JavaScript is disabled in your browser. Please enable JavaScript to view this website.
AB154616

Anti-OXSM antibody

Be the first to review this product! Submit a review

|

(2 Publications)

Rabbit Polyclonal OXSM antibody. Suitable for WB, IHC-P and reacts with Human samples. Cited in 2 publications. Immunogen corresponding to Recombinant Fragment Protein within Human OXSM aa 1-300.

View Alternative Names

Beta-ketoacyl-ACP synthase, OXSM

2 Images
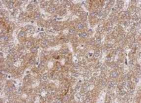
Immunohistochemistry (Formalin/PFA-fixed paraffin-embedded sections) - Anti-OXSM antibody (AB154616)
  • IHC-P

Unknown

Immunohistochemistry (Formalin/PFA-fixed paraffin-embedded sections) - Anti-OXSM antibody (AB154616)

Immunohistochemical analysis of paraffin-embedded Human hepatoma tissue labeling OXSM with ab154616 at 1/500 dilution.

Western blot - Anti-OXSM antibody (AB154616)
  • WB

Unknown

Western blot - Anti-OXSM antibody (AB154616)

10% SDS PAGE

All lanes:

Western blot - Anti-OXSM antibody (ab154616) at 1/1000 dilution

All lanes:

HeLa whole cell lysate at 30 µg

Predicted band size: 48 kDa

false

Key facts

Host species

Rabbit

Clonality

Polyclonal

Isotype

IgG

Carrier free

No

Reacts with

Human

Applications

IHC-P, WB

applications

Immunogen

Recombinant Fragment Protein within Human OXSM aa 1-300. The exact immunogen used to generate this antibody is proprietary information.

Q9NWU1

Reactivity data

{ "title": "Reactivity Data", "filters": { "stats": ["", "Species", "Dilution Info", "Notes"], "tabs": { "all-applications": {"fullname" : "All Applications", "shortname": "All Applications"}, "WB" : {"fullname" : "Western blot", "shortname":"WB"}, "IHCP" : {"fullname" : "Immunohistochemistry (Formalin/PFA-fixed paraffin-embedded sections)", "shortname":"IHC-P"} }, "product-promise": { "all": "all", "testedAndGuaranteed": "tested", "guaranteed": "expected", "predicted": "predicted", "notRecommended": "not-recommended" } }, "values": { "Human": { "WB-species-checked": "testedAndGuaranteed", "WB-species-dilution-info": "1/500 - 1/3000", "WB-species-notes": "<p></p>", "IHCP-species-checked": "testedAndGuaranteed", "IHCP-species-dilution-info": "1/100 - 1/1000", "IHCP-species-notes": "<p></p>" }, "Rat": { "WB-species-checked": "predicted", "WB-species-dilution-info": "", "WB-species-notes": "", "IHCP-species-checked": "predicted", "IHCP-species-dilution-info": "", "IHCP-species-notes": "" } } }

Properties and storage information

Form
Liquid
Purification technique
Affinity purification Immunogen
Storage buffer
pH: 7 Preservative: 0.01% Thimerosal (merthiolate) Constituents: 78.99% PBS, 20% Glycerol (glycerin, glycerine), 1% BSA
Shipped at conditions
Blue Ice
Appropriate short-term storage conditions
+4°C
Appropriate long-term storage conditions
-20°C
Aliquoting information
Upon delivery aliquot
Storage information
Avoid freeze / thaw cycle

Supplementary information

This supplementary information is collated from multiple sources and compiled automatically.

OXSM also known as 3-oxoacyl-[acyl-carrier-protein] synthase mitochondrial is an important enzyme in the mitochondrial fatty acid synthesis pathway. It participates in the elongation of fatty acids by catalyzing a ketoacyl synthesis reaction. This protein has a molecular mass of approximately 50 kDa. OXSM is mainly expressed in tissues with high metabolic activity such as liver and muscle tissues where it supports the dynamic balance of fatty acid synthesis.
Biological function summary

OXSM plays a part in mitochondrial lipid homeostasis by facilitating the synthesis of longer chain fatty acids. It operates as part of a multiprotein complex that ensures proper substrate channeling and processing. This function is critical for the maintenance and functioning of cellular membranes providing the necessary lipid components. Additionally OXSM contributes to energy production by generating fatty acids that can be converted into acetyl-CoA units within the mitochondria.

Pathways

Several metabolic pathways involve OXSM including the mitochondrial fatty acid synthesis and the broader lipid metabolism pathway. In the mitochondrial fatty acid synthesis pathway OXSM interacts with proteins like Acyl-CoA synthetase family member 1 (ACSF1) to facilitate the progression of fatty acid synthesis. These pathways collectively contribute to energy homeostasis and cellular membrane composition reflecting the interconnectivity between various metabolic functions.

Researchers associate OXSM with rare mitochondrial disorders linked to lipid metabolism. For instance mutations or dysfunctions in OXSM can result in compromised mitochondrial function potentially contributing to neuromuscular disorders. It also connects to carnitine palmitoyltransferase 1A (CPT1A) another key enzyme in fatty acid metabolism which highlights the interconnected nature of mitochondrial metabolic disorders. Understanding OXSM's role in these conditions can lead to better insights for therapeutic strategies.

Product protocols

For this product, it's our understanding that no specific protocols are required. You can visit:

Target data

May play a role in the biosynthesis of lipoic acid as well as longer chain fatty acids required for optimal mitochondrial function.
See full target information OXSM

Publications (2)

Recent publications for all applications. Explore the full list and refine your search

Therapeutic advances in medical oncology 14:17588359211072621 PubMed35082925

2022

Prognostic value of the immune target CEACAM6 in cancer: a meta-analysis.

Applications

Unspecified application

Species

Unspecified reactive species

Miguel Burgos,Iván Cavero-Redondo,Celia Álvarez-Bueno,Eva María Galán-Moya,Atanasio Pandiella,Eitan Amir,Alberto Ocaña

Biochemical and biophysical research communication 512:106-111 PubMed30871779

2019

Reduction of mitochondrial 3-oxoacyl-ACP synthase (OXSM) by hyperglycemia is associated with deficiency of α-lipoic acid synthetic pathway in kidney of diabetic mice.

Applications

Unspecified application

Species

Unspecified reactive species

Ting Gao,Shengnan Qian,Shuang Shen,Xiaoying Zhang,Junli Liu,Weiping Jia,Zhong Chen,Jianping Ye
View all publications

Product promise

We are committed to supporting your work with high-quality reagents, and we're here for you every step of the way. In the unlikely event that one of our products does not perform as expected, you're protected by our Product Promise.
For full details, please see our Terms & Conditions

Please note: All products are 'FOR RESEARCH USE ONLY. NOT FOR USE IN DIAGNOSTIC OR THERAPEUTIC PROCEDURES'.

For licensing inquiries, please contact partnerships@abcam.com