JavaScript is disabled in your browser. Please enable JavaScript to view this website.
AB107099

Anti-p21 antibody [HUGO291]

3

(4 Reviews)

|

(50 Publications)

Anti-p21 antibody [HUGO291] (ab107099) is a rat monoclonal antibody detecting p21 in Western Blot, IHC-P. Suitable for Mouse.

- Recombinant format for unrivalled batch-batch consistency
- Over 30 publications

View Alternative Names

Cip1, Waf1, Cdkn1a, Cyclin-dependent kinase inhibitor 1, CDK-interacting protein 1, Melanoma differentiation-associated protein, p21

7 Images
Immunohistochemistry (Formalin/PFA-fixed paraffin-embedded sections) - Anti-p21 antibody [HUGO291] (AB107099)
  • IHC-P

Supplier Data

Immunohistochemistry (Formalin/PFA-fixed paraffin-embedded sections) - Anti-p21 antibody [HUGO291] (AB107099)

Immunohistochemistry (Formalin/PFA-fixed paraffin-embedded sections) analysis of Hek-V5-mp21 transfected cells labelling p21 with ab107099. Nuclear staining was observed in Hek-V5-mp21 cytospins. Labeling with the anti-V5 mAb confirmed the efficiency of transfection. Cytospin preparation of human CD8 was used as a negative control. This image was from a different batch produced using hybridoma method.

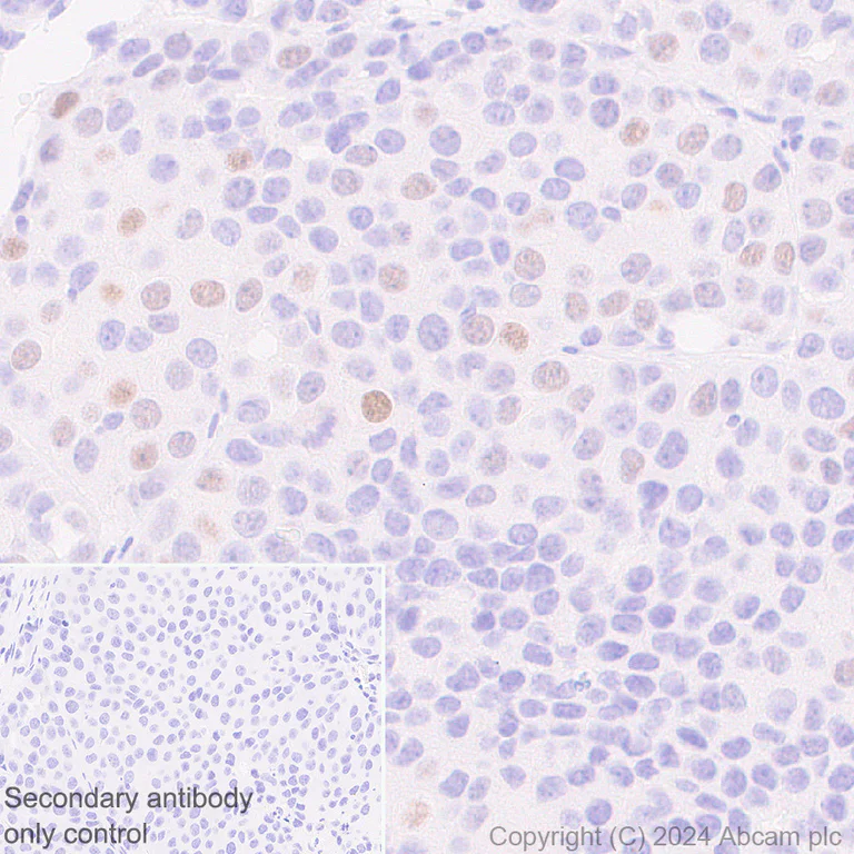
Immunohistochemistry (Formalin/PFA-fixed paraffin-embedded sections) - Anti-p21 antibody [HUGO291] (AB107099)
  • IHC-P

Lab

Immunohistochemistry (Formalin/PFA-fixed paraffin-embedded sections) - Anti-p21 antibody [HUGO291] (AB107099)

Immunohistochemical analysis of paraffin-embedded Mouse lung cancer tissue labeling p21 with ab107099 at 1/100 dilution, followed by a ready to use LeicaDS9800 (Bond™ Polymer Refine Detection).

Scattered staining on mouse lung cancer.
The section was incubated with ab107099 for 30 mins at room temperature, followed by anti-rat IgG antibody (ab102248) for 8 mins during the LeicaDS9800 kit staining procedure.
The immunostaining was performed on a Leica Biosystems BOND® RX instrument

Counterstained with Hematoxylin.

Secondary antibody only control : Secondary antibody is a ready to use ready to use LeicaDS9800 (Bond™ Polymer Refine Detection).

Heat mediated antigen retrieval was performed with Tris-EDTA buffer (pH 9.0, Epitope Retrieval Solution2) for 20 mins

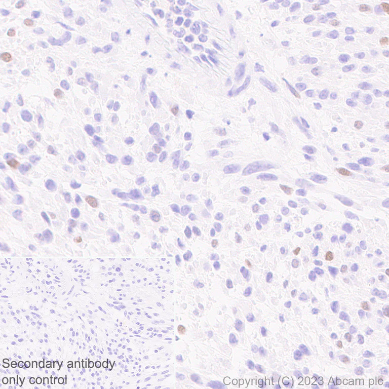
Immunohistochemistry (Formalin/PFA-fixed paraffin-embedded sections) - Anti-p21 antibody [HUGO291] (AB107099)
  • IHC-P

Lab

Immunohistochemistry (Formalin/PFA-fixed paraffin-embedded sections) - Anti-p21 antibody [HUGO291] (AB107099)

Immunohistochemical analysis of paraffin-embedded Mouse breast cancer tissue labeling p21 with ab107099 at 1/100 dilution, followed by a ready to use LeicaDS9800 (Bond™ Polymer Refine Detection).

Positive staining on mouse breast cancer.
The section was incubated with ab107099 for 30 mins at room temperature, followed by anti-rat IgG antibody (ab102248) for 8 mins during the LeicaDS9800 kit staining procedure.
The immunostaining was performed on a Leica Biosystems BOND® RX instrument

Counterstained with Hematoxylin.

Secondary antibody only control : Secondary antibody is a ready to use ready to use LeicaDS9800 (Bond™ Polymer Refine Detection).

Heat mediated antigen retrieval was performed with Tris-EDTA buffer (pH 9.0, Epitope Retrieval Solution2) for 20 mins

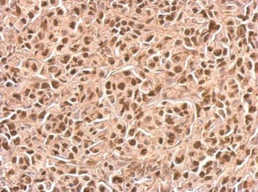
Immunohistochemistry (Formalin/PFA-fixed paraffin-embedded sections) - Anti-p21 antibody [HUGO291] (AB107099)
  • IHC-P

Supplier Data

Immunohistochemistry (Formalin/PFA-fixed paraffin-embedded sections) - Anti-p21 antibody [HUGO291] (AB107099)

Immunohistochemistry (Formalin/PFA-fixed paraffin-embedded sections) analysis of mouse p21WT fibrosarcoma and mouse p21KO fibrosarcoma tissue sections labeling p21 with ab107099.

This image was from a different batch produced using hybridoma method.

Western blot - Anti-p21 antibody [HUGO291] (AB107099)
  • WB

Lab

Western blot - Anti-p21 antibody [HUGO291] (AB107099)

Blocking and diluting buffer and concentration : 5% NFDM/TBST

ab181602 was used as a GAPDH loading control at a 1/200000 dilution.

The expression of p21 is upregulated in response to doxorubicin and Nutlin3 treatment (PMID : 15471885 and PMID : 19648117).
This blot was developed using a high sensitivity ECL substrate.

All lanes:

Western blot - Anti-p21 antibody [HUGO291] (ab107099) at 1/1000 dilution

Lane 1:

Untreated MEF (mouse embryo fibroblast) whole cell lysate at 20 µg

Lane 2:

MEF treated with 10uM doxorubicin (<a href='/en-us/products/biochemicals/doxorubicin-hydrochloride-topoisomerase-ii-inhibitor-ab120629'>ab120629</a>) for 16 hours(+) whole cell lysate at 20 µg

Lane 3:

Untreated NIH/3T3 (mouse embryonic fibroblast) whole cell lysate at 20 µg

Lane 4:

NIH/3T3 treated with 10uM Nutlin3 (<a href='/en-us/products/biochemicals/nutlin-3-mdm2-antagonist-ab120646'>ab120646</a>) for 24 hours whole cell lysate at 20 µg

Secondary

All lanes:

Western blot - Goat Anti-Rat IgG H&L (HRP) (<a href='/en-us/products/secondary-antibodies/goat-rat-igg-h-l-hrp-ab205720'>ab205720</a>) at 1/10000 dilution

Observed band size: 17 kDa

true

Exposure time: 92s

Western blot - Anti-p21 antibody [HUGO291] (AB107099)
  • WB

Lab

Western blot - Anti-p21 antibody [HUGO291] (AB107099)

Blocking and diluting buffer and concentration : 5% NFDM/TBST

This blot was developed using a high sensitivity ECL substrate.

All lanes:

Western blot - Anti-p21 antibody [HUGO291] (ab107099) at 1/1000 dilution

All lanes:

RAW 264.7 (mouse Abelson murine leukemia virus-induced tumor macrophage) whole cell lysate at 20 µg

Secondary

All lanes:

Western blot - Goat Anti-Rat IgG H&L (HRP) (<a href='/en-us/products/secondary-antibodies/goat-rat-igg-h-l-hrp-ab205720'>ab205720</a>) at 1/10000 dilution

Observed band size: 17 kDa

true

Exposure time: 92s

Western blot - Anti-p21 antibody [HUGO291] (AB107099)
  • WB

Unknown

Western blot - Anti-p21 antibody [HUGO291] (AB107099)

This image was from a different batch produced using hybridoma method.

All lanes:

Western blot - Anti-p21 antibody [HUGO291] (ab107099) at 1/50 dilution

Lane 1:

TT243 MEFs (non-irradiated) at 18.83 µg

Lane 2:

TT243 MEFs (irradiated with 10 Gy) at 20.8 µg

Lane 3:

p21-/- KO MEFs at 60 µg

Lane 4:

P21 WT MEFs at 75 µg

Lane 5:

HEK-V5-mp21 transfected cells at 20 µg

Lane 6:

HEK-V5-mp15 transfected cells at 20 µg

Predicted band size: 18 kDa

false

Key facts

Host species

Rat

Clonality

Monoclonal

Clone number

HUGO291

Isotype

IgG2a

Carrier free

No

Reacts with

Mouse

Applications

IHC-P, WB

applications

Immunogen

Recombinant Full Length Protein corresponding to Mouse Cdkn1a. The exact immunogen used to generate this antibody is proprietary information.

P39689

Reactivity data

{ "title": "Reactivity Data", "filters": { "stats": ["", "Species", "Dilution Info", "Notes"], "tabs": { "all-applications": {"fullname" : "All Applications", "shortname": "All Applications"}, "IHCP" : {"fullname" : "Immunohistochemistry (Formalin/PFA-fixed paraffin-embedded sections)", "shortname":"IHC-P"}, "WB" : {"fullname" : "Western blot", "shortname":"WB"} }, "product-promise": { "all": "all", "testedAndGuaranteed": "tested", "guaranteed": "expected", "predicted": "predicted", "notRecommended": "not-recommended" } }, "values": { "Human": { "IHCP-species-checked": "notRecommended", "IHCP-species-dilution-info": "", "IHCP-species-notes": "<p></p>", "WB-species-checked": "notRecommended", "WB-species-dilution-info": "", "WB-species-notes": "<p></p>" }, "Mouse": { "IHCP-species-checked": "testedAndGuaranteed", "IHCP-species-dilution-info": "1/100", "IHCP-species-notes": "<p>Perform heat mediated antigen retrieval with Tris-EDTA buffer (pH 9.0, Epitope Retrieval Solution2) for 20 mins.</p> Perform heat-mediated antigen retrieval with Tris/EDTA buffer pH 9.0 before commencing with IHC staining protocol.", "WB-species-checked": "testedAndGuaranteed", "WB-species-dilution-info": "1/1000", "WB-species-notes": "<p></p>" }, "Rat": { "IHCP-species-checked": "notRecommended", "IHCP-species-dilution-info": "", "IHCP-species-notes": "<p></p>", "WB-species-checked": "notRecommended", "WB-species-dilution-info": "", "WB-species-notes": "" } } }

Product details

What is this antibody validated in?
Anti-p21 antibody [HUGO291] (ab107099) is a rat recombinant monoclonal antibody and is validated for use in Western Blot (WB), Immunohistochemistry (IHC-P) in Mouse samples.

What is the molecular weight of p21?
Anti-p21 [HUGO291] (ab107099) specifically detects a band for p21 (UniProt: P38936) at a molecular weight of 18kDa.

Trusted by the scientific community
Anti-p21 [HUGO291] (ab107099) was first used in a scientific publication in 2011 and has been cited over 30 times in peer-reviewed journals.

What are the advantages of a recombinant monoclonal antibody?
This product is a recombinant monoclonal antibody, which offers several advantages including:

  • - High batch-to-batch consistency and reproducibility
  • - Improved sensitivity and specificity
  • - Long-term security of supply
  • - Animal-free batch production

For more information, read more on recombinant antibodies.

Properties and storage information

Form
Liquid
Purification technique
Affinity purification Protein A
Storage buffer
pH: 7.2 - 7.4 Preservative: 0.01% Sodium azide Constituents: PBS, 40% Glycerol (glycerin, glycerine), 0.05% BSA
Shipped at conditions
Blue Ice
Appropriate short-term storage duration
1-2 weeks
Appropriate short-term storage conditions
+4°C
Appropriate long-term storage conditions
-20°C|+4°C
Aliquoting information
Upon delivery aliquot
Storage information
Avoid freeze / thaw cycle|Do Not Freeze

Supplementary information

This supplementary information is collated from multiple sources and compiled automatically.

The p21 protein also known as CDKN1A is an important regulator of cell cycle progression. It acts as a cyclin-dependent kinase inhibitor where it binds to and inhibits the activity of cyclin-CDK2 or -CDK4 complexes. The molecular weight of p21 is approximately 21 kDa. Cellular expression of p21 is diverse; it occurs in various tissues reflecting its broad role in maintaining cell cycle control. This protein's expression level is often assessed using techniques such as p21 western blotting p21 ELISA and p21 IHC staining.
Biological function summary

P21 plays a critical role in cell cycle regulation and DNA damage response. It associates with the p53 tumor suppressor protein forming an essential part of the p53 signaling pathway under stress conditions. p21 arrests cells in G1 phase allowing DNA repair or leading to cellular senescence. Through these mechanisms p21 integrates signals from stress and damage emphasizing its importance as a mediator in cellular checkpoint control.

Pathways

P21 is closely involved in the p53 and the Transforming Growth Factor-beta (TGF-Β) signaling pathways. This integration helps in transmitting growth-inhibitory signals. p21 interacts with proteins such as p53 and cyclins ensuring precise regulation of the cell cycle and growth arrest when necessary. Triggered by p53 activation p21 contributes to preventing undisturbed cell proliferation acting as a safeguard against tumor formation.

P21's deregulation associates with cancer and age-related diseases. Its impairment is a common feature in many cancers often linked with defects in the p53 pathway. Reduced p21 expression can contribute to unchecked cell division and tumor progression. Moreover in age-related diseases p21's role in promoting cellular senescence connects it with degenerative conditions. The intricate relationship between p21 and proteins such as p53 and cyclins highlights its potential as a therapeutic target for these disorders.

Product protocols

For this product, it's our understanding that no specific protocols are required. You can visit:

Target data

May be involved in p53/TP53 mediated inhibition of cellular proliferation in response to DNA damage. Binds to and inhibits cyclin-dependent kinase activity, preventing phosphorylation of critical cyclin-dependent kinase substrates and blocking cell cycle progression. Functions in the nuclear localization and assembly of cyclin D-CDK4 complex and promotes its kinase activity towards RB1. At higher stoichiometric ratios, inhibits the kinase activity of the cyclin D-CDK4 complex (PubMed : 25329316). Inhibits DNA synthesis by DNA polymerase delta by competing with POLD3 for PCNA binding (By similarity). Plays an important role in controlling cell cycle progression and DNA damage-induced G2 arrest (By similarity).. Plays an important role in controlling cell cycle progression and DNA damage-induced G2 arrest (PubMed : 37178686). Involved in p53/TP53 mediated inhibition of cellular proliferation in response to DNA damage. Also involved in p53-independent DNA damage-induced G2 arrest mediated by CREB3L1 in astrocytes and osteoblasts (PubMed : 37178686). Binds to and inhibits cyclin-dependent kinase activity, preventing phosphorylation of critical cyclin-dependent kinase substrates and blocking cell cycle progression. Functions in the nuclear localization and assembly of cyclin D-CDK4 complex and promotes its kinase activity towards RB1. At higher stoichiometric ratios, inhibits the kinase activity of the cyclin D-CDK4 complex (PubMed : 25329316). Inhibits DNA synthesis by DNA polymerase delta by competing with POLD3 for PCNA binding (By similarity). Negatively regulates the CDK4- and CDK6-driven phosphorylation of RB1 in keratinocytes, thereby resulting in the release of E2F1 and subsequent transcription of E2F1-driven G1/S phase promoting genes (PubMed : 36689330).
See full target information Cdkn1a

Publications (50)

Recent publications for all applications. Explore the full list and refine your search

Science advances 11:eadu2958 PubMed40333979

2025

Hedgehog-interacting protein orchestrates alveologenesis and protects against bronchopulmonary dysplasia and emphysema.

Applications

Unspecified application

Species

Unspecified reactive species

Datian Ye,Shiyun Feng,Xinguo Yang,Yanjing Su,Jing Zhang,Haixin Feng,Minqi Zhou,Bin Zhou,Lihui Duan,Tien Peng,Chaoqun Wang

Science advances 11:eadp8093 PubMed40215293

2025

Loss of Ten1 in mice induces telomere shortening and models human dyskeratosis congenita.

Applications

Unspecified application

Species

Unspecified reactive species

Adrián Sanz-Moreno,Lore Becker,Kan Xie,Patricia da Silva-Buttkus,Nathalia R V Dragano,Antonio Aguilar-Pimentel,Oana V Amarie,Julia Calzada-Wack,Markus Kraiger,Stefanie Leuchtenberger,Claudia Seisenberger,Susan Marschall,Birgit Rathkolb,Enzo Scifo,Ting Liu,Anoja Thanabalasingam,Raul Sanchez-Vazquez,Paula Martinez,Maria A Blasco,Sharon A Savage,Helmut Fuchs,Dan Ehninger,Valérie Gailus-Durner,Martin Hrabê de Angelis

The Journal of clinical investigation 135: PubMed39808500

2025

TRAIL agonists rescue mice from radiation-induced lung, skin, or esophageal injury.

Applications

Unspecified application

Species

Unspecified reactive species

Jillian Strandberg,Anna Louie,Seulki Lee,Marina Hahn,Praveen Srinivasan,Andrew George,Arielle De La Cruz,Leiqing Zhang,Liz Hernandez Borrero,Kelsey E Huntington,Payton De La Cruz,Attila A Seyhan,Paul P Koffer,David E Wazer,Thomas A DiPetrillo,Stephanie L Graff,Christopher G Azzoli,Sharon I Rounds,Andres J Klein-Szanto,Fabio Tavora,Evgeny Yakirevich,Abbas E Abbas,Lanlan Zhou,Wafik S El-Deiry

Cell death & disease 16:1 PubMed39753531

2025

Endothelial-Ercc1 DNA repair deficiency provokes blood-brain barrier dysfunction.

Applications

Unspecified application

Species

Unspecified reactive species

Cathrin E Hansen,Davide Vacondio,Lennart van der Molen,Annika A Jüttner,Wing Ka Fung,Manon Karsten,Bert van Het Hof,Ruud D Fontijn,Gijs Kooij,Maarten E Witte,Anton J M Roks,Helga E de Vries,Inge Mulder,Nienke M de Wit

Cancer research 85:808-824 PubMed39636745

2024

Targeting the PREX2/RAC1/PI3Kβ Signaling Axis Confers Sensitivity to Clinically Relevant Therapeutic Approaches in Melanoma.

Applications

Unspecified application

Species

Unspecified reactive species

Catriona A Ford,Dana Koludrovic,Patricia P Centeno,Mona Foth,Elpida Tsonou,Nikola Vlahov,Nathalie Sphyris,Kathryn Gilroy,Courtney Bull,Colin Nixon,Bryan Serrels,Alison F Munro,John C Dawson,Neil O Carragher,Valeria Pavet,David C Hornigold,Philip D Dunne,Julian Downward,Heidi C E Welch,Simon T Barry,Owen J Sansom,Andrew D Campbell

Nature communications 15:10372 PubMed39609404

2024

Vascular FLRT2 regulates venous-mediated angiogenic expansion and CNS barriergenesis.

Applications

Unspecified application

Species

Unspecified reactive species

C Llaó-Cid,B Peguera,P Kobialka,L Decker,J Vogenstahl,N Alivodej,S Srivastava,J Jin,B C Kirchmaier,C Milla,H Schlierbach,A Schänzer,T Acker,M Segarra,A Acker-Palmer

Journal for immunotherapy of cancer 12: PubMed39521616

2024

Bendamustine-rituximab elicits dual tumoricidal and immunomodulatory responses via cGAS-STING activation in diffuse large B-cell lymphoma.

Applications

Unspecified application

Species

Unspecified reactive species

Ruipei Xiao,Wenli Zhao,Wei Lin,Yudian Xiao,Jie Ren,Yang Zhou,Wei Meng,Enguang Bi,Ling Jiang

The EMBO journal 43:5360-5380 PubMed39349844

2024

p21 regulates expression of ECM components and promotes pulmonary fibrosis via CDK4 and Rb.

Applications

Unspecified application

Species

Unspecified reactive species

Nurit Papismadov,Naama Levi,Lior Roitman,Amit Agrawal,Yossi Ovadya,Ulysse Cherqui,Reut Yosef,Hagay Akiva,Hilah Gal,Valery Krizhanovsky

Nature metabolism 6:1976-1990 PubMed39317751

2024

Exercise activates AMPK in mouse and human pancreatic islets to decrease senescence.

Applications

Unspecified application

Species

Unspecified reactive species

Priscila Carapeto,Kanako Iwasaki,Francesko Hela,Jiho Kahng,Ana B Alves-Wagner,Roeland J W Middelbeek,Michael F Hirshman,Guy A Rutter,Laurie J Goodyear,Cristina Aguayo-Mazzucato

npj aging 10:31 PubMed38902222

2024

Increased vascular smooth muscle cell senescence in aneurysmal Fibulin-4 mutant mice.

Applications

Unspecified application

Species

Unspecified reactive species

Sanne J M Stefens,Nicole van Vliet,Arne IJpma,Joyce Burger,Yunlei Li,Paula M van Heijningen,Jan H N Lindeman,Danielle Majoor-Krakauer,Hence J M Verhagen,Roland Kanaar,Jeroen Essers,Ingrid van der Pluijm
View all publications

Product promise

We are committed to supporting your work with high-quality reagents, and we're here for you every step of the way. In the unlikely event that one of our products does not perform as expected, you're protected by our Product Promise.
For full details, please see our Terms & Conditions

Please note: All products are 'FOR RESEARCH USE ONLY. NOT FOR USE IN DIAGNOSTIC OR THERAPEUTIC PROCEDURES'.

For licensing inquiries, please contact partnerships@abcam.com