JavaScript is disabled in your browser. Please enable JavaScript to view this website.
AB235954

Anti-P Glycoprotein antibody

4

(2 Reviews)

|

(16 Publications)

Rabbit Polyclonal P Glycoprotein antibody. Suitable for IHC-P, ICC/IF and reacts with Human samples. Cited in 16 publications. Immunogen corresponding to Recombinant Fragment Protein within Human ABCB1 aa 200-300.

View Alternative Names

CD243, MDR1, PGY1, ABCB1, ATP-dependent translocase ABCB1, ATP-binding cassette sub-family B member 1, Multidrug resistance protein 1, P-glycoprotein 1, Phospholipid transporter ABCB1

3 Images
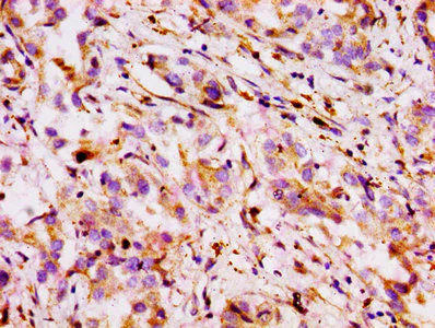
Immunohistochemistry (Formalin/PFA-fixed paraffin-embedded sections) - Anti-P Glycoprotein antibody (AB235954)
  • IHC-P

Supplier Data

Immunohistochemistry (Formalin/PFA-fixed paraffin-embedded sections) - Anti-P Glycoprotein antibody (AB235954)

Paraffin-embedded human liver cancer tissue stained for P Glycoprotein with ab235954 at a 1/100 dilution in immunohistochemical analysis.

Immunocytochemistry/ Immunofluorescence - Anti-P Glycoprotein antibody (AB235954)
  • ICC/IF

Supplier Data

Immunocytochemistry/ Immunofluorescence - Anti-P Glycoprotein antibody (AB235954)

HepG2 (Human liver hepatocellular carcinoma cell line) cells stained for P Glycoprotein using ab235954 at a dilution of 1/100 in ICC/IF. Secondary used is an Alexa-Fluor®488-conjugated Goat Anti-Rabbit IgG (H+L).

Immunohistochemistry (Formalin/PFA-fixed paraffin-embedded sections) - Anti-P Glycoprotein antibody (AB235954)
  • IHC-P

Supplier Data

Immunohistochemistry (Formalin/PFA-fixed paraffin-embedded sections) - Anti-P Glycoprotein antibody (AB235954)

Paraffin-embedded human placenta tissue stained for P Glycoprotein with ab235954 at a 1/50 dilution in immunohistochemical analysis.

Key facts

Host species

Rabbit

Clonality

Polyclonal

Isotype

IgG

Carrier free

No

Reacts with

Human

Applications

IHC-P, ICC/IF

applications

Immunogen

Recombinant Fragment Protein within Human ABCB1 aa 200-300. The exact immunogen used to generate this antibody is proprietary information.

P08183

Reactivity data

{ "title": "Reactivity Data", "filters": { "stats": ["", "Species", "Dilution Info", "Notes"], "tabs": { "all-applications": {"fullname" : "All Applications", "shortname": "All Applications"}, "IHCP" : {"fullname" : "Immunohistochemistry (Formalin/PFA-fixed paraffin-embedded sections)", "shortname":"IHC-P"}, "ICCIF" : {"fullname" : "Immunocytochemistry/ Immunofluorescence", "shortname":"ICC/IF"} }, "product-promise": { "all": "all", "testedAndGuaranteed": "tested", "guaranteed": "expected", "predicted": "predicted", "notRecommended": "not-recommended" } }, "values": { "Human": { "IHCP-species-checked": "testedAndGuaranteed", "IHCP-species-dilution-info": "1/20 - 1/200", "IHCP-species-notes": "<p></p>", "ICCIF-species-checked": "testedAndGuaranteed", "ICCIF-species-dilution-info": "1/50 - 1/200", "ICCIF-species-notes": "<p></p>" }, "Mouse": { "IHCP-species-checked": "predicted", "IHCP-species-dilution-info": "", "IHCP-species-notes": "", "ICCIF-species-checked": "predicted", "ICCIF-species-dilution-info": "", "ICCIF-species-notes": "" }, "Rat": { "IHCP-species-checked": "predicted", "IHCP-species-dilution-info": "", "IHCP-species-notes": "", "ICCIF-species-checked": "predicted", "ICCIF-species-dilution-info": "", "ICCIF-species-notes": "" }, "Chinese hamster": { "IHCP-species-checked": "predicted", "IHCP-species-dilution-info": "", "IHCP-species-notes": "", "ICCIF-species-checked": "predicted", "ICCIF-species-dilution-info": "", "ICCIF-species-notes": "" } } }

Properties and storage information

Form
Liquid
Purification technique
Affinity purification Protein G
Purification notes
Purity >95%.
Storage buffer
pH: 7.4 Preservative: 0.03% Proclin 300 Constituents: PBS, 50% Glycerol (glycerin, glycerine)
Shipped at conditions
Blue Ice
Appropriate short-term storage duration
1-2 weeks
Appropriate short-term storage conditions
+4°C
Appropriate long-term storage conditions
-20°C
Aliquoting information
Upon delivery aliquot
Storage information
Avoid freeze / thaw cycle

Supplementary information

This supplementary information is collated from multiple sources and compiled automatically.

P-glycoprotein also known as P-gp MDR1 transporter or ABCB1 is a well-characterized efflux transporter with a molecular mass of approximately 170 kDa. This protein is expressed in various normal tissues such as the liver intestine kidney blood-brain barrier and placenta. It is located on the cell membrane where it functions to expel a wide variety of substrates out of cells using energy derived from ATP hydrolysis. This capability of pumping out toxins and xenobiotics makes P-glycoprotein an important player in cellular detoxification.
Biological function summary

P-glycoprotein acts as a protective mechanism against toxic substances and drugs within the body. It is a member of the ATP-binding cassette (ABC) transporter family which is critical for their ability to transport molecules across membranes. P-glycoprotein is not typically part of a larger protein complex but can interact with other membrane proteins to facilitate its function. Its role in drug metabolism and excretion is vital for maintaining the balance and elimination of harmful substances.

Pathways

P-glycoprotein plays a significant role in the pharmacokinetics of drugs within the body. This transporter is involved in the multi-drug resistance (MDR) pathway which impacts the efficacy of chemotherapeutic agents. P-glycoprotein also interacts with other proteins like CYP3A4 which is involved in the metabolism of many drugs. These interactions affect the concentration and distribution of therapeutic agents contributing to the body's overall drug response.

P-glycoprotein is closely associated with multi-drug resistance in cancer where its overexpression can lead to reduced effectiveness of chemotherapy. It is also implicated in disorders of the central nervous system like epilepsy where it affects drug delivery to the brain. The protein has connections with CYP3A4 in these contexts where both together influence drug metabolism and efficacy complicating treatment regimens and therapeutic outcomes in these conditions.

Product protocols

For this product, it's our understanding that no specific protocols are required. You can visit:

Target data

Translocates drugs and phospholipids across the membrane (PubMed : 2897240, PubMed : 35970996, PubMed : 8898203, PubMed : 9038218). Catalyzes the flop of phospholipids from the cytoplasmic to the exoplasmic leaflet of the apical membrane. Participates mainly to the flop of phosphatidylcholine, phosphatidylethanolamine, beta-D-glucosylceramides and sphingomyelins (PubMed : 8898203). Energy-dependent efflux pump responsible for decreased drug accumulation in multidrug-resistant cells (PubMed : 2897240, PubMed : 35970996, PubMed : 9038218).
See full target information ABCB1

Publications (16)

Recent publications for all applications. Explore the full list and refine your search

Journal, genetic engineering & biotechnology 23:100496 PubMed40390503

2025

Co-expression of HIF1A with multi-drug transporters (P-GP, MRP1, and BCRP) in chemoresistant breast, colorectal, and ovarian cancer cells.

Applications

Unspecified application

Species

Unspecified reactive species

Sudipta Deb Nath,Md Tamzid Hossain Tanim,Md Mahmudul Hasan Akash,Mohammad Golam Mostafa,Abu Ashfaqur Sajib

Communications biology 7:177 PubMed38418614

2024

Modular tissue-in-a-CUBE platform to model blood-brain barrier (BBB) and brain interaction.

Applications

Unspecified application

Species

Unspecified reactive species

Isabel Koh,Masaya Hagiwara

Cell cycle (Georgetown, Tex.) 22:2211-2228 PubMed37974391

2023

Exosome-delivered circRNA circSYT15 contributes to cisplatin resistance in cervical cancer cells through the miR-503-5p/RSF1 axis.

Applications

Unspecified application

Species

Unspecified reactive species

Zhilong Chen,Zhen Xu,Qian Wang,Lu Wang,Hailing Zhang,Wuliang Wang,Hu Zhao,Yilin Guo,Jinquan Cui

Bioelectrochemistry (Amsterdam, Netherlands) 147:108199 PubMed35841647

2022

The role of catechin in electroporation of pancreatic cancer cells - Effects on pore formation and multidrug resistance proteins.

Applications

Unspecified application

Species

Unspecified reactive species

Olga Michel,Wojciech Szlasa,Dagmara Baczyńska,Jolanta Saczko,Mounir Tarek,Julita Kulbacka

Open medicine (Warsaw, Poland) 17:280-291 PubMed35233464

2022

circ_AKT3 knockdown suppresses cisplatin resistance in gastric cancer.

Applications

Unspecified application

Species

Unspecified reactive species

Wenting Shi,Fang Wang

Molecular medicine reports 25: PubMed34791507

2021

Effects of CD133 expression on chemotherapy and drug sensitivity of adenoid cystic carcinoma.

Applications

Unspecified application

Species

Unspecified reactive species

Lian Zhou,Ying Sun,Guo Ye,Yanguang Zhao,Jian Wu

Journal of Cancer 12:5712-5722 PubMed34475985

2021

LncRNA-H19 regulates chemoresistance to carboplatin in epithelial ovarian cancer through microRNA-29b-3p and STAT3.

Applications

Unspecified application

Species

Unspecified reactive species

Xueye Tian,Xiaohang Zuo,Meng Hou,Chen Li,Yue Teng

Open life sciences 16:667-681 PubMed34250246

2021

Long noncoding RNA HULC contributes to paclitaxel resistance in ovarian cancer via miR-137/ITGB8 axis.

Applications

Unspecified application

Species

Unspecified reactive species

Bo Huang,Min Wei,Li Hong

Translational oncology 14:101045 PubMed34023560

2021

Hsa_circ_0092276 promotes doxorubicin resistance in breast cancer cells by regulating autophagy via miR-348/ATG7 axis.

Applications

Unspecified application

Species

Unspecified reactive species

Qiuli Wang,Dong Liang,Peng Shen,Yang Yu,Yuan Yan,Wei You

OncoTargets and therapy 14:2773-2787 PubMed33907420

2021

Depletion of hsa_circ_0000144 Suppresses Oxaliplatin Resistance of Gastric Cancer Cells by Regulating miR-502-5p/ADAM9 Axis.

Applications

Unspecified application

Species

Unspecified reactive species

Haifeng Gao,Jiajia Xu,Fen Qiao,Liangjun Xue
View all publications

Product promise

We are committed to supporting your work with high-quality reagents, and we're here for you every step of the way. In the unlikely event that one of our products does not perform as expected, you're protected by our Product Promise.
For full details, please see our Terms & Conditions

Please note: All products are 'FOR RESEARCH USE ONLY. NOT FOR USE IN DIAGNOSTIC OR THERAPEUTIC PROCEDURES'.

For licensing inquiries, please contact partnerships@abcam.com