JavaScript is disabled in your browser. Please enable JavaScript to view this website.
AB271992

Anti-OTULIN antibody [EPR19841] - BSA and Azide free

Be the first to review this product! Submit a review

|

(0 Publication)

Rabbit Recombinant Monoclonal OTULIN antibody. Carrier free. Suitable for IP, WB and reacts with Human samples.

View Alternative Names

FAM105B, OTULIN, Ubiquitin thioesterase otulin, Deubiquitinating enzyme otulin, OTU domain-containing deubiquitinase with linear linkage specificity, Ubiquitin thioesterase Gumby

3 Images
Immunoprecipitation - Anti-OTULIN antibody [EPR19841] - BSA and Azide free (AB271992)
  • IP

Supplier Data

Immunoprecipitation - Anti-OTULIN antibody [EPR19841] - BSA and Azide free (AB271992)

OTULIN was immunoprecipitated from 0.35 mg of HEK-293T (human epithelial cell line from embryonic kidney transformed with large T antigen) lysate with ab211328 at 1/30 dilution. Western blot was performed from the immunoprecipitate using ab211328 at 1/1000 dilution. VeriBlot for IP Detection Reagent (HRP) (ab131366), was used for detection at 1/10,000 dilution

Lane 1 : HEK-293T whole cell lysate 10 μg (Input).

Lane 2 : ab211328 IP in HEK-293T whole cell lysate.

Lane 3 : Rabbit monoclonal IgG (ab172730) instead of ab211328 in HEK-293T whole cell lysate.

Blocking and dilution buffer and concentration : 5% NFDM/TBST.

Exposure time : 3 minutes.

This data was developed using the same antibody clone in a different buffer formulation containing PBS, BSA, glycerol, and sodium azide (ab211328).

All lanes:

Immunoprecipitation - Anti-OTULIN antibody [EPR19841] (<a href='/en-us/products/primary-antibodies/otulin-antibody-epr19841-ab211328'>ab211328</a>)

Predicted band size: 40 kDa

Observed band size: 40 kDa

false

Western blot - Anti-OTULIN antibody [EPR19841] - BSA and Azide free (AB271992)
  • WB

Supplier Data

Western blot - Anti-OTULIN antibody [EPR19841] - BSA and Azide free (AB271992)

This data was developed using ab211328, the same antibody clone in a different buffer formulation

Exposure time : Lane 1-3 : 3 minutes; Lane 4-5 : 3 seconds.

Blocking/Dilution buffer : 5% NFDM/TBST.

All lanes:

Western blot - Anti-OTULIN antibody [EPR19841] - BSA and Azide free (ab271992) at 1/1000 dilution

Lane 1:

Human brain lysate at 10 µg

Lane 2:

Human fetal heart lysate at 10 µg

Lane 3:

Human fetal spleen lysate at 10 µg

Lane 4:

MCF7 (human breast adenocarcinoma cell line) whole cell lysate at 10 µg

Lane 5:

PC-3 (human prostate adenocarcinoma cell line) whole cell lysate at 10 µg

Secondary

Lanes 1 - 3:

Western blot - VeriBlot for IP Detection Reagent (HRP) (<a href='/en-us/products/reagents/veriblot-for-ip-detection-reagent-hrp-ab131366'>ab131366</a>) at 1/1000 dilution

Lanes 4 - 5:

Western blot - Goat Anti-Rabbit IgG H&L (HRP) (<a href='/en-us/products/secondary-antibodies/goat-rabbit-igg-h-l-hrp-ab97051'>ab97051</a>) at 1/100000 dilution

Predicted band size: 40 kDa

Observed band size: 40 kDa

true

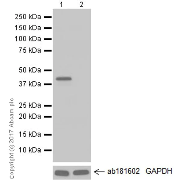
Western blot - Anti-OTULIN antibody [EPR19841] - BSA and Azide free (AB271992)
  • WB

Supplier Data

Western blot - Anti-OTULIN antibody [EPR19841] - BSA and Azide free (AB271992)

This data was developed using ab211328, the same antibody clone in a different buffer formulation :

Blocking/Dilution buffer : 5% NFDM/TBST.

All lanes:

Western blot - Anti-OTULIN antibody [EPR19841] - BSA and Azide free (ab271992) at 1/1000 dilution

Lane 1:

HEK-293T (human epithelial cell line from embryonic kidney transformed with large T antigen) whole cell lysate at 10 µg

Lane 2:

OTULIN knockout HEK-293T whole cell lysate at 10 µg

Secondary

All lanes:

Western blot - Goat Anti-Rabbit IgG H&L (HRP) (<a href='/en-us/products/secondary-antibodies/goat-rabbit-igg-h-l-hrp-ab97051'>ab97051</a>) at 1/100000 dilution

Predicted band size: 40 kDa

true

Exposure time: 2s

Key facts

Host species

Rabbit

Clonality

Monoclonal

Clone number

EPR19841

Isotype

IgG

Carrier free

Yes

Reacts with

Human

Applications

IP, WB

applications

Immunogen

The exact immunogen used to generate this antibody is proprietary information.

Reactivity data

{ "title": "Reactivity Data", "filters": { "stats": ["", "Species", "Dilution Info", "Notes"], "tabs": { "all-applications": {"fullname" : "All Applications", "shortname": "All Applications"}, "IP" : {"fullname" : "Immunoprecipitation", "shortname":"IP"}, "WB" : {"fullname" : "Western blot", "shortname":"WB"} }, "product-promise": { "all": "all", "testedAndGuaranteed": "tested", "guaranteed": "expected", "predicted": "predicted", "notRecommended": "not-recommended" } }, "values": { "Human": { "IP-species-checked": "testedAndGuaranteed", "IP-species-dilution-info": "", "IP-species-notes": "<p></p>", "WB-species-checked": "testedAndGuaranteed", "WB-species-dilution-info": "", "WB-species-notes": "<p></p>" } } }

Product details

ab271992 is the carrier-free version of ab211328.

Patented technology
Our RabMAb® technology is a patented hybridoma-based technology for making rabbit monoclonal antibodies. For details on our patents, please refer to RabMAb® patents.

What are the advantages of a recombinant monoclonal antibody?
This product is a recombinant monoclonal antibody, which offers several advantages including:

  • - High batch-to-batch consistency and reproducibility
  • - Improved sensitivity and specificity
  • - Long-term security of supply
  • - Animal-free batch production

For more information, read more on recombinant antibodies.

Conjugation ready
Our carrier-free antibodies are typically supplied in a PBS-only formulation, purified and free of BSA, sodium azide and glycerol. This conjugation-ready format is designed for use with fluorochromes, metal isotopes, oligonucleotides, and enzymes, which makes them ideal for antibody labelling, functional and cell-based assays, flow-based assays (e.g. mass cytometry) and Multiplex Imaging applications.

Use our conjugation kits for antibody conjugates that are ready-to-use in as little as 20 minutes with 1 minute hands-on-time and 100% antibody recovery: available for fluorescent dyes, HRP, biotin and gold.

Compatibility
This product is compatible with the Maxpar® Antibody Labeling Kit from Fluidigm, without the need for antibody preparation. Maxpar® is a trademark of Fluidigm Canada Inc.

Properties and storage information

Form
Liquid
Purification technique
Affinity purification Protein A
Storage buffer
pH: 7.2 - 7.4 Constituents: PBS
Shipped at conditions
Blue Ice
Appropriate short-term storage conditions
+4°C
Appropriate long-term storage conditions
+4°C
Storage information
Do Not Freeze

Supplementary information

This supplementary information is collated from multiple sources and compiled automatically.

OTULIN also known as OTU deubiquitinase with linear linkage specificity is a deubiquitinating enzyme that cleaves linear polyubiquitin chains from proteins. It exhibits a mass of approximately 42 kDa. OTULIN expresses widely in tissues but has higher expression in immune cells. Its mechanical action involves hydrolyzing Met1-linked ubiquitin chains which are unique among polyubiquitin linkages for being linear rather than branched.
Biological function summary

OTULIN regulates inflammation and immune signaling. It often functions as a part of the LUBAC (linear ubiquitin chain assembly complex) ensuring homeostasis by preventing excessive activation of immune responses. OTULIN’s activity modulates NF-kB signaling an important pathway for immune and inflammatory responses. The enzyme maintains this balance to prevent unwanted inflammation promoting cellular health.

Pathways

OTULIN influences both the NF-kB pathway and the Wnt signaling pathway. In the NF-kB pathway it interacts closely with proteins such as NEMO (NF-kB essential modulator) and inhibits prolonged activation by removing linear ubiquitin chains. Likewise in the Wnt pathway OTULIN's role involves the regulation of signaling having indirect effects on cell proliferation and differentiation processes. Its ability to modulate these pathways highlights its integral role in maintaining immune function and development.

OTULIN is linked to autoimmune and inflammatory conditions such as OTULIN-related autoinflammatory syndrome (ORAS) and rheumatoid arthritis. Mutations in the OTULIN gene can lead to dysregulation in inflammation indicating its significance in immune system-related diseases. Additionally through its interaction with proteins such as ubiquitin disruptions in OTULIN function may contribute to improper immune responses enhancing disease susceptibility.

Product protocols

For this product, it's our understanding that no specific protocols are required. You can visit:

Target data

Deubiquitinase that specifically removes linear ('Met-1'-linked) polyubiquitin chains to substrates and acts as a regulator of angiogenesis and innate immune response (PubMed : 23708998, PubMed : 23746843, PubMed : 23806334, PubMed : 23827681, PubMed : 24726323, PubMed : 24726327, PubMed : 26997266, PubMed : 27523608, PubMed : 27559085, PubMed : 28919039, PubMed : 35170849, PubMed : 35587511). Required during angiogenesis, craniofacial and neuronal development by regulating the canonical Wnt signaling together with the LUBAC complex (PubMed : 23708998). Acts as a negative regulator of NF-kappa-B by regulating the activity of the LUBAC complex (PubMed : 23746843, PubMed : 23806334). OTULIN function is mainly restricted to homeostasis of the LUBAC complex : acts by removing 'Met-1'-linked autoubiquitination of the LUBAC complex, thereby preventing inactivation of the LUBAC complex (PubMed : 26670046). Acts as a key negative regulator of inflammation by restricting spontaneous inflammation and maintaining immune homeostasis (PubMed : 27523608). In myeloid cell, required to prevent unwarranted secretion of cytokines leading to inflammation and autoimmunity by restricting linear polyubiquitin formation (PubMed : 27523608). Plays a role in innate immune response by restricting linear polyubiquitin formation on LUBAC complex in response to NOD2 stimulation, probably to limit NOD2-dependent pro-inflammatory signaling (PubMed : 23806334).
See full target information OTULIN

Product promise

We are committed to supporting your work with high-quality reagents, and we're here for you every step of the way. In the unlikely event that one of our products does not perform as expected, you're protected by our Product Promise.
For full details, please see our Terms & Conditions

Please note: All products are 'FOR RESEARCH USE ONLY. NOT FOR USE IN DIAGNOSTIC OR THERAPEUTIC PROCEDURES'.

For licensing inquiries, please contact partnerships@abcam.com