JavaScript is disabled in your browser. Please enable JavaScript to view this website.
AB224250

Anti-OXCT1/SCOT antibody

Be the first to review this product! Submit a review

|

(3 Publications)

Rabbit Polyclonal OXCT1/SCOT antibody. Suitable for IHC-P, WB, ICC/IF and reacts with Human, Mouse, Rat samples. Cited in 3 publications. Immunogen corresponding to Recombinant Fragment Protein within Human OXCT1 aa 50-250.

View Alternative Names

OXCT, SCOT, OXCT1, 3-oxoacid CoA-transferase 1, Somatic-type succinyl-CoA:3-oxoacid CoA-transferase, Succinyl-CoA:3-oxoacid CoA transferase, SCOT-s

8 Images
Immunohistochemistry (Formalin/PFA-fixed paraffin-embedded sections) - Anti-OXCT1/SCOT antibody (AB224250)
  • IHC-P

Unknown

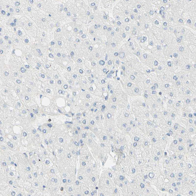
Immunohistochemistry (Formalin/PFA-fixed paraffin-embedded sections) - Anti-OXCT1/SCOT antibody (AB224250)

Paraffin-embedded human liver stained for OXCT1 using ab224250 at 1/200 dilution in immunohistochemical analysis. Shows no positivity in hepatocytes as expected.

Immunohistochemistry (Formalin/PFA-fixed paraffin-embedded sections) - Anti-OXCT1/SCOT antibody (AB224250)
  • IHC-P

Unknown

Immunohistochemistry (Formalin/PFA-fixed paraffin-embedded sections) - Anti-OXCT1/SCOT antibody (AB224250)

Paraffin-embedded human heart stained for OXCT1 using ab224250 at 1/200 dilution in immunohistochemical analysis. Shows strong cytoplasmic positivity in cardiomyocytes.

Immunocytochemistry/ Immunofluorescence - Anti-OXCT1/SCOT antibody (AB224250)
  • ICC/IF

Supplier Data

Immunocytochemistry/ Immunofluorescence - Anti-OXCT1/SCOT antibody (AB224250)

PFA-fixed, Triton X-100 permeabilized A431 (human epidermoid carcinoma cell line) cells stained for OXCT1/SCOT (green) using ab224250 (4 μg/ml) in ICC/IF.

Immunohistochemistry (Formalin/PFA-fixed paraffin-embedded sections) - Anti-OXCT1/SCOT antibody (AB224250)
  • IHC-P

Unknown

Immunohistochemistry (Formalin/PFA-fixed paraffin-embedded sections) - Anti-OXCT1/SCOT antibody (AB224250)

Paraffin-embedded human testis stained for OXCT1 using ab224250 at 1/200 dilution in immunohistochemical analysis. Shows strong cytoplasmic positivity in cells in seminiferous ducts.

Immunohistochemistry (Formalin/PFA-fixed paraffin-embedded sections) - Anti-OXCT1/SCOT antibody (AB224250)
  • IHC-P

Unknown

Immunohistochemistry (Formalin/PFA-fixed paraffin-embedded sections) - Anti-OXCT1/SCOT antibody (AB224250)

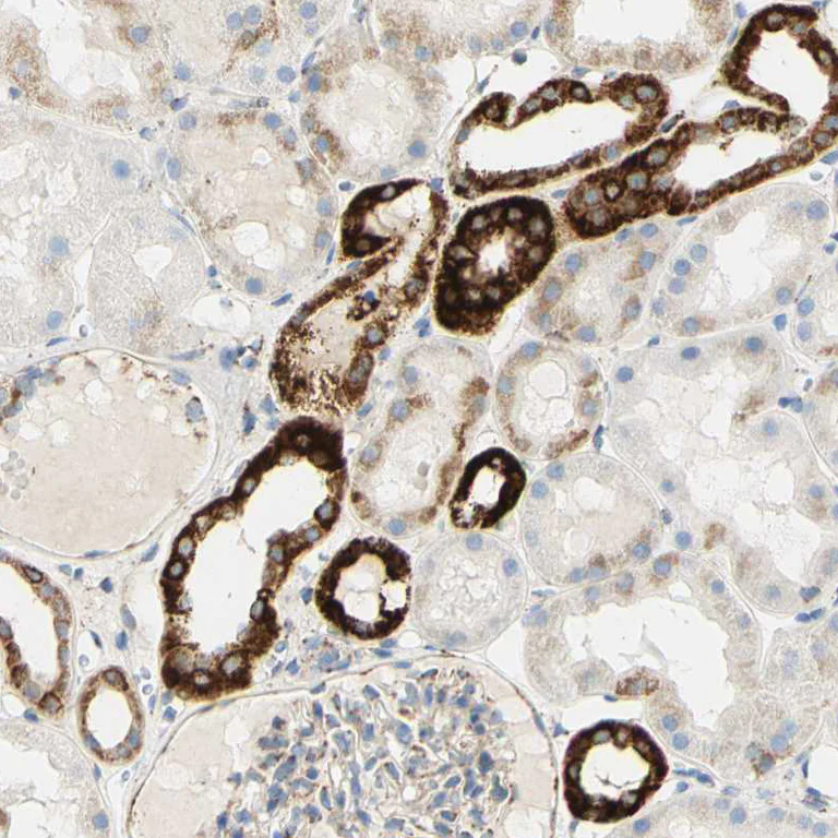
Paraffin-embedded human kidney stained for OXCT1 using ab224250 at 1/200 dilution in immunohistochemical analysis. Shows strong cytoplasmic positivity in cells in tubules.

Western blot - Anti-OXCT1/SCOT antibody (AB224250)
  • WB

Lab

Western blot - Anti-OXCT1/SCOT antibody (AB224250)

False colour image of Western blot : Anti-OXCT1/SCOT antibody staining at 0.04 μg/ml, shown in green; Mouse anti-GAPDH antibody [6C5] (ab8245) loading control staining at 1/20000 dilution, shown in red. In Western blot, ab224250 was shown to bind specifically to OXCT1/SCOT. A band was observed at 56 kDa in wild-type HeLa cell lysates with no signal observed at this size in OXCT1 knockout cell line ab265358 (knockout cell lysate ab258557). To generate this image, wild-type and OXCT1 knockout HeLa cell lysates were analysed. First, samples were run on an SDS-PAGE gel then transferred onto a nitrocellulose membrane. Membranes were blocked in 3 % milk in TBS-0.1 % Tween® 20 (TBS-T) before incubation with primary antibodies overnight at 4 °C. Blots were washed four times in TBS-T, incubated with secondary antibodies for 1 h at room temperature, washed again four times then imaged. Secondary antibodies used were Goat anti-Rabbit IgG H&L (IRDye® 800CW) preabsorbed (ab216773) and Goat anti-Mouse IgG H&L (IRDye® 680RD) preabsorbed (ab216776) at 1/20000 dilution.

All lanes:

Western blot - Anti-OXCT1/SCOT antibody (ab224250) at 0.04 µg/mL

Lane 1:

Wild-type HeLa cell lysate at 18 µg

Lane 2:

Western blot - Human OXCT1 (SCOT) knockout HeLa cell lysate (<a href='/en-us/products/cell-lysates/human-oxct1-scot-knockout-hela-cell-lysate-ab258557'>ab258557</a>) at 18 µg

Lane 3:

Jurkat cell lysate at 18 µg

Lane 4:

A549 cell lysate at 18 µg

Secondary

Lanes 1 - 4:

Western blot - Goat anti-Rabbit IgG H&L (IRDye® 800CW) preadsorbed (<a href='/en-us/products/secondary-antibodies/goat-rabbit-igg-h-l-irdye-800cw-preadsorbed-ab216773'>ab216773</a>) at 1/20000 dilution

Lanes 1 - 4:

Western blot - Goat anti-Mouse IgG H&L (IRDye® 680RD) preadsorbed (<a href='/en-us/products/secondary-antibodies/goat-mouse-igg-h-l-irdye-680rd-preadsorbed-ab216776'>ab216776</a>) at 1/20000 dilution

Predicted band size: 56 kDa

Observed band size: 56 kDa,37 kDa

false

Western blot - Anti-OXCT1/SCOT antibody (AB224250)
  • WB

Unknown

Western blot - Anti-OXCT1/SCOT antibody (AB224250)

Loading control : Anti-COX4I1.

Lane 1:

ab224250 at 0.4 µg/mL

Lane 2:

Western blot - Anti-OXCT1/SCOT antibody (ab224250) at 0.4 µg/mL

Lane 1:

HeLa (Human epithelial cell line from cervix adenocarcinoma) lysate

Lane 2:

A549 (Human lung carcinoma cell line) lysate

Predicted band size: 56 kDa

false

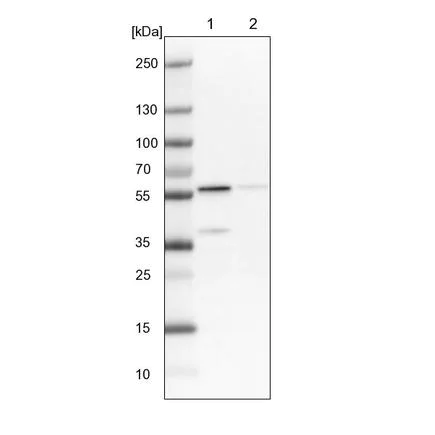
Western blot - Anti-OXCT1/SCOT antibody (AB224250)
  • WB

Supplier Data

Western blot - Anti-OXCT1/SCOT antibody (AB224250)

All lanes:

Western blot - Anti-OXCT1/SCOT antibody (ab224250) at 1/100 dilution

Lane 1:

NIH/3T3 (mouse embyro fibroblast cell line) cell lysate

Lane 2:

NBT-II (rat Wistar bladder tumor cell line) cell lysate

Predicted band size: 56 kDa,86 kDa

false

Key facts

Host species

Rabbit

Clonality

Polyclonal

Isotype

IgG

Carrier free

No

Reacts with

Mouse, Rat, Human

Applications

WB, IHC-P, ICC/IF

applications

Immunogen

Recombinant Fragment Protein within Human OXCT1 aa 50-250. The exact immunogen used to generate this antibody is proprietary information.

P55809

Reactivity data

{ "title": "Reactivity Data", "filters": { "stats": ["", "Species", "Dilution Info", "Notes"], "tabs": { "all-applications": {"fullname" : "All Applications", "shortname": "All Applications"}, "IHCP" : {"fullname" : "Immunohistochemistry (Formalin/PFA-fixed paraffin-embedded sections)", "shortname":"IHC-P"}, "WB" : {"fullname" : "Western blot", "shortname":"WB"}, "ICCIF" : {"fullname" : "Immunocytochemistry/ Immunofluorescence", "shortname":"ICC/IF"} }, "product-promise": { "all": "all", "testedAndGuaranteed": "tested", "guaranteed": "expected", "predicted": "predicted", "notRecommended": "not-recommended" } }, "values": { "Human": { "IHCP-species-checked": "testedAndGuaranteed", "IHCP-species-dilution-info": "1/200 - 1/500", "IHCP-species-notes": "<p></p> Perform heat-mediated antigen retrieval with citrate buffer pH 6 before commencing with IHC staining protocol.", "WB-species-checked": "testedAndGuaranteed", "WB-species-dilution-info": "0.04-0.4 µg/mL", "WB-species-notes": "<p></p>", "ICCIF-species-checked": "testedAndGuaranteed", "ICCIF-species-dilution-info": "0.25-2 µg/mL", "ICCIF-species-notes": "<p>Fixation/Permeabilization: PFA/Triton X-100.</p>" }, "Mouse": { "IHCP-species-checked": "guaranteed", "IHCP-species-dilution-info": "", "IHCP-species-notes": "", "WB-species-checked": "testedAndGuaranteed", "WB-species-dilution-info": "0.04-0.4 µg/mL", "WB-species-notes": "<p></p>", "ICCIF-species-checked": "guaranteed", "ICCIF-species-dilution-info": "", "ICCIF-species-notes": "" }, "Rat": { "IHCP-species-checked": "guaranteed", "IHCP-species-dilution-info": "", "IHCP-species-notes": "", "WB-species-checked": "testedAndGuaranteed", "WB-species-dilution-info": "0.04-0.4 µg/mL", "WB-species-notes": "<p></p>", "ICCIF-species-checked": "guaranteed", "ICCIF-species-dilution-info": "", "ICCIF-species-notes": "" }, "Pig": { "IHCP-species-checked": "predicted", "IHCP-species-dilution-info": "", "IHCP-species-notes": "", "WB-species-checked": "predicted", "WB-species-dilution-info": "", "WB-species-notes": "", "ICCIF-species-checked": "predicted", "ICCIF-species-dilution-info": "", "ICCIF-species-notes": "" } } }

Properties and storage information

Form
Liquid
Purification technique
Affinity purification Immunogen
Storage buffer
pH: 7.2 Preservative: 0.02% Sodium azide Constituents: PBS, 40% Glycerol (glycerin, glycerine)
Shipped at conditions
Blue Ice
Appropriate short-term storage duration
1-2 weeks
Appropriate short-term storage conditions
+4°C
Appropriate long-term storage conditions
-20°C
Aliquoting information
Upon delivery aliquot
Storage information
Avoid freeze / thaw cycle

Supplementary information

This supplementary information is collated from multiple sources and compiled automatically.

OXCT1 also known as SCOT (succinyl-CoA:3-ketoacid CoA transferase) is an enzyme that transfers CoA groups from succinyl-CoA to acetoacetate facilitating ketone body metabolism. This enzyme has a molecular mass of approximately 56 kDa. It is expressed widely in tissues with high metabolic activity including heart kidney and skeletal muscle where energy demands are significant. There OXCT1 aids in the efficient utilization of energy resources during processes like fasting and high-intensity exercise.
Biological function summary

OXCT1 functions as an important enzyme in ketolysis which is the breakdown of ketone bodies for energy production. It does not operate within a large complex but interacts closely with other enzymes involved in similar metabolic processes. OXCT1 ensures that tissues efficiently convert ketone bodies like acetoacetate and beta-hydroxybutyrate into acetyl-CoA which then feeds into the citric acid cycle to fulfill energy requirements especially when carbohydrates are sparse.

Pathways

OXCT1 is an important component of the ketone body metabolism pathway linking it to energy homeostasis and ketogenesis. It directly interacts with enzymes like acetoacetyl-CoA thiolase and beta-hydroxybutyrate dehydrogenase. Through these associations it integrates into larger metabolic pathways such as the citric acid cycle which is essential for energy production under conditions when lipids become a primary source for energy generation.

OXCT1 is implicated in conditions like ketosis-prone type 2 diabetes and mitochondrial diseases. Alterations in the enzyme's function can disrupt energy homeostasis leading to an excess of ketone bodies in the blood known as ketoacidosis particularly in diabetic patients. Additionally mutations or deficiencies in OXCT1 can be associated with disorders of mitochondrial energy metabolism with potential interactions involving proteins like pyruvate dehydrogenase and other components of the respiratory chain contributing to disease pathogenesis.

Product protocols

For this product, it's our understanding that no specific protocols are required. You can visit:

Target data

Key enzyme for ketone body catabolism. Catalyzes the first, rate-limiting step of ketone body utilization in extrahepatic tissues, by transferring coenzyme A (CoA) from a donor thiolester species (succinyl-CoA) to an acceptor carboxylate (acetoacetate), and produces acetoacetyl-CoA. Acetoacetyl-CoA is further metabolized by acetoacetyl-CoA thiolase into two acetyl-CoA molecules which enter the citric acid cycle for energy production (PubMed : 10964512). Forms a dimeric enzyme where both of the subunits are able to form enzyme-CoA thiolester intermediates, but only one subunit is competent to transfer the CoA moiety to the acceptor carboxylate (3-oxo acid) and produce a new acyl-CoA. Formation of the enzyme-CoA intermediate proceeds via an unstable anhydride species formed between the carboxylate groups of the enzyme and substrate (By similarity).
See full target information OXCT1

Publications (3)

Recent publications for all applications. Explore the full list and refine your search

Nutrients 16: PubMed38257179

2024

Sucrose-Enriched and Carbohydrate-Free High-Fat Diets Distinctly Affect Substrate Metabolism in Oxidative and Glycolytic Muscles of Rats.

Applications

Unspecified application

Species

Unspecified reactive species

Daniel Da Eira,Shailee Jani,Mateja Stefanovic,Rolando B Ceddia

Frontiers in endocrinology 13:960835 PubMed36237185

2022

Hyperinsulinemia impairs the metabolic switch to ketone body utilization in proximal renal tubular epithelial cells under energy crisis the inhibition of the SIRT3/SMCT1 pathway.

Applications

Unspecified application

Species

Unspecified reactive species

Jinlan Xie,Feifei Zhong,Zhenhong Guo,Xinran Li,Jingyu Wang,Zhongai Gao,Baocheng Chang,Juhong Yang

Nature communications 12:6035 PubMed34654800

2021

Compensatory ion transport buffers daily protein rhythms to regulate osmotic balance and cellular physiology.

Applications

Unspecified application

Species

Unspecified reactive species

Alessandra Stangherlin,Joseph L Watson,David C S Wong,Silvia Barbiero,Aiwei Zeng,Estere Seinkmane,Sew Peak Chew,Andrew D Beale,Edward A Hayter,Alina Guna,Alison J Inglis,Marrit Putker,Eline Bartolami,Stefan Matile,Nicolas Lequeux,Thomas Pons,Jason Day,Gerben van Ooijen,Rebecca M Voorhees,David A Bechtold,Emmanuel Derivery,Rachel S Edgar,Peter Newham,John S O'Neill
View all publications

Product promise

We are committed to supporting your work with high-quality reagents, and we're here for you every step of the way. In the unlikely event that one of our products does not perform as expected, you're protected by our Product Promise.
For full details, please see our Terms & Conditions

Please note: All products are 'FOR RESEARCH USE ONLY. NOT FOR USE IN DIAGNOSTIC OR THERAPEUTIC PROCEDURES'.

For licensing inquiries, please contact partnerships@abcam.com