JavaScript is disabled in your browser. Please enable JavaScript to view this website.
AB188224

Anti-p21 antibody [EPR18021]

  • BOND RX™ Validated
  • RabMAb
  • Recombinant
  • Lab Essentials
  • 20ul selling size
  • What is this?

5

(11 Reviews)

|

(277 Publications)

Anti-p21 antibody [EPR18021] (ab188224) is a rabbit monoclonal antibody detecting p21 in Western Blot, Flow Cytometry (Intra), Flow Cytometry, IP, IHC-P, ICC/IF. Suitable for Mouse.

- Biophysical QC for unrivalled batch-batch consistency
- Over 160 publications

View Alternative Names

Cip1, Waf1, Cdkn1a, Cyclin-dependent kinase inhibitor 1, CDK-interacting protein 1, Melanoma differentiation-associated protein, p21

10 Images
Immunohistochemistry (Formalin/PFA-fixed paraffin-embedded sections) - Anti-p21 antibody [EPR18021] (AB188224)
  • IHC-P

Supplier Data

Immunohistochemistry (Formalin/PFA-fixed paraffin-embedded sections) - Anti-p21 antibody [EPR18021] (AB188224)

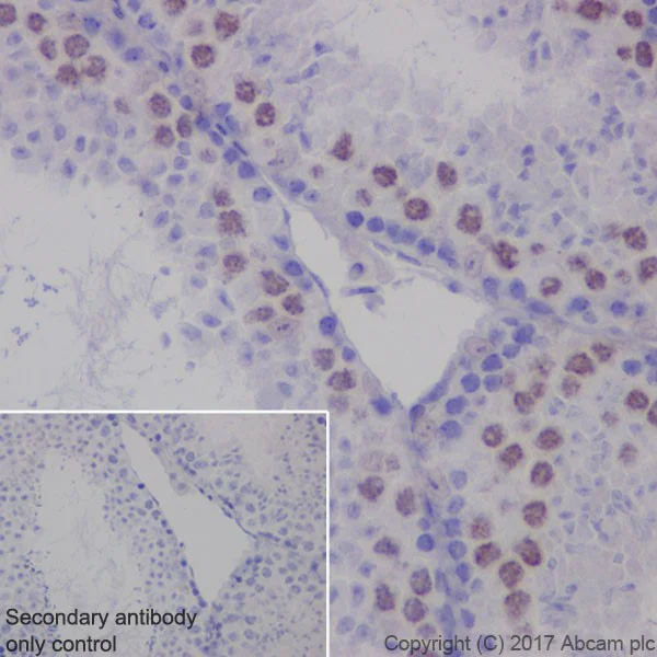
Immunohistochemical analysis of paraffin-embedded mouse testis tissue labeling p21 with ab188224 at 1/1000 dilution, followed by Goat Anti-Rabbit IgG H&L (HRP) (ab97051) at 1/500 dilution.

Nuclear staining on mouse testis is observed (PMID : 9170103).

Counter stained with Hematoxylin.

Secondary antibody only control : Used PBS instead of primary antibody, secondary antibody is Goat Anti-Rabbit IgG H&L (HRP) (ab97051) at 1/500 dilution.

Perform heat mediated antigen retrieval with Tris/EDTA buffer pH 9.0 before commencing with IHC staining protocol.

Immunohistochemistry (Formalin/PFA-fixed paraffin-embedded sections) - Anti-p21 antibody [EPR18021] (AB188224)
  • IHC-P

Lab

Immunohistochemistry (Formalin/PFA-fixed paraffin-embedded sections) - Anti-p21 antibody [EPR18021] (AB188224)

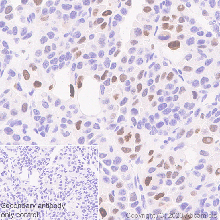
Immunohistochemical analysis of paraffin-embedded Mouse lung cancer tissue labeling p21 with ab188224 at 1/1000 dilution (0.517 μg/ml) followed by a ready to use LeicaDS9800 (Bond™ Polymer Refine Detection). Positive staining on mouse lung cancer. The section was incubated with ab188224 for 30 mins at room temperature. The section was counterstained with Hematoxylin. The immunostaining was performed on a Leica Biosystems BOND® RX instrument. Secondary antibody only control : Secondary antibody is a ready to use LeicaDS9800 (Bond™ Polymer Refine Detection). Heat mediated antigen retrieval was performed with Tris-EDTA buffer (pH 9.0, Epitope Retrieval Solution2) for 20 mins.

Immunocytochemistry/ Immunofluorescence - Anti-p21 antibody [EPR18021] (AB188224)
  • ICC/IF

Supplier Data

Immunocytochemistry/ Immunofluorescence - Anti-p21 antibody [EPR18021] (AB188224)

Immunofluorescent analysis of 4% paraformaldehyde-fixed, 0.1% Triton X-100 permeabilized NIH/3T3 (Mouse embryonic fibroblast cell line) cells labeling p21 with ab188224 at 1/500 dilution, followed by Goat anti-rabbit IgG (Alexa Fluor® 488) (ab150077) secondary antibody at 1/1000 dilution (green).

Confocal image showing nuclear staining on NIH/3T3 cells.

The nuclear counterstain is DAPI (blue).

Tubulin is detected with ab195889 (Anti-alpha Tubulin antibody [DM1A] - Microtubule Marker (Alexa Fluor® 594)) at 1/200 dilution (red).

Secondary antibody only control : Used PBS instead of primary antibody, secondary antibody is Goat anti-rabbit IgG (Alexa Fluor® 488) (ab150077) at 1/1000 dilution.

Immunohistochemistry (Formalin/PFA-fixed paraffin-embedded sections) - Anti-p21 antibody [EPR18021] (AB188224)
  • IHC-P

Supplier Data

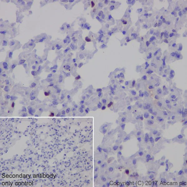
Immunohistochemistry (Formalin/PFA-fixed paraffin-embedded sections) - Anti-p21 antibody [EPR18021] (AB188224)

Immunohistochemical analysis of paraffin-embedded mouse lung tissue labeling p21 with ab188224 at 1/1000 dilution, followed by Goat Anti-Rabbit IgG H&L (HRP) (ab97051) at 1/500 dilution.

Sporadic nuclear staining on mouse lung is observed (PMID : 25333671).

Counter stained with Hematoxylin.

Secondary antibody only control : Used PBS instead of primary antibody, secondary antibody is Goat Anti-Rabbit IgG H&L (HRP) (ab97051) at 1/500 dilution.

Perform heat mediated antigen retrieval with Tris/EDTA buffer pH 9.0 before commencing with IHC staining protocol.

Flow Cytometry (Intracellular) - Anti-p21 antibody [EPR18021] (AB188224)
  • Flow Cyt (Intra)

Supplier Data

Flow Cytometry (Intracellular) - Anti-p21 antibody [EPR18021] (AB188224)

Intracellular flow cytometric analysis of 4% paraformaldehyde-fixed RAW 264.7 (Mouse macrophage cell line transformed with Abelson murine leukemia virus) cells labeling p21with ab188224 at 1/50 dilution (red) compared with a rabbit monoclonal IgG isotype control (ab172730; black) and an unlabeled control (cells without incubation with primary antibody and secondary antibody; blue). Goat anti rabbit IgG (Alexa Fluor® 488) (ab150077) at 1/2000 dilution was used as the secondary antibody.

Immunocytochemistry/ Immunofluorescence - Anti-p21 antibody [EPR18021] (AB188224)
  • ICC/IF

Supplier Data

Immunocytochemistry/ Immunofluorescence - Anti-p21 antibody [EPR18021] (AB188224)

Immunofluorescent analysis of 4% paraformaldehyde-fixed, 0.1% Triton X-100 permeabilized RAW 264.7 (Mouse macrophage cell line transformed with Abelson murine leukemia virus) cells labeling p21 with ab188224 at 1/500 dilution, followed by Goat anti-rabbit IgG (Alexa Fluor® 488) (ab150077) secondary antibody at 1/1000 dilution (green).

Confocal image showing nuclear staining on RAW264.7 cells.

The nuclear counterstain is DAPI (blue).

Tubulin is detected with ab195889 (Anti-alpha Tubulin antibody [DM1A] - Microtubule Marker (Alexa Fluor® 594)) at 1/200 dilution (red).

Secondary antibody only control : Used PBS instead of primary antibody, secondary antibody is Goat anti-rabbit IgG (Alexa Fluor® 488) (ab150077) at 1/1000 dilution.

Immunoprecipitation - Anti-p21 antibody [EPR18021] (AB188224)
  • IP

Supplier Data

Immunoprecipitation - Anti-p21 antibody [EPR18021] (AB188224)

p21 was immunoprecipitated from 0.35 mg of NIH/3T3 (Mouse embryonic fibroblast cell line) whole cell lysate with ab188224 at 1/30 dilution.

Western blot was performed from the immunoprecipitate using ab188224 at 1/500 dilution.

VeriBlot for IP Detection Reagent (HRP) (ab131366), was used for detection at 1/1000 dilution.

Lane 1 : NIH/3T3 whole cell lysate 10 μg (Input).

Lane 2 : ab188224 IP in NIH/3T3 whole cell lysate.

Lane 3 : Rabbit monoclonal IgG (ab172730) instead of ab188224 in NIH/3T3 whole cell lysate.

Blocking and dilution buffer and concentration : 5% NFDM/TBST.

Exposure time : 10 seconds.

All lanes:

Immunoprecipitation - Anti-p21 antibody [EPR18021] (ab188224)

Predicted band size: 18 kDa

false

Western blot - Anti-p21 antibody [EPR18021] (AB188224)
  • WB

Supplier Data

Western blot - Anti-p21 antibody [EPR18021] (AB188224)

Blocking/Dilution buffer : 5% NFDM/TBST.

All lanes:

Western blot - Anti-p21 antibody [EPR18021] (ab188224) at 1/1000 dilution

All lanes:

RAW264.7 (Mouse macrophage cell line transformed with Abelson murine leukemia virus) whole cell lysate at 10 µg

Secondary

All lanes:

Western blot - Goat Anti-Rabbit IgG H&L (HRP) (<a href='/en-us/products/secondary-antibodies/goat-rabbit-igg-h-l-hrp-ab97051'>ab97051</a>) at 1/100000 dilution

Predicted band size: 18 kDa

Observed band size: 18 kDa

false

Exposure time: 8s

Western blot - Anti-p21 antibody [EPR18021] (AB188224)
  • WB

Lab

Western blot - Anti-p21 antibody [EPR18021] (AB188224)

Different batches of ab188224 were tested on RAW 264.7 (Mouse Abelson murine leukemia virus-induced tumor macrophage) lysate at 0.1 µg/ml. 15 µg of lysate was loaded in each lane. Bands observed at 18 kDa.

All lanes:

Western blot - Anti-p21 antibody [EPR18021] (ab188224)

Predicted band size: 18 kDa

false

Western blot - Anti-p21 antibody [EPR18021] (AB188224)
  • WB

Supplier Data

Western blot - Anti-p21 antibody [EPR18021] (AB188224)

Blocking/Dilution buffer : 5% NFDM/TBST.

The expression level of p21 protein can be induced using staurosporine (protein kinase C inhibitor) (PMID : 7677742).

All lanes:

Western blot - Anti-p21 antibody [EPR18021] (ab188224) at 1/1000 dilution

Lane 1:

Untreated NIH/3T3 (Mouse embryonic fibroblast cell line) whole cell lysate at 20 µg

Lane 2:

NIH/3T3 (Mouse embryonic fibroblast cell line) treated with 1μM staurosporine for 2hrs, whole cell lysate at 20 µg

Secondary

All lanes:

Western blot - Goat Anti-Rabbit IgG H&L (HRP) (<a href='/en-us/products/secondary-antibodies/goat-rabbit-igg-h-l-hrp-ab97051'>ab97051</a>) at 1/100000 dilution

Predicted band size: 18 kDa

Observed band size: 18 kDa

false

Exposure time: 3min

  • 665 Alexa Fluor® 647

    Alexa Fluor® 647 Anti-p21 antibody [EPR18021]

  • 519 Alexa Fluor® 488

    Alexa Fluor® 488 Anti-p21 antibody [EPR18021]

  • 660 APC

    APC Anti-p21 antibody [EPR18021]

  • Carrier free

    Anti-p21 antibody [EPR18021] - BSA and Azide free

  • 578 PE

    PE Anti-p21 antibody [EPR18021]

  • Carrier free

    Anti-p21 antibody [EPR18021] - BSA and Azide free (Capture)

Key facts

Host species

Rabbit

Clonality

Monoclonal

Clone number

EPR18021

Isotype

IgG

Carrier free

No

Reacts with

Mouse

Applications

WB, ICC/IF, IP, Flow Cyt (Intra), IHC-P

applications

Immunogen

The exact immunogen used to generate this antibody is proprietary information.

Specificity

Expression levels of the target protein vary between different tissue/cell lines and in some cases induction may be required before a signal is observed.

This antibody is not recommended for use in WB with tissue samples.

Reactivity data

{ "title": "Reactivity Data", "filters": { "stats": ["", "Species", "Dilution Info", "Notes"], "tabs": { "all-applications": {"fullname" : "All Applications", "shortname": "All Applications"}, "IP" : {"fullname" : "Immunoprecipitation", "shortname":"IP"}, "WB" : {"fullname" : "Western blot", "shortname":"WB"}, "ICCIF" : {"fullname" : "Immunocytochemistry/ Immunofluorescence", "shortname":"ICC/IF"}, "FlowCytIntra" : {"fullname" : "Flow Cytometry (Intracellular)", "shortname":"Flow Cyt (Intra)"}, "IHCP" : {"fullname" : "Immunohistochemistry (Formalin/PFA-fixed paraffin-embedded sections)", "shortname":"IHC-P"} }, "product-promise": { "all": "all", "testedAndGuaranteed": "tested", "guaranteed": "expected", "predicted": "predicted", "notRecommended": "not-recommended" } }, "values": { "Mouse": { "IP-species-checked": "testedAndGuaranteed", "IP-species-dilution-info": "1/30", "IP-species-notes": "<p></p>", "WB-species-checked": "testedAndGuaranteed", "WB-species-dilution-info": "1/1000", "WB-species-notes": "<p></p>", "ICCIF-species-checked": "testedAndGuaranteed", "ICCIF-species-dilution-info": "1/500", "ICCIF-species-notes": "<p></p>", "FlowCytIntra-species-checked": "testedAndGuaranteed", "FlowCytIntra-species-dilution-info": "1/50", "FlowCytIntra-species-notes": "<p><a href='/en-us/products/primary-antibodies/rabbit-igg-monoclonal-epr25a-isotype-control-ab172730'>ab172730</a> - Rabbit monoclonal IgG, is suitable for use as an isotype control with this antibody.</p>", "IHCP-species-checked": "testedAndGuaranteed", "IHCP-species-dilution-info": "1/1000", "IHCP-species-notes": "<p></p> Perform heat-mediated antigen retrieval with Tris/EDTA buffer pH 9.0 before commencing with IHC staining protocol." } } }

Product details

Anti-p21 antibody [EPR18021] (ab188224) was developed by Abcam using patented rabbit monoclonal antibody technology and is validated for use in Flow Cyt (Intra), ICC/IF, IHC-P, IP and WB.

Anti-p21 antibody [EPR18021] (ab188224) was first used in a scientific publication in 2017 and has been cited over 163 times in peer reviewed journals. It's performance in Western Blot in mouse samples is trusted by the scientific community.

Abcam's high quality manufacturing and validation processes ensure Anti-p21 antibody [EPR18021] (ab188224) has high sensitivity and specificity alongside high lot-to-lot consistency and reproducibility.

Anti-p21 antibody [EPR18021] (ab188224) has 11 independent reviews from customers.

Anti-p21 antibody [EPR18021] (ab188224) specifically detects p21 (UniProt ID: P39689; Molecular weight: 18kDa) and is sold in a convenient trial size to enable initial testing (20 µL) and larger sizes for subsequent scaling up experiments (100 µL and 1 mL).

Conjugation-ready, carrier free format available for antibody clone EPR18021 - ab232512.

Antibody clone EPR18021 is also available pre-conjugated to a variety of labels for your convenience - Alexa Fluor® 488, Alexa Fluor® 647, APC, PE (ab237264, ab237265, ab313956, ab314287).

p21 is a cyclin-dependent kinase inhibitor that regulates cell cycle progression, promoting cell cycle arrest in response to DNA damage. It plays a dual role in oncology by both suppressing tumor growth through cell cycle inhibition and contributing to cancer progression when localized in the cytoplasm.

Patented technology
Our RabMAb® technology is a patented hybridoma-based technology for making rabbit monoclonal antibodies. For details on our patents, please refer to RabMAb® patents.

What are the advantages of a recombinant monoclonal antibody?
This product is a recombinant monoclonal antibody, which offers several advantages including:

  • - High batch-to-batch consistency and reproducibility
  • - Improved sensitivity and specificity
  • - Long-term security of supply
  • - Animal-free batch production

For more information, read more on recombinant antibodies.

Properties and storage information

Form
Liquid
Purification technique
Affinity purification Protein A
Storage buffer
pH: 7.2 - 7.4 Preservative: 0.01% Sodium azide Constituents: PBS, 40% Glycerol (glycerin, glycerine), 0.05% BSA
Shipped at conditions
Blue Ice
Appropriate short-term storage duration
1-2 weeks
Appropriate short-term storage conditions
+4°C
Appropriate long-term storage conditions
-20°C
Aliquoting information
Upon delivery aliquot
Storage information
Avoid freeze / thaw cycle

Supplementary information

This supplementary information is collated from multiple sources and compiled automatically.

The p21 protein also known as CDKN1A is an important regulator of cell cycle progression. It acts as a cyclin-dependent kinase inhibitor where it binds to and inhibits the activity of cyclin-CDK2 or -CDK4 complexes. The molecular weight of p21 is approximately 21 kDa. Cellular expression of p21 is diverse; it occurs in various tissues reflecting its broad role in maintaining cell cycle control. This protein's expression level is often assessed using techniques such as p21 western blotting p21 ELISA and p21 IHC staining.
Biological function summary

P21 plays a critical role in cell cycle regulation and DNA damage response. It associates with the p53 tumor suppressor protein forming an essential part of the p53 signaling pathway under stress conditions. p21 arrests cells in G1 phase allowing DNA repair or leading to cellular senescence. Through these mechanisms p21 integrates signals from stress and damage emphasizing its importance as a mediator in cellular checkpoint control.

Pathways

P21 is closely involved in the p53 and the Transforming Growth Factor-beta (TGF-β) signaling pathways. This integration helps in transmitting growth-inhibitory signals. p21 interacts with proteins such as p53 and cyclins ensuring precise regulation of the cell cycle and growth arrest when necessary. Triggered by p53 activation p21 contributes to preventing undisturbed cell proliferation acting as a safeguard against tumor formation.

P21's deregulation associates with cancer and age-related diseases. Its impairment is a common feature in many cancers often linked with defects in the p53 pathway. Reduced p21 expression can contribute to unchecked cell division and tumor progression. Moreover in age-related diseases p21's role in promoting cellular senescence connects it with degenerative conditions. The intricate relationship between p21 and proteins such as p53 and cyclins highlights its potential as a therapeutic target for these disorders.

Product protocols

For this product, it's our understanding that no specific protocols are required. You can visit:

Target data

May be involved in p53/TP53 mediated inhibition of cellular proliferation in response to DNA damage. Binds to and inhibits cyclin-dependent kinase activity, preventing phosphorylation of critical cyclin-dependent kinase substrates and blocking cell cycle progression. Functions in the nuclear localization and assembly of cyclin D-CDK4 complex and promotes its kinase activity towards RB1. At higher stoichiometric ratios, inhibits the kinase activity of the cyclin D-CDK4 complex (PubMed : 25329316). Inhibits DNA synthesis by DNA polymerase delta by competing with POLD3 for PCNA binding (By similarity). Plays an important role in controlling cell cycle progression and DNA damage-induced G2 arrest (By similarity).. Plays an important role in controlling cell cycle progression and DNA damage-induced G2 arrest (PubMed : 37178686). Involved in p53/TP53 mediated inhibition of cellular proliferation in response to DNA damage. Also involved in p53-independent DNA damage-induced G2 arrest mediated by CREB3L1 in astrocytes and osteoblasts (PubMed : 37178686). Binds to and inhibits cyclin-dependent kinase activity, preventing phosphorylation of critical cyclin-dependent kinase substrates and blocking cell cycle progression. Functions in the nuclear localization and assembly of cyclin D-CDK4 complex and promotes its kinase activity towards RB1. At higher stoichiometric ratios, inhibits the kinase activity of the cyclin D-CDK4 complex (PubMed : 25329316). Inhibits DNA synthesis by DNA polymerase delta by competing with POLD3 for PCNA binding (By similarity). Negatively regulates the CDK4- and CDK6-driven phosphorylation of RB1 in keratinocytes, thereby resulting in the release of E2F1 and subsequent transcription of E2F1-driven G1/S phase promoting genes (PubMed : 36689330).
See full target information Cdkn1a

Publications (277)

Recent publications for all applications. Explore the full list and refine your search

Cell death & disease 16:710 PubMed41057318

2025

CTRP9 as a myokine mitigates sarcopenia via the LAMP-2A/NLRP3 pathway.

Applications

Unspecified application

Species

Unspecified reactive species

Linxi Li,Anju Zuo,Ruoyu Yin,Qiangqiang Liu,Chen Liu,Na Li,Dan Xu,Shaomeng Zhang,Jiarui Li,Shengyun Lei,Shiyan Ruan,Tingting Li,Yuan Guo

Cell death discovery 11:451 PubMed41057309

2025

Targeting ESR1 restores SQSTM1-dependent autophagy and sensitizes ER-positive breast cancer to oxidative and radiation stress.

Applications

Unspecified application

Species

Unspecified reactive species

Yi-Fang Yang,Zhao-Jing He,Han-Hsi Kuo,Yu-Yu Lin,Cheorl-Ho Kim,Huei-Yu Cai,Chi-Long Chen,Michael Hsiao,Ying-Chung Chen,Peter Mu-Hsin Chang,Yu-Chan Chang

Cell death discovery 11:449 PubMed41057297

2025

Aging aggravated liver ischemia and reperfusion injury by promoting oxidized mtDNA mediated-macrophage pyroptosis through acetylated MCU-dependent calcium uptake.

Applications

Unspecified application

Species

Unspecified reactive species

Xin-Yi Wu,Rui Wang,Qi Zhang,Tao Liu,Jun-Yan Liu,Xue-Song Xu,Jun-Hua Gong

Science advances 11:eadq7665 PubMed40991686

2025

Impaired macroautophagy in oligodendrocyte precursor cells suppresses neuronal plasticity via a senescence-associated signaling.

Applications

Unspecified application

Species

Unspecified reactive species

Hong Chen,Yan-Yun Sun,Qi-Fa Li,Yu-Tong Du,Na-Na Hu,Ao-Ran Sui,Xiao-Qing Luo,Xin Huang,Chao Zhu,Gang Yang,Lin-Lin Yao,Yong Tang,Hua Hu,Chun-Feng Liu,Jin Tao,Lei Feng,Frank Kirchhoff,Wenhui Huang,Shao Li,Quan-Hong Ma

Physiological reports 13:e70560 PubMed40985117

2025

Distinct lung functional, histological and cell senescence signatures in the single and repetitive bleomycin mouse models of idiopathic pulmonary fibrosis.

Applications

Unspecified application

Species

Unspecified reactive species

Jamal Bousamaki,Emma A Rørbeck,Asbjørn Graver Petersen,Stefanie H Korntner,Susanne E Pors,Elizabeth F Redente,Denise Oró,Casper Gravesen Salinas,Rebecca Wendelboe Olsen,Ulf Simonsen,Michael Feigh,Henrik H Hansen

Aging 17:2392-2409 PubMed40952367

2025

Roles of plasminogen activator inhibitor-1 in aging-related muscle and bone loss in mice.

Applications

Unspecified application

Species

Unspecified reactive species

Takashi Ohira,Naoyuki Kawao,Yuya Mizukami,Kiyotaka Okada,Akihito Nishikawa,Hisatoshi Yamao,Ayaka Yamada,Hiroshi Kaji

Nature communications 16:7951 PubMed40858618

2025

ALS/FTD-linked TBK1 deficiency in microglia induces an aged-like microglial signature and drives social recognition deficits in mice.

Applications

Unspecified application

Species

Unspecified reactive species

Isadora Lenoel,Matthieu Ribon,Félicie Lorenc,Aurélien Diebold,Clementine E Philibert,David Robaldo,Manel Badsi,Julianne Perronnet,Julie Lameth,Felix Berriat,Hidemi Misawa,Marie Coutelier,Raphaelle Cassel,Nadège Sarrazin,Coline Jost-Mousseau,Delphine Bohl,Stéphanie Millecamps,Michel Mallat,David Brenner,Jochen H Weishaupt,Séverine Boillée,Christian S Lobsiger

iScience 28:113095 PubMed40746997

2025

Protein arginine methylation regulates anti-inflammatory programming in response to aging stress.

Applications

Unspecified application

Species

Unspecified reactive species

Yao Yuan,Kaori Motomura,Jun-Dal Kim,Kowit Hengphasatporn,Koichiro Kako,Syunsuke Maruhashi,Fumiya Kasai,Hayase Mizukami,Sachiko Toma-Fukai,Masafumi Muratani,Yasuteru Shigeta,Hiroaki Daitoku,Akiyoshi Fukamizu

Pharmaceutical biology 63:524-548 PubMed40719285

2025

Wen-Shen-Tong-Luo-Zhi-Tong Decoction alleviates bone loss in aged mice by suppressing LONP1-mediated macrophage senescence.

Applications

Unspecified application

Species

Unspecified reactive species

Qinfeng Zhou,Kaixuan Wang,Cong Wang,Xiaoxian Sun,Lining Wang,Jie Sun,Yalan Pan,Muzhe Li,Zitong Zhao,Shijie Zhou,Qing Wang,Yafeng Zhang,Yong Ma,Yang Guo

Science advances 11:eadv4238 PubMed40712009

2025

Genetically engineered chondrocyte-mimetic nanoplatform attenuates osteoarthritis by blocking IL-1β and restoring sirtuin-3.

Applications

Unspecified application

Species

Unspecified reactive species

Caifeng Deng,Liukang Yu,Xuan Zhao,Yuxiao Chen,Jiabin Mei,Jie Wei,Xiaoyuan Chen,Guanghua Lei,Chao Zeng
View all publications

Product promise

We are committed to supporting your work with high-quality reagents, and we're here for you every step of the way. In the unlikely event that one of our products does not perform as expected, you're protected by our Product Promise.
For full details, please see our Terms & Conditions

Please note: All products are 'FOR RESEARCH USE ONLY. NOT FOR USE IN DIAGNOSTIC OR THERAPEUTIC PROCEDURES'.

For licensing inquiries, please contact partnerships@abcam.com