JavaScript is disabled in your browser. Please enable JavaScript to view this website.
AB226295

Anti-p23 antibody

Be the first to review this product! Submit a review

|

(2 Publications)

Rabbit Polyclonal p23 antibody. Suitable for IP, WB, IHC-P and reacts with Human, Mouse samples. Cited in 2 publications. Immunogen corresponding to Synthetic Peptide within Human PTGES3 aa 100 to C-terminus.

View Alternative Names

P23, TEBP, PTGES3, Prostaglandin E synthase 3, Cytosolic prostaglandin E2 synthase, Hsp90 co-chaperone, Progesterone receptor complex p23, Telomerase-binding protein p23, cPGES

5 Images
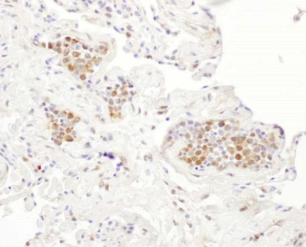
Immunohistochemistry (Formalin/PFA-fixed paraffin-embedded sections) - Anti-p23 antibody (AB226295)
  • IHC-P

Supplier Data

Immunohistochemistry (Formalin/PFA-fixed paraffin-embedded sections) - Anti-p23 antibody (AB226295)

Formalin-fixed, paraffin-embedded human ovarian carcinoma tissue stained for p23 using ab226295 at 1/5000 dilution in immunohistochemical analysis.

Detection : DAB staining.

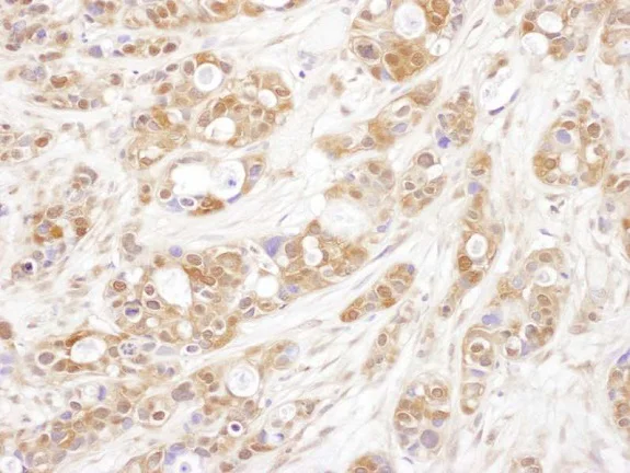
Immunohistochemistry (Formalin/PFA-fixed paraffin-embedded sections) - Anti-p23 antibody (AB226295)
  • IHC-P

Supplier Data

Immunohistochemistry (Formalin/PFA-fixed paraffin-embedded sections) - Anti-p23 antibody (AB226295)

Formalin-fixed, paraffin-embedded human lung cancer tissue stained for p23 using ab226295 at 1/5000 dilution in immunohistochemical analysis.

Detection : DAB staining.

Immunoprecipitation - Anti-p23 antibody (AB226295)
  • IP

Supplier Data

Immunoprecipitation - Anti-p23 antibody (AB226295)

p23 was immunoprecipitated from HEK-293T (human epithelial epithelial cell line from embryonic kidney transformed with large T antigen) whole cell lysate (1 mg for IP, 20% of IP loaded) with ab226295 at 6 μg per reaction. Western blot was performed from the immunoprecipitate using ab226295 at 1 μg/ml.

Lane 1 : ab226295 IP in HEK-293T whole cell lysate.

Lane 2 : Control IgG IP in HEK-293T whole cell lysate.

Detection : Chemiluminescence with exposure time of 30 seconds.

Cells prepared using NETN lysis buffer.

All lanes:

Immunoprecipitation - Anti-p23 antibody (ab226295)

Predicted band size: 19 kDa

false

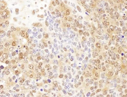
Immunohistochemistry (Formalin/PFA-fixed paraffin-embedded sections) - Anti-p23 antibody (AB226295)
  • IHC-P

Supplier Data

Immunohistochemistry (Formalin/PFA-fixed paraffin-embedded sections) - Anti-p23 antibody (AB226295)

Formalin-fixed, paraffin-embedded mouse teratoma tissue stained for p23 using ab226295 at 1/1000 dilution in immunohistochemical analysis.

Detection : DAB staining.

Western blot - Anti-p23 antibody (AB226295)
  • WB

Supplier Data

Western blot - Anti-p23 antibody (AB226295)

Cells prepared using NETN lysis buffer.

All lanes:

Western blot - Anti-p23 antibody (ab226295) at 0.1 µg/mL

Lane 1:

HeLa (human epithelial cell line from cervix adenocarcinoma) whole cell lysate at 50 µg

Lane 2:

HEK-293T (human epithelial cell line from embryonic kidney transformed with large T antigen) whole cell lysate at 50 µg

Lane 3:

Jurkat (human T cell leukemia cell line from peripheral blood) whole cell lysate at 50 µg

Lane 4:

TCMK-1 (mouse kidney epithelial cell line) whole cell lysate at 50 µg

Lane 5:

NIH/3T3 (mouse embryo fibroblast cell line) whole cell lysate at 50 µg

Predicted band size: 19 kDa

true

Exposure time: 30s

Key facts

Host species

Rabbit

Clonality

Polyclonal

Isotype

IgG

Carrier free

No

Reacts with

Mouse, Human

Applications

IHC-P, IP, WB

applications

Immunogen

Synthetic Peptide within Human PTGES3 aa 100 to C-terminus. The exact immunogen used to generate this antibody is proprietary information.

Q15185

Reactivity data

{ "title": "Reactivity Data", "filters": { "stats": ["", "Species", "Dilution Info", "Notes"], "tabs": { "all-applications": {"fullname" : "All Applications", "shortname": "All Applications"}, "IP" : {"fullname" : "Immunoprecipitation", "shortname":"IP"}, "WB" : {"fullname" : "Western blot", "shortname":"WB"}, "IHCP" : {"fullname" : "Immunohistochemistry (Formalin/PFA-fixed paraffin-embedded sections)", "shortname":"IHC-P"} }, "product-promise": { "all": "all", "testedAndGuaranteed": "tested", "guaranteed": "expected", "predicted": "predicted", "notRecommended": "not-recommended" } }, "values": { "Human": { "IP-species-checked": "testedAndGuaranteed", "IP-species-dilution-info": "2-10 µg/mg of lysate", "IP-species-notes": "<p></p>", "WB-species-checked": "testedAndGuaranteed", "WB-species-dilution-info": "1/1000 - 1/2000", "WB-species-notes": "<p></p>", "IHCP-species-checked": "testedAndGuaranteed", "IHCP-species-dilution-info": "1/2000 - 1/10000", "IHCP-species-notes": "<p></p>" }, "Mouse": { "IP-species-checked": "guaranteed", "IP-species-dilution-info": "", "IP-species-notes": "", "WB-species-checked": "testedAndGuaranteed", "WB-species-dilution-info": "1/1000 - 1/2000", "WB-species-notes": "<p></p>", "IHCP-species-checked": "testedAndGuaranteed", "IHCP-species-dilution-info": "1/2000 - 1/10000", "IHCP-species-notes": "<p></p>" }, "Rat": { "IP-species-checked": "predicted", "IP-species-dilution-info": "", "IP-species-notes": "", "WB-species-checked": "predicted", "WB-species-dilution-info": "", "WB-species-notes": "", "IHCP-species-checked": "predicted", "IHCP-species-dilution-info": "", "IHCP-species-notes": "" }, "Chicken": { "IP-species-checked": "predicted", "IP-species-dilution-info": "", "IP-species-notes": "", "WB-species-checked": "predicted", "WB-species-dilution-info": "", "WB-species-notes": "", "IHCP-species-checked": "predicted", "IHCP-species-dilution-info": "", "IHCP-species-notes": "" }, "Cow": { "IP-species-checked": "predicted", "IP-species-dilution-info": "", "IP-species-notes": "", "WB-species-checked": "predicted", "WB-species-dilution-info": "", "WB-species-notes": "", "IHCP-species-checked": "predicted", "IHCP-species-dilution-info": "", "IHCP-species-notes": "" }, "Orangutan": { "IP-species-checked": "predicted", "IP-species-dilution-info": "", "IP-species-notes": "", "WB-species-checked": "predicted", "WB-species-dilution-info": "", "WB-species-notes": "", "IHCP-species-checked": "predicted", "IHCP-species-dilution-info": "", "IHCP-species-notes": "" } } }

Properties and storage information

Form
Liquid
Purification technique
Affinity purification Immunogen
Purification notes
ab226295 was affinity purified using an epitope specific to p23 immobilized on solid support.
Storage buffer
pH: 7 - 8 Preservative: 0.09% Sodium azide Constituents: Tris citrate/phosphate
Shipped at conditions
Blue Ice
Appropriate short-term storage duration
1-2 weeks
Appropriate short-term storage conditions
+4°C
Appropriate long-term storage conditions
+4°C
Aliquoting information
Upon delivery aliquot
Storage information
Avoid freeze / thaw cycle

Supplementary information

This supplementary information is collated from multiple sources and compiled automatically.

The p23 protein also known as prostaglandin E synthase 3 weighs about 18 kDa. It functions as a co-chaperone for the heat shock protein 90 (Hsp90) complex. P23 is found in the cytoplasm and nucleus of cells and shows expression across various tissues including the brain liver and kidney. It plays a role in stabilizing the ATP-bound state of Hsp90 assisting in client protein stabilization and maturation. P23 binding to the Hsp90 complex influences its chaperone activity.
Biological function summary

P23 assists Hsp90 in protein-folding processes. As part of the Hsp90 chaperone complex p23 contributes to the correct folding and functioning of several essential client proteins. This chaperone activity is important for cellular processes like signal transduction and protein degradation. Without p23 Hsp90's efficiency in maintaining protein homeostasis can decrease highlighting the importance of their interaction in the cell.

Pathways

The chaperone actions of p23 extensively impact protein signaling pathways and stress response mechanisms. P23 and Hsp90 are important in the Akt/PI3K signaling pathway which regulates cell proliferation and survival. The complex formed by p23 and Hsp90 also involves heat shock proteins like Hsp70 which collaborates in broader cellular stress responses. These connections demonstrate how p23 integrates into cellular regulation and signal transduction networks.

P23's interaction with Hsp90 relates to cancer development and progression. Dysregulation in the p23-Hsp90 interaction can lead to increased stabilization of oncogenic client proteins contributing to tumorigenesis. Additionally p23 implication has been noted in neurodegenerative diseases like Alzheimer's where protein misfolding plays a critical role. Here p23 involvement with proteins like Tau may link its chaperone activity to the pathological protein aggregation seen in such disorders.

Product protocols

For this product, it's our understanding that no specific protocols are required. You can visit:

Target data

Cytosolic prostaglandin synthase that catalyzes the oxidoreduction of prostaglandin endoperoxide H2 (PGH2) to prostaglandin E2 (PGE2) (PubMed : 10922363). Molecular chaperone that localizes to genomic response elements in a hormone-dependent manner and disrupts receptor-mediated transcriptional activation, by promoting disassembly of transcriptional regulatory complexes (PubMed : 11274138, PubMed : 12077419). Facilitates HIF alpha proteins hydroxylation via interaction with EGLN1/PHD2, leading to recruit EGLN1/PHD2 to the HSP90 pathway (PubMed : 24711448).
See full target information PTGES3

Publications (2)

Recent publications for all applications. Explore the full list and refine your search

Oncology research 31:631-643 PubMed37547755

2023

The anti-oncogenic effect of 17-DMAG via the inactivation of HSP90 and MET pathway in osteosarcoma cells.

Applications

Unspecified application

Species

Unspecified reactive species

Masanori Kawano,Kazuhiro Tanaka,Ichiro Itonaga,Tatsuya Iwasaki,Yuta Kubota,Hiroshi Tsumura

Oncology letters 23:35 PubMed34966451

2021

Correlation between promoter methylation of the LDH-C4 gene and DNMT expression in breast cancer and their prognostic significance.

Applications

Unspecified application

Species

Unspecified reactive species

Jiandong Zhang,Fengxia Zhang,Fengqin Zhang,Hua Wu,Bei Zhang,Xiangyun Wu
View all publications

Product promise

We are committed to supporting your work with high-quality reagents, and we're here for you every step of the way. In the unlikely event that one of our products does not perform as expected, you're protected by our Product Promise.
For full details, please see our Terms & Conditions

Please note: All products are 'FOR RESEARCH USE ONLY. NOT FOR USE IN DIAGNOSTIC OR THERAPEUTIC PROCEDURES'.

For licensing inquiries, please contact partnerships@abcam.com