JavaScript is disabled in your browser. Please enable JavaScript to view this website.
AB283656

Anti-Osteopontin antibody [RM1018]

  • BOND RX™ Validated
  • 20ul selling size
  • RabMAb
  • Recombinant
  • What is this?

Be the first to review this product! Submit a review

|

(26 Publications)

Anti-Osteopontin antibody [RM1018] (ab283656) is a rabbit recombinant multiclonal antibody detecting Osteopontin in Western Blot, IP, IHC-P, ELISA. Suitable for Human, Mouse,.

- Biophysical QC for unrivalled batch-batch consistency

View Alternative Names

BNSP, OPN, PSEC0156, SPP1, Osteopontin, Bone sialoprotein 1, Nephropontin, Secreted phosphoprotein 1, Urinary stone protein, Uropontin, SPP-1

9 Images
Immunohistochemistry (Formalin/PFA-fixed paraffin-embedded sections) - Anti-Osteopontin antibody [RM1018] (AB283656)
  • IHC-P

Supplier Data

Immunohistochemistry (Formalin/PFA-fixed paraffin-embedded sections) - Anti-Osteopontin antibody [RM1018] (AB283656)

Immunohistochemical analysis of paraffin-embedded Human liver tissue labelling Osteopontin with ab283656 at 1/2000 (0.232 ug/ml) followed by a ready to use LeicaDS9800 (Bond™ Polymer Refine Detection). Positive staining on the bile ducts in human liver. The section was incubated with ab283656 for 30 mins at room temperature. The immunostaining was performed on a Leica Biosystems BOND® RX instrument Counterstained with Hematoxylin.

Secondary antibody only control : Secondary antibody is a ready to use LeicaDS9800 (Bond™ Polymer Refine Detection).

Heat mediated antigen retrieval with Tris-EDTA buffer (pH 9.0, epitope retrieval solution2) for 20 mins.

Immunohistochemistry (Formalin/PFA-fixed paraffin-embedded sections) - Anti-Osteopontin antibody [RM1018] (AB283656)
  • IHC-P

Supplier Data

Immunohistochemistry (Formalin/PFA-fixed paraffin-embedded sections) - Anti-Osteopontin antibody [RM1018] (AB283656)

Immunohistochemical analysis of paraffin-embedded Human kidney tissue labelling Osteopontin with ab283656 at 1/2000 (0.232 ug/ml) followed by a ready to use LeicaDS9800 (Bond™ Polymer Refine Detection). Positive staining on distal tubules in human kidney. The section was incubated with ab283656 for 30 mins at room temperature. The immunostaining was performed on a Leica Biosystems BOND® RX instrument Counterstained with Hematoxylin.

Secondary antibody only control : Secondary antibody is a ready to use LeicaDS9800 (Bond™ Polymer Refine Detection).

Heat mediated antigen retrieval with Tris-EDTA buffer (pH 9.0, epitope retrieval solution2) for 20 mins

Immunoprecipitation - Anti-Osteopontin antibody [RM1018] (AB283656)
  • IP

Supplier Data

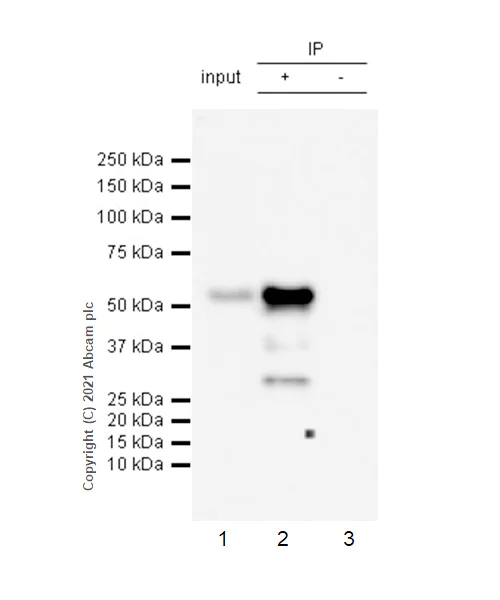
Immunoprecipitation - Anti-Osteopontin antibody [RM1018] (AB283656)

Osteopontin was immunoprecipitated from 0.35 mg Human kidney lysate 10ug with ab283656 at 1/30 dilution (2ug in 0.35mg lysates). Western blot was performed on the immunoprecipitate using ab283656 at 1/1000 dilution. VeriBlot for IP secondary antibody(HRP)(ab131366) was used at 1/5000 dilution.

Lane 1 : Human kidney lysate 10ug

Lane 2 : ab283656 IP in Human kidney lysate

Lane 3 : Rabbit monoclonal IgG (ab172730) instead of ab283656 in Human kidney lysate

Blocking and dilution buffer and concentration : 5% NFDM/TBST.

Exposure time : 1 min.

All lanes:

Immunoprecipitation - Anti-Osteopontin antibody [RM1018] (ab283656)

Predicted band size: 35 kDa

Observed band size: 60 kDa

false

Immunohistochemistry (Formalin/PFA-fixed paraffin-embedded sections) - Anti-Osteopontin antibody [RM1018] (AB283656)
  • IHC-P

Supplier Data

Immunohistochemistry (Formalin/PFA-fixed paraffin-embedded sections) - Anti-Osteopontin antibody [RM1018] (AB283656)

Immunohistochemical analysis of paraffin-embedded Mouse liver tissue labelling Osteopontin with ab283656 at 1/2000 (0.232 ug/ml) followed by a ready to use LeicaDS9800 (Bond™ Polymer Refine Detection). Positive staining on the bile ducts in mouse liver. The section was incubated with ab283656 for 30 mins at room temperature. The immunostaining was performed on a Leica Biosystems BOND® RX instrument Counterstained with Hematoxylin.

Secondary antibody only control : Secondary antibody is a ready to use LeicaDS9800 (Bond™ Polymer Refine Detection).

Heat mediated antigen retrieval with Tris-EDTA buffer (pH 9.0, epitope retrieval solution2) for 20 mins.

Immunoprecipitation - Anti-Osteopontin antibody [RM1018] (AB283656)
  • IP

Supplier Data

Immunoprecipitation - Anti-Osteopontin antibody [RM1018] (AB283656)

Osteopontin was immunoprecipitated from 0.35 mg RAW 264.7 (Mouse Abelson murine leukemia virus-induced tumor macrophage) treated with 100ng/ml LPS for 3h then add 300ng/ml BFA for another 3h whole cell lysate 10ug with ab283656 at 1/30 dilution (2ug in 0.35mg lysates). Western blot was performed on the immunoprecipitate using ab283656 at 1/1000 dilution. VeriBlot for IP secondary antibody(HRP)(ab131366) was used at 1/5000 dilution.

Lane 1 : RAW 264.7 (Mouse Abelson murine leukemia virus-induced tumor macrophage) treated with 100ng/ml LPS for 3h then add 300ng/ml BFA for another 3h whole cell lysate 10ug

Lane 2 : ab283656 IP in RAW 264.7 treated with 100ng/ml LPS for 3h then add 300ng/ml BFA for another 3h whole cell lysate

Lane 3 : Rabbit monoclonal IgG (ab172730) instead of ab283656 in RAW 264.7 treated with 100ng/ml LPS for 3h then add 300ng/ml BFA for another 3h whole cell lysate

Blocking and dilution buffer and concentration : 5% NFDM/TBST.

Exposure time : 32 seconds.

Lower bands should be MMP-cleaved Osteopontin. (PMID : 11375993)

All lanes:

Immunoprecipitation - Anti-Osteopontin antibody [RM1018] (ab283656)

Predicted band size: 35 kDa

Observed band size: 60 kDa

false

Western blot - Anti-Osteopontin antibody [RM1018] (AB283656)
  • WB

Lab

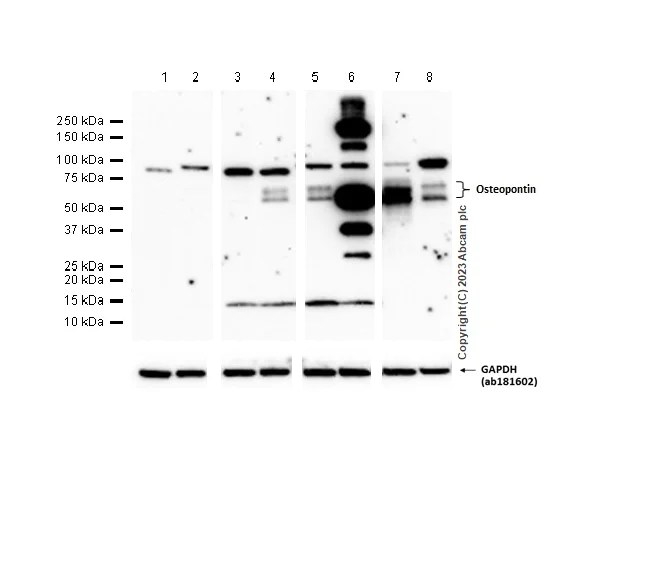
Western blot - Anti-Osteopontin antibody [RM1018] (AB283656)

Blocking and diluting buffer and concentration : 5% NFDM/TBST. ab181602 was used as a GAPDH loading control. This antibody is not recommended for use in WB with mouse tissue samples. We suggest treating cells with BFA which inhibits protein secretion.

All lanes:

Western blot - Anti-Osteopontin antibody [RM1018] (ab283656) at 1/1000 dilution

Lane 1:

Mouse kidney tissue lysate at 20 µg

Lane 2:

Mouse placenta tissue lysate at 20 µg

Lane 3:

RAW 264.7 (Mouse Abelson murine leukemia virus-induced tumor macrophage) whole cell lysate at 20 µg

Lane 4:

RAW 264.7 treated with 100ng/ml lipopolysaccharide (LPS) for 4h whole cell lysate at 20 µg

Lane 5:

RAW 264.7 treated with 1000ng/ml BFA for 3h whole cell lysate at 20 µg

Lane 6:

RAW 264.7 treated with 100ng/ml lipopolysaccharide (LPS) for 4h then add 1000ng/ml BFA for another 3h whole cell lysate at 20 µg

Lane 7:

Human kidney tissue lysate at 20 µg

Lane 8:

A549 (Human lung carcinoma epithelial cell) whole cell lysate at 20 µg

Secondary

All lanes:

Western blot - VeriBlot for IP Detection Reagent (HRP) (<a href='/en-us/products/reagents/veriblot-for-ip-detection-reagent-hrp-ab131366'>ab131366</a>) at 1/1000 dilution

Predicted band size: 35 kDa

Observed band size: 60 kDa

false

Exposure time: 180s

Western blot - Anti-Osteopontin antibody [RM1018] (AB283656)
  • WB

Lab

Western blot - Anti-Osteopontin antibody [RM1018] (AB283656)

Blocking and diluting buffer and concentration : 5% NFDM/TBST

The multiple bands observed are likely due to expression of different isoforms, as well as glycosylation (PMID : 8761944; PMID : 11375993; PMID : 8535240; PMID : 12890718).

Exposure time : 2 min.

All lanes:

Western blot - Anti-Osteopontin antibody [RM1018] (ab283656) at 1/1000 dilution

Lane 1:

Human kidney lysate at 20 µg

Lane 2:

MDA-MB-435S (Human mammary gland ductal carcinoma melanocyte) whole cell lysate at 20 µg

Secondary

All lanes:

Goat Anti-Rabbit IgG, (H+L), Peroxidase conjugated (<a href='/en-us/products/secondary-antibodies/goat-rabbit-igg-h-l-hrp-ab97051'>ab97051</a>) at 1/100000 dilution

Predicted band size: 35 kDa

Observed band size: 60 kDa

false

Western blot - Anti-Osteopontin antibody [RM1018] (AB283656)
  • WB

Lab

Western blot - Anti-Osteopontin antibody [RM1018] (AB283656)

Blocking and diluting buffer and concentration : 5% NFDM/TBST

Exposure time : 37 seconds.

All lanes:

Western blot - Anti-Osteopontin antibody [RM1018] (ab283656) at 1/1000 dilution

Lane 1:

RAW 264.7 (Mouse Abelson murine leukemia virus-induced tumor macrophage) whole cell lysate at 20 µg

Lane 2:

RAW 264.7 treated with 100ng/ml lipopolysaccharide (LPS) for 3h then add 300ng/ml BFA for another 3h whole cell lysate at 20 µg

Secondary

All lanes:

Goat Anti-Rabbit IgG, (H+L), Peroxidase conjugated (<a href='/en-us/products/secondary-antibodies/goat-rabbit-igg-h-l-hrp-ab97051'>ab97051</a>) at 1/100000 dilution

Predicted band size: 35 kDa

Observed band size: 60 kDa

false

Competitive ELISA - Anti-Osteopontin antibody [RM1018] (AB283656)
  • cELISA

Supplier Data

Competitive ELISA - Anti-Osteopontin antibody [RM1018] (AB283656)

ELISA using ab283656 at varying antibody concentrations and antigen concentration at 1000 ng/ml. An Alkaline Phosphatase-conjugated AffiniPure Goat Anti-Rabbit IgG (H+L) (1/2500) was used as the secondary antibody.

  • Carrier free

    Anti-Osteopontin antibody [RM1018] - BSA and Azide free

Key facts

Host species

Rabbit

Clonality

Multiclonal

Clone number

RM1018

Isotype

IgG

Carrier free

No

Reacts with

Mouse, Human

Applications

I-ELISA, WB, IHC-P, IP

applications

Immunogen

The exact immunogen used to generate this antibody is proprietary information.

Specificity

This antibody is not recommended for use in WB with mouse tissue samples.

Reactivity data

{ "title": "Reactivity Data", "filters": { "stats": ["", "Species", "Dilution Info", "Notes"], "tabs": { "all-applications": {"fullname" : "All Applications", "shortname": "All Applications"}, "IP" : {"fullname" : "Immunoprecipitation", "shortname":"IP"}, "WB" : {"fullname" : "Western blot", "shortname":"WB"}, "IELISA" : {"fullname" : "Indirect ELISA", "shortname":"I-ELISA"}, "ICCIF" : {"fullname" : "Immunocytochemistry/ Immunofluorescence", "shortname":"ICC/IF"}, "FlowCytIntra" : {"fullname" : "Flow Cytometry (Intracellular)", "shortname":"Flow Cyt (Intra)"}, "IHCFr" : {"fullname" : "Immunohistochemistry (Frozen sections)", "shortname":"IHC-Fr"}, "IHCP" : {"fullname" : "Immunohistochemistry (Formalin/PFA-fixed paraffin-embedded sections)", "shortname":"IHC-P"} }, "product-promise": { "all": "all", "testedAndGuaranteed": "tested", "guaranteed": "expected", "predicted": "predicted", "notRecommended": "not-recommended" } }, "values": { "Human": { "IP-species-checked": "testedAndGuaranteed", "IP-species-dilution-info": "1/30", "IP-species-notes": "<p></p>", "WB-species-checked": "testedAndGuaranteed", "WB-species-dilution-info": "1/1000", "WB-species-notes": "<p></p>", "IELISA-species-checked": "guaranteed", "IELISA-species-dilution-info": "", "IELISA-species-notes": "", "ICCIF-species-checked": "notRecommended", "ICCIF-species-dilution-info": "", "ICCIF-species-notes": "<p></p>", "FlowCytIntra-species-checked": "notRecommended", "FlowCytIntra-species-dilution-info": "", "FlowCytIntra-species-notes": "<p></p>", "IHCFr-species-checked": "notRecommended", "IHCFr-species-dilution-info": "", "IHCFr-species-notes": "", "IHCP-species-checked": "testedAndGuaranteed", "IHCP-species-dilution-info": "1/2000", "IHCP-species-notes": "<p></p>" }, "Mouse": { "IP-species-checked": "testedAndGuaranteed", "IP-species-dilution-info": "1/30", "IP-species-notes": "<p></p>", "WB-species-checked": "testedAndGuaranteed", "WB-species-dilution-info": "1/1000", "WB-species-notes": "<p></p>", "IELISA-species-checked": "guaranteed", "IELISA-species-dilution-info": "", "IELISA-species-notes": "", "ICCIF-species-checked": "notRecommended", "ICCIF-species-dilution-info": "", "ICCIF-species-notes": "<p></p>", "FlowCytIntra-species-checked": "notRecommended", "FlowCytIntra-species-dilution-info": "", "FlowCytIntra-species-notes": "<p></p>", "IHCFr-species-checked": "notRecommended", "IHCFr-species-dilution-info": "", "IHCFr-species-notes": "<p></p>", "IHCP-species-checked": "testedAndGuaranteed", "IHCP-species-dilution-info": "1/2000", "IHCP-species-notes": "<p></p>" }, "Rat": { "IP-species-checked": "notRecommended", "IP-species-dilution-info": "", "IP-species-notes": "", "WB-species-checked": "notRecommended", "WB-species-dilution-info": "", "WB-species-notes": "<p></p>", "IELISA-species-checked": "notRecommended", "IELISA-species-dilution-info": "", "IELISA-species-notes": "", "ICCIF-species-checked": "notRecommended", "ICCIF-species-dilution-info": "", "ICCIF-species-notes": "", "FlowCytIntra-species-checked": "notRecommended", "FlowCytIntra-species-dilution-info": "", "FlowCytIntra-species-notes": "", "IHCFr-species-checked": "notRecommended", "IHCFr-species-dilution-info": "", "IHCFr-species-notes": "<p></p>", "IHCP-species-checked": "notRecommended", "IHCP-species-dilution-info": "", "IHCP-species-notes": "<p></p>" }, "Recombinant fragment - Human": { "IP-species-checked": "notRecommended", "IP-species-dilution-info": "", "IP-species-notes": "", "WB-species-checked": "notRecommended", "WB-species-dilution-info": "", "WB-species-notes": "", "IELISA-species-checked": "testedAndGuaranteed", "IELISA-species-dilution-info": "0.06 µg/mL", "IELISA-species-notes": "<p></p>", "ICCIF-species-checked": "notRecommended", "ICCIF-species-dilution-info": "", "ICCIF-species-notes": "", "FlowCytIntra-species-checked": "notRecommended", "FlowCytIntra-species-dilution-info": "", "FlowCytIntra-species-notes": "", "IHCFr-species-checked": "notRecommended", "IHCFr-species-dilution-info": "", "IHCFr-species-notes": "", "IHCP-species-checked": "notRecommended", "IHCP-species-dilution-info": "", "IHCP-species-notes": "" }, "Recombinant fragment - Mouse": { "IP-species-checked": "notRecommended", "IP-species-dilution-info": "", "IP-species-notes": "", "WB-species-checked": "notRecommended", "WB-species-dilution-info": "", "WB-species-notes": "", "IELISA-species-checked": "testedAndGuaranteed", "IELISA-species-dilution-info": "0.06 µg/mL", "IELISA-species-notes": "<p></p>", "ICCIF-species-checked": "notRecommended", "ICCIF-species-dilution-info": "", "ICCIF-species-notes": "", "FlowCytIntra-species-checked": "notRecommended", "FlowCytIntra-species-dilution-info": "", "FlowCytIntra-species-notes": "", "IHCFr-species-checked": "notRecommended", "IHCFr-species-dilution-info": "", "IHCFr-species-notes": "", "IHCP-species-checked": "notRecommended", "IHCP-species-dilution-info": "", "IHCP-species-notes": "" } } }

Product details

What is this antibody validated in?
Anti-Osteopontin antibody [RM1018] (ab283656) is a rabbit recombinant recombinant multiclonal antibody and is validated for use in Western Blot (WB), Immunoprecipitation (IP), Immunohistochemistry (IHC-P), ELISA in Human, Mouse, samples.

What is the molecular weight of Osteopontin?
Anti-Osteopontin [RM1018] (ab283656) specifically detects a band for Osteopontin (UniProt: P10451) at a molecular weight of 35kDa.

Trial sizes available!
Test your antibody or perform pre-screening before committing to a larger quantity. Sold in 10µl. Discover our selection of trial-size antibodies.

Other related products
We have a range of other formats of antibody clone [RM1018] also available for your convenience: ab283656, Carrier free - ab283669

What are recombinant multiclonals?
Recombinant multiclonals are a mixture of recombinant antibodies co-expressed from a library of heavy and light chains. They offer several advantages including:

  • - The sensitivity of polyclonal antibodies by recognising multiple epitopes
  • - High batch-to-batch consistency and reproducibility
  • - Improved sensitivity and specificity
  • - Long-term security of supply
  • - Animal-free batch production

View our range of recombinant multiclonal antibodies.

Patented technology
Our RabMAb® technology is a patented hybridoma-based technology for making rabbit monoclonal antibodies. For details on our patents, please refer to RabMAb® patents.

Properties and storage information

Form
Liquid
Purification technique
Affinity purification Protein A
Storage buffer
pH: 7.2 - 7.4 Preservative: 0.01% Sodium azide Constituents: PBS, 40% Glycerol (glycerin, glycerine), 0.05% BSA
Shipped at conditions
Blue Ice
Appropriate short-term storage duration
1-2 weeks
Appropriate short-term storage conditions
+4°C
Appropriate long-term storage conditions
-20°C
Aliquoting information
Upon delivery aliquot
Storage information
Avoid freeze / thaw cycle

Supplementary information

This supplementary information is collated from multiple sources and compiled automatically.

Osteopontin also known as OPN or secreted phosphoprotein 1 (SPP1) is a glycoprotein with a molecular weight of approximately 44 to 75 kDa depending on its post-translational modifications. Osteopontin is characteristically expressed in bone but is also present in various body tissues including kidney liver and immune system cells. This multifunctional protein interacts with cell surface receptors such as integrins and CD44 playing an important role in cell signaling and extracellular matrix interactions. Researchers often study it using osteopontin western blot or osteopontin ELISA kit to understand its expression patterns and roles.
Biological function summary

Osteopontin affects cell adhesion migration and survival. It does not form part of a known large complex but interacts closely with its integrin receptors. Osteopontin modulates immune responses and aids in bone remodeling by affecting osteoclast and osteoblast functions. It is also influential in inflammation processes where it orchestrates the recruitment and activation of macrophages. The osteopontin function is significant in both physiological processes and pathologies marking it as an important protein to study in numerous biological contexts.

Pathways

Osteopontin is integral to both the bone remodeling and immune response pathways. It collaborates with proteins like osteocalcin and matrix metalloproteinases within these processes. In the bone remodeling pathway osteopontin mediates communication between osteoclasts and osteoblasts impacting bone resorption and formation. In the immune response pathway it coordinates with cytokines such as interleukin-6 to modulate immune cell activities. Its roles in these pathways indicate its multifunctional nature and its impact across different biological systems.

Osteopontin links to cancer and cardiovascular diseases. It facilitates tumor progression and metastasis by interacting with proteins such as vascular endothelial growth factor (VEGF) and matrix metalloproteinase-9 (MMP-9). In cardiovascular diseases osteopontin influences atherosclerosis development through interactions with inflammatory cytokines and contributes to plaque stability. These disease associations highlight the importance of osteopontin as both a therapeutic target and a biomarker for disease progression and prognosis.

Product protocols

For this product, it's our understanding that no specific protocols are required. You can visit:

Target data

Major non-collagenous bone protein that binds tightly to hydroxyapatite. Appears to form an integral part of the mineralized matrix. Probably important to cell-matrix interaction.. Acts as a cytokine involved in enhancing production of interferon-gamma and interleukin-12 and reducing production of interleukin-10 and is essential in the pathway that leads to type I immunity.
See full target information SPP1

Additional targets

Spp1

Publications (26)

Recent publications for all applications. Explore the full list and refine your search

Cell biology and toxicology 41:99 PubMed40493284

2025

SENP3 alleviates osteoporosis via promoting SIRT3 transcription through the increase of DLX2 stability via SUMO2/3.

Applications

Unspecified application

Species

Unspecified reactive species

Jie Bu,Xuezheng Xu,Yi Luo,Jianfan Liu,Feng Zhou

Bioactive materials 51:293-305 PubMed40487243

2025

Tryptophan-producing bacteria to mitigate osteoporosis and intestinal dysfunction.

Applications

Unspecified application

Species

Unspecified reactive species

Bo Tian,Heng Wang,Yue Zhang,Jinmin Lv,Dongxiao Li,Chenmeng Zhou,Jialu Xu,Yichao Ni,Bingbing Wu,Mingchao Zhang,Huaxing Dai,Fang Xu,Jinyu Bai,Chao Wang,Xiaozhong Zhou

Journal of biophotonics 18:e70051 PubMed40294940

2025

Mitochondrial Oxygen Consumption and Immunocytochemistry of Human Dental Pulp Stem Cell Following 808 nm PBM Therapy: A 3D Cell Culture Study.

Applications

Unspecified application

Species

Unspecified reactive species

Simone L Sleep,Eliza Ranjit,Jennifer Gunter,Deanne H Hryciw,Praveen Arany,Roy George

Journal of inflammation (London, England) 22:4 PubMed39856697

2025

The injury effect of osteopontin in sepsis-associated lung injury.

Applications

Unspecified application

Species

Unspecified reactive species

Qian Wang,Zhicai Yu,Zhixin Song,Xue Lu,Zhu Li,Dandan Pi,Jing Li,Feng Xu

Nutrients 16: PubMed39458447

2024

Aerobic Exercise Prevents High-Fat-Diet-Induced Adipose Tissue Dysfunction in Male Mice.

Applications

Unspecified application

Species

Unspecified reactive species

Qiaofeng Guo,Nan Li,Haiyan Shi,Yanming Gan,Weiqing Wang,Jiajie Jia,Yue Zhou

International journal of molecular sciences 25: PubMed39409192

2024

High-Throughput Transcriptomics Identifies Chemoresistance-Associated Gene Expression Signatures in Human Angiosarcoma.

Applications

Unspecified application

Species

Unspecified reactive species

Glenys Mai Shia Khor,Sara Haghani,Tiffany Rui En Tan,Elizabeth Chun Yong Lee,Bavani Kannan,Boon Yee Lim,Jing Yi Lee,Zexi Guo,Tun Kiat Ko,Jason Yongsheng Chan

Journal of lipid research 65:100657 PubMed39326787

2024

sEV-mediated lipid droplets transferred from bone marrow adipocytes promote ferroptosis and impair osteoblast function.

Applications

Unspecified application

Species

Unspecified reactive species

Weibo Huang,Feng Hua,Tong Su,Chenghao Zhou,Kangcheng Zhao,Dianwen Song

Regenerative biomaterials 11:rbae112 PubMed39323741

2024

Bone-targeting engineered milk-derived extracellular vesicles for MRI-assisted therapy of osteoporosis.

Applications

Unspecified application

Species

Unspecified reactive species

Qing Huang,Yang Jiang,Yang Cao,Yunchuan Ding,Jinghui Cai,Tingqian Yang,Xin Zhou,Qiang Wu,Danyang Li,Qingyu Liu,Fangping Li

iScience 27:110801 PubMed39310777

2024

Modifying MSCs-derived EVs with esterase-responsive and charge-reversal cationic polymers enhances bone regeneration.

Applications

Unspecified application

Species

Unspecified reactive species

Yihan Chen,Bang Li,Mukeshimana Christelle,Nshimiyimana Eugene,Wenjia Han,Hong Zhou,Nasha Qiu,Hengguo Zhang,Jianguang Xu

Journal of traditional Chinese medicine = Chung i tsa chih ying wen pan 44:762-769 PubMed39066537

2024

Tuina alleviates neuropathic pain through regulate the activation of microglia and the secretion of inflammatory cytokine in spinal cord.

Applications

Unspecified application

Species

Unspecified reactive species

W U Zhiwei,Zhu Qingguang,Kong Lingjun,Song Pengfei,Zhou Xin,Guo Guangxin,Zhang Shuaipan,H E Tianxiang,Cheng Yanbin,Fang Min
View all publications

Product promise

We are committed to supporting your work with high-quality reagents, and we're here for you every step of the way. In the unlikely event that one of our products does not perform as expected, you're protected by our Product Promise.
For full details, please see our Terms & Conditions

Please note: All products are 'FOR RESEARCH USE ONLY. NOT FOR USE IN DIAGNOSTIC OR THERAPEUTIC PROCEDURES'.

For licensing inquiries, please contact partnerships@abcam.com