JavaScript is disabled in your browser. Please enable JavaScript to view this website.
AB317039

Anti-p21 antibody [HUGO291] - BSA and Azide free

Be the first to review this product! Submit a review

|

(0 Publication)

Rat Recombinant Monoclonal p21 antibody. Carrier free. Suitable for WB, IHC-P and reacts with Mouse samples. Immunogen corresponding to Recombinant Full Length Protein corresponding to Mouse Cdkn1a.

View Alternative Names

Cip1, Waf1, Cdkn1a, Cyclin-dependent kinase inhibitor 1, CDK-interacting protein 1, Melanoma differentiation-associated protein, p21

7 Images
Immunohistochemistry (Formalin/PFA-fixed paraffin-embedded sections) - Anti-p21 antibody [HUGO291] - BSA and Azide free (AB317039)
  • IHC-P

Supplier Data

Immunohistochemistry (Formalin/PFA-fixed paraffin-embedded sections) - Anti-p21 antibody [HUGO291] - BSA and Azide free (AB317039)

This data was developed using ab107099, the same antibody clone in a different buffer formulation.

Immunohistochemistry (Formalin/PFA-fixed paraffin-embedded sections) analysis of Hek-V5-mp21 transfected cells labelling p21 with ab107099. Nuclear staining was observed in Hek-V5-mp21 cytospins. Labeling with the anti-V5 mAb confirmed the efficiency of transfection. Cytospin preparation of human CD8 was used as a negative control. This image was from a different batch produced using hybridoma method.

Immunohistochemistry (Formalin/PFA-fixed paraffin-embedded sections) - Anti-p21 antibody [HUGO291] - BSA and Azide free (AB317039)
  • IHC-P

Lab

Immunohistochemistry (Formalin/PFA-fixed paraffin-embedded sections) - Anti-p21 antibody [HUGO291] - BSA and Azide free (AB317039)

This data was developed using ab107099, the same antibody clone in a different buffer formulation.

Immunohistochemical analysis of paraffin-embedded Mouse lung cancer tissue labeling p21 with ab107099 at 1/100 dilution, followed by a ready to use LeicaDS9800 (Bond™ Polymer Refine Detection).

Scattered staining on mouse lung cancer.
The section was incubated with ab107099 for 30 mins at room temperature, followed by anti-rat IgG antibody (ab102248) for 8 mins during the LeicaDS9800 kit staining procedure.
The immunostaining was performed on a Leica Biosystems BOND® RX instrument

Counterstained with Hematoxylin.

Secondary antibody only control : Secondary antibody is a ready to use ready to use LeicaDS9800 (Bond™ Polymer Refine Detection).

Heat mediated antigen retrieval was performed with Tris-EDTA buffer (pH 9.0, Epitope Retrieval Solution2) for 20 mins

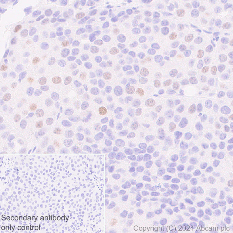
Immunohistochemistry (Formalin/PFA-fixed paraffin-embedded sections) - Anti-p21 antibody [HUGO291] - BSA and Azide free (AB317039)
  • IHC-P

Lab

Immunohistochemistry (Formalin/PFA-fixed paraffin-embedded sections) - Anti-p21 antibody [HUGO291] - BSA and Azide free (AB317039)

This data was developed using ab107099, the same antibody clone in a different buffer formulation.

Immunohistochemical analysis of paraffin-embedded Mouse breast cancer tissue labeling p21 with ab107099 at 1/100 dilution, followed by a ready to use LeicaDS9800 (Bond™ Polymer Refine Detection).

Positive staining on mouse breast cancer.
The section was incubated with ab107099 for 30 mins at room temperature, followed by anti-rat IgG antibody (ab102248) for 8 mins during the LeicaDS9800 kit staining procedure.
The immunostaining was performed on a Leica Biosystems BOND® RX instrument

Counterstained with Hematoxylin.

Secondary antibody only control : Secondary antibody is a ready to use ready to use LeicaDS9800 (Bond™ Polymer Refine Detection).

Heat mediated antigen retrieval was performed with Tris-EDTA buffer (pH 9.0, Epitope Retrieval Solution2) for 20 mins

Immunohistochemistry (Formalin/PFA-fixed paraffin-embedded sections) - Anti-p21 antibody [HUGO291] - BSA and Azide free (AB317039)
  • IHC-P

Supplier Data

Immunohistochemistry (Formalin/PFA-fixed paraffin-embedded sections) - Anti-p21 antibody [HUGO291] - BSA and Azide free (AB317039)

This data was developed using ab107099, the same antibody clone in a different buffer formulation.

Immunohistochemistry (Formalin/PFA-fixed paraffin-embedded sections) analysis of mouse p21WT fibrosarcoma and mouse p21KO fibrosarcoma tissue sections labeling p21 with ab107099.

This image was from a different batch produced using hybridoma method.

Western blot - Anti-p21 antibody [HUGO291] - BSA and Azide free (AB317039)
  • WB

Lab

Western blot - Anti-p21 antibody [HUGO291] - BSA and Azide free (AB317039)

This data was developed using ab107099, the same antibody clone in a different buffer formulation.

Blocking and diluting buffer and concentration : 5% NFDM/TBST

ab181602 was used as a GAPDH loading control at a 1/200000 dilution.

The expression of p21 is upregulated in response to doxorubicin and Nutlin3 treatment (PMID : 15471885 and PMID : 19648117).
This blot was developed using a high sensitivity ECL substrate.

All lanes:

Western blot - Anti-p21 antibody [HUGO291] (<a href='/en-us/products/primary-antibodies/p21-antibody-hugo291-ab107099'>ab107099</a>) at 1/1000 dilution

Lane 1:

Untreated MEF (mouse embryo fibroblast) whole cell lysate at 20 µg

Lane 2:

MEF treated with 10uM doxorubicin (<a href='/en-us/products/biochemicals/doxorubicin-hydrochloride-topoisomerase-ii-inhibitor-ab120629'>ab120629</a>) for 16 hours(+) whole cell lysate at 20 µg

Lane 3:

Untreated NIH/3T3 (mouse embryonic fibroblast) whole cell lysate at 20 µg

Lane 4:

NIH/3T3 treated with 10uM Nutlin3 (<a href='/en-us/products/biochemicals/nutlin-3-mdm2-antagonist-ab120646'>ab120646</a>) for 24 hours whole cell lysate at 20 µg

Secondary

All lanes:

Western blot - Goat Anti-Rat IgG H&L (HRP) (<a href='/en-us/products/secondary-antibodies/goat-rat-igg-h-l-hrp-ab205720'>ab205720</a>) at 1/10000 dilution

Observed band size: 17 kDa

true

Exposure time: 92s

Western blot - Anti-p21 antibody [HUGO291] - BSA and Azide free (AB317039)
  • WB

Lab

Western blot - Anti-p21 antibody [HUGO291] - BSA and Azide free (AB317039)

This data was developed using ab107099, the same antibody clone in a different buffer formulation.

Blocking and diluting buffer and concentration : 5% NFDM/TBST

This blot was developed using a high sensitivity ECL substrate.

All lanes:

Western blot - Anti-p21 antibody [HUGO291] (<a href='/en-us/products/primary-antibodies/p21-antibody-hugo291-ab107099'>ab107099</a>) at 1/1000 dilution

All lanes:

RAW 264.7 (mouse Abelson murine leukemia virus-induced tumor macrophage) whole cell lysate at 20 µg

Secondary

All lanes:

Western blot - Goat Anti-Rat IgG H&L (HRP) (<a href='/en-us/products/secondary-antibodies/goat-rat-igg-h-l-hrp-ab205720'>ab205720</a>) at 1/10000 dilution

Observed band size: 17 kDa

true

Exposure time: 92s

Western blot - Anti-p21 antibody [HUGO291] - BSA and Azide free (AB317039)
  • WB

Unknown

Western blot - Anti-p21 antibody [HUGO291] - BSA and Azide free (AB317039)

This data was developed using ab107099, the same antibody clone in a different buffer formulation.

This image was from a different batch produced using hybridoma method.

All lanes:

Western blot - Anti-p21 antibody [HUGO291] (<a href='/en-us/products/primary-antibodies/p21-antibody-hugo291-ab107099'>ab107099</a>) at 1/50 dilution

Lane 1:

TT243 MEFs (non-irradiated) at 18.83 µg

Lane 2:

TT243 MEFs (irradiated with 10 Gy) at 20.8 µg

Lane 3:

p21-/- KO MEFs at 60 µg

Lane 4:

P21 WT MEFs at 75 µg

Lane 5:

HEK-V5-mp21 transfected cells at 20 µg

Lane 6:

HEK-V5-mp15 transfected cells at 20 µg

Predicted band size: 18 kDa

false

Key facts

Host species

Rat

Clonality

Monoclonal

Clone number

HUGO291

Isotype

IgG2a

Carrier free

Yes

Reacts with

Mouse

Applications

WB, IHC-P

applications

Immunogen

Recombinant Full Length Protein corresponding to Mouse Cdkn1a. The exact immunogen used to generate this antibody is proprietary information.

P39689

Reactivity data

{ "title": "Reactivity Data", "filters": { "stats": ["", "Species", "Dilution Info", "Notes"], "tabs": { "all-applications": {"fullname" : "All Applications", "shortname": "All Applications"}, "WB" : {"fullname" : "Western blot", "shortname":"WB"}, "IHCP" : {"fullname" : "Immunohistochemistry (Formalin/PFA-fixed paraffin-embedded sections)", "shortname":"IHC-P"} }, "product-promise": { "all": "all", "testedAndGuaranteed": "tested", "guaranteed": "expected", "predicted": "predicted", "notRecommended": "not-recommended" } }, "values": { "Human": { "WB-species-checked": "notRecommended", "WB-species-dilution-info": "", "WB-species-notes": "<p></p>", "IHCP-species-checked": "notRecommended", "IHCP-species-dilution-info": "", "IHCP-species-notes": "<p></p>" }, "Mouse": { "WB-species-checked": "testedAndGuaranteed", "WB-species-dilution-info": "", "WB-species-notes": "<p></p>", "IHCP-species-checked": "testedAndGuaranteed", "IHCP-species-dilution-info": "", "IHCP-species-notes": "<p>Perform heat mediated antigen retrieval with Tris-EDTA buffer (pH 9.0, Epitope Retrieval Solution2) for 20 mins.</p> Perform heat-mediated antigen retrieval with Tris/EDTA buffer pH 9.0 before commencing with IHC staining protocol." }, "Rat": { "WB-species-checked": "notRecommended", "WB-species-dilution-info": "", "WB-species-notes": "", "IHCP-species-checked": "notRecommended", "IHCP-species-dilution-info": "", "IHCP-species-notes": "<p></p>" } } }

Product details

ab317039 is the carrirer-free version of ab107099.

What is this antibody validated in?
Anti-p21 antibody [HUGO291] (ab107099) is a rat recombinant monoclonal antibody and is validated for use in Western Blot (WB), Immunohistochemistry (IHC-P) in Mouse samples.

What is the molecular weight of p21?
Anti-p21 [HUGO291] (ab107099) specifically detects a band for p21 (UniProt: P38936) at a molecular weight of 18kDa.

Trusted by the scientific community
Anti-p21 [HUGO291] (ab107099) was first used in a scientific publication in 2011 and has been cited over 30 times in peer-reviewed journals.

Want a custom formulation?
This antibody clone is manufactured by Abcam. If you require a custom buffer formulation or conjugation for your experiments, please contact orders@abcam.com

What are the advantages of a recombinant monoclonal antibody?
This product is a recombinant monoclonal antibody, which offers several advantages including:

  • - High batch-to-batch consistency and reproducibility
  • - Improved sensitivity and specificity
  • - Long-term security of supply
  • - Animal-free batch production

For more information, read more on recombinant antibodies.

Conjugation ready
Our carrier-free antibodies are typically supplied in a PBS-only formulation, purified and free of BSA, sodium azide and glycerol. This conjugation-ready format is designed for use with fluorochromes, metal isotopes, oligonucleotides, and enzymes, which makes them ideal for antibody labelling, functional and cell-based assays, flow-based assays (e.g. mass cytometry) and Multiplex Imaging applications.

Use our conjugation kits for antibody conjugates that are ready-to-use in as little as 20 minutes with 1 minute hands-on-time and 100% antibody recovery: available for fluorescent dyes, HRP, biotin and gold.

Compatibility
This product is compatible with the Maxpar® Antibody Labeling Kit from Fluidigm, without the need for antibody preparation. Maxpar® is a trademark of Fluidigm Canada Inc.

Properties and storage information

Form
Liquid
Purification technique
Affinity purification Protein A
Storage buffer
pH: 7.2 - 7.4 Constituents: PBS
Shipped at conditions
Blue Ice
Appropriate short-term storage conditions
+4°C
Appropriate long-term storage conditions
+4°C

Supplementary information

This supplementary information is collated from multiple sources and compiled automatically.

The p21 protein also known as CDKN1A is an important regulator of cell cycle progression. It acts as a cyclin-dependent kinase inhibitor where it binds to and inhibits the activity of cyclin-CDK2 or -CDK4 complexes. The molecular weight of p21 is approximately 21 kDa. Cellular expression of p21 is diverse; it occurs in various tissues reflecting its broad role in maintaining cell cycle control. This protein's expression level is often assessed using techniques such as p21 western blotting p21 ELISA and p21 IHC staining.
Biological function summary

P21 plays a critical role in cell cycle regulation and DNA damage response. It associates with the p53 tumor suppressor protein forming an essential part of the p53 signaling pathway under stress conditions. p21 arrests cells in G1 phase allowing DNA repair or leading to cellular senescence. Through these mechanisms p21 integrates signals from stress and damage emphasizing its importance as a mediator in cellular checkpoint control.

Pathways

P21 is closely involved in the p53 and the Transforming Growth Factor-beta (TGF-Β) signaling pathways. This integration helps in transmitting growth-inhibitory signals. p21 interacts with proteins such as p53 and cyclins ensuring precise regulation of the cell cycle and growth arrest when necessary. Triggered by p53 activation p21 contributes to preventing undisturbed cell proliferation acting as a safeguard against tumor formation.

P21's deregulation associates with cancer and age-related diseases. Its impairment is a common feature in many cancers often linked with defects in the p53 pathway. Reduced p21 expression can contribute to unchecked cell division and tumor progression. Moreover in age-related diseases p21's role in promoting cellular senescence connects it with degenerative conditions. The intricate relationship between p21 and proteins such as p53 and cyclins highlights its potential as a therapeutic target for these disorders.

Product protocols

For this product, it's our understanding that no specific protocols are required. You can visit:

Target data

May be involved in p53/TP53 mediated inhibition of cellular proliferation in response to DNA damage. Binds to and inhibits cyclin-dependent kinase activity, preventing phosphorylation of critical cyclin-dependent kinase substrates and blocking cell cycle progression. Functions in the nuclear localization and assembly of cyclin D-CDK4 complex and promotes its kinase activity towards RB1. At higher stoichiometric ratios, inhibits the kinase activity of the cyclin D-CDK4 complex (PubMed : 25329316). Inhibits DNA synthesis by DNA polymerase delta by competing with POLD3 for PCNA binding (By similarity). Plays an important role in controlling cell cycle progression and DNA damage-induced G2 arrest (By similarity).. Plays an important role in controlling cell cycle progression and DNA damage-induced G2 arrest (PubMed : 37178686). Involved in p53/TP53 mediated inhibition of cellular proliferation in response to DNA damage. Also involved in p53-independent DNA damage-induced G2 arrest mediated by CREB3L1 in astrocytes and osteoblasts (PubMed : 37178686). Binds to and inhibits cyclin-dependent kinase activity, preventing phosphorylation of critical cyclin-dependent kinase substrates and blocking cell cycle progression. Functions in the nuclear localization and assembly of cyclin D-CDK4 complex and promotes its kinase activity towards RB1. At higher stoichiometric ratios, inhibits the kinase activity of the cyclin D-CDK4 complex (PubMed : 25329316). Inhibits DNA synthesis by DNA polymerase delta by competing with POLD3 for PCNA binding (By similarity). Negatively regulates the CDK4- and CDK6-driven phosphorylation of RB1 in keratinocytes, thereby resulting in the release of E2F1 and subsequent transcription of E2F1-driven G1/S phase promoting genes (PubMed : 36689330).
See full target information Cdkn1a

Product promise

We are committed to supporting your work with high-quality reagents, and we're here for you every step of the way. In the unlikely event that one of our products does not perform as expected, you're protected by our Product Promise.
For full details, please see our Terms & Conditions

Please note: All products are 'FOR RESEARCH USE ONLY. NOT FOR USE IN DIAGNOSTIC OR THERAPEUTIC PROCEDURES'.

For licensing inquiries, please contact partnerships@abcam.com