential pathway proteins (PPARγ, C/EBP and FABP4) in ruptured plaques and adjacent normal tissues by western blots. β-actin was used as a loading control. Bands were quantified with ImageJ software. (B) Line chart showing IOD/area of proteins in immunoblot analysis. Red squares represent AS plaques, and the green circles indicate adjacent normal tissues. The different colored lines represent the trend of protein expression. (C, D) H&E (a) and Movat (b and c, low and high power) staining and immunoperoxidase antibody staining using anti-CD68 (d), anti-SPP1 (e), anti-MMP9 (f), anti-CCL4 (g), and anti-CCL18 (h). Ca, calcification; PR, plaque rupture; Th, thrombus.

false

  • 519 Alexa Fluor® 488

    Alexa Fluor® 488 Anti-Osteopontin antibody [EPR21139-316]

  • 617 Alexa Fluor® 594

    Alexa Fluor® 594 Anti-Osteopontin antibody [EPR21139-316]

  • Carrier free

    Anti-Osteopontin antibody [EPR21139-316] - BSA and Azide free

  • 565 Alexa Fluor® 555

    Alexa Fluor® 555 Anti-Osteopontin antibody [EPR21139-316]

  • 665 Alexa Fluor® 647

    Alexa Fluor® 647 Anti-Osteopontin antibody [EPR21139-316]

Key facts

Host species

Rabbit

Clonality

Monoclonal

Clone number

EPR21139-316

Isotype

IgG

Carrier free

No

Reacts with

Human

Applications

IP, WB, ICC/IF, IHC-P

applications

Immunogen

The exact immunogen used to generate this antibody is proprietary information.

Specificity

Osteopontin is a secretory protein, to allow the detection of Osteopontin in cell lysate, we suggest treating cells with BFA which inhibits protein secretion.

Reactivity data

{ "title": "Reactivity Data", "filters": { "stats": ["", "Species", "Dilution Info", "Notes"], "tabs": { "all-applications": {"fullname" : "All Applications", "shortname": "All Applications"}, "IHCP" : {"fullname" : "Immunohistochemistry (Formalin/PFA-fixed paraffin-embedded sections)", "shortname":"IHC-P"}, "IP" : {"fullname" : "Immunoprecipitation", "shortname":"IP"}, "WB" : {"fullname" : "Western blot", "shortname":"WB"}, "ICCIF" : {"fullname" : "Immunocytochemistry/ Immunofluorescence", "shortname":"ICC/IF"} }, "product-promise": { "all": "all", "testedAndGuaranteed": "tested", "guaranteed": "expected", "predicted": "predicted", "notRecommended": "not-recommended" } }, "values": { "Human": { "IHCP-species-checked": "testedAndGuaranteed", "IHCP-species-dilution-info": "1/2000", "IHCP-species-notes": "<p></p>", "IP-species-checked": "testedAndGuaranteed", "IP-species-dilution-info": "1/30", "IP-species-notes": "<p></p>", "WB-species-checked": "testedAndGuaranteed", "WB-species-dilution-info": "1/1000", "WB-species-notes": "<p></p>", "ICCIF-species-checked": "testedAndGuaranteed", "ICCIF-species-dilution-info": "1/50", "ICCIF-species-notes": "<p></p>" }, "Recombinant fragment - Human": { "IHCP-species-checked": "notRecommended", "IHCP-species-dilution-info": "", "IHCP-species-notes": "", "IP-species-checked": "notRecommended", "IP-species-dilution-info": "", "IP-species-notes": "", "WB-species-checked": "testedAndGuaranteed", "WB-species-dilution-info": "1/1000", "WB-species-notes": "<p></p>", "ICCIF-species-checked": "notRecommended", "ICCIF-species-dilution-info": "", "ICCIF-species-notes": "" } } }

You may be interested in:

AB269374

Human Osteopontin ELISA Kit

0

0 Reviews

View product

We recommend this product because it’s often used in the same experiment or related research.

We advise that you always check the datasheet to ensure it fits your experiments, or contact ourtechnical teamfor help.

Product details

Product Specifications
Anti-Osteopontin antibody [EPR21139-316] (ab214050) was developed by Abcam using patented rabbit monoclonal antibody technology and is validated for use in ICC/IF, IHC-P, IP, WB in human samples.
Anti-Osteopontin antibody [EPR21139-316] (ab214050) specifically detects Osteopontin (UniProt ID: P10451; Molecular weight: 34kDa) and is sold in 100 µL and 1 mL selling sizes.

Quality and Validation
Abcam's high quality manufacturing and validation processes ensure Anti-Osteopontin antibody [EPR21139-316] (ab214050) has high sensitivity and specificity alongside high lot-to-lot consistency and reproducibility.
Anti-Osteopontin antibody [EPR21139-316] (ab214050) has been cited over 40 times in peer reviewed journals and is trusted by the scientific community.


Related Products
Antibody clone EPR21139-316 is also available pre-conjugated to a variety of labels for your convenience - Alexa Fluor® 488, Alexa Fluor® 594, Alexa Fluor® 647, Alexa Fluor® 555 (ab282004, ab282279, ab283696, ab309603).

Patented technology
Our RabMAb® technology is a patented hybridoma-based technology for making rabbit monoclonal antibodies. For details on our patents, please refer to RabMAb® patents.

What are the advantages of a recombinant monoclonal antibody?
This product is a recombinant monoclonal antibody, which offers several advantages including:

  • - High batch-to-batch consistency and reproducibility
  • - Improved sensitivity and specificity
  • - Long-term security of supply
  • - Animal-free batch production

For more information, read more on recombinant antibodies.

Properties and storage information

Form
Liquid
Purification technique
Affinity purification Protein A
Storage buffer
pH: 7.2 - 7.4 Preservative: 0.01% Sodium azide Constituents: PBS, 40% Glycerol (glycerin, glycerine), 0.05% BSA
Shipped at conditions
Blue Ice
Appropriate short-term storage duration
1-2 weeks
Appropriate short-term storage conditions
+4°C
Appropriate long-term storage conditions
-20°C
Aliquoting information
Upon delivery aliquot
Storage information
Avoid freeze / thaw cycle

Product protocols

For this product, it's our understanding that no specific protocols are required. You can visit:

Target data

Major non-collagenous bone protein that binds tightly to hydroxyapatite. Appears to form an integral part of the mineralized matrix. Probably important to cell-matrix interaction.. Acts as a cytokine involved in enhancing production of interferon-gamma and interleukin-12 and reducing production of interleukin-10 and is essential in the pathway that leads to type I immunity.
See full target information SPP1

Publications (41)

Recent publications for all applications. Explore the full list and refine your search

Advanced science (Weinheim, Baden-Wurttemberg, Germany) 12:e2411152 PubMed39950910

2025

Fibroblast Activation Protein Acts as a Biomarker for Monitoring ECM Remodeling During Aortic Aneurysm via Ga-FAPI-04 PET Imaging.

Applications

WB, WB, IHC-P, IHC-P, IHC-P

Species

Mouse, Rabbit, Human, Rabbit, Mouse

Chengkai Hu,Hui Tan,Yuchong Zhang,Genmao Cao,Chenye Wu,Peng Lin,Shouji Qiu,Fandi Mo,Enci Wang,Shiyi Li,Tong Yuan,Zheyun Li,Weiguo Fu,Dengfeng Cheng,Hao Lai,Xiaoyuan Chen,Lixin Wang

Cell communication and signaling : CCS 21:292 PubMed37853464

2023

Single-cell RNA sequencing reveals pro-invasive cancer-associated fibroblasts in hypopharyngeal squamous cell carcinoma.

Applications

Unspecified application

Species

Unspecified reactive species

Zhimou Cai,Lin Chen,Siyu Chen,Ruihua Fang,Xiaolin Chen,Wenbin Lei

iScience 26:107923 PubMed37810257

2023

Circ_0000888 regulates osteogenic differentiation of periosteal mesenchymal stem cells in congenital pseudarthrosis of the tibia.

Applications

Unspecified application

Species

Unspecified reactive species

Zhuoyang Li,Yaoxi Liu,Yiyong Huang,Qian Tan,Haibo Mei,Guanghui Zhu,Kun Liu,Ge Yang

Genes & diseases 11:964-977 PubMed37692479

2023

deletion in chondrocytes causes vertebral defects by reducing MEF2C/PTEN/AKT signaling.

Applications

WB

Species

Mouse

Chengzhi Wu,Hengyu Liu,Dongmei Zhong,Xiaoming Yang,Zhiheng Liao,Yuyu Chen,Shun Zhang,Deying Su,Baolin Zhang,Chuan Li,Liru Tian,Caixia Xu,Peiqiang Su

International journal of molecular sciences 24: PubMed37629071

2023

CXCR4 Expressed by Tumor-Infiltrating B Cells in Gastric Cancer Related to Survival in the Tumor Microenvironment: An Analysis Combining Single-Cell RNA Sequencing with Bulk RNA Sequencing.

Applications

Unspecified application

Species

Unspecified reactive species

Chen Su,Rong Yu,Xiaoquan Hong,Panpan Zhang,Yingying Guo,Jian-Chun Cai,Jingjing Hou

Cell discovery 9:60 PubMed37336873

2023

Multi-dimensional single-cell characterization revealed suppressive immune microenvironment in AFP-positive hepatocellular carcinoma.

Applications

Unspecified application

Species

Unspecified reactive species

Huisi He,Shuzhen Chen,Zhecai Fan,Yaping Dong,Ying Wang,Shiyao Li,Xiaojuan Sun,Yuting Song,Jinxian Yang,Qiqi Cao,Jie Jiang,Xianming Wang,Wen Wen,Hongyang Wang

Frontiers in cardiovascular medicine 10:1175287 PubMed37363096

2023

Coronary plaque burden predicts perioperative cardiovascular events after coronary endarterectomy.

Applications

Unspecified application

Species

Unspecified reactive species

Mingxin Gao,Wanwan Wen,Chengxiong Gu,XiaoLi Zhang,Yang Yu,Haiyang Li

Pharmacogenomics and personalized medicine 16:425-432 PubMed37180957

2023

A Preliminary Study on the Correlation Between Age and Endometrial Receptivity.

Applications

Unspecified application

Species

Unspecified reactive species

Song Guo,Di Zhang,Shan Zhao,Huan Zhang,Yijuan Sun,Li Yan

Advanced functional materials 33: PubMed37601745

2023

Simulation of Cortical and Cancellous Bone to Accelerate Tissue Regeneration.

Applications

Unspecified application

Species

Unspecified reactive species

Zhihai Fan,Hongxiang Liu,Zhaozhao Ding,Liying Xiao,Qiang Lu,David L Kaplan

Cellular oncology (Dordrecht) 46:1351-1368 PubMed37079186

2023

Dissecting the single-cell transcriptome network of macrophage and identifies a signature to predict prognosis in lung adenocarcinoma.

Applications

Unspecified application

Species

Unspecified reactive species

Zhengyang Hu,Xing Jin,Weifeng Hong,Qihai Sui,Mengnan Zhao,Yiwei Huang,Ming Li,Qun Wang,Cheng Zhan,Zhencong Chen
View all publications

Product promise

We are committed to supporting your work with high-quality reagents, and we're here for you every step of the way. In the unlikely event that one of our products does not perform as expected, you're protected by our Product Promise.
For full details, please see our Terms & Conditions

Associated Products

Select an associated product type
Alternative Product
Primary Antibodies

AB181440

Anti-Osteopontin antibody - N-terminal

primary-antibodies

osteopontin-antibody-n-terminal-ab181440

0

(0 reviews)

Alternative Product
Primary Antibodies

AB166709

Anti-Osteopontin antibody [7C5H12]

primary-antibodies

osteopontin-antibody-7c5h12-ab166709

5

(2 reviews)

Alternative Product
Primary Antibodies

AB8448

Anti-Osteopontin antibody

primary-antibodies

osteopontin-antibody-ab8448

4

(14 reviews)

Alternative Product
Primary Antibodies

AB216406

Anti-Osteopontin antibody

primary-antibodies

osteopontin-antibody-ab216406

4

(2 reviews)

Alternative Product
Primary Antibodies

AB216402

Anti-Osteopontin antibody

primary-antibodies

osteopontin-antibody-ab216402

0

(0 reviews)

Alternative Product
Primary Antibodies

AB63856

Anti-Osteopontin antibody

primary-antibodies

osteopontin-antibody-ab63856

0

(1 reviews)

Alternative Product
Primary Antibodies

AB218237

Anti-Osteopontin antibody [EPR21138]

primary-antibodies

osteopontin-antibody-epr21138-ab218237

4

(1 reviews)

Alternative Product
Primary Antibodies

AB229854

Anti-Osteopontin antibody [EPR21138] - BSA and Azide free

primary-antibodies

osteopontin-antibody-epr21138-bsa-and-azide-free-ab229854

5

(1 reviews)

Alternative Version
Primary Antibodies

AB11503

Anti-Osteopontin antibody

primary-antibodies

osteopontin-antibody-ab11503

3

(1 reviews)

Please note: All products are 'FOR RESEARCH USE ONLY. NOT FOR USE IN DIAGNOSTIC OR THERAPEUTIC PROCEDURES'.

For licensing inquiries, please contact partnerships@abcam.com