JavaScript is disabled in your browser. Please enable JavaScript to view this website.
AB247453

Anti-p130 antibody [EP2141Y] - BSA and Azide free

Be the first to review this product! Submit a review

|

(0 Publication)

Rabbit Recombinant Monoclonal p130 antibody. Carrier free. Suitable for IHC-P, WB, Flow Cyt (Intra) and reacts with Human, Mouse, Rat samples.

View Alternative Names

RB2, RBL2, Retinoblastoma-like protein 2, 130 kDa retinoblastoma-associated protein, Retinoblastoma-related protein 2, pRb2, p130, RBR-2

10 Images
Immunohistochemistry (Formalin/PFA-fixed paraffin-embedded sections) - Anti-p130 antibody [EP2141Y] - BSA and Azide free (AB247453)
  • IHC-P

Lab

Immunohistochemistry (Formalin/PFA-fixed paraffin-embedded sections) - Anti-p130 antibody [EP2141Y] - BSA and Azide free (AB247453)

This data was developed using ab76234, the same antibody clone in a different buffer formulation.

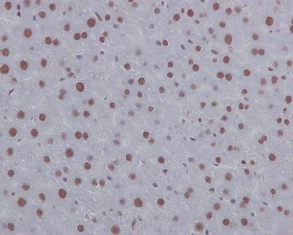
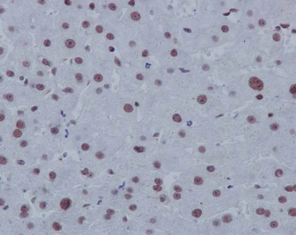
Immunohistochemistry (Formalin/PFA-fixed paraffin-embedded sections) analysis of human liver tissue sections labelling p130 with unpurified ab76234 at 1/250. Heat mediated antigen retrieval was performed using Tris/EDTA buffer pH 9. A prediluted HRP-polymer conjugated anti-rabbit IgG was used as the secondary antibody. Counterstained with hematoxylin.

Immunohistochemistry (Formalin/PFA-fixed paraffin-embedded sections) - Anti-p130 antibody [EP2141Y] - BSA and Azide free (AB247453)
  • IHC-P

Lab

Immunohistochemistry (Formalin/PFA-fixed paraffin-embedded sections) - Anti-p130 antibody [EP2141Y] - BSA and Azide free (AB247453)

This data was developed using ab76234, the same antibody clone in a different buffer formulation.

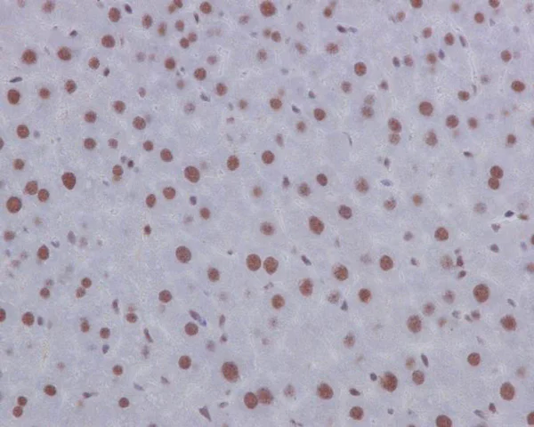
Immunohistochemistry (Formalin/PFA-fixed paraffin-embedded sections) analysis of human liver tissue sections labelling p130 with purified ab76234 at 1/300. Heat mediated antigen retrieval was performed using Tris/EDTA buffer pH 9. A prediluted HRP-polymer conjugated anti-rabbit IgG was used as the secondary antibody. Counterstained with hematoxylin.

Immunohistochemistry (Formalin/PFA-fixed paraffin-embedded sections) - Anti-p130 antibody [EP2141Y] - BSA and Azide free (AB247453)
  • IHC-P

Unknown

Immunohistochemistry (Formalin/PFA-fixed paraffin-embedded sections) - Anti-p130 antibody [EP2141Y] - BSA and Azide free (AB247453)

This data was developed using ab76234, the same antibody clone in a different buffer formulation.

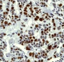
Immunohistochemistry (Formalin/PFA-fixed paraffin-embedded sections) analysis of human breast carcinoma tissue labelling p130 with unpurified ab76234 at 1/50.

Perform heat mediated antigen retrieval before commencing with IHC staining protocol.

Flow Cytometry (Intracellular) - Anti-p130 antibody [EP2141Y] - BSA and Azide free (AB247453)
  • Flow Cyt (Intra)

Unknown

Flow Cytometry (Intracellular) - Anti-p130 antibody [EP2141Y] - BSA and Azide free (AB247453)

This data was developed using ab76234, the same antibody clone in a different buffer formulation.

Overlay histogram showing Jurkat cells stained with unpurified ab76234 (red line). The cells were fixed with 80% methanol (5 min) and then permeabilized with 0.1% PBS-Tween for 20 min. The cells were then incubated in 1x PBS / 10% normal goat serum / 0.3M glycine to block non-specific protein-protein interactions followed by the antibody (ab76234, 1/100 dilution) for 30 min at 22°C. The secondary antibody used was Alexa Fluor® 488 goat anti-rabbit IgG (H&L) (ab150077) at 1/2000 dilution for 30 min at 22°C. Isotype control antibody (black line) was rabbit IgG (monoclonal) (1μg/1x106 cells) used under the same conditions. Unlabelled sample (blue line) was also used as a control. Acquisition of >5,000 events were collected using a 20mW Argon ion laser (488nm) and 525/30 bandpass filter. This antibody gave a positive signal in Jurkat cells fixed with 4% paraformaldehyde (10 min)/permeabilized with 0.1% PBS-Tween for 20 min used under the same conditions.

Immunohistochemistry (Formalin/PFA-fixed paraffin-embedded sections) - Anti-p130 antibody [EP2141Y] - BSA and Azide free (AB247453)
  • IHC-P

Lab

Immunohistochemistry (Formalin/PFA-fixed paraffin-embedded sections) - Anti-p130 antibody [EP2141Y] - BSA and Azide free (AB247453)

This data was developed using ab76234, the same antibody clone in a different buffer formulation.

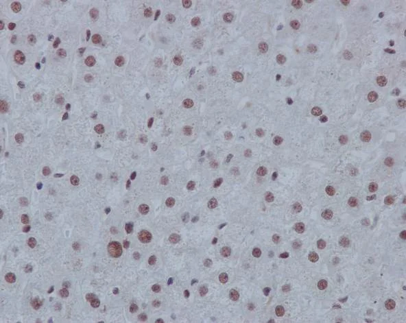
Immunohistochemistry (Formalin/PFA-fixed paraffin-embedded sections) analysis of mouse liver tissue sections labelling p130 with unpurified ab76234 at 1/250. Heat mediated antigen retrieval was performed using Tris/EDTA buffer pH 9. A prediluted HRP-polymer conjugated anti-rabbit IgG was used as the secondary antibody. Counterstained with hematoxylin.

Immunohistochemistry (Formalin/PFA-fixed paraffin-embedded sections) - Anti-p130 antibody [EP2141Y] - BSA and Azide free (AB247453)
  • IHC-P

Unknown

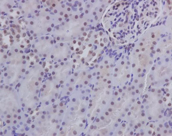
Immunohistochemistry (Formalin/PFA-fixed paraffin-embedded sections) - Anti-p130 antibody [EP2141Y] - BSA and Azide free (AB247453)

This data was developed using ab76234, the same antibody clone in a different buffer formulation.

Immunohistochemistry (Formalin/PFA-fixed paraffin-embedded sections) analysis of rat kidney tissue sections labelling p130 with unpurified ab76234 at 1/250. Heat mediated antigen retrieval was performed using Tris/EDTA buffer pH 9. A prediluted HRP-polymer conjugated anti-rabbit IgG was used as the secondary antibody. Counterstained with hematoxylin.

Immunohistochemistry (Formalin/PFA-fixed paraffin-embedded sections) - Anti-p130 antibody [EP2141Y] - BSA and Azide free (AB247453)
  • IHC-P

Unknown

Immunohistochemistry (Formalin/PFA-fixed paraffin-embedded sections) - Anti-p130 antibody [EP2141Y] - BSA and Azide free (AB247453)

This data was developed using ab76234, the same antibody clone in a different buffer formulation.

Immunohistochemistry (Formalin/PFA-fixed paraffin-embedded sections) analysis of mouse liver tissue sections labelling p130 with purified ab76234 at 1/300. Heat mediated antigen retrieval was performed using Tris/EDTA buffer pH 9. A prediluted HRP-polymer conjugated anti-rabbit IgG was used as the secondary antibody. Counterstained with hematoxylin.

Immunohistochemistry (Formalin/PFA-fixed paraffin-embedded sections) - Anti-p130 antibody [EP2141Y] - BSA and Azide free (AB247453)
  • IHC-P

Unknown

Immunohistochemistry (Formalin/PFA-fixed paraffin-embedded sections) - Anti-p130 antibody [EP2141Y] - BSA and Azide free (AB247453)

This data was developed using ab76234, the same antibody clone in a different buffer formulation.

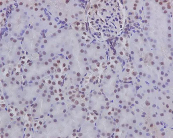
Immunohistochemistry (Formalin/PFA-fixed paraffin-embedded sections) analysis of rat kidney tissue sections labelling p130 with purified ab76234 at 1/300. Heat mediated antigen retrieval was performed using Tris/EDTA buffer pH 9. A prediluted HRP-polymer conjugated anti-rabbit IgG was used as the secondary antibody. Counterstained with hematoxylin.

Western blot - Anti-p130 antibody [EP2141Y] - BSA and Azide free (AB247453)
  • WB

Lab

Western blot - Anti-p130 antibody [EP2141Y] - BSA and Azide free (AB247453)

This data was developed using ab76234, the same antibody clone in a different buffer formulation.

Blocking and dilution buffer : 5% NFDM/TBST.

All lanes:

Western blot - Anti-p130 antibody [EP2141Y] (<a href='/en-us/products/primary-antibodies/p130-antibody-ep2141y-ab76234'>ab76234</a>) at 1/1000 dilution

All lanes:

Daudi cell lysate at 10 µg

Secondary

All lanes:

Peroxidase-conjugated goat anti-rabbit IgG at 1/1000 dilution

Predicted band size: 128 kDa

Observed band size: 130 kDa

false

Western blot - Anti-p130 antibody [EP2141Y] - BSA and Azide free (AB247453)
  • WB

Lab

Western blot - Anti-p130 antibody [EP2141Y] - BSA and Azide free (AB247453)

This data was developed using ab76234, the same antibody clone in a different buffer formulation.

Blocking and dilution buffer : 5% NFDM/TBST.

All lanes:

Western blot - Anti-p130 antibody [EP2141Y] (<a href='/en-us/products/primary-antibodies/p130-antibody-ep2141y-ab76234'>ab76234</a>) at 1/1000 dilution

All lanes:

Daudi cell lysate at 10 µg

Secondary

All lanes:

Peroxidase-conjugated goat anti-rabbit IgG (H+L) at 1/1000 dilution

Predicted band size: 128 kDa

Observed band size: 130 kDa

false

Key facts

Host species

Rabbit

Clonality

Monoclonal

Clone number

EP2141Y

Isotype

IgG

Carrier free

Yes

Reacts with

Mouse, Rat, Human

Applications

WB, IHC-P, Flow Cyt (Intra)

applications

Immunogen

The exact immunogen used to generate this antibody is proprietary information.

Reactivity data

{ "title": "Reactivity Data", "filters": { "stats": ["", "Species", "Dilution Info", "Notes"], "tabs": { "all-applications": {"fullname" : "All Applications", "shortname": "All Applications"}, "IHCP" : {"fullname" : "Immunohistochemistry (Formalin/PFA-fixed paraffin-embedded sections)", "shortname":"IHC-P"}, "IP" : {"fullname" : "Immunoprecipitation", "shortname":"IP"}, "WB" : {"fullname" : "Western blot", "shortname":"WB"}, "ICCIF" : {"fullname" : "Immunocytochemistry/ Immunofluorescence", "shortname":"ICC/IF"}, "FlowCytIntra" : {"fullname" : "Flow Cytometry (Intracellular)", "shortname":"Flow Cyt (Intra)"} }, "product-promise": { "all": "all", "testedAndGuaranteed": "tested", "guaranteed": "expected", "predicted": "predicted", "notRecommended": "not-recommended" } }, "values": { "Human": { "IHCP-species-checked": "testedAndGuaranteed", "IHCP-species-dilution-info": "", "IHCP-species-notes": "<p></p>", "IP-species-checked": "notRecommended", "IP-species-dilution-info": "", "IP-species-notes": "<p></p>", "WB-species-checked": "testedAndGuaranteed", "WB-species-dilution-info": "", "WB-species-notes": "<p></p>", "ICCIF-species-checked": "notRecommended", "ICCIF-species-dilution-info": "", "ICCIF-species-notes": "<p></p>", "FlowCytIntra-species-checked": "testedAndGuaranteed", "FlowCytIntra-species-dilution-info": "", "FlowCytIntra-species-notes": "<p></p>" }, "Mouse": { "IHCP-species-checked": "testedAndGuaranteed", "IHCP-species-dilution-info": "", "IHCP-species-notes": "<p></p>", "IP-species-checked": "notRecommended", "IP-species-dilution-info": "", "IP-species-notes": "<p></p>", "WB-species-checked": "guaranteed", "WB-species-dilution-info": "", "WB-species-notes": "", "ICCIF-species-checked": "notRecommended", "ICCIF-species-dilution-info": "", "ICCIF-species-notes": "<p></p>", "FlowCytIntra-species-checked": "guaranteed", "FlowCytIntra-species-dilution-info": "", "FlowCytIntra-species-notes": "" }, "Rat": { "IHCP-species-checked": "testedAndGuaranteed", "IHCP-species-dilution-info": "", "IHCP-species-notes": "<p></p>", "IP-species-checked": "notRecommended", "IP-species-dilution-info": "", "IP-species-notes": "<p></p>", "WB-species-checked": "guaranteed", "WB-species-dilution-info": "", "WB-species-notes": "", "ICCIF-species-checked": "notRecommended", "ICCIF-species-dilution-info": "", "ICCIF-species-notes": "<p></p>", "FlowCytIntra-species-checked": "guaranteed", "FlowCytIntra-species-dilution-info": "", "FlowCytIntra-species-notes": "" } } }

Product details

ab247453 is the carrier-free version of ab76234.

Patented technology
Our RabMAb® technology is a patented hybridoma-based technology for making rabbit monoclonal antibodies. For details on our patents, please refer to RabMAb® patents.

What are the advantages of a recombinant monoclonal antibody?
This product is a recombinant monoclonal antibody, which offers several advantages including:

  • - High batch-to-batch consistency and reproducibility
  • - Improved sensitivity and specificity
  • - Long-term security of supply
  • - Animal-free batch production

For more information, read more on recombinant antibodies.

Conjugation ready
Our carrier-free antibodies are typically supplied in a PBS-only formulation, purified and free of BSA, sodium azide and glycerol. This conjugation-ready format is designed for use with fluorochromes, metal isotopes, oligonucleotides, and enzymes, which makes them ideal for antibody labelling, functional and cell-based assays, flow-based assays (e.g. mass cytometry) and Multiplex Imaging applications.

Use our conjugation kits for antibody conjugates that are ready-to-use in as little as 20 minutes with 1 minute hands-on-time and 100% antibody recovery: available for fluorescent dyes, HRP, biotin and gold.

Compatibility
This product is compatible with the Maxpar® Antibody Labeling Kit from Fluidigm, without the need for antibody preparation. Maxpar® is a trademark of Fluidigm Canada Inc.

Properties and storage information

Form
Liquid
Purification technique
Affinity purification Protein A
Storage buffer
pH: 7.2 - 7.4 Constituents: PBS
Shipped at conditions
Blue Ice
Appropriate short-term storage conditions
+4°C
Appropriate long-term storage conditions
+4°C
Storage information
Do Not Freeze

Supplementary information

This supplementary information is collated from multiple sources and compiled automatically.

P130 also known as RBL2 (retinoblastoma-like 2) is a member of the retinoblastoma (Rb) protein family which includes pRb and p107. This protein has a molecular weight of about 130 kDa. It plays roles in regulating cell cycle by binding to E2F transcription factors consequently suppressing cell-cycle progression from G1 to S phase. p130 is ubiquitously expressed in various tissues but it shows higher levels in tissues with a low proliferation rate.
Biological function summary

The retinoblastoma-like 2 (p130) functions as an important regulator within the cell cycle checkpoint machinery. p130 forms a complex with E2F transcription factors selectively inhibiting their transcriptional activity. This inhibition plays an integral role in controlling cellular proliferation and ensuring that DNA replication does not occur unchecked. It also associates with cyclin-dependent kinase inhibitors further influencing the progression of the cell cycle.

Pathways

P130 is implicated in the control of the G1/S transition within the cell cycle pathway. Its function is closely linked with the Rb/E2F pathway which is critical for the regulation of cell proliferation. p130 collaborates with Rb and p107 within this pathway ensuring proper control of cell cycle transitions and maintenance of cellular growth.

Retinoblastoma-like 2 (p130) shows significant connections to cancer and neurodegenerative disorders. Dysregulation of p130 along with its pathway partners like Rb can lead to unregulated cell growth contributing to oncogenesis. Additionally alterations in p130 function have implications in the development of Alzheimer's disease where cell cycle dysregulation occurs. Understanding p130's roles more deeply could provide insight into therapeutic targets for these conditions.

Product protocols

For this product, it's our understanding that no specific protocols are required. You can visit:

Target data

Key regulator of entry into cell division. Directly involved in heterochromatin formation by maintaining overall chromatin structure and, in particular, that of constitutive heterochromatin by stabilizing histone methylation. Recruits and targets histone methyltransferases KMT5B and KMT5C, leading to epigenetic transcriptional repression. Controls histone H4 'Lys-20' trimethylation. Probably acts as a transcription repressor by recruiting chromatin-modifying enzymes to promoters. Potent inhibitor of E2F-mediated trans-activation, associates preferentially with E2F5. Binds to cyclins A and E. Binds to and may be involved in the transforming capacity of the adenovirus E1A protein. May act as a tumor suppressor.
See full target information RBL2

Product promise

We are committed to supporting your work with high-quality reagents, and we're here for you every step of the way. In the unlikely event that one of our products does not perform as expected, you're protected by our Product Promise.
For full details, please see our Terms & Conditions

Please note: All products are 'FOR RESEARCH USE ONLY. NOT FOR USE IN DIAGNOSTIC OR THERAPEUTIC PROCEDURES'.

For licensing inquiries, please contact partnerships@abcam.com