JavaScript is disabled in your browser. Please enable JavaScript to view this website.
AB283669

Anti-Osteopontin antibody [RM1018] - BSA and Azide free

3

(2 Reviews)

|

(2 Publications)

Anti-Osteopontin antibody [RM1018] - BSA and Azide free (ab283669) is a rabbit recombinant recombinant multiclonal antibody in a PBS only buffer for easy conjugation detecting Osteopontin in Western Blot, IP, IHC-P, ELISA. Suitable for Human, Mouse,.

- BSA, sodium azide, and glycerol-free for easy conjugation
- Biophysical QC for unrivalled batch-batch consistency

View Alternative Names

BNSP, OPN, PSEC0156, SPP1, Osteopontin, Bone sialoprotein 1, Nephropontin, Secreted phosphoprotein 1, Urinary stone protein, Uropontin, SPP-1

9 Images
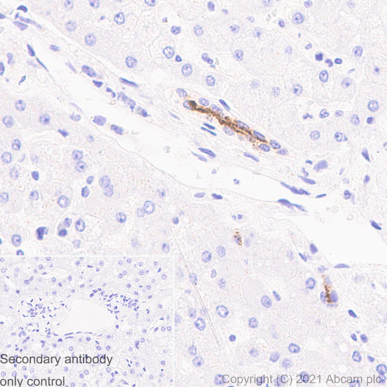
Immunohistochemistry (Formalin/PFA-fixed paraffin-embedded sections) - Anti-Osteopontin antibody [RM1018] - BSA and Azide free (AB283669)
  • IHC-P

Supplier Data

Immunohistochemistry (Formalin/PFA-fixed paraffin-embedded sections) - Anti-Osteopontin antibody [RM1018] - BSA and Azide free (AB283669)

This data was developed using ab283656, the same antibody clone in a different buffer formulation.

Immunohistochemical analysis of paraffin-embedded Human liver tissue labelling Osteopontin with ab283656 at 1/2000 (0.232 ug/ml) followed by a ready to use LeicaDS9800 (Bond™ Polymer Refine Detection). Positive staining on the bile ducts in human liver. The section was incubated with ab283656 for 30 mins at room temperature. The immunostaining was performed on a Leica Biosystems BOND® RX instrument Counterstained with Hematoxylin.

Secondary antibody only control : Secondary antibody is a ready to use LeicaDS9800 (Bond™ Polymer Refine Detection).

Heat mediated antigen retrieval with Tris-EDTA buffer (pH 9.0, epitope retrieval solution2) for 20 mins.

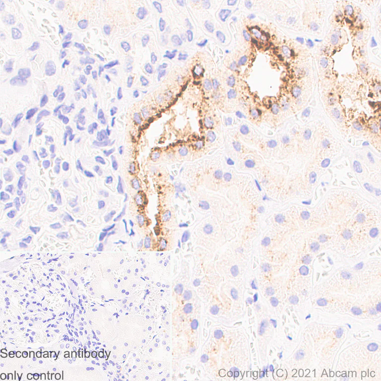
Immunohistochemistry (Formalin/PFA-fixed paraffin-embedded sections) - Anti-Osteopontin antibody [RM1018] - BSA and Azide free (AB283669)
  • IHC-P

Supplier Data

Immunohistochemistry (Formalin/PFA-fixed paraffin-embedded sections) - Anti-Osteopontin antibody [RM1018] - BSA and Azide free (AB283669)

This data was developed using ab283656, the same antibody clone in a different buffer formulation.

Immunohistochemical analysis of paraffin-embedded Human kidney tissue labelling Osteopontin with ab283656 at 1/2000 (0.232 ug/ml) followed by a ready to use LeicaDS9800 (Bond™ Polymer Refine Detection). Positive staining on distal tubules in human kidney. The section was incubated with ab283656 for 30 mins at room temperature. The immunostaining was performed on a Leica Biosystems BOND® RX instrument Counterstained with Hematoxylin.

Secondary antibody only control : Secondary antibody is a ready to use LeicaDS9800 (Bond™ Polymer Refine Detection).

Heat mediated antigen retrieval with Tris-EDTA buffer (pH 9.0, epitope retrieval solution2) for 20 mins.

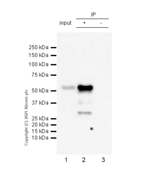
Immunoprecipitation - Anti-Osteopontin antibody [RM1018] - BSA and Azide free (AB283669)
  • IP

Supplier Data

Immunoprecipitation - Anti-Osteopontin antibody [RM1018] - BSA and Azide free (AB283669)

This data was developed using ab283656, the same antibody clone in a different buffer formulation.

Osteopontin was immunoprecipitated from 0.35 mg Human kidney lysate 10ug with ab283656 at 1/30 dilution (2ug in 0.35mg lysates). Western blot was performed on the immunoprecipitate using ab283656 at 1/1000 dilution. VeriBlot for IP secondary antibody(HRP)(ab131366) was used at 1/5000 dilution.

Lane 1 : Human kidney lysate 10ug

Lane 2 : ab283656 IP in Human kidney lysate

Lane 3 : Rabbit monoclonal IgG (ab172730) instead of ab283656 in Human kidney lysate

Blocking and dilution buffer and concentration : 5% NFDM/TBST.

Exposure time : 1 min.

All lanes:

Immunoprecipitation - Anti-Osteopontin antibody [RM1018] (<a href='/en-us/products/primary-antibodies/osteopontin-antibody-rm1018-ab283656'>ab283656</a>)

Predicted band size: 35 kDa

Observed band size: 60 kDa

false

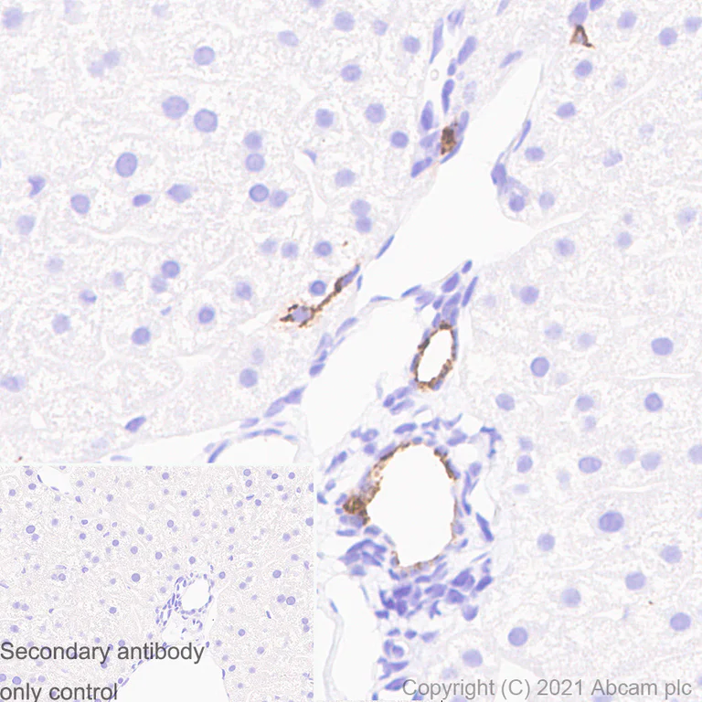
Immunohistochemistry (Formalin/PFA-fixed paraffin-embedded sections) - Anti-Osteopontin antibody [RM1018] - BSA and Azide free (AB283669)
  • IHC-P

Supplier Data

Immunohistochemistry (Formalin/PFA-fixed paraffin-embedded sections) - Anti-Osteopontin antibody [RM1018] - BSA and Azide free (AB283669)

This data was developed using ab283656, the same antibody clone in a different buffer formulation.

Immunohistochemical analysis of paraffin-embedded Mouse liver tissue labelling Osteopontin with ab283656 at 1/2000 (0.232 ug/ml) followed by a ready to use LeicaDS9800 (Bond™ Polymer Refine Detection). Positive staining on the bile ducts in mouse liver. The section was incubated with ab283656 for 30 mins at room temperature. The immunostaining was performed on a Leica Biosystems BOND® RX instrument Counterstained with Hematoxylin.

Secondary antibody only control : Secondary antibody is a ready to use LeicaDS9800 (Bond™ Polymer Refine Detection).

Heat mediated antigen retrieval with Tris-EDTA buffer (pH 9.0, epitope retrieval solution2) for 20 mins.

Immunoprecipitation - Anti-Osteopontin antibody [RM1018] - BSA and Azide free (AB283669)
  • IP

Supplier Data

Immunoprecipitation - Anti-Osteopontin antibody [RM1018] - BSA and Azide free (AB283669)

This data was developed using ab283656, the same antibody clone in a different buffer formulation.

Osteopontin was immunoprecipitated from 0.35 mg RAW 264.7 (Mouse Abelson murine leukemia virus-induced tumor macrophage) treated with 100ng/ml LPS for 3h then add 300ng/ml BFA for another 3h whole cell lysate 10ug with ab283656 at 1/30 dilution (2ug in 0.35mg lysates). Western blot was performed on the immunoprecipitate using ab283656 at 1/1000 dilution. VeriBlot for IP secondary antibody(HRP)(ab131366) was used at 1/5000 dilution.

Lane 1 : RAW 264.7 (Mouse Abelson murine leukemia virus-induced tumor macrophage) treated with 100ng/ml LPS for 3h then add 300ng/ml BFA for another 3h whole cell lysate 10ug

Lane 2 : ab283656 IP in RAW 264.7 treated with 100ng/ml LPS for 3h then add 300ng/ml BFA for another 3h whole cell lysate

Lane 3 : Rabbit monoclonal IgG (ab172730) instead of ab283656 in RAW 264.7 treated with 100ng/ml LPS for 3h then add 300ng/ml BFA for another 3h whole cell lysate

Blocking and dilution buffer and concentration : 5% NFDM/TBST.

Exposure time : 32 seconds.

Lower bands should be MMP-cleaved Osteopontin. (PMID : 11375993)

All lanes:

Immunoprecipitation - Anti-Osteopontin antibody [RM1018] (<a href='/en-us/products/primary-antibodies/osteopontin-antibody-rm1018-ab283656'>ab283656</a>)

Predicted band size: 35 kDa

Observed band size: 60 kDa

false

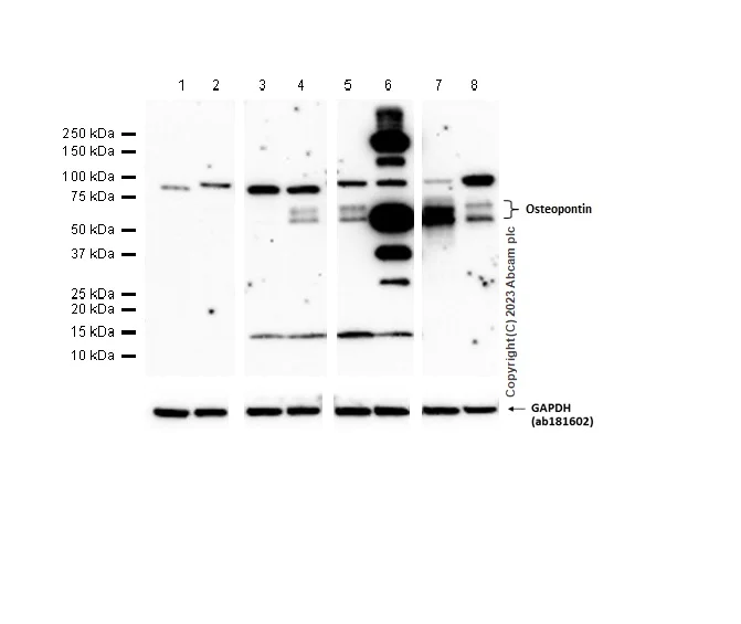
Western blot - Anti-Osteopontin antibody [RM1018] - BSA and Azide free (AB283669)
  • WB

Lab

Western blot - Anti-Osteopontin antibody [RM1018] - BSA and Azide free (AB283669)

This data was developed using ab283656, the same antibody clone in a different buffer formulation. Blocking and diluting buffer and concentration : 5% NFDM/TBST. ab181602 was used as a GAPDH loading control. This antibody is not recommended for use in WB with mouse tissue samples. We suggest treating cells with BFA which inhibits protein secretion.

All lanes:

Western blot - Anti-Osteopontin antibody [RM1018] (<a href='/en-us/products/primary-antibodies/osteopontin-antibody-rm1018-ab283656'>ab283656</a>) at 1/1000 dilution

Lane 1:

Mouse kidney tissue lysate at 20 µg

Lane 2:

Mouse placenta tissue lysate at 20 µg

Lane 3:

RAW 264.7 (Mouse Abelson murine leukemia virus-induced tumor macrophage) whole cell lysate at 20 µg

Lane 4:

RAW 264.7 treated with 100ng/ml lipopolysaccharide (LPS) for 4h whole cell lysate at 20 µg

Lane 5:

RAW 264.7 treated with 1000ng/ml BFA for 3h whole cell lysate at 20 µg

Lane 6:

RAW 264.7 treated with 100ng/ml lipopolysaccharide (LPS) for 4h then add 1000ng/ml BFA for another 3h whole cell lysate at 20 µg

Lane 7:

Human kidney tissue lysate at 20 µg

Lane 8:

A549 (Human lung carcinoma epithelial cell) whole cell lysate at 20 µg

Secondary

All lanes:

Western blot - VeriBlot for IP Detection Reagent (HRP) (<a href='/en-us/products/reagents/veriblot-for-ip-detection-reagent-hrp-ab131366'>ab131366</a>) at 1/1000 dilution

Predicted band size: 35 kDa

Observed band size: 60 kDa

false

Exposure time: 180s

Western blot - Anti-Osteopontin antibody [RM1018] - BSA and Azide free (AB283669)
  • WB

Lab

Western blot - Anti-Osteopontin antibody [RM1018] - BSA and Azide free (AB283669)

This data was developed using ab283656, the same antibody clone in a different buffer formulation.

Blocking and diluting buffer and concentration : 5% NFDM/TBST

The multiple bands observed are likely due to expression of different isoforms, as well as glycosylation (PMID : 8761944; PMID : 11375993; PMID : 8535240; PMID : 12890718).

Exposure time : 2 min.

All lanes:

Western blot - Anti-Osteopontin antibody [RM1018] (<a href='/en-us/products/primary-antibodies/osteopontin-antibody-rm1018-ab283656'>ab283656</a>) at 1/1000 dilution

Lane 1:

Human kidney lysate at 20 µg

Lane 2:

MDA-MB-435S (Human mammary gland ductal carcinoma melanocyte) whole cell lysate at 20 µg

Secondary

All lanes:

Goat Anti-Rabbit IgG, (H+L), Peroxidase conjugated (<a href='/en-us/products/secondary-antibodies/goat-rabbit-igg-h-l-hrp-ab97051'>ab97051</a>) at 1/100000 dilution

Predicted band size: 35 kDa

Observed band size: 60 kDa

false

Western blot - Anti-Osteopontin antibody [RM1018] - BSA and Azide free (AB283669)
  • WB

Lab

Western blot - Anti-Osteopontin antibody [RM1018] - BSA and Azide free (AB283669)

This data was developed using ab283656, the same antibody clone in a different buffer formulation.

Blocking and diluting buffer and concentration : 5% NFDM/TBST

Exposure time : 37 seconds.

All lanes:

Western blot - Anti-Osteopontin antibody [RM1018] (<a href='/en-us/products/primary-antibodies/osteopontin-antibody-rm1018-ab283656'>ab283656</a>) at 1/1000 dilution

Lane 1:

RAW 264.7 (Mouse Abelson murine leukemia virus-induced tumor macrophage) whole cell lysate at 20 µg

Lane 2:

RAW 264.7 treated with 100ng/ml lipopolysaccharide (LPS) for 3h then add 300ng/ml BFA for another 3h whole cell lysate at 20 µg

Secondary

All lanes:

Goat Anti-Rabbit IgG, (H+L), Peroxidase conjugated (<a href='/en-us/products/secondary-antibodies/goat-rabbit-igg-h-l-hrp-ab97051'>ab97051</a>) at 1/100000 dilution

Predicted band size: 35 kDa

Observed band size: 60 kDa

false

Competitive ELISA - Anti-Osteopontin antibody [RM1018] - BSA and Azide free (AB283669)
  • cELISA

Supplier Data

Competitive ELISA - Anti-Osteopontin antibody [RM1018] - BSA and Azide free (AB283669)

This data was developed using ab283656, the same antibody clone in a different buffer formulation.

ELISA using ab283656 at varying antibody concentrations and antigen concentration at 1000 ng/ml. An Alkaline Phosphatase-conjugated AffiniPure Goat Anti-Rabbit IgG (H+L) (1/2500) was used as the secondary antibody.

Key facts

Host species

Rabbit

Clonality

Multiclonal

Clone number

RM1018

Isotype

IgG

Carrier free

Yes

Reacts with

Human, Mouse

Applications

IHC-P, WB, IP, I-ELISA

applications

Immunogen

The exact immunogen used to generate this antibody is proprietary information.

Specificity

This antibody is not recommended for use in WB with mouse tissue samples.

Reactivity data

{ "title": "Reactivity Data", "filters": { "stats": ["", "Species", "Dilution Info", "Notes"], "tabs": { "all-applications": {"fullname" : "All Applications", "shortname": "All Applications"}, "IP" : {"fullname" : "Immunoprecipitation", "shortname":"IP"}, "IELISA" : {"fullname" : "Indirect ELISA", "shortname":"I-ELISA"}, "WB" : {"fullname" : "Western blot", "shortname":"WB"}, "IHCP" : {"fullname" : "Immunohistochemistry (Formalin/PFA-fixed paraffin-embedded sections)", "shortname":"IHC-P"}, "ICCIF" : {"fullname" : "Immunocytochemistry/ Immunofluorescence", "shortname":"ICC/IF"}, "IHCFr" : {"fullname" : "Immunohistochemistry (Frozen sections)", "shortname":"IHC-Fr"}, "FlowCytIntra" : {"fullname" : "Flow Cytometry (Intracellular)", "shortname":"Flow Cyt (Intra)"} }, "product-promise": { "all": "all", "testedAndGuaranteed": "tested", "guaranteed": "expected", "predicted": "predicted", "notRecommended": "not-recommended" } }, "values": { "Human": { "IP-species-checked": "testedAndGuaranteed", "IP-species-dilution-info": "", "IP-species-notes": "<p></p>", "IELISA-species-checked": "guaranteed", "IELISA-species-dilution-info": "", "IELISA-species-notes": "", "WB-species-checked": "testedAndGuaranteed", "WB-species-dilution-info": "", "WB-species-notes": "<p></p>", "IHCP-species-checked": "testedAndGuaranteed", "IHCP-species-dilution-info": "", "IHCP-species-notes": "<p></p>", "ICCIF-species-checked": "notRecommended", "ICCIF-species-dilution-info": "", "ICCIF-species-notes": "<p></p>", "IHCFr-species-checked": "notRecommended", "IHCFr-species-dilution-info": "", "IHCFr-species-notes": "", "FlowCytIntra-species-checked": "notRecommended", "FlowCytIntra-species-dilution-info": "", "FlowCytIntra-species-notes": "<p></p>" }, "Mouse": { "IP-species-checked": "testedAndGuaranteed", "IP-species-dilution-info": "", "IP-species-notes": "<p></p>", "IELISA-species-checked": "guaranteed", "IELISA-species-dilution-info": "", "IELISA-species-notes": "", "WB-species-checked": "testedAndGuaranteed", "WB-species-dilution-info": "", "WB-species-notes": "<p></p>", "IHCP-species-checked": "testedAndGuaranteed", "IHCP-species-dilution-info": "", "IHCP-species-notes": "<p></p>", "ICCIF-species-checked": "notRecommended", "ICCIF-species-dilution-info": "", "ICCIF-species-notes": "<p></p>", "IHCFr-species-checked": "notRecommended", "IHCFr-species-dilution-info": "", "IHCFr-species-notes": "<p></p>", "FlowCytIntra-species-checked": "notRecommended", "FlowCytIntra-species-dilution-info": "", "FlowCytIntra-species-notes": "<p></p>" }, "Rat": { "IP-species-checked": "notRecommended", "IP-species-dilution-info": "", "IP-species-notes": "", "IELISA-species-checked": "notRecommended", "IELISA-species-dilution-info": "", "IELISA-species-notes": "", "WB-species-checked": "notRecommended", "WB-species-dilution-info": "", "WB-species-notes": "<p></p>", "IHCP-species-checked": "notRecommended", "IHCP-species-dilution-info": "", "IHCP-species-notes": "<p></p>", "ICCIF-species-checked": "notRecommended", "ICCIF-species-dilution-info": "", "ICCIF-species-notes": "", "IHCFr-species-checked": "notRecommended", "IHCFr-species-dilution-info": "", "IHCFr-species-notes": "<p></p>", "FlowCytIntra-species-checked": "notRecommended", "FlowCytIntra-species-dilution-info": "", "FlowCytIntra-species-notes": "" }, "Recombinant fragment - Human": { "IP-species-checked": "notRecommended", "IP-species-dilution-info": "", "IP-species-notes": "", "IELISA-species-checked": "testedAndGuaranteed", "IELISA-species-dilution-info": "", "IELISA-species-notes": "<p></p>", "WB-species-checked": "notRecommended", "WB-species-dilution-info": "", "WB-species-notes": "", "IHCP-species-checked": "notRecommended", "IHCP-species-dilution-info": "", "IHCP-species-notes": "", "ICCIF-species-checked": "notRecommended", "ICCIF-species-dilution-info": "", "ICCIF-species-notes": "", "IHCFr-species-checked": "notRecommended", "IHCFr-species-dilution-info": "", "IHCFr-species-notes": "", "FlowCytIntra-species-checked": "notRecommended", "FlowCytIntra-species-dilution-info": "", "FlowCytIntra-species-notes": "" }, "Recombinant fragment - Mouse": { "IP-species-checked": "notRecommended", "IP-species-dilution-info": "", "IP-species-notes": "", "IELISA-species-checked": "testedAndGuaranteed", "IELISA-species-dilution-info": "", "IELISA-species-notes": "<p></p>", "WB-species-checked": "notRecommended", "WB-species-dilution-info": "", "WB-species-notes": "", "IHCP-species-checked": "notRecommended", "IHCP-species-dilution-info": "", "IHCP-species-notes": "", "ICCIF-species-checked": "notRecommended", "ICCIF-species-dilution-info": "", "ICCIF-species-notes": "", "IHCFr-species-checked": "notRecommended", "IHCFr-species-dilution-info": "", "IHCFr-species-notes": "", "FlowCytIntra-species-checked": "notRecommended", "FlowCytIntra-species-dilution-info": "", "FlowCytIntra-species-notes": "" } } }

Product details

What is this antibody validated in?
Anti-Osteopontin antibody [RM1018] - BSA and Azide free (ab283669) is a rabbit recombinant recombinant multiclonal antibody and is validated for use in Western Blot (WB), Immunoprecipitation (IP), Immunohistochemistry (IHC-P), ELISA in Human, Mouse, samples.

What is the molecular weight of Osteopontin?
Anti-Osteopontin [RM1018] - BSA and Azide free (ab283669) specifically detects a band for Osteopontin (UniProt: P10451) at a molecular weight of 35kDa.

Other related products
We have a range of other formats of antibody clone [RM1018] also available for your convenience: ab283656, Carrier free - ab283669

What are recombinant multiclonals?
Recombinant multiclonals are a mixture of recombinant antibodies co-expressed from a library of heavy and light chains. They offer several advantages including:

  • - The sensitivity of polyclonal antibodies by recognising multiple epitopes
  • - High batch-to-batch consistency and reproducibility
  • - Improved sensitivity and specificity
  • - Long-term security of supply
  • - Animal-free batch production

View our range of recombinant multiclonal antibodies.

Patented technology
Our RabMAb® technology is a patented hybridoma-based technology for making rabbit monoclonal antibodies. For details on our patents, please refer to RabMAb® patents.

Conjugation ready
Our carrier-free antibodies are typically supplied in a PBS-only formulation, purified and free of BSA, sodium azide and glycerol. This conjugation-ready format is designed for use with fluorochromes, metal isotopes, oligonucleotides, and enzymes, which makes them ideal for antibody labelling, functional and cell-based assays, flow-based assays (e.g. mass cytometry) and Multiplex Imaging applications.

Use our conjugation kits for antibody conjugates that are ready-to-use in as little as 20 minutes with 1 minute hands-on-time and 100% antibody recovery: available for fluorescent dyes, HRP, biotin and gold.

Compatibility
This product is compatible with the Maxpar® Antibody Labeling Kit from Fluidigm, without the need for antibody preparation. Maxpar® is a trademark of Fluidigm Canada Inc.

Properties and storage information

Form
Liquid
Purification technique
Affinity purification Protein A
Storage buffer
pH: 7.2 - 7.4 Constituents: PBS
Shipped at conditions
Blue Ice
Appropriate short-term storage conditions
+4°C
Appropriate long-term storage conditions
+4°C

Supplementary information

This supplementary information is collated from multiple sources and compiled automatically.

Osteopontin also known as OPN or secreted phosphoprotein 1 (SPP1) is a glycoprotein with a molecular weight of approximately 44 to 75 kDa depending on its post-translational modifications. Osteopontin is characteristically expressed in bone but is also present in various body tissues including kidney liver and immune system cells. This multifunctional protein interacts with cell surface receptors such as integrins and CD44 playing an important role in cell signaling and extracellular matrix interactions. Researchers often study it using osteopontin western blot or osteopontin ELISA kit to understand its expression patterns and roles.
Biological function summary

Osteopontin affects cell adhesion migration and survival. It does not form part of a known large complex but interacts closely with its integrin receptors. Osteopontin modulates immune responses and aids in bone remodeling by affecting osteoclast and osteoblast functions. It is also influential in inflammation processes where it orchestrates the recruitment and activation of macrophages. The osteopontin function is significant in both physiological processes and pathologies marking it as an important protein to study in numerous biological contexts.

Pathways

Osteopontin is integral to both the bone remodeling and immune response pathways. It collaborates with proteins like osteocalcin and matrix metalloproteinases within these processes. In the bone remodeling pathway osteopontin mediates communication between osteoclasts and osteoblasts impacting bone resorption and formation. In the immune response pathway it coordinates with cytokines such as interleukin-6 to modulate immune cell activities. Its roles in these pathways indicate its multifunctional nature and its impact across different biological systems.

Osteopontin links to cancer and cardiovascular diseases. It facilitates tumor progression and metastasis by interacting with proteins such as vascular endothelial growth factor (VEGF) and matrix metalloproteinase-9 (MMP-9). In cardiovascular diseases osteopontin influences atherosclerosis development through interactions with inflammatory cytokines and contributes to plaque stability. These disease associations highlight the importance of osteopontin as both a therapeutic target and a biomarker for disease progression and prognosis.

Product protocols

For this product, it's our understanding that no specific protocols are required. You can visit:

Target data

Major non-collagenous bone protein that binds tightly to hydroxyapatite. Appears to form an integral part of the mineralized matrix. Probably important to cell-matrix interaction.. Acts as a cytokine involved in enhancing production of interferon-gamma and interleukin-12 and reducing production of interleukin-10 and is essential in the pathway that leads to type I immunity.
See full target information SPP1

Publications (2)

Recent publications for all applications. Explore the full list and refine your search

Journal of molecular medicine (Berlin, Germany) 101:1323-1333 PubMed37698712

2023

SPP1/osteopontin: a driver of fibrosis and inflammation in degenerative ascending aortic aneurysm?

Applications

Unspecified application

Species

Unspecified reactive species

David Freiholtz,Otto Bergman,Sailendra Pradhananga,Karin Lång,Flore-Anne Poujade,Carl Granath,Christian Olsson,Anders Franco-Cereceda,Pelin Sahlén,Per Eriksson,Hanna M Björck

Journal of biomedical materials research. Part B, Applied biomaterials 110:1594-1603 PubMed35106922

2022

Magnesium promotes osteogenesis via increasing OPN expression and activating CaM/CaMKIV/CREB1 pathway.

Applications

Unspecified application

Species

Unspecified reactive species

Peng Hou,Yu Sun,Weichao Yang,Hongliu Wu,Luyuan Sun,Xinjie Xiu,Chaoyang Xiu,Xiaonong Zhang,Wen Zhang
View all publications

Product promise

We are committed to supporting your work with high-quality reagents, and we're here for you every step of the way. In the unlikely event that one of our products does not perform as expected, you're protected by our Product Promise.
For full details, please see our Terms & Conditions

Please note: All products are 'FOR RESEARCH USE ONLY. NOT FOR USE IN DIAGNOSTIC OR THERAPEUTIC PROCEDURES'.

For licensing inquiries, please contact partnerships@abcam.com