JavaScript is disabled in your browser. Please enable JavaScript to view this website.
AB111348

Anti-p107 (phospho T369) antibody

5

(2 Reviews)

|

(2 Publications)

Rabbit Polyclonal p107 phospho T369 antibody. Suitable for IHC-P and reacts with Human samples. Cited in 2 publications. Immunogen corresponding to Synthetic Peptide within Human Retinoblastoma-like protein 1 phospho T369.

View Alternative Names

Retinoblastoma-like protein 1, 107 kDa retinoblastoma-associated protein, pRb1, p107, RBL1

1 Images
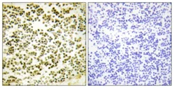
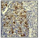
Immunohistochemistry (Formalin/PFA-fixed paraffin-embedded sections) - Anti-p107 (phospho T369) antibody (AB111348)
  • IHC-P

Unknown

Immunohistochemistry (Formalin/PFA-fixed paraffin-embedded sections) - Anti-p107 (phospho T369) antibody (AB111348)

ab111348 at 1/50 dilution staining p107 in paraffin-embedded Human Lymph node tissue by Immunohistochemistry. The image on the right is treated with the synthesized phosphopeptide.

Key facts

Host species

Rabbit

Clonality

Polyclonal

Isotype

IgG

Carrier free

No

Reacts with

Human

Applications

IHC-P

applications

Immunogen

Synthetic Peptide within Human Retinoblastoma-like protein 1 phospho T369. The exact immunogen used to generate this antibody is proprietary information.

P28749

Reactivity data

{ "title": "Reactivity Data", "filters": { "stats": ["", "Species", "Dilution Info", "Notes"], "tabs": { "all-applications": {"fullname" : "All Applications", "shortname": "All Applications"}, "IHCP" : {"fullname" : "Immunohistochemistry (Formalin/PFA-fixed paraffin-embedded sections)", "shortname":"IHC-P"} }, "product-promise": { "all": "all", "testedAndGuaranteed": "tested", "guaranteed": "expected", "predicted": "predicted", "notRecommended": "not-recommended" } }, "values": { "Human": { "IHCP-species-checked": "testedAndGuaranteed", "IHCP-species-dilution-info": "1/50 - 1/100", "IHCP-species-notes": "<p></p> Perform heat-mediated antigen retrieval with citrate buffer pH 6 before commencing with IHC staining protocol." }, "Mouse": { "IHCP-species-checked": "predicted", "IHCP-species-dilution-info": "", "IHCP-species-notes": "" } } }

Properties and storage information

Form
Liquid
Purification technique
Affinity purification Immunogen
Purification notes
ab111348 was affinity-purified from rabbit antiserum by affinity-chromatography using epitope-specific phosphopeptide. The antibody against non-phosphopeptide was removed by chromatography using non-phosphopeptide corresponding to the phosphorylation site.
Storage buffer
pH: 7.4 Preservative: 0.02% Sodium azide Constituents: PBS, 50% Glycerol (glycerin, glycerine), 0.88% Sodium chloride
Shipped at conditions
Blue Ice
Appropriate short-term storage conditions
+4°C
Appropriate long-term storage conditions
-20°C
Storage information
Stable for 12 months at -20°C

Supplementary information

This supplementary information is collated from multiple sources and compiled automatically.

The protein p107 also known as Retinoblastoma-like protein 1 (RBL1) is a member of the retinoblastoma (RB) protein family and has a molecular weight of approximately 107 kDa. p107 is known for its role as a cell cycle regulator specifically in controlling cell cycle progression at the G1 phase. It is widely expressed in many tissues including the brain skeletal muscle and lymphoid tissues. Like other members of the RB family p107 contains an RB pocket domain important for its interactions with other proteins.
Biological function summary

Retinoblastoma-like protein 1 functions in the regulation of the cell cycle acting as an important checkpoint controller between the G1 and S phases. This protein forms a complex with E2F transcription factors which are important in controlling genes involved in cell cycle progression. The p107-E2F interaction represses transcription and inhibits the cell from proceeding to the S phase thereby ensuring proper cellular proliferation control. Moreover p107 can bind to cyclin-dependent kinases adding another layer of regulation.

Pathways

P107 plays essential roles in the RB-E2F pathway and the DNA damage response pathway. Within these pathways p107 interacts with other key proteins like p130 and pRB which together form the pocket protein family. The RB-E2F pathway controls cell cycle entry and exit while the DNA damage response pathway ensures genomic integrity. p107 acts as a mediator to pause the cell cycle during DNA damage repair collaborating with these related proteins to maintain cellular homeostasis.

P107 shows notable implications in cancer and retinoblastoma. Alterations in the expression or function of p107 can lead to unregulated cell proliferation contributing to oncogenesis. In cancer disruptions in the RB-E2F pathway often involving mutations or changes in p107 pRB or related proteins can induce tumor formation. In retinoblastoma although pRB plays a more dominant role reduced functionality of p107 can exacerbate the disease by weakening cell cycle control. Therefore p107 occupies an essential position in both safeguarding against diseases and being a potential factor in disease progression when dysregulated.

Product protocols

For this product, it's our understanding that no specific protocols are required. You can visit:

Target data

Key regulator of entry into cell division (PubMed : 17671431). Directly involved in heterochromatin formation by maintaining overall chromatin structure and, in particular, that of constitutive heterochromatin by stabilizing histone methylation (By similarity). Recruits and targets histone methyltransferases KMT5B and KMT5C, leading to epigenetic transcriptional repression (By similarity). Controls histone H4 'Lys-20' trimethylation (By similarity). Probably acts as a transcription repressor by recruiting chromatin-modifying enzymes to promoters (By similarity). Potent inhibitor of E2F-mediated trans-activation (PubMed : 8319904). May act as a tumor suppressor (PubMed : 8319904).
See full target information Retinoblastoma-like protein 1 phospho T369

Publications (2)

Recent publications for all applications. Explore the full list and refine your search

American journal of physiology. Renal physiology 328:F517-F529 PubMed40062363

2025

Lysine acetylation of aquaporin-3 promotes water permeability but is not essential for urine concentrating ability.

Applications

Unspecified application

Species

Unspecified reactive species

Nha V Huynh,Luciano D Mendoza,Hung Nguyen,Cassidy Rehage,Elizabeth B Saurage,Parker Davis,Kelly A Hyndman

Breast cancer research : BCR 21:146 PubMed31852484

2019

Elacestrant (RAD1901) exhibits anti-tumor activity in multiple ER+ breast cancer models resistant to CDK4/6 inhibitors.

Applications

Unspecified application

Species

Unspecified reactive species

Hitisha K Patel,Nianjun Tao,Kyung-Min Lee,Mariela Huerta,Heike Arlt,Tara Mullarkey,Steven Troy,Carlos L Arteaga,Teeru Bihani
View all publications

Product promise

We are committed to supporting your work with high-quality reagents, and we're here for you every step of the way. In the unlikely event that one of our products does not perform as expected, you're protected by our Product Promise.
For full details, please see our Terms & Conditions

Please note: All products are 'FOR RESEARCH USE ONLY. NOT FOR USE IN DIAGNOSTIC OR THERAPEUTIC PROCEDURES'.

For licensing inquiries, please contact partnerships@abcam.com