JavaScript is disabled in your browser. Please enable JavaScript to view this website.
AB222495

Anti-Otx2 antibody [EPR20375] - BSA and Azide free

Be the first to review this product! Submit a review

|

(1 Publication)

Rabbit Recombinant Monoclonal OTX2 antibody. Carrier free. Suitable for IP, WB, IHC-P and reacts with Human, Mouse, Rat samples. Cited in 1 publication.

View Alternative Names

Homeobox protein OTX2, Orthodenticle homolog 2, OTX2

7 Images
Immunohistochemistry (Formalin/PFA-fixed paraffin-embedded sections) - Anti-Otx2 antibody [EPR20375] - BSA and Azide free (AB222495)
  • IHC-P

Supplier Data

Immunohistochemistry (Formalin/PFA-fixed paraffin-embedded sections) - Anti-Otx2 antibody [EPR20375] - BSA and Azide free (AB222495)

Immunohistochemical analysis of paraffin-embedded human retina tissue labeling Otx2 with ab183951 at 1/100 dilution, followed by Goat Anti-Rabbit IgG H&L (HRP) (ab97051) at 1/500 dilution. Nuclear staining on inner nuclear layer and outer nuclear layer of the human retina is observed [PMID : 19686387]. Counter stained with Hematoxylin.

Secondary antibody only control : Used PBS instead of primary antibody, secondary antibody is Goat Anti-Rabbit IgG H&L (HRP) (ab97051) at 1/500 dilution.

This data was developed using the same antibody clone in a different buffer formulation containing PBS, BSA, glycerol, and sodium azide (ab183951).

Perform heat mediated antigen retrieval with Tris/EDTA buffer pH 9.0 before commencing with IHC staining protocol.

Immunohistochemistry (Formalin/PFA-fixed paraffin-embedded sections) - Anti-Otx2 antibody [EPR20375] - BSA and Azide free (AB222495)
  • IHC-P

Supplier Data

Immunohistochemistry (Formalin/PFA-fixed paraffin-embedded sections) - Anti-Otx2 antibody [EPR20375] - BSA and Azide free (AB222495)

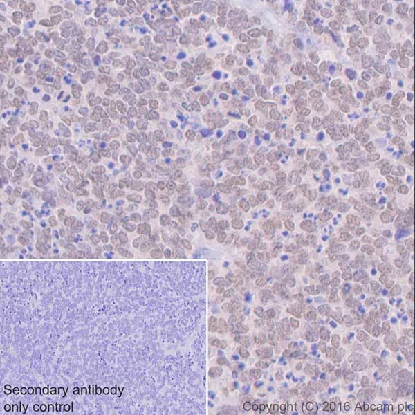
Immunohistochemical analysis of paraffin-embedded human retinoblastoma tissue labeling Otx2 with ab183951 at 1/100 dilution, followed by Goat Anti-Rabbit IgG H&L (HRP) (ab97051) at 1/500 dilution. Nuclear staining on tumor cells of human retinoblastoma is observed [PMID : 19686387]. Counter stained with Hematoxylin.

Secondary antibody only control : Used PBS instead of primary antibody, secondary antibody is Goat Anti-Rabbit IgG H&L (HRP) (ab97051) at 1/500 dilution.

This data was developed using the same antibody clone in a different buffer formulation containing PBS, BSA, glycerol, and sodium azide (ab183951).

Perform heat mediated antigen retrieval with Tris/EDTA buffer pH 9.0 before commencing with IHC staining protocol.

Immunohistochemistry (Formalin/PFA-fixed paraffin-embedded sections) - Anti-Otx2 antibody [EPR20375] - BSA and Azide free (AB222495)
  • IHC-P

Supplier Data

Immunohistochemistry (Formalin/PFA-fixed paraffin-embedded sections) - Anti-Otx2 antibody [EPR20375] - BSA and Azide free (AB222495)

Immunohistochemical analysis of paraffin-embedded mouse retina tissue labeling Otx2 with ab183951 at 1/100 dilution, followed by Goat Anti-Rabbit IgG H&L (HRP) (ab97051) at 1/500 dilution. Nuclear staining on nuclear layer of the mouse retina is observed [PMID : 19686387]. Counter stained with Hematoxylin.

Secondary antibody only control : Used PBS instead of primary antibody, secondary antibody is Goat Anti-Rabbit IgG H&L (HRP) (ab97051) at 1/500 dilution.

This data was developed using the same antibody clone in a different buffer formulation containing PBS, BSA, glycerol, and sodium azide (ab183951).

Perform heat mediated antigen retrieval with Tris/EDTA buffer pH 9.0 before commencing with IHC staining protocol.

Immunohistochemistry (Formalin/PFA-fixed paraffin-embedded sections) - Anti-Otx2 antibody [EPR20375] - BSA and Azide free (AB222495)
  • IHC-P

Supplier Data

Immunohistochemistry (Formalin/PFA-fixed paraffin-embedded sections) - Anti-Otx2 antibody [EPR20375] - BSA and Azide free (AB222495)

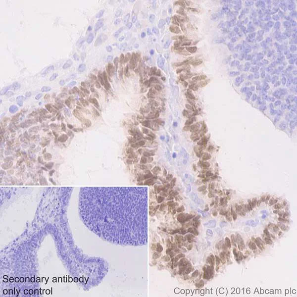
Immunohistochemical analysis of paraffin-embedded rat E14.5 choroid plexus tissue labeling Otx2 with ab183951 at 1/100 dilution, followed by Goat Anti-Rabbit IgG H&L (HRP) (ab97051) at 1/500 dilution. Nucleus staining on choroid plexus of E14.5 rat is observed [PMID : 23364326]. Counter stained with Hematoxylin.

Secondary antibody only control : Used PBS instead of primary antibody, secondary antibody is Goat Anti-Rabbit IgG H&L (HRP) (ab97051) at 1/500 dilution.

This data was developed using the same antibody clone in a different buffer formulation containing PBS, BSA, glycerol, and sodium azide (ab183951).

Perform heat mediated antigen retrieval with Tris/EDTA buffer pH 9.0 before commencing with IHC staining protocol.

Immunohistochemistry (Formalin/PFA-fixed paraffin-embedded sections) - Anti-Otx2 antibody [EPR20375] - BSA and Azide free (AB222495)
  • IHC-P

Supplier Data

Immunohistochemistry (Formalin/PFA-fixed paraffin-embedded sections) - Anti-Otx2 antibody [EPR20375] - BSA and Azide free (AB222495)

Immunohistochemical analysis of paraffin-embedded mouse E14.5 choroid plexus tissue labeling Otx2 with ab183951 at 1/100 dilution, followed by Goat Anti-Rabbit IgG H&L (HRP) (ab97051) at 1/500 dilution. Nucleus staining on choroid plexus of E14.5 mouse is observed [PMID : 23364326]. Counter stained with Hematoxylin.

Secondary antibody only control : Used PBS instead of primary antibody, secondary antibody is Goat Anti-Rabbit IgG H&L (HRP) (ab97051) at 1/500 dilution.

This data was developed using the same antibody clone in a different buffer formulation containing PBS, BSA, glycerol, and sodium azide (ab183951).

Perform heat mediated antigen retrieval with Tris/EDTA buffer pH 9.0 before commencing with IHC staining protocol.

Western blot - Anti-Otx2 antibody [EPR20375] - BSA and Azide free (AB222495)
  • WB

Lab

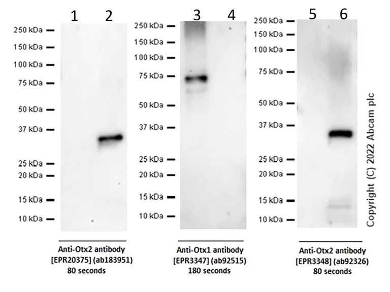
Western blot - Anti-Otx2 antibody [EPR20375] - BSA and Azide free (AB222495)

This data was developed using ab183951, the same antibody clone in a different buffer formulation.

Blocking and diluting buffer and concentration : 5% NFDM/TBST.

Lanes 1 - 2:

Western blot - Anti-Otx2 antibody [EPR20375] (<a href='/en-us/products/primary-antibodies/otx2-antibody-epr20375-ab183951'>ab183951</a>) at 1/1000 dilution

Lanes 3 - 4:

Western blot - Anti-Otx1 antibody [EPR3347] (<a href='/en-us/products/primary-antibodies/otx1-antibody-epr3347-ab92515'>ab92515</a>) at 1/1000 dilution

Lanes 5 - 6:

Western blot - Anti-Otx2 antibody [EPR3348] (<a href='/en-us/products/primary-antibodies/otx2-antibody-epr3348-ab92326'>ab92326</a>) at 1/1000 dilution

Lanes 1, 3 and 5:

GST-tagged Human OTX1 full length recombinant protein at 10 ng

Lanes 2, 4 and 6:

His-tagged Human OTX2 full length recombinant protein at 10 ng

Secondary

All lanes:

Western blot - Goat Anti-Rabbit IgG H&L (HRP) (<a href='/en-us/products/secondary-antibodies/goat-rabbit-igg-h-l-hrp-ab97051'>ab97051</a>) at 1/20000 dilution

Observed band size: 35 kDa,75 kDa

false

Immunoprecipitation - Anti-Otx2 antibody [EPR20375] - BSA and Azide free (AB222495)
  • IP

Supplier Data

Immunoprecipitation - Anti-Otx2 antibody [EPR20375] - BSA and Azide free (AB222495)

Otx2 was immunoprecipitated from 0.35 mg of Y79 (Human retinoblastoma cell line) whole cell lysate with ab183951 at 1/30 dilution. Western blot was performed from the immunoprecipitate using ab183951 at 1/1000 dilution. VeriBlot for IP Detection Reagent (HRP) (ab131366), was used for detection at 1/10000 dilution.

Lane 1 : Y79 whole cell lysate, 10 μg (Input).

Lane 2 : ab183951 IP in Y79 whole cell lysate.

Lane 3 : Rabbit monoclonal IgG (ab172730) instead of ab183951 in Y79 whole cell lysate.

Blocking and dilution buffer and concentration : 5% NFDM/TBST.

Exposure time : 30 seconds.

This data was developed using the same antibody clone in a different buffer formulation containing PBS, BSA, glycerol, and sodium azide (ab183951).

All lanes:

Immunoprecipitation - Anti-Otx2 antibody [EPR20375] (<a href='/en-us/products/primary-antibodies/otx2-antibody-epr20375-ab183951'>ab183951</a>)

Predicted band size: 32 kDa

Observed band size: 32 kDa,34 kDa

false

Key facts

Host species

Rabbit

Clonality

Monoclonal

Clone number

EPR20375

Isotype

IgG

Carrier free

Yes

Reacts with

Mouse, Rat, Human

Applications

IHC-P, WB, IP

applications

Immunogen

The exact immunogen used to generate this antibody is proprietary information.

Specificity

This antibody recognizes isoform 1 and isoform 2 of Otx2.

Reactivity data

{ "title": "Reactivity Data", "filters": { "stats": ["", "Species", "Dilution Info", "Notes"], "tabs": { "all-applications": {"fullname" : "All Applications", "shortname": "All Applications"}, "IP" : {"fullname" : "Immunoprecipitation", "shortname":"IP"}, "WB" : {"fullname" : "Western blot", "shortname":"WB"}, "IHCP" : {"fullname" : "Immunohistochemistry (Formalin/PFA-fixed paraffin-embedded sections)", "shortname":"IHC-P"} }, "product-promise": { "all": "all", "testedAndGuaranteed": "tested", "guaranteed": "expected", "predicted": "predicted", "notRecommended": "not-recommended" } }, "values": { "Human": { "IP-species-checked": "testedAndGuaranteed", "IP-species-dilution-info": "", "IP-species-notes": "<p></p>", "WB-species-checked": "testedAndGuaranteed", "WB-species-dilution-info": "", "WB-species-notes": "<p></p>", "IHCP-species-checked": "testedAndGuaranteed", "IHCP-species-dilution-info": "", "IHCP-species-notes": "<p></p> Perform heat-mediated antigen retrieval with Tris/EDTA buffer pH 9.0 before commencing with IHC staining protocol." }, "Mouse": { "IP-species-checked": "guaranteed", "IP-species-dilution-info": "", "IP-species-notes": "", "WB-species-checked": "guaranteed", "WB-species-dilution-info": "", "WB-species-notes": "", "IHCP-species-checked": "testedAndGuaranteed", "IHCP-species-dilution-info": "", "IHCP-species-notes": "<p></p> Perform heat-mediated antigen retrieval with Tris/EDTA buffer pH 9.0 before commencing with IHC staining protocol." }, "Rat": { "IP-species-checked": "guaranteed", "IP-species-dilution-info": "", "IP-species-notes": "", "WB-species-checked": "guaranteed", "WB-species-dilution-info": "", "WB-species-notes": "", "IHCP-species-checked": "testedAndGuaranteed", "IHCP-species-dilution-info": "", "IHCP-species-notes": "<p></p> Perform heat-mediated antigen retrieval with Tris/EDTA buffer pH 9.0 before commencing with IHC staining protocol." } } }

Product details

ab222495 is the carrier-free version of ab183951.

Patented technology
Our RabMAb® technology is a patented hybridoma-based technology for making rabbit monoclonal antibodies. For details on our patents, please refer to RabMAb® patents.

Conjugation ready
Our carrier-free antibodies are typically supplied in a PBS-only formulation, purified and free of BSA, sodium azide and glycerol. This conjugation-ready format is designed for use with fluorochromes, metal isotopes, oligonucleotides, and enzymes, which makes them ideal for antibody labelling, functional and cell-based assays, flow-based assays (e.g. mass cytometry) and Multiplex Imaging applications.

Use our conjugation kits for antibody conjugates that are ready-to-use in as little as 20 minutes with 1 minute hands-on-time and 100% antibody recovery: available for fluorescent dyes, HRP, biotin and gold.

Compatibility
This product is compatible with the Maxpar® Antibody Labeling Kit from Fluidigm, without the need for antibody preparation. Maxpar® is a trademark of Fluidigm Canada Inc.

Properties and storage information

Form
Liquid
Purification technique
Affinity purification Protein A
Storage buffer
pH: 7.2 - 7.4 Constituents: PBS
Shipped at conditions
Blue Ice
Appropriate short-term storage conditions
+4°C
Appropriate long-term storage conditions
+4°C
Storage information
Do Not Freeze

Supplementary information

This supplementary information is collated from multiple sources and compiled automatically.

Otx2 also known as Orthodenticle homeobox 2 is a transcription factor involved in the regulation of gene expression. With a mass of approximately 34 kDa it expresses mainly in the brain and eyes during embryonic development. Otx2 plays a central role in early patterning of the head and is essential for the development of structures such as the brain and retina. During adulthood its expression continues although in a more restricted manner within specific regions of the brain.
Biological function summary

Otx2 regulates the expression of genes necessary for cell differentiation and organ development. It functions as part of transcriptional complexes that control specific patterns of development in the central nervous system. This protein helps in maintaining the regional identity of cells ensuring the proper formation and function of neural tissues. By influencing key developmental processes Otx2 shapes the intricate architecture of the brain and contributes to its complexity.

Pathways

Otx2 integrates into the Wnt signaling and Hedgehog pathways which are critical for early embryonic development. It interacts with proteins such as Pax6 and En1 within these pathways to modulate developmental signals and maintain proper cellular functions. Through precise regulation of these pathways Otx2 ensures coordinated developmental processes that establish proper tissue and organ formation.

Otx2 plays an important role in certain developmental eye disorders and brain structural defects. Mutations or malfunctions in Otx2 expression can lead to conditions such as anophthalmia or microphthalmia and pituitary gland abnormalities. Otx2's interplay with proteins like Pax6 is significant in these disorders as disruptions in their functions can result in profound developmental consequences highlighting the importance of Otx2 in ocular and neurological health.

Product protocols

For this product, it's our understanding that no specific protocols are required. You can visit:

Target data

Transcription factor probably involved in the development of the brain and the sense organs. Can bind to the bicoid/BCD target sequence (BTS) : 5'-TCTAATCCC-3'.
See full target information OTX2

Publications (1)

Recent publications for all applications. Explore the full list and refine your search

Journal of ophthalmology 2024:1470898 PubMed38282961

2024

miR-26a-5p Attenuates Oxidative Stress and Inflammation in Diabetic Retinopathy through the USP14/NF-B Signaling Pathway.

Applications

Unspecified application

Species

Unspecified reactive species

Jie Bian,Weizhong Ge,Zhengmei Jiang
View all publications

Product promise

We are committed to supporting your work with high-quality reagents, and we're here for you every step of the way. In the unlikely event that one of our products does not perform as expected, you're protected by our Product Promise.
For full details, please see our Terms & Conditions

Please note: All products are 'FOR RESEARCH USE ONLY. NOT FOR USE IN DIAGNOSTIC OR THERAPEUTIC PROCEDURES'.

For licensing inquiries, please contact partnerships@abcam.com