JavaScript is disabled in your browser. Please enable JavaScript to view this website.
AB309197

Anti-Otoferlin antibody [EPR28223-1]

  • BOND RX™ Validated
  • 20ul selling size
  • RabMAb
  • Recombinant
  • What is this?

Be the first to review this product! Submit a review

|

(1 Publication)

Rabbit Recombinant Monoclonal Otoferlin antibody. Suitable for IHC-P, WB, IHC-Fr and reacts with Transfected cell line - Mouse, Rat, Mouse samples. Cited in 1 publication.

View Alternative Names

Fer1l2, Otof, Otoferlin, Fer-1-like protein 2, Protein pachanga

9 Images
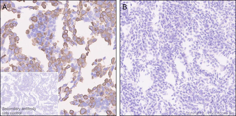
Immunohistochemistry (Formalin/PFA-fixed paraffin-embedded sections) - Anti-Otoferlin antibody [EPR28223-1] (AB309197)
  • IHC-P

Supplier Data

Immunohistochemistry (Formalin/PFA-fixed paraffin-embedded sections) - Anti-Otoferlin antibody [EPR28223-1] (AB309197)

Immunohistochemical analysis of paraffin-embedded (A) HEK-293T (human tissue labeling Otoferlin with ab309197 at 1/500 (1.072 ug/ml) followed by a ready to use Rabbit specific IHC polymer detection kit HRP/Dab (ab209101). Positive staining on (A) HEK-293T transfected with a mouse Otoferlin expression vector containing a his tag. No staining on (B) HEK-293T transfected with empty vector containing a his tagThe section was incubated with ab309197 for 30 mins at room temperature. The immunostaining was performed on a Leica Biosystems BOND® RX instrument Counterstained with Hematoxylin. Secondary antibody only control : Secondary antibody is a ready to use Rabbit specific IHC polymer detection kit HRP/Dab (ab209101). Heat mediated antigen retrieval was performed with Tris-EDTA buffer (pH 9.0, Epitope Retrieval Solution2) for 20 mins.

Immunohistochemistry (Formalin/PFA-fixed paraffin-embedded sections) - Anti-Otoferlin antibody [EPR28223-1] (AB309197)
  • IHC-P

Supplier Data

Immunohistochemistry (Formalin/PFA-fixed paraffin-embedded sections) - Anti-Otoferlin antibody [EPR28223-1] (AB309197)

Immunohistochemical analysis of paraffin-embedded Rat liver tissue labeling Otoferlin with ab309197 at 1/500 (1.072 ug/ml) followed by a ready to use Rabbit specific IHC polymer detection kit HRP/Dab (ab209101). Negative control : no staining on rat liver. The section was incubated with ab309197 for 30 mins at room temperature. The immunostaining was performed on a Leica Biosystems BOND® RX instrument Counterstained with Hematoxylin. Secondary antibody only control : Secondary antibody is a ready to use Rabbit specific IHC polymer detection kit HRP/Dab (ab209101). Heat mediated antigen retrieval was performed with Tris-EDTA buffer (pH 9.0, Epitope Retrieval Solution2) for 20 mins.

Immunohistochemistry (Formalin/PFA-fixed paraffin-embedded sections) - Anti-Otoferlin antibody [EPR28223-1] (AB309197)
  • IHC-P

Supplier Data

Immunohistochemistry (Formalin/PFA-fixed paraffin-embedded sections) - Anti-Otoferlin antibody [EPR28223-1] (AB309197)

Immunohistochemical analysis of paraffin-embedded Mouse cochlea tissue labeling Otoferlin with ab309197 at 1/500 (1.072 ug/ml) followed by a ready to use Rabbit specific IHC polymer detection kit HRP/Dab (ab209101). Positive staining on mouse cochlea inner hair cells (PMID : 17055430). The section was incubated with ab309197 for 30 mins at room temperature. The immunostaining was performed on a Leica Biosystems BOND® RX instrument Counterstained with Hematoxylin. Secondary antibody only control : Secondary antibody is a ready to use Rabbit specific IHC polymer detection kit HRP/Dab (ab209101). Heat mediated antigen retrieval was performed with Tris-EDTA buffer (pH 9.0, Epitope Retrieval Solution2) for 20 mins.

Immunohistochemistry (Frozen sections) - Anti-Otoferlin antibody [EPR28223-1] (AB309197)
  • IHC-Fr

Supplier Data

Immunohistochemistry (Frozen sections) - Anti-Otoferlin antibody [EPR28223-1] (AB309197)

Immunohistochemical analysis of 4% PFA-fixed, 0.2% Triton X-100 permeabilized frozen Rat cochlea tissue labeling Otoferlin with ab309197 at 1/100 (5.36 ug/ml) dilution followed by ab150081 Goat Anti-Rabbit IgG H&L (Alexa Fluor® 488) preadsorbed at 1/1000 2 ug/mL dilution (Green). Confocal image showing positive staining in hair cells on rat cochlea. The nuclear counterstain was DAPI (Blue). The section was incubated with ab309197 for 60 mins at room temperature. The section was then mounted using Fluoromount®. The immunostaining was performed on a Leica Biosystems BOND® RX instrument. The image was taken with a confocal microscope (Leica-Microsystems, TCS SP8). The nuclear counterstain was DAPI (Blue). Secondary antibody control : Secondary antibody is ab150081 Goat Anti-Rabbit IgG H&L (Alexa Fluor® 488) preadsorbed at 1/1000 2 ug/mL dilution. Heat mediated antigen retrieval using sodium citrate buffer (10mM citrate pH 6.0 + 0.05% Tween-20).

Immunohistochemistry (Formalin/PFA-fixed paraffin-embedded sections) - Anti-Otoferlin antibody [EPR28223-1] (AB309197)
  • IHC-P

Supplier Data

Immunohistochemistry (Formalin/PFA-fixed paraffin-embedded sections) - Anti-Otoferlin antibody [EPR28223-1] (AB309197)

Immunohistochemical analysis of paraffin-embedded Rat cochlea tissue labeling Otoferlin with ab309197 at 1/500 (1.072 ug/ml) followed by a ready to use Rabbit specific IHC polymer detection kit HRP/Dab (ab209101). Positive staining on rat cochlea inner hair cells. The section was incubated with ab309197 for 30 mins at room temperature. The immunostaining was performed on a Leica Biosystems BOND® RX instrument Counterstained with Hematoxylin. Secondary antibody only control : Secondary antibody is a ready to use Rabbit specific IHC polymer detection kit HRP/Dab (ab209101). Heat mediated antigen retrieval was performed with Tris-EDTA buffer (pH 9.0, Epitope Retrieval Solution2) for 20 mins.

Immunohistochemistry (Frozen sections) - Anti-Otoferlin antibody [EPR28223-1] (AB309197)
  • IHC-Fr

Supplier Data

Immunohistochemistry (Frozen sections) - Anti-Otoferlin antibody [EPR28223-1] (AB309197)

Immunohistochemical analysis of 4% PFA-fixed, 0.2% Triton X-100 permeabilized frozen Mouse cochlea tissue labeling Otoferlin with ab309197 at 1/100 (5.36 ug/ml) dilution followed by ab150081 Goat Anti-Rabbit IgG H&L (Alexa Fluor® 488) preadsorbed at 1/1000 2 ug/mL dilution (Green). Confocal image showing positive staining in hair cells on mouse cochlea. The nuclear counterstain was DAPI (Blue). The section was incubated with ab309197 for 60 mins at room temperature. The section was then mounted using Fluoromount®. The immunostaining was performed on a Leica Biosystems BOND® RX instrument. The image was taken with a confocal microscope (Leica-Microsystems, TCS SP8). The nuclear counterstain was DAPI (Blue). Secondary antibody control : Secondary antibody is ab150081 Goat Anti-Rabbit IgG H&L (Alexa Fluor® 488) preadsorbed at 1/1000 2 ug/mL dilution. Heat mediated antigen retrieval using sodium citrate buffer (10mM citrate pH 6.0 + 0.05% Tween-20).

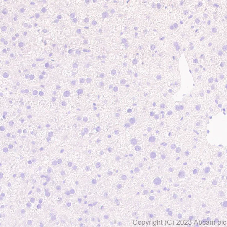
Immunohistochemistry (Formalin/PFA-fixed paraffin-embedded sections) - Anti-Otoferlin antibody [EPR28223-1] (AB309197)
  • IHC-P

Supplier Data

Immunohistochemistry (Formalin/PFA-fixed paraffin-embedded sections) - Anti-Otoferlin antibody [EPR28223-1] (AB309197)

Immunohistochemical analysis of paraffin-embedded Mouse liver tissue labeling Otoferlin with ab309197 at 1/500 (1.072 ug/ml) followed by a ready to use Rabbit specific IHC polymer detection kit HRP/Dab (ab209101). Negative control : no staining on mouse liver. The section was incubated with ab309197 for 30 mins at room temperature. The immunostaining was performed on a Leica Biosystems BOND® RX instrument Counterstained with Hematoxylin. Secondary antibody only control : Secondary antibody is a ready to use Rabbit specific IHC polymer detection kit HRP/Dab (ab209101). Heat mediated antigen retrieval was performed with Tris-EDTA buffer (pH 9.0, Epitope Retrieval Solution2) for 20 mins.

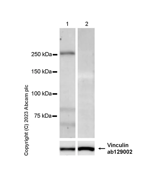
Western blot - Anti-Otoferlin antibody [EPR28223-1] (AB309197)
  • WB

Supplier Data

Western blot - Anti-Otoferlin antibody [EPR28223-1] (AB309197)

Blocking and diluting buffer and concentration : 5% NFDM/TBST Negative control : liver (PMID : 10192385). In Western blot, anti- Vinculin antibody (ab129002) loading control staining at 1/10000 dilution. Exposure time : 180 seconds

Lane 1:

Mouse brain tissue lysate at 50 µg

Lane 2:

Mouse liver tissue lysate

Observed band size: 250 kDa

false

Exposure time: 180s

Western blot - Anti-Otoferlin antibody [EPR28223-1] (AB309197)
  • WB

Supplier Data

Western blot - Anti-Otoferlin antibody [EPR28223-1] (AB309197)

Blocking and diluting buffer and concentration : 5% NFDM/TBST Negative control : liver (PMID : 10192385). In Western blot, anti- Vinculin antibody (ab129002) loading control staining at 1/10000 dilution. Exposure time : 180 seconds

All lanes:

Western blot - Anti-Otoferlin antibody [EPR28223-1] (ab309197) at 1/1000 dilution

Lane 1:

Rat brain tissue lysate at 50 µg

Lane 2:

Rat liver tissue lysate at 50 µg

Secondary

All lanes:

Western blot - Goat Anti-Rabbit IgG H&L (HRP) (<a href='/en-us/products/secondary-antibodies/goat-rabbit-igg-h-l-hrp-ab97051'>ab97051</a>) at 1/20000 dilution

Observed band size: 250 kDa

false

Exposure time: 180s

Key facts

Host species

Rabbit

Clonality

Monoclonal

Clone number

EPR28223-1

Isotype

IgG

Carrier free

No

Reacts with

Rat, Mouse

Applications

WB, IHC-P, IHC-Fr

applications

Immunogen

The exact immunogen used to generate this antibody is proprietary information.

Reactivity data

{ "title": "Reactivity Data", "filters": { "stats": ["", "Species", "Dilution Info", "Notes"], "tabs": { "all-applications": {"fullname" : "All Applications", "shortname": "All Applications"}, "IHCP" : {"fullname" : "Immunohistochemistry (Formalin/PFA-fixed paraffin-embedded sections)", "shortname":"IHC-P"}, "WB" : {"fullname" : "Western blot", "shortname":"WB"}, "IHCFr" : {"fullname" : "Immunohistochemistry (Frozen sections)", "shortname":"IHC-Fr"}, "IP" : {"fullname" : "Immunoprecipitation", "shortname":"IP"} }, "product-promise": { "all": "all", "testedAndGuaranteed": "tested", "guaranteed": "expected", "predicted": "predicted", "notRecommended": "not-recommended" } }, "values": { "Human": { "IHCP-species-checked": "notRecommended", "IHCP-species-dilution-info": "", "IHCP-species-notes": "<p></p>", "WB-species-checked": "notRecommended", "WB-species-dilution-info": "", "WB-species-notes": "<p></p>", "IHCFr-species-checked": "notRecommended", "IHCFr-species-dilution-info": "", "IHCFr-species-notes": "", "IP-species-checked": "notRecommended", "IP-species-dilution-info": "", "IP-species-notes": "" }, "Mouse": { "IHCP-species-checked": "guaranteed", "IHCP-species-dilution-info": "", "IHCP-species-notes": "", "WB-species-checked": "testedAndGuaranteed", "WB-species-dilution-info": "1/1000", "WB-species-notes": "<p></p>", "IHCFr-species-checked": "testedAndGuaranteed", "IHCFr-species-dilution-info": "1/100", "IHCFr-species-notes": "<p>Heat mediated antigen retrieval using sodium citrate buffer (10mM citrate pH 6.0 + 0.05% Tween-20).</p> Perform heat-mediated antigen retrieval with Tris/EDTA buffer pH 9.0 before commencing with IHC staining protocol.", "IP-species-checked": "notRecommended", "IP-species-dilution-info": "", "IP-species-notes": "<p></p>" }, "Rat": { "IHCP-species-checked": "testedAndGuaranteed", "IHCP-species-dilution-info": "1/500", "IHCP-species-notes": "<p></p> Perform heat-mediated antigen retrieval with Tris/EDTA buffer pH 9.0 before commencing with IHC staining protocol.", "WB-species-checked": "testedAndGuaranteed", "WB-species-dilution-info": "1/1000", "WB-species-notes": "<p></p>", "IHCFr-species-checked": "testedAndGuaranteed", "IHCFr-species-dilution-info": "1/100", "IHCFr-species-notes": "<p>Heat mediated antigen retrieval using sodium citrate buffer (10mM citrate pH 6.0 + 0.05% Tween-20).</p>", "IP-species-checked": "notRecommended", "IP-species-dilution-info": "", "IP-species-notes": "" }, "Transfected cell line - Mouse": { "IHCP-species-checked": "testedAndGuaranteed", "IHCP-species-dilution-info": "1/500", "IHCP-species-notes": "<p></p> Perform heat-mediated antigen retrieval with Tris/EDTA buffer pH 9.0 before commencing with IHC staining protocol.", "WB-species-checked": "notRecommended", "WB-species-dilution-info": "", "WB-species-notes": "", "IHCFr-species-checked": "notRecommended", "IHCFr-species-dilution-info": "", "IHCFr-species-notes": "", "IP-species-checked": "notRecommended", "IP-species-dilution-info": "", "IP-species-notes": "" } } }

Product details

Patented technology
Our RabMAb® technology is a patented hybridoma-based technology for making rabbit monoclonal antibodies. For details on our patents, please refer to RabMAb® patents.

What are the advantages of a recombinant monoclonal antibody?
This product is a recombinant monoclonal antibody, which offers several advantages including:

  • - High batch-to-batch consistency and reproducibility
  • - Improved sensitivity and specificity
  • - Long-term security of supply
  • - Animal-free batch production

For more information, read more on recombinant antibodies.

Properties and storage information

Form
Liquid
Purification technique
Affinity purification Protein A
Storage buffer
pH: 7.2 - 7.4 Preservative: 0.01% Sodium azide Constituents: PBS, 40% Glycerol (glycerin, glycerine), 0.05% BSA
Shipped at conditions
Blue Ice
Appropriate short-term storage duration
1-2 weeks
Appropriate short-term storage conditions
+4°C
Appropriate long-term storage conditions
-20°C
Aliquoting information
Upon delivery aliquot
Storage information
Avoid freeze / thaw cycle

Supplementary information

This supplementary information is collated from multiple sources and compiled automatically.

The otoferlin protein also known as OTOF plays an important mechanical role in the auditory system by serving as an important synaptic vesicle component for neurotransmitter release in inner hair cells of the cochlea. It has a molecular mass of approximately 230 kDa. Otoferlin is expressed primarily in the cochlea particularly in the sensory hair cells essential for hearing. Its functionality hinges on its capacity to serve as a calcium-sensor facilitating the rapid exocytosis of neurotransmitter-filled vesicles at the synaptic ribbon.
Biological function summary

Otoferlin contributes to sound perception by coordinating the timely release of synaptic vesicles that transmit auditory signals to the brain. It is part of a complex network within the auditory pathway interacting with other proteins important for synaptic function including synaptotagmin. Significant for its role in calcium-binding otoferlin participates in the fine-tuning of synaptic transmission ensuring efficient signaling required for precise auditory processing.

Pathways

Otoferlin is integral to the auditory signaling pathways especially the cochlear nerve pathway responsible for conveying sound information to the brain. It actively participates in vesicular trafficking and synaptic vesicle cycle ensuring high fidelity auditory signal transduction. Otoferlin works closely with proteins such as synaptophysin and syntaxin which are involved in the vesicle fusion process highlighting its role in facilitating efficient neurotransmitter release.

Otoferlin has a significant association with auditory processing conditions. Mutations in the otoferlin gene lead to severe-to-profound hereditary hearing loss specifically a form of non-syndromic autosomal recessive hearing impairment (DFNB9). Through this condition otoferlin has connections to proteins involved in synaptic vesicle recycling malfunctions contributing to auditory neuropathy. Additionally otoferlin-related dysfunction implicates it in conditions affecting synaptic transmission stability which are vital considerations in therapeutic strategies for hearing loss.

Product protocols

For this product, it's our understanding that no specific protocols are required. You can visit:

Target data

Key calcium ion sensor involved in the Ca(2+)-triggered synaptic vesicle-plasma membrane fusion and in the control of neurotransmitter release at these output synapses. Interacts in a calcium-dependent manner to the presynaptic SNARE proteins at ribbon synapses of cochlear inner hair cells (IHCs) to trigger exocytosis of neurotransmitter. Also essential to synaptic exocytosis in immature outer hair cells (OHCs). May also play a role within the recycling of endosomes.
See full target information Otof

Publications (1)

Recent publications for all applications. Explore the full list and refine your search

European journal of histochemistry : EJH 69: PubMed40984791

2025

Expression of nestin, parvalbumin and otoferlin during cochlear development in the mouse: an immunofluorescence study.

Applications

Unspecified application

Species

Unspecified reactive species

Wenjing Liu,Yongchun Zhang,Cheng Liang,Shujuan Yang
View all publications

Product promise

We are committed to supporting your work with high-quality reagents, and we're here for you every step of the way. In the unlikely event that one of our products does not perform as expected, you're protected by our Product Promise.
For full details, please see our Terms & Conditions

Please note: All products are 'FOR RESEARCH USE ONLY. NOT FOR USE IN DIAGNOSTIC OR THERAPEUTIC PROCEDURES'.

For licensing inquiries, please contact partnerships@abcam.com