JavaScript is disabled in your browser. Please enable JavaScript to view this website.
AB92515

Anti-Otx1 antibody [EPR3347]

5

(1 Review)

|

(3 Publications)

Rabbit Recombinant Monoclonal OTX1 antibody. Suitable for IP, WB, IHC-P and reacts with Human, Mouse, Rat, Recombinant full length protein - Human samples. Cited in 3 publications.

View Alternative Names

Homeobox protein OTX1, Orthodenticle homolog 1, OTX1

10 Images
Immunohistochemistry (Formalin/PFA-fixed paraffin-embedded sections) - Anti-Otx1 antibody [EPR3347] (AB92515)
  • IHC-P

Lab

Immunohistochemistry (Formalin/PFA-fixed paraffin-embedded sections) - Anti-Otx1 antibody [EPR3347] (AB92515)

Immunohistochemistry (Formalin/PFA-fixed paraffin-embedded sections) analysis of human retina tissue labelling Otx1 with purified ab92515 at a dilution 1/500. Heat mediated antigen retrieval was performed using Tris/EDTA buffer pH 9 (ab93684). ab97051, a HRP-conjugated goat anti-rabbit IgG (H+L) was used as the secondary antibody (1/500). Counterstained with hematoxylin.

Nuclear staining on inner nuclear layer and outer nuclear layer of the human retina.

Immunohistochemistry (Formalin/PFA-fixed paraffin-embedded sections) - Anti-Otx1 antibody [EPR3347] (AB92515)
  • IHC-P

Lab

Immunohistochemistry (Formalin/PFA-fixed paraffin-embedded sections) - Anti-Otx1 antibody [EPR3347] (AB92515)

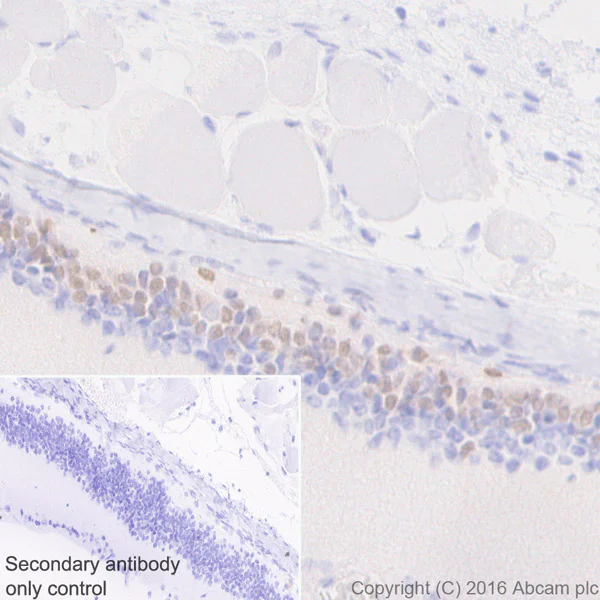
Immunohistochemistry (Formalin/PFA-fixed paraffin-embedded sections) analysis of human retinoblastoma tissue labelling Otx1 with purified ab92515 at a dilution 1/500. Heat mediated antigen retrieval was performed using Tris/EDTA buffer pH 9 (ab93684). ab97051, a HRP-conjugated goat anti-rabbit IgG (H+L) was used as the secondary antibody (1/500). Counterstained with hematoxylin.

Nuclear staining on tumor cells of human retinoblastoma.

Immunohistochemistry (Formalin/PFA-fixed paraffin-embedded sections) - Anti-Otx1 antibody [EPR3347] (AB92515)
  • IHC-P

Unknown

Immunohistochemistry (Formalin/PFA-fixed paraffin-embedded sections) - Anti-Otx1 antibody [EPR3347] (AB92515)

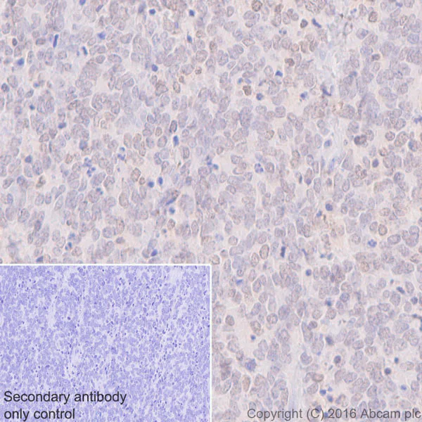
Immunohistochemical staining of paraffin embedded human cerebral cortex with purified ab92515 at a working dilution of 1/250. The secondary antibody used is HRP goat anti-rabbit IgG H&L (ab97051) at 1/500. The sample is counter-stained with hematoxylin. Antigen retrieval was perfomed using Tris-EDTA buffer, pH 9.0. PBS was used instead of the primary antibody as the negative control, and is shown in the inset.

Immunoprecipitation - Anti-Otx1 antibody [EPR3347] (AB92515)
  • IP

Supplier Data

Immunoprecipitation - Anti-Otx1 antibody [EPR3347] (AB92515)

Otx1 was immunoprecipitated from Y79(Human retinoblastoma retinoblastoma)whole cell lysate with ab92515 at 1/20 dilution. Western blot was performed from the immunoprecipitate using ab92515 at 1/500 dilution. Secondary antibody details (ab131366), was used as secondary antibody at 1/1000 dilution.

All lanes:

Immunoprecipitation - Anti-Otx1 antibody [EPR3347] (ab92515) at 1/500 dilution

Lane 1:

Y79 (Human retinoblastoma retinoblastoma) whole cell lysate at 10 µg

Lanes 2 - 3:

Y79 whole cell lysate at 10 µg

Secondary

All lanes:

Immunoprecipitation - VeriBlot for IP Detection Reagent (HRP) (<a href='/en-us/products/reagents/veriblot-for-ip-detection-reagent-hrp-ab131366'>ab131366</a>) at 1/1000 dilution

Predicted band size: 37 kDa

false

Immunohistochemistry (Formalin/PFA-fixed paraffin-embedded sections) - Anti-Otx1 antibody [EPR3347] (AB92515)
  • IHC-P

Unknown

Immunohistochemistry (Formalin/PFA-fixed paraffin-embedded sections) - Anti-Otx1 antibody [EPR3347] (AB92515)

Immunohistochemistry (Formalin/PFA-fixed paraffin-embedded sections) analysis of mouse E14.5 choroid plexus tissue labelling Otx1 with purified ab92515 at a dilution 1/500. Heat mediated antigen retrieval was performed using Tris/EDTA buffer pH 9 (ab93684). ab97051, a HRP-conjugated goat anti-rabbit IgG (H+L) was used as the secondary antibody (1/500). Counterstained with hematoxylin.

Nuclear staining on mouse E14.5 choroid plexus.

Immunohistochemistry (Formalin/PFA-fixed paraffin-embedded sections) - Anti-Otx1 antibody [EPR3347] (AB92515)
  • IHC-P

Unknown

Immunohistochemistry (Formalin/PFA-fixed paraffin-embedded sections) - Anti-Otx1 antibody [EPR3347] (AB92515)

Immunohistochemistry (Formalin/PFA-fixed paraffin-embedded sections) analysis of rat E14.5 choroid plexus tissue labelling Otx1 with purified ab92515 at a dilution 1/1000. Heat mediated antigen retrieval was performed using Tris/EDTA buffer pH 9 (ab93684). ab97051, a HRP-conjugated goat anti-rabbit IgG (H+L) was used as the secondary antibody (1/500). Counterstained with hematoxylin.

Nuclear staining on rat E14.5 choroid plexus.

Immunohistochemistry (Formalin/PFA-fixed paraffin-embedded sections) - Anti-Otx1 antibody [EPR3347] (AB92515)
  • IHC-P

Lab

Immunohistochemistry (Formalin/PFA-fixed paraffin-embedded sections) - Anti-Otx1 antibody [EPR3347] (AB92515)

Immunohistochemistry (Formalin/PFA-fixed paraffin-embedded sections) analysis of mouse retina tissue labelling Otx1 with purified ab92515 at a dilution 1/500. Heat mediated antigen retrieval was performed using Tris/EDTA buffer pH 9 (ab93684). ab97051, a HRP-conjugated goat anti-rabbit IgG (H+L) was used as the secondary antibody (1/500). Counterstained with hematoxylin.

Nuclear staining on nuclear layer of the mouse retina.

Western blot - Anti-Otx1 antibody [EPR3347] (AB92515)
  • WB

Lab

Western blot - Anti-Otx1 antibody [EPR3347] (AB92515)

Blocking buffer : 5% NFDM/TBST
Dilution buffer : 5% NFDM/TBST

All lanes:

Western blot - Anti-Otx1 antibody [EPR3347] (ab92515) at 1/2500 dilution

All lanes:

Y79 cell lysate at 10 µg

Secondary

All lanes:

HRP goat anti-rabbit IgG (H+L) at 1/20000 dilution

Predicted band size: 37 kDa

Observed band size: 32 kDa

false

Western blot - Anti-Otx1 antibody [EPR3347] (AB92515)
  • WB

Lab

Western blot - Anti-Otx1 antibody [EPR3347] (AB92515)

Blocking and diluting buffer and concentration : 5% NFDM/TBST.

Lanes 1 - 2:

Western blot - Anti-Otx2 antibody [EPR20375] (<a href='/en-us/products/primary-antibodies/otx2-antibody-epr20375-ab183951'>ab183951</a>) at 1/1000 dilution

Lanes 3 - 4:

Western blot - Anti-Otx1 antibody [EPR3347] (ab92515) at 1/1000 dilution

Lanes 5 - 6:

Western blot - Anti-Otx2 antibody [EPR3348] (<a href='/en-us/products/primary-antibodies/otx2-antibody-epr3348-ab92326'>ab92326</a>) at 1/1000 dilution

Lanes 1, 3 and 5:

GST-tagged Human OTX1 full length recombinant protein at 10 ng

Lanes 2, 4 and 6:

His-tagged Human OTX2 full length recombinant protein at 10 ng

Secondary

All lanes:

Western blot - Goat Anti-Rabbit IgG H&L (HRP) (<a href='/en-us/products/secondary-antibodies/goat-rabbit-igg-h-l-hrp-ab97051'>ab97051</a>) at 1/20000 dilution

Observed band size: 35 kDa,75 kDa

false

Western blot - Anti-Otx1 antibody [EPR3347] (AB92515)
  • WB

Unknown

Western blot - Anti-Otx1 antibody [EPR3347] (AB92515)

All lanes:

Western blot - Anti-Otx1 antibody [EPR3347] (ab92515) at 1 µg/mL

All lanes:

OTX1 Recombinant Protein at 0.1 µg

Secondary

All lanes:

Western blot - Goat Anti-Rabbit IgG H&L (HRP) preadsorbed (<a href='/en-us/products/secondary-antibodies/goat-rabbit-igg-h-l-hrp-preadsorbed-ab97080'>ab97080</a>) at 1/5000 dilution

Predicted band size: 37 kDa

Observed band size: 75 kDa

true

  • Carrier free

    Anti-Otx1 antibody [EPR3347] - BSA and Azide free

Key facts

Host species

Rabbit

Clonality

Monoclonal

Clone number

EPR3347

Isotype

IgG

Carrier free

No

Reacts with

Mouse, Rat, Human

Applications

IP, WB, IHC-P

applications

Immunogen

The exact immunogen used to generate this antibody is proprietary information.

Reactivity data

{ "title": "Reactivity Data", "filters": { "stats": ["", "Species", "Dilution Info", "Notes"], "tabs": { "all-applications": {"fullname" : "All Applications", "shortname": "All Applications"}, "IP" : {"fullname" : "Immunoprecipitation", "shortname":"IP"}, "WB" : {"fullname" : "Western blot", "shortname":"WB"}, "IHCP" : {"fullname" : "Immunohistochemistry (Formalin/PFA-fixed paraffin-embedded sections)", "shortname":"IHC-P"} }, "product-promise": { "all": "all", "testedAndGuaranteed": "tested", "guaranteed": "expected", "predicted": "predicted", "notRecommended": "not-recommended" } }, "values": { "Human": { "IP-species-checked": "testedAndGuaranteed", "IP-species-dilution-info": "1/20", "IP-species-notes": "<p></p>", "WB-species-checked": "testedAndGuaranteed", "WB-species-dilution-info": "1/1000 - 1/10000", "WB-species-notes": "<p></p>", "IHCP-species-checked": "testedAndGuaranteed", "IHCP-species-dilution-info": "1/500 - 1/1000", "IHCP-species-notes": "<p>We recommend 1/500 dilution for human and mouse tissues, and 1/1000 for rat tissues.</p> Perform heat-mediated antigen retrieval with Tris/EDTA buffer pH 9.0 before commencing with IHC staining protocol." }, "Mouse": { "IP-species-checked": "guaranteed", "IP-species-dilution-info": "", "IP-species-notes": "", "WB-species-checked": "guaranteed", "WB-species-dilution-info": "", "WB-species-notes": "", "IHCP-species-checked": "testedAndGuaranteed", "IHCP-species-dilution-info": "1/500 - 1/1000", "IHCP-species-notes": "<p>We recommend 1/500 dilution for human and mouse tissues, and 1/1000 for rat tissues.</p> Perform heat-mediated antigen retrieval with Tris/EDTA buffer pH 9.0 before commencing with IHC staining protocol." }, "Rat": { "IP-species-checked": "guaranteed", "IP-species-dilution-info": "", "IP-species-notes": "", "WB-species-checked": "guaranteed", "WB-species-dilution-info": "", "WB-species-notes": "", "IHCP-species-checked": "testedAndGuaranteed", "IHCP-species-dilution-info": "1/500 - 1/1000", "IHCP-species-notes": "<p>We recommend 1/500 dilution for human and mouse tissues, and 1/1000 for rat tissues.</p> Perform heat-mediated antigen retrieval with Tris/EDTA buffer pH 9.0 before commencing with IHC staining protocol." }, "Recombinant full length protein - Human": { "IP-species-checked": "notRecommended", "IP-species-dilution-info": "", "IP-species-notes": "", "WB-species-checked": "testedAndGuaranteed", "WB-species-dilution-info": "1/1000 - 1/10000", "WB-species-notes": "<p></p>", "IHCP-species-checked": "notRecommended", "IHCP-species-dilution-info": "", "IHCP-species-notes": "" } } }

Product details

Species reactivity
Mouse, Rat: We have preliminary internal testing data to indicate this antibody may not react with these species.
Please contact us for more information.

Patented technology
Our RabMAb® technology is a patented hybridoma-based technology for making rabbit monoclonal antibodies. For details on our patents, please refer to RabMAb® patents.

What are the advantages of a recombinant monoclonal antibody?
This product is a recombinant monoclonal antibody, which offers several advantages including:

  • - High batch-to-batch consistency and reproducibility
  • - Improved sensitivity and specificity
  • - Long-term security of supply
  • - Animal-free batch production

For more information, read more on recombinant antibodies.

Properties and storage information

Form
Liquid
Purification technique
Affinity purification Protein A
Storage buffer
pH: 7.2 - 7.4 Preservative: 0.01% Sodium azide Constituents: PBS, 40% Glycerol (glycerin, glycerine), 0.05% BSA
Shipped at conditions
Blue Ice
Appropriate short-term storage duration
1-2 weeks
Appropriate short-term storage conditions
+4°C
Appropriate long-term storage conditions
-20°C
Aliquoting information
Upon delivery aliquot
Storage information
Stable for 12 months at -20°C

Supplementary information

This supplementary information is collated from multiple sources and compiled automatically.

Otx1 also known as Orthodenticle homeobox 1 is a transcription factor with a noted molecular weight of approximately 32 kDa. It identifies as a homeodomain-containing protein that binds to specific DNA sequences regulating gene expression. This protein finds expression mainly in the developing and adult brain where it plays significant roles in brain morphogenesis. In addition to the central nervous system Otx1 displays expression in the retina and skeletal tissues during embryonic development.
Biological function summary

Otx1 functions in the regulation of several critical developmental processes. It contains a homeodomain which allows the protein to precisely bind to DNA influencing the transcriptional activation of target genes. Although it does not participate in large protein complexes it exerts influence in morphogenesis by its interaction with co-factors that regulate gene expression important for brain and sensory organ development. Its expression is pivotal in maintaining the balance of excitatory and inhibitory signals during cortical development.

Pathways

Otx1 integrates into signaling networks essential for developmental processes. It participates actively in pathways like the Wnt signaling pathway and the Sonic Hedgehog (Shh) pathway both contributing significantly to brain development and patterning. Within these pathways it interacts closely with proteins like β-catenin in the Wnt pathway and Gli transcription factors in the Shh pathway steering the developmental fates of neural progenitors.

Otx1 contributes to conditions affecting the central nervous system. Mutations or dysregulation of Otx1 have connections to intellectual disabilities and specific epilepsy forms due to its role in cortical neuron development and function. The protein's interactions with other developmental regulators such as Pax6 offer insights into congenital neural developmental disorders emphasizing its critical role alongside other homeodomain proteins in maintaining proper neural development and function.

Product protocols

For this product, it's our understanding that no specific protocols are required. You can visit:

Target data

Probably plays a role in the development of the brain and the sense organs. Can bind to the BCD target sequence (BTS) : 5'-TCTAATCCC-3'.
See full target information OTX1

Publications (3)

Recent publications for all applications. Explore the full list and refine your search

Frontiers in cell and developmental biology 10:910040 PubMed36092714

2022

Transcriptional comparison of adult human primary Retinal Pigment Epithelium, human pluripotent stem cell-derived Retinal Pigment Epithelium, and ARPE19 cells.

Applications

Unspecified application

Species

Unspecified reactive species

Elke K Markert,Holger Klein,Coralie Viollet,Werner Rust,Benjamin Strobel,Stefan G Kauschke,Bar Makovoz,Heike Neubauer,Remko A Bakker,Timothy A Blenkinsop

Frontiers in molecular biosciences 7:200 PubMed32923455

2020

Involvement of Genes in Dedifferentiation of Adult Mammalian Müller Glia.

Applications

Unspecified application

Species

Unspecified reactive species

Megan L Stanchfield,Sarah E Webster,Mark K Webster,Cindy L Linn

Cell stem cell 20:635-647.e7 PubMed28132833

2017

Nicotinamide Ameliorates Disease Phenotypes in a Human iPSC Model of Age-Related Macular Degeneration.

Applications

Unspecified application

Species

Unspecified reactive species

Janmeet S Saini,Barbara Corneo,Justine D Miller,Thomas R Kiehl,Qingjie Wang,Nathan C Boles,Timothy A Blenkinsop,Jeffrey H Stern,Sally Temple
View all publications

Product promise

We are committed to supporting your work with high-quality reagents, and we're here for you every step of the way. In the unlikely event that one of our products does not perform as expected, you're protected by our Product Promise.
For full details, please see our Terms & Conditions

Please note: All products are 'FOR RESEARCH USE ONLY. NOT FOR USE IN DIAGNOSTIC OR THERAPEUTIC PROCEDURES'.

For licensing inquiries, please contact partnerships@abcam.com