JavaScript is disabled in your browser. Please enable JavaScript to view this website.
AB236213

Anti-Osteopontin antibody [EPR21139-316] - BSA and Azide free

Be the first to review this product! Submit a review

|

(0 Publication)

Rabbit Recombinant Monoclonal Osteopontin antibody. Carrier free. Suitable for ICC/IF, IHC-P, IP, WB and reacts with Human, Recombinant fragment samples.

View Alternative Names

BNSP, OPN, PSEC0156, SPP1, Osteopontin, Bone sialoprotein 1, Nephropontin, Secreted phosphoprotein 1, Urinary stone protein, Uropontin, SPP-1

5 Images
Western blot - Anti-Osteopontin antibody [EPR21139-316] - BSA and Azide free (AB236213)
  • WB

Supplier Data

Western blot - Anti-Osteopontin antibody [EPR21139-316] - BSA and Azide free (AB236213)

Blocking and diluting buffer concentration : 5% NFDM/TBST.

We suggest treating cells with BFA which inhibits protein secretion.

This data was developed using ab214050, the same antibody clone in a different buffer formulation containing PBS, BSA, glycerol, and sodium azide.

All lanes:

Western blot - Anti-Osteopontin antibody [EPR21139-316] (<a href='/en-us/products/primary-antibodies/osteopontin-antibody-epr21139-316-ab214050'>ab214050</a>) at 1/1000 dilution

Lane 1:

Untreated HepG2 (Human hepatocellular carcinoma epithelial cell) whole cell lysate at 20 µg

Lane 2:

HepG2 treated with 300ng/ml BFA for 3h whole cell lysate at 20 µg

Secondary

All lanes:

Western blot - Goat Anti-Rabbit IgG H&L (HRP) (<a href='/en-us/products/secondary-antibodies/goat-rabbit-igg-h-l-hrp-ab97051'>ab97051</a>) at 1/20000 dilution

Predicted band size: 35 kDa

Observed band size: 60 kDa

false

Exposure time: 60s

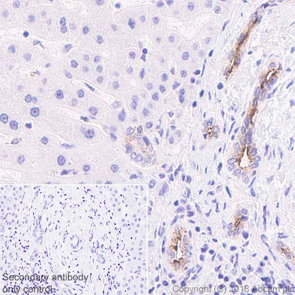
Immunohistochemistry (Formalin/PFA-fixed paraffin-embedded sections) - Anti-Osteopontin antibody [EPR21139-316] - BSA and Azide free (AB236213)
  • IHC-P

Supplier Data

Immunohistochemistry (Formalin/PFA-fixed paraffin-embedded sections) - Anti-Osteopontin antibody [EPR21139-316] - BSA and Azide free (AB236213)

Immunohistochemical analysis of paraffin-embedded human liver tissue labeling Osteopontin with ab214050 at 1/2000 dilution, followed by Goat Anti-Rabbit IgG H&L (HRP) Ready to use. Cytoplasmic staining in bile ducts of human liver (PMID : 16221502). Counter stained with hematoxylin.

Secondary antibody only control : Used PBS instead of primary antibody, secondary antibody is Goat Anti-Rabbit IgG H&L (HRP) Ready to use.

Perform heat-mediated antigen retrieval using ab93684 (Tris/EDTA buffer, pH 9.0).

This data was developed using the same antibody clone in a different buffer formulation containing PBS, BSA, glycerol, and sodium azide (ab214050).

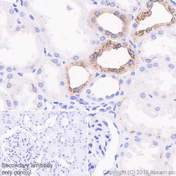
Immunohistochemistry (Formalin/PFA-fixed paraffin-embedded sections) - Anti-Osteopontin antibody [EPR21139-316] - BSA and Azide free (AB236213)
  • IHC-P

Supplier Data

Immunohistochemistry (Formalin/PFA-fixed paraffin-embedded sections) - Anti-Osteopontin antibody [EPR21139-316] - BSA and Azide free (AB236213)

Immunohistochemical analysis of paraffin-embedded human kidney tissue labeling Osteopontin with ab214050 at 1/2000 dilution, followed by Rabbit specific IHC polymer detection kit HRP/DAB (ab209101) Ready to use. Cytoplasmic staining in distal tubules of human kidney (PMID : 17938278), performed on a Leica Biosystems BOND® RX instrument. Counter stained with hematoxylin.

Secondary antibody only control : Used PBS instead of primary antibody, secondary antibody is Goat Anti-Rabbit IgG H&L (HRP) Ready to use.

Perform heat-mediated antigen retrieval with sodium citrate buffer (pH 6.0, epitope retrieval solution 1) for 10 minutes.

This data was developed using the same antibody clone in a different buffer formulation containing PBS, BSA, glycerol, and sodium azide (ab214050).

Immunoprecipitation - Anti-Osteopontin antibody [EPR21139-316] - BSA and Azide free (AB236213)
  • IP

Supplier Data

Immunoprecipitation - Anti-Osteopontin antibody [EPR21139-316] - BSA and Azide free (AB236213)

Osteopontin was immunoprecipitated from 0.35 mg of human kidney lysate with ab214050 at 1/30 dilution. Western blot was performed from the immunoprecipitate using ab214050 at 1/1000 dilution. VeriBlot for IP Detection Reagent (HRP) (ab131366), was used for detection at 1/5000 dilution.

Lane 1 : Human kidney lysate 10 μg (Input).

Lane 2 : ab214050 IP in human kidney lysate.

Lane 3 : Rabbit monoclonal IgG (ab172730) instead of ab214050 in human kidney lysate.

Blocking and dilution buffer and concentration : 5% NFDM/TBST.

Exposure time : 3 minutes.

The multiple bands observed are likely due to expression of different isoforms, as well as glycosylation (PMID : 8761944; PMID : 11375993; PMID : 8535240; PMID : 12890718).

This data was developed using the same antibody clone in a different buffer formulation containing PBS, BSA, glycerol, and sodium azide (ab214050).

All lanes:

Immunoprecipitation - Anti-Osteopontin antibody [EPR21139-316] (<a href='/en-us/products/primary-antibodies/osteopontin-antibody-epr21139-316-ab214050'>ab214050</a>)

Predicted band size: 35 kDa

false

Western blot - Anti-Osteopontin antibody [EPR21139-316] - BSA and Azide free (AB236213)
  • WB

Supplier Data

Western blot - Anti-Osteopontin antibody [EPR21139-316] - BSA and Azide free (AB236213)

Blocking/Dilution buffer : 5% NFDM/TBST.

The multiple bands observed are likely due to expression of different isoforms, as well as glycosylation (PMID : 8761944; PMID : 11375993; PMID : 8535240; PMID : 12890718).

The identity of the 90kDa band is unknown.

This data was developed using ab214050, the same antibody clone in a different buffer formulation containing PBS, BSA, glycerol, and sodium azide.

All lanes:

Western blot - Anti-Osteopontin antibody [EPR21139-316] (<a href='/en-us/products/primary-antibodies/osteopontin-antibody-epr21139-316-ab214050'>ab214050</a>) at 1/1000 dilution

Lane 1:

Human urine at 20 µg

Lane 2:

Human fetal kidney lysate at 10 µg

Secondary

Lane 1:

Western blot - VeriBlot for IP Detection Reagent (HRP) (<a href='/en-us/products/reagents/veriblot-for-ip-detection-reagent-hrp-ab131366'>ab131366</a>) at 1/1000 dilution

Lane 2:

Western blot - Goat Anti-Rabbit IgG H&L (HRP) (<a href='/en-us/products/secondary-antibodies/goat-rabbit-igg-h-l-hrp-ab97051'>ab97051</a>) at 1/100000 dilution

Predicted band size: 35 kDa

Observed band size: 45 kDa,60 kDa,70 kDa

false

Exposure time: 26s

Key facts

Host species

Rabbit

Clonality

Monoclonal

Clone number

EPR21139-316

Isotype

IgG

Carrier free

Yes

Reacts with

Human

Applications

IHC-P, ICC/IF, WB, IP

applications

Immunogen

The exact immunogen used to generate this antibody is proprietary information.

Specificity

Osteopontin is a secretory protein, to allow the detection of Osteopontin in cell lysate, we suggest treating cells with BFA which inhibits protein secretion.

Reactivity data

{ "title": "Reactivity Data", "filters": { "stats": ["", "Species", "Dilution Info", "Notes"], "tabs": { "all-applications": {"fullname" : "All Applications", "shortname": "All Applications"}, "ICCIF" : {"fullname" : "Immunocytochemistry/ Immunofluorescence", "shortname":"ICC/IF"}, "IHCP" : {"fullname" : "Immunohistochemistry (Formalin/PFA-fixed paraffin-embedded sections)", "shortname":"IHC-P"}, "IP" : {"fullname" : "Immunoprecipitation", "shortname":"IP"}, "WB" : {"fullname" : "Western blot", "shortname":"WB"} }, "product-promise": { "all": "all", "testedAndGuaranteed": "tested", "guaranteed": "expected", "predicted": "predicted", "notRecommended": "not-recommended" } }, "values": { "Human": { "ICCIF-species-checked": "testedAndGuaranteed", "ICCIF-species-dilution-info": "", "ICCIF-species-notes": "<p></p>", "IHCP-species-checked": "testedAndGuaranteed", "IHCP-species-dilution-info": "", "IHCP-species-notes": "<p></p>", "IP-species-checked": "testedAndGuaranteed", "IP-species-dilution-info": "", "IP-species-notes": "<p></p>", "WB-species-checked": "guaranteed", "WB-species-dilution-info": "", "WB-species-notes": "<p></p>" }, "Recombinant fragment": { "ICCIF-species-checked": "notRecommended", "ICCIF-species-dilution-info": "", "ICCIF-species-notes": "", "IHCP-species-checked": "notRecommended", "IHCP-species-dilution-info": "", "IHCP-species-notes": "", "IP-species-checked": "notRecommended", "IP-species-dilution-info": "", "IP-species-notes": "", "WB-species-checked": "guaranteed", "WB-species-dilution-info": "", "WB-species-notes": "<p></p>" } } }

You may be interested in:

AB269374

Human Osteopontin ELISA Kit

0

0 Reviews

View product

We recommend this product because it’s often used in the same experiment or related research.

We advise that you always check the datasheet to ensure it fits your experiments, or contact ourtechnical teamfor help.

Product details

ab236213 is the carrier-free version of ab214050.

Patented technology
Our RabMAb® technology is a patented hybridoma-based technology for making rabbit monoclonal antibodies. For details on our patents, please refer to RabMAb® patents.

What are the advantages of a recombinant monoclonal antibody?
This product is a recombinant monoclonal antibody, which offers several advantages including:

  • - High batch-to-batch consistency and reproducibility
  • - Improved sensitivity and specificity
  • - Long-term security of supply
  • - Animal-free batch production

For more information, read more on recombinant antibodies.

Conjugation ready
Our carrier-free antibodies are typically supplied in a PBS-only formulation, purified and free of BSA, sodium azide and glycerol. This conjugation-ready format is designed for use with fluorochromes, metal isotopes, oligonucleotides, and enzymes, which makes them ideal for antibody labelling, functional and cell-based assays, flow-based assays (e.g. mass cytometry) and Multiplex Imaging applications.

Use our conjugation kits for antibody conjugates that are ready-to-use in as little as 20 minutes with 1 minute hands-on-time and 100% antibody recovery: available for fluorescent dyes, HRP, biotin and gold.

Compatibility
This product is compatible with the Maxpar® Antibody Labeling Kit from Fluidigm, without the need for antibody preparation. Maxpar® is a trademark of Fluidigm Canada Inc.

Properties and storage information

Form
Liquid
Purification technique
Affinity purification Protein A
Storage buffer
pH: 7.2 - 7.4 Constituents: PBS
Shipped at conditions
Blue Ice
Appropriate short-term storage conditions
+4°C
Appropriate long-term storage conditions
+4°C
Storage information
Do Not Freeze

Supplementary information

This supplementary information is collated from multiple sources and compiled automatically.

Osteopontin also known as OPN or secreted phosphoprotein 1 (SPP1) is a glycoprotein with a molecular weight of approximately 44 to 75 kDa depending on its post-translational modifications. Osteopontin is characteristically expressed in bone but is also present in various body tissues including kidney liver and immune system cells. This multifunctional protein interacts with cell surface receptors such as integrins and CD44 playing an important role in cell signaling and extracellular matrix interactions. Researchers often study it using osteopontin western blot or osteopontin ELISA kit to understand its expression patterns and roles.
Biological function summary

Osteopontin affects cell adhesion migration and survival. It does not form part of a known large complex but interacts closely with its integrin receptors. Osteopontin modulates immune responses and aids in bone remodeling by affecting osteoclast and osteoblast functions. It is also influential in inflammation processes where it orchestrates the recruitment and activation of macrophages. The osteopontin function is significant in both physiological processes and pathologies marking it as an important protein to study in numerous biological contexts.

Pathways

Osteopontin is integral to both the bone remodeling and immune response pathways. It collaborates with proteins like osteocalcin and matrix metalloproteinases within these processes. In the bone remodeling pathway osteopontin mediates communication between osteoclasts and osteoblasts impacting bone resorption and formation. In the immune response pathway it coordinates with cytokines such as interleukin-6 to modulate immune cell activities. Its roles in these pathways indicate its multifunctional nature and its impact across different biological systems.

Osteopontin links to cancer and cardiovascular diseases. It facilitates tumor progression and metastasis by interacting with proteins such as vascular endothelial growth factor (VEGF) and matrix metalloproteinase-9 (MMP-9). In cardiovascular diseases osteopontin influences atherosclerosis development through interactions with inflammatory cytokines and contributes to plaque stability. These disease associations highlight the importance of osteopontin as both a therapeutic target and a biomarker for disease progression and prognosis.

Product protocols

For this product, it's our understanding that no specific protocols are required. You can visit:

Target data

Major non-collagenous bone protein that binds tightly to hydroxyapatite. Appears to form an integral part of the mineralized matrix. Probably important to cell-matrix interaction.. Acts as a cytokine involved in enhancing production of interferon-gamma and interleukin-12 and reducing production of interleukin-10 and is essential in the pathway that leads to type I immunity.
See full target information SPP1

Product promise

We are committed to supporting your work with high-quality reagents, and we're here for you every step of the way. In the unlikely event that one of our products does not perform as expected, you're protected by our Product Promise.
For full details, please see our Terms & Conditions

Associated Products

Select an associated product type
Alternative Product
Primary Antibodies

AB181440

Anti-Osteopontin antibody - N-terminal

primary-antibodies

osteopontin-antibody-n-terminal-ab181440

0

(0 reviews)

Alternative Product
Primary Antibodies

AB166709

Anti-Osteopontin antibody [7C5H12]

primary-antibodies

osteopontin-antibody-7c5h12-ab166709

5

(2 reviews)

Alternative Product
Primary Antibodies

AB8448

Anti-Osteopontin antibody

primary-antibodies

osteopontin-antibody-ab8448

4

(14 reviews)

Alternative Product
Primary Antibodies

AB216406

Anti-Osteopontin antibody

primary-antibodies

osteopontin-antibody-ab216406

4

(2 reviews)

Alternative Product
Primary Antibodies

AB216402

Anti-Osteopontin antibody

primary-antibodies

osteopontin-antibody-ab216402

0

(0 reviews)

Alternative Product
Primary Antibodies

AB63856

Anti-Osteopontin antibody

primary-antibodies

osteopontin-antibody-ab63856

0

(1 reviews)

Alternative Product
Primary Antibodies

AB218237

Anti-Osteopontin antibody [EPR21138]

primary-antibodies

osteopontin-antibody-epr21138-ab218237

4

(1 reviews)

Alternative Product
Primary Antibodies

AB229854

Anti-Osteopontin antibody [EPR21138] - BSA and Azide free

primary-antibodies

osteopontin-antibody-epr21138-bsa-and-azide-free-ab229854

5

(1 reviews)

Alternative Product
Primary Antibodies

AB11503

Anti-Osteopontin antibody

primary-antibodies

osteopontin-antibody-ab11503

3

(1 reviews)

Alternative Version
Primary Antibodies

AB282279

Alexa Fluor® 594 Anti-Osteopontin antibody [EPR21139-316]

primary-antibodies

alexa-fluor-594-osteopontin-antibody-epr21139-316-ab282279

0

(0 reviews)

Alternative Version
Primary Antibodies

AB309603

Alexa Fluor® 555 Anti-Osteopontin antibody [EPR21139-316]

primary-antibodies

alexa-fluor-555-osteopontin-antibody-epr21139-316-ab309603

0

(0 reviews)

Please note: All products are 'FOR RESEARCH USE ONLY. NOT FOR USE IN DIAGNOSTIC OR THERAPEUTIC PROCEDURES'.

For licensing inquiries, please contact partnerships@abcam.com