JavaScript is disabled in your browser. Please enable JavaScript to view this website.
AB183910

Anti-Osteoprotegerin antibody

Be the first to review this product! Submit a review

|

(44 Publications)

Rabbit Polyclonal Osteoprotegerin antibody. Suitable for WB, IHC-P and reacts with Mouse, Human, Rat samples. Cited in 44 publications. Immunogen corresponding to Synthetic Peptide within Human TNFRSF11B aa 1-100.

View Alternative Names

OCIF, OPG, TNFRSF11B, Tumor necrosis factor receptor superfamily member 11B, Osteoclastogenesis inhibitory factor, Osteoprotegerin

7 Images
Immunohistochemistry (Formalin/PFA-fixed paraffin-embedded sections) - Anti-Osteoprotegerin antibody (AB183910)
  • IHC-P

Supplier Data

Immunohistochemistry (Formalin/PFA-fixed paraffin-embedded sections) - Anti-Osteoprotegerin antibody (AB183910)

Immunohistochemical analysis of paraffin-embedded Cal27 xenograft labeling OPG with ab183910 at 1/500 dilution. Antigen Retrieval : EDTA based buffer, pH 8.0 for 15 min.

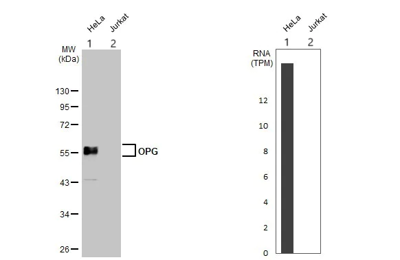
Western blot - Anti-Osteoprotegerin antibody (AB183910)
  • WB

Supplier Data

Western blot - Anti-Osteoprotegerin antibody (AB183910)

Samples were separated by 10 % SDS. The signal was developed with Trident ECL plus-Enhanced. Corresponding RNA expression data for the same cell lines are based on Human Protein Atlas program.

All lanes:

Western blot - Anti-Osteoprotegerin antibody (ab183910) at 1/1000 dilution

Lane 1:

HeLa whole cell extracts at 30 µg

Lane 2:

Jurkat whole cell extracts at 30 µg

Secondary

All lanes:

HRP-conjugated anti-rabbit IgG antibody

Predicted band size: 46 kDa

true

Western blot - Anti-Osteoprotegerin antibody (AB183910)
  • WB

Supplier Data

Western blot - Anti-Osteoprotegerin antibody (AB183910)

Samples were separated by 10 % SDS. The signal was developed with Trident ECL plus-Enhanced.

All lanes:

Western blot - Anti-Osteoprotegerin antibody (ab183910) at 1/1000 dilution

All lanes:

Human plasma at 30 µg

Secondary

All lanes:

HRP-conjugated anti-rabbit IgG antibody

Predicted band size: 46 kDa

true

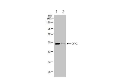
Western blot - Anti-Osteoprotegerin antibody (AB183910)
  • WB

Supplier Data

Western blot - Anti-Osteoprotegerin antibody (AB183910)

Samples were separated by 10 % SDS.

All lanes:

Western blot - Anti-Osteoprotegerin antibody (ab183910) at 1/1000 dilution

Lane 1:

MG-63 whole cell extract at 30 µg

Lane 2:

MG-63 whole cell extract in conditioned medium at 30 µg

Secondary

All lanes:

HRP-conjugated anti-rabbit IgG antibody

Predicted band size: 46 kDa

false

Western blot - Anti-Osteoprotegerin antibody (AB183910)
  • WB

Supplier Data

Western blot - Anti-Osteoprotegerin antibody (AB183910)

Samples were separated by 10 % SDS.

All lanes:

Western blot - Anti-Osteoprotegerin antibody (ab183910) at 1/1500 dilution

Lane 1:

Non-transfected 293T whole cell extracts at 30 µg

Lane 2:

Transfected 293T whole cell extracts at 30 µg

Secondary

All lanes:

HRP-conjugated anti-rabbit IgG antibody

Predicted band size: 46 kDa

false

Western blot - Anti-Osteoprotegerin antibody (AB183910)
  • WB

Supplier Data

Western blot - Anti-Osteoprotegerin antibody (AB183910)

Samples were separated by 10 % SDS.

All lanes:

Western blot - Anti-Osteoprotegerin antibody (ab183910) at 1/500 dilution

Lane 1:

PC-12 whole cell extracts at 30 µg

Lane 2:

Rat2 whole cell extracts at 30 µg

Secondary

All lanes:

HRP-conjugated anti-rabbit IgG antibody

Predicted band size: 46 kDa

false

Western blot - Anti-Osteoprotegerin antibody (AB183910)
  • WB

CiteAb

Western blot - Anti-Osteoprotegerin antibody (AB183910)

Osteoprotegerin western blot using anti-Osteoprotegerin antibody ab183910. Publication image and figure legend from Liu, W., Wang, Z., et al., 2019, Open Biol, PubMed 31088250.

ab183910 was used in this publication in western blot. This may not be the same as the application(s) guaranteed by Abcam. For a full list of applications guaranteed by Abcam for ab183910 please see the product overview.

Activation of mTORC1 in osteocytes stimulates RANKL expression and osteoclast formation in mice. (a) Representative images of TRAP staining of femora from 10-week-old control (DTCL) and Tsc1 CKO mice. The scale bars represent 50 μm. (b) Number of TRAP-positive osteoclasts (t-test, p = 0.0017, n = 6). (c) Western blot analysis of RANKL in bone lysates from DTCL and Tsc1 CKO mice (n = 6). (d–g) MLO-Y4 cells were infected with control shRNA lentivirus (shNC) and TSC1 shRNA lentivirus (ΔTSC1) for 72 h. (d) Representative images of lentivirus infection of MLO-Y4 cells. Scale bars, 50 μm. Western blot analysis of pS6, pS6K, RANKL and OPG (e) in MLO-Y4 cells infected with TSC1 shRNA lentivirus. qPCR analysis for (f) RANKL and (g) OPG mRNA levels (t-test, RANKL : p = 0.0054, OPG : p = 0.0171, n = 6). (h–j) MLO-Y4 cells were treated with 1 nM rapamycin (ΔR) and DMSO (vehicle) for 48 h, then cell lysates were subjected to immunoblot (h) and qPCR analysis for (i) RANKL and (j) OPG protein and mRNA levels, respectively (t-test, RANKL : p = 0.0003, OPG : p = 0.0220, n = 6). All experiments were repeated independently three times. Data are represented as mean ± s.d., *p < 0.05, **p < 0.01 and ***p < 0.001.

false

Key facts

Host species

Rabbit

Clonality

Polyclonal

Isotype

IgG

Carrier free

No

Reacts with

Mouse, Human, Rat

Applications

IHC-P, WB

applications

Immunogen

Synthetic Peptide within Human TNFRSF11B aa 1-100. The exact immunogen used to generate this antibody is proprietary information.

O00300

Reactivity data

{ "title": "Reactivity Data", "filters": { "stats": ["", "Species", "Dilution Info", "Notes"], "tabs": { "all-applications": {"fullname" : "All Applications", "shortname": "All Applications"}, "WB" : {"fullname" : "Western blot", "shortname":"WB"}, "IHCP" : {"fullname" : "Immunohistochemistry (Formalin/PFA-fixed paraffin-embedded sections)", "shortname":"IHC-P"} }, "product-promise": { "all": "all", "testedAndGuaranteed": "tested", "guaranteed": "expected", "predicted": "predicted", "notRecommended": "not-recommended" } }, "values": { "Human": { "WB-species-checked": "testedAndGuaranteed", "WB-species-dilution-info": "1/500 - 1/3000", "WB-species-notes": "<p></p>", "IHCP-species-checked": "testedAndGuaranteed", "IHCP-species-dilution-info": "1/100 - 1/1000", "IHCP-species-notes": "<p></p>" }, "Mouse": { "WB-species-checked": "testedAndGuaranteed", "WB-species-dilution-info": "1/500 - 1/3000", "WB-species-notes": "<p></p>", "IHCP-species-checked": "guaranteed", "IHCP-species-dilution-info": "", "IHCP-species-notes": "" }, "Rat": { "WB-species-checked": "testedAndGuaranteed", "WB-species-dilution-info": "1/500 - 1/3000", "WB-species-notes": "<p></p>", "IHCP-species-checked": "guaranteed", "IHCP-species-dilution-info": "", "IHCP-species-notes": "" } } }

Properties and storage information

Form
Liquid
Purification technique
Affinity purification Immunogen
Storage buffer
pH: 7 Preservative: 0.025% Proclin 300 Constituents: PBS, 20% Glycerol (glycerin, glycerine)
Shipped at conditions
Blue Ice
Appropriate short-term storage duration
1-2 weeks
Appropriate short-term storage conditions
+4°C
Appropriate long-term storage conditions
-20°C
Aliquoting information
Upon delivery aliquot
Storage information
Avoid freeze / thaw cycle

Supplementary information

This supplementary information is collated from multiple sources and compiled automatically.

Osteoprotegerin (OPG) also known as osteoclastogenesis inhibitory factor is a glycoprotein with a mass of approximately 60 kDa. It acts as a soluble decoy receptor for receptor activator of nuclear factor kappa-Β ligand (RANKL) and is encoded by the TNFRSF11B gene. OPG is mainly expressed in osteoblasts fibroblasts and endothelial cells. Its expression can be found in diverse tissues throughout the body including the liver and lungs.
Biological function summary

OPG inhibits the differentiation and activation of osteoclasts by binding to RANKL preventing its interaction with the receptor RANK on the surface of osteoclast progenitor cells. As part of a non-classical signaling pathway OPG plays a significant role in the regulation of bone remodeling and maintenance by controlling bone resorption. This activity preserves bone density and structure by limiting excessive osteoclastic activity.

Pathways

OPG operates within the RANK/RANKL/OPG signaling axis which is important for bone metabolism. It counteracts the bone-resorption pathway driven by the RANKL-RANK interaction inhibiting osteoclastogenesis. This axis involves interactions with other proteins such as RANK RANKL and TRAIL where TRAIL’s involvement hints towards a broader immune regulation role for OPG.

OPG has a significant association with conditions such as osteoporosis and vascular calcification. In osteoporosis an imbalance in the RANKL/OPG ratio can lead to excessive bone loss due to increased osteoclast activity. In vascular calcification OPG appears to play a protective role likely linked with regulatory mechanisms involving RANKL and TRAIL. Understanding these interactions opens potential therapeutic avenues particularly in managing bone-related and cardiovascular conditions.

Product protocols

For this product, it's our understanding that no specific protocols are required. You can visit:

Target data

Acts as a decoy receptor for TNFSF11/RANKL and thereby neutralizes its function in osteoclastogenesis. Inhibits the activation of osteoclasts and promotes osteoclast apoptosis in vitro. Bone homeostasis seems to depend on the local ratio between TNFSF11 and TNFRSF11B. May also play a role in preventing arterial calcification. May act as decoy receptor for TNFSF10/TRAIL and protect against apoptosis. TNFSF10/TRAIL binding blocks the inhibition of osteoclastogenesis.
See full target information TNFRSF11B

Publications (44)

Recent publications for all applications. Explore the full list and refine your search

PloS one 20:e0328459 PubMed40811619

2025

Early cellular events of osteomucosal healing in the tooth extraction socket.

Applications

Unspecified application

Species

Unspecified reactive species

Sol Kim,Minju Song,Drake Williams,Wen Du,Inwoo Cho,Eunbin Bae,Joey Kim,Ahana Goswami,Ki-Hyuk Shin,No-Hee Park,Reuben H Kim

Journal of orthopaedic surgery and research 20:478 PubMed40380204

2025

TNFRSF11B-modified umbilical cord mesenchymal stem cells as a novel strategy for bone-related diseases by suppressing osteoclast activity.

Applications

Unspecified application

Species

Unspecified reactive species

Mina Ding,Qian Ding,Zhijie Liu,Liang Wang,Ke Pei,Junyuan Hu,Yan Liao,Jian V Zhang

Materials today. Bio 28:101170 PubMed39211290

2024

Unveiling the governing role of 'remodeling triangle area' in soft-hard tissue interface equilibrium for metal implants advancement.

Applications

Unspecified application

Species

Unspecified reactive species

Shoucheng Chen,Guangqi Gao,Jiamin Shi,Na Li,Lv Xie,Yingye Zhang,Zhengjie Shan,Jiaxin Xie,Yin Xiao,Zhuofan Chen,Zetao Chen

STAR protocols 5:103186 PubMed39003746

2024

Protocol for evaluating the effects of large gradient high magnetic fields on osteocyte function.

Applications

Unspecified application

Species

Unspecified reactive species

Bin Zhang,Peng Shang

Cell death discovery 10:195 PubMed38670955

2024

Unraveling ferroptosis in osteogenic lineages: implications for dysregulated bone remodeling during periodontitis progression.

Applications

Unspecified application

Species

Unspecified reactive species

Yiqi Tang,Sihui Su,Rongcheng Yu,Chenxi Liao,Zhili Dong,Chengyao Jia,Vicky Yau,Liping Wu,Weimin Guo,Jinxuan Zheng

Aging 16:6334-6347 PubMed38575308

2024

45 activates SHP2 through inhibition of oxidative stress to regulate osteoblast and osteoclast differentiation.

Applications

Unspecified application

Species

Unspecified reactive species

Yaming Yang,Zheng Yan,Qi Xie,Yong Wang,Zhiying Liu,Min Lei

Chemical biology & drug design 103:e14380 PubMed37890873

2023

A novel link between melatonin and circ_0005753/PTBP1/TXNIP regulatory network in the modulation of osteogenic potential in mesenchymal stem cells.

Applications

Unspecified application

Species

Unspecified reactive species

Wei Tu,Shuying Zhu,Fan Li,Chengyun Xu,Weiping Tu,Yanxia Chen

Journal of clinical medicine 12: PubMed37762975

2023

Jaw Bone Invasion of Oral Squamous Cell Carcinoma Is Associated with Osteoclast Count and Expression of Its Regulating Proteins in Patients and Organoids.

Applications

Unspecified application

Species

Unspecified reactive species

Willem W B de Kort,Wisse E Haakma,Robert J J van Es,Debby Gawlitta,Else Driehuis,Merel Gansevoort,Stefan M Willems

iScience 26:107365 PubMed37554458

2023

Magneto-mechanical stimulation modulates osteocyte fate via the ECM-integrin-CSK axis and wnt pathway.

Applications

Unspecified application

Species

Unspecified reactive species

Bin Zhang,Xianglin Li,Xiaojie Zhou,ChenGe Lou,Shenghang Wang,Huanhuan Lv,Gejing Zhang,Yanwen Fang,Dachuan Yin,Peng Shang

Medicina (Kaunas, Lithuania) 59: PubMed37512126

2023

Radiation Induces Bone Microenvironment Disruption by Activating the STING-TBK1 Pathway.

Applications

Unspecified application

Species

Unspecified reactive species

Yuyang Wang,Li Ren,Linshan Xu,Jianping Wang,Jianglong Zhai,Guoying Zhu
View all publications

Product promise

We are committed to supporting your work with high-quality reagents, and we're here for you every step of the way. In the unlikely event that one of our products does not perform as expected, you're protected by our Product Promise.
For full details, please see our Terms & Conditions

Please note: All products are 'FOR RESEARCH USE ONLY. NOT FOR USE IN DIAGNOSTIC OR THERAPEUTIC PROCEDURES'.

For licensing inquiries, please contact partnerships@abcam.com