JavaScript is disabled in your browser. Please enable JavaScript to view this website.
AB114138

Anti-Otx2 antibody

3

(6 Reviews)

|

(7 Publications)

Rabbit Polyclonal OTX2 antibody. Suitable for IHC-P, WB and reacts with Mouse, Rat, Human, Recombinant full length protein - Human samples. Cited in 7 publications.

View Alternative Names

Homeobox protein OTX2, Orthodenticle homolog 2, OTX2

7 Images
Immunohistochemistry (Formalin/PFA-fixed paraffin-embedded sections) - Anti-Otx2 antibody (AB114138)
  • IHC-P

Collaborator31270****

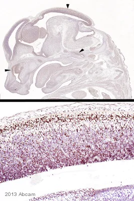
Immunohistochemistry (Formalin/PFA-fixed paraffin-embedded sections) - Anti-Otx2 antibody (AB114138)

IHC-P image of Otx2 staining on mouse E14 embryo using ab114138 (1 : 1000). The sections were deparffinized and subjected to heat mediated antigen retrieval using citric acid. The section were then blocked using 1% BSA for 10 mins at 21°C. ab114138 was diluted 1 : 1000 using TBS/BSA/Azide and incubated for 2 hours at 21°C. The secondary antibody used was goat polyclonal to rabbit IgG conjugated to Biotin (1 : 250).

This image is courtesy of Carl Hobbs (Kings College London, United Kingdom)

Immunohistochemistry (Formalin/PFA-fixed paraffin-embedded sections) - Anti-Otx2 antibody (AB114138)
  • IHC-P

Collaborator

Immunohistochemistry (Formalin/PFA-fixed paraffin-embedded sections) - Anti-Otx2 antibody (AB114138)

IHC-P image of Otx2 antibody (ab114138) on paraffin-embedded mouse embryo sections. The image on the left is of a WT embryo, whilst on the right is an embryo where Otx2 has been replaced with human Otx1 (hOtx1Otx2/Otx2). The sections underwent heat mediated antigen retrieval using Citrate Buffer, primary antibody was used at 1 : 500 dilution and Biocare Mach4 Kit was used to detect the primary antibody.

This image is courtesy of Prof. Antonio Simeone, Institute of Genetics and Biophysics, Naples, Italy.

Immunohistochemistry (Formalin/PFA-fixed paraffin-embedded sections) - Anti-Otx2 antibody (AB114138)
  • IHC-P

Lab

Immunohistochemistry (Formalin/PFA-fixed paraffin-embedded sections) - Anti-Otx2 antibody (AB114138)

IHC image of Otx2 staining in a section of formalin-fixed paraffin-embedded normal mouse e14 foetal brain performed on a Leica BOND™ system using the standard protocol F. The section was pre-treated using heat mediated antigen retrieval with sodium citrate buffer (pH6, epitope retrieval solution 1) for 20mins. The section was then incubated with ab114138, 2.5ug/ml, for 15 mins at room temperature and detected using an HRP conjugated compact polymer system. DAB was used as the chromogen. The section was then counterstained with haematoxylin and mounted with DPX. The inset secondary-only control image is taken from an identical assay without primary antibody.

For other IHC staining systems (automated and non-automated) customers should optimize variable parameters such as antigen retrieval conditions, primary antibody concentration and antibody incubation times.

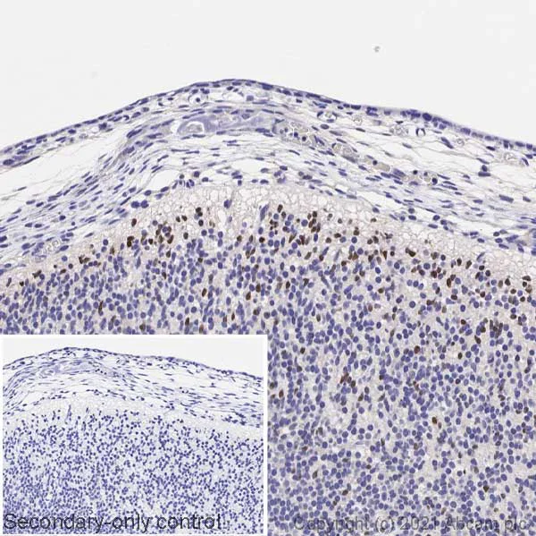
Immunohistochemistry (Formalin/PFA-fixed paraffin-embedded sections) - Anti-Otx2 antibody (AB114138)
  • IHC-P

Lab

Immunohistochemistry (Formalin/PFA-fixed paraffin-embedded sections) - Anti-Otx2 antibody (AB114138)

IHC image of Otx2 staining in a section of formalin-fixed paraffin-embedded normal mouse e14 foetal brain performed on a Leica BOND™ system using the standard protocol F. The section was pre-treated using heat mediated antigen retrieval with sodium citrate buffer (pH6, epitope retrieval solution 1) for 20mins. The section was then incubated with ab114138, 2.5ug/ml, for 15 mins at room temperature and detected using an HRP conjugated compact polymer system. DAB was used as the chromogen. The section was then counterstained with haematoxylin and mounted with DPX. The inset secondary-only control image is taken from an identical assay without primary antibody.

For other IHC staining systems (automated and non-automated) customers should optimize variable parameters such as antigen retrieval conditions, primary antibody concentration and antibody incubation times.

Immunohistochemistry (Formalin/PFA-fixed paraffin-embedded sections) - Anti-Otx2 antibody (AB114138)
  • IHC-P

Collaborator31270****

Immunohistochemistry (Formalin/PFA-fixed paraffin-embedded sections) - Anti-Otx2 antibody (AB114138)

IHC-P image of Otx2 staining on Rat E12 embryo using ab114138 (1 : 1500). The sections were deparffinized and subjected to heat mediated antigen retrieval using citric acid. The section were then blocked using 1% BSA for 10 mins at 21°C. ab114138 was diluted 1 : 1500 using TBS/BSA/Azide and incubated for 2 hours at 21°C. The secondary antibody used was goat polyclonal to rabbit IgG conjugated to Biotin (1 : 250).

This image is courtesy of Carl Hobbs (Kings College London, United Kingdom)

Western blot - Anti-Otx2 antibody (AB114138)
  • WB

Unknown

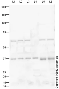
Western blot - Anti-Otx2 antibody (AB114138)

This blot was produced using a 4-12% Bis-tris gel under the MOPS buffer system. The gel was run at 200V for 50 minutes before being transferred onto a Nitrocellulose membrane at 30V for 70 minutes. The membrane was then blocked for an hour using 5% Bovine Serum Albumin before being incubated with ab114138 overnight at 4°C. Antibody binding was detected using an anti-rabbit antibody conjugated to HRP, and visualised using ECL development solution.

All lanes:

Western blot - Anti-Otx2 antibody (ab114138) at 1 µg/mL

Lane 1:

E10 Mouse Embryo Brain Tissue Lysate at 10 µg

Lane 2:

E14 Mouse Embryo Brain Tissue Lysate at 10 µg

Lane 3:

E16 Ms Embryo Brain Tissue Lysate at 10 µg

Lane 4:

Western blot - Mouse eye tissue lysate - total protein (<a href='/en-us/products/tissue-lysates/mouse-eye-tissue-lysate-total-protein-ab4029'>ab4029</a>) at 10 µg

Lane 5:

Y79 (Human retinoblastoma cell line) Whole Cell Lysate at 10 µg

Lane 6:

WERI (Human Retinoblastoma) Whole Cell Lysate at 10 µg

Secondary

All lanes:

Western blot - Goat Anti-Rabbit IgG H&L (HRP) (<a href='/en-us/products/secondary-antibodies/goat-rabbit-igg-h-l-hrp-ab97051'>ab97051</a>) at 1/10000 dilution

Predicted band size: 32 kDa

Observed band size: 37 kDa,62 kDa

true

Exposure time: 12min

Western blot - Anti-Otx2 antibody (AB114138)
  • WB

Unknown

Western blot - Anti-Otx2 antibody (AB114138)

Lane 1 represents the Otx1 Recombinat protein which was used as a negative control for ab114138. This blot was produced using a 10% Bis-tris gel under the MOPS buffer system. The gel was run at 200V for 50 minutes before being transferred onto a Nitrocellulose membrane at 30V for 70 minutes. The membrane was then blocked for an hour using 5% Bovine Serum Albumin before being incubated with ab114138 overnight at 4°C. Antibody binding was detected using an anti-rabbit antibody conjugated to HRP, and visualised using ECL development solution.

All lanes:

Western blot - Anti-Otx2 antibody (ab114138) at 1 µg/mL

Lane 1:

OTX1 (Human) - Recombinant Protein at 0.1 µg

Lane 2:

OTX2 Transient Overexpression Lysate at 0.1 µg

Secondary

All lanes:

Western blot - Goat Anti-Rabbit IgG H&L (HRP) (<a href='/en-us/products/secondary-antibodies/goat-rabbit-igg-h-l-hrp-ab97051'>ab97051</a>) at 1/10000 dilution

Predicted band size: 32 kDa

Observed band size: 37 kDa,62 kDa

true

Exposure time: 8min

Key facts

Host species

Rabbit

Clonality

Polyclonal

Isotype

IgG

Carrier free

No

Reacts with

Mouse, Rat, Human

Applications

IHC-P, WB

applications

Immunogen

The exact immunogen used to generate this antibody is proprietary information.

Reactivity data

{ "title": "Reactivity Data", "filters": { "stats": ["", "Species", "Dilution Info", "Notes"], "tabs": { "all-applications": {"fullname" : "All Applications", "shortname": "All Applications"}, "IHCP" : {"fullname" : "Immunohistochemistry (Formalin/PFA-fixed paraffin-embedded sections)", "shortname":"IHC-P"}, "WB" : {"fullname" : "Western blot", "shortname":"WB"} }, "product-promise": { "all": "all", "testedAndGuaranteed": "tested", "guaranteed": "expected", "predicted": "predicted", "notRecommended": "not-recommended" } }, "values": { "Human": { "IHCP-species-checked": "guaranteed", "IHCP-species-dilution-info": "", "IHCP-species-notes": "", "WB-species-checked": "testedAndGuaranteed", "WB-species-dilution-info": "1 µg/mL", "WB-species-notes": "<p></p>" }, "Mouse": { "IHCP-species-checked": "testedAndGuaranteed", "IHCP-species-dilution-info": "1/500 - 1/600", "IHCP-species-notes": "<p></p>", "WB-species-checked": "testedAndGuaranteed", "WB-species-dilution-info": "1 µg/mL", "WB-species-notes": "<p></p>" }, "Rat": { "IHCP-species-checked": "testedAndGuaranteed", "IHCP-species-dilution-info": "1/500 - 1/600", "IHCP-species-notes": "<p></p>", "WB-species-checked": "guaranteed", "WB-species-dilution-info": "", "WB-species-notes": "" }, "Chimpanzee": { "IHCP-species-checked": "predicted", "IHCP-species-dilution-info": "", "IHCP-species-notes": "", "WB-species-checked": "predicted", "WB-species-dilution-info": "", "WB-species-notes": "" }, "Chinese hamster": { "IHCP-species-checked": "predicted", "IHCP-species-dilution-info": "", "IHCP-species-notes": "", "WB-species-checked": "predicted", "WB-species-dilution-info": "", "WB-species-notes": "" }, "Gorilla": { "IHCP-species-checked": "predicted", "IHCP-species-dilution-info": "", "IHCP-species-notes": "", "WB-species-checked": "predicted", "WB-species-dilution-info": "", "WB-species-notes": "" }, "Horse": { "IHCP-species-checked": "predicted", "IHCP-species-dilution-info": "", "IHCP-species-notes": "", "WB-species-checked": "predicted", "WB-species-dilution-info": "", "WB-species-notes": "" }, "Macaque monkey": { "IHCP-species-checked": "predicted", "IHCP-species-dilution-info": "", "IHCP-species-notes": "", "WB-species-checked": "predicted", "WB-species-dilution-info": "", "WB-species-notes": "" }, "Orangutan": { "IHCP-species-checked": "predicted", "IHCP-species-dilution-info": "", "IHCP-species-notes": "", "WB-species-checked": "predicted", "WB-species-dilution-info": "", "WB-species-notes": "" }, "Recombinant full length protein - Human": { "IHCP-species-checked": "notRecommended", "IHCP-species-dilution-info": "", "IHCP-species-notes": "", "WB-species-checked": "testedAndGuaranteed", "WB-species-dilution-info": "1 µg/mL", "WB-species-notes": "<p></p>" } } }

Properties and storage information

Form
Liquid
Purification technique
Affinity purification Immunogen
Storage buffer
pH: 7.4 Preservative: 0.02% Sodium azide Constituents: PBS, 1% BSA
Shipped at conditions
Blue Ice
Appropriate short-term storage duration
1-2 weeks
Appropriate short-term storage conditions
+4°C
Appropriate long-term storage conditions
-20°C
Aliquoting information
Upon delivery aliquot
Storage information
Avoid freeze / thaw cycle

Supplementary information

This supplementary information is collated from multiple sources and compiled automatically.

Otx2 also known as Orthodenticle homeobox 2 is a transcription factor involved in the regulation of gene expression. With a mass of approximately 34 kDa it expresses mainly in the brain and eyes during embryonic development. Otx2 plays a central role in early patterning of the head and is essential for the development of structures such as the brain and retina. During adulthood its expression continues although in a more restricted manner within specific regions of the brain.
Biological function summary

Otx2 regulates the expression of genes necessary for cell differentiation and organ development. It functions as part of transcriptional complexes that control specific patterns of development in the central nervous system. This protein helps in maintaining the regional identity of cells ensuring the proper formation and function of neural tissues. By influencing key developmental processes Otx2 shapes the intricate architecture of the brain and contributes to its complexity.

Pathways

Otx2 integrates into the Wnt signaling and Hedgehog pathways which are critical for early embryonic development. It interacts with proteins such as Pax6 and En1 within these pathways to modulate developmental signals and maintain proper cellular functions. Through precise regulation of these pathways Otx2 ensures coordinated developmental processes that establish proper tissue and organ formation.

Otx2 plays an important role in certain developmental eye disorders and brain structural defects. Mutations or malfunctions in Otx2 expression can lead to conditions such as anophthalmia or microphthalmia and pituitary gland abnormalities. Otx2's interplay with proteins like Pax6 is significant in these disorders as disruptions in their functions can result in profound developmental consequences highlighting the importance of Otx2 in ocular and neurological health.

Product protocols

For this product, it's our understanding that no specific protocols are required. You can visit:

Target data

Transcription factor probably involved in the development of the brain and the sense organs. Can bind to the bicoid/BCD target sequence (BTS) : 5'-TCTAATCCC-3'.
See full target information OTX2

Publications (7)

Recent publications for all applications. Explore the full list and refine your search

eLife 13: PubMed39679919

2024

Identification of an early subset of cerebellar nuclei neurons in mice.

Applications

Unspecified application

Species

Unspecified reactive species

Maryam Rahimi-Balaei,Shayan Amiri,Thomas Lamonerie,Sih-Rong Wu,Huda Y Zoghbi,G Giacomo Consalez,Daniel Goldowitz,Hassan Marzban

Developmental cell 57:610-623.e8 PubMed35216682

2022

Glutamine-dependent signaling controls pluripotent stem cell fate.

Applications

Unspecified application

Species

Unspecified reactive species

Vivian Lu,Irena J Roy,Alejandro Torres,James H Joly,Fasih M Ahsan,Nicholas A Graham,Michael A Teitell

Frontiers in bioengineering and biotechnology 8:534 PubMed32582664

2020

Automated Hypothesis Generation to Identify Signals Relevant in the Development of Mammalian Cell and Tissue Bioprocesses, With Validation in a Retinal Culture System.

Applications

Unspecified application

Species

Unspecified reactive species

Derek Toms,Abdullah Al-Ani,Saud Sunba,Qing Yun Victor Tong,Matthew Workentine,Mark Ungrin

FASEB journal : official publication of the Federa 33:14204-14220 PubMed31665922

2019

Developmental abnormalities in cortical GABAergic system in mice lacking mGlu3 metabotropic glutamate receptors.

Applications

Unspecified application

Species

Unspecified reactive species

Tiziana Imbriglio,Remy Verhaeghe,Katiuscia Martinello,Maria Teresa Pascarelli,Giuseppina Chece,Domenico Bucci,Serena Notartomaso,Miriana Quattromani,Giada Mascio,Francesco Scalabrì,Antonio Simeone,Stefania Maccari,Claudio Del Percio,Tadeusz Wieloch,Sergio Fucile,Claudio Babiloni,Giuseppe Battaglia,Cristina Limatola,Ferdinando Nicoletti,Milena Cannella

Life sciences 227:166-174 PubMed31026452

2019

Vasopressin regulates hypothalamic GnRH synthesis: Histomorphological evidence in hypothalamus and biological effects in GT1-7 cells.

Applications

Unspecified application

Species

Unspecified reactive species

Zhu Zhu,Xiaozhen Zhao,Feng Huang,Feng Wang,Wei Wang

The Journal of comparative neurology 527:780-796 PubMed30471080

2018

Neural microvascular pericytes contribute to human adult neurogenesis.

Applications

Unspecified application

Species

Unspecified reactive species

Ramin M Farahani,Saba Rezaei-Lotfi,Mary Simonian,Munira Xaymardan,Neil Hunter

BMC biology 14:24 PubMed27036552

2016

Hmga2 is necessary for Otx2-dependent exit of embryonic stem cells from the pluripotent ground state.

Applications

WB

Species

Unspecified reactive species

Angelica Navarra,Anna Musto,Anna Gargiulo,Giuseppe Petrosino,Giovanna Maria Pierantoni,Alfredo Fusco,Tommaso Russo,Silvia Parisi
View all publications

Product promise

We are committed to supporting your work with high-quality reagents, and we're here for you every step of the way. In the unlikely event that one of our products does not perform as expected, you're protected by our Product Promise.
For full details, please see our Terms & Conditions

Please note: All products are 'FOR RESEARCH USE ONLY. NOT FOR USE IN DIAGNOSTIC OR THERAPEUTIC PROCEDURES'.

For licensing inquiries, please contact partnerships@abcam.com