JavaScript is disabled in your browser. Please enable JavaScript to view this website.
AB190851

Anti-p27 KIP 1 antibody [EPR18388-138]

Be the first to review this product! Submit a review

|

(8 Publications)

Rabbit Recombinant Monoclonal p27 KIP 1 antibody. Suitable for IP, WB, ICC/IF, IHC-P and reacts with Mouse, Rat samples. Cited in 8 publications.

View Alternative Names

Cyclin-dependent kinase inhibitor 1B, Cyclin-dependent kinase inhibitor p27, p27Kip1, Cdkn1b

8 Images
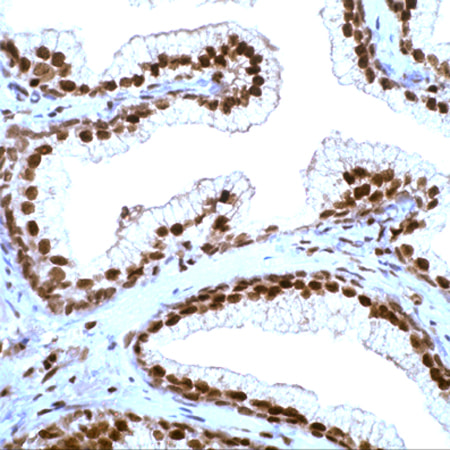
Immunohistochemistry (Formalin/PFA-fixed paraffin-embedded sections) - Anti-p27 KIP 1 antibody [EPR18388-138] (AB190851)
  • IHC-P

Supplier Data

Immunohistochemistry (Formalin/PFA-fixed paraffin-embedded sections) - Anti-p27 KIP 1 antibody [EPR18388-138] (AB190851)

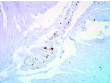
Immunohistochemical analysis of paraffin-embedded rat cerebral cortex tissue labeling p27 KIP 1 with ab190851 at 1/40000 dilution, followed by Goat Anti-Rabbit IgG H&L (HRP), ready to use. Nuclear staining in the rat cerebral cortex is observed (PMID : 19852587). Counter stained with Hematoxylin.

Secondary antibody only control : Used PBS instead of primary antibody, secondary antibody is Goat Anti-Rabbit IgG H&L (HRP), ready to use.

Perform heat mediated antigen retrieval using ab93684 (Tris/EDTA buffer, pH 9.0).

Immunocytochemistry/ Immunofluorescence - Anti-p27 KIP 1 antibody [EPR18388-138] (AB190851)
  • ICC/IF

Supplier Data

Immunocytochemistry/ Immunofluorescence - Anti-p27 KIP 1 antibody [EPR18388-138] (AB190851)

Immunofluorescent analysis of 4% paraformaldehyde-fixed, 0.1% Triton X-100 permeabilized Neuro-2a (mouse neuroblastoma cell line) cells labeling p27 KIP 1 with ab190851 at 1/100 dilution, followed by Goat Anti-Rabbit IgG H&L (Alexa Fluor® 488) (ab150077) secondary antibody at 1/1000 dilution (green). Confocal image showing mainly nuclear staining in the Neuro-2a cell line. The nuclear counter stain is DAPI (blue).

Tubulin is detected with Anti-alpha Tubulin antibody [DM1A] - Microtubule Marker (Alexa Fluor® 594) (ab195889) at 1/200 dilution (red).

Secondary antibody only control : Used PBS instead of primary antibody, secondary antibody is Goat Anti-Rabbit IgG H&L (Alexa Fluor® 488) (ab150077) at 1/1000 dilution.

Immunohistochemistry (Formalin/PFA-fixed paraffin-embedded sections) - Anti-p27 KIP 1 antibody [EPR18388-138] (AB190851)
  • IHC-P

Supplier Data

Immunohistochemistry (Formalin/PFA-fixed paraffin-embedded sections) - Anti-p27 KIP 1 antibody [EPR18388-138] (AB190851)

Immunohistochemical analysis of paraffin-embedded mouse kidney tissue labeling p27 KIP 1 with ab190851 at 1/40000 dilution, followed by Goat Anti-Rabbit IgG H&L (HRP), ready to use. Nuclear staining on mouse kidney is observed (PMID : 26823281). Counter stained with Hematoxylin.

Secondary antibody only control : Used PBS instead of primary antibody, secondary antibody is Goat Anti-Rabbit IgG H&L (HRP), ready to use.

Perform heat mediated antigen retrieval using ab93684 (Tris/EDTA buffer, pH 9.0).

Immunohistochemistry (Formalin/PFA-fixed paraffin-embedded sections) - Anti-p27 KIP 1 antibody [EPR18388-138] (AB190851)
  • IHC-P

Lab

Immunohistochemistry (Formalin/PFA-fixed paraffin-embedded sections) - Anti-p27 KIP 1 antibody [EPR18388-138] (AB190851)

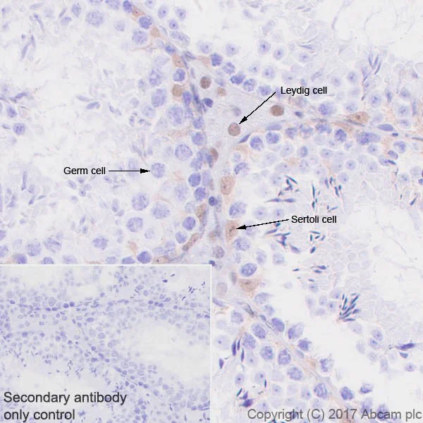
Immunohistochemical analysis of paraffin-embedded mouse testis tissue labeling p27 KIP 1 with ab190851 at 1/40000 dilution, followed by Goat Anti-Rabbit IgG H&L (HRP), ready to use. Nuclear staining on Leydig cells and Sertoli cells of mouse testis is observed (PMID : 10098522). Counter stained with Hematoxylin.

Secondary antibody only control : Used PBS instead of primary antibody, secondary antibody is Goat Anti-Rabbit IgG H&L (HRP), ready to use.

Perform heat mediated antigen retrieval using ab93684 (Tris/EDTA buffer, pH 9.0).

Immunohistochemistry (Formalin/PFA-fixed paraffin-embedded sections) - Anti-p27 KIP 1 antibody [EPR18388-138] (AB190851)
  • IHC-P

Lab

Immunohistochemistry (Formalin/PFA-fixed paraffin-embedded sections) - Anti-p27 KIP 1 antibody [EPR18388-138] (AB190851)

Immunohistochemical analysis of paraffin-embedded rat testis tissue labeling p27 KIP 1 with ab190851 at 1/40000 dilution, followed by Goat Anti-Rabbit IgG H&L (HRP), ready to use. Nuclear staining on Sertoli cells and Leydig cells of rat testis is observed (PMID : 10098522). Counter stained with Hematoxylin.

Secondary antibody only control : Used PBS instead of primary antibody, secondary antibody is Goat Anti-Rabbit IgG H&L (HRP), ready to use.

Perform heat mediated antigen retrieval using ab93684 (Tris/EDTA buffer, pH 9.0).

Immunocytochemistry/ Immunofluorescence - Anti-p27 KIP 1 antibody [EPR18388-138] (AB190851)
  • ICC/IF

Supplier Data

Immunocytochemistry/ Immunofluorescence - Anti-p27 KIP 1 antibody [EPR18388-138] (AB190851)

Immunofluorescent analysis of 4% paraformaldehyde-fixed, 0.1% Triton X-100 permeabilized NIH/3T3 (mouse embryo fibroblast cell line) cells labeling p27 KIP 1 with ab190851 at 1/100 dilution, followed by Goat Anti-Rabbit IgG H&L (Alexa Fluor® 488) (ab150077) secondary antibody at 1/1000 dilution (green). Confocal image showing mainly nuclear staining in the NIH/3T3 cell line. The nuclear counter stain is DAPI (blue).

Tubulin is detected with Anti-alpha Tubulin antibody [DM1A] - Microtubule Marker (Alexa Fluor® 594) (ab195889) at 1/200 dilution (red).

Secondary antibody only control : Used PBS instead of primary antibody, secondary antibody is Goat Anti-Rabbit IgG H&L (Alexa Fluor® 488) (ab150077) at 1/1000 dilution.

Immunoprecipitation - Anti-p27 KIP 1 antibody [EPR18388-138] (AB190851)
  • IP

Supplier Data

Immunoprecipitation - Anti-p27 KIP 1 antibody [EPR18388-138] (AB190851)

p27 KIP 1 was immunoprecipitated from 0.35 mg of C2C12 (mouse myoblast cell line) whole cell lysate with ab190851 at 1/30 dilution. Western blot was performed from the immunoprecipitate using ab190851 at 1/1000 dilution. VeriBlot for IP Detection Reagents (HRP) (ab131366), was used for detection at 1/10000 dilution.

Lane 1 : C2C12 whole cell lysate 10 μg (Input).

Lane 2 : ab190851 IP in C2C12 whole cell lysate.

Lane 3 : Rabbit monoclonal IgG (ab172730) instead of ab190851 in C2C12 whole cell lysate.

Blocking and dilution buffer and concentration : 5% NFDM/TBST.

Exposure time : 10 seconds.

All lanes:

Immunoprecipitation - Anti-p27 KIP 1 antibody [EPR18388-138] (ab190851)

Predicted band size: 22 kDa

Observed band size: 27 kDa

true

Western blot - Anti-p27 KIP 1 antibody [EPR18388-138] (AB190851)
  • WB

Supplier Data

Western blot - Anti-p27 KIP 1 antibody [EPR18388-138] (AB190851)

Blocking/Dilution : 5% NFDM/TBST.

Exposure : Lanes 1 and 3 : 30 seconds; Lanes 2 and 5 : 10 seconds; Lane 4 : 15 seconds.

The molecular mass observed is consistent with the literature (PMID : 9033255; PMID : 9679152). The lower band observed in some samples could be a degradation product (PMID : 9190912; 24229711).

All lanes:

Western blot - Anti-p27 KIP 1 antibody [EPR18388-138] (ab190851) at 1/1000 dilution

Lane 1:

Rat thymus tissue lysate at 20 µg

Lane 2:

NIH/3T3 (mouse embryo fibroblast cell line) whole cell lysate at 20 µg

Lane 3:

C2C12 (mouse myoblast cell line) whole cell lysate at 20 µg

Lane 4:

Neuro-2a (mouse neuroblastoma cell line) whole cell lysate at 20 µg

Lane 5:

C6 (rat glial tumor cell line) whole cell lysate at 20 µg

Secondary

All lanes:

Western blot - Goat Anti-Rabbit IgG H&L (HRP) (<a href='/en-us/products/secondary-antibodies/goat-rabbit-igg-h-l-hrp-ab97051'>ab97051</a>) at 1/20000 dilution

Predicted band size: 22 kDa

Observed band size: 18 kDa,27 kDa

true

  • Carrier free

    Anti-p27 KIP 1 antibody [EPR18388-138] - BSA and Azide free (Capture)

Key facts

Host species

Rabbit

Clonality

Monoclonal

Clone number

EPR18388-138

Isotype

IgG

Carrier free

No

Reacts with

Mouse, Rat

Applications

WB, ICC/IF, IP, IHC-P

applications

Immunogen

The exact immunogen used to generate this antibody is proprietary information.

Reactivity data

{ "title": "Reactivity Data", "filters": { "stats": ["", "Species", "Dilution Info", "Notes"], "tabs": { "all-applications": {"fullname" : "All Applications", "shortname": "All Applications"}, "IP" : {"fullname" : "Immunoprecipitation", "shortname":"IP"}, "WB" : {"fullname" : "Western blot", "shortname":"WB"}, "ICCIF" : {"fullname" : "Immunocytochemistry/ Immunofluorescence", "shortname":"ICC/IF"}, "IHCP" : {"fullname" : "Immunohistochemistry (Formalin/PFA-fixed paraffin-embedded sections)", "shortname":"IHC-P"} }, "product-promise": { "all": "all", "testedAndGuaranteed": "tested", "guaranteed": "expected", "predicted": "predicted", "notRecommended": "not-recommended" } }, "values": { "Mouse": { "IP-species-checked": "testedAndGuaranteed", "IP-species-dilution-info": "1/30", "IP-species-notes": "<p></p>", "WB-species-checked": "testedAndGuaranteed", "WB-species-dilution-info": "1/1000", "WB-species-notes": "<p></p>", "ICCIF-species-checked": "testedAndGuaranteed", "ICCIF-species-dilution-info": "1/100", "ICCIF-species-notes": "<p></p>", "IHCP-species-checked": "testedAndGuaranteed", "IHCP-species-dilution-info": "1/40000", "IHCP-species-notes": "<p></p>" }, "Rat": { "IP-species-checked": "guaranteed", "IP-species-dilution-info": "", "IP-species-notes": "", "WB-species-checked": "testedAndGuaranteed", "WB-species-dilution-info": "1/1000", "WB-species-notes": "<p></p>", "ICCIF-species-checked": "guaranteed", "ICCIF-species-dilution-info": "", "ICCIF-species-notes": "", "IHCP-species-checked": "testedAndGuaranteed", "IHCP-species-dilution-info": "1/40000", "IHCP-species-notes": "<p></p>" } } }

Product details

Patented technology
Our RabMAb® technology is a patented hybridoma-based technology for making rabbit monoclonal antibodies. For details on our patents, please refer to RabMAb® patents.

What are the advantages of a recombinant monoclonal antibody?
This product is a recombinant monoclonal antibody, which offers several advantages including:

  • - High batch-to-batch consistency and reproducibility
  • - Improved sensitivity and specificity
  • - Long-term security of supply
  • - Animal-free batch production

For more information, read more on recombinant antibodies.

Properties and storage information

Form
Liquid
Purification technique
Affinity purification Protein A
Storage buffer
pH: 7.2 - 7.4 Preservative: 0.01% Sodium azide Constituents: PBS, 40% Glycerol (glycerin, glycerine), 0.05% BSA
Shipped at conditions
Blue Ice
Appropriate short-term storage duration
1-2 weeks
Appropriate short-term storage conditions
+4°C
Appropriate long-term storage conditions
-20°C
Aliquoting information
Upon delivery aliquot
Storage information
Avoid freeze / thaw cycle

Supplementary information

This supplementary information is collated from multiple sources and compiled automatically.

The protein known as p27 KIP1 also referred to as p27 CDKN1B or KIP1 is a member of the kinase inhibitory protein family. It plays an important role in cell cycle regulation by inhibiting cyclin-dependent kinases (CDKs). p27 KIP1 weighs approximately 27 kDa and can be found in various tissues where it regulates cell proliferation. The protein functions as a suppressor by binding to cyclin-CDK complexes preventing the transition from G1 phase to S phase in the cell division cycle.
Biological function summary

The function of p27 KIP1 involves its role in controlling cell growth and division. It achieves this by becoming a part of larger protein complexes involving CDKs and cyclins. By directly interacting with these complexes p27 KIP1 modulates cell cycle progression therefore acting as a brake on cellular proliferation. The protein is important in maintaining proper cell cycle checkpoints and preventing uncontrolled cell growth which is essential for normal cellular functioning.

Pathways

The involvement of p27 KIP1 centers on cell cycle regulation and signaling pathways such as the PI3K/AKT pathway. Its interaction with CDKs and cyclins situates it within the core mechanisms that determine cell division timing. p27 KIP1 operates alongside other proteins like cyclin D and CDK4/6 fitting into the regulatory intricacies of these pathways. Proper functioning of these pathways ensures cellular homeostasis and prevents the development of oncogenic processes.

Dysfunction of p27 KIP1 has links to cancer and neurodegenerative diseases. Low levels or mutations can lead to uncontrolled cell proliferation contributing to the development and progression of cancers such as breast cancer. p27 KIP1's role in neurodegenerative diseases involves its regulation of neuronal cell cycle re-entry with abnormalities potentially exacerbating conditions like Alzheimer's disease. In these contexts its interaction with proteins such as cyclin E and CDK2 becomes particularly relevant in understanding disease mechanisms.

Product protocols

For this product, it's our understanding that no specific protocols are required. You can visit:

Target data

Important regulator of cell cycle progression (PubMed : 12972555, PubMed : 8033213). Inhibits the kinase activity of CDK2 bound to cyclin A, but has little inhibitory activity on CDK2 bound to SPDYA (By similarity). Involved in G1 arrest. Potent inhibitor of cyclin E- and cyclin A-CDK2 complexes (PubMed : 8033213). Forms a complex with cyclin type D-CDK4 complexes and is involved in the assembly, stability, and modulation of CCND1-CDK4 complex activation. Acts either as an inhibitor or an activator of cyclin type D-CDK4 complexes depending on its phosphorylation state and/or stoichometry.
See full target information Cdkn1b

Publications (8)

Recent publications for all applications. Explore the full list and refine your search

iScience 27:111282 PubMed39628564

2024

IFRD1 is required for maintenance of bladder epithelial homeostasis.

Applications

Unspecified application

Species

Unspecified reactive species

Bisiayo E Fashemi,Amala K Rougeau,Arnold M Salazar,Steven J Bark,Rayvanth Chappidi,Jeffrey W Brown,Charles J Cho,Jason C Mills,Indira U Mysorekar

Scientific reports 12:19402 PubMed36371473

2022

Neonatal corticosterone administration increases p27-positive Sertoli cell number and decreases Sertoli cell number in the testes of mice at prepuberty.

Applications

Unspecified application

Species

Unspecified reactive species

Hidenobu Miyaso,Kaiya Takano,Kenta Nagahori,Zhong-Lian Li,Shinichi Kawata,Miyuki Kuramasu,Yuki Ogawa,Hirotaka Yoshioka,Yoshiharu Matsuno,Satoshi Yokota,Masahiro Itoh

Frontiers in molecular biosciences 9:848463 PubMed35480888

2022

Identification of Novel Immune Cell-Relevant Therapeutic Targets and Validation of Roles of TK1 in BMSCs of Systemic Lupus Erythematosus.

Applications

Unspecified application

Species

Unspecified reactive species

Fangru Chen,Jian Meng,Wenjie Yan,Mengjiao Wang,Yunfei Jiang,Jintao Gao

Journal of Cancer 13:1985-2000 PubMed35399734

2022

ASF1b is a novel prognostic predictor associated with cell cycle signaling pathway in gastric cancer.

Applications

Unspecified application

Species

Unspecified reactive species

Chuanzhi Chen,Haili Bao,Wu Lin,Xiangliu Chen,Yingying Huang,Haohao Wang,Yan Yang,Jin Liu,Xiadong Lv,Lisong Teng

Cellular and molecular gastroenterology and hepatology : PubMed33484913

2021

p53-independent induction of p21 fails to control regeneration and hepatocarcinogenesis in a murine liver injury model.

Applications

Unspecified application

Species

Unspecified reactive species

Laura Elisa Buitrago-Molina,Silke Marhenke,Diana Becker,Robert Geffers,Timo Itzel,Andreas Teufel,Hartmut Jaeschke,André Lechel,Kristian Unger,Jovana Markovic,Amar Deep Sharma,Jens U Marquardt,Michael Saborowski,Anna Saborowski,Arndt Vogel

Andrologia 51:e13413 PubMed31523838

2019

Notch signaling inhibition induces G0/G1 arrest in murine Leydig cells.

Applications

Unspecified application

Species

Unspecified reactive species

Enhang Lu,Fen Feng,Weihui Wen,Xiating Tong,Xiang Li,Li Xiao,Gang Li,Jing Wang,Chunping Zhang

Experimental and therapeutic medicine 17:488-494 PubMed30651826

2019

Saikosaponin D inhibits proliferation of human osteosarcoma cells via the p53 signaling pathway.

Applications

Unspecified application

Species

Unspecified reactive species

Lin Zhao,Jing Li,Zhi-Bo Sun,Chen Sun,Zhi-Hong Yu,Xiao Guo

Peptides 105:58-65 PubMed29800588

2018

MiR-503 suppresses hypoxia-induced proliferation, migration and angiogenesis of endothelial progenitor cells by targeting Apelin.

Applications

WB

Species

Unspecified reactive species

Ya Wen,Rong Chen,Chunhua Zhu,Huimin Qiao,Ying Liu,Hui Ji,Jiangyong Miao,Linyu Chen,Xiaoxia Liu,Yi Yang
View all publications

Product promise

We are committed to supporting your work with high-quality reagents, and we're here for you every step of the way. In the unlikely event that one of our products does not perform as expected, you're protected by our Product Promise.
For full details, please see our Terms & Conditions

Please note: All products are 'FOR RESEARCH USE ONLY. NOT FOR USE IN DIAGNOSTIC OR THERAPEUTIC PROCEDURES'.

For licensing inquiries, please contact partnerships@abcam.com