JavaScript is disabled in your browser. Please enable JavaScript to view this website.
AB232512

Anti-p21 antibody [EPR18021] - BSA and Azide free

4

(2 Reviews)

|

(1 Publication)

Rabbit Recombinant Monoclonal p21 antibody. Carrier free. Suitable for IP, WB, ICC/IF, Flow Cyt (Intra), IHC-P and reacts with Mouse samples. Cited in 1 publication.

View Alternative Names

Cip1, Waf1, Cdkn1a, Cyclin-dependent kinase inhibitor 1, CDK-interacting protein 1, Melanoma differentiation-associated protein, p21

8 Images
Immunohistochemistry (Formalin/PFA-fixed paraffin-embedded sections) - Anti-p21 antibody [EPR18021] - BSA and Azide free (AB232512)
  • IHC-P

Lab

Immunohistochemistry (Formalin/PFA-fixed paraffin-embedded sections) - Anti-p21 antibody [EPR18021] - BSA and Azide free (AB232512)

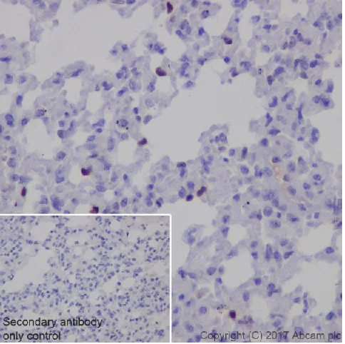
This data was developed using the same antibody clone in a different buffer formulation containing PBS, BSA, glycerol, and sodium azide (ab188224). Immunohistochemical analysis of paraffin-embedded Mouse lung cancer tissue labeling p21 with ab188224 at 1/1000 dilution (0.517 μg/ml) followed by a ready to use LeicaDS9800 (Bond™ Polymer Refine Detection). Positive staining on mouse lung cancer. The section was incubated with ab188224 for 30 mins at room temperature. The section was counterstained with Hematoxylin. The immunostaining was performed on a Leica Biosystems BOND® RX instrument. Secondary antibody only control : Secondary antibody is a ready to use LeicaDS9800 (Bond™ Polymer Refine Detection). Heat mediated antigen retrieval was performed with Tris-EDTA buffer (pH 9.0, Epitope Retrieval Solution2) for 20 mins.

Flow Cytometry (Intracellular) - Anti-p21 antibody [EPR18021] - BSA and Azide free (AB232512)
  • Flow Cyt (Intra)

Supplier Data

Flow Cytometry (Intracellular) - Anti-p21 antibody [EPR18021] - BSA and Azide free (AB232512)

Intracellular flow cytometric analysis of 4% paraformaldehyde-fixed RAW 264.7 (Mouse macrophage cell line transformed with Abelson murine leukemia virus) cells labeling p21 with ab188224 at 1/50 dilution (red) compared with a rabbit monoclonal IgG isotype control (ab172730; black) and an unlabeled control (cells without incubation with primary antibody and secondary antibody; blue). Goat anti rabbit IgG (Alexa Fluor® 488) (ab150077) at 1/2000 dilution was used as the secondary antibody.

This data was developed using the same antibody clone in a different buffer formulation containing PBS, BSA, glycerol, and sodium azide (ab188224).

Immunocytochemistry/ Immunofluorescence - Anti-p21 antibody [EPR18021] - BSA and Azide free (AB232512)
  • ICC/IF

Supplier Data

Immunocytochemistry/ Immunofluorescence - Anti-p21 antibody [EPR18021] - BSA and Azide free (AB232512)

Immunofluorescent analysis of 4% paraformaldehyde-fixed, 0.1% Triton X-100 permeabilized RAW 264.7 (Mouse macrophage cell line transformed with Abelson murine leukemia virus) cells labeling p21 with ab188224 at 1/500 dilution, followed by Goat anti-rabbit IgG (Alexa Fluor® 488) (ab150077) secondary antibody at 1/1000 dilution (green).

Confocal image showing nuclear staining on RAW264.7 cells.

The nuclear counterstain is DAPI (blue).

Tubulin is detected with ab195889 (Anti-alpha Tubulin antibody [DM1A] - Microtubule Marker (Alexa Fluor® 594)) at 1/200 dilution (red).

Secondary antibody only control : Used PBS instead of primary antibody, secondary antibody is Goat anti-rabbit IgG (Alexa Fluor® 488) (ab150077) at 1/1000 dilution.

This data was developed using the same antibody clone in a different buffer formulation containing PBS, BSA, glycerol, and sodium azide (ab188224).

Immunohistochemistry (Formalin/PFA-fixed paraffin-embedded sections) - Anti-p21 antibody [EPR18021] - BSA and Azide free (AB232512)
  • IHC-P

Supplier Data

Immunohistochemistry (Formalin/PFA-fixed paraffin-embedded sections) - Anti-p21 antibody [EPR18021] - BSA and Azide free (AB232512)

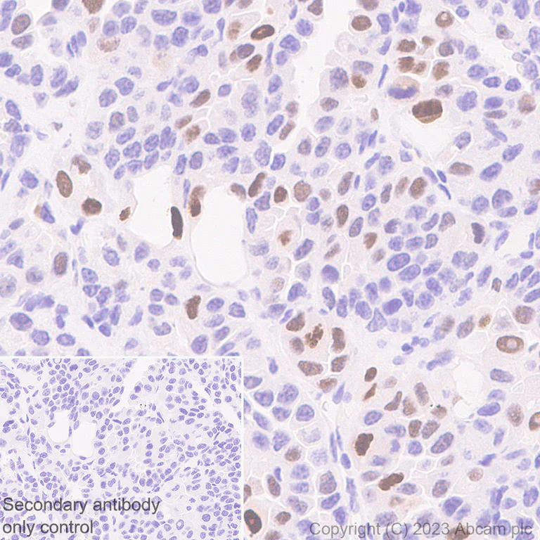
Immunohistochemical analysis of paraffin-embedded mouse lung tissue labeling p21 with ab188224 at 1/1000 dilution, followed by Goat Anti-Rabbit IgG H&L (HRP) (ab97051) at 1/500 dilution. Sporadic nuclear staining on mouse lung is observed (PMID : 25333671). Counter stained with Hematoxylin.

Secondary antibody only control : Used PBS instead of primary antibody, secondary antibody is Goat Anti-Rabbit IgG H&L (HRP) (ab97051) at 1/500 dilution.

This data was developed using the same antibody clone in a different buffer formulation containing PBS, BSA, glycerol, and sodium azide (ab188224).

Heat mediated antigen retrieval was performed with Tris/EDTA buffer pH 9.0 before commencing with IHC staining protocol.

Immunohistochemistry (Formalin/PFA-fixed paraffin-embedded sections) - Anti-p21 antibody [EPR18021] - BSA and Azide free (AB232512)
  • IHC-P

Supplier Data

Immunohistochemistry (Formalin/PFA-fixed paraffin-embedded sections) - Anti-p21 antibody [EPR18021] - BSA and Azide free (AB232512)

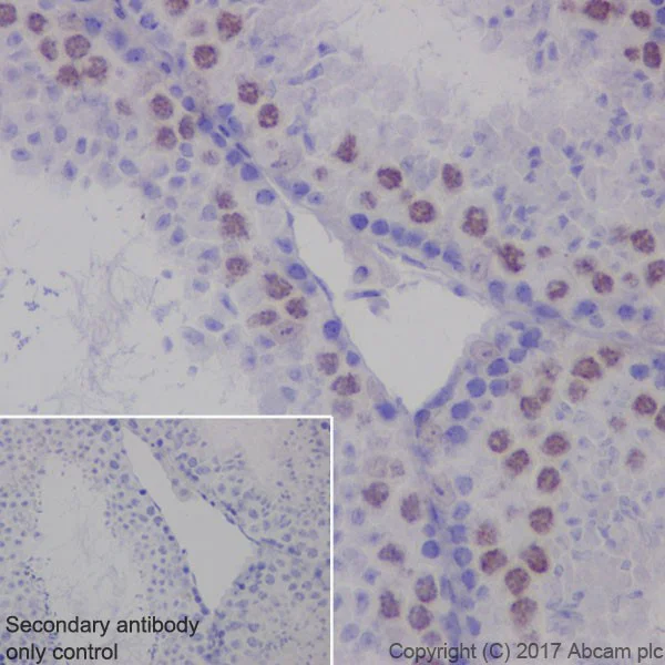
Immunohistochemical analysis of paraffin-embedded mouse testis tissue labeling p21 with ab188224 at 1/1000 dilution, followed by Goat Anti-Rabbit IgG H&L (HRP) (ab97051) at 1/500 dilution.

Nuclear staining on mouse testis is observed (PMID : 9170103).

Counter stained with Hematoxylin.

Secondary antibody only control : Used PBS instead of primary antibody, secondary antibody is Goat Anti-Rabbit IgG H&L (HRP) (ab97051) at 1/500 dilution.

This data was developed using the same antibody clone in a different buffer formulation containing PBS, BSA, glycerol, and sodium azide (ab188224).

Heat mediated antigen retrieval was performed with Tris/EDTA buffer pH 9.0 before commencing with IHC staining protocol.

Immunocytochemistry/ Immunofluorescence - Anti-p21 antibody [EPR18021] - BSA and Azide free (AB232512)
  • ICC/IF

Supplier Data

Immunocytochemistry/ Immunofluorescence - Anti-p21 antibody [EPR18021] - BSA and Azide free (AB232512)

Immunofluorescent analysis of 4% paraformaldehyde-fixed, 0.1% Triton X-100 permeabilized NIH/3T3 (Mouse embryonic fibroblast cell line) cells labeling p21 with ab188224 at 1/500 dilution, followed by Goat anti-rabbit IgG (Alexa Fluor® 488) (ab150077) secondary antibody at 1/1000 dilution (green).

Confocal image showing nuclear staining on NIH/3T3 cells.

The nuclear counterstain is DAPI (blue).

Tubulin is detected with ab195889 (Anti-alpha Tubulin antibody [DM1A] - Microtubule Marker (Alexa Fluor® 594)) at 1/200 dilution (red).

Secondary antibody only control : Used PBS instead of primary antibody, secondary antibody is Goat anti-rabbit IgG (Alexa Fluor® 488) (ab150077) at 1/1000 dilution.

This data was developed using the same antibody clone in a different buffer formulation containing PBS, BSA, glycerol, and sodium azide (ab188224).

Immunoprecipitation - Anti-p21 antibody [EPR18021] - BSA and Azide free (AB232512)
  • IP

Supplier Data

Immunoprecipitation - Anti-p21 antibody [EPR18021] - BSA and Azide free (AB232512)

p21 was immunoprecipitated from 0.35 mg of NIH/3T3 (Mouse embryonic fibroblast cell line) whole cell lysate with ab188224 at 1/30 dilution.

Western blot was performed from the immunoprecipitate using ab188224 at 1/500 dilution.

VeriBlot for IP Detection Reagent (HRP) (ab131366), was used for detection at 1/1000 dilution.

Lane 1 : NIH/3T3 whole cell lysate 10 μg (Input).

Lane 2 : ab188224 IP in NIH/3T3 whole cell lysate.

Lane 3 : Rabbit monoclonal IgG (ab172730) instead of ab188224 in NIH/3T3 whole cell lysate.

Blocking and dilution buffer and concentration : 5% NFDM/TBST.

Exposure time : 10 seconds.

This data was developed using the same antibody clone in a different buffer formulation containing PBS, BSA, glycerol, and sodium azide (ab188224).

All lanes:

Immunoprecipitation - Anti-p21 antibody [EPR18021] (<a href='/en-us/products/primary-antibodies/p21-antibody-epr18021-ab188224'>ab188224</a>)

Predicted band size: 18 kDa

false

Western blot - Anti-p21 antibody [EPR18021] - BSA and Azide free (AB232512)
  • WB

Lab

Western blot - Anti-p21 antibody [EPR18021] - BSA and Azide free (AB232512)

This data was developed using ab188224, the same antibody clone in a different buffer formulation. Different batches of ab188224 were tested on RAW 264.7 (Mouse Abelson murine leukemia virus-induced tumor macrophage) lysate at 0.1 µg/ml. 15 µg of lysate was loaded in each lane. Bands observed at 18 kDa.

All lanes:

Western blot - Anti-p21 antibody [EPR18021] (<a href='/en-us/products/primary-antibodies/p21-antibody-epr18021-ab188224'>ab188224</a>)

Predicted band size: 18 kDa

false

  • Unconjugated

    Anti-p21 antibody [EPR18021]

  • Carrier free

    Anti-p21 antibody [EPR18021] - BSA and Azide free (Capture)

  • 519 Alexa Fluor® 488

    Alexa Fluor® 488 Anti-p21 antibody [EPR18021]

  • 665 Alexa Fluor® 647

    Alexa Fluor® 647 Anti-p21 antibody [EPR18021]

  • 660 APC

    APC Anti-p21 antibody [EPR18021]

  • 578 PE

    PE Anti-p21 antibody [EPR18021]

Key facts

Host species

Rabbit

Clonality

Monoclonal

Clone number

EPR18021

Isotype

IgG

Carrier free

Yes

Reacts with

Mouse

Applications

WB, IHC-P, IP, Flow Cyt (Intra), ICC/IF

applications

Immunogen

The exact immunogen used to generate this antibody is proprietary information.

Specificity

Expression levels of the target protein vary between different tissue/cell lines and in some cases induction may be required before a signal is observed.

This antibody is not recommended for use in WB with tissue samples.

Reactivity data

{ "title": "Reactivity Data", "filters": { "stats": ["", "Species", "Dilution Info", "Notes"], "tabs": { "all-applications": {"fullname" : "All Applications", "shortname": "All Applications"}, "IP" : {"fullname" : "Immunoprecipitation", "shortname":"IP"}, "WB" : {"fullname" : "Western blot", "shortname":"WB"}, "ICCIF" : {"fullname" : "Immunocytochemistry/ Immunofluorescence", "shortname":"ICC/IF"}, "FlowCytIntra" : {"fullname" : "Flow Cytometry (Intracellular)", "shortname":"Flow Cyt (Intra)"}, "IHCP" : {"fullname" : "Immunohistochemistry (Formalin/PFA-fixed paraffin-embedded sections)", "shortname":"IHC-P"} }, "product-promise": { "all": "all", "testedAndGuaranteed": "tested", "guaranteed": "expected", "predicted": "predicted", "notRecommended": "not-recommended" } }, "values": { "Mouse": { "IP-species-checked": "testedAndGuaranteed", "IP-species-dilution-info": "", "IP-species-notes": "<p></p>", "WB-species-checked": "testedAndGuaranteed", "WB-species-dilution-info": "", "WB-species-notes": "<p></p>", "ICCIF-species-checked": "testedAndGuaranteed", "ICCIF-species-dilution-info": "", "ICCIF-species-notes": "<p></p>", "FlowCytIntra-species-checked": "testedAndGuaranteed", "FlowCytIntra-species-dilution-info": "", "FlowCytIntra-species-notes": "<p><a href='/en-us/products/primary-antibodies/rabbit-igg-monoclonal-epr25a-isotype-control-low-endotoxin-azide-free-ab199376'>ab199376</a>-Rabbit monoclonal IgG (Low endotoxin, Azide free), is suitable for use as an isotype control with this antibody.</p>", "IHCP-species-checked": "testedAndGuaranteed", "IHCP-species-dilution-info": "", "IHCP-species-notes": "<p></p>" } } }

Product details

ab232512 is the carrier-free version of ab188224.

Patented technology
Our RabMAb® technology is a patented hybridoma-based technology for making rabbit monoclonal antibodies. For details on our patents, please refer to RabMAb® patents.

What are the advantages of a recombinant monoclonal antibody?
This product is a recombinant monoclonal antibody, which offers several advantages including:

  • - High batch-to-batch consistency and reproducibility
  • - Improved sensitivity and specificity
  • - Long-term security of supply
  • - Animal-free batch production

For more information, read more on recombinant antibodies.

Conjugation ready
Our carrier-free antibodies are typically supplied in a PBS-only formulation, purified and free of BSA, sodium azide and glycerol. This conjugation-ready format is designed for use with fluorochromes, metal isotopes, oligonucleotides, and enzymes, which makes them ideal for antibody labelling, functional and cell-based assays, flow-based assays (e.g. mass cytometry) and Multiplex Imaging applications.

Use our conjugation kits for antibody conjugates that are ready-to-use in as little as 20 minutes with 1 minute hands-on-time and 100% antibody recovery: available for fluorescent dyes, HRP, biotin and gold.

Compatibility
This product is compatible with the Maxpar® Antibody Labeling Kit from Fluidigm, without the need for antibody preparation. Maxpar® is a trademark of Fluidigm Canada Inc.

Properties and storage information

Form
Liquid
Purification technique
Affinity purification Protein A
Storage buffer
pH: 7.2 - 7.4 Constituents: PBS
Shipped at conditions
Blue Ice
Appropriate short-term storage conditions
+4°C
Appropriate long-term storage conditions
+4°C
Storage information
Do Not Freeze

Supplementary information

This supplementary information is collated from multiple sources and compiled automatically.

The p21 protein also known as CDKN1A is an important regulator of cell cycle progression. It acts as a cyclin-dependent kinase inhibitor where it binds to and inhibits the activity of cyclin-CDK2 or -CDK4 complexes. The molecular weight of p21 is approximately 21 kDa. Cellular expression of p21 is diverse; it occurs in various tissues reflecting its broad role in maintaining cell cycle control. This protein's expression level is often assessed using techniques such as p21 western blotting p21 ELISA and p21 IHC staining.
Biological function summary

P21 plays a critical role in cell cycle regulation and DNA damage response. It associates with the p53 tumor suppressor protein forming an essential part of the p53 signaling pathway under stress conditions. p21 arrests cells in G1 phase allowing DNA repair or leading to cellular senescence. Through these mechanisms p21 integrates signals from stress and damage emphasizing its importance as a mediator in cellular checkpoint control.

Pathways

P21 is closely involved in the p53 and the Transforming Growth Factor-beta (TGF-β) signaling pathways. This integration helps in transmitting growth-inhibitory signals. p21 interacts with proteins such as p53 and cyclins ensuring precise regulation of the cell cycle and growth arrest when necessary. Triggered by p53 activation p21 contributes to preventing undisturbed cell proliferation acting as a safeguard against tumor formation.

P21's deregulation associates with cancer and age-related diseases. Its impairment is a common feature in many cancers often linked with defects in the p53 pathway. Reduced p21 expression can contribute to unchecked cell division and tumor progression. Moreover in age-related diseases p21's role in promoting cellular senescence connects it with degenerative conditions. The intricate relationship between p21 and proteins such as p53 and cyclins highlights its potential as a therapeutic target for these disorders.

Product protocols

For this product, it's our understanding that no specific protocols are required. You can visit:

Target data

May be involved in p53/TP53 mediated inhibition of cellular proliferation in response to DNA damage. Binds to and inhibits cyclin-dependent kinase activity, preventing phosphorylation of critical cyclin-dependent kinase substrates and blocking cell cycle progression. Functions in the nuclear localization and assembly of cyclin D-CDK4 complex and promotes its kinase activity towards RB1. At higher stoichiometric ratios, inhibits the kinase activity of the cyclin D-CDK4 complex (PubMed : 25329316). Inhibits DNA synthesis by DNA polymerase delta by competing with POLD3 for PCNA binding (By similarity). Plays an important role in controlling cell cycle progression and DNA damage-induced G2 arrest (By similarity).. Plays an important role in controlling cell cycle progression and DNA damage-induced G2 arrest (PubMed : 37178686). Involved in p53/TP53 mediated inhibition of cellular proliferation in response to DNA damage. Also involved in p53-independent DNA damage-induced G2 arrest mediated by CREB3L1 in astrocytes and osteoblasts (PubMed : 37178686). Binds to and inhibits cyclin-dependent kinase activity, preventing phosphorylation of critical cyclin-dependent kinase substrates and blocking cell cycle progression. Functions in the nuclear localization and assembly of cyclin D-CDK4 complex and promotes its kinase activity towards RB1. At higher stoichiometric ratios, inhibits the kinase activity of the cyclin D-CDK4 complex (PubMed : 25329316). Inhibits DNA synthesis by DNA polymerase delta by competing with POLD3 for PCNA binding (By similarity). Negatively regulates the CDK4- and CDK6-driven phosphorylation of RB1 in keratinocytes, thereby resulting in the release of E2F1 and subsequent transcription of E2F1-driven G1/S phase promoting genes (PubMed : 36689330).
See full target information Cdkn1a

Publications (1)

Recent publications for all applications. Explore the full list and refine your search

Cell reports 42:112296 PubMed36961817

2023

Arginine shortage induces replication stress and confers genotoxic resistance by inhibiting histone H4 translation and promoting PCNA ubiquitination.

Applications

Unspecified application

Species

Unspecified reactive species

Yi-Chang Wang,Andrew A Kelso,Adak Karamafrooz,Yi-Hsuan Chen,Wei-Kai Chen,Chun-Ting Cheng,Yue Qi,Long Gu,Linda Malkas,Angelo Taglialatela,Hsing-Jien Kung,George-Lucian Moldovan,Alberto Ciccia,Jeremy M Stark,David K Ann
View all publications

Product promise

We are committed to supporting your work with high-quality reagents, and we're here for you every step of the way. In the unlikely event that one of our products does not perform as expected, you're protected by our Product Promise.
For full details, please see our Terms & Conditions

Please note: All products are 'FOR RESEARCH USE ONLY. NOT FOR USE IN DIAGNOSTIC OR THERAPEUTIC PROCEDURES'.

For licensing inquiries, please contact partnerships@abcam.com