JavaScript is disabled in your browser. Please enable JavaScript to view this website.
AB181440

Anti-Osteopontin antibody - N-terminal

Be the first to review this product! Submit a review

|

(10 Publications)

Rabbit Polyclonal Osteopontin antibody. N-terminal. Suitable for WB, IHC-P and reacts with Human samples. Cited in 10 publications. Immunogen corresponding to Synthetic Peptide within Human SPP1.

View Alternative Names

BNSP, OPN, PSEC0156, SPP1, Osteopontin, Bone sialoprotein 1, Nephropontin, Secreted phosphoprotein 1, Urinary stone protein, Uropontin, SPP-1

3 Images
Immunohistochemistry (Formalin/PFA-fixed paraffin-embedded sections) - Anti-Osteopontin antibody - N-terminal (AB181440)
  • IHC-P

Supplier Data

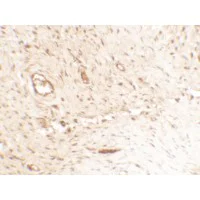
Immunohistochemistry (Formalin/PFA-fixed paraffin-embedded sections) - Anti-Osteopontin antibody - N-terminal (AB181440)

Immunohistochemical analysis of paraffin-embedded Human bladder tissue labeling Osteopontin with ab181440 at 20 μg/ml.

Immunohistochemistry (Formalin/PFA-fixed paraffin-embedded sections) - Anti-Osteopontin antibody - N-terminal (AB181440)
  • IHC-P

Supplier Data

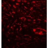
Immunohistochemistry (Formalin/PFA-fixed paraffin-embedded sections) - Anti-Osteopontin antibody - N-terminal (AB181440)

Immunohistochemical analysis of paraffin-embedded Human bladder tissue labeling Osteopontin with ab181440 at 5 μg/ml.

Western blot - Anti-Osteopontin antibody - N-terminal (AB181440)
  • WB

Supplier Data

Western blot - Anti-Osteopontin antibody - N-terminal (AB181440)

Lane 1:

Western blot - Anti-Osteopontin antibody - N-terminal (ab181440) at 1 µg/mL

Lane 2:

Western blot - Anti-Osteopontin antibody - N-terminal (ab181440) at 2 µg/mL

All lanes:

Human bladder tissue lysate at 15 µg

Predicted band size: 35 kDa

Observed band size: 37 kDa

false

Key facts

Host species

Rabbit

Clonality

Polyclonal

Isotype

IgG

Carrier free

No

Reacts with

Human

Applications

WB, IHC-P

applications

Immunogen

Synthetic Peptide within Human SPP1. The exact immunogen used to generate this antibody is proprietary information.

P10451

Reactivity data

{ "title": "Reactivity Data", "filters": { "stats": ["", "Species", "Dilution Info", "Notes"], "tabs": { "all-applications": {"fullname" : "All Applications", "shortname": "All Applications"}, "WB" : {"fullname" : "Western blot", "shortname":"WB"}, "IHCP" : {"fullname" : "Immunohistochemistry (Formalin/PFA-fixed paraffin-embedded sections)", "shortname":"IHC-P"} }, "product-promise": { "all": "all", "testedAndGuaranteed": "tested", "guaranteed": "expected", "predicted": "predicted", "notRecommended": "not-recommended" } }, "values": { "Human": { "WB-species-checked": "testedAndGuaranteed", "WB-species-dilution-info": "1-2 µg/mL", "WB-species-notes": "<p></p>", "IHCP-species-checked": "testedAndGuaranteed", "IHCP-species-dilution-info": "5-20 µg/mL", "IHCP-species-notes": "<p></p>" } } }

Properties and storage information

Form
Liquid
Purification technique
Affinity purification Protein A
Storage buffer
pH: 7.2 Preservative: 0.02% Sodium azide Constituents: PBS
Shipped at conditions
Blue Ice
Appropriate short-term storage duration
1-2 weeks
Appropriate short-term storage conditions
+4°C
Appropriate long-term storage conditions
-20°C
Aliquoting information
Upon delivery aliquot
Storage information
Avoid freeze / thaw cycle

Supplementary information

This supplementary information is collated from multiple sources and compiled automatically.

Osteopontin also known as OPN or secreted phosphoprotein 1 (SPP1) is a glycoprotein with a molecular weight of approximately 44 to 75 kDa depending on its post-translational modifications. Osteopontin is characteristically expressed in bone but is also present in various body tissues including kidney liver and immune system cells. This multifunctional protein interacts with cell surface receptors such as integrins and CD44 playing an important role in cell signaling and extracellular matrix interactions. Researchers often study it using osteopontin western blot or osteopontin ELISA kit to understand its expression patterns and roles.
Biological function summary

Osteopontin affects cell adhesion migration and survival. It does not form part of a known large complex but interacts closely with its integrin receptors. Osteopontin modulates immune responses and aids in bone remodeling by affecting osteoclast and osteoblast functions. It is also influential in inflammation processes where it orchestrates the recruitment and activation of macrophages. The osteopontin function is significant in both physiological processes and pathologies marking it as an important protein to study in numerous biological contexts.

Pathways

Osteopontin is integral to both the bone remodeling and immune response pathways. It collaborates with proteins like osteocalcin and matrix metalloproteinases within these processes. In the bone remodeling pathway osteopontin mediates communication between osteoclasts and osteoblasts impacting bone resorption and formation. In the immune response pathway it coordinates with cytokines such as interleukin-6 to modulate immune cell activities. Its roles in these pathways indicate its multifunctional nature and its impact across different biological systems.

Osteopontin links to cancer and cardiovascular diseases. It facilitates tumor progression and metastasis by interacting with proteins such as vascular endothelial growth factor (VEGF) and matrix metalloproteinase-9 (MMP-9). In cardiovascular diseases osteopontin influences atherosclerosis development through interactions with inflammatory cytokines and contributes to plaque stability. These disease associations highlight the importance of osteopontin as both a therapeutic target and a biomarker for disease progression and prognosis.

Product protocols

For this product, it's our understanding that no specific protocols are required. You can visit:

Target data

Major non-collagenous bone protein that binds tightly to hydroxyapatite. Appears to form an integral part of the mineralized matrix. Probably important to cell-matrix interaction.. Acts as a cytokine involved in enhancing production of interferon-gamma and interleukin-12 and reducing production of interleukin-10 and is essential in the pathway that leads to type I immunity.
See full target information SPP1

Publications (10)

Recent publications for all applications. Explore the full list and refine your search

Communications biology 5:1392 PubMed36539599

2022

ADAMTSL3 knock-out mice develop cardiac dysfunction and dilatation with increased TGFβ signalling after pressure overload.

Applications

Unspecified application

Species

Unspecified reactive species

Karoline B Rypdal,A Olav Melleby,Emma L Robinson,Jia Li,Sheryl Palmero,Deborah E Seifert,Daniel Martin,Catelyn Clark,Begoña López,Kristine Andreassen,Christen P Dahl,Ivar Sjaastad,Theis Tønnessen,Mathis K Stokke,William E Louch,Arantxa González,Stephane Heymans,Geir Christensen,Suneel S Apte,Ida G Lunde

Frontiers in cell and developmental biology 10:908126 PubMed36092718

2022

The female syndecan-4 heart has smaller cardiomyocytes, augmented insulin/pSer473-Akt/pSer9-GSK-3β signaling, and lowered SCOP, pThr308-Akt/Akt and GLUT4 levels.

Applications

Unspecified application

Species

Unspecified reactive species

Thea Parsberg Støle,Marianne Lunde,Xin Shen,Marita Martinsen,Per Kristian Lunde,Jia Li,Francesca Lockwood,Ivar Sjaastad,William Edward Louch,Jan Magnus Aronsen,Geir Christensen,Cathrine Rein Carlson

Journal of extracellular vesicles 11:e12203 PubMed35312232

2022

β-catenin-controlled tubular cell-derived exosomes play a key role in fibroblast activation via the OPN-CD44 axis.

Applications

Unspecified application

Species

Unspecified reactive species

Shuangqin Chen,Meijia Zhang,Jiemei Li,Jiewu Huang,Shan Zhou,Xiaotao Hou,Huiyun Ye,Xi Liu,Shaowei Xiang,Weiwei Shen,Jinhua Miao,Fan Fan Hou,Youhua Liu,Lili Zhou

Frontiers in cell and developmental biology 9:681790 PubMed34458254

2021

Osteopontin N-Terminal Function in an Abdominal Aortic Aneurysm From Apolipoprotein E-Deficient Mice.

Applications

Unspecified application

Species

Unspecified reactive species

Hongyang Liu,Ying Zhang,Wei Song,Yancui Sun,Yinong Jiang

Stem cells and development 30:441-457 PubMed33798004

2021

Effects of rhBMP-2 on Bone Formation Capacity of Rat Dental Stem/Progenitor Cells from Dental Follicle and Alveolar Bone Marrow.

Applications

Unspecified application

Species

Unspecified reactive species

Ling-Ling E,Rong Zhang,Chuan-Jie Li,Shuo Zhang,Xiao-Cao Ma,Rui Xiao,Hong-Chen Liu

Journal of the American Heart Association 9:e013518 PubMed32000579

2020

Syndecan-4 Protects the Heart From the Profibrotic Effects of Thrombin-Cleaved Osteopontin.

Applications

Unspecified application

Species

Unspecified reactive species

Kate M Herum,Andreas Romaine,Ariel Wang,Arne Olav Melleby,Mari E Strand,Julian Pacheco,Bjørn Braathen,Pontus Dunér,Theis Tønnessen,Ida G Lunde,Ivar Sjaastad,Cord Brakebusch,Andrew D McCulloch,Maria F Gomez,Cathrine R Carlson,Geir Christensen

The American journal of pathology 189:1831-1845 PubMed31199918

2019

Neutral Sphingomyelinase 2 (SMPD3) Deficiency in Mice Causes Chondrodysplasia with Unimpaired Skeletal Mineralization.

Applications

Unspecified application

Species

Unspecified reactive species

Wilhelm Stoffel,Ina Hammels,Britta Jenke,Inga Schmidt-Soltau,Anja Niehoff

PloS one 13:e0192709 PubMed29677209

2018

Osteopontin plays a pivotal role in increasing severity of respiratory syncytial virus infection.

Applications

Unspecified application

Species

Unspecified reactive species

Viviana Sampayo-Escobar,Ryan Green,Michael B Cheung,Raminder Bedi,Subhra Mohapatra,Shyam S Mohapatra

Cellular physiology and biochemistry : internation 41:1881-1893 PubMed28376475

2017

Osteopontin, Bone Morphogenetic Protein-4, and Vitamin D Receptor Gene Polymorphisms in the Susceptibility and Clinical Severity of Spinal Tuberculosis.

Applications

Unspecified application

Species

Unspecified reactive species

Guohua Wang,Liangyi Xie,Jianzhong Hu,Hongbin Lu,Xiangyang Liu,Yong Cao,Bin Liu,Yi Zhang,Xiongjie Shen

International journal of molecular medicine 39:135-143 PubMed28004120

2016

Genetic differences in osteogenic differentiation potency in the thoracic ossification of the ligamentum flavum under cyclic mechanical stress.

Applications

Unspecified application

Species

Unspecified reactive species

Shanglong Ning,Zhongqiang Chen,Dongwei Fan,Chuiguo Sun,Chi Zhang,Yan Zeng,Weishi Li,Xiaofei Hou,Xiaochen Qu,Yunlong Ma,Huilei Yu
View all publications

Product promise

We are committed to supporting your work with high-quality reagents, and we're here for you every step of the way. In the unlikely event that one of our products does not perform as expected, you're protected by our Product Promise.
For full details, please see our Terms & Conditions

Please note: All products are 'FOR RESEARCH USE ONLY. NOT FOR USE IN DIAGNOSTIC OR THERAPEUTIC PROCEDURES'.

For licensing inquiries, please contact partnerships@abcam.com