JavaScript is disabled in your browser. Please enable JavaScript to view this website.
AB216656

Anti-P Glycoprotein antibody [EPR10364-57] - BSA and Azide free

Be the first to review this product! Submit a review

|

(8 Publications)

Rabbit Recombinant Monoclonal P Glycoprotein antibody. Carrier free. Suitable for WB, IHC-P and reacts with Mouse, Rat, Human samples. Cited in 8 publications.

View Alternative Names

CD243, MDR1, PGY1, ABCB1, ATP-dependent translocase ABCB1, ATP-binding cassette sub-family B member 1, Multidrug resistance protein 1, P-glycoprotein 1, Phospholipid transporter ABCB1

15 Images
Immunohistochemistry (Formalin/PFA-fixed paraffin-embedded sections) - Anti-P Glycoprotein antibody [EPR10364-57] - BSA and Azide free (AB216656)
  • IHC-P

Supplier Data

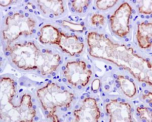
Immunohistochemistry (Formalin/PFA-fixed paraffin-embedded sections) - Anti-P Glycoprotein antibody [EPR10364-57] - BSA and Azide free (AB216656)

Immunohistochemistry (Formalin/PFA-fixed paraffin-embedded sections) analysis human kidney tissue labeling P Glycoprotein with unpurified ab170904 at 1/250 dilution.

This data was developed using the same antibody clone in a different buffer formulation containing PBS, BSA, glycerol, and sodium azide (ab170904).

Perform heat mediated antigen retrieval with Tris/EDTA buffer pH 9.0 before commencing with IHC staining protocol.

Immunohistochemistry (Formalin/PFA-fixed paraffin-embedded sections) - Anti-P Glycoprotein antibody [EPR10364-57] - BSA and Azide free (AB216656)
  • IHC-P

Unknown

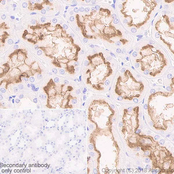
Immunohistochemistry (Formalin/PFA-fixed paraffin-embedded sections) - Anti-P Glycoprotein antibody [EPR10364-57] - BSA and Azide free (AB216656)

Immunohistochemistry (Formalin/PFA-fixed paraffin-embedded sections) analysis of human kidney tissue sections labeling P Glycoprotein with purified ab170904 at 1/1200 dilution (0.24 µg/ml). Heat mediated antigen retrieval was performed using ab93684 (Tris/EDTA buffer, pH 9.0) ImmunoHistoProbe one step HRP Polymer (ready to use) was used as the secondary antibody. Hematoxylin was used as a counterstain.

Negative control : PBS instead of the primary antibody (inset).

This data was developed using the same antibody clone in a different buffer formulation containing PBS, BSA, glycerol, and sodium azide (ab170904).

Immunohistochemistry (Formalin/PFA-fixed paraffin-embedded sections) - Anti-P Glycoprotein antibody [EPR10364-57] - BSA and Azide free (AB216656)
  • IHC-P

Lab

Immunohistochemistry (Formalin/PFA-fixed paraffin-embedded sections) - Anti-P Glycoprotein antibody [EPR10364-57] - BSA and Azide free (AB216656)

Immunohistochemistry (Formalin/PFA-fixed paraffin-embedded sections) analysis of human brain tissue labeling P Glycoprotein with purified ab170904 at 1/100. Heat mediated antigen retrieval was performed using Tris/EDTA buffer pH 9. A prediluted HRP-polymer conjugated anti-rabbit IgG was used as the secondary antibody.

Counterstained with hematoxylin.

This data was developed using the same antibody clone in a different buffer formulation containing PBS, BSA, glycerol, and sodium azide (ab170904).

Immunohistochemistry (Formalin/PFA-fixed paraffin-embedded sections) - Anti-P Glycoprotein antibody [EPR10364-57] - BSA and Azide free (AB216656)
  • IHC-P

Lab

Immunohistochemistry (Formalin/PFA-fixed paraffin-embedded sections) - Anti-P Glycoprotein antibody [EPR10364-57] - BSA and Azide free (AB216656)

Immunohistochemistry (Formalin/PFA-fixed paraffin-embedded sections) analysis of human brain tissue labeling P Glycoprotein with unpurified ab170904 at 1/20. Heat mediated antigen retrieval was performed using Tris/EDTA buffer pH 9. A prediluted HRP-polymer conjugated anti-rabbit IgG was used as the secondary antibody.

Counterstained with hematoxylin.

This data was developed using the same antibody clone in a different buffer formulation containing PBS, BSA, glycerol, and sodium azide (ab170904).

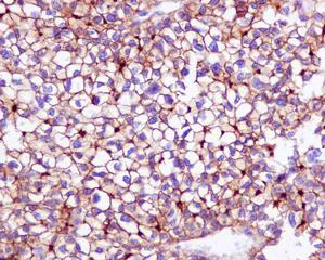
Immunohistochemistry (Formalin/PFA-fixed paraffin-embedded sections) - Anti-P Glycoprotein antibody [EPR10364-57] - BSA and Azide free (AB216656)
  • IHC-P

Supplier Data

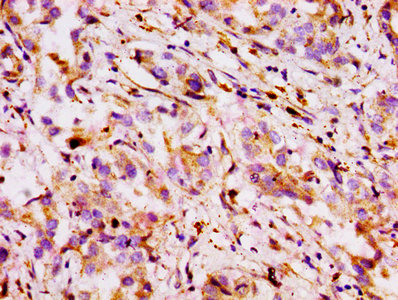
Immunohistochemistry (Formalin/PFA-fixed paraffin-embedded sections) - Anti-P Glycoprotein antibody [EPR10364-57] - BSA and Azide free (AB216656)

This IHC data was generated using the same anti-P Glycoprotein antibody clone, EPR10364-57, in a different buffer formulation (cat# ab170904).

Immunohistochemistry (Formalin/PFA-fixed paraffin-embedded sections) analysis of human hepatocellular carcinoma tissue labelling P Glycoprotein with unpurified ab170904 at 1/250 dilution.

Perform heat mediated antigen retrieval with Tris/EDTA buffer pH 9.0 before commencing with IHC staining protocol.

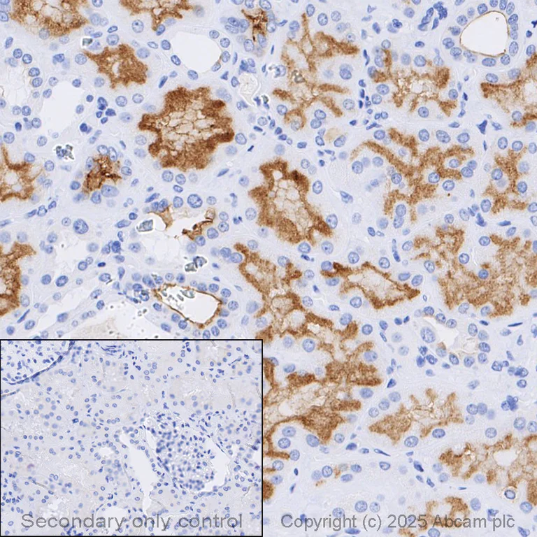
Immunohistochemistry (Formalin/PFA-fixed paraffin-embedded sections) - Anti-P Glycoprotein antibody [EPR10364-57] - BSA and Azide free (AB216656)
  • IHC-P

Lab

Immunohistochemistry (Formalin/PFA-fixed paraffin-embedded sections) - Anti-P Glycoprotein antibody [EPR10364-57] - BSA and Azide free (AB216656)

This data was developed using ab170904 the same antibody clone in a different buffer formulation.

Immunohistochemical analysis of formalin fixed paraffin embedded human kidney labelling P Glycoprotein with ab170904 at a concentration of 1µg/ml. The immunostaining was performed on a Ventana DISCOVERY ULTRA (Roche Tissue Diagnostics) instrument with a OptiView DAB IHC Detection Kit. Heat mediated antigen retrieval was performed with DISCOVERY cell conditioning solution (CC1) 100°C, pH8.5 for 32mins. ab170904 Anti-P Glycoprotein antibody [EPR10364-57] was incubated for 16mins at 37°C. Sections were counterstained with Hematoxylin II. Image inset shows absence of staining in secondary antibody only control. Customers are encouraged to optimise antigen retrieval conditions, antibody concentration, incubation times and temperature for best results in their own IHC assay workflow (automated and manual).

Western blot - Anti-P Glycoprotein antibody [EPR10364-57] - BSA and Azide free (AB216656)
  • WB

Supplier Data

Western blot - Anti-P Glycoprotein antibody [EPR10364-57] - BSA and Azide free (AB216656)

This data was developed using ab170904 the same antibody clone in a different buffer formulation.

All lanes:

Western blot - Anti-P Glycoprotein antibody [EPR10364-57] (<a href='/en-us/products/primary-antibodies/p-glycoprotein-antibody-epr10364-57-ab170904'>ab170904</a>) at 1/1000 dilution

Lane 1:

HeLa (Human epithelial cell line from cervix adenocarcinoma) cell lysate at 10 µg

Lane 2:

HepG2 (Human liver hepatocellular carcinoma cell line) cell lysate at 10 µg

Lane 3:

HEK-293T (Human epithelial cell line from embryonic kidney transformed with large T antigen) cell lysate at 10 µg

Lane 4:

Human fetal brain tissue lysate at 10 µg

Secondary

All lanes:

HRP-conjugated goat anti-rabbit IgG at 1/2000 dilution

Predicted band size: 141 kDa

true

Western blot - Anti-P Glycoprotein antibody [EPR10364-57] - BSA and Azide free (AB216656)
  • WB

Lab

Western blot - Anti-P Glycoprotein antibody [EPR10364-57] - BSA and Azide free (AB216656)

This data was developed using ab170904 the same antibody clone in a different buffer formulation.

Blocking and diluting buffer : 5% NFDM/TBST

Exposure time : Left image -10 seconds; Right image - 1 minute.

We suggest not to boil the sample after lysis.

For 1% SDS Hot Lysates preparation protocol, please refer to the protocol section of the website and/or here.

All lanes:

Western blot - Anti-P Glycoprotein antibody [EPR10364-57] (<a href='/en-us/products/primary-antibodies/p-glycoprotein-antibody-epr10364-57-ab170904'>ab170904</a>) at 1/2000 dilution

Lanes 1 and 3:

HeLa (Human cervix adenocarcinoma epithelial cell) whole cell lysates prepared using RIPA lysis method at 15 µg

Lanes 2 and 4:

HeLa (Human cervix adenocarcinoma epithelial cell) whole cell lysate prepared using 1% SDS hot lysis method at 15 µg

Secondary

All lanes:

Western blot - Goat Anti-Rabbit IgG H&L (HRP) (<a href='/en-us/products/secondary-antibodies/goat-rabbit-igg-h-l-hrp-ab97051'>ab97051</a>) at 1/20000 dilution

Predicted band size: 141 kDa

Observed band size: 180 kDa

false

Western blot - Anti-P Glycoprotein antibody [EPR10364-57] - BSA and Azide free (AB216656)
  • WB

Lab

Western blot - Anti-P Glycoprotein antibody [EPR10364-57] - BSA and Azide free (AB216656)

This data was developed using ab170904 the same antibody clone in a different buffer formulation.

Blocking/Dilution buffer and concentration : 5% NFDM/TBST.

All lanes:

Western blot - Anti-P Glycoprotein antibody [EPR10364-57] (<a href='/en-us/products/primary-antibodies/p-glycoprotein-antibody-epr10364-57-ab170904'>ab170904</a>) at 1/200 dilution

Lane 1:

HepG2 (Human liver hepatocellular carcinoma cell line) cell lysate at 20 µg

Lane 2:

Mouse brain tissue lysate at 20 µg

Lane 3:

Rat brain tissue lysate at 20 µg

Secondary

All lanes:

Peroxidase-conjugated goat anti-rabbit IgG (H+L) at 1/1000 dilution

Predicted band size: 141 kDa

Observed band size: 180 kDa

false

Western blot - Anti-P Glycoprotein antibody [EPR10364-57] - BSA and Azide free (AB216656)
  • WB

Lab

Western blot - Anti-P Glycoprotein antibody [EPR10364-57] - BSA and Azide free (AB216656)

This data was developed using ab170904 the same antibody clone in a different buffer formulation.

Blocking/Dilution buffer and concentration : 5% NFDM/TBST.

All lanes:

Western blot - Anti-P Glycoprotein antibody [EPR10364-57] (<a href='/en-us/products/primary-antibodies/p-glycoprotein-antibody-epr10364-57-ab170904'>ab170904</a>) at 1/1000 dilution

Lane 1:

HepG2 (Human liver hepatocellular carcinoma cell line) cell lysate at 20 µg

Lane 2:

Mouse brain tissue lysate at 20 µg

Lane 3:

Rat brain tissue lysate at 20 µg

Secondary

All lanes:

Peroxidase-conjugated goat anti-rabbit IgG (H+L) at 1/1000 dilution

Predicted band size: 141 kDa

Observed band size: 180 kDa

false

Western blot - Anti-P Glycoprotein antibody [EPR10364-57] - BSA and Azide free (AB216656)
  • WB

Lab

Western blot - Anti-P Glycoprotein antibody [EPR10364-57] - BSA and Azide free (AB216656)

This WB data was generated using the same anti-P Glycoprotein antibody clone, EPR10364-57, in a different buffer formulation (cat# ab170904).

Lane 1 : Wild type HAP1 whole cell lysate (20 μg)
Lane 2 : P Glycoprotein knockout HAP1 whole cell lysate (20 μg)
Lane 3 : HepG2 whole cell lysate (20 μg)

Lanes 1 - 3 : Merged signal (red and green). Green - ab170904 observed at 160 kDa. Red - loading control, ab8245, observed at 37 kDa.

ab170904 was shown to specifically react with P Glycoprotein when P Glycoprotein knockout samples were used. Wild-type and P Glycoprotein knockout samples were subjected to SDS-PAGE. ab170904 and ab8245 (Mouse anti GAPDH loading control) were incubated overnight at 4°C at 1 ug/ml and 1/10000 dilution respectively. Blots were developed with Goat anti-Rabbit IgG H&L (IRDye® 800CW) preabsorbed ab216773 and Goat anti-Mouse IgG H&L (IRDye® 680RD) preabsorbed ab216776 secondary antibodies at 1/10000 dilution for 1 hour at room temperature before imaging.

All lanes:

Western blot - Anti-P Glycoprotein antibody [EPR10364-57] (<a href='/en-us/products/primary-antibodies/p-glycoprotein-antibody-epr10364-57-ab170904'>ab170904</a>)

Predicted band size: 141 kDa

false

Western blot - Anti-P Glycoprotein antibody [EPR10364-57] - BSA and Azide free (AB216656)
  • WB

Lab

Western blot - Anti-P Glycoprotein antibody [EPR10364-57] - BSA and Azide free (AB216656)

This data was developed using ab170904 the same antibody clone in a different buffer formulation.

Blocking and diluting buffer : 5% NFDM/TBST

Exposure time : Left image - 3 seconds; Right image - 10 seconds.

We suggest not to boil the sample after lysis.

Lanes 1 - 4:

Western blot - Anti-P Glycoprotein antibody [EPR10364-57] (<a href='/en-us/products/primary-antibodies/p-glycoprotein-antibody-epr10364-57-ab170904'>ab170904</a>) at 1/2000 dilution

Lanes 1 - 4:

Western blot - Anti-P Glycoprotein antibody [EPR10364-57] - BSA and Azide free (ab216656)

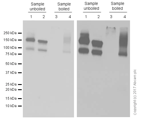
Lanes 1 and 3:

Raw264.7 (Mouse Abelson murine leukemia virus-induced tumor macrophage) whole cell lysates prepared using RIPA lysis method at 15 µg

Lanes 2 and 4:

Raw264.7 (Mouse Abelson murine leukemia virus-induced tumor macrophage) whole cell lysate prepared using 1%SDS lysis method at 15 µg

Secondary

All lanes:

Western blot - Goat Anti-Rabbit IgG H&L (HRP) (<a href='/en-us/products/secondary-antibodies/goat-rabbit-igg-h-l-hrp-ab97051'>ab97051</a>) at 1/20000 dilution

Predicted band size: 141 kDa

Observed band size: 180 kDa

false

Western blot - Anti-P Glycoprotein antibody [EPR10364-57] - BSA and Azide free (AB216656)
  • WB

Lab

Western blot - Anti-P Glycoprotein antibody [EPR10364-57] - BSA and Azide free (AB216656)

This data was developed using ab170904 the same antibody clone in a different buffer formulation.

Blocking and diluting buffer : 5% NFDM/TBST.

All lanes:

Western blot - Anti-P Glycoprotein antibody [EPR10364-57] (<a href='/en-us/products/primary-antibodies/p-glycoprotein-antibody-epr10364-57-ab170904'>ab170904</a>) at 0.1 µg/mL

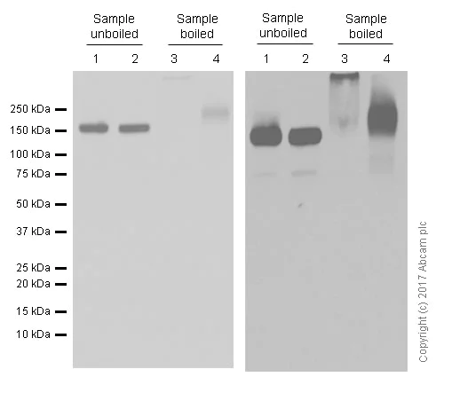
Lane 1:

C6 (Rat glial tumor glial cell) whole cell lysates prepared using RIPA lysis method - unboiled at 15 µg

Lane 2:

C6 (Rat glial tumor glial cell) whole cell lysates prepared using 1% SDS Hot lysis method - unboiled at 15 µg

Lane 3:

C6 (Rat glial tumor glial cell) whole cell lysates prepared using RIPA lysis method - boiled

Lane 4:

C6 (Rat glial tumor glial cell) whole cell lysates prepared using 1% SDS Hot lysis method - boiled

Secondary

All lanes:

Western blot - Goat Anti-Rabbit IgG H&L (HRP) (<a href='/en-us/products/secondary-antibodies/goat-rabbit-igg-h-l-hrp-ab97051'>ab97051</a>) at 1/20000 dilution

Predicted band size: 141 kDa

Observed band size: 180 kDa

false

Western blot - Anti-P Glycoprotein antibody [EPR10364-57] - BSA and Azide free (AB216656)
  • WB

Supplier Data

Western blot - Anti-P Glycoprotein antibody [EPR10364-57] - BSA and Azide free (AB216656)

This data was developed using ab170904 the same antibody clone in a different buffer formulation.

All lanes:

Western blot - Anti-P Glycoprotein antibody [EPR10364-57] (<a href='/en-us/products/primary-antibodies/p-glycoprotein-antibody-epr10364-57-ab170904'>ab170904</a>) at 1/1000 dilution

Lane 1:

Rat brain tissue lysate

Lane 2:

Rat heart tissue lysate

Lane 3:

Rat kidney tissue lysate

Lane 4:

Rat spleen tissue lysate

Predicted band size: 141 kDa

Observed band size: 180 kDa

false

Exposure time: 2min

Western blot - Anti-P Glycoprotein antibody [EPR10364-57] - BSA and Azide free (AB216656)
  • WB

Supplier Data

Western blot - Anti-P Glycoprotein antibody [EPR10364-57] - BSA and Azide free (AB216656)

This data was developed using ab170904 the same antibody clone in a different buffer formulation.

All lanes:

Western blot - Anti-P Glycoprotein antibody [EPR10364-57] (<a href='/en-us/products/primary-antibodies/p-glycoprotein-antibody-epr10364-57-ab170904'>ab170904</a>) at 1/1000 dilution

Lane 1:

Mouse brain tissue lysate

Lane 2:

Mouse heart tissue lysate

Lane 3:

Mouse kidney tissue lysate

Lane 4:

Mouse spleen tissue lysate

Secondary

All lanes:

HRP-conjugated goat anti-rabbit IgG (H+L) at 1/2000 dilution

Predicted band size: 141 kDa

Observed band size: 180 kDa

true

Exposure time: 2min

Key facts

Host species

Rabbit

Clonality

Monoclonal

Clone number

EPR10364-57

Isotype

IgG

Carrier free

Yes

Reacts with

Mouse, Rat, Human

Applications

IHC-P, WB

applications

Immunogen

The exact immunogen used to generate this antibody is proprietary information.

Specificity

P-glycoprotein 1 (also known as Multidrug resistance protein

  1. has a predicted molecular weight of 141 kDa, however it has 3 potential glycosylation sites (N-linked) which may affect the migration of the protein. In our hands this antibody detects a predominant protein band migrating in the region of 180-200 kDa and typically will demonstrate a smear on the membrane in the region of the 150-300 kDa due to the glycosylation profile of the protein. It may be necessary to optimise your cell or tissue lysis protocol to efficiently extract P-glycoprotein 1 as it is a multi-pass membrane protein. Abcam recommends not boiling the sample after lysis. The mouse and rat recommendation is based on the WB results. We do not guarantee IHC-P for mouse and rat.

Reactivity data

{ "title": "Reactivity Data", "filters": { "stats": ["", "Species", "Dilution Info", "Notes"], "tabs": { "all-applications": {"fullname" : "All Applications", "shortname": "All Applications"}, "WB" : {"fullname" : "Western blot", "shortname":"WB"}, "ICCIF" : {"fullname" : "Immunocytochemistry/ Immunofluorescence", "shortname":"ICC/IF"}, "IHCP" : {"fullname" : "Immunohistochemistry (Formalin/PFA-fixed paraffin-embedded sections)", "shortname":"IHC-P"} }, "product-promise": { "all": "all", "testedAndGuaranteed": "tested", "guaranteed": "expected", "predicted": "predicted", "notRecommended": "not-recommended" } }, "values": { "Human": { "WB-species-checked": "testedAndGuaranteed", "WB-species-dilution-info": "", "WB-species-notes": "<p>For optimal detection Abcam recommends not boiling the sample after lysis.</p>", "ICCIF-species-checked": "notRecommended", "ICCIF-species-dilution-info": "", "ICCIF-species-notes": "<p></p>", "IHCP-species-checked": "testedAndGuaranteed", "IHCP-species-dilution-info": "", "IHCP-species-notes": "<p></p> Perform heat-mediated antigen retrieval with Tris/EDTA buffer pH 9.0 before commencing with IHC staining protocol." }, "Mouse": { "WB-species-checked": "testedAndGuaranteed", "WB-species-dilution-info": "", "WB-species-notes": "<p>For optimal detection Abcam recommends not boiling the sample after lysis.</p>", "ICCIF-species-checked": "notRecommended", "ICCIF-species-dilution-info": "", "ICCIF-species-notes": "<p></p>", "IHCP-species-checked": "notRecommended", "IHCP-species-dilution-info": "", "IHCP-species-notes": "<p></p>" }, "Rat": { "WB-species-checked": "testedAndGuaranteed", "WB-species-dilution-info": "", "WB-species-notes": "<p>For optimal detection Abcam recommends not boiling the sample after lysis.</p>", "ICCIF-species-checked": "notRecommended", "ICCIF-species-dilution-info": "", "ICCIF-species-notes": "<p></p>", "IHCP-species-checked": "notRecommended", "IHCP-species-dilution-info": "", "IHCP-species-notes": "<p></p>" } } }

Product details

ab216656 is the carrier-free version of ab170904.

Patented technology
Our RabMAb® technology is a patented hybridoma-based technology for making rabbit monoclonal antibodies. For details on our patents, please refer to RabMAb® patents.

What are the advantages of a recombinant monoclonal antibody?
This product is a recombinant monoclonal antibody, which offers several advantages including:

  • - High batch-to-batch consistency and reproducibility
  • - Improved sensitivity and specificity
  • - Long-term security of supply
  • - Animal-free batch production

For more information, read more on recombinant antibodies.

Conjugation ready
Our carrier-free antibodies are typically supplied in a PBS-only formulation, purified and free of BSA, sodium azide and glycerol. This conjugation-ready format is designed for use with fluorochromes, metal isotopes, oligonucleotides, and enzymes, which makes them ideal for antibody labelling, functional and cell-based assays, flow-based assays (e.g. mass cytometry) and Multiplex Imaging applications.

Use our conjugation kits for antibody conjugates that are ready-to-use in as little as 20 minutes with 1 minute hands-on-time and 100% antibody recovery: available for fluorescent dyes, HRP, biotin and gold.

Compatibility
This product is compatible with the Maxpar® Antibody Labeling Kit from Fluidigm, without the need for antibody preparation. Maxpar® is a trademark of Fluidigm Canada Inc.

Properties and storage information

Form
Liquid
Purification technique
Affinity purification Protein A
Storage buffer
pH: 7.2 - 7.4 Constituents: PBS
Shipped at conditions
Blue Ice
Appropriate short-term storage conditions
+4°C
Appropriate long-term storage conditions
+4°C
Storage information
Do Not Freeze

Supplementary information

This supplementary information is collated from multiple sources and compiled automatically.

P-glycoprotein also known as P-gp MDR1 transporter or ABCB1 is a well-characterized efflux transporter with a molecular mass of approximately 170 kDa. This protein is expressed in various normal tissues such as the liver intestine kidney blood-brain barrier and placenta. It is located on the cell membrane where it functions to expel a wide variety of substrates out of cells using energy derived from ATP hydrolysis. This capability of pumping out toxins and xenobiotics makes P-glycoprotein an important player in cellular detoxification.
Biological function summary

P-glycoprotein acts as a protective mechanism against toxic substances and drugs within the body. It is a member of the ATP-binding cassette (ABC) transporter family which is critical for their ability to transport molecules across membranes. P-glycoprotein is not typically part of a larger protein complex but can interact with other membrane proteins to facilitate its function. Its role in drug metabolism and excretion is vital for maintaining the balance and elimination of harmful substances.

Pathways

P-glycoprotein plays a significant role in the pharmacokinetics of drugs within the body. This transporter is involved in the multi-drug resistance (MDR) pathway which impacts the efficacy of chemotherapeutic agents. P-glycoprotein also interacts with other proteins like CYP3A4 which is involved in the metabolism of many drugs. These interactions affect the concentration and distribution of therapeutic agents contributing to the body's overall drug response.

P-glycoprotein is closely associated with multi-drug resistance in cancer where its overexpression can lead to reduced effectiveness of chemotherapy. It is also implicated in disorders of the central nervous system like epilepsy where it affects drug delivery to the brain. The protein has connections with CYP3A4 in these contexts where both together influence drug metabolism and efficacy complicating treatment regimens and therapeutic outcomes in these conditions.

Product protocols

For this product, it's our understanding that no specific protocols are required. You can visit:

Target data

Translocates drugs and phospholipids across the membrane (PubMed : 2897240, PubMed : 35970996, PubMed : 8898203, PubMed : 9038218, PubMed : 35507548). Catalyzes the flop of phospholipids from the cytoplasmic to the exoplasmic leaflet of the apical membrane. Participates mainly to the flop of phosphatidylcholine, phosphatidylethanolamine, beta-D-glucosylceramides and sphingomyelins (PubMed : 8898203). Energy-dependent efflux pump responsible for decreased drug accumulation in multidrug-resistant cells (PubMed : 2897240, PubMed : 35970996, PubMed : 9038218).
See full target information ABCB1

Publications (8)

Recent publications for all applications. Explore the full list and refine your search

Journal of clinical medicine 12: PubMed36769824

2023

miR-197-3p Promotes Osteosarcoma Stemness and Chemoresistance by Inhibiting SPOPL.

Applications

Unspecified application

Species

Unspecified reactive species

Jingyong Zhang,Shubao Wang,Yang Bai,Aasi Mohammad Ali,Jiewen Deng,Yushi Chen,Yonghui Fu,Ming He

Cancer management and research 12:8229-8240 PubMed32982419

2020

Circular RNA hsa_circ_0003496 Contributes to Tumorigenesis and Chemoresistance in Osteosarcoma Through Targeting (microRNA) miR-370/Krüppel-Like Factor 12 Axis.

Applications

Unspecified application

Species

Unspecified reactive species

Chaofan Xie,Guanzhao Liang,Yinfeng Xu,Erhu Lin

International journal of molecular medicine 46:1289-1300 PubMed32945355

2020

MicroRNA‑145 promotes the apoptosis of leukemic stem cells and enhances drug‑resistant K562/ADM cell sensitivity to adriamycin via the regulation of ABCE1.

Applications

Unspecified application

Species

Unspecified reactive species

Zhijun Wuxiao,Hua Wang,Qunhao Su,Haiyan Zhou,Min Hu,Shi Tao,Lu Xu,Yu Chen,Xinbao Hao

Experimental and therapeutic medicine 20:1467-1479 PubMed32742380

2020

MicroRNA-654-3p enhances cisplatin sensitivity by targeting QPRT and inhibiting the PI3K/AKT signaling pathway in ovarian cancer cells.

Applications

Unspecified application

Species

Unspecified reactive species

Yi-Chao Niu,Jing Tong,Xiao-Fei Shi,Ting Zhang

OncoTargets and therapy 13:5323-5335 PubMed32606750

2020

Connexin 43 Modulates the Cellular Resistance to Paclitaxel via Targeting β-Tubulin in Triple-Negative Breast Cancer.

Applications

Unspecified application

Species

Unspecified reactive species

Yun Fu,Xiaoyin Sun,Zhangyuan Gu,Zhigang Zhuang

International journal of molecular medicine 37:1627-35 PubMed27081712

2016

miR-143 inhibits oncogenic traits by degrading NUAK2 in glioblastoma.

Applications

WB

Species

Human

Ting-Gang Fu,Ling Wang,Wei Li,Jian-Zhong Li,Jian Li

Scientific reports 6:23749 PubMed27026287

2016

Visualizing spatial distribution of alectinib in murine brain using quantitative mass spectrometry imaging.

Applications

IHC-P

Species

Mouse

Hiroaki Aikawa,Mitsuhiro Hayashi,Shoraku Ryu,Makiko Yamashita,Naoto Ohtsuka,Masanobu Nishidate,Yasuhiro Fujiwara,Akinobu Hamada

Proceedings of the National Academy of Sciences of 111:6389-94 PubMed24733904

2014

Essential role for TrpC5-containing extracellular vesicles in breast cancer with chemotherapeutic resistance.

Applications

Flow Cyt

Species

Unspecified reactive species

Xin Ma,Zhen Chen,Dong Hua,Dongxu He,Linjun Wang,Peng Zhang,Junqi Wang,Yanfei Cai,Caiji Gao,Xiaodong Zhang,Fangfang Zhang,Teng Wang,Tingting Hong,Linfang Jin,Xiaowei Qi,Shuxian Chen,Xiaoting Gu,Dangtong Yang,Qiongxi Pan,Yifei Zhu,Yun Chen,Daozhen Chen,Liwen Jiang,Xiaofeng Han,Yanyun Zhang,Jian Jin,Xiaoqiang Yao
View all publications

Product promise

We are committed to supporting your work with high-quality reagents, and we're here for you every step of the way. In the unlikely event that one of our products does not perform as expected, you're protected by our Product Promise.
For full details, please see our Terms & Conditions

Please note: All products are 'FOR RESEARCH USE ONLY. NOT FOR USE IN DIAGNOSTIC OR THERAPEUTIC PROCEDURES'.

For licensing inquiries, please contact partnerships@abcam.com