JavaScript is disabled in your browser. Please enable JavaScript to view this website.
AB53034

Anti-p15 INK4b antibody

4

(1 Review)

|

(48 Publications)

Rabbit Polyclonal p15 INK4b antibody. Suitable for WB, IHC-P, ICC/IF and reacts with Human samples. Cited in 48 publications. Immunogen corresponding to Synthetic Peptide within Human CDKN2B.

View Alternative Names

MTS2, CDKN2B, Cyclin-dependent kinase 4 inhibitor B, Multiple tumor suppressor 2, p14-INK4b, p15-INK4b, MTS-2, p15INK4B

5 Images
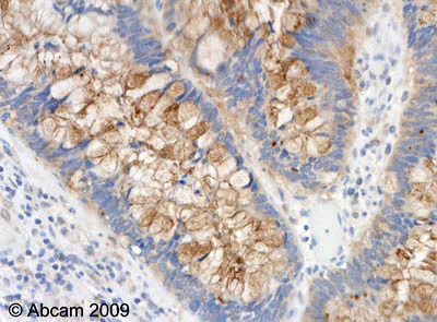
Immunohistochemistry (Formalin/PFA-fixed paraffin-embedded sections) - Anti-p15 INK4b antibody (AB53034)
  • IHC-P

Unknown

Immunohistochemistry (Formalin/PFA-fixed paraffin-embedded sections) - Anti-p15 INK4b antibody (AB53034)

ab53034 (2µg/ml) staining p15 INK4b in human colon carcinoma.
Sections were stained using an automated system (DAKO Autostainer Plus ), at room temperature : sections were rehydrated and antigen retrieved with the Dako 3 in 1 AR buffers EDTA pH 9.0 . Slides were peroxidase blocked in 3% H2O2 in methanol for 10 mins. They were then blocked with Dako Protein block for 10 minutes (containing casein 0.25% in PBS) then incubated with primary antibody for 20 min and detected with Dako envision flex amplification kit for 30 minutes. Colorimetric detection was completed with Diaminobenzidine for 5 minutes. Slides were counterstained with Haematoxylin and coverslipped under DePeX. Please note that for manual staining we recommend to optimize the primary antibody concentration and incubation time (overnight incubation), and amplification may be required.

Immunocytochemistry/ Immunofluorescence - Anti-p15 INK4b antibody (AB53034)
  • ICC/IF

Supplier Data

Immunocytochemistry/ Immunofluorescence - Anti-p15 INK4b antibody (AB53034)

Immunofluorescence analysis of HeLa cells, using Anti-p15 INK4b antibody (ab53034). The picture on the right is blocked with the synthesized peptide.

Western blot - Anti-p15 INK4b antibody (AB53034)
  • WB

Unknown

Western blot - Anti-p15 INK4b antibody (AB53034)

All lanes:

Western blot - Anti-p15 INK4b antibody (ab53034) at 1/500 dilution

Lane 1:

HeLa cell extract

Lane 2:

HeLa cell extract with peptide

Predicted band size: 15 kDa

Observed band size: 15 kDa

false

Immunohistochemistry (Formalin/PFA-fixed paraffin-embedded sections) - Anti-p15 INK4b antibody (AB53034)
  • IHC-P

Unknown

Immunohistochemistry (Formalin/PFA-fixed paraffin-embedded sections) - Anti-p15 INK4b antibody (AB53034)

Left panel : with primary antibody at 2 ug/ml. Right panel : isotype control.
Sections were stained using an automated system (Dako PT Link), at room temperature. Sections were rehydrated and antigen retrieved with the Dako 3-in-1 AR buffers EDTA pH 9.0. Slides were peroxidase blocked in 3% H2O2 in methanol for 10 minutes. They were then blocked with Dako Protein block for 10 minutes (containing casein 0.25% in PBS) then incubated with primary antibody for 20 minutes and detected with Dako Envision Flex amplification kit for 30 minutes. Colorimetric detection was completed with diaminobenzidine for 5 minutes. Slides were counterstained with Haematoxylin and coverslipped under DePeX. Please note that for manual staining we recommend to optimize the primary antibody concentration and incubation time (overnight incubation), and amplification may be required.

Western blot - Anti-p15 INK4b antibody (AB53034)
  • WB

CiteAb

Western blot - Anti-p15 INK4b antibody (AB53034)

p15 INK4b western blot using anti-p15 INK4b antibody ab53034. Publication image and figure legend from Tanaka, T., Terai, Y., et al., 2017, PLoS One, PubMed 28472136.

ab53034 was used in this publication in western blot. This may not be the same as the application(s) guaranteed by Abcam. For a full list of applications guaranteed by Abcam for ab53034 please see the product overview.

(A) A Western blot analysis shows the expression of Rb and phospho-Rb protein in HEC1A and HEC108 cells. Both cell lines demonstrated expression of cyclin D1. Strong expression of p15, p16, p18 and p19, which act as inhibitors of CDK 4/6, was not seen. (B) Effect of PD-0332991 on phosphorylation of Rb protein. HEC1A (top) and HEC108 (bottom) cells showed a time- and concentration-dependent inhibition of Rb phosphorylation following treatment with a PD-0332991 inhibitor. However, PD-0332991 inhibited total Rb expression to a greater extent than phospho-Rb.

false

Key facts

Host species

Rabbit

Clonality

Polyclonal

Isotype

IgG

Carrier free

No

Reacts with

Human

Applications

WB, ICC/IF, IHC-P

applications

Immunogen

Synthetic Peptide within Human CDKN2B. The exact immunogen used to generate this antibody is proprietary information.

P42772

Specificity

Detects endogenous levels of total p15 INK protein.

There is 91.8% identity to CDKN2A (P42771) based on the immunogen sequence range.

Reactivity data

{ "title": "Reactivity Data", "filters": { "stats": ["", "Species", "Dilution Info", "Notes"], "tabs": { "all-applications": {"fullname" : "All Applications", "shortname": "All Applications"}, "WB" : {"fullname" : "Western blot", "shortname":"WB"}, "IHCP" : {"fullname" : "Immunohistochemistry (Formalin/PFA-fixed paraffin-embedded sections)", "shortname":"IHC-P"}, "ICCIF" : {"fullname" : "Immunocytochemistry/ Immunofluorescence", "shortname":"ICC/IF"} }, "product-promise": { "all": "all", "testedAndGuaranteed": "tested", "guaranteed": "expected", "predicted": "predicted", "notRecommended": "not-recommended" } }, "values": { "Human": { "WB-species-checked": "testedAndGuaranteed", "WB-species-dilution-info": "1/500 - 1/1000", "WB-species-notes": "<p></p>", "IHCP-species-checked": "testedAndGuaranteed", "IHCP-species-dilution-info": "2 µg/mL", "IHCP-species-notes": "<p></p>", "ICCIF-species-checked": "testedAndGuaranteed", "ICCIF-species-dilution-info": "", "ICCIF-species-notes": "<p></p>" }, "Mouse": { "WB-species-checked": "predicted", "WB-species-dilution-info": "", "WB-species-notes": "", "IHCP-species-checked": "predicted", "IHCP-species-dilution-info": "", "IHCP-species-notes": "", "ICCIF-species-checked": "predicted", "ICCIF-species-dilution-info": "", "ICCIF-species-notes": "" }, "Rat": { "WB-species-checked": "predicted", "WB-species-dilution-info": "", "WB-species-notes": "", "IHCP-species-checked": "predicted", "IHCP-species-dilution-info": "", "IHCP-species-notes": "", "ICCIF-species-checked": "predicted", "ICCIF-species-dilution-info": "", "ICCIF-species-notes": "" } } }

Properties and storage information

Form
Liquid
Purification technique
Affinity purification Immunogen
Purification notes
ab53034 was purified from rabbit antiserum by affinity chromatography using epitope specific immunogen
Storage buffer
pH: 7.4 Preservative: 0.02% Sodium azide Constituents: PBS, 50% Glycerol (glycerin, glycerine), 0.87% Sodium chloride
Shipped at conditions
Blue Ice
Appropriate short-term storage conditions
+4°C
Appropriate long-term storage conditions
-20°C
Storage information
Stable for 12 months at -20°C

Supplementary information

This supplementary information is collated from multiple sources and compiled automatically.

The p15 INK4b protein also known as CDKN2B is an inhibitor of cyclin-dependent kinases (CDKs) specifically CDK4 and CDK6. Mechanically p15 INK4b acts by binding to these CDKs and preventing their interaction with cyclin D therefore halting the cell cycle progression at the G1 phase. This protein is small with a molecular weight of around 15 kDa. Expressed mainly in tissues with high rates of cell division such as those found in the hematopoietic system it serves as an important regulator of cell cycle progression.
Biological function summary

P15 INK4b plays a significant role in controlling cell proliferation by modulating the transition from the G1 to S phase in the cell cycle. It does not function as part of a complex but works independently to inhibit CDKs. The protein ensures that cells do not divide uncontrollably thereby acting as a tumor suppressor. Its activity is required for proper response to various growth-inhibitory signals and maintaining cellular homeostasis.

Pathways

The regulation and inhibition of the cell cycle by p15 INK4b take place within the broader framework of the retinoblastoma (RB) tumor suppressor pathway and the TGF-beta signaling pathway. This protein is closely related to other CDK inhibitors like p16 INK4a (CDKN2A) and p18 INK4c and it functions in concert with these inhibitors to maintain control over cell division. Through these pathways p15 INK4b ensures that cell growth is checked under normal physiological conditions.

Mutations or deletions in the p15 INK4b gene can lead to its inactivation contributing to the development of various cancers notably acute lymphoblastic leukemia and melanoma. Its interactions with other CDK inhibitors such as p16 INK4a often compound disease pathogenesis. Restoration of p15 INK4b function is being explored as a potential therapeutic strategy for these cancers due to its established role as a tumor suppressor.

Product protocols

For this product, it's our understanding that no specific protocols are required. You can visit:

Target data

Interacts strongly with CDK4 and CDK6. Potent inhibitor. Potential effector of TGF-beta induced cell cycle arrest.
See full target information CDKN2B

Publications (48)

Recent publications for all applications. Explore the full list and refine your search

International journal of molecular sciences 26: PubMed40564900

2025

The Profile of Retinal Ganglion Cell Death and Cellular Senescence in Mice with Aging.

Applications

Unspecified application

Species

Unspecified reactive species

Wen-Ying Wang,Xin Bin,Yanxuan Xu,Si Chen,Shuyi Zhou,Shaowan Chen,Yingjie Cao,Kunliang Qiu,Tsz Kin Ng

The EMBO journal 43:5360-5380 PubMed39349844

2024

p21 regulates expression of ECM components and promotes pulmonary fibrosis via CDK4 and Rb.

Applications

Unspecified application

Species

Unspecified reactive species

Nurit Papismadov,Naama Levi,Lior Roitman,Amit Agrawal,Yossi Ovadya,Ulysse Cherqui,Reut Yosef,Hagay Akiva,Hilah Gal,Valery Krizhanovsky

Cell proliferation 57:e13719 PubMed39021340

2024

Cellular senescence mediates retinal ganglion cell survival regulation post-optic nerve crush injury.

Applications

Unspecified application

Species

Unspecified reactive species

Yao Yao,Xin Bin,Yanxuan Xu,Shaowan Chen,Si Chen,Xiang-Ling Yuan,Yingjie Cao,Tsz Kin Ng

Cellular and molecular life sciences : CMLS 80:156 PubMed37208565

2023

CSNK1D-mediated phosphorylation of HNRNPA2B1 induces miR-25-3p/miR-93-5p maturation to promote prostate cancer cell proliferation and migration through mA-dependent manner.

Applications

Unspecified application

Species

Unspecified reactive species

Feng Qi,Wenyi Shen,Xiyi Wei,Yifei Cheng,Fan Xu,Yuxiao Zheng,Lu Li,Chao Qin,Xiao Li

Frontiers in immunology 13:960601 PubMed36466895

2022

Fisetin reduces the senescent tubular epithelial cell burden and also inhibits proliferative fibroblasts in murine lupus nephritis.

Applications

Unspecified application

Species

Unspecified reactive species

Shogo Ijima,Yuki Saito,Kentaro Nagaoka,Sena Yamamoto,Tsukasa Sato,Norihiro Miura,Taiki Iwamoto,Maki Miyajima,Takako S Chikenji

Clinical cancer research : an official journal of the American Association for Cancer Research 29:866-877 PubMed36269797

2022

Beneficial Effects of Mifepristone Treatment in Patients with Breast Cancer Selected by the Progesterone Receptor Isoform Ratio: Results from the MIPRA Trial.

Applications

Unspecified application

Species

Unspecified reactive species

Andrés Elía,Leo Saldain,Silvia I Vanzulli,Luisa A Helguero,Caroline A Lamb,Victoria Fabris,Gabriela Pataccini,Paula Martínez-Vazquez,Javier Burruchaga,Ines Caillet-Bois,Eunice Spengler,Gabriela Acosta Haab,Marcos Liguori,Alejandra Castets,Silvia Lovisi,María F Abascal,Virginia Novaro,Jana Sánchez,Javier Muñoz,José M Belizán,Martín C Abba,Hugo Gass,Paola Rojas,Claudia Lanari

Cellular & molecular biology letters 27:86 PubMed36209059

2022

Anti-aging effect of β-carotene through regulating the KAT7-P15 signaling axis, inflammation and oxidative stress process.

Applications

Unspecified application

Species

Unspecified reactive species

Wei V Zheng,Wang Xu,Yaqin Li,Jie Qin,Tao Zhou,Dezhi Li,Yanwei Xu,Xianyi Cheng,Yu Xiong,Zaizhong Chen

Frontiers in cell and developmental biology 10:993525 PubMed36176277

2022

upregulates gene expression in the locus through competitive binding to PcG protein CBX7.

Applications

Unspecified application

Species

Unspecified reactive species

Zhuoqi Li,Juanli Qiao,Wanru Ma,Jing Zhou,Liankun Gu,Dajun Deng,Baozhen Zhang

The Journal of clinical investigation 132: PubMed35852856

2022

Tumor-intrinsic PRC2 inactivation drives a context-dependent immune-desert microenvironment and is sensitized by immunogenic viruses.

Applications

Unspecified application

Species

Unspecified reactive species

Juan Yan,Yuedan Chen,Amish J Patel,Sarah Warda,Cindy J Lee,Briana G Nixon,Elissa Wp Wong,Miguel A Miranda-Román,Ning Yang,Yi Wang,Mohini R Pachai,Jessica Sher,Emily Giff,Fanying Tang,Ekta Khurana,Sam Singer,Yang Liu,Phillip M Galbo,Jesper Lv Maag,Richard P Koche,Deyou Zheng,Cristina R Antonescu,Liang Deng,Ming O Li,Yu Chen,Ping Chi

Communications biology 5:310 PubMed35383267

2022

Altered regulation of mesenchymal cell senescence in adipose tissue promotes pathological changes associated with diabetic wound healing.

Applications

Unspecified application

Species

Unspecified reactive species

Arisa Kita,Yuki Saito,Norihiro Miura,Maki Miyajima,Sena Yamamoto,Tsukasa Sato,Takatoshi Yotsuyanagi,Mineko Fujimiya,Takako S Chikenji
View all publications

Product promise

We are committed to supporting your work with high-quality reagents, and we're here for you every step of the way. In the unlikely event that one of our products does not perform as expected, you're protected by our Product Promise.
For full details, please see our Terms & Conditions

Please note: All products are 'FOR RESEARCH USE ONLY. NOT FOR USE IN DIAGNOSTIC OR THERAPEUTIC PROCEDURES'.

For licensing inquiries, please contact partnerships@abcam.com