JavaScript is disabled in your browser. Please enable JavaScript to view this website.
AB126625

Anti-p150 CAF1/CAF antibody [EPR5576(2)]

5

(1 Review)

|

(16 Publications)

Rabbit Recombinant Monoclonal p150 CAF1/CAF antibody. Suitable for IHC-P, ICC/IF, WB, Flow Cyt (Intra) and reacts with Human samples. Cited in 16 publications.

View Alternative Names

CAF, CAF1P150, CHAF1A, Chromatin assembly factor 1 subunit A, CAF-1 subunit A, Chromatin assembly factor I p150 subunit, CAF-I 150 kDa subunit, CAF-I p150, hp150

5 Images
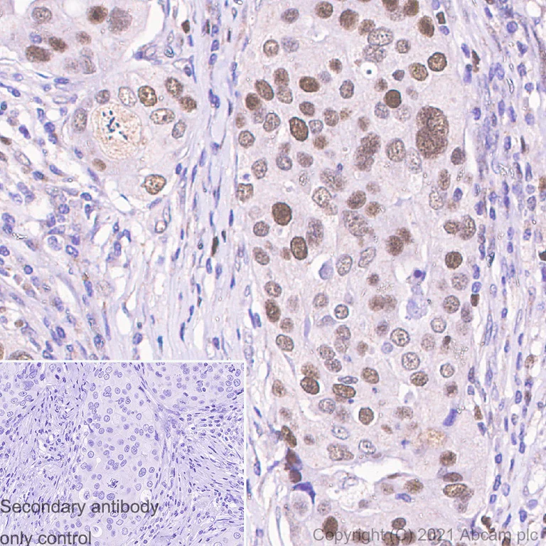
Immunohistochemistry (Formalin/PFA-fixed paraffin-embedded sections) - Anti-p150 CAF1/CAF antibody [EPR5576(2)] (AB126625)
  • IHC-P

Lab

Immunohistochemistry (Formalin/PFA-fixed paraffin-embedded sections) - Anti-p150 CAF1/CAF antibody [EPR5576(2)] (AB126625)

Immunohistochemistry (Formalin/PFA-fixed paraffin-embedded sections) analysis of human breast carcinoma tissue sections labeling p150 CAF1/CAF with Purified ab126625 at 1 : 150 (0.9 μg/ml). Heat mediated antigen retrieval was performed using Heat mediated antigen retrieval using Bond™ Epitope Retrieval Solution 2 (pH 9.0) . Tissue was counterstained with Hematoxylin. Rabbit specific IHC polymer detection kit HRP/DAB (ab209101) secondary antibody was used at 1 : 0 dilution. PBS instead of the primary antibody was used as the negative control.

Immunohistochemistry (Formalin/PFA-fixed paraffin-embedded sections) - Anti-p150 CAF1/CAF antibody [EPR5576(2)] (AB126625)
  • IHC-P

Lab

Immunohistochemistry (Formalin/PFA-fixed paraffin-embedded sections) - Anti-p150 CAF1/CAF antibody [EPR5576(2)] (AB126625)

Immunohistochemistry (Formalin/PFA-fixed paraffin-embedded sections) analysis of human colon tissue sections labeling p150 CAF1/CAF with Purified ab126625 at 1 : 150 (0.9 μg/ml). Heat mediated antigen retrieval was performed using Heat mediated antigen retrieval using Bond™ Epitope Retrieval Solution 2 (pH 9.0) . Tissue was counterstained with Hematoxylin. Rabbit specific IHC polymer detection kit HRP/DAB (ab209101) secondary antibody was used at 1 : 0 dilution. PBS instead of the primary antibody was used as the negative control.

Flow Cytometry (Intracellular) - Anti-p150 CAF1/CAF antibody [EPR5576(2)] (AB126625)
  • Flow Cyt (Intra)

Lab

Flow Cytometry (Intracellular) - Anti-p150 CAF1/CAF antibody [EPR5576(2)] (AB126625)

Flow Cytometry analysis of HeLa (Human cervix adenocarcinoma epithelial cell) cells labelling p150 CAF1/CAF with Purified ab126625 at 1 : 20 dilution (10 μg/ml) (Red). Cells were fixed with 4% Paraformaldehyde and permeabilised with 90% Methanol. A Goat anti rabbit IgG (Alexa Fluor® 488, ab150077) secondary antibody was used at 1 : 2000. Isotype control - Rabbit monoclonal IgG (Black). Unlabelled control - Cell without incubation with primary antibody and secondary antibody (Blue).

Immunocytochemistry/ Immunofluorescence - Anti-p150 CAF1/CAF antibody [EPR5576(2)] (AB126625)
  • ICC/IF

Lab

Immunocytochemistry/ Immunofluorescence - Anti-p150 CAF1/CAF antibody [EPR5576(2)] (AB126625)

Immunocytochemistry analysis of HT-29 (Human colorectal adenocarcinoma epithelial cell) cells labeling p150 CAF1/CAF with Purified ab126625 at 1 : 50 dilution (2.7 μg/ml). Cells were fixed in 4% Paraformaldehyde and permeabilized with 0.1% tritonX-100. Cells were counterstained with ab195889 Anti-alpha Tubulin antibody [DM1A] - Microtubule Marker (Alexa Fluor® 594) 1 : 200 (2.5 μg/ml). Goat anti rabbit IgG (Alexa Fluor® 488, ab150077) was used as the secondary antibody at 1 : 1000 (2 μg/ml) dilution. DAPI (blue) was used as nuclear counterstain. PBS instead of the primary antibody was used as the secondary antibody only control.

Western blot - Anti-p150 CAF1/CAF antibody [EPR5576(2)] (AB126625)
  • WB

Unknown

Western blot - Anti-p150 CAF1/CAF antibody [EPR5576(2)] (AB126625)

All lanes:

Western blot - Anti-p150 CAF1/CAF antibody [EPR5576(2)] (ab126625) at 1/10000 dilution

Lane 1:

HeLa (Human cervix adenocarcinoma epithelial cell) whole cell lysate

Lane 2:

HeLa (Human cervix adenocarcinoma epithelial cell) starved 24 hours and treated with 500ng/ml nocodazole for 24 hours whole cell lysate

Lane 3:

MCF7 (Human breast adenocarcinoma epithelial cell) whole cell lysate

Lane 4:

K-562 (Human chronic myelogenous leukemia lymphoblast) whole cell lysate

Secondary

All lanes:

Western blot - Goat Anti-Rabbit IgG H&L (HRP) (<a href='/en-us/products/secondary-antibodies/goat-rabbit-igg-h-l-hrp-ab97051'>ab97051</a>) at 1/20000 dilution

Predicted band size: 107 kDa

false

  • 519 Alexa Fluor® 488

    Alexa Fluor® 488 Anti-p150 CAF1/CAF antibody [EPR5576(2)]

  • Carrier free

    Anti-p150 CAF1/CAF antibody [EPR5576(2)] - BSA and Azide free

Key facts

Host species

Rabbit

Clonality

Monoclonal

Clone number

EPR5576(2)

Isotype

IgG

Carrier free

No

Reacts with

Human

Applications

Flow Cyt (Intra), WB, IHC-P, ICC/IF

applications

Immunogen

The exact immunogen used to generate this antibody is proprietary information.

Reactivity data

{ "title": "Reactivity Data", "filters": { "stats": ["", "Species", "Dilution Info", "Notes"], "tabs": { "all-applications": {"fullname" : "All Applications", "shortname": "All Applications"}, "IHCP" : {"fullname" : "Immunohistochemistry (Formalin/PFA-fixed paraffin-embedded sections)", "shortname":"IHC-P"}, "ICCIF" : {"fullname" : "Immunocytochemistry/ Immunofluorescence", "shortname":"ICC/IF"}, "WB" : {"fullname" : "Western blot", "shortname":"WB"}, "FlowCytIntra" : {"fullname" : "Flow Cytometry (Intracellular)", "shortname":"Flow Cyt (Intra)"} }, "product-promise": { "all": "all", "testedAndGuaranteed": "tested", "guaranteed": "expected", "predicted": "predicted", "notRecommended": "not-recommended" } }, "values": { "Human": { "IHCP-species-checked": "testedAndGuaranteed", "IHCP-species-dilution-info": "1/150", "IHCP-species-notes": "<p></p> Perform heat-mediated antigen retrieval with citrate buffer pH 6 before commencing with IHC staining protocol.", "ICCIF-species-checked": "testedAndGuaranteed", "ICCIF-species-dilution-info": "1/50", "ICCIF-species-notes": "<p></p>", "WB-species-checked": "testedAndGuaranteed", "WB-species-dilution-info": "1/10000", "WB-species-notes": "<p></p>", "FlowCytIntra-species-checked": "testedAndGuaranteed", "FlowCytIntra-species-dilution-info": "1/20", "FlowCytIntra-species-notes": "<p><a href='/en-us/products/primary-antibodies/rabbit-igg-monoclonal-epr25a-isotype-control-ab172730'>ab172730</a> - Rabbit monoclonal IgG, is suitable for use as an isotype control with this antibody.</p>" } } }

Product details

Properties and storage information

Form
Liquid
Purification technique
Affinity purification Protein A
Storage buffer
pH: 7.2 - 7.4 Preservative: 0.01% Sodium azide Constituents: 59% PBS, 40% Glycerol (glycerin, glycerine), 0.05% BSA
Shipped at conditions
Blue Ice
Appropriate short-term storage duration
1-2 weeks
Appropriate short-term storage conditions
+4°C
Appropriate long-term storage conditions
-20°C
Aliquoting information
Upon delivery aliquot
Storage information
Avoid freeze / thaw cycle

Supplementary information

This supplementary information is collated from multiple sources and compiled automatically.

The p150 CAF1 also known as CAF protein and CAF1 protein is part of the chromatin assembly factor 1 complex. It weighs approximately 150 kDa. This protein primarily expresses in the nucleus of eukaryotic cells where it plays an important role in DNA replication and repair. The p150 protein acts as a structural component that is essential for proper chromatin assembly during the S phase of the cell cycle.
Biological function summary

This target functions as part of the CAF-1 complex which includes two additional subunits—p60 and p48. The complex aids in the assembly of newly synthesized histones onto replicating DNA facilitating nucleosome formation. It affects chromatin dynamics influencing transcriptional regulation by providing nucleosome assembly binding sites along DNA. This process maintains genomic integrity during cell division and influences gene expression in response to various cell signals.

Pathways

The p150 protein interacts within pathways involved in DNA replication and repair. It plays a major role in the nucleosome assembly pathway closely interacting with histone proteins H3 and H4. Through these interactions it ensures the stability of replication forks during DNA synthesis. Besides it participates in the regulation of the cell cycle and influences the chromatin assembly pathway important for accurate DNA replication and cell division.

Several conditions show connection with the p150 protein's function in DNA replication. Alterations or defects in its expression link to cancer where chromatin misassembly leads to genomic instability a hallmark of tumorigenesis. Additionally the involvement of p150 in neurodegenerative disorders sheds light on how disrupted chromatin assembly can affect neural cells. Its interaction with proteins like retinoblastoma (Rb) points to the potential dysregulation in cell cycle control further influencing disease progression.

Product protocols

For this product, it's our understanding that no specific protocols are required. You can visit:

Target data

Core component of the CAF-1 complex, a complex that is thought to mediate chromatin assembly in DNA replication and DNA repair. Assembles histone octamers onto replicating DNA in vitro. CAF-1 performs the first step of the nucleosome assembly process, bringing newly synthesized histones H3 and H4 to replicating DNA; histones H2A/H2B can bind to this chromatin precursor subsequent to DNA replication to complete the histone octamer. It may play a role in heterochromatin maintenance in proliferating cells by bringing newly synthesized cbx proteins to heterochromatic DNA replication foci.
See full target information CHAF1A

Publications (16)

Recent publications for all applications. Explore the full list and refine your search

Journal of cell science 136: PubMed37129573

2023

The histone H3/H4 chaperone CHAF1B prevents the mislocalization of CENP-A for chromosomal stability.

Applications

Unspecified application

Species

Unspecified reactive species

Roshan L Shrestha,Vinutha Balachandra,Jee Hun Kim,Austin Rossi,Pranathi Vadlamani,Subhash Chandra Sethi,Laurent Ozbun,Shinjen Lin,Ken Chin-Chien Cheng,Raj Chari,Tatiana S Karpova,Gianluca Pegoraro,Daniel R Foltz,Natasha J Caplen,Munira A Basrai

Frontiers in genetics 14:1108004 PubMed36968583

2023

Overexpression of CHAF1A is associated with poor prognosis, tumor immunosuppressive microenvironment and treatment resistance.

Applications

Unspecified application

Species

Unspecified reactive species

Xia Sun,Qiushuang Ma,Yahong Cheng,Huangwei Huang,Jing Qin,Mengchen Zhang,Sifeng Qu

Stem cells international 2023:2826815 PubMed37964983

2023

A Novel Molecular Classification Method for Glioblastoma Based on Tumor Cell Differentiation Trajectories.

Applications

Unspecified application

Species

Unspecified reactive species

Guanghao Zhang,Xiaolong Xu,Luojiang Zhu,Sisi Li,Rundong Chen,Nan Lv,Zifu Li,Jing Wang,Qiang Li,Wang Zhou,Pengfei Yang,Jianmin Liu

Proceedings of the National Academy of Sciences of the United States of America 119: PubMed35074917

2022

CHAF1A/B mediate silencing of unintegrated HIV-1 DNAs early in infection.

Applications

Unspecified application

Species

Unspecified reactive species

Franziska K Geis,Yosef Sabo,Xiao Chen,Yinglu Li,Chao Lu,Stephen P Goff

Advanced science (Weinheim, Baden-Wurttemberg, Germany) 8:e2005047 PubMed34365742

2021

CHAF1A Blocks Neuronal Differentiation and Promotes Neuroblastoma Oncogenesis via Metabolic Reprogramming.

Applications

Unspecified application

Species

Unspecified reactive species

Ling Tao,Myrthala Moreno-Smith,Rodrigo Ibarra-García-Padilla,Giorgio Milazzo,Nathan A Drolet,Blanca E Hernandez,Young S Oh,Ivanshi Patel,Jean J Kim,Barry Zorman,Tajhal Patel,Abu Hena Mostafa Kamal,Yanling Zhao,John Hicks,Sanjeev A Vasudevan,Nagireddy Putluri,Cristian Coarfa,Pavel Sumazin,Giovanni Perini,Ronald J Parchem,Rosa A Uribe,Eveline Barbieri

Oncology letters 20:2338-2346 PubMed32782551

2020

CAF-1/p150 promotes cell proliferation, migration, invasion and predicts a poor prognosis in patients with cervical cancer.

Applications

Unspecified application

Species

Unspecified reactive species

Shu Yang,Qian Long,Min Chen,Xiao Liu,Hang Zhou

Cancers 11: PubMed31627329

2019

CAF-1 Subunits Levels Suggest Combined Treatments with PARP-Inhibitors and Ionizing Radiation in Advanced HNSCC.

Applications

Unspecified application

Species

Unspecified reactive species

Francesco Morra,Francesco Merolla,Ida Picardi,Daniela Russo,Gennaro Ilardi,Silvia Varricchio,Federica Liotti,Roberto Pacelli,Luca Palazzo,Massimo Mascolo,Angela Celetti,Stefania Staibano

Cancer cell 36:402-417.e13 PubMed31564638

2019

Dynamic Incorporation of Histone H3 Variants into Chromatin Is Essential for Acquisition of Aggressive Traits and Metastatic Colonization.

Applications

Unspecified application

Species

Unspecified reactive species

Ana P Gomes,Didem Ilter,Vivien Low,Adam Rosenzweig,Zih-Jie Shen,Tanya Schild,Martin A Rivas,Ekrem E Er,Dylan R McNally,Anders P Mutvei,Julie Han,Yi-Hung Ou,Paola Cavaliere,Edouard Mullarky,Michal Nagiec,Sejeong Shin,Sang-Oh Yoon,Noah Dephoure,Joan Massagué,Ari M Melnick,Lewis C Cantley,Jessica K Tyler,John Blenis

Cell reports 27:1794-1808.e5 PubMed31067464

2019

Remodeling of Interstrand Crosslink Proximal Replisomes Is Dependent on ATR, FANCM, and FANCD2.

Applications

Unspecified application

Species

Unspecified reactive species

Jing Huang,Jing Zhang,Marina A Bellani,Durga Pokharel,Julia Gichimu,Ryan C James,Himabindu Gali,Chen Ling,Zhijiang Yan,Dongyi Xu,Junjie Chen,Amom Ruhikanta Meetei,Lei Li,Weidong Wang,Michael M Seidman

EBioMedicine 38:69-78 PubMed30449701

2018

CHAF1A interacts with TCF4 to promote gastric carcinogenesis via upregulation of c-MYC and CCND1 expression.

Applications

Unspecified application

Species

Unspecified reactive species

Lixin Zheng,Xiuming Liang,Shuyan Li,Tongyu Li,Wenjing Shang,Lin Ma,Xiaxia Jia,Wei Shao,Pengpeng Sun,Chunyan Chen,Jihui Jia
View all publications

Product promise

We are committed to supporting your work with high-quality reagents, and we're here for you every step of the way. In the unlikely event that one of our products does not perform as expected, you're protected by our Product Promise.
For full details, please see our Terms & Conditions

Please note: All products are 'FOR RESEARCH USE ONLY. NOT FOR USE IN DIAGNOSTIC OR THERAPEUTIC PROCEDURES'.

For licensing inquiries, please contact partnerships@abcam.com