JavaScript is disabled in your browser. Please enable JavaScript to view this website.
AB76234

Anti-p130 antibody [EP2141Y]

Be the first to review this product! Submit a review

|

(6 Publications)

Rabbit Recombinant Monoclonal p130 antibody. Suitable for IHC-P, WB, Flow Cyt (Intra) and reacts with Mouse, Rat, Human samples. Cited in 6 publications.

View Alternative Names

RB2, RBL2, Retinoblastoma-like protein 2, 130 kDa retinoblastoma-associated protein, Retinoblastoma-related protein 2, pRb2, p130, RBR-2

10 Images
Immunohistochemistry (Formalin/PFA-fixed paraffin-embedded sections) - Anti-p130 antibody [EP2141Y] (AB76234)
  • IHC-P

Lab

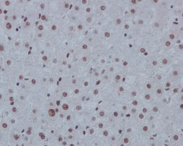
Immunohistochemistry (Formalin/PFA-fixed paraffin-embedded sections) - Anti-p130 antibody [EP2141Y] (AB76234)

Immunohistochemistry (Formalin/PFA-fixed paraffin-embedded sections) analysis of human liver tissue sections labelling p130 with unpurified ab76234 at 1/250. Heat mediated antigen retrieval was performed using Tris/EDTA buffer pH 9. A prediluted HRP-polymer conjugated anti-rabbit IgG was used as the secondary antibody. Counterstained with hematoxylin.

Immunohistochemistry (Formalin/PFA-fixed paraffin-embedded sections) - Anti-p130 antibody [EP2141Y] (AB76234)
  • IHC-P

Lab

Immunohistochemistry (Formalin/PFA-fixed paraffin-embedded sections) - Anti-p130 antibody [EP2141Y] (AB76234)

Immunohistochemistry (Formalin/PFA-fixed paraffin-embedded sections) analysis of human liver tissue sections labelling p130 with purified ab76234 at 1/300. Heat mediated antigen retrieval was performed using Tris/EDTA buffer pH 9. A prediluted HRP-polymer conjugated anti-rabbit IgG was used as the secondary antibody. Counterstained with hematoxylin.

Immunohistochemistry (Formalin/PFA-fixed paraffin-embedded sections) - Anti-p130 antibody [EP2141Y] (AB76234)
  • IHC-P

Unknown

Immunohistochemistry (Formalin/PFA-fixed paraffin-embedded sections) - Anti-p130 antibody [EP2141Y] (AB76234)

Immunohistochemistry (Formalin/PFA-fixed paraffin-embedded sections) analysis of human breast carcinoma tissue labelling p130 with unpurified ab76234 at 1/50.

Perform heat mediated antigen retrieval before commencing with IHC staining protocol.

Flow Cytometry (Intracellular) - Anti-p130 antibody [EP2141Y] (AB76234)
  • Flow Cyt (Intra)

Unknown

Flow Cytometry (Intracellular) - Anti-p130 antibody [EP2141Y] (AB76234)

Overlay histogram showing Jurkat cells stained with unpurified ab76234 (red line). The cells were fixed with 80% methanol (5 min) and then permeabilized with 0.1% PBS-Tween for 20 min. The cells were then incubated in 1x PBS / 10% normal goat serum / 0.3M glycine to block non-specific protein-protein interactions followed by the antibody (ab76234 1/100 dilution) for 30 min at 22°C. The secondary antibody used was Alexa Fluorr® 488 goat anti-rabbit IgG (H&L) (ab150077) at 1/2000 dilution for 30 min at 22°C. Isotype control antibody (black line) was rabbit IgG (monoclonal) (1μg/1x106 cells) used under the same conditions. Unlabelled sample (blue line) was also used as a control. Acquisition of >5000 events were collected using a 20mW Argon ion laser (488nm) and 525/30 bandpass filter. This antibody gave a positive signal in Jurkat cells fixed with 4% paraformaldehyde (10 min)/permeabilized with 0.1% PBS-Tween for 20 min used under the same conditions.

Immunohistochemistry (Formalin/PFA-fixed paraffin-embedded sections) - Anti-p130 antibody [EP2141Y] (AB76234)
  • IHC-P

Lab

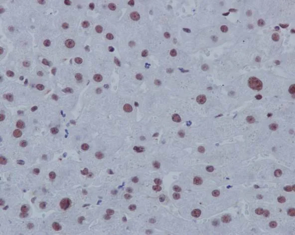
Immunohistochemistry (Formalin/PFA-fixed paraffin-embedded sections) - Anti-p130 antibody [EP2141Y] (AB76234)

Immunohistochemistry (Formalin/PFA-fixed paraffin-embedded sections) analysis of mouse liver tissue sections labelling p130 with unpurified ab76234 at 1/250. Heat mediated antigen retrieval was performed using Tris/EDTA buffer pH 9. A prediluted HRP-polymer conjugated anti-rabbit IgG was used as the secondary antibody. Counterstained with hematoxylin.

Immunohistochemistry (Formalin/PFA-fixed paraffin-embedded sections) - Anti-p130 antibody [EP2141Y] (AB76234)
  • IHC-P

Unknown

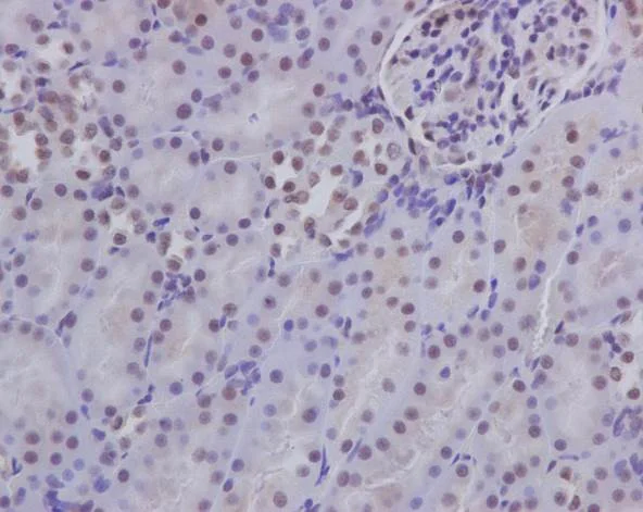
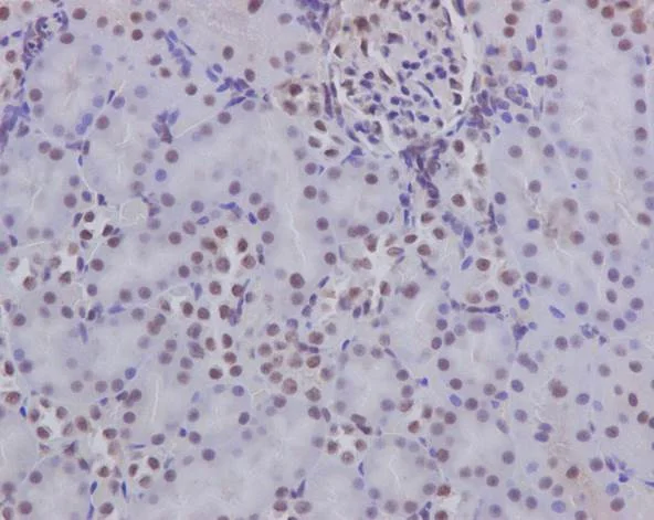
Immunohistochemistry (Formalin/PFA-fixed paraffin-embedded sections) - Anti-p130 antibody [EP2141Y] (AB76234)

Immunohistochemistry (Formalin/PFA-fixed paraffin-embedded sections) analysis of rat kidney tissue sections labelling p130 with unpurified ab76234 at 1/250. Heat mediated antigen retrieval was performed using Tris/EDTA buffer pH 9. A prediluted HRP-polymer conjugated anti-rabbit IgG was used as the secondary antibody. Counterstained with hematoxylin.

Immunohistochemistry (Formalin/PFA-fixed paraffin-embedded sections) - Anti-p130 antibody [EP2141Y] (AB76234)
  • IHC-P

Unknown

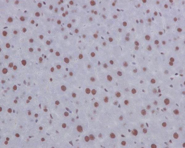
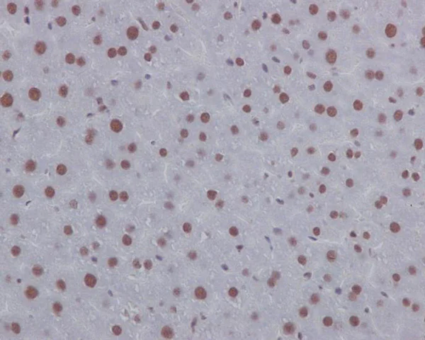
Immunohistochemistry (Formalin/PFA-fixed paraffin-embedded sections) - Anti-p130 antibody [EP2141Y] (AB76234)

Immunohistochemistry (Formalin/PFA-fixed paraffin-embedded sections) analysis of mouse liver tissue sections labelling p130 with purified ab76234 at 1/300. Heat mediated antigen retrieval was performed using Tris/EDTA buffer pH 9. A prediluted HRP-polymer conjugated anti-rabbit IgG was used as the secondary antibody. Counterstained with hematoxylin.

Immunohistochemistry (Formalin/PFA-fixed paraffin-embedded sections) - Anti-p130 antibody [EP2141Y] (AB76234)
  • IHC-P

Unknown

Immunohistochemistry (Formalin/PFA-fixed paraffin-embedded sections) - Anti-p130 antibody [EP2141Y] (AB76234)

Immunohistochemistry (Formalin/PFA-fixed paraffin-embedded sections) analysis of rat kidney tissue sections labelling p130 with purified ab76234 at 1/300. Heat mediated antigen retrieval was performed using Tris/EDTA buffer pH 9. A prediluted HRP-polymer conjugated anti-rabbit IgG was used as the secondary antibody. Counterstained with hematoxylin.

Western blot - Anti-p130 antibody [EP2141Y] (AB76234)
  • WB

Lab

Western blot - Anti-p130 antibody [EP2141Y] (AB76234)

Blocking buffer and concentration : 5% NFDM/TBST.

Diluting buffer and concentration : 5% NFDM /TBST.

All lanes:

Western blot - Anti-p130 antibody [EP2141Y] (ab76234) at 1/1000 dilution

All lanes:

Daudi cell lysate at 10 µg

Secondary

All lanes:

Peroxidase-conjugated goat anti-rabbit IgG at 1/1000 dilution

Predicted band size: 128 kDa

Observed band size: 130 kDa

false

Western blot - Anti-p130 antibody [EP2141Y] (AB76234)
  • WB

Lab

Western blot - Anti-p130 antibody [EP2141Y] (AB76234)

Blocking buffer and concentration : 5% NFDM/TBST.

Diluting buffer and concentration : 5% NFDM /TBST.

All lanes:

Western blot - Anti-p130 antibody [EP2141Y] (ab76234) at 1/1000 dilution

All lanes:

Daudi cell lysate at 10 µg

Secondary

All lanes:

Peroxidase-conjugated goat anti-rabbit IgG (H+L) at 1/1000 dilution

Predicted band size: 128 kDa

Observed band size: 130 kDa

false

  • Carrier free

    Anti-p130 antibody [EP2141Y] - BSA and Azide free

Key facts

Host species

Rabbit

Clonality

Monoclonal

Clone number

EP2141Y

Isotype

IgG

Carrier free

No

Reacts with

Mouse, Rat, Human

Applications

Flow Cyt (Intra), IHC-P, WB

applications

Immunogen

The exact immunogen used to generate this antibody is proprietary information.

Reactivity data

{ "title": "Reactivity Data", "filters": { "stats": ["", "Species", "Dilution Info", "Notes"], "tabs": { "all-applications": {"fullname" : "All Applications", "shortname": "All Applications"}, "IHCP" : {"fullname" : "Immunohistochemistry (Formalin/PFA-fixed paraffin-embedded sections)", "shortname":"IHC-P"}, "IP" : {"fullname" : "Immunoprecipitation", "shortname":"IP"}, "WB" : {"fullname" : "Western blot", "shortname":"WB"}, "ICCIF" : {"fullname" : "Immunocytochemistry/ Immunofluorescence", "shortname":"ICC/IF"}, "FlowCytIntra" : {"fullname" : "Flow Cytometry (Intracellular)", "shortname":"Flow Cyt (Intra)"} }, "product-promise": { "all": "all", "testedAndGuaranteed": "tested", "guaranteed": "expected", "predicted": "predicted", "notRecommended": "not-recommended" } }, "values": { "Human": { "IHCP-species-checked": "testedAndGuaranteed", "IHCP-species-dilution-info": "1/250 - 1/300", "IHCP-species-notes": "<p></p>", "IP-species-checked": "notRecommended", "IP-species-dilution-info": "", "IP-species-notes": "<p></p>", "WB-species-checked": "testedAndGuaranteed", "WB-species-dilution-info": "1/1000", "WB-species-notes": "<p></p>", "ICCIF-species-checked": "notRecommended", "ICCIF-species-dilution-info": "", "ICCIF-species-notes": "<p></p>", "FlowCytIntra-species-checked": "testedAndGuaranteed", "FlowCytIntra-species-dilution-info": "1/100 - 1/1000", "FlowCytIntra-species-notes": "<p><a href='/en-us/products/primary-antibodies/rabbit-igg-monoclonal-epr25a-isotype-control-ab172730'>ab172730</a> - Rabbit monoclonal IgG, is suitable for use as an isotype control with this antibody.</p>" }, "Mouse": { "IHCP-species-checked": "testedAndGuaranteed", "IHCP-species-dilution-info": "1/250 - 1/300", "IHCP-species-notes": "<p></p>", "IP-species-checked": "notRecommended", "IP-species-dilution-info": "", "IP-species-notes": "<p></p>", "WB-species-checked": "guaranteed", "WB-species-dilution-info": "", "WB-species-notes": "", "ICCIF-species-checked": "notRecommended", "ICCIF-species-dilution-info": "", "ICCIF-species-notes": "<p></p>", "FlowCytIntra-species-checked": "guaranteed", "FlowCytIntra-species-dilution-info": "", "FlowCytIntra-species-notes": "" }, "Rat": { "IHCP-species-checked": "testedAndGuaranteed", "IHCP-species-dilution-info": "1/250 - 1/300", "IHCP-species-notes": "<p></p>", "IP-species-checked": "notRecommended", "IP-species-dilution-info": "", "IP-species-notes": "<p></p>", "WB-species-checked": "guaranteed", "WB-species-dilution-info": "", "WB-species-notes": "", "ICCIF-species-checked": "notRecommended", "ICCIF-species-dilution-info": "", "ICCIF-species-notes": "<p></p>", "FlowCytIntra-species-checked": "guaranteed", "FlowCytIntra-species-dilution-info": "", "FlowCytIntra-species-notes": "" } } }

Product details

Patented technology
Our RabMAb® technology is a patented hybridoma-based technology for making rabbit monoclonal antibodies. For details on our patents, please refer to RabMAb® patents.

What are the advantages of a recombinant monoclonal antibody?
This product is a recombinant monoclonal antibody, which offers several advantages including:

  • - High batch-to-batch consistency and reproducibility
  • - Improved sensitivity and specificity
  • - Long-term security of supply
  • - Animal-free batch production

For more information, read more on recombinant antibodies.

Properties and storage information

Form
Liquid
Purification technique
Affinity purification Protein A
Storage buffer
pH: 7.2 - 7.4 Preservative: 0.01% Sodium azide Constituents: PBS, 40% Glycerol (glycerin, glycerine), 0.05% BSA
Shipped at conditions
Blue Ice
Appropriate short-term storage duration
1-2 weeks
Appropriate short-term storage conditions
+4°C
Appropriate long-term storage conditions
-20°C
Aliquoting information
Upon delivery aliquot
Storage information
Stable for 12 months at -20°C

Supplementary information

This supplementary information is collated from multiple sources and compiled automatically.

P130 also known as RBL2 (retinoblastoma-like 2) is a member of the retinoblastoma (Rb) protein family which includes pRb and p107. This protein has a molecular weight of about 130 kDa. It plays roles in regulating cell cycle by binding to E2F transcription factors consequently suppressing cell-cycle progression from G1 to S phase. p130 is ubiquitously expressed in various tissues but it shows higher levels in tissues with a low proliferation rate.
Biological function summary

The retinoblastoma-like 2 (p130) functions as an important regulator within the cell cycle checkpoint machinery. p130 forms a complex with E2F transcription factors selectively inhibiting their transcriptional activity. This inhibition plays an integral role in controlling cellular proliferation and ensuring that DNA replication does not occur unchecked. It also associates with cyclin-dependent kinase inhibitors further influencing the progression of the cell cycle.

Pathways

P130 is implicated in the control of the G1/S transition within the cell cycle pathway. Its function is closely linked with the Rb/E2F pathway which is critical for the regulation of cell proliferation. p130 collaborates with Rb and p107 within this pathway ensuring proper control of cell cycle transitions and maintenance of cellular growth.

Retinoblastoma-like 2 (p130) shows significant connections to cancer and neurodegenerative disorders. Dysregulation of p130 along with its pathway partners like Rb can lead to unregulated cell growth contributing to oncogenesis. Additionally alterations in p130 function have implications in the development of Alzheimer's disease where cell cycle dysregulation occurs. Understanding p130's roles more deeply could provide insight into therapeutic targets for these conditions.

Product protocols

For this product, it's our understanding that no specific protocols are required. You can visit:

Target data

Key regulator of entry into cell division. Directly involved in heterochromatin formation by maintaining overall chromatin structure and, in particular, that of constitutive heterochromatin by stabilizing histone methylation. Recruits and targets histone methyltransferases KMT5B and KMT5C, leading to epigenetic transcriptional repression. Controls histone H4 'Lys-20' trimethylation. Probably acts as a transcription repressor by recruiting chromatin-modifying enzymes to promoters. Potent inhibitor of E2F-mediated trans-activation, associates preferentially with E2F5. Binds to cyclins A and E. Binds to and may be involved in the transforming capacity of the adenovirus E1A protein. May act as a tumor suppressor.
See full target information RBL2

Publications (6)

Recent publications for all applications. Explore the full list and refine your search

Frontiers in cellular and infection microbiology 15:1615300 PubMed40703674

2025

inhibits porcine epidemic diarrhea virus infection by disrupting nucleocapsid protein-p53 interaction.

Applications

Unspecified application

Species

Unspecified reactive species

Hongde Lu,Haoyang Liu,Ning Guo,Yu Zhou,Haiyan Lu,Zhiyuan He,Hong Dong

Experimental and therapeutic medicine 26:330 PubMed37346406

2023

Activation of Wnt/β‑Catenin‑p130/E2F4 promotes the differentiation of bone marrow‑derived mesenchymal stem cells into type II alveolar epithelial cells through cell cycle arrest.

Applications

Unspecified application

Species

Unspecified reactive species

Xiwen Zhang,Ming Xue,Airan Liu,Haibo Qiu,Fengmei Guo

Journal of virology 95:e0018721 PubMed34037422

2021

Coronavirus Porcine Epidemic Diarrhea Virus Nucleocapsid Protein Interacts with p53 To Induce Cell Cycle Arrest in S-Phase and Promotes Viral Replication.

Applications

Unspecified application

Species

Unspecified reactive species

Mingjun Su,Da Shi,Xiaoxu Xing,Shanshan Qi,Dan Yang,Jiyu Zhang,Yuru Han,Qinghe Zhu,Haibo Sun,Xiaoran Wang,Haoyang Wu,Meijiao Wang,Shan Wei,Chunqiu Li,Donghua Guo,Li Feng,Dongbo Sun

Investigative ophthalmology & visual science 61:19 PubMed32926102

2020

S100A4 Silencing Facilitates Corneal Wound Healing After Alkali Burns by Promoting Autophagy via Blocking the PI3K/Akt/mTOR Signaling Pathway.

Applications

Unspecified application

Species

Unspecified reactive species

Yulin Wang,Guiping Gao,Ying Wu,Yuqin Wang,Xiaorong Wu,Qiong Zhou

Cancers 12: PubMed32575420

2020

Molecular Interplay between Dormant Bone Marrow-Resident Cells (BMRCs) and CTCs in Breast Cancer.

Applications

Unspecified application

Species

Unspecified reactive species

Debasish Boral,Haowen N Liu,S Ray Kenney,Dario Marchetti

Gene 653:43-50 PubMed29339071

2018

MiR-155-5p promotes fibroblast cell proliferation and inhibits FOXO signaling pathway in vulvar lichen sclerosis by targeting FOXO3 and CDKN1B.

Applications

WB

Species

Unspecified reactive species

Lina Ren,Yi Zhao,Xiaoxi Huo,Xin Wu
View all publications

Product promise

We are committed to supporting your work with high-quality reagents, and we're here for you every step of the way. In the unlikely event that one of our products does not perform as expected, you're protected by our Product Promise.
For full details, please see our Terms & Conditions

Please note: All products are 'FOR RESEARCH USE ONLY. NOT FOR USE IN DIAGNOSTIC OR THERAPEUTIC PROCEDURES'.

For licensing inquiries, please contact partnerships@abcam.com