JavaScript is disabled in your browser. Please enable JavaScript to view this website.
AB254267

Anti-OTP antibody [EPR22178-17]

Be the first to review this product! Submit a review

|

(2 Publications)

Rabbit Recombinant Monoclonal OTP antibody. Suitable for IHC-P and reacts with Human samples. Cited in 2 publications.

View Alternative Names

Homeobox protein orthopedia, OTP

4 Images
Immunohistochemistry (Formalin/PFA-fixed paraffin-embedded sections) - Anti-OTP antibody [EPR22178-17] (AB254267)
  • IHC-P

Unknown

Immunohistochemistry (Formalin/PFA-fixed paraffin-embedded sections) - Anti-OTP antibody [EPR22178-17] (AB254267)

Immunohistochemical analysis of paraffin-embedded human lung squamous cell carcinoma tissue labeling OTP with ab254267 at 1/4000 dilution (0.113μg/ml) followed by a ready to use Goat Anti-Rabbit IgG H&L (HRP). Negative control : No staining in human lung squamous cell carcinoma (PMID : 26927888) is observed. The expression of the target is developmental stage-specific and type-specific for lung cancer. Counterstained with hematoxylin.

Secondary antibody only control : Secondary antibody is a ready to use Goat Anti-Rabbit IgG H&L (HRP).

Heat mediated antigen retrieval using ab93684 (Tris/EDTA buffer, pH 9.0).

Immunohistochemistry (Formalin/PFA-fixed paraffin-embedded sections) - Anti-OTP antibody [EPR22178-17] (AB254267)
  • IHC-P

Unknown

Immunohistochemistry (Formalin/PFA-fixed paraffin-embedded sections) - Anti-OTP antibody [EPR22178-17] (AB254267)

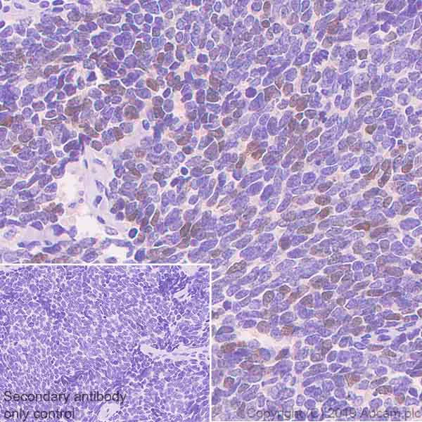
Immunohistochemical analysis of paraffin-embedded human lung carcinoid tissue labeling OTP with ab254267 at 1/4000 dilution (0.113μg/ml) followed by a ready to use Goat Anti-Rabbit IgG H&L (HRP). Nuclear staining in human lung carcinoid (PMID : 30284410, 29316326) is observed. The expression of the target is developmental stage-specific and type-specific for lung cancer. Counterstained with hematoxylin.

Secondary antibody only control : Secondary antibody is a ready to use Goat Anti-Rabbit IgG H&L (HRP).

Heat mediated antigen retrieval using ab93684 (Tris/EDTA buffer, pH 9.0).

Immunohistochemistry (Formalin/PFA-fixed paraffin-embedded sections) - Anti-OTP antibody [EPR22178-17] (AB254267)
  • IHC-P

Unknown

Immunohistochemistry (Formalin/PFA-fixed paraffin-embedded sections) - Anti-OTP antibody [EPR22178-17] (AB254267)

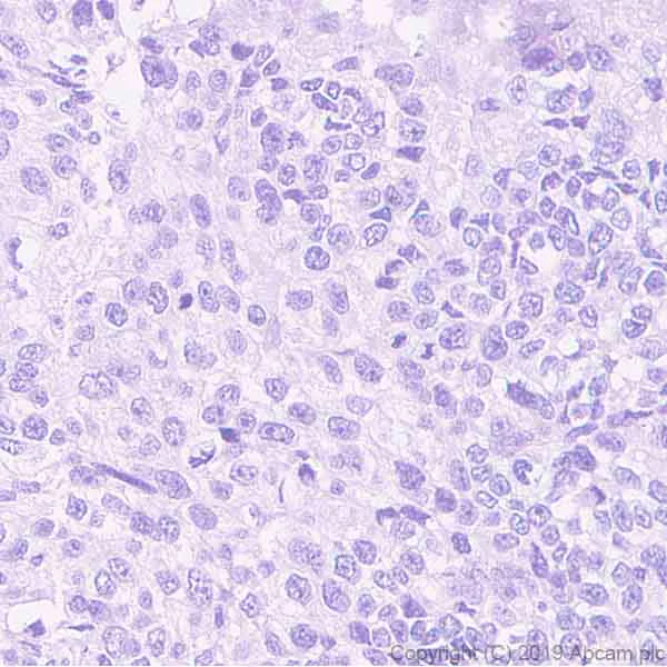
Immunohistochemical analysis of paraffin-embedded human lung small cell carcinoma tissue labeling OTP with ab254267 at 1/4000 dilution (0.113μg/ml) followed by a ready to use Goat Anti-Rabbit IgG H&L (HRP). Nuclear staining in human lung small cell carcinoma (PMID : 26927888) is observed. The expression of the target is developmental stage-specific and type-specific for lung cancer. Counterstained with hematoxylin.

Secondary antibody only control : Secondary antibody is a ready to use Goat Anti-Rabbit IgG H&L (HRP).

Heat mediated antigen retrieval using ab93684 (Tris/EDTA buffer, pH 9.0).

Immunohistochemistry (Formalin/PFA-fixed paraffin-embedded sections) - Anti-OTP antibody [EPR22178-17] (AB254267)
  • IHC-P

Unknown

Immunohistochemistry (Formalin/PFA-fixed paraffin-embedded sections) - Anti-OTP antibody [EPR22178-17] (AB254267)

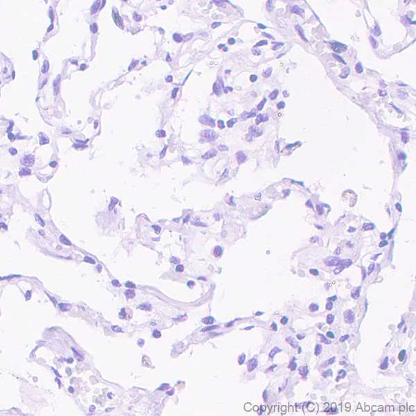
Immunohistochemical analysis of paraffin-embedded human lung tissue labeling OTP with ab254267 at 1/4000 dilution (0.113μg/ml) followed by a ready to use Goat Anti-Rabbit IgG H&L (HRP). Negative control : No staining in human lung (PMID : 26927888) is observed. Counterstained with hematoxylin.

Secondary antibody only control : Secondary antibody is a ready to use Goat Anti-Rabbit IgG H&L (HRP).

Heat mediated antigen retrieval using ab93684 (Tris/EDTA buffer, pH 9.0).

  • Carrier free

    Anti-OTP antibody [EPR22178-17] - BSA and Azide free

  • 578 PE

    PE Anti-OTP antibody [EPR22178-17]

  • 665 Alexa Fluor® 647

    Alexa Fluor® 647 Anti-OTP antibody [EPR22178-17]

  • 519 Alexa Fluor® 488

    Alexa Fluor® 488 Anti-OTP antibody [EPR22178-17]

  • 660 APC

    APC Anti-OTP antibody [EPR22178-17]

  • 617 Alexa Fluor® 594

    Alexa Fluor® 594 Anti-OTP antibody [EPR22178-17]

  • 565 Alexa Fluor® 555

    Alexa Fluor® 555 Anti-OTP antibody [EPR22178-17]

  • 775 Alexa Fluor® 750

    Alexa Fluor® 750 Anti-OTP antibody [EPR22178-17]

Key facts

Host species

Rabbit

Clonality

Monoclonal

Clone number

EPR22178-17

Isotype

IgG

Carrier free

No

Reacts with

Human

Applications

IHC-P

applications

Immunogen

The exact immunogen used to generate this antibody is proprietary information.

Reactivity data

{ "title": "Reactivity Data", "filters": { "stats": ["", "Species", "Dilution Info", "Notes"], "tabs": { "all-applications": {"fullname" : "All Applications", "shortname": "All Applications"}, "WB" : {"fullname" : "Western blot", "shortname":"WB"}, "IHCP" : {"fullname" : "Immunohistochemistry (Formalin/PFA-fixed paraffin-embedded sections)", "shortname":"IHC-P"} }, "product-promise": { "all": "all", "testedAndGuaranteed": "tested", "guaranteed": "expected", "predicted": "predicted", "notRecommended": "not-recommended" } }, "values": { "Human": { "WB-species-checked": "notRecommended", "WB-species-dilution-info": "", "WB-species-notes": "<p></p>", "IHCP-species-checked": "testedAndGuaranteed", "IHCP-species-dilution-info": "1/4000", "IHCP-species-notes": "<p></p>" }, "Mouse": { "WB-species-checked": "notRecommended", "WB-species-dilution-info": "", "WB-species-notes": "<p></p>", "IHCP-species-checked": "notRecommended", "IHCP-species-dilution-info": "", "IHCP-species-notes": "" }, "Rat": { "WB-species-checked": "notRecommended", "WB-species-dilution-info": "", "WB-species-notes": "<p></p>", "IHCP-species-checked": "notRecommended", "IHCP-species-dilution-info": "", "IHCP-species-notes": "" } } }

Product details

Patented technology
Our RabMAb® technology is a patented hybridoma-based technology for making rabbit monoclonal antibodies. For details on our patents, please refer to RabMAb® patents.

What are the advantages of a recombinant monoclonal antibody?
This product is a recombinant monoclonal antibody, which offers several advantages including:

  • - High batch-to-batch consistency and reproducibility
  • - Improved sensitivity and specificity
  • - Long-term security of supply
  • - Animal-free batch production

For more information, read more on recombinant antibodies.

Properties and storage information

Form
Liquid
Purification technique
Affinity purification Protein A
Storage buffer
pH: 7.2 - 7.4 Preservative: 0.01% Sodium azide Constituents: PBS, 40% Glycerol (glycerin, glycerine), 0.05% BSA
Shipped at conditions
Blue Ice
Appropriate short-term storage duration
1-2 weeks
Appropriate short-term storage conditions
+4°C
Appropriate long-term storage conditions
-20°C
Aliquoting information
Upon delivery aliquot
Storage information
Avoid freeze / thaw cycle

Supplementary information

This supplementary information is collated from multiple sources and compiled automatically.

OTP also known as orthopedia homeobox is a transcription factor involved in the development and differentiation of neuroendocrine cells. It belongs to the homeobox family of proteins which are characterized by a specific DNA-binding domain. OTP typically weighs around 35 kDa. This protein is mainly expressed in the central nervous system and neuroendocrine tissues particularly within the hypothalamus.
Biological function summary

OTP plays an important role in the regulation of gene expression during the development of specific neuronal cell types. It is not part of a larger complex but interacts with various other transcription factors to influence cell fate decisions. OTP's regulatory actions are essential during embryonic development where it directs the differentiation and specialization of neurons.

Pathways

OTP is significant in the development pathways of the nervous system. It participates in neurogenesis particularly influencing the hypothalamic lineage. OTP interacts with proteins such as Nkx2.1 and Sim1 which are also transcription factors that guide the specification of neuroendocrine neurons. These interactions highlight OTP’s involvement in complex genetic regulatory networks essential for proper nervous system function.

OTP shows relevance to certain neurodevelopmental disorders and tumors. Abnormal OTP expression links to the development of medullary thyroid carcinoma a type of cancer affecting thyroid gland cells. Furthermore OTP's expression patterns can aid in distinguishing certain tumor types in neuropathology. Researchers study its interaction with proteins like RET which is also implicated in thyroid cancer to better understand and treat these diseases.

Product protocols

For this product, it's our understanding that no specific protocols are required. You can visit:

Target data

Probably involved in the differentiation of hypothalamic neuroendocrine cells.
See full target information OTP

Publications (2)

Recent publications for all applications. Explore the full list and refine your search

Aging 16:5618-5633 PubMed38499392

2024

Predicting the prognosis of glioma patients with TERT promoter mutations and guiding the specific immune profile of immune checkpoint blockade therapy.

Applications

Unspecified application

Species

Unspecified reactive species

Wenpeng Cao,Jinzhi Lan,Chujiao Hu,Jinping Kong,Limin Xiang,Zhixue Zhang,Yating Sun,Zhirui Zeng,Shan Lei

Archives of pathology & laboratory medicine 147:1446-1450 PubMed36800547

2023

Molecular Characterization of Testicular Mesothelioma and the Role of Asbestos as a Causative Factor.

Applications

Unspecified application

Species

Unspecified reactive species

Ashleigh Jean Hocking,Elaine May Thomas,Sarita Prabhakaran,Alexandra Jolley,Susan Lesley Woods,Matthew J Soeberg,Sonja Klebe
View all publications

Product promise

We are committed to supporting your work with high-quality reagents, and we're here for you every step of the way. In the unlikely event that one of our products does not perform as expected, you're protected by our Product Promise.
For full details, please see our Terms & Conditions

Please note: All products are 'FOR RESEARCH USE ONLY. NOT FOR USE IN DIAGNOSTIC OR THERAPEUTIC PROCEDURES'.

For licensing inquiries, please contact partnerships@abcam.com