JavaScript is disabled in your browser. Please enable JavaScript to view this website.
AB308000

Anti-p19 INK4d antibody [RP23040113]

Be the first to review this product! Submit a review

|

(0 Publication)

Rabbit Recombinant Multiclonal p19 INK4d antibody. Suitable for WB, IP and reacts with Human samples. Immunogen corresponding to Synthetic Peptide within Human Cyclin-dependent kinase 4 inhibitor D.

View Alternative Names

Cyclin-dependent kinase 4 inhibitor D, p19-INK4d, CDKN2D

2 Images
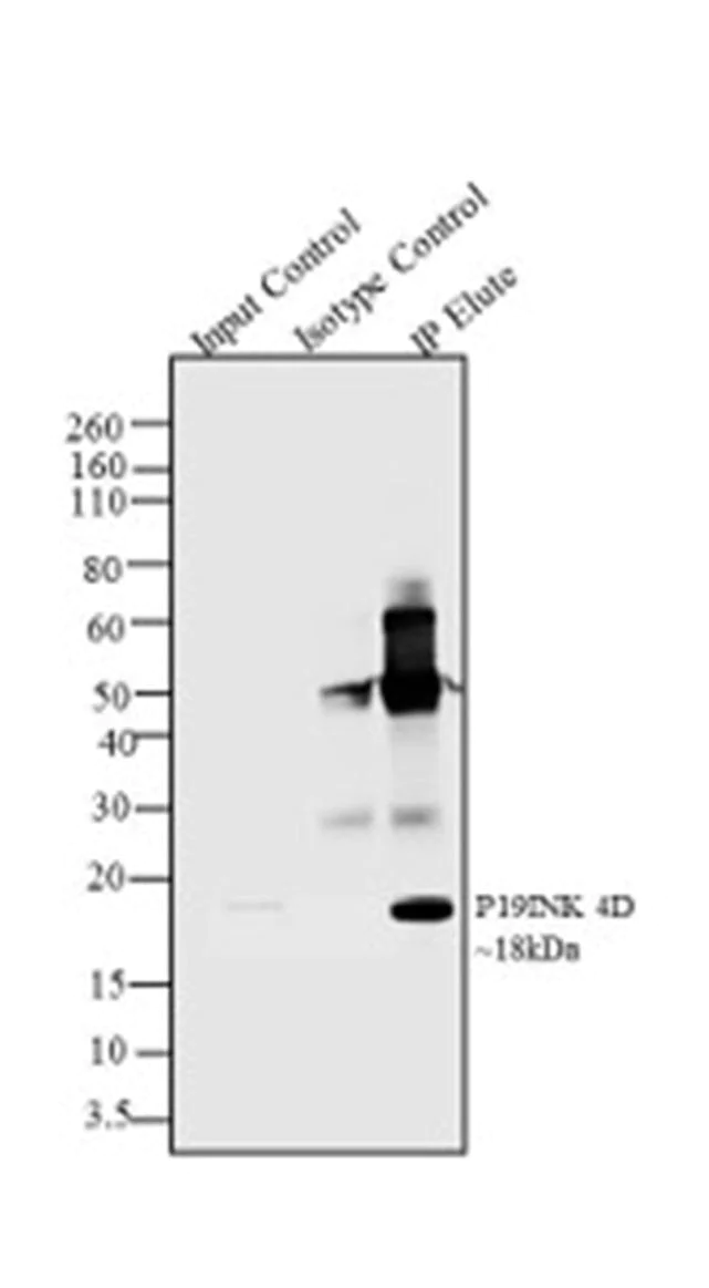
Immunoprecipitation - Anti-p19 INK4d antibody [RP23040113] (AB308000)
  • IP

Supplier Data

Immunoprecipitation - Anti-p19 INK4d antibody [RP23040113] (AB308000)

P19INK4D was immunoprecipitated using 2 µg of ab30800 from lysate of HeLa cells treated with Trichostatin A (2 uM/24 hours) (Lane 3). Normal Rabbit IgG was used as a negative IP control (Lane 2). 10% input represents the cell extract used for immunoprecipitation (Lane 1). Western blot analysis was performed using ab307800 and Goat anti-Rabbit IgG (H+L) Secondary Antibody, HRP conjugate at 1 : 2500 dilution. Chemiluminescent detection was performed (ECL).

All lanes:

Immunoprecipitation - Anti-p19 INK4d antibody [RP23040113] (ab308000) at 2 µg

Lane 1:

HeLa cell lysate

Lane 2:

HeLa cell lysate with normal rabbit IgG

Lane 3:

HeLa cells lysate treated with Trichostatin A

Secondary

All lanes:

HRP-conjugated Goat anti-Rabbit IgG (H+L) Secondary Antibody at 1/2500 dilution

Observed band size: 18 kDa

true

Western blot - Anti-p19 INK4d antibody [RP23040113] (AB308000)
  • WB

Supplier Data

Western blot - Anti-p19 INK4d antibody [RP23040113] (AB308000)

Western blot analysis was performed on whole cell extracts (30 µg lysate) of HEK- 293 (Lane1), HEK- 293 treated with Trichostatin A, (Lane 2), HeLa (Lane 3), HeLa treated with Trichostatin A (Lane 4), HCT 116 (Lane 5), HCT 116 treated with Trichostatin A (Lane 6) (2µM/24hrs). The blots were probed with ab308000 at 0.5-1 µg/mL and detected by chemiluminescence using Goat anti-Rabbit IgG (H+L) Secondary Antibody, HRP conjugate at 1 : 2500 dilution. A clear 18 kDa band corresponding to P19INK4D was observed across cell lines tested. Known quantity of protein samples were electrophoresed using a 4-12% Bis-Tris gel, electrophoresis system and pre-stained protein standard. Resolved proteins were then transferred onto a nitrocellulose membrane. The membrane was probed with the relevant primary and secondary Antibody following blocking with 5% skimmed milk. Chemiluminescent detection was performed using Pierce™ ECL Western blotting Substrate

All lanes:

Western blot - Anti-p19 INK4d antibody [RP23040113] (ab308000) at 0.5 µg/mL

Lane 1:

Untreated HEK- 293 at 30 µg

Lane 2:

HEK- 293 treated with Trichostatin A at 30 µg

Lane 3:

Untreated HeLa at 30 µg

Lane 4:

HeLa treated with Trichostatin A at 30 µg

Lane 5:

HCT 116 at 30 µg

Lane 6:

HCT 116 treated with Trichostatin A at 30 µg

Secondary

All lanes:

HRP-conjugated Goat anti-Rabbit IgG (H+L) Secondary Antibody at 1/2500 dilution

Observed band size: 18 kDa

true

Key facts

Host species

Rabbit

Clonality

Multiclonal

Clone number

RP23040113

Isotype

IgG

Carrier free

No

Reacts with

Human

Applications

IP, WB

applications

Immunogen

Synthetic Peptide within Human Cyclin-dependent kinase 4 inhibitor D.

P55273

Reactivity data

{ "title": "Reactivity Data", "filters": { "stats": ["", "Species", "Dilution Info", "Notes"], "tabs": { "all-applications": {"fullname" : "All Applications", "shortname": "All Applications"}, "WB" : {"fullname" : "Western blot", "shortname":"WB"}, "IP" : {"fullname" : "Immunoprecipitation", "shortname":"IP"} }, "product-promise": { "all": "all", "testedAndGuaranteed": "tested", "guaranteed": "expected", "predicted": "predicted", "notRecommended": "not-recommended" } }, "values": { "Human": { "WB-species-checked": "testedAndGuaranteed", "WB-species-dilution-info": "0.5-1 µg/mL", "WB-species-notes": "<p></p>", "IP-species-checked": "testedAndGuaranteed", "IP-species-dilution-info": "", "IP-species-notes": "<p>2 μg of ab308000 for lysate of HeLa cells</p>" } } }

Product details

What are recombinant multiclonals?
Recombinant multiclonals are a mixture of recombinant antibodies co-expressed from a library of heavy and light chains. They offer several advantages including:

  • - The sensitivity of polyclonal antibodies by recognising multiple epitopes
  • - High batch-to-batch consistency and reproducibility
  • - Improved sensitivity and specificity
  • - Long-term security of supply
  • - Animal-free batch production

View our range of recombinant multiclonal antibodies.

Properties and storage information

Form
Liquid
Storage buffer
pH: 7.4 Preservative: 0.09% Sodium azide Constituents: PBS
Shipped at conditions
Blue Ice
Appropriate short-term storage duration
1-2 weeks
Appropriate short-term storage conditions
+4°C
Appropriate long-term storage conditions
-20°C
Aliquoting information
Upon delivery aliquot
Storage information
Avoid freeze / thaw cycle

Supplementary information

This supplementary information is collated from multiple sources and compiled automatically.

P19 INK4d also known as CDKN2D is a cyclin-dependent kinase inhibitor with a molecular weight of approximately 19 kDa. It belongs to the INK4 family of proteins and primarily functions to inhibit cyclin-dependent kinases (CDK4 and CDK6) playing an important role in cell cycle regulation by halting the cell cycle in the G1 phase. p19 INK4d is expressed in various tissues including the brain and endocrine organs highlighting its widespread physiological importance. The inhibition of CDK4/6 leads to the prevention of uncontrolled cell proliferation which is a hallmark of cancer.
Biological function summary

The p19 protein exerts its effects by tightly binding to CDK4 and CDK6 forming a complex that impedes their kinase activity. This interaction results in the prevention of the phosphorylation of the retinoblastoma protein (pRb) a critical step required for cell cycle progression from G1 to S phase. In doing so p19 INK4d maintains cellular growth control and prevents the transition into unchecked cell division. The regulation of pRb is vital for the prevention of cancerous growth as phosphorylated pRb releases E2F transcription factors that drive S phase entry and DNA synthesis.

Pathways

The activity of p19 INK4d influences the retinoblastoma (Rb) pathway one of the major pathways governing cell cycle control. The Rb pathway regulates the transcriptional repression of E2F target genes associated with cell cycle progression. Besides its interaction with Rb p19 INK4d is also connected with the p53 pathway which oversees cellular responses to DNA damage and stress. This links p19 INK4d indirectly to proteins like the MDM2 and p21 where these pathways intersect to coordinate cell cycle arrest mechanisms.

Dysregulation or mutations in p19 INK4d relate to certain cancers such as glioblastoma and sarcoma. Alterations impacting the function or expression levels of this protein can bypass its inhibitory role on CDK4/6 facilitating unrestrained cell proliferation. Moreover the p19 protein's connection to the retinoblastoma protein implicates it in diseases where Rb function is compromised as seen in some retinoblastomas. Understanding these relationships helps in elucidating the role of p19 INK4d in tumorigenesis and potentially offers insight into therapeutic interventions targeting the CDK4/6 axis in cancer treatment.

Product protocols

For this product, it's our understanding that no specific protocols are required. You can visit:

Target data

Interacts strongly with CDK4 and CDK6 and inhibits them.
See full target information Cyclin-dependent kinase 4 inhibitor D

Product promise

We are committed to supporting your work with high-quality reagents, and we're here for you every step of the way. In the unlikely event that one of our products does not perform as expected, you're protected by our Product Promise.
For full details, please see our Terms & Conditions

Please note: All products are 'FOR RESEARCH USE ONLY. NOT FOR USE IN DIAGNOSTIC OR THERAPEUTIC PROCEDURES'.

For licensing inquiries, please contact partnerships@abcam.com